Copyright
©The Author(s) 2025.
World J Gastrointest Pathophysiol. Dec 22, 2025; 16(4): 112536
Published online Dec 22, 2025. doi: 10.4291/wjgp.v16.i4.112536
Published online Dec 22, 2025. doi: 10.4291/wjgp.v16.i4.112536
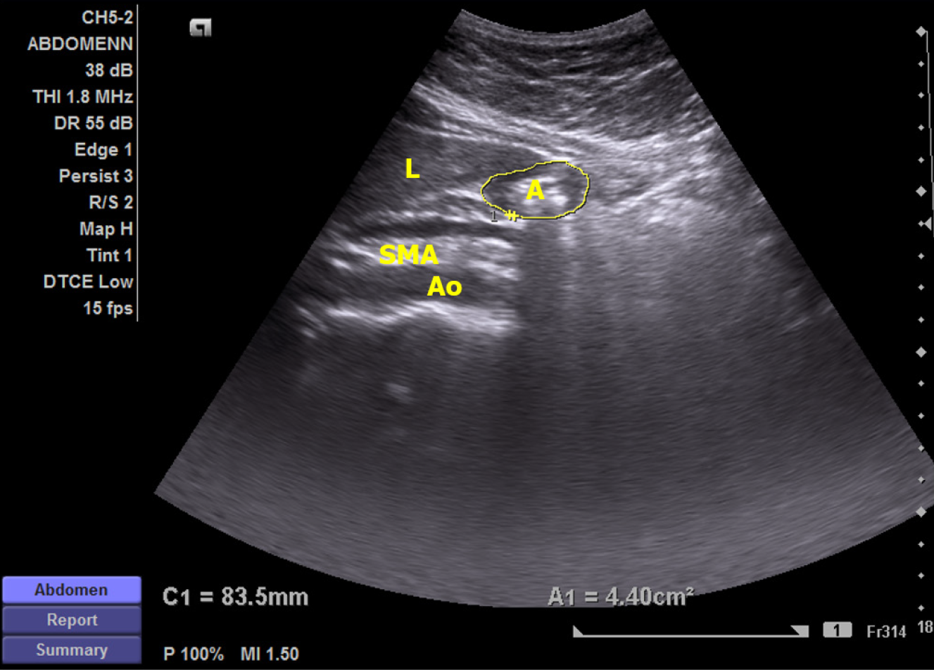
Figure 1 Ultrasound view demonstrating the anatomical plane for antral cross-sectional area measurement.
A: Antrum; Ao: Aorta; L: Left lobe of the liver; SMA: Superior mesenteric artery.
- Citation: Basnayake PI, Kottahachchi D, Chandran DS, Medagoda K, Devanarayana NM. Gastric motility and its association with adiposity and metabolic health in a cohort of Sri Lankan office workers. World J Gastrointest Pathophysiol 2025; 16(4): 112536
- URL: https://www.wjgnet.com/2150-5330/full/v16/i4/112536.htm
- DOI: https://dx.doi.org/10.4291/wjgp.v16.i4.112536
