Copyright
©The Author(s) 2025.
World J Crit Care Med. Dec 9, 2025; 14(4): 106485
Published online Dec 9, 2025. doi: 10.5492/wjccm.v14.i4.106485
Published online Dec 9, 2025. doi: 10.5492/wjccm.v14.i4.106485
Figure 1 Electrocardiogram on admission.
Paced rhythm due to complete atrioventricular block.
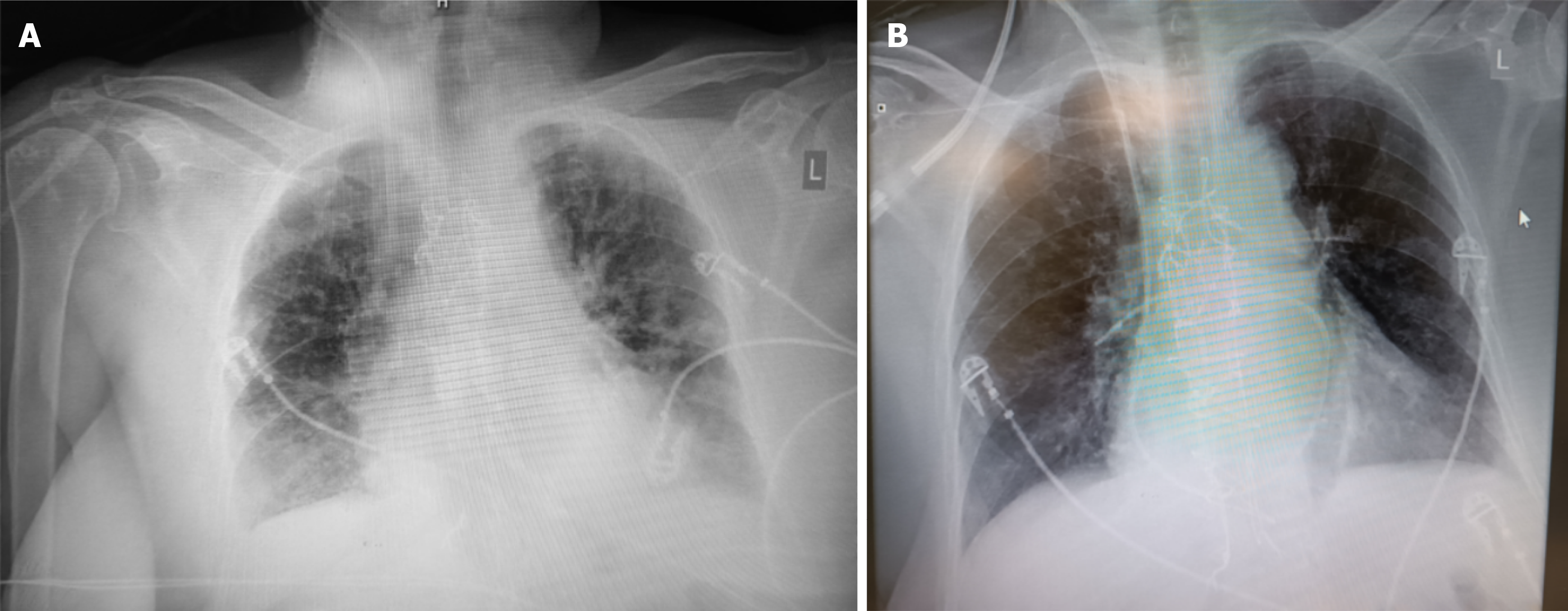
Figure 2 Onset of hypoxemia.
A: Chest X-ray demonstrates pulmonary congestion; B: Resolution of pulmonary congestion on chest X-ray following diuresis and vasopressin.
Figure 3 Hypertrophic left ventricle.
A: Interventricular septum dimension in end-diastole = 1.4 cm; B: Plethoric inferior vena cava; C: Systolic anterior motion of mitral valve with severe mitral regurgitation and left ventricular outflow tract obstruction.
Figure 4 Five-chamber view on transthoracic echocardiographic.
A: Left ventricular outflow tract peak gradient 71 mmHg (during noradrenaline infusion); B: Resolution of left ventricular outflow tract gradient after vasopressin infusion.
- Citation: Elaiopoulos D, Dimitriadis F, Tzatzaki E, Chronaki M, Kolonia K, Antonopoulos M, Konstantinou G, Kogerakis N, Dimopoulos S. Vasopressin role in hypertrophic obstructive cardiomyopathy post-cardiac surgery: A case report. World J Crit Care Med 2025; 14(4): 106485
- URL: https://www.wjgnet.com/2220-3141/full/v14/i4/106485.htm
- DOI: https://dx.doi.org/10.5492/wjccm.v14.i4.106485
