Copyright: ©Author(s) 2026.
World J Clin Cases. May 6, 2026; 14(13): 117852
Published online May 6, 2026. doi: 10.12998/wjcc.v14.i13.117852
Published online May 6, 2026. doi: 10.12998/wjcc.v14.i13.117852
Figure 1 Pure-tone audiometry of the right and left ears.
A: Performed in 2013; B: Performed in 2019; C: Performed in 2024, showing severe sensorineural hearing loss in the right ear. The left ear depicts normal hearing with high-frequency loss at 4 kHz and 8 kHz.
Figure 2 High-resolution non-contrast-enhanced computed tomography of the temporal bone (0.
6-mm slice thickness, bone algorithm reconstruction) showing evidence of prior right mastoidectomy. Permeative bony lesions of the right temporal bone, especially of the temporal apex, right clival region, and right ossicular chain erosion are seen (long thin arrows). The mass is epicentered in the right jugular fossa (short thick arrows).
Figure 3 Axial non-contrast-enhanced T1-weighted magnetic resonance imaging of the brain (fast field echo sequence; repetition time 600 milliseconds, echo time 15 milliseconds, flip angle 25°, 3-mm slice thickness).
A and B: Of the brain demonstrates a poorly defined heterogeneous mass of slight hyperintensity and hypointensity centered at the right jugular fossa. A: Characteristic “salt” and “pepper” appearance is observed with punctate regions of hyperintensity representing the “salt” and small flow voids representing the “pepper” (long orange arrow and yellow arrow, respectively). Middle ear extension (thick short arrow) and masticator space (M) are seen; B: The right temporal lobe extension is demonstrated.
Figure 4 T2-weighted magnetic resonance imaging.
A and B: Axial T2-weighted magnetic resonance imaging of the brain (fast spin echo sequence; repetition time 4500-6000 milliseconds, echo time 90-110 milliseconds, 3-mm slice thickness) demonstrates a slightly hyperintense, heterogeneous mass in the region of the right jugular foramen (long arrow). A characteristic “salt and pepper” appearance is noted. The lesion extends inferiorly into the ipsilateral middle ear cavity (short thick arrow) and right masticator space (M), with superior extension into the ipsilateral temporal lobe (arrows). Hyperintense fluid signal within the right mastoid air cells indicates retained secretions (P); C and D: Axial fluid-attenuated inversion recovery magnetic resonance imaging shows a heterogeneous hypo- to hyperintense lesion involving the right jugular foramen and extending into the ipsilateral temporal lobe.
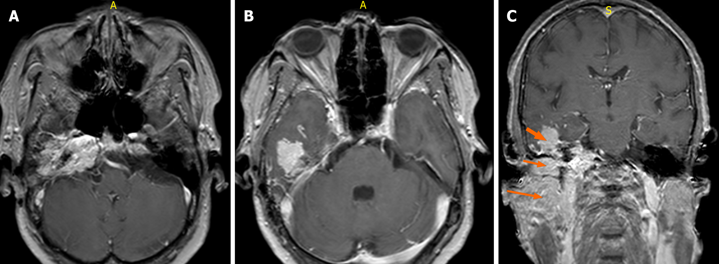
Figure 5 Contrast-enhanced magnetic resonance imaging features of the right jugular foramen mass.
A and B: Axial gadolinium-enhanced T1-weighted fast field echo (FFE) magnetic resonance imaging (repetition time 500-700 milliseconds, echo time 10-20 milliseconds, flip angle 20°-30°, slice thickness 3 mm) following intravenous administration of gadolinium-based contrast (0.1 mmol/kg) demonstrates avid enhancement of the lesion involving the right jugular foramen, middle ear cavity, and ipsilateral temporal lobe; C: Coronal T1-weighted FFE post-contrast image shows an intensely enhancing mass in the right jugular fossa with superolateral extension into the ipsilateral inferior temporal lobe (short thick arrow), inferior extension into the ipsilateral middle ear cavity (short thin arrow), and further spread into the masticator space (long arrow).
- Citation: Patel H, Okuna Y, Ujima W. Atypical jugulotympanic paraganglioma presentation, diagnostic challenges, and role of imaging: A case report. World J Clin Cases 2026; 14(13): 117852
- URL: https://www.wjgnet.com/2307-8960/full/v14/i13/117852.htm
- DOI: https://dx.doi.org/10.12998/wjcc.v14.i13.117852
