Copyright: ©Author(s) 2026.
World J Clin Cases. Apr 16, 2026; 14(11): 119232
Published online Apr 16, 2026. doi: 10.12998/wjcc.v14.i11.119232
Published online Apr 16, 2026. doi: 10.12998/wjcc.v14.i11.119232
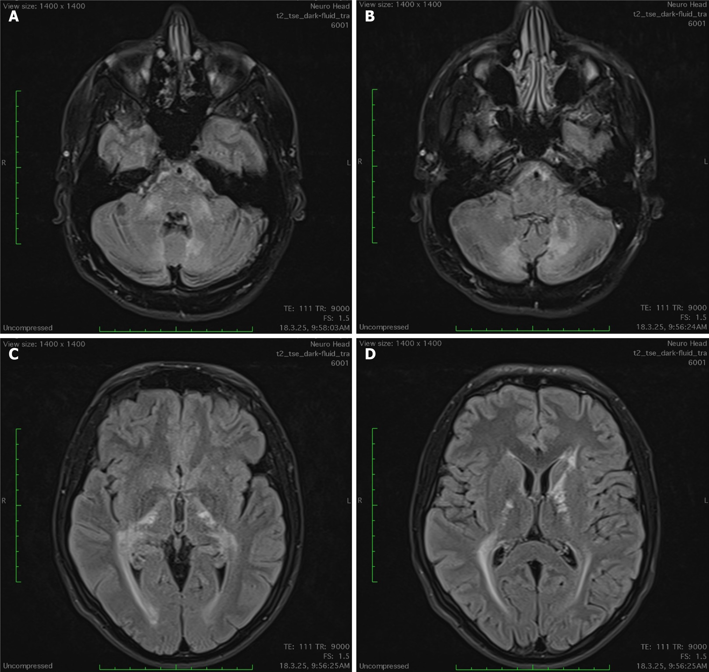
Figure 1 Brain magnetic resonance imaging showing bilateral nearly symmetrical white matter hyperintensities on T2-weighted, fluid-attenuated inversion recovery sequences.
A and B: Infratentorial images; C and D: Supratentorial images.
- Citation: Djamandi P, Gorica H, Kyriakou O, Xhukellari E, Rroji A, Vyshka G. Late-onset neurological manifestations of X-linked adrenoleukodystrophy in a male with childhood-onset Addison’s disease: A case report. World J Clin Cases 2026; 14(11): 119232
- URL: https://www.wjgnet.com/2307-8960/full/v14/i11/119232.htm
- DOI: https://dx.doi.org/10.12998/wjcc.v14.i11.119232
