- Synergetic pathways for Parkinson’s disease therapy: The int... 2026-02-14
- Epiregulin enhances periodontal tissue regeneration by promo... 2026-02-14
- Alpha-ketoglutarate enhances adipose-derived stem cells surv... 2026-02-14
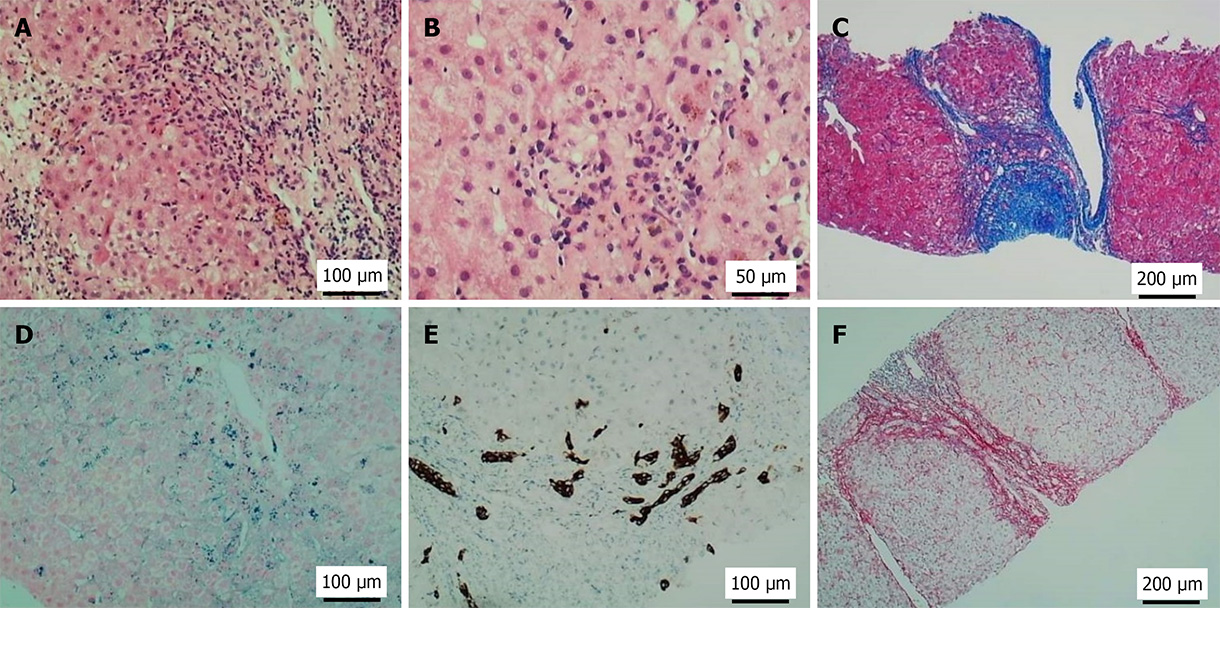
- GATA2 deficiency exacerbates chronic liver injury via disrup... 2026-02-14
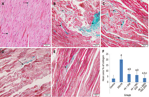
- Therapeutic applications of mesenchymal stem cell-derived ex... 2026-02-14
World Journal of Stem Cells (WJSC, World J Stem Cells) is a high-quality, open-access academic journal that employs a single-blind peer-review process. The journal focuses on publishing clinical, basic, and translational research achievements that are innovative, novel, and practical in the fields of stem cell biology and regenerative medicine. The types of articles published in WJSC include Editorial, Opinion Review, Frontier, Review, Minireview, Clinical Research, Basic Study, Systematic Review, Meta-analysis, Evidence-based Medicine, Field of Vision, Clinical Guidelines, Letter to the Editor, and Case Report. All submissions must comply with academic norms and ethical requirements. WJSC is edited and published by the Baishideng Publishing Group. Submit here >>
- Shengwen Calvin Li, PhD, Professor, (E-mail: choc.uci@gmail.com) Center for Neuroscience and Stem Cell Research, Children's Hospital of Orange County Children's Research Institute, Children's Hospital of Orange County, Neuroscience Institute, University of California Irvine, Orange, CA 92868, United States
The 2025 edition of Journal Citation Reports® cites the 2024 journal impact factor (JIF) for WJSC as 3.6; JIF without journal self cites: 3.3; 5-year JIF: 4.4; JIF Rank: 14/32 in cell and tissue engineering; JIF Quartile: Q2; and 5-year JIF Quartile: Q2; JIF Rank: 100/204 in cell biology; JIF Quartile: Q2; and 5-year JIF Quartile: Q2.
The WJSC’s CiteScore for 2024 is 6.9 and Scopus CiteScore rank 2024: Histology is 13/61; Genetics is 97/348; Genetics (clinical) is 24/100; Molecular Biology is 152/410; Cell Biology is 122/285.





