Copyright
©The Author(s) 2025.
World J Clin Cases. Dec 6, 2025; 13(34): 111438
Published online Dec 6, 2025. doi: 10.12998/wjcc.v13.i34.111438
Published online Dec 6, 2025. doi: 10.12998/wjcc.v13.i34.111438
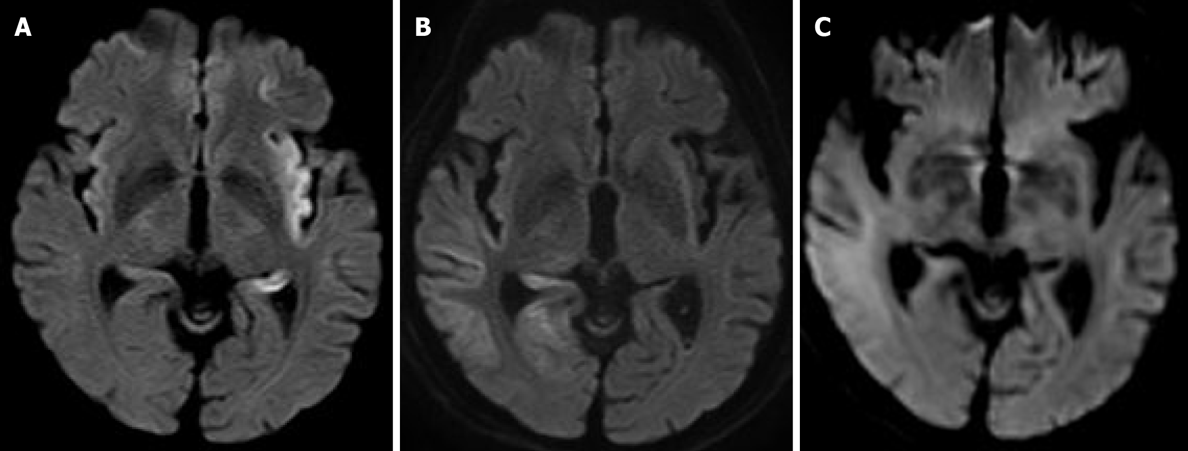
Figure 1 Diffusion-weighted image, magnetic resonance imaging.
A: On hospital day 3, a high-intensity area between the left temporal lobe and insular cortex was confirmed; B: On hospital day 48, a high-intensity area around the right temporal lobe was newly confirmed; C: On hospital day 117, no new recurrence was confirmed.
Figure 2 Clinical course of the patient.
GCS: Glasgow Coma Scale; MRI: Magnetic resonance imaging; CSF: Cerebrospinal fluid; HSV: Herpes simplex virus; DNA: Deoxyribonucleic acid.
- Citation: Usuda D, Furukawa D, Imaizumi R, Ono R, Kaneoka Y, Nakajima E, Kato M, Sugawara Y, Shimizu R, Inami T, Kawai K, Matsubara S, Tanaka R, Suzuki M, Shimozawa S, Hotchi Y, Osugi I, Katou R, Ito S, Mishima K, Kondo A, Mizuno K, Takami H, Komatsu T, Nomura T, Sugita M. Recurrence of acyclovir-resistant herpes encephalitis in an immunocompromised patient: A case report. World J Clin Cases 2025; 13(34): 111438
- URL: https://www.wjgnet.com/2307-8960/full/v13/i34/111438.htm
- DOI: https://dx.doi.org/10.12998/wjcc.v13.i34.111438
