Copyright
©The Author(s) 2026.
World J Clin Cases. Feb 16, 2026; 14(5): 117384
Published online Feb 16, 2026. doi: 10.12998/wjcc.v14.i5.117384
Published online Feb 16, 2026. doi: 10.12998/wjcc.v14.i5.117384
Figure 1
Kidneys-ureters-bladder radiograph demonstrating the left nephrostomy tube in situ and the indwelling double-J ureteral stent.
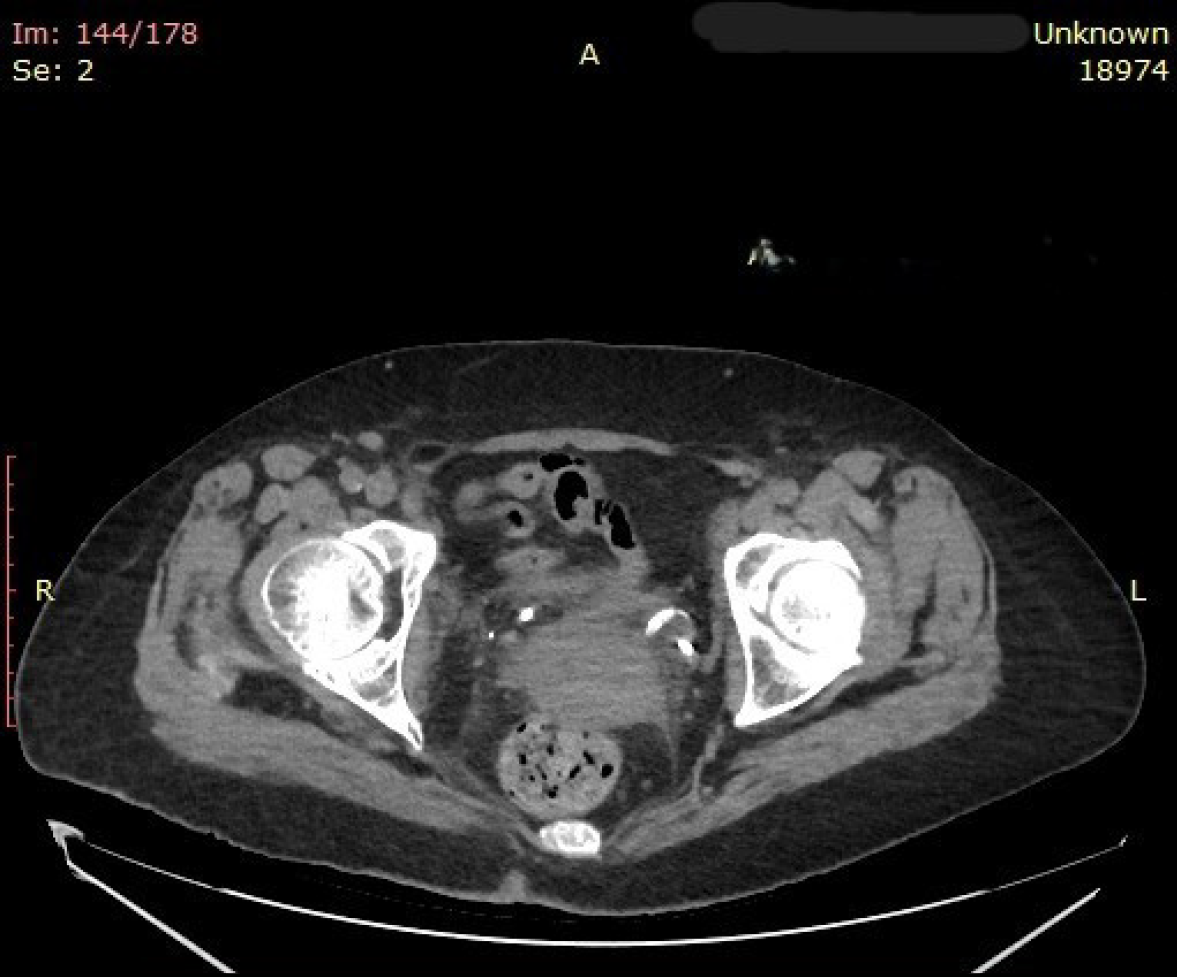
Figure 2
Axial computed tomography scan of the pelvis showing the distal curl of the left double-J ureteral stent completely embedded within thickened bladder wall tissue, consistent with submucosal incorporation and obscuration of the ureteral orifice.
- Citation: Deligiannis P, Katsimperis S, Kyriazis I, Angelopoulos P, Neofytou P, Kapsalos-Dedes SG, Triantafyllou P, Arseniou P, Katelani S, Papatsoris A. Fluoroscopy-guided transurethral resection with antegrade guidewire assistance for retrieval of a buried double-J stent: A case report. World J Clin Cases 2026; 14(5): 117384
- URL: https://www.wjgnet.com/2307-8960/full/v14/i5/117384.htm
- DOI: https://dx.doi.org/10.12998/wjcc.v14.i5.117384
