Copyright
©The Author(s) 2025.
World J Clin Cases. Dec 26, 2025; 13(36): 114472
Published online Dec 26, 2025. doi: 10.12998/wjcc.v13.i36.114472
Published online Dec 26, 2025. doi: 10.12998/wjcc.v13.i36.114472
Figure 1 Bedside echocardiography demonstrating giant bilateral coronary artery aneurysms (indicated by orange arrows).
A: Right coronary artery aneurysm measuring 8.1 mm (Z-score = +19) with evidence of intraluminal thrombus; B: Left main coronary artery measuring 1.6 mm in diameter, and left anterior descending artery aneurysm measuring 7.5 mm × 10.3 mm (Z-score = +15).
Figure 2 The electrocardiography findings on admission showed sinus tachycardia with ST-segment depression in DI and aVL leads.
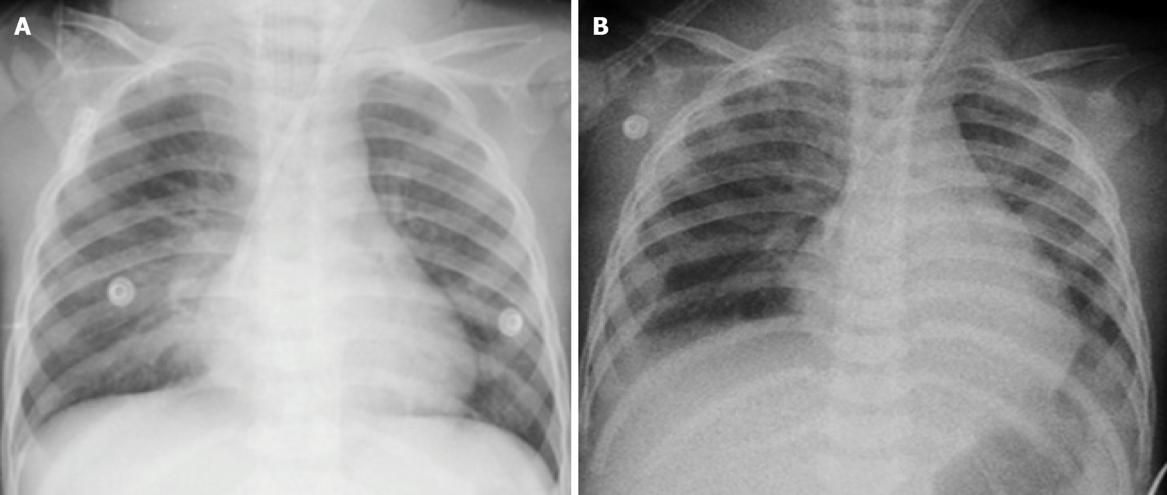
Figure 3 Chest X-ray findings.
A: Acute pulmonary edema at admission; B: Significant improvement after 5 days of mechanical ventilation, combined continuous renal replacement therapy and plasma exchange.
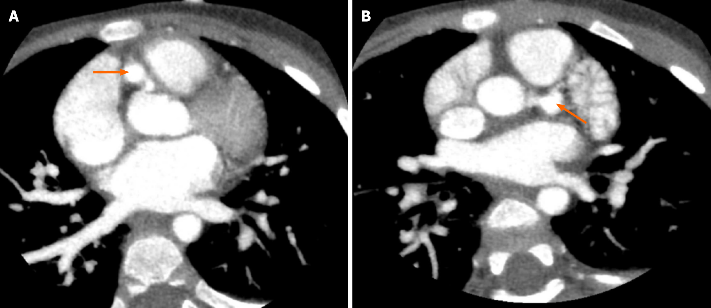
Figure 4 Contrast-enhanced computed tomography scans of the coronary arteries, with orange arrows indicating the dilated coronary artery.
A: Right coronary artery; B: Left coronary artery.
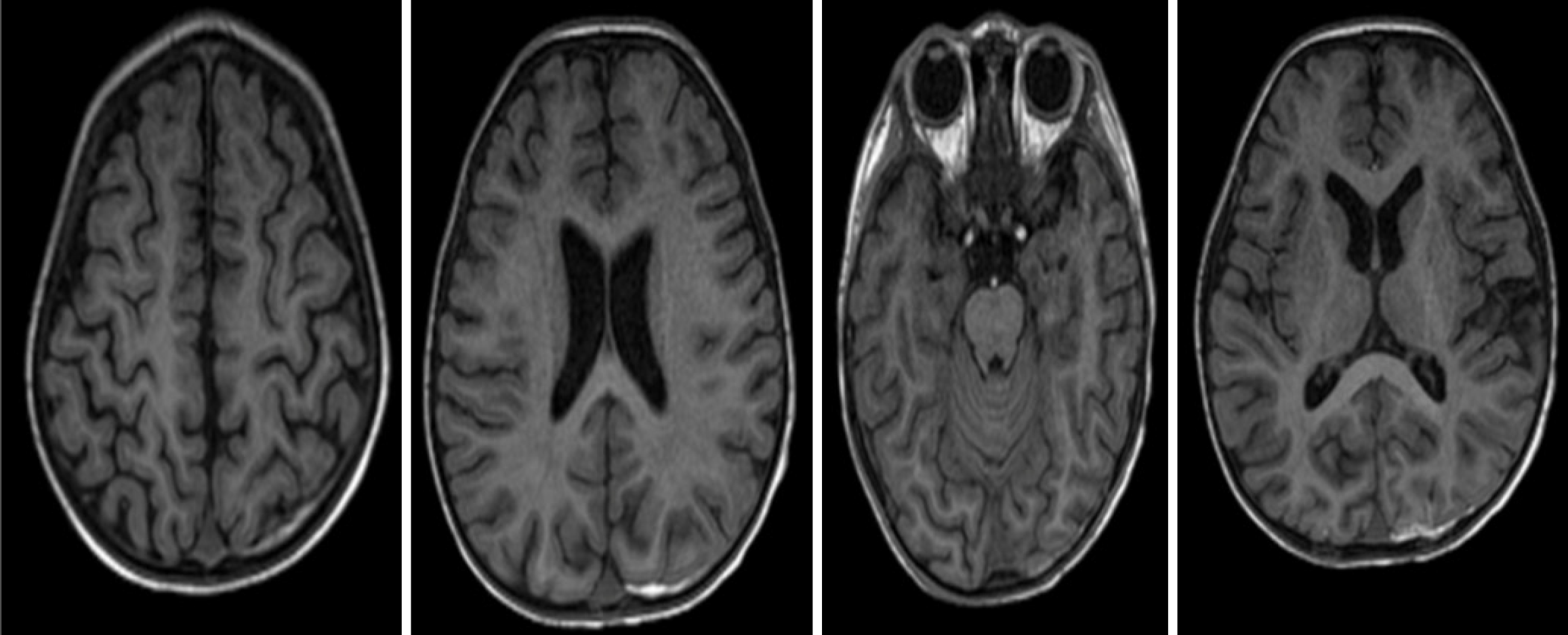
Figure 5 Brain magnetic resonance imaging with contrast showing no evidence of brain injury.
- Citation: Truong DMT, Bui LT, Nguyen TK, Pham HT, Vo BQ, Nguyen TT. Cardiac arrest as initial presentation of Kawasaki disease with giant coronary aneurysms: A case report and review of literature. World J Clin Cases 2025; 13(36): 114472
- URL: https://www.wjgnet.com/2307-8960/full/v13/i36/114472.htm
- DOI: https://dx.doi.org/10.12998/wjcc.v13.i36.114472
