Copyright: ©Author(s) 2026.
World J Clin Cases. Apr 6, 2026; 14(10): 118950
Published online Apr 6, 2026. doi: 10.12998/wjcc.v14.i10.118950
Published online Apr 6, 2026. doi: 10.12998/wjcc.v14.i10.118950
Figure 1 Surgical specimen showing extensive central (VI, VII) and right lateral (IIA, III, IV, VB) lymph node dissection (left) and the resected thyroid gland (right).
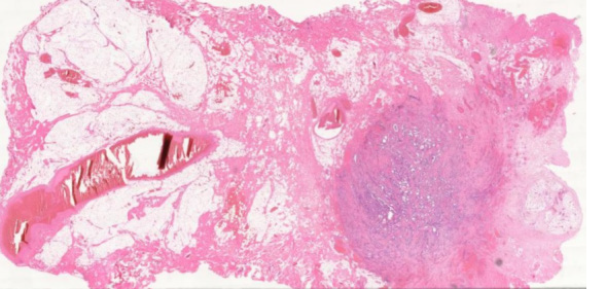
Figure 2 Histopathology specimen of papillary thyroid carcinoma of the pyramidal lobe.
- Citation: Tziona EE, Emmanouilidou A, Stouras I, Omar CT, Koloka M, Savva A, Dimitrakopoulou K, Iosifidis G, Pazaitou-Panayiotou K, Michalopoulos N. Thyroid carcinoma of the pyramidal lobe: A narrative review of reported cases. World J Clin Cases 2026; 14(10): 118950
- URL: https://www.wjgnet.com/2307-8960/full/v14/i10/118950.htm
- DOI: https://dx.doi.org/10.12998/wjcc.v14.i10.118950
