Copyright
©The Author(s) 2026.
World J Clin Cases. Feb 6, 2026; 14(4): 117226
Published online Feb 6, 2026. doi: 10.12998/wjcc.v14.i4.117226
Published online Feb 6, 2026. doi: 10.12998/wjcc.v14.i4.117226
Figure 1 Clinical photograph at the time of referral showing a pigmented lesion at the medial conjunctival canthus and a clearly visible subcutaneous nodule along the lateral orbital rim.
These findings were suggestive of local recurrence of conjunctival melanoma.
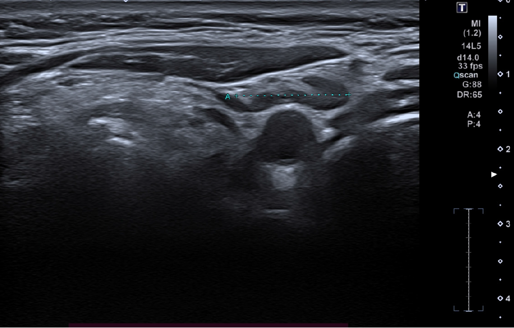
Figure 2 High-frequency ultrasound (24 MHz) image of the left laterocervical region showing a single lymph node (outlined in blue dashed line), not suspicious for metastatic involvement.
The node presents with preserved morphology, including a visible fatty hilum and a well-defined cortex, with no signs of pathological enlargement or altered echogenicity.
Figure 3 Multimodal assessment of suspected conjunctival melanoma recurrence.
A: Real-time clinical photograph showing pigmentation and visible subcutaneous nodule in the periocular region; B: Ultra-high-frequency ultrasound image (48 MHz) revealing epidermal thickening with disorganized echotexture and irregular margins; C: Corresponding Doppler image demonstrating increased vascular signals consistent with neovascularization.
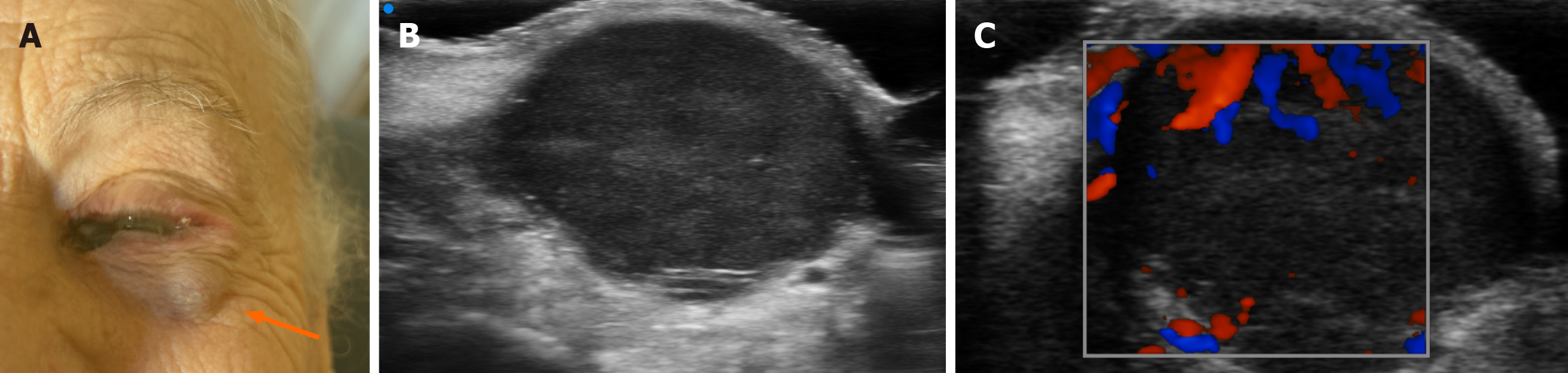
Figure 4 Multimodal evaluation of a subepidermal nodule in the lower eyelid, suspicious for conjunctival satellite metastasis.
A: Real-time clinical photograph with arrow indicating the anatomical location of the palpable lesion along the left lower eyelid; B: Ultra-high-frequency ultrasound image (48 MHz) showing a well-demarcated, hypoechoic subepidermal nodule (9 mm × 8 mm) with scattered hyperechoic foci; C: Color Doppler image revealing increased and accelerated perilesional vascularization, consistent with active neoplastic tissue.
Figure 5 Identification and characterization of a second periocular lesion adjacent to the previously described satellite nodule.
A: Real-time clinical photograph with arrow indicating the anatomical location of the deeper, non-palpable lesion in the left periocular region; B and C: Ultra-high-frequency ultrasound images (48 MHz) of the lesion in orthogonal planes, showing a well-defined, hypoechoic nodule with internal hyperechoic foci, measuring up to 12 mm × 10 mm. The lesion is located in deeper subcutaneous tissues compared to the satellite metastasis.
Figure 6 Detection of a third subepidermal lesion at the lateral canthus of the left eye.
A: Clinical photograph with arrow indicating the anatomical location of the lesion at the lateral canthus; B: Ultra-high-frequency ultrasound image (48 MHz) showing a subepidermal nodule with irregular margins and slightly higher echogenicity compared to previously identified nodules; C: Color Doppler image demonstrating predominantly intralesional vascularization, suggestive of biologically active neoplastic tissue.
- Citation: Russo A, Patanè V, Pezzella MC, Troiani T, Argenziano G, Reginelli A. Ultra-high-frequency ultrasound in the detection of recurrent conjunctival melanoma: A case report. World J Clin Cases 2026; 14(4): 117226
- URL: https://www.wjgnet.com/2307-8960/full/v14/i4/117226.htm
- DOI: https://dx.doi.org/10.12998/wjcc.v14.i4.117226
