BPG is committed to discovery and dissemination of knowledge
Minireviews Open Access
Copyright: ©Author(s) 2026. This article is an open access article distributed under the terms and conditions of the Creative Commons Attribution-NonCommercial (CC BY-NC 4.0) license. No commercial re-use. See permissions. Published by Baishideng Publishing Group Inc.
World J Radiol. Apr 28, 2026; 18(4): 119319
Published online Apr 28, 2026. doi: 10.4329/wjr.v18.i4.119319
Role of interventional radiology in the management of hepatic hydatid disease
Divij Agarwal, Sai Krishna Gadwal, Chandan J Das, Department of Radiodiagnosis and Interventional Radiology, All India Institute of Medical Sciences, New Delhi 110029, Delhi, India
Yashant Aswani, Division of Body Imaging, Department of Radiology, University of Iowa Health Care, Iowa City, IA 52242, United States
ORCID number: Divij Agarwal (0009-0007-2565-1239); Sai Krishna Gadwal (0009-0007-5903-8184); Yashant Aswani (0000-0001-6994-8826); Chandan J Das (0000-0001-6505-5940).
Author contributions: Agarwal D and Gadwal SK prepared figures and schematic diagrams; Agarwal D wrote the manuscript; Aswani Y corrected the manuscript; Das CJ conceptualized the manuscript, corrected the manuscript, and prepared the figures. All authors reviewed and approved the manuscript.
Conflict-of-interest statement: All the authors report no relevant conflicts of interest for this article.
Corresponding author: Chandan J Das, MD, PhD, Full Professor, Department of Radiodiagnosis and Interventional Radiology, All India Institute of Medical Sciences, Ansari Nagar, New Delhi 110029, Delhi, India. dascj@yahoo.com
Received: January 26, 2026
Revised: February 6, 2026
Accepted: March 13, 2026
Published online: April 28, 2026
Processing time: 90 Days and 8.4 Hours

Abstract

Hydatid disease, caused by the larval stage of Echinococcus granulosus, is a significant public health problem in endemic regions and worldwide. The liver is the most frequently affected organ, followed by the lungs, in adults. Hepatic hydatid cysts (HHC) may remain asymptomatic for years and are often incidentally detected on imaging. Radiological evaluation plays a pivotal role in the diagnosis and classification of hydatid cysts into World Health Organization types (cystic lesion and cystic echinococcus 1 through cystic echinococcus 5). Further, imaging also helps plan appropriate management and assists in image-guided percutaneous interventions when appropriate. Treatment strategies for HHC include anthelmintic therapy, surgery, percutaneous interventions, and a “watch and wait” approach. With advances in interventional radiology, minimally invasive percutaneous techniques have emerged as effective and safer alternatives to surgery in select cases. Procedures such as puncture, aspiration, injection, and re-aspiration, standard catheterization technique, modified catheterization technique, percutaneous evacuation, and Örmeci technique have demonstrated high cure rates, with reduced morbidity and mortality. Surgical management remains reserved for cysts that are ruptured or show communication with biliary ducts, and for cysts located in challenging anatomical locations. This review discusses the role of interventional radiology in HHC, highlighting the indications, techniques, and recent advancements in percutaneous management strategies.

Key Words: Hepatic hydatid cyst; Cystic echinococcosis; Puncture, aspiration, injection, and re-aspiration; Modified catheterization technique; Standard catheterization technique; Percutaneous evacuation; Scolicidal agent; Scolex viability test; Cysto-biliary communication; Cysto-biliary fistula

Core Tip: The various interventional radiology treatment options for hepatic hydatid cyst include puncture, aspiration, injection, and re-aspiration, standard catheterization technique, modified catheterization technique, percutaneous evacuation, and Örmeci technique. These interventions offer several advantages over traditional open surgery, including shorter hospital stays, lower complication rates, and shorter recovery times. Puncture, aspiration, injection, and re-aspiration and standard catheterization are primarily indicated for cystic echinococcus 1 (CE1) and CE3a cysts. Modified catheterization technique and percutaneous evacuation are primarily indicated for CE2 and CE3b cysts.



INTRODUCTION

Hydatid disease is a common zoonosis with a worldwide distribution, being a major public health problem in endemic areas. It is a parasitic infection caused by tapeworms (cestodes) of the genus Echinococcus. Humans get infected by consuming food or water contaminated with parasite eggs. Humans are accidental intermediate hosts and are a dead-end in the life cycle. The most commonly involved organ is the liver (> 75%) (since it is the first place in the dissemination route of the oncosphere passing through the portal circulation[1]), followed by the lungs (10%-30%)[2]. The most common implicated species is Echinococcus granulosus (dog tapeworm), which produces cystic echinococcosis, which will be primarily discussed in this review. Echinococcus multilocularis (fox tapeworm), endemic to western Europe, is less common and causes alveolar echinococcosis, which is more aggressive and invasive in nature[3].

Patients with hepatic hydatid cysts (HHC) may remain asymptomatic for many years and may be diagnosed incidentally. The diagnosis of hydatid cysts is supplemented by clinical and laboratory parameters; however is primarily based on imaging findings (Table 1). The various treatment options available for HHC include anthelmintic therapy, surgery, percutaneous interventions, and “watch and wait” approach[4]. This review article discusses the role of interventional radiology in the management of HHC, with a detailed description of the various techniques used to manage specific World Health Organization (WHO) types of HHC.

Table 1 World Health Organization classification of hydatid cyst, highlighting its imaging features[12,13].
WHO classification
Stage
Features
CLActiveUnilocular cystic lesion without a well-defined wall (double wall sign is not seen); no internal debris or septations (without evident signs of non-parasitic aetiology); seen during the initial phase of hydatid development; requires diagnostic tests to differentiate from other cystic lesions
CE1ActiveUnilocular cystic lesion with a well-defined wall; fine internal echoes/debris may be seen representing hydatid sand (pathognomonic): “Snowflake sign”; “double wall sign” (pathognomonic): Two echogenic lines seen representing the parasite larval cyst and the host-derived fibrous cyst capsule, separated by minimal hypoechoic fluid. However, may not always be seen, and care should be taken not to dismiss a CE1 cyst on the basis of not seeing this sign; internal septae/membranes not seen
CE2ActiveMultivesicular cystic structure with daughter vesicles; rosette/Honey-comb pattern: Daughter cysts fill the entire mother cyst; spoke-wheel pattern: Daughter vesicles arranged peripherally with minimal central high-density matrix
CE3aTransitionalDetachment of endocyst from pericyst: Can be due to decreasing intracystic pressure, degeneration, host response, trauma, or response to therapy: Produces serpentine linear floating membranes: “Water-lily sign” (highly specific sign); detachment may be partial or complete
CE3bTransitionalFew daughter cysts in a predominantly avascular solid matrix: “Swiss cheese” because of significant solid component it can mimic malignancy
CE4InactiveHeteroechoic solid avascular mass with no daughter cysts: Pseudotumour/ball-of-wool/canalicular/cerebroid appearance; due to solid nature: Mimics malignancy (requires contrast-enhanced CT/MRI: Showing lack of enhancement to differentiate from malignancy)
CE5InactiveThick, densely calcified walls (complete or near complete); partial wall calcification does not always indicate parasite death; however, densely calcified cysts may be assumed to be inactive; wall calcification is most extensively found in, but not limited to CE4 and CE5; heterogeneous avascular solid content (when acoustic shadow allows visualization)
Life cycle

Canids, particularly dogs and occasionally other carnivores such as foxes, serve as the definitive hosts of Echinococcus granulosus, harbouring the adult tapeworms in their proximal small bowel. Gravid proglottids release eggs that are excreted in the feces of the definitive host, contaminating food and water consumed by intermediate hosts such as sheep, goats, cattle, and, accidentally, humans. The parasite eggs, which can remain viable for several weeks in the environment, lose their outer chitinous layer after ingestion and release the embryo (oncospheres) in the duodenum. These penetrate the intestinal wall and enter the portal circulation, where they are carried to the liver[3] or, less frequently, to the lungs and other organs via hematogenous spread. Within these tissues, the oncospheres develop into hydatid cysts. When dogs or other canids consume the infected viscera of intermediate hosts, the protoscolices within the cysts evaginate and mature into adult tapeworms in the small intestine, thus completing the life cycle (Figure 1). Humans serve as accidental or aberrant intermediate hosts and represent a dead-end for the parasite[5].

Figure 1
Figure 1 Life cycle of Echinococcus granulosus. Public domain image adapted from the Centers for Disease Control and Prevention. Available from: https://www.cdc.gov/dpdx/echinococcosis/index.html.
Hydatid cyst structure

A hydatid cyst consists of three distinct layers (Figure 2) from outer to inner: Pericyst, laminated membrane (ectocyst), and endocyst (germinal layer), with the outermost layer representing host tissue, and the inner two representing parasite tissue. The outermost pericyst is a reactive adventitial layer composed of dense fibrous and granulation tissue, representing the host’s response to the parasite[6]. It protects the parasite from the inflammatory and immune response of the host. Beneath it lies the laminated membrane, a specialized acellular layer (2 mm thick) composed of extracellular matrix produced by the germinal layer, which is a semipermeable membrane, facilitating the diffusion of nutrients but is impermeable to bacteria. Disruption of this layer predisposes to secondary infection of the hydatid cyst. The innermost endocyst or germinal layer is a thin translucent membrane responsible for the biological activity of the cyst and secretes hydatid fluid. Its outpouchings produce brood capsules (daughter vesicles), which are circular structures containing numerous protoscolices and scolices (infectious larval forms that develop into adult tapeworms in the definitive host). Initially, these brood capsules are connected to the parental hydatid cyst via a stalk, and later get detached. Detached brood capsules and free protoscolices constitute hydatid sand, which can be seen floating or settled down in the clear, antigenic cyst fluid[7].

Figure 2
Figure 2  Schematic diagram depicting the structure of a hydatid cyst.

The thickness of these layers depends on the tissue in which the cyst is located, being thickest in the liver[7]. Integrity of the germinal layer determines hydatid cyst viability and pathogenicity, and therapeutic strategies primarily aim to destroy the scolices residing within this germinal layer to prevent recurrence and further infection. Knowledge of the structure of the hydatid cyst is vital in understanding the natural history of the disease and planning appropriate treatment.

WHO classification

Gharbi et al[8] proposed a classification in 1981, which was superseded by the 2003 World Health Organization-Informal Working Group on Echinococcosis (WHO-IWGE) classification[9]. It was developed for the liver; however, it can be applied to hydatid lesions in all organs (except osseous hydatid, as it has an infiltrative morphology)[10]. This is the most widely used classification system currently, and is based on ultrasound (US) findings; however, it can be extrapolated to computed tomography (CT) and magnetic resonance imaging (MRI)[3]. This classification is essential in determining which patients will benefit from percutaneous treatment, with an emphasis on cyst type-specific treatment. The WHO classification categorizes hydatid cysts into cystic lesions (CL) and cystic echinococci (CE): CE1 to CE5. CL, CE1, and CE2 are active, with CE3 being transitional, and CE4 and CE5 are inactive cyst types[11-13]. This classification is described in detail in Table 1.

Treatment

Depending upon the location, size, cyst type, complications, and symptoms, the various treatment options of HHC include anthelmintic therapy, surgery, percutaneous interventions, and “watch and wait” (Figure 3). The cyst type-specific treatment (according to the WHO classification) relates to HHC and does not necessarily apply in other locations[10].

Figure 3
Figure 3 Overview of the management recommendations for the various cyst types of hepatic hydatid cyst according to the World Health Organization classification. In case of patients with multiple cysts with different cyst types, treatment has to be individualized. CE: Cystic echinococcus; PAIR: Puncture-aspiration-injection-reaspiration; S-CAT: Standard catheterization technique; MoCAT: Modified catheterization technique.

Anthelmintic therapy: Anthelmintic therapy comprises benzimidazoles (albendazole, mebendazole). This is used for uncomplicated HHC types CE1 or CE3a < 5 cm[10]; and continuous treatment should be given for 3-6 months[11]. It can also be used initially for uncomplicated HHC types CE2 or CE3b < 5 cm (response should be closely monitored and escalated to surgery in the event of treatment failure)[10]. Anthelmintic drug therapy usage is contraindicated in HHC with risk of rupture, and in the first trimester of pregnancy[9]. Follow-up imaging at 3-6 months and thereafter once a year for a minimum of 5 consecutive years after inactivation may help evaluate the success of treatment and monitor for any recurrence. Complete response can only be assessed 12 months after the completion of treatment[10].

Pharmacotherapy can also be used as palliation in patients who are poor surgical candidates due to poor general health or extensive HHC. While performing surgery or percutaneous interventions, drug therapy should be started 1 day prior to the procedure, and continued until 1 month post-procedure[10]. This helps to reduce the cyst pressure and decrease the chances of intra-procedural spillage and secondary development of peritoneal hydatid cysts[14]. Anthelmintic therapy is less effective when used alone without percutaneous interventions[15].

Surgery: The aim of surgical treatment is to remove the live germinal layer responsible for hydatid growth and biological activity[15]. However, surgery has a much higher morbidity than percutaneous interventions[16]. Surgical procedures for HHC can be divided into radical surgery (closed method), including hepatic resection or total cystectomy, and non-radical conservative surgery (open method), including partial cystectomy (Table 2)[17-21]. Surgery is preferred for uncomplicated HHC type 2 or 3b > 5 cm[10], complicated HHC (e.g., cysto-biliary communication, ruptured HHC, or HHC compressing vital structures such as inferior vena cava/hepatic veins), and large superficial HHC (at risk of spontaneous/traumatic rupture)[1]. Laparoscopy is favoured for peripheral, superficial HHC, especially in pediatric cases, while open surgery should be chosen when a cyst is deep or is a complicated HHC[10]. The choice of surgical method also depends on the surgeon’s expertise and available infrastructure.

Table 2 Comparison between radical and non-radical surgical procedures.

Radical surgery (closed method): Hepatic resection and total cystectomy
Non-radical conservative surgery (open method): Partial cystectomy
Ref.Baimakhanov et al[17], 2021; Deo et al[18], 2020; Farhat et al[19], 2022; Akbulut et al[20], 2010; Stojkovic et al[21], 2016
What is resectedThe entire parasitic larval cyst and the host-derived fibrous capsule are removedThe entire parasitic larval cyst and only a part of the host-derived fibrous capsule are removed
Difficulty of surgeryMore challenging Easier
Intraoperative opening of the cystNot opened, so lower risk of spillage and secondary hydatidosisOpened, so risk of spillage and secondary hydatidosis
Perioperative albendazole prophylaxisCan be theoretically stopped immediately after surgeryEssential to be continued after surgery
Long-term follow-up for secondary echinococcosisTheoretically not requiredEssential
Postoperative biliary leakage/biliomaLess commonMore common
BleedingMore commonLess (as the host-derived posterior segment of the fibrous capsule that is intimately aligned with the liver is left in place)
Anatomically critical sitesSurgery may not be possibleMay be performed (as the host-derived fibrous capsule is left untouched): e.g., HHC intimately attached to the main portal vein
HHC is in proximity to the liver capsuleCan be performed even if HHC is completely surrounded by liver parenchyma, and does not extend till the liver capsuleOnly suitable for cysts where the host-derived fibrous capsule is extending to the surface of the liver (otherwise high risk of bleeding/hematogenous dissemination)

Watch and wait: “Watch and wait” approach is reserved for inactive HHC (CE4 and CE5); this can be achieved either spontaneously or by anthelmintic therapy. A prospective study has demonstrated that cysts undergoing natural involution and becoming inactive (i.e., CE4 and CE5) usually remain stable on follow-up. In contrast, cysts that become inactive following benzimidazole therapy may relapse, with a notable proportion reverting from CE4 to CE3b[21], highlighting strict follow-up in such cases. When considering a watch-and-wait approach, it is essential to thoroughly assess the mass effect of the cyst, if any, on the adjacent structures.

Percutaneous interventions: Percutaneous interventions offer several advantages over traditional open surgery, including shorter hospital stays, lower complication rates, and shorter recovery times[2,22]. It is the treatment of choice in patients with a specific type of uncomplicated HHC. The various techniques described include puncture-aspiration-injection-reaspiration (PAIR), standard catheterization technique (S-CAT), modified catheterization technique (MoCAT),percutaneous evacuation (PEVAC) and Örmeci technique. While performing percutaneous interventions, anthelmintic therapy should be started 1 day prior to the procedure, and continued until 1 month post procedure (if there is no intra-procedural spillage)[10]. Before the procedure, large-bore intravenous access and premedication with antihistamines and steroids should be performed. In the interventional radiology suite, ready-to-use adrenaline auto-injections and facilities for intubation, in case of anaphylaxis, should be available.

Prior to the injection of scolicidal agents (as performed in PAIR and MoCAT), it is vital to rule out cysto-biliary communication, as if present, it can lead to sclerosing cholangitis. Cysto-biliary communication can be identified by visual inspection of aspirate for bile contamination, checking for bilirubin in the aspirated cyst fluid (bilirubin stick test), or contrast being observed in the biliary tract after injection into the cyst. Apart from uncomplicated HHC, recurrent HHC[23], suspected post-operative fluid collections[24], and secondarily infected HHC[25] can also be treated by percutaneous interventions. In cases with cysto-biliary communication, percutaneous drainage can be combined with endoscopic retrograde cholangiography-guided papillotomy and common bile duct clearance, as an alternative to surgery[26]. Insufficient destruction of the protoscolices or germinal membranes during percutaneous interventions or peri-operative dissemination are the main causes of recurrence. A summary of the various percutaneous interventions for HHC has been provided in Table 3.

Table 3 Summary of the various percutaneous interventions for hepatic hydatid cyst.
Technique
Indications
Specific features
PAIRCE1 and CE3a (usually > 5 cm size)Usually not done for HHC < 5 cm due to limited space; if cysto-biliary communication is present, then PAIR should be terminated or converted into S-CAT
S-CATCE1 and CE3a (usually > 5 cm size)Very useful in the presence of cysto-biliary fistulas, and if technical difficulty is encountered during PAIR; recurrence, complications, and duration of hospitalization are higher with S-CAT as compared to PAIR
MoCATCE2 and CE3b (significant solid component present)Potential to replace surgery for the cyst types with a significant solid component not amenable to PAIR; lower recurrence rate as compared to PAIR and S-CAT; higher rate of complications (e.g., cysto-biliary fistula development and abscess formation)
PEVACCE2 and CE3b (with or without cysto-biliary communication)Suction is applied via the inserted catheter, without the use of scolicidal agents; useful in patients with vascular or biliary obstruction, and centrally located lesions (as there is no risk of scolicidal agent entering the adjoining vital structures); higher incidence of cysto-biliary fistula formation and secondary infection of the HHC
Örmeci techniqueCE1, CE2, CE3a and CE3bA thinner puncture needle is used compared to PAIR, so the risk of cyst fluid leakage and secondary peritoneal hydatidosis is less; scolicidal agents are not re-aspirated: Increases scolicidal effect; more studies are required to validate its efficacy
PAIR

The PAIR procedure (Figure 4) was initially developed for HHC, but has also been successfully used in spleen, pancreas, kidney, and bone[27-29]. Its use is contraindicated in brain and peritoneal hydatid cysts, as there is no surrounding solid component at these sites, which can lead to leakage of cyst contents during its puncture[30]. PAIR aims to sterilize the germinal layer and protoscolices, and only cyst fluid is removed, while all other parasitic material remains in the cyst. PAIR works only for unilocular cysts with a significant fluid component; it is primarily used for types CE1 and CE3a HHC measuring > 5 cm (Figures 5 and 6). It is usually not performed in cysts < 5 cm, as the space within the cyst is very limited to perform all the steps of PAIR. Cysts abutting the liver capsule or exophytic in location are contraindications for PAIR, as there is a risk of fluid leakage.

Figure 4
Figure 4 Schematic diagram depicting the sequential steps of the puncture-aspiration-injection-reaspiration procedure. CE: Cystic echinococcus.
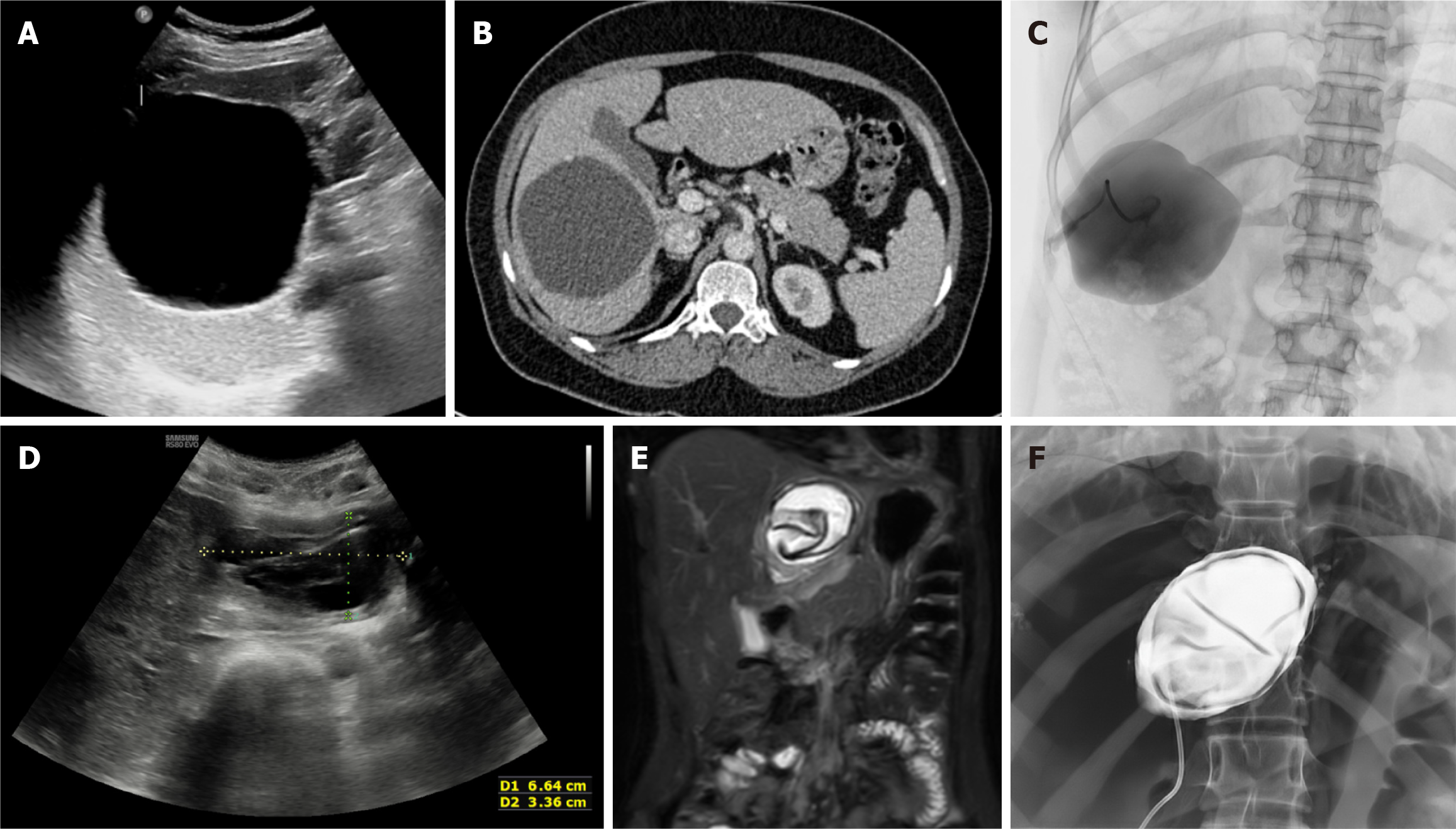
Figure 5
Figure 5 Puncture-aspiration-injection-reaspiration procedure. A-C: Ultrasound (A) and axial computed tomography image (B) depict a cystic echinococcus 1 hydatid cyst in the right lobe of the liver. Fluoroscopic spot image (C) shows opacification of the cyst cavity following contrast injection, confirming correct intracystic placement with no evidence of cysto-biliary communication; D-F: Axial ultrasound (D) and coronal T2-weighted magnetic resonance imaging image (E) in a different patient depicts a cystic echinococcus 3a hydatid cyst in the left lobe of the liver. Fluoroscopic spot image (F) obtained during the puncture-aspiration-injection-reaspiration procedure shows opacification of the cyst cavity, with the floating membranes visualized as curvilinear filling defects, with no evidence of cysto-biliary communication.
Figure 6
Figure 6 Puncture-aspiration-injection-reaspiration procedure. A-C: Frontal fluoroscopic spot image (A) demonstrates intracystic injection of contrast, with no evidence of cysto-biliary communication. Lateral fluoroscopic spot image (B) after aspiration of the previously injected contrast from the hydatid cyst. Frontal fluoroscopic spot image (C) after instillation of scolicidal agent into the cyst cavity.

The procedure is performed under US with fluoroscopy or CT guidance. The first step is puncture (P), where the cyst is punctured (usually with an 18-G needle) through a thick cuff of normal liver parenchyma, to reduce the chances of fluid leakage and bleeding. Initially, 20% of the cyst fluid is aspirated (A), and then contrast is injected (10% of the cyst fluid, or half of the initially aspirated volume) under fluoroscopy or CT guidance to look for cysto-biliary communication. The aspirated fluid is also examined for physical appearance, bilirubin (bilirubin dipstick test), and scolex viability test (motility and dye tests). If there is cysto-biliary communication (yellow coloured cyst fluid, or positive bilirubin dipstick test, or opacification of biliary radicles on contrast injection), then PAIR may be terminated or can be converted into S-CAT[24]. In the absence of cystobiliary communication, rapid cyst aspiration decompresses the cyst and allows for detachment of the parasitic layers from the cyst wall.

If there is no evidence to suggest cysto-biliary communication, then the next step is injection (I) of the scolicidal agent. The commonly used agents are 95% ethanol and hypertonic saline (20%). Other scolicidal agents include cetrimide (0.1%) and povidone-iodine (10%). It is injected into the cavity and remains within the cyst for 20 minutes. The amount of scolicidal agent injected is 35%-50% of the cyst’s initial volume. Then reaspiration (R) of all the fluid in the cyst is done. Before needle removal, a small amount of normal saline is injected and re-aspirated, and scolex viability tests are repeated. Viable and non-viable scoleces can be differentiated by observing their motility under the microscope and observing the staining pattern with 0.1% eosin or 0.1% methylene blue stain. Live scolices reduce these dyes and lose colour, while dead scolices adsorb and fail to reduce the vital dyes and take up the dye colour[31,32]. If re-aspirated fluid shows viable scolices, then PAIR should be repeated either immediately or within 48 hours[2].

Procedural success is defined as complete separation of the laminated membrane and the presence of non-viable scolices in the re-aspirated fluid. Follow-up should be done for a minimum of 5-10 years after cysts have reached an inactive cyst type (CE4, CE5). PAIR combined with albendazole demonstrates efficacy comparable to surgery, while resulting in significantly fewer complications. Moreover, PAIR, whether administered with or without albendazole, shows superior effectiveness compared to albendazole monotherapy[33-35]. In a study by Bakdik et al[36], PAIR performed using alcohol as a scolicidal agent had a success rate of 99.5%, a mean hospital stay of 1.55-2.3 days, and recurrence was observed in 5.4% patients. In a meta-analysis by Sokouti et al[37], comparing the outcome of PAIR (1650 patients) and laparoscopic surgery (1182 patients), they found complications of PAIR (18.5%) to be slightly lower than with laparoscopic surgery (18.7%). Mortality rate was also lower with PAIR than with laparoscopy surgery (1.1% vs 1.8%). However, the recurrence rate of PAIR was higher than that of laparoscopic surgery (5% vs 3.9%). In a study by Khuroo et al[33], comparing PAIR with surgery, procedural complications were much lower in PAIR (32%) as compared to surgery (84%). Hospital stay was also significantly less in the PAIR group as compared to surgery (4.2 ± 1.5 days vs 12.7 ± 6.5 days).

In cases of diagnostic uncertainty as to whether the cyst is a hydatid cyst or not, if, after puncture, crystal clear fluid gushes out under high pressure, it is virtually pathognomonic for hydatid cyst[23], and the pressure can be ≥ 35 cm of water (which is contrary to simple cysts)[38].

S-CAT

S-CAT is primarily indicated for CE1 and CE3a cysts exceeding 10 cm in diameter[39,40]. It is also performed when PAIR reveals a cysto-biliary communication, or when procedural challenges arise that necessitate switching from PAIR to S-CAT[25,40]. The initial steps are similar to PAIR, and after puncture (P) and aspiration (A) of cyst contents, a 6F or 8F pigtail catheter is introduced within the cyst cavity via Seldinger’s technique (which is temporarily left in situ). The catheter used should be resistant to alcohol and other scolicidal agents. The catheter is left in place, and gravity drainage is done for 24 hours. If the 24-hour output is > 10 mL with bilious fluid, then the catheter is kept in place without scolicidal injection. Only when the 24-hour output becomes < 10 mL is injection of scolicidal agent performed. Multiple sessions of scolicidal injection may be required before catheter removal, instead of just a single session[41]. Recurrence and complications are higher with S-CAT, and the duration of hospitalization tends to be longer as compared to PAIR when performed for CE1 and CE3a[42]. However, S-CAT is very useful in the presence of cysto-biliary fistulas and if technical difficulty is encountered during PAIR[42].

MoCAT

This technique is utilized for uncomplicated CE2 and CE3b HHC[10], which have significant solid components (Figure 7), that cannot be removed by PAIR. It aims to remove the entire parasite-derived cyst components (the parasitic larval wall, germinal layer, and the cyst contents comprising fluid, brood capsules, protoscolices, and breakdown products) and utilizes larger bore catheters (12F-16F depending on fluid viscosity). It is currently performed at limited centres, and larger clinical trials are needed to explore MoCAT, as it has the potential to replace surgery for the cyst types not amenable to PAIR.

Figure 7
Figure 7 Schematic diagram depicting the sequential steps of the modified catheterization technique. MoCAT: Modified catheterization technique; CE: Cystic echinococcus; CBD: Common bile duct.

The initial step is puncture of the HHC with an 18-G needle, followed by instillation of contrast (cavitography) to rule out cysto-biliary communication. Then, over a 0.035 inch stiff guidewire, a large-bore catheter is inserted via Seldinger’s technique (manipulation with the wire and catheter also helps in destroying daughter cysts). Isotonic saline (0.9%) is then injected into the cyst with immediate reaspiration. This leads to aspiration of the pieces of membranes along with the fluid content. This step is repeated multiple times (> 100 times, if necessary) until there is complete cavity evacuation (also referred to as “effective and aggressive irrigation of the cavity”)[24]. The catheter may need to be repositioned within the cyst under US/fluoroscopic guidance to better evacuate the cyst’s contents. Multiple sessions may be required, if necessary. After complete evacuation of the cyst contents, and repeat injection of contrast (to rule out cysto-biliary communication and ensure complete emptying of the cyst cavity), scolicidal agent is instilled (hypertonic saline followed by 95% ethanol) followed by its reaspiration. When there is complete cyst collapse and the daily drainage is < 10 mL, the catheter can be removed. In case there is persistent daily drainage of > 10 mL for 10-14 days after the procedure, patients can be referred for endoscopic papillotomy/common bile duct stenting to reduce the biliary pressure, and achieve rapid closure of any cysto biliary fistula formed during the previous steps of this procedure.

MoCAT has a lower recurrence rate as compared to PAIR and S-CAT; however, has a higher rate of complications such as cysto-biliary fistula development and abscess formation[24]. T2-weighted MRI, in addition to US, plays a crucial role in minimizing recurrence by helping confirm complete clearance of cyst contents and the germinal layer[10]. In the study by Akhan et al[43], patients undergoing MoCAT (for CE2 and CE3b) had a mean hospital stay of 3.88 ± 4.73 days, with 89.9% patients discharged within the first week. Major complications occurred in 9.09% cases, with recurrence occurring in 4.5% cases.

PEVAC

PEVAC is a modification of the MoCAT technique, in which suction is applied via the inserted catheter to evacuate the contents, without the use of scolicidal agents. It is usually used in types CE2 and CE3b with or without cysto-biliary communication, and is particularly useful in patients with vascular or biliary obstruction, and centrally located lesions (as there is no risk of scolicidal agent entering the adjoining vital structures)[44]. PEVAC is, however, associated with a higher incidence of cysto-biliary fistula formation and secondary infection of the HHC[44]. Because of higher chances of formation of cysto-biliary fistula, the catheterization period (average 53.6 days), and thereby the hospital admission time gets prolonged[44].

Örmeci technique

This technique is a modification of the PAIR technique, and can be employed for CE1, CE2, CE3a, and CE3b HHC (Figure 8)[45]. The first step is puncture of the HHC using a 22-G needle, which is in contrast to the 18G needle used in PAIR, leading to a reduced risk of cyst fluid leakage and secondary peritoneal hydatidosis[45]. Multiple punctures can be performed in the same session (up to 5), especially for CE2 and CE3b cysts, to achieve better distribution of the sclerosing agent. The volume of fluid aspirated is 3 times the largest dimension of the HHC (3 cm3 for every 1 cm), which equates to ≤ 2 % of the total cyst volume[45]. This is much less than the 20% fluid aspirated in PAIR. Because of this, there is less reduction of the intracystic pressure, which may not fall below the normal intrabiliary pressure, thereby reducing the chances of development of cysto-biliary communication. The next step is injection via the puncture needle of equal volume of the aspirated fluid with 95% ethanol (2/3 volume) and 1% polidocanol (1/3 volume), which is kept in situ for 5 minutes. The advantage of polidocanol is that it enhances the sclerosing effect of ethanol, and it obstructs small communications with the biliary and venous system, if present. Catheters are not used, which reduces the chances of infection and shortens hospital stay. The scolicidal agent is not re-aspirated, which increases the scolicidal effect. Very limited evidence, largely derived from small case series and observational studies, suggests that the Örmeci technique may be associated with higher clinical success and lower morbidity, mortality, and recurrence rates compared with PAIR[46]. However, these findings are preliminary, and larger studies are required to validate their efficacy and safety.

Figure 8
Figure 8 Örmeci technique. A: Axial computed tomography image shows a hydatid cyst in the right lobe of the liver; B: Fluoroscopic spot image during Örmeci procedure: Contrast is injected through the puncture needle, which fills the cyst cavity with no opacification of biliary radicles, ruling out cysto-biliary communication; C: Ultrasound image depicting puncture needle in situ within the hydatid cyst.
Miscellaneous

Thermal ablation using radiofrequency ablation or microwave ablation can be utilized to destroy the germinal layer of daughter cysts, especially in types CE2 and CE3b. As heat is used instead of chemical agents, it is simpler to perform due to a lack of scolicidal agent-related risks[47]. In a study by Lamonaca et al[48] in animal models, the use of radiofrequency ablation in HHC had a 100% success rate. However, larger studies are needed to evaluate the efficacy of thermal ablation of HHC in humans.

Criteria for therapeutic success after percutaneous interventions

The main indicators for short-term therapeutic success are: Complete separation of the laminated membrane and non-viable scolices in the re-aspirated fluid (non-motile with inability to clear methylene blue). The indicators for long term therapeutic success on follow-up imaging of the hydatid cyst are: Reduction in size and volume, conversion of the cyst contents to a more solid nature, thickening and irregularity of the wall, new development of wall calcifications, or a complete disappearance of the hydatid cyst.

Follow up after percutaneous interventions

Follow-up imaging is vital, with the primary goals being assessing treatment response, detecting early recurrence of lesions, and evaluating complications. US is the preferred modality for follow-up imaging; however, CT/MRI can instead be performed, especially with complex lesions, or when US is inconclusive. Structured imaging follow-up is performed, with US done at 1, 3, 6, 9, and 12 months post-procedure. After the imaging findings have stabilized, yearly imaging is required, which should be continued for at least 5 years[49].

In addition to imaging, serological monitoring also has to be done periodically, with decreasing antibody titres suggesting treatment success. However, there can be false positives and antibody persistence; serology should always be interpreted alongside imaging findings. In cases with inadequate response or persistent disease, a repeat session of the appropriate percutaneous intervention can be performed. In cases with therapeutic failure, alternative treatment options such as surgery should be considered. The decision for additional treatment should be based on a combination of imaging, serological findings, and clinical symptoms.

CONCLUSION

Percutaneous interventions have become integral to the management of HHC, providing safe and effective alternatives to surgery. Depending on cyst type, PAIR and S-CAT are well established for CE1 and CE3a cysts, while MoCAT has shown promising results for CE2 and CE3b cysts in specialized centres. Newer techniques, such as the Örmeci technique and thermal ablation, require larger studies to evaluate their efficacy. These minimally invasive methods are associated with lower morbidity, mortality, and recurrence rates, as well as shorter hospitalization compared to surgical treatment. In endemic regions with adequate expertise, percutaneous interventions are a viable treatment option for specific types of hepatic hydatid cysts.

References
1.  Baykan AH, Aydin E, Koc M, Sahin H, Karul A, Baykan ME, Ikizceli T, Erturk SM. Hydatid disease: imaging, treatment, and beyond. Clin Radiol. 2025;80:106748.  [RCA]  [PubMed]  [DOI]  [Full Text]  [Cited by in Crossref: 2]  [Cited by in RCA: 10]  [Article Influence: 10.0]  [Reference Citation Analysis (0)]
2.  Khuroo MS. Percutaneous Drainage in Hepatic Hydatidosis-The PAIR Technique: Concept, Technique, and Results. J Clin Exp Hepatol. 2021;11:592-602.  [RCA]  [PubMed]  [DOI]  [Full Text]  [Full Text (PDF)]  [Cited by in Crossref: 35]  [Cited by in RCA: 27]  [Article Influence: 5.4]  [Reference Citation Analysis (0)]
3.  Das CJ, Venkatesh SSK, Gupta S, Sharma R, Agarwal D, Kundra V. Abdominal hydatid disease: role of imaging in diagnosis, complications, and management. Abdom Radiol (NY). 2025;50:5591-5606.  [RCA]  [PubMed]  [DOI]  [Full Text]  [Cited by in Crossref: 5]  [Cited by in RCA: 6]  [Article Influence: 6.0]  [Reference Citation Analysis (0)]
4.  Kern P, Menezes da Silva A, Akhan O, Müllhaupt B, Vizcaychipi KA, Budke C, Vuitton DA. The Echinococcoses: Diagnosis, Clinical Management and Burden of Disease. Adv Parasitol. 2017;96:259-369.  [RCA]  [PubMed]  [DOI]  [Full Text]  [Cited by in Crossref: 426]  [Cited by in RCA: 357]  [Article Influence: 39.7]  [Reference Citation Analysis (0)]
5.  Thompson RC. Biology and Systematics of Echinococcus. Adv Parasitol. 2017;95:65-109.  [RCA]  [PubMed]  [DOI]  [Full Text]  [Cited by in Crossref: 154]  [Cited by in RCA: 258]  [Article Influence: 25.8]  [Reference Citation Analysis (0)]
6.  Pedrosa I, Saíz A, Arrazola J, Ferreirós J, Pedrosa CS. Hydatid disease: radiologic and pathologic features and complications. Radiographics. 2000;20:795-817.  [RCA]  [PubMed]  [DOI]  [Full Text]  [Cited by in Crossref: 646]  [Cited by in RCA: 483]  [Article Influence: 18.6]  [Reference Citation Analysis (0)]
7.  Polat P, Kantarci M, Alper F, Suma S, Koruyucu MB, Okur A. Hydatid disease from head to toe. Radiographics. 2003;23:475-94; quiz 536.  [RCA]  [PubMed]  [DOI]  [Full Text]  [Cited by in Crossref: 440]  [Cited by in RCA: 339]  [Article Influence: 14.7]  [Reference Citation Analysis (3)]
8.  Gharbi HA, Hassine W, Brauner MW, Dupuch K. Ultrasound examination of the hydatic liver. Radiology. 1981;139:459-463.  [RCA]  [PubMed]  [DOI]  [Full Text]  [Cited by in Crossref: 639]  [Cited by in RCA: 478]  [Article Influence: 10.6]  [Reference Citation Analysis (0)]
9.  WHO Informal Working Group. International classification of ultrasound images in cystic echinococcosis for application in clinical and field epidemiological settings. Acta Trop. 2003;85:253-261.  [RCA]  [PubMed]  [DOI]  [Full Text]  [Cited by in Crossref: 621]  [Cited by in RCA: 502]  [Article Influence: 21.8]  [Reference Citation Analysis (0)]
10.   WHO guidelines for the treatment of patients with cystic echinococcosis [Internet]. Geneva: World Health Organization; 2025 .  [PubMed]  [DOI]
11.  Kern P. Echinococcus granulosus infection: clinical presentation, medical treatment and outcome. Langenbecks Arch Surg. 2003;388:413-420.  [RCA]  [PubMed]  [DOI]  [Full Text]  [Cited by in Crossref: 90]  [Cited by in RCA: 71]  [Article Influence: 3.1]  [Reference Citation Analysis (0)]
12.  von Sinner WN. New diagnostic signs in hydatid disease; radiography, ultrasound, CT and MRI correlated to pathology. Eur J Radiol. 1991;12:150-159.  [RCA]  [PubMed]  [DOI]  [Full Text]  [Cited by in Crossref: 91]  [Cited by in RCA: 92]  [Article Influence: 2.6]  [Reference Citation Analysis (0)]
13.  Hosch W, Stojkovic M, Jänisch T, Kauffmann GW, Junghanss T. The role of calcification for staging cystic echinococcosis (CE). Eur Radiol. 2007;17:2538-2545.  [RCA]  [PubMed]  [DOI]  [Full Text]  [Cited by in Crossref: 39]  [Cited by in RCA: 37]  [Article Influence: 1.9]  [Reference Citation Analysis (0)]
14.  Arif SH, Shams-Ul-Bari, Wani NA, Zargar SA, Wani MA, Tabassum R, Hussain Z, Baba AA, Lone RA. Albendazole as an adjuvant to the standard surgical management of hydatid cyst liver. Int J Surg. 2008;6:448-451.  [RCA]  [PubMed]  [DOI]  [Full Text]  [Cited by in Crossref: 113]  [Cited by in RCA: 92]  [Article Influence: 5.1]  [Reference Citation Analysis (0)]
15.  Smego RA Jr, Sebanego P. Treatment options for hepatic cystic echinococcosis. Int J Infect Dis. 2005;9:69-76.  [RCA]  [PubMed]  [DOI]  [Full Text]  [Cited by in Crossref: 159]  [Cited by in RCA: 142]  [Article Influence: 6.8]  [Reference Citation Analysis (0)]
16.  Baraket O, Moussa M, Ayed K, Kort B, Bouchoucha S. Predictive factors of morbidity after surgical treatment of hydatid cyst of the liver. Arab J Gastroenterol. 2014;15:119-122.  [RCA]  [PubMed]  [DOI]  [Full Text]  [Cited by in Crossref: 20]  [Cited by in RCA: 18]  [Article Influence: 1.5]  [Reference Citation Analysis (0)]
17.  Baimakhanov Z, Kaniyev S, Serikuly E, Doskhanov M, Askeyev B, Baiguissova D, Skakbayev A, Sadykov C, Barlybay R, Seisembayev M, Baimakhanov B. Radical versus conservative surgical management for liver hydatid cysts: A single-center prospective cohort study. JGH Open. 2021;5:1179-1182.  [RCA]  [PubMed]  [DOI]  [Full Text]  [Full Text (PDF)]  [Cited by in Crossref: 7]  [Cited by in RCA: 9]  [Article Influence: 1.8]  [Reference Citation Analysis (0)]
18.  Deo KB, Kumar R, Tiwari G, Kumar H, Verma GR, Singh H. Surgical management of hepatic hydatid cysts - conservative versus radical surgery. HPB (Oxford). 2020;22:1457-1462.  [RCA]  [PubMed]  [DOI]  [Full Text]  [Cited by in Crossref: 9]  [Cited by in RCA: 14]  [Article Influence: 2.3]  [Reference Citation Analysis (1)]
19.  Farhat W, Ammar H, Rguez A, Harrabi F, Said MA, Ghabry L, Gupta R, Ben Cheikh A, Ghali H, Ben Rajeb M, Ben Mabrouk M, Ben Ali A. Radical versus conservative surgical treatment of liver hydatid cysts: A paired comparison analysis. Am J Surg. 2022;224:190-195.  [RCA]  [PubMed]  [DOI]  [Full Text]  [Cited by in Crossref: 17]  [Cited by in RCA: 15]  [Article Influence: 3.8]  [Reference Citation Analysis (0)]
20.  Akbulut S, Senol A, Sezgin A, Cakabay B, Dursun M, Satici O. Radical vs conservative surgery for hydatid liver cysts: experience from single center. World J Gastroenterol. 2010;16:953-959.  [RCA]  [PubMed]  [DOI]  [Full Text]  [Full Text (PDF)]  [Cited by in CrossRef: 42]  [Cited by in RCA: 44]  [Article Influence: 2.8]  [Reference Citation Analysis (0)]
21.  Stojkovic M, Rosenberger KD, Steudle F, Junghanss T. Watch and Wait Management of Inactive Cystic Echinococcosis - Does the Path to Inactivity Matter - Analysis of a Prospective Patient Cohort. PLoS Negl Trop Dis. 2016;10:e0005243.  [RCA]  [PubMed]  [DOI]  [Full Text]  [Full Text (PDF)]  [Cited by in Crossref: 34]  [Cited by in RCA: 40]  [Article Influence: 4.0]  [Reference Citation Analysis (0)]
22.  Rozanes I, Güven K, Acunaş B, Emre A. Cystic echinococcal liver disease: new insights into an old disease and an algorithm for therapy planning. Cardiovasc Intervent Radiol. 2007;30:1112-1116.  [RCA]  [PubMed]  [DOI]  [Full Text]  [Cited by in Crossref: 11]  [Cited by in RCA: 12]  [Article Influence: 0.6]  [Reference Citation Analysis (0)]
23.  Akhan O, Ozmen MN, Dinçer A, Sayek I, Göçmen A. Liver hydatid disease: long-term results of percutaneous treatment. Radiology. 1996;198:259-264.  [RCA]  [PubMed]  [DOI]  [Full Text]  [Cited by in Crossref: 154]  [Cited by in RCA: 144]  [Article Influence: 4.8]  [Reference Citation Analysis (0)]
24.  Akhan O, Salik AE, Ciftci T, Akinci D, Islim F, Akpinar B. Comparison of Long-Term Results of Percutaneous Treatment Techniques for Hepatic Cystic Echinococcosis Types 2 and 3b. AJR Am J Roentgenol. 2017;208:878-884.  [RCA]  [PubMed]  [DOI]  [Full Text]  [Cited by in Crossref: 35]  [Cited by in RCA: 45]  [Article Influence: 5.0]  [Reference Citation Analysis (0)]
25.  Men S, Yücesoy C, Edgüer TR, Hekimoğlu B. Percutaneous treatment of giant abdominal hydatid cysts: long-term results. Surg Endosc. 2006;20:1600-1606.  [RCA]  [PubMed]  [DOI]  [Full Text]  [Cited by in Crossref: 35]  [Cited by in RCA: 26]  [Article Influence: 1.3]  [Reference Citation Analysis (0)]
26.  Agarwal D, Gunasekaran A, Malhi AS, Agarwal S. Hepatic Hydatid Cyst with Frank Cysto-biliary Rupture. Indian J Surg.  2025.  [PubMed]  [DOI]  [Full Text]
27.  Akhan O, Islim F, Balci S, Erbahceci A, Akpınar B, Ciftci T, Akinci D. Percutaneous Treatment of Simple Hepatic Cysts: The Long-Term Results of PAIR and Catheterization Techniques as Single-Session Procedures. Cardiovasc Intervent Radiol. 2016;39:902-908.  [RCA]  [PubMed]  [DOI]  [Full Text]  [Cited by in Crossref: 8]  [Cited by in RCA: 11]  [Article Influence: 1.0]  [Reference Citation Analysis (0)]
28.  Yattoo GN, Khuroo MS, Zargar SA, Bhat FA, Sofi BA. Case report: Percutaneous drainage of the pancreatic head hydatid cyst with obstructive jaundice. J Gastroenterol Hepatol. 1999;14:931-934.  [RCA]  [PubMed]  [DOI]  [Full Text]  [Cited by in Crossref: 19]  [Cited by in RCA: 17]  [Article Influence: 0.6]  [Reference Citation Analysis (0)]
29.  Arslan S, Bakdik S, Oncu F, Tolu I, Eryilmaz MA. Successful percutaneous treatment of extrahepatic cystic echinococcosis through PAIR and single puncture catheter techniques. Jpn J Radiol. 2017;35:296-302.  [RCA]  [PubMed]  [DOI]  [Full Text]  [Cited by in Crossref: 6]  [Cited by in RCA: 10]  [Article Influence: 1.1]  [Reference Citation Analysis (0)]
30.  Baboli S, Baboli S, Soleiman Meigooni S. Brain Hydatid Cyst with Atypical Symptoms in an Adult: A Case Report. Iran J Parasitol. 2016;11:422-425.  [PubMed]  [DOI]
31.  Barbosa P, Peters TM. The effects of vital dyes on living organisms with special reference to methylene blue and neutral red. Histochem J. 1971;3:71-93.  [RCA]  [PubMed]  [DOI]  [Full Text]  [Cited by in Crossref: 50]  [Cited by in RCA: 35]  [Article Influence: 0.6]  [Reference Citation Analysis (0)]
32.  Elowni EE, Ahmad MF, Abdelnabi GH, Badawi RM. Validation of the methylene blue test for assessment of viability of protoscolices from hydatid cysts. Open Vet J. 2019;9:172-176.  [RCA]  [PubMed]  [DOI]  [Full Text]  [Full Text (PDF)]  [Cited by in Crossref: 1]  [Cited by in RCA: 4]  [Article Influence: 0.6]  [Reference Citation Analysis (0)]
33.  Khuroo MS, Wani NA, Javid G, Khan BA, Yattoo GN, Shah AH, Jeelani SG. Percutaneous drainage compared with surgery for hepatic hydatid cysts. N Engl J Med. 1997;337:881-887.  [RCA]  [PubMed]  [DOI]  [Full Text]  [Cited by in Crossref: 274]  [Cited by in RCA: 191]  [Article Influence: 6.6]  [Reference Citation Analysis (0)]
34.  Khuroo MS, Dar MY, Yattoo GN, Zargar SA, Javaid G, Khan BA, Boda MI. Percutaneous drainage versus albendazole therapy in hepatic hydatidosis: a prospective, randomized study. Gastroenterology. 1993;104:1452-1459.  [RCA]  [PubMed]  [DOI]  [Full Text]  [Cited by in Crossref: 142]  [Cited by in RCA: 116]  [Article Influence: 3.5]  [Reference Citation Analysis (0)]
35.  Nasseri-Moghaddam S, Abrishami A, Taefi A, Malekzadeh R. Percutaneous needle aspiration, injection, and re-aspiration with or without benzimidazole coverage for uncomplicated hepatic hydatid cysts. Cochrane Database Syst Rev. 2011;2011:CD003623.  [RCA]  [PubMed]  [DOI]  [Full Text]  [Cited by in Crossref: 18]  [Cited by in RCA: 21]  [Article Influence: 1.4]  [Reference Citation Analysis (0)]
36.  Bakdik S, Arslan S, Oncu F, Tolu I, Eryilmaz MA. Percutaneous treatment of hepatic cystic echinococcosis: the success of alcohol as a single endocavitary agent in PAIR, catheterization, and modified catheterization techniques. Radiol Med. 2018;123:153-160.  [RCA]  [PubMed]  [DOI]  [Full Text]  [Cited by in Crossref: 6]  [Cited by in RCA: 8]  [Article Influence: 0.9]  [Reference Citation Analysis (0)]
37.  Sokouti M, Sadeghi R, Pashazadeh S, Abadi SEH, Sokouti M, Ghojazadeh M, Sokouti B. A systematic review and meta-analysis on the treatment of liver hydatid cyst using meta-MUMS tool: comparing PAIR and laparoscopic procedures. Arch Med Sci. 2019;15:284-308.  [RCA]  [PubMed]  [DOI]  [Full Text]  [Full Text (PDF)]  [Cited by in Crossref: 50]  [Cited by in RCA: 39]  [Article Influence: 5.6]  [Reference Citation Analysis (0)]
38.  Yalin R, Aktan AO, Yeğen C, Döşlüoğlu HH. Significance of intracystic pressure in abdominal hydatid disease. Br J Surg. 1992;79:1182-1183.  [RCA]  [PubMed]  [DOI]  [Full Text]  [Cited by in Crossref: 31]  [Cited by in RCA: 35]  [Article Influence: 1.0]  [Reference Citation Analysis (0)]
39.  Men S, Akhan O, Köroğlu M. Percutaneous drainage of abdominal abcess. Eur J Radiol. 2002;43:204-218.  [RCA]  [PubMed]  [DOI]  [Full Text]  [Cited by in Crossref: 112]  [Cited by in RCA: 79]  [Article Influence: 3.3]  [Reference Citation Analysis (0)]
40.  Balli O, Balli G, Cakir V, Gur S, Pekcevik R, Tavusbay C, Akhan O. Percutaneous Treatment of Giant Cystic Echinococcosis in Liver: Catheterization Technique in Patients with CE1 and CE3a. Cardiovasc Intervent Radiol. 2019;42:1153-1159.  [RCA]  [PubMed]  [DOI]  [Full Text]  [Cited by in Crossref: 3]  [Cited by in RCA: 13]  [Article Influence: 1.9]  [Reference Citation Analysis (0)]
41.  Vuitton DA, McManus DP, Rogan MT, Romig T, Gottstein B, Naidich A, Tuxun T, Wen H, Menezes da Silva A; World Association of Echinococcosis. International consensus on terminology to be used in the field of echinococcoses. Parasite. 2020;27:41.  [RCA]  [PubMed]  [DOI]  [Full Text]  [Full Text (PDF)]  [Cited by in Crossref: 77]  [Cited by in RCA: 202]  [Article Influence: 33.7]  [Reference Citation Analysis (0)]
42.  Akhan O, Erdoğan E, Ciftci TT, Unal E, Karaağaoğlu E, Akinci D. Comparison of the Long-Term Results of Puncture, Aspiration, Injection and Re-aspiration (PAIR) and Catheterization Techniques for the Percutaneous Treatment of CE1 and CE3a Liver Hydatid Cysts: A Prospective Randomized Trial. Cardiovasc Intervent Radiol. 2020;43:1034-1040.  [RCA]  [PubMed]  [DOI]  [Full Text]  [Cited by in Crossref: 27]  [Cited by in RCA: 27]  [Article Influence: 4.5]  [Reference Citation Analysis (0)]
43.  Akhan O, Özbay Y, Ünal E, Karaagaoglu E, Çiftçi TT, Akıncı D. Long-Term Results of Modified Catheterization Technique in the Treatment of CE Type 2 and 3b Liver Hydatid Cysts. Cardiovasc Intervent Radiol. 2025;48:503-511.  [RCA]  [PubMed]  [DOI]  [Full Text]  [Cited by in RCA: 3]  [Reference Citation Analysis (0)]
44.  Schipper HG, Laméris JS, van Delden OM, Rauws EA, Kager PA. Percutaneous evacuation (PEVAC) of multivesicular echinococcal cysts with or without cystobiliary fistulas which contain non-drainable material: first results of a modified PAIR method. Gut. 2002;50:718-723.  [RCA]  [PubMed]  [DOI]  [Full Text]  [Full Text (PDF)]  [Cited by in Crossref: 88]  [Cited by in RCA: 57]  [Article Influence: 2.4]  [Reference Citation Analysis (0)]
45.  Örmeci N, Asiller ÖÖ, Parmaksız A, Kalkan Ç, Üstüner E, Altınel A, Erdem H. Percutaneous Treatment of Hydatid Cysts with the Örmeci Technique. Turk J Gastroenterol. 2024;35:398-407.  [RCA]  [PubMed]  [DOI]  [Full Text]  [Full Text (PDF)]  [Reference Citation Analysis (0)]
46.  Ormeci N. PAIR vs Örmeci technique for the treatment of hydatid cyst. Turk J Gastroenterol. 2014;25:358-364.  [RCA]  [PubMed]  [DOI]  [Full Text]  [Cited by in Crossref: 17]  [Cited by in RCA: 16]  [Article Influence: 1.3]  [Reference Citation Analysis (0)]
47.  Brunetti E, Filice C. Radiofrequency thermal ablation of echinococcal liver cysts. Lancet. 2001;358:1464.  [RCA]  [PubMed]  [DOI]  [Full Text]  [Cited by in Crossref: 31]  [Cited by in RCA: 30]  [Article Influence: 1.2]  [Reference Citation Analysis (0)]
48.  Lamonaca V, Virga A, Minervini MI, Di Stefano R, Provenzani A, Tagliareni P, Fleres G, Luca A, Vizzini G, Palazzo U, Gridelli B. Cystic echinococcosis of the liver and lung treated by radiofrequency thermal ablation: an ex-vivo pilot experimental study in animal models. World J Gastroenterol. 2009;15:3232-3239.  [RCA]  [PubMed]  [DOI]  [Full Text]  [Full Text (PDF)]  [Cited by in CrossRef: 8]  [Cited by in RCA: 8]  [Article Influence: 0.5]  [Reference Citation Analysis (0)]
49.  Brunetti E, White AC Jr. Cestode infestations: hydatid disease and cysticercosis. Infect Dis Clin North Am. 2012;26:421-435.  [RCA]  [PubMed]  [DOI]  [Full Text]  [Cited by in Crossref: 82]  [Cited by in RCA: 59]  [Article Influence: 4.2]  [Reference Citation Analysis (0)]
Footnotes

Peer review: Externally peer reviewed.

Peer-review model: Single blind

Specialty type: Radiology, nuclear medicine and medical imaging

Country of origin: India

Peer-review report’s classification

Scientific quality: Grade B, Grade B, Grade D

Novelty: Grade B, Grade C

Creativity or innovation: Grade B, Grade C, Grade D

Scientific significance: Grade B, Grade C, Grade D

P-Reviewer: Maestri M, MD, PhD, Professor, Italy; Masood DZ, PhD, Professor, Pakistan; Sit M, Full Professor, Türkiye S-Editor: Bai SR L-Editor: A P-Editor: Lei YY