Copyright
©The Author(s) 2026.
World J Clin Cases. Feb 6, 2026; 14(4): 116737
Published online Feb 6, 2026. doi: 10.12998/wjcc.v14.i4.116737
Published online Feb 6, 2026. doi: 10.12998/wjcc.v14.i4.116737
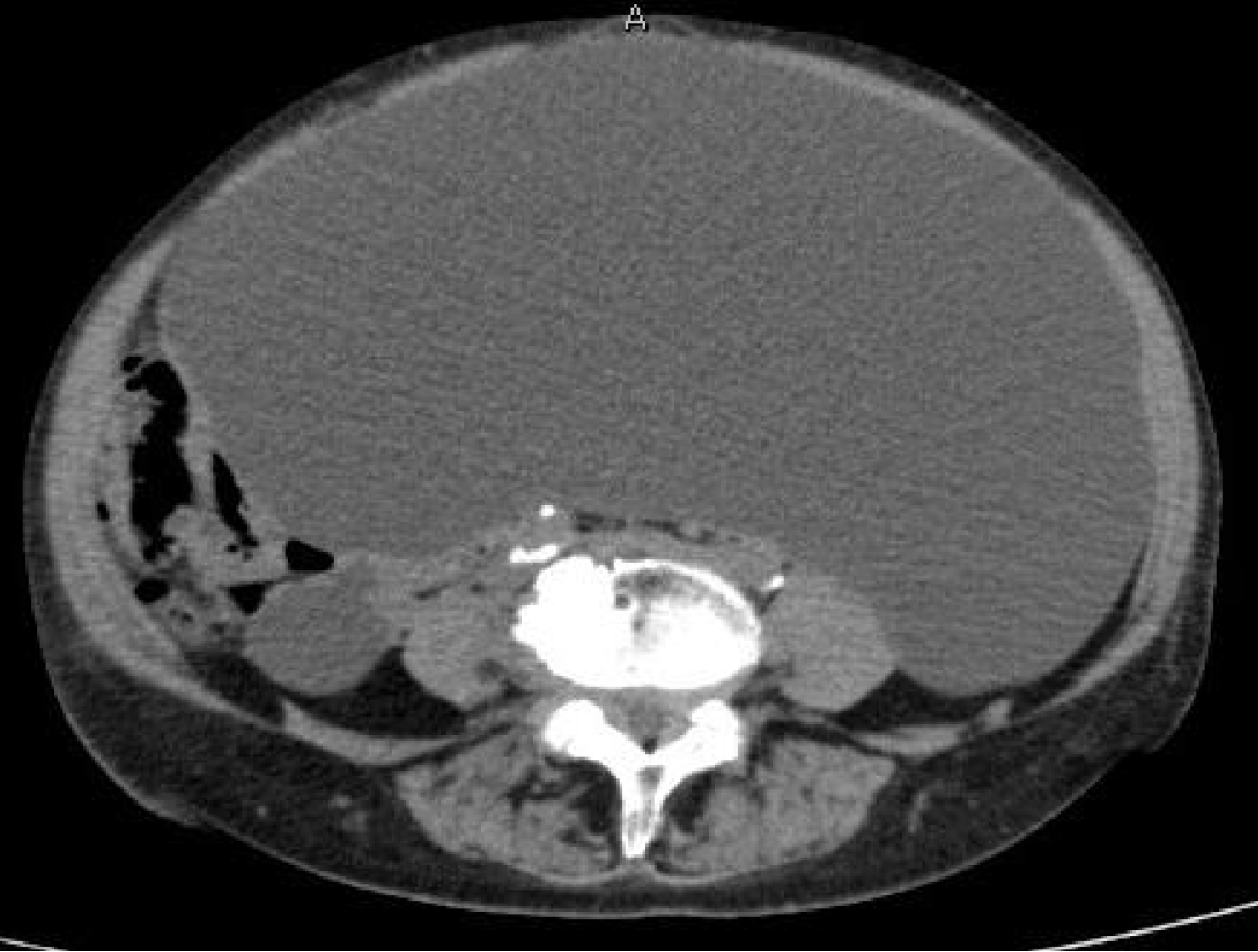
Figure 1 Pelvic computed tomography image a giant cystic mass measuring 30 cm in its longest diameter and extending to the area above the umbilicus was observed.
No clustered cystic formations, solid components, or irregular septa were detected within the tumor.
Figure 2 Intraoperative findings.
A: The peritoneal cavity was observed laparoscopically, and ascitic fluid was collected for cytological examination; B: After laparoscopic inspection, a midline lower abdominal incision of approximately 4 cm was made. To prevent the medical instant adhesive (Aron alpha) from dripping onto surrounding tissues, gauze was placed around the operative field, and Aron alpha was applied to the tumor surface in a grid pattern; C: A sterilized vinyl bag was tightly adhered to the ovarian tumor; D: After confirming that the Aron alpha had bonded firmly, the tumor was punctured through the vinyl using a scalpel; E: The cystic fluid inside the tumor was aspirated through the vinyl bag using a suction tube; F: After aspirating most of the cystic contents, the ovarian tumor was exteriorized, and additional fluid was aspirated. The tumor was then elevated outside the body, the course of the ureter was confirmed, and the infundibulopelvic ligament was ligated and transected, followed by removal of the adnexa.
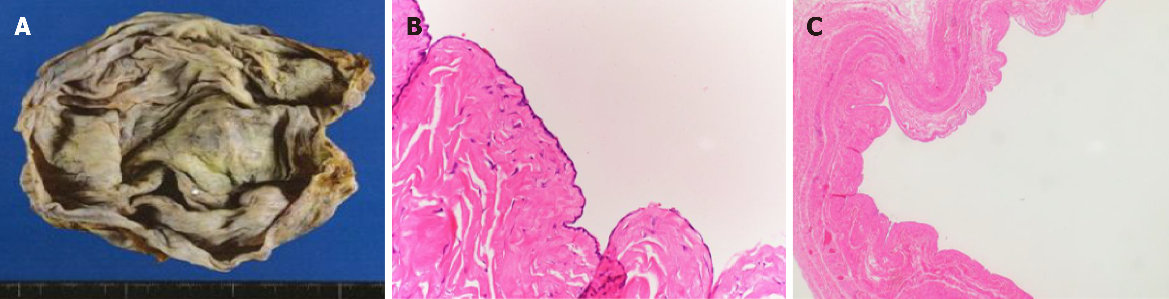
Figure 3 Resected specimen and histopathological findings.
A: The inner surface of the cyst was smooth, with no evidence of solid proliferation; B and C: The cystic inner surface was lined by cuboidal epithelium without atypia, findings suggestive of cystadenoma. No features suspicious for malignancy were observed. Hematoxylin and eosin staining; B: × 20, C: × 400.
- Citation: Segawa A, Kakinuma T, Miyazawa C, Takeuchi J, Tamura M, Morita A, Takae S, Suzuki N, Ariizumi Y. Successful perioperative management for a giant ovarian tumor in older adults: A case report. World J Clin Cases 2026; 14(4): 116737
- URL: https://www.wjgnet.com/2307-8960/full/v14/i4/116737.htm
- DOI: https://dx.doi.org/10.12998/wjcc.v14.i4.116737
