Copyright: ©Author(s) 2026.
World J Clin Cases. Apr 16, 2026; 14(11): 119699
Published online Apr 16, 2026. doi: 10.12998/wjcc.v14.i11.119699
Published online Apr 16, 2026. doi: 10.12998/wjcc.v14.i11.119699
Figure 1 Transthoracic echocardiography showing asymmetric septal hypertrophy and dynamic left ventricular outflow tract obstruction with a resting gradient of 90 mmHg and 130 mmHg on Valsalva maneuver.
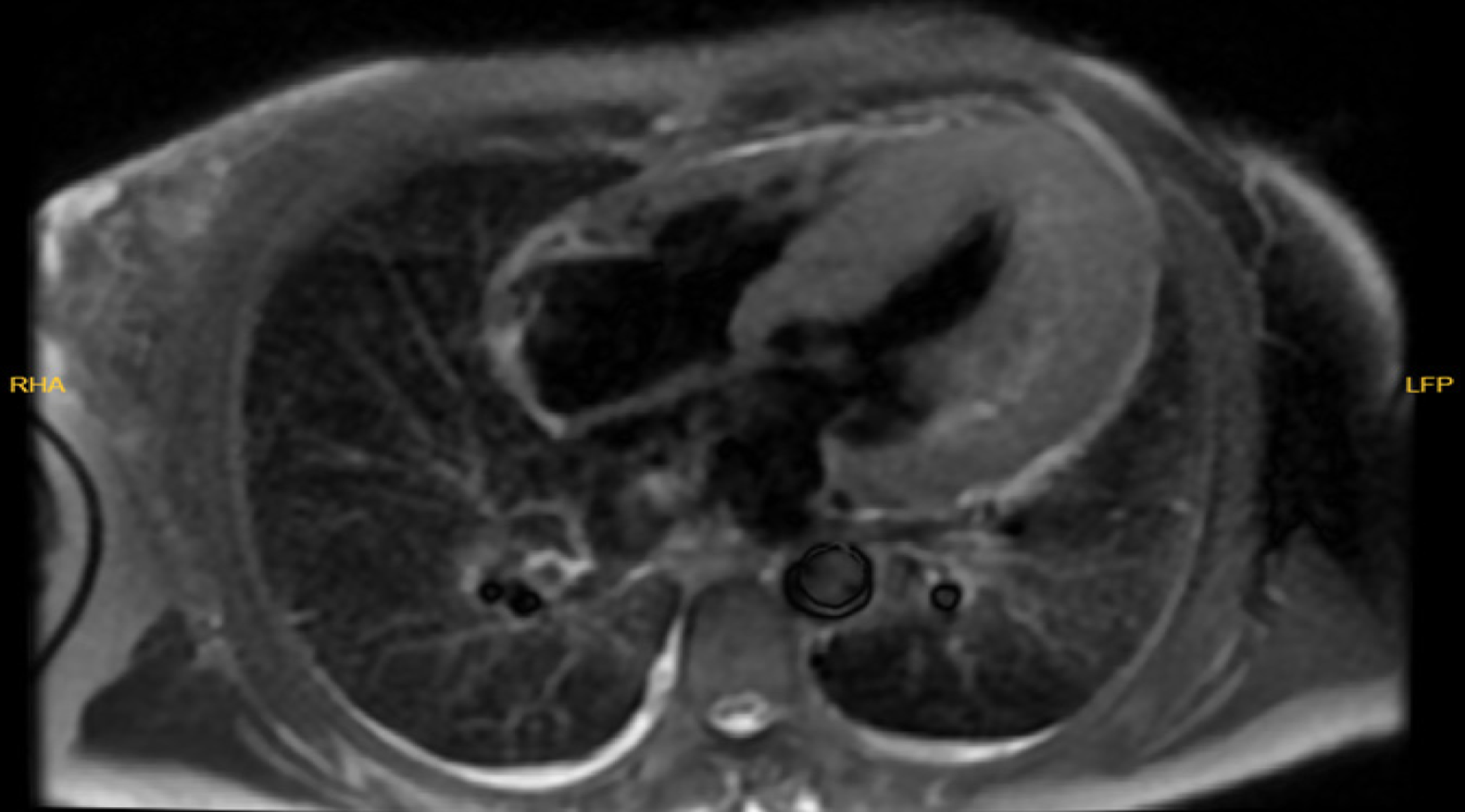
Figure 2 Cardiac magnetic resonance demonstrating diffuse asymmetric left ventricular hypertrophy with mid-wall late gadolinium en hancement consistent with non-ischemic fibrosis.
- Citation: Aydoğan E, Ülke S, Yumuşak P, Uygun İlikhan S, Karaahmetoğlu S. Hypertrophic cardiomyopathy in the context of primary hyperaldosteronism, Sjögren’s syndrome, and obstructive uropathy: A case report. World J Clin Cases 2026; 14(11): 119699
- URL: https://www.wjgnet.com/2307-8960/full/v14/i11/119699.htm
- DOI: https://dx.doi.org/10.12998/wjcc.v14.i11.119699
