BPG is committed to discovery and dissemination of knowledge
Minireviews Open Access
Copyright ©The Author(s) 2025. Published by Baishideng Publishing Group Inc. All rights reserved.
World J Gastrointest Pathophysiol. Dec 22, 2025; 16(4): 112695
Published online Dec 22, 2025. doi: 10.4291/wjgp.v16.i4.112695
Imaging of appendicitis: Computed tomography, magnetic resonance imaging, and ultrasound in diagnosis and management
Arosh S Perera Molligoda Arachchige, Emergency Service, GHOL-Hopital de Nyon, Nyon 1260, Vaud, Switzerland
Ana Claudia Teixeira de Castro Gonçalves Ortega, Gabriel Amorim Moreira Alves, Faculty of Medicine, Humanitas University, Pieve Emanuele 20072, Milan, Italy
ORCID number: Arosh S Perera Molligoda Arachchige (0000-0002-3875-0267); Gabriel Amorim Moreira Alves (0009-0003-0148-6401).
Author contributions: Perera Molligoda Arachchige AS conceptualized the study, performed the literature review, and drafted the initial manuscript; Teixeira de Castro Gonçalves Ortega AC contributed to literature review, data interpretation, and critical manuscript revisions; Amorim Moreira Alves G supervised the overall project, provided methodological input, and contributed to editing and final approval of the manuscript; and all authors reviewed the manuscript for intellectual content, approved the final version, and agree to be accountable for all aspects of the work.
Conflict-of-interest statement: All the authors report no relevant conflicts of interest for this article.
Open Access: This article is an open-access article that was selected by an in-house editor and fully peer-reviewed by external reviewers. It is distributed in accordance with the Creative Commons Attribution NonCommercial (CC BY-NC 4.0) license, which permits others to distribute, remix, adapt, build upon this work non-commercially, and license their derivative works on different terms, provided the original work is properly cited and the use is non-commercial. See: https://creativecommons.org/Licenses/by-nc/4.0/
Corresponding author: Gabriel Amorim Moreira Alves, BSc, Faculty of Medicine, Humanitas University, Via Rita Levi Montalcini 4, Pieve Emanuele 20072, Milan, Italy. gabriel.alves@st.hunimed.eu
Received: August 4, 2025
Revised: August 18, 2025
Accepted: December 1, 2025
Published online: December 22, 2025
Processing time: 141 Days and 10.7 Hours

Abstract

Acute appendicitis remains one of the most common causes of emergency abdominal surgery globally. Imaging plays a pivotal role in confirming or excluding the diagnosis and identifying complications that influence management pathways. This narrative review synthesizes contemporary evidence and consensus-based imaging protocols for appendicitis, with a focus on computed tomography, magnetic resonance imaging, and ultrasound. The article explores advanced diagnostic criteria, interpretation challenges, imaging algorithms derived from professional society guidelines, and special considerations including pregnancy and pediatric populations. Clinical practice recommendations by the World Society of Emergency Surgery, European Association of Endoscopic Surgery, American College of Radiology, and Infectious Diseases Society of America are incorporated to frame best practices.

Key Words: Magnetic resonance imaging; Computed tomography; Ultrasound; Appendicitis; Management; Pregnancy; Children

Core Tip: Imaging is essential in the accurate diagnosis and management of acute appendicitis, with computed tomography as the gold standard in adults, ultrasound preferred in children and pregnant patients, and magnetic resonance imaging increasingly used to reduce radiation exposure. This article integrates evidence-based imaging protocols and professional society guidelines to guide optimal imaging strategies across various clinical scenarios.



INTRODUCTION

Despite its ubiquity - affecting approximately 7%-9% of individuals - appendicitis often presents with atypical symptoms that limit diagnostic certainty[1]. While the classic progression of peri-umbilical pain migrating to the right lower quadrant, accompanied by anorexia, nausea, and low-grade fever, is well-known, many patients deviate from this archetype[2]. Clinical examination and laboratory indicators such as elevated white blood cell count or C-reactive protein offer diagnostic clues but lack sufficient sensitivity or specificity in isolation[3]. As a result, imaging has assumed a central role in the diagnostic pathway. Guidelines from major surgical and radiologic societies advocate for risk-stratified imaging based on clinical scoring systems, such as the Alvarado score, the Pediatric Appendicitis Score, or the Appendicitis Inflammatory Response score, the latter of which has been shown to outperform others in predictive value[4].

These scoring systems enable classification into low, intermediate, or high risk for appendicitis, which in turn determines the appropriate imaging strategy[4]. For instance, in intermediate-risk patients, ultrasound is typically recommended as the first-line modality, with further cross-sectional imaging like computed tomography (CT) or magnetic resonance imaging (MRI) reserved for equivocal cases[5]. In adults, CT remains the standard with sensitivities ranging from 85.7% to 100% and specificities ranging from 94.8% to 100%. However, the growing concerns about radiation exposure, particularly in younger and pregnant patients, have propelled the increased use of MRI in select populations[6].

CT

CT remains the cornerstone of appendicitis imaging in adult patients. Its high spatial resolution and rapid acquisition allow for detailed visualization of the appendix and surrounding structures[7]. The most consistent direct sign is appendiceal enlargement, typically defined as an outer wall-to-outer wall diameter greater than 6 mm[8]. Yet, this criterion must be interpreted with caution, as several studies have shown that up to 40% of normal appendices may exceed this diameter, especially when the lumen contains air or fluid. Consequently, secondary signs gain diagnostic importance[9].

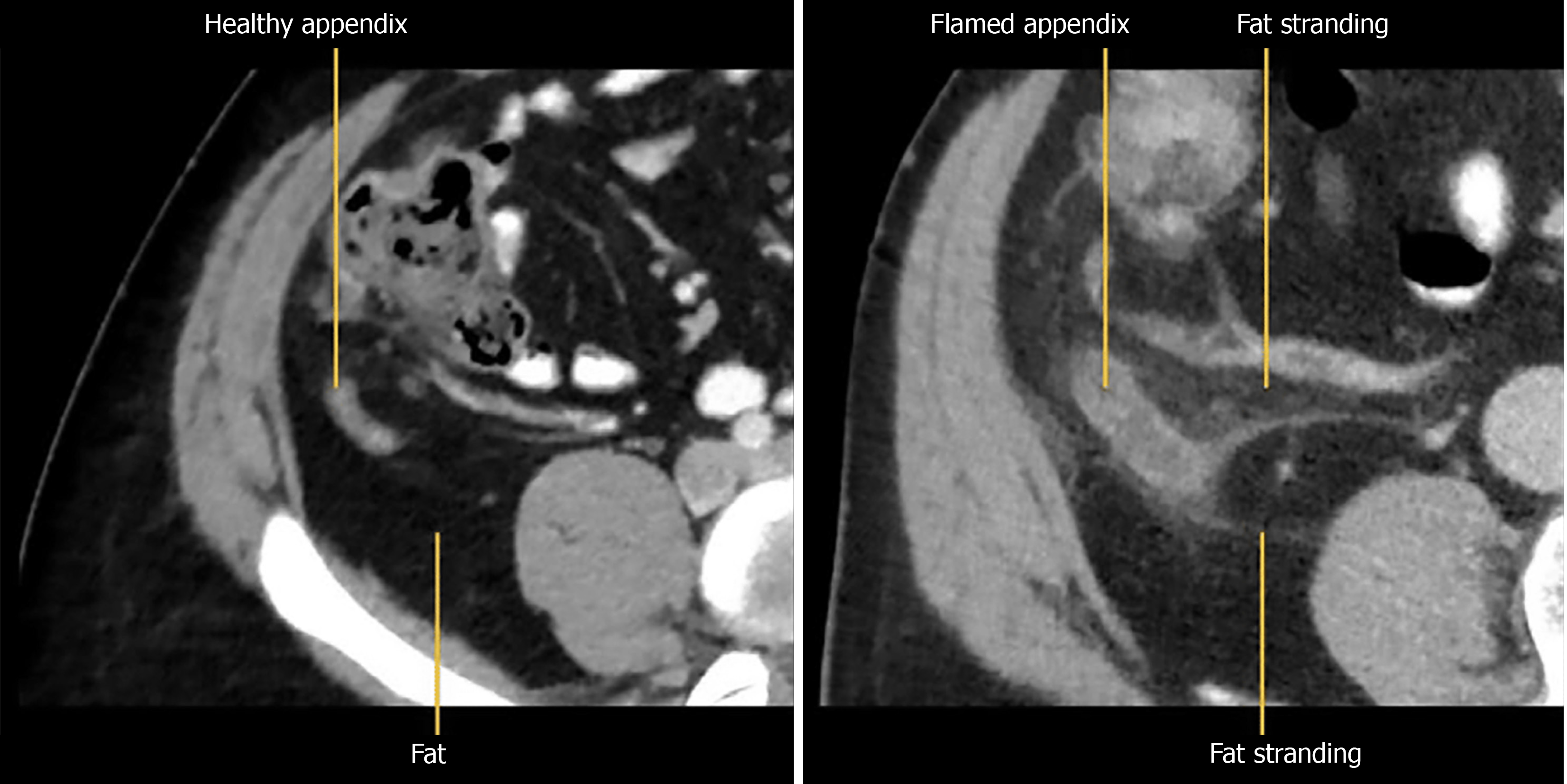
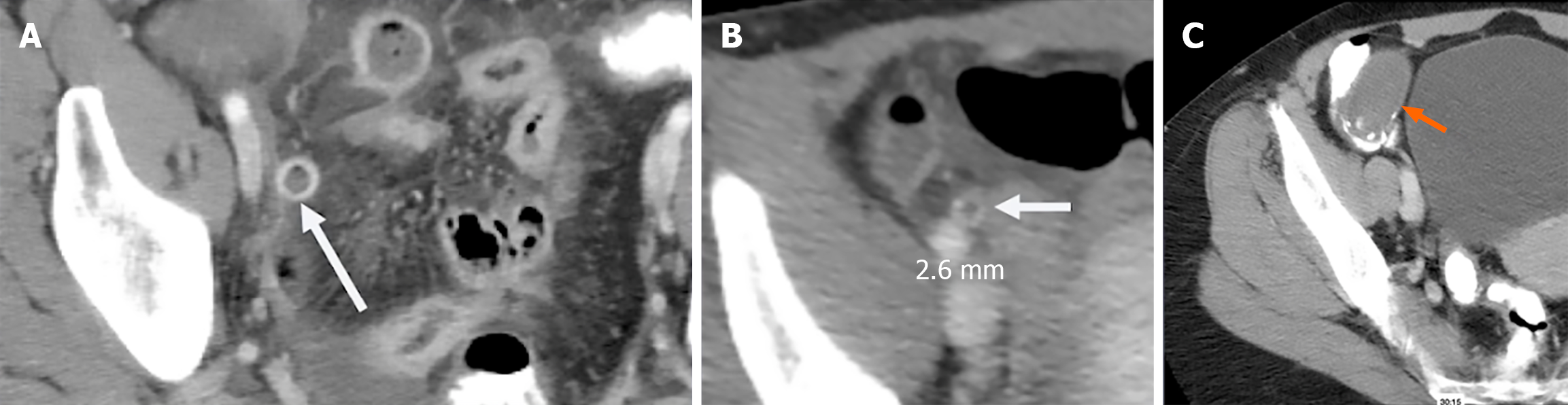
Among these secondary signs, peri-appendiceal fat stranding and fluid collections signify localized inflammation (Figure 1). The stranding appears as bright, inflamed fat surrounding the appendix and often correlates with symptom severity[10]. Wall thickening greater than 3 mm and hyperenhancement following contrast administration are additional indicators of appendicitis (Figure 2A)[11]. A particularly specific but less common finding is the presence of airless, low-attenuation fluid within the lumen (Figure 2B). This fluid type is rare in normal appendices and may signify early mucosal involvement. A threshold of 2.6 mm of fluid within the appendix has shown strong diagnostic performance[9,12].

Figure 1
Figure 1 On the left is a computed tomography image of normal healthy appendix while on the right is an inflamed appendix with fat stranding.
Figure 2
Figure 2 Image. A: Computed tomography showing appendiceal wall hyperenhancement. White arrow: Inflamed, enhancing appendiceal wall consistent with acute appendicitis; B: Computed tomography showing airless, low attenuation fluid in the lumen, a frequently useful sign in early appendicitis. White arrow: Fluid-filled, non-aerated lumen measuring 2.6 mm, indicating early mucosal inflammation; C: Distended appendix fluid filled, curvilinear calcifications at base with airless low attenuation fluid, which was identified as a mucocele (orange arrow).

Complications such as perforation can be inferred from findings like extraluminal air, abscess formation, or loss of wall enhancement indicating necrosis[13,14]. These signs alter management significantly and necessitate surgical or percutaneous intervention. Importantly, CT interpretation must be contextualized within the clinical picture, as radiologic findings may be misleading in the absence of supportive clinical evidence[15].

DIAGNOSTIC CHALLENGES AND MIMICS

CT, while powerful, is not infallible. Missed diagnoses may result from perceptual errors or from overreliance on the presence of luminal air to exclude appendicitis[15]. In reality, up to 31% of confirmed appendicitis cases may contain intraluminal air. Conversely, false positives may arise from conditions such as mucoceles, mucinous cystadenomas, lymphomas, or cecal obstruction. These pathologies can mimic an inflamed appendix due to overlapping imaging features such as distension and fluid content[16,17]. When you see airless low attenuation fluid-filled appendices, it is imperative to look at the cecum for obstruction Figure 2C.

Peri-appendicitis presents a unique diagnostic dilemma. In this entity, the surrounding fat becomes inflamed, but the appendix itself remains unaffected. It is often secondary to another intra-abdominal pathology, and differentiating it from true appendicitis requires a nuanced understanding of imaging findings in conjunction with clinical data[18].

INCIDENTAL AND NON-VISUALIZED APPENDIX

In rare cases, an appendix appearing inflamed on imaging may be found incidentally in asymptomatic individuals; this mostly presents as a hypermetabolic area on fluorine-18-fluorodeoxyglucose positron emission tomography/CT in specific cohorts such as cancer patients[19,20]. In such scenarios, further clinical correlation is imperative. Not all radiologic signs mandate intervention, particularly when the patient lacks symptoms. Another diagnostic challenge arises when the appendix is not visualized[21]. Thin-section reconstructions and coronal reformatting may aid in detection, but in some cases, the appendix remains elusive[22]. If no secondary signs such as localized fat stranding or regional ileus are present, the likelihood of appendicitis is low, around 2%[21]. However, if right lower quadrant inflammation is seen without another clear etiology (such as Crohn’s disease, diverticulitis, gynecological infections), the diagnosis cannot be confidently excluded with appendicitis seen in around 26% of cases[23].

DEFERRED TREATMENT AND RECURRENT APPENDICITIS

Patients discharged after an initial presentation that did not fulfill the criteria for appendicitis occasionally return with definitive symptoms. Data suggest that approximately 38% of such patients eventually develop appendicitis, often within a year of the initial visit[24,25]. These delayed presentations are more likely to involve complications such as perforation. This raises the question of whether some cases represent a chronic or smoldering inflammatory process rather than a purely acute event[26,27].

MRI AND ULTRASOUND

In pregnant patients, appendicitis represents the most common non-obstetric surgical emergency[28]. Given the potential teratogenic effects of ionizing radiation, ultrasound is the preferred first-line imaging modality[29]. However, its limitations are well-documented, particularly as the gravid uterus displaces abdominal contents. When ultrasound is inconclusive, MRI has emerged as a reliable, safe, and effective alternative. MRI protocols for suspected appendicitis include axial, coronal, and sagittal SSFSE or HASTE sequences, axial T1-weighted images, and optionally fat-saturated T2 sequences. These allow for confident localization of the cecum and appendix, and provide insights into alternate causes of abdominal pain[30,31].

MRI is gaining ground in non-pregnant populations as well, particularly children and adolescents, where radiation avoidance is paramount. Studies have demonstrated diagnostic performance comparable to CT in children and young adults (sensitivity and specificity were 85.9% and 93.8% for unenhanced MRI, 93.6% and 94.3% for contrast-enhanced MRI, and 93.6% and 94.3% for CT), with the added benefit of identifying other intra-abdominal pathologies[6,32]. Limitations remain, including availability, scan time, and the need for patient cooperation, but these are being progressively mitigated with faster sequences and improved protocols.

CONCLUSION

Imaging is indispensable in the modern management of suspected appendicitis. CT offers unparalleled anatomical detail and is the modality of choice in adult patients with moderate to high clinical suspicion. Interpretation should be guided not by a single finding but by a constellation of signs, including appendiceal enlargement, peri-appendiceal inflammation, wall thickening, enhancement, and the presence of fluid or extraluminal air. Awareness of potential pitfalls, such as isodense enlarged appendices and non-visualized cases, is crucial to avoid misdiagnosis.

MRI and ultrasound have well-established roles in specific populations and clinical contexts. MRI, in particular, is becoming more prevalent due to its diagnostic accuracy and absence of ionizing radiation. For pregnant patients and children, it offers a safe and effective alternative when ultrasound is inconclusive.

Future directions include the refinement of imaging protocols, better integration of clinical risk scores with imaging findings, and the exploration of artificial intelligence in image interpretation. Importantly, imaging findings should always be interpreted in conjunction with the clinical evaluation, as radiologic appearances alone may be misleading. Radiologists must therefore remain vigilant, adaptable, and informed to optimize diagnostic accuracy and guide patient management appropriately.

Footnotes

Provenance and peer review: Invited article; Externally peer reviewed.

Peer-review model: Single blind

Specialty type: Gastroenterology and hepatology

Country of origin: Italy

Peer-review report’s classification

Scientific Quality: Grade B, Grade B, Grade C

Novelty: Grade C, Grade C, Grade C

Creativity or Innovation: Grade C, Grade C, Grade C

Scientific Significance: Grade B, Grade C, Grade C

P-Reviewer: Bake JF, MD, Assistant Professor, Congo; Mohammed Ali U, Associate Research Scientist, Chief, Head, Senior Scientist, Ethiopia S-Editor: Bai Y L-Editor: A P-Editor: Yu HG

References
1.  Echevarria S, Rauf F, Hussain N, Zaka H, Farwa UE, Ahsan N, Broomfield A, Akbar A, Khawaja UA. Typical and Atypical Presentations of Appendicitis and Their Implications for Diagnosis and Treatment: A Literature Review. Cureus. 2023;15:e37024.  [RCA]  [PubMed]  [DOI]  [Full Text]  [Full Text (PDF)]  [Cited by in RCA: 25]  [Reference Citation Analysis (0)]
2.  Dahabreh IJ, Adam GP, Halladay CW, Steele DW, Daiello LA, Wieland LS, Zgodic A, Smith BT, Herliczek TW, Shah N, Trikalinos TA.   Diagnosis of Right Lower Quadrant Pain and Suspected Acute Appendicitis [Internet]. Rockville (MD): Agency for Healthcare Research and Quality (US); 2015 Dec. Report No.: 15(16)-EHC025-EF.  [PubMed]  [DOI]
3.  Gans SL, Atema JJ, Stoker J, Toorenvliet BR, Laurell H, Boermeester MA. C-reactive protein and white blood cell count as triage test between urgent and nonurgent conditions in 2961 patients with acute abdominal pain. Medicine (Baltimore). 2015;94:e569.  [RCA]  [PubMed]  [DOI]  [Full Text]  [Full Text (PDF)]  [Cited by in Crossref: 16]  [Cited by in RCA: 17]  [Article Influence: 1.5]  [Reference Citation Analysis (0)]
4.  Noori IF, Jabbar AS, Noori AF. Clinical scores (Alvarado and AIR scores) versus imaging (ultrasound and CT scan) in the diagnosis of equivocal cases of acute appendicitis: a randomized controlled study. Ann Med Surg (Lond). 2023;85:676-683.  [RCA]  [PubMed]  [DOI]  [Full Text]  [Cited by in RCA: 7]  [Reference Citation Analysis (0)]
5.  Debnath J, George RA, Ravikumar R. Imaging in acute appendicitis: What, when, and why? Med J Armed Forces India. 2017;73:74-79.  [RCA]  [PubMed]  [DOI]  [Full Text]  [Cited by in Crossref: 21]  [Cited by in RCA: 27]  [Article Influence: 2.7]  [Reference Citation Analysis (0)]
6.  Kinner S, Pickhardt PJ, Riedesel EL, Gill KG, Robbins JB, Kitchin DR, Ziemlewicz TJ, Harringa JB, Reeder SB, Repplinger MD. Diagnostic Accuracy of MRI Versus CT for the Evaluation of Acute Appendicitis in Children and Young Adults. AJR Am J Roentgenol. 2017;209:911-919.  [RCA]  [PubMed]  [DOI]  [Full Text]  [Cited by in Crossref: 32]  [Cited by in RCA: 39]  [Article Influence: 4.3]  [Reference Citation Analysis (0)]
7.  Rud B, Vejborg TS, Rappeport ED, Reitsma JB, Wille-Jørgensen P. Computed tomography for diagnosis of acute appendicitis in adults. Cochrane Database Syst Rev. 2019;2019:CD009977.  [RCA]  [PubMed]  [DOI]  [Full Text]  [Cited by in Crossref: 32]  [Cited by in RCA: 58]  [Article Influence: 8.3]  [Reference Citation Analysis (0)]
8.  Yaqoob J, Idris M, Alam MS, Kashif N. Can outer-to-outer diameter be used alone in diagnosing appendicitis on 128-slice MDCT? World J Radiol. 2014;6:913-918.  [RCA]  [PubMed]  [DOI]  [Full Text]  [Full Text (PDF)]  [Cited by in CrossRef: 3]  [Cited by in RCA: 4]  [Article Influence: 0.3]  [Reference Citation Analysis (0)]
9.  Webb EM, Wang ZJ, Coakley FV, Poder L, Westphalen AC, Yeh BM. The equivocal appendix at CT: prevalence in a control population. Emerg Radiol. 2010;17:57-61.  [RCA]  [PubMed]  [DOI]  [Full Text]  [Full Text (PDF)]  [Cited by in Crossref: 25]  [Cited by in RCA: 25]  [Article Influence: 1.5]  [Reference Citation Analysis (0)]
10.  Walid A, Muhammad A, Hussain Z. Value of Periappendiceal Fat Sign on Ultrasound in Acute Appendicitis. Cureus. 2021;13:e16321.  [RCA]  [PubMed]  [DOI]  [Full Text]  [Full Text (PDF)]  [Cited by in Crossref: 1]  [Cited by in RCA: 4]  [Article Influence: 0.8]  [Reference Citation Analysis (0)]
11.  Choi D, Park H, Lee YR, Kook SH, Kim SK, Kwag HJ, Chung EC. The most useful findings for diagnosing acute appendicitis on contrast-enhanced helical CT. Acta Radiol. 2003;44:574-582.  [RCA]  [PubMed]  [DOI]  [Full Text]  [Cited by in Crossref: 42]  [Cited by in RCA: 46]  [Article Influence: 2.1]  [Reference Citation Analysis (0)]
12.  Moteki T, Horikoshi H. New CT criterion for acute appendicitis: maximum depth of intraluminal appendiceal fluid. AJR Am J Roentgenol. 2007;188:1313-1319.  [RCA]  [PubMed]  [DOI]  [Full Text]  [Cited by in Crossref: 37]  [Cited by in RCA: 38]  [Article Influence: 2.0]  [Reference Citation Analysis (0)]
13.  Kim SH, Shin SS, Jeong YY, Heo SH, Kim JW, Kang HK. Gastrointestinal tract perforation: MDCT findings according to the perforation sites. Korean J Radiol. 2009;10:63-70.  [RCA]  [PubMed]  [DOI]  [Full Text]  [Full Text (PDF)]  [Cited by in Crossref: 91]  [Cited by in RCA: 96]  [Article Influence: 5.6]  [Reference Citation Analysis (0)]
14.  Sharma M, Agrawal A. Pictorial essay: CT scan of appendicitis and its mimics causing right lower quadrant pain. Indian J Radiol Imaging. 2008;18:80-89.  [RCA]  [PubMed]  [DOI]  [Full Text]  [Full Text (PDF)]  [Cited by in Crossref: 7]  [Cited by in RCA: 12]  [Article Influence: 0.7]  [Reference Citation Analysis (0)]
15.  Levine CD, Aizenstein O, Wachsberg RH. Pitfalls in the CT diagnosis of appendicitis. Br J Radiol. 2004;77:792-799.  [RCA]  [PubMed]  [DOI]  [Full Text]  [Cited by in Crossref: 38]  [Cited by in RCA: 34]  [Article Influence: 1.5]  [Reference Citation Analysis (0)]
16.  Gopalan V, Khan IA, Zade AA, Malhotra G, Durge S, Jain Y, Rekavari SG. Diagnostic Challenges and Treatment Options for Mucocle of the Appendix: A Comprehensive Review. Cureus. 2024;16:e66142.  [RCA]  [PubMed]  [DOI]  [Full Text]  [Cited by in RCA: 2]  [Reference Citation Analysis (0)]
17.  Krieg A, Esch JS 2nd, Poll LW, Braunstein S, Knoefel WT. Mucinous cystadenoma of the appendix misdiagnosed as cystic hydatid disease of the liver: a case report. J Med Case Rep. 2008;2:218.  [RCA]  [PubMed]  [DOI]  [Full Text]  [Full Text (PDF)]  [Cited by in Crossref: 4]  [Cited by in RCA: 7]  [Article Influence: 0.4]  [Reference Citation Analysis (0)]
18.  Song X, Shi M, Liu W, Ge Y, Wang P. Relative CT number of periappendiceal fat stranding may be an applicable index for estimating the severity of acute appendicitis. Br J Radiol. 2021;94:20200437.  [RCA]  [PubMed]  [DOI]  [Full Text]  [Full Text (PDF)]  [Cited by in Crossref: 1]  [Cited by in RCA: 4]  [Article Influence: 0.8]  [Reference Citation Analysis (0)]
19.  Bourgeois S, Van Den Berghe I, De Geeter F. Incidental finding of silent appendicitis on (18)F-FDG PET/CT in a patient with small cell lung adenocarcinoma. Hell J Nucl Med. 2016;19:164-166.  [RCA]  [PubMed]  [DOI]  [Full Text]  [Cited by in RCA: 2]  [Reference Citation Analysis (0)]
20.  Hamid S, Nausheen S, Ahmed N, Hussain RP, Ihsan N. Incidental Acute Appendicitis on Fluorine-18-Fluorodeoxyglucose Positron Emission Tomography/Computed Tomography (18F-FDG PET/CT) Imaging: Radiology From a Different Perspective. Cureus. 2021;13:e17734.  [RCA]  [PubMed]  [DOI]  [Full Text]  [Full Text (PDF)]  [Cited by in RCA: 1]  [Reference Citation Analysis (0)]
21.  Nikolaidis P, Hwang CM, Miller FH, Papanicolaou N. The nonvisualized appendix: incidence of acute appendicitis when secondary inflammatory changes are absent. AJR Am J Roentgenol. 2004;183:889-892.  [RCA]  [PubMed]  [DOI]  [Full Text]  [Cited by in Crossref: 87]  [Cited by in RCA: 74]  [Article Influence: 3.4]  [Reference Citation Analysis (0)]
22.  Lin W, Jeffrey RB, Trinh A, Olcott EW. Anatomic Reasons for Failure to Visualize the Appendix With Graded Compression Sonography: Insights From Contemporaneous CT. AJR Am J Roentgenol. 2017;209:W128-W138.  [RCA]  [PubMed]  [DOI]  [Full Text]  [Cited by in Crossref: 8]  [Cited by in RCA: 13]  [Article Influence: 1.4]  [Reference Citation Analysis (0)]
23.  Betit AL, Stansell TK. A Rare Cause of Right Lower Quadrant Abdominal Pain: Uncomplicated Ileal Diverticulitis. Cureus. 2024;16:e54887.  [RCA]  [PubMed]  [DOI]  [Full Text]  [Full Text (PDF)]  [Cited by in RCA: 1]  [Reference Citation Analysis (0)]
24.  Coccolini F, Fugazzola P, Sartelli M, Cicuttin E, Sibilla MG, Leandro G, De' Angelis GL, Gaiani F, Di Mario F, Tomasoni M, Catena F, Ansaloni L. Conservative treatment of acute appendicitis. Acta Biomed. 2018;89:119-134.  [RCA]  [PubMed]  [DOI]  [Full Text]  [Full Text (PDF)]  [Cited by in RCA: 19]  [Reference Citation Analysis (0)]
25.  Mahajan P, Basu T, Pai CW, Singh H, Petersen N, Bellolio MF, Gadepalli SK, Kamdar NS. Factors Associated With Potentially Missed Diagnosis of Appendicitis in the Emergency Department. JAMA Netw Open. 2020;3:e200612.  [RCA]  [PubMed]  [DOI]  [Full Text]  [Full Text (PDF)]  [Cited by in Crossref: 36]  [Cited by in RCA: 78]  [Article Influence: 13.0]  [Reference Citation Analysis (0)]
26.  Almaramhy HH. Acute appendicitis in young children less than 5 years: review article. Ital J Pediatr. 2017;43:15.  [RCA]  [PubMed]  [DOI]  [Full Text]  [Full Text (PDF)]  [Cited by in Crossref: 66]  [Cited by in RCA: 112]  [Article Influence: 12.4]  [Reference Citation Analysis (0)]
27.  Kusumo Rahardjo A. Case series: Treatment outcome of late presentation of acute appendicitis. Int J Surg Case Rep. 2022;92:106881.  [RCA]  [PubMed]  [DOI]  [Full Text]  [Full Text (PDF)]  [Cited by in Crossref: 2]  [Cited by in RCA: 3]  [Article Influence: 0.8]  [Reference Citation Analysis (0)]
28.  Alsadery HA, Bamalan OA, Aljubran HJ, Albaish LJ, Al Ghanim BZ. Non-obstetric Acute Abdomen in Pregnancy: a Review of Literature. Med Arch. 2023;77:293-298.  [RCA]  [PubMed]  [DOI]  [Full Text]  [Full Text (PDF)]  [Cited by in Crossref: 4]  [Cited by in RCA: 5]  [Article Influence: 1.7]  [Reference Citation Analysis (0)]
29.  Long SS, Long C, Lai H, Macura KJ. Imaging strategies for right lower quadrant pain in pregnancy. AJR Am J Roentgenol. 2011;196:4-12.  [RCA]  [PubMed]  [DOI]  [Full Text]  [Cited by in Crossref: 85]  [Cited by in RCA: 71]  [Article Influence: 4.7]  [Reference Citation Analysis (0)]
30.  Kinner S, Repplinger MD, Pickhardt PJ, Reeder SB. Contrast-Enhanced Abdominal MRI for Suspected Appendicitis: How We Do It. AJR Am J Roentgenol. 2016;207:49-57.  [RCA]  [PubMed]  [DOI]  [Full Text]  [Cited by in Crossref: 16]  [Cited by in RCA: 14]  [Article Influence: 1.4]  [Reference Citation Analysis (0)]
31.  Tsai R, Raptis C, Fowler KJ, Owen JW, Mellnick VM. MRI of suspected appendicitis during pregnancy: interradiologist agreement, indeterminate interpretation and the meaning of non-visualization of the appendix. Br J Radiol. 2017;90:20170383.  [RCA]  [PubMed]  [DOI]  [Full Text]  [Cited by in Crossref: 14]  [Cited by in RCA: 17]  [Article Influence: 1.9]  [Reference Citation Analysis (0)]
32.  Ramesh S, Verma Y, Perera Molligoda Arachchige AS. Early vs. late percutaneous catheter drainage of acute necrotic collections in patients with necrotizing pancreatitis. Abdom Radiol (NY). 2023;48:2759.  [RCA]  [PubMed]  [DOI]  [Full Text]  [Cited by in RCA: 2]  [Reference Citation Analysis (0)]