Copyright
©The Author(s) 2025.
World J Clin Cases. Dec 6, 2025; 13(34): 111668
Published online Dec 6, 2025. doi: 10.12998/wjcc.v13.i34.111668
Published online Dec 6, 2025. doi: 10.12998/wjcc.v13.i34.111668
Figure 1 Immunohistochemistry.
LAMN: Low-grade appendiceal mucinous neoplasm; CK: Cytokeratin; MLH: MutL homolog; MSH: MutS homolog; PMS: Postmeiotic segregation increased; HAMN: High-grade appendiceal mucinous neoplasm.
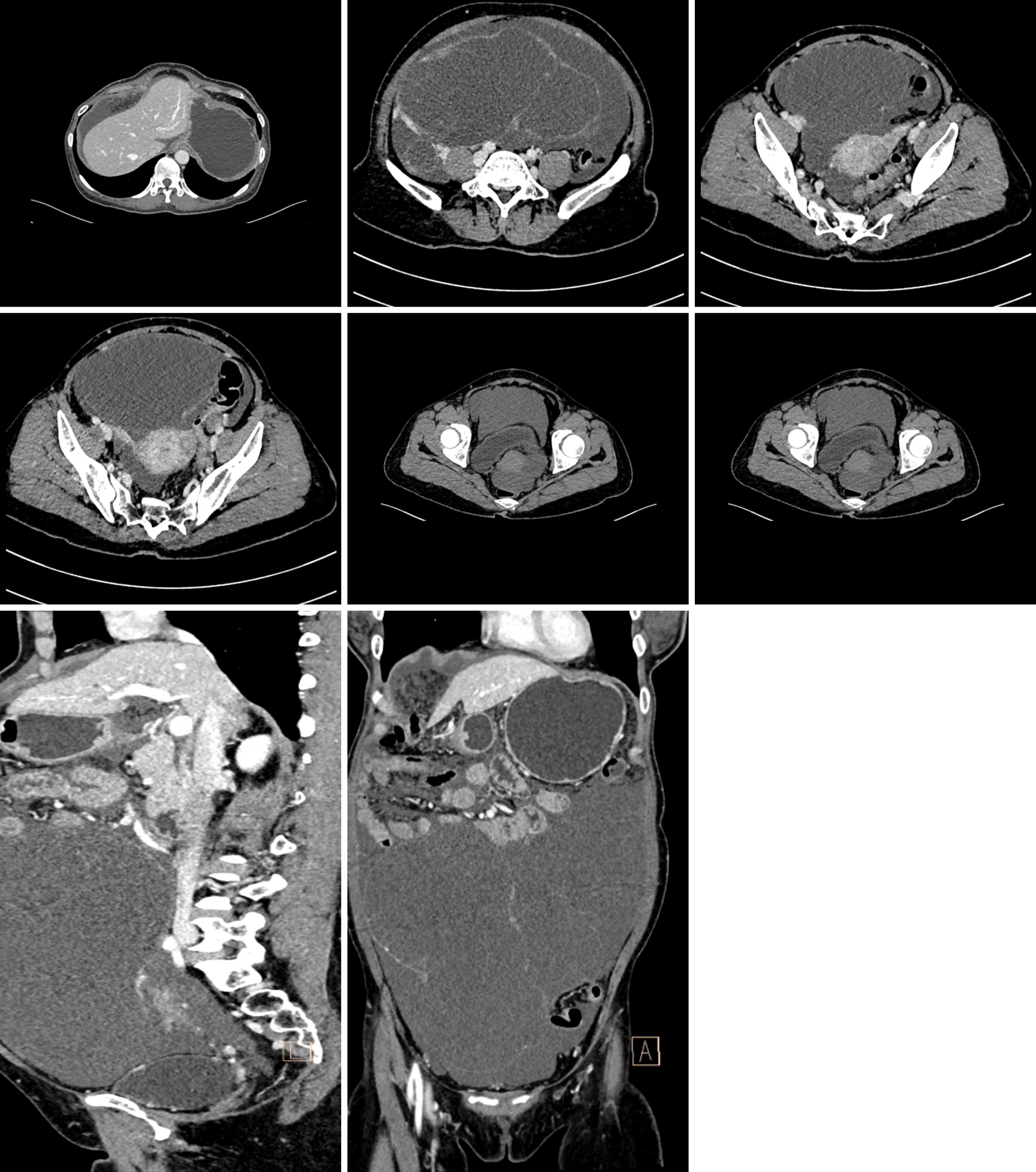
Figure 2 Computed tomography scan of abdomen with contrast shows the lesion before treatment.
Figure 3 Magnetic resonance imaging shows the lesion before treatment.
T2W1: T2 weighted imaging; T1W1: T1 weighted imaging; T1W1 + C: T1 weighted imaging with contrast.
- Citation: Deng X, Lv LY, Jiang SX, Huang JX, Chen XY, Zhang MF, Qi J, Yang M. Low-grade appendiceal mucinous neoplasm: A case report. World J Clin Cases 2025; 13(34): 111668
- URL: https://www.wjgnet.com/2307-8960/full/v13/i34/111668.htm
- DOI: https://dx.doi.org/10.12998/wjcc.v13.i34.111668
