Copyright
©The Author(s) 2025.
World J Clin Cases. Oct 26, 2025; 13(30): 108934
Published online Oct 26, 2025. doi: 10.12998/wjcc.v13.i30.108934
Published online Oct 26, 2025. doi: 10.12998/wjcc.v13.i30.108934
Figure 1
Literature search algorithm.
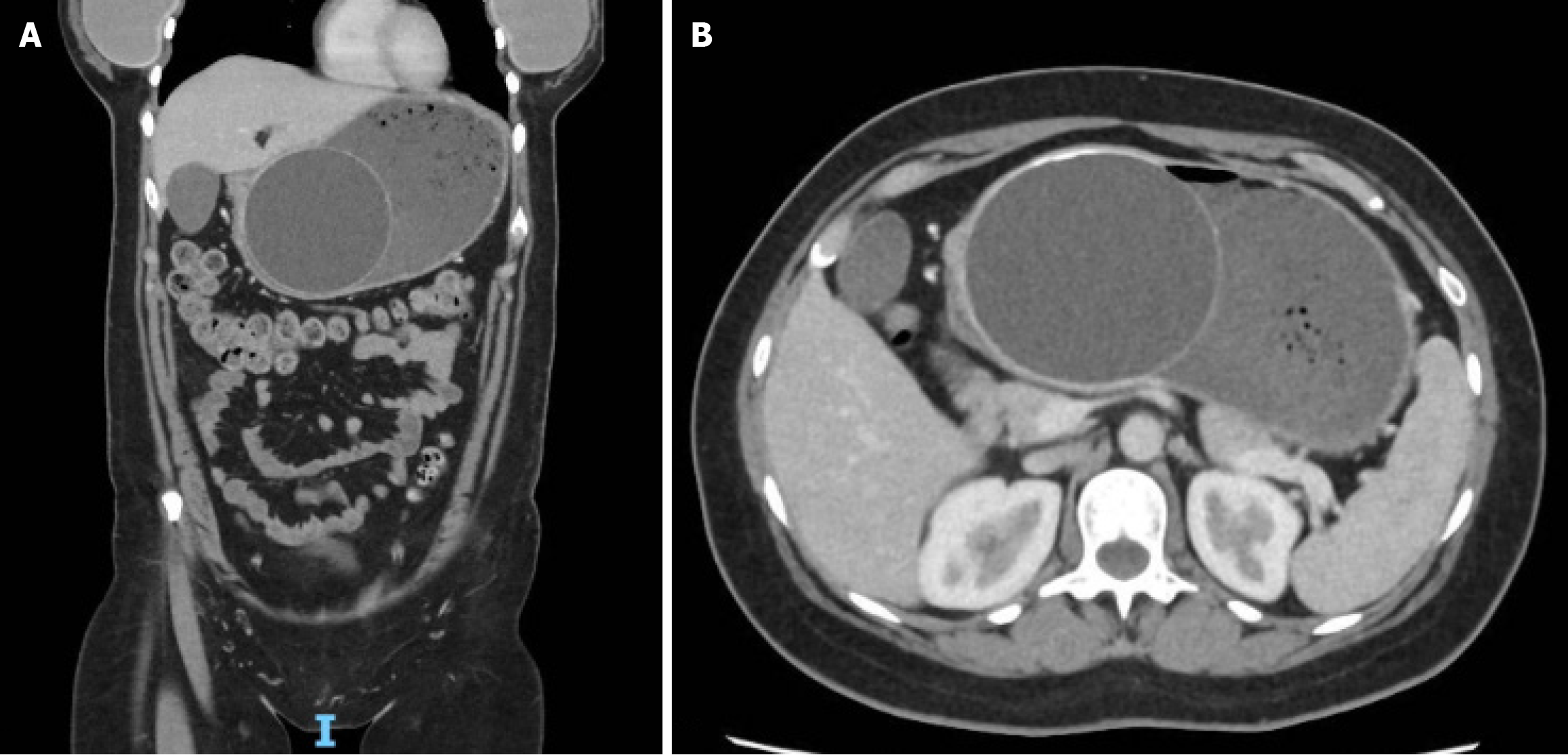
Figure 2 Imaging examinations.
A, B: Coronal and axial computer tomography abdomen demonstrating Silimed intragastric balloon in antrum and prepyloric region of the stomach with associated proximal dilatation and gastric contents.
Figure 3 Endoscopic images.
A: Silimed intragastric balloon lodged in gastric antrum and pre-pyloric region with subsequent food bezoar proximally; B: Endoscopic image post injector needle insertion and fenestration of intragastric balloon with subsequent decompression.
- Citation: O’Neill RS, Goh LH, Lee C, Jia K, Feller R. Endoscopic management of intragastric balloon related gastric outlet obstruction: A case report and review of literature. World J Clin Cases 2025; 13(30): 108934
- URL: https://www.wjgnet.com/2307-8960/full/v13/i30/108934.htm
- DOI: https://dx.doi.org/10.12998/wjcc.v13.i30.108934
