Copyright
©The Author(s) 2026.
World J Clin Cases. Feb 6, 2026; 14(4): 117573
Published online Feb 6, 2026. doi: 10.12998/wjcc.v14.i4.117573
Published online Feb 6, 2026. doi: 10.12998/wjcc.v14.i4.117573
Figure 1 Line graph showing liver enzyme trend following the initiation and cessation of cefepime.
AST: Aspartate aminotransferase; ALT: Alanine aminotransferase; ALP: Alkaline phosphatase.
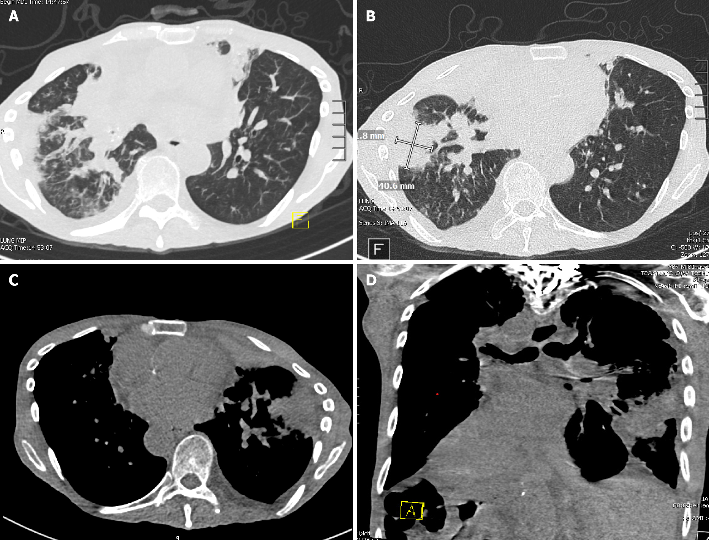
Figure 2 Computed tomography of the abdomen and pelvis without contrast showing new and worsening consolidative opacities in both lungs, which include a consolidative opacity in the right hilum that appears to be enlarging and a new mass-like consolidative opacity in the right lower lobe.
A: Axial lung window showing consolidative opacities, more notable on the right; B: Axial lung window showing a right lower lobe lung mass; C: Axial view showing consolidative opacities in the left lung; D: Coronary view showing consolidative opacities, predominantly in the left lung. Additionally, there is a new right-sided pleural effusion and extensive airway thickening with numerous occluded bronchi.
- Citation: Garcia R, English K. Mixed hepatocellular-cholestatic liver injury from cefepime: A case report. World J Clin Cases 2026; 14(4): 117573
- URL: https://www.wjgnet.com/2307-8960/full/v14/i4/117573.htm
- DOI: https://dx.doi.org/10.12998/wjcc.v14.i4.117573
