Copyright: ©Author(s) 2026.
World J Radiol. Apr 28, 2026; 18(4): 119347
Published online Apr 28, 2026. doi: 10.4329/wjr.v18.i4.119347
Published online Apr 28, 2026. doi: 10.4329/wjr.v18.i4.119347
Figure 1 A 71-year-old woman with right breast invasive ductal carcinoma-no special type, luminal A breast cancer.
A: Axial turbo inversion recovery magnitude image shows no edema; B: Axial subtraction images.
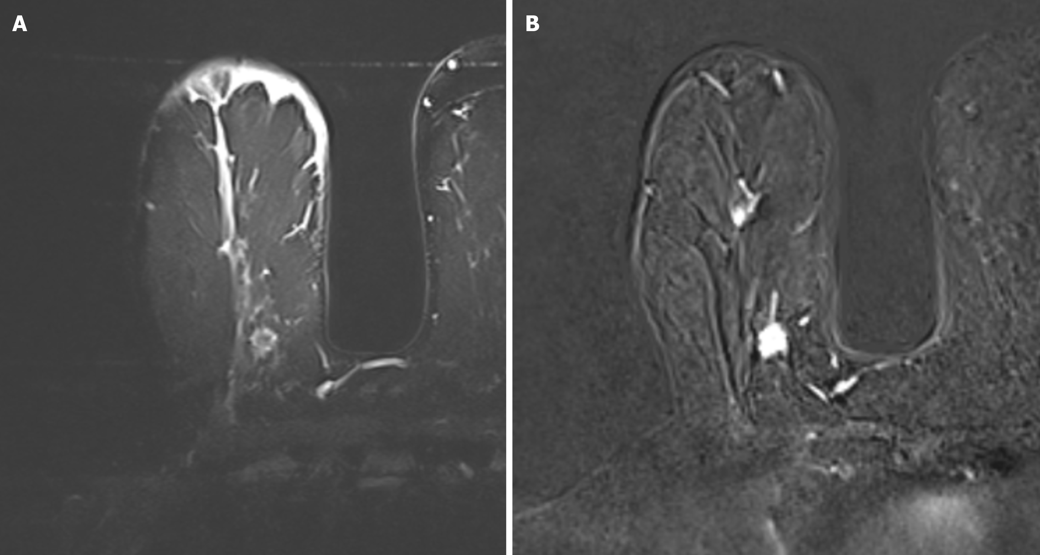
Figure 2 A 56-year-old woman with right breast invasive ductal carcinoma-no special type, triple-negative breast cancer.
A: Axial turbo inversion recovery magnitude image shows peritumoral edema without contrast enhancement on; B: Axial subtraction images.
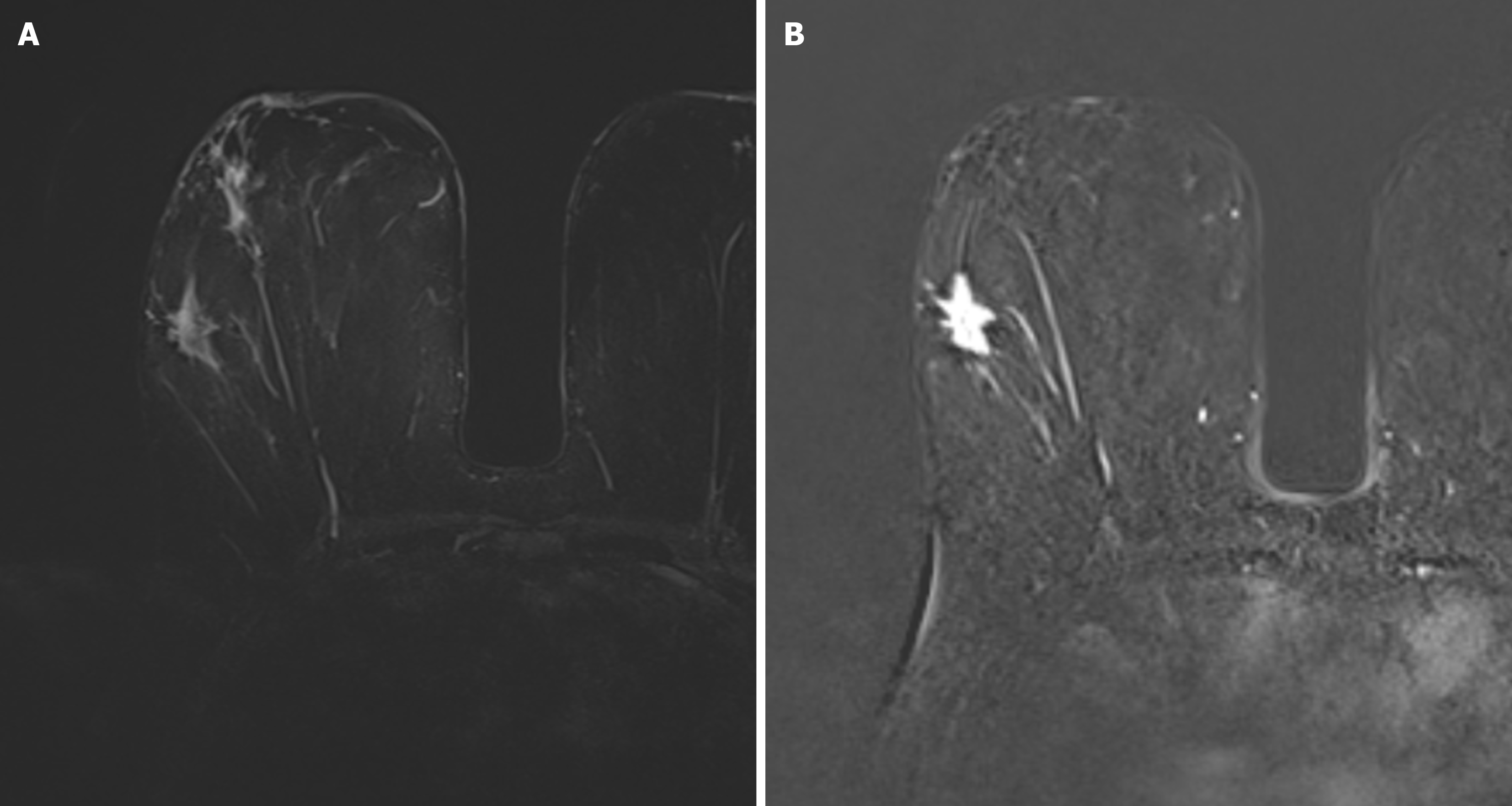
Figure 3 A 57-year-old woman with right breast invasive ductal carcinoma-no special type, triple-negative breast cancer.
A: Axial turbo inversion recovery magnitude image shows prepectoral edema without contrast enhancement on; B: Axial dynamic fat-suppressed contrast-enhanced 3D T1-WI.
Figure 4 A 36-year-old woman with right breast invasive ductal carcinoma-no special type, luminal B, human epidermal growth factor receptor 2-positive breast cancer.
A: Axial turbo inversion recovery magnitude image shows diffuse subcutaneous edema without contrast enhancement on; B: Axial subtraction images.
Figure 5 Histological types of breast cancer vs presence or absence of edema.
BC: Breast cancer.
- Citation: Vasilska A, Tsvetkova S, Doykova K, Chervenkov L, Velikova T, Vasilska M, Sariyan S. Magnetic resonance imaging as a non-invasive breast cancer tool - the relevance of breast edema score: A retrospective study. World J Radiol 2026; 18(4): 119347
- URL: https://www.wjgnet.com/1949-8470/full/v18/i4/119347.htm
- DOI: https://dx.doi.org/10.4329/wjr.v18.i4.119347
