Copyright
©The Author(s) 2026.
World J Clin Cases. Feb 6, 2026; 14(4): 117314
Published online Feb 6, 2026. doi: 10.12998/wjcc.v14.i4.117314
Published online Feb 6, 2026. doi: 10.12998/wjcc.v14.i4.117314
Figure 1 Imaging features before and after surgery - case 2.
This figure corresponds to patient 2, who underwent surgery for an idiopathic macular hole (MH) in the right eye with an initial visual acuity of 6/24. A: Preoperative optical coherence tomography (OCT) revealed a fully detached posterior vitreous cortex, intraretinal cystic spaces, and intact retinal pigment epithelium (RPE) at the fovea. Internal limiting membrane (ILM) staining was performed under air for 2 minutes. The total surgical time was 95 minutes; B and C: One month postoperatively, OCT showed a closed MH with photoreceptor and RPE damage in the foveal and parafoveal regions, corresponding to the ILM peel area, with visual acuity of 6/36; D-F: At 3- and 9-months post-surgery, the hole remained closed, but progressive outer retinal and RPE thinning with increased choroidal hyperreflectivity was observed. Visual acuity at the final visit remained 6/36.
Figure 2 Imaging features before and after surgery - case 8.
A and B: Correspond to patient 8, who underwent surgery for an epiretinal membrane in the left eye, presenting with retinal traction and increased retinal thickness (590 µm). The initial visual acuity was 6/30. Preoperative optical coherence tomography (OCT) showed significant retinal traction caused by the thick epiretinal membrane, with intact outer retinal layers and retinal pigment epithelium (RPE) at the fovea. ILM staining was performed twice under air for a total of 3.5 minutes, with a surgical time of 110 minutes; C and D: Ten days postoperatively, OCT revealed outer retinal layer damage and RPE mottling, sparing the fovea. The parafoveal damage corresponded to the ILM peel area, with visual acuity improving to 6/24; E and F: At 10 months post-surgery, further reduction in foveal thickness was observed, with visual acuity improving to 6/8 and the brilliant blue G related retinal toxicity sparing the fovea.
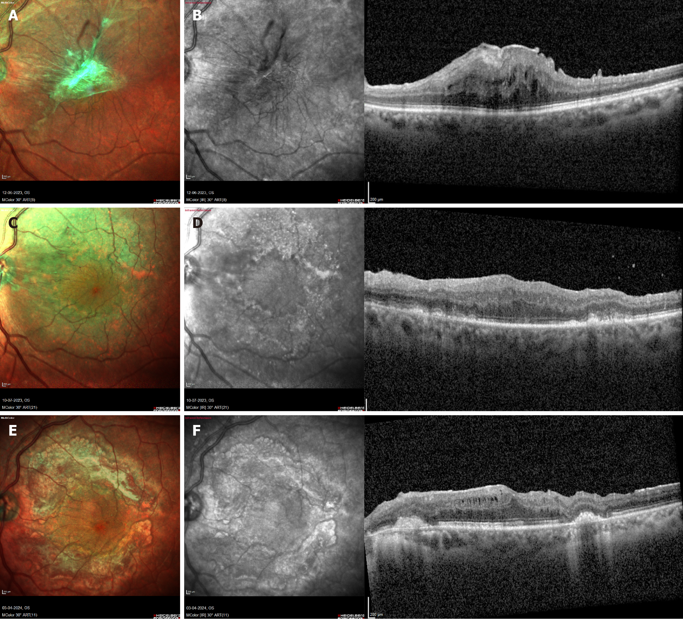
Figure 3 Imaging features before and after surgery – case 9.
A-C: Preoperative imaging of patient 9, who underwent surgery for vitreomacular traction (VMT) with foveal detachment in the left eye. Initial retinal thickness measured 468 µm, and visual acuity was 6/18. Preoperative optical coherence tomography (OCT) shows significant VMT with neurosensory detachment involving the fovea, intact outer retinal layers, intact retinal pigment epithelium (RPE), and a disrupted external limiting membrane. Fundus autofluorescence imaging of the left eye normal autofluorescence signal patterns at the fovea. Internal limiting membrane (ILM) staining was performed under balanced salt solution for 2 minutes, with a total surgical time of 2 hours. One-month postoperative OCT showing brilliant blue G (BBG)-related retinal toxicity sparing the fovea; D-F: At 5 months post-surgery, the foveal contour was restored with visual acuity improvement to 6/9. Fundus autofluorescence identified abnormal hyper- and hypoautofluorescent signals indicative of BBG-related retinal toxicity. OCT at 5 months demonstrated outer retinal damage and RPE mottling, sparing the fovea. The parafoveal damage corresponded to the ILM peel area.
- Citation: Venkatesh R, James E, Hande P, Raj P, Tendulkar K, Prabhu V. Retinal architecture as a determinant of brilliant blue G phototoxicity during internal limiting membrane peeling: A case series. World J Clin Cases 2026; 14(4): 117314
- URL: https://www.wjgnet.com/2307-8960/full/v14/i4/117314.htm
- DOI: https://dx.doi.org/10.12998/wjcc.v14.i4.117314
