BPG is committed to discovery and dissemination of knowledge
Case Report Open Access
Copyright: ©Author(s) 2026. This article is an open access article distributed under the terms and conditions of the Creative Commons Attribution-NonCommercial (CC BY-NC 4.0) license. No commercial re-use. See permissions. Published by Baishideng Publishing Group Inc.
World J Hepatol. Apr 27, 2026; 18(4): 116710
Published online Apr 27, 2026. doi: 10.4254/wjh.v18.i4.116710
Acute liver failure linked to OxyShred pre-workout supplement: A case report and review of literature
Sarah Householder, Department of Internal Medicine, Yale-New Haven Hospital, New Haven, CT 06511, United States
Noah Brazer, Yale School of Medicine, New Haven, CT 06511, United States
Ysabel C Ilagan-Ying, Department of Digestive Diseases, Yale-New Haven Hospital, New Haven, CT 06511, United States
ORCID number: Sarah Householder (0000-0002-6775-2982).
Author contributions: Householder S wrote the first draft of the manuscript with assistance from Brazer N and Ilagan-Ying YC; Ilagan-Ying YC guided the project and provided expert analysis; all authors revised the manuscript for intellectual content and approved the final version of this manuscript.
Informed consent statement: Written informed consent was obtained from the patient for publication of this report and any accompanying images.
Conflict-of-interest statement: All authors declare that they have no conflict of interest to disclose.
CARE Checklist (2016) statement: The authors have read the CARE Checklist (2016), and the manuscript was prepared and revised according to the CARE Checklist (2016).
Corresponding author: Sarah Householder, MD, Department of Internal Medicine, Yale-New Haven Hospital, 20 York Steet, New Haven, CT 06511, United States. sarah.householder@yale.edu
Received: November 18, 2025
Revised: December 14, 2025
Accepted: January 27, 2026
Published online: April 27, 2026
Processing time: 154 Days and 9.2 Hours

Abstract
BACKGROUND

Pre-workout supplements (PWS) are advertised as popular wellness products, despite several “fat burners” being linked to hepatotoxicity. OxyShred thermogenic fat burner (OxyShred) is a PWS that has been rising in popularity and contains several hepatotoxic ingredients, including Garcinia cambogia. We present the first report of acute liver failure attributed to OxyShred use.

CASE SUMMARY

A 31-year-old woman with hypertension and obesity began using OxyShred as a PWS. After nine weeks, she was admitted with fatigue, emesis, and jaundice and found to have acute hepatocellular liver injury, which progressed to liver failure requiring transplantation.

CONCLUSION

Physicians should carefully screen for PWS use, caution against unregulated use, and advocate for increased regulation of herbal supplements.

Key Words: Dietary supplements; Drug-induced liver injury; Herbal supplements; Garcinia cambogia; Weight loss agents; Liver transplantation; Acute liver failure; Case report

Core Tip: Pre-workout supplement (PWS) use has grown rapidly with the expanding fitness market, yet many products contain poorly regulated herbal ingredients linked to liver injury. Multi-ingredient supplements cause most herb-related hepatotoxicity, and consumers often assume they are regulated despite minimal oversight. OxyShred thermogenic fat burner (OxyShred), a popular PWS, includes several agents associated with liver damage. A healthy 31-year-old woman developed acute liver failure requiring transplantation after eight weeks of consistent OxyShred use. This case highlights the risks of unregulated supplements, the need for physician inquiry about PWS use, and the importance of stronger federal requirements for safety evidence and ingredient transparency.



INTRODUCTION

Pre-workout supplement (PWS) consumption has risen over the last ten years[1,2] in tandem with the growing global fitness market[1,3,4]: In 2024, the PWS market size was 19.58 billion USD[1] and 30% of new gym members in North America begin using PWS within the first month of joining a gym[2]. These predominantly powder-based supplements claim to increase thermogenesis and basal metabolic rate[5,6] to improve performance, energy, focus, and endurance during workouts. Compared to synthetic products, herbal supplements are gaining popularity due to presumed safety with advertised “natural” origin[7].

An estimated half of Americans take herbal dietary supplements (HDS)[8,9] assuming their safety[7]; however, HDS drive 10%-20% of drug-induced liver injury[10]. Many PWS, including Chaso, Onshind, green tea extracts, Hydroxycut, the Right Approach, LipoKinetic, Ma Hung, pure usnic acid, and kombucha mushroom, are associated with acute liver toxicity[5]. This toxicity is likely because most PWS are combination products, containing as many as 20 ingredients with rare descriptions of component concentrations or sources[10]. Multi-ingredient nutritional supplements (MINS) drive herb-induced liver injury, shown by a recent drug induced liver injury network study where 68.5% of HDS-induced hepatotoxicity was attributable to MINS[11]. This raises a unique challenge to ascertain if a specific component and/or herb-herb interactions are driving liver injury in new products[10].

Mechanisms of HDS-associated liver injury are unclear and likely herb and herb-herb/herb-additive interaction specific[12]. Most HDS-associated liver injury is idiosyncratic (variable in onset, dose independent, and related to triggering an immunologic reaction in a susceptible host) or indirect (delayed in onset and related to an indirect action of an agent on the liver or immune system), and therefore difficult to predict based on animal studies[13]. One theory of HDS-associated liver injury, and particularly PWS-associated liver injury, is that in the search to increase basal metabolic rate and free fatty acid production, reactive oxygen species and active metabolites are created[14,15]. These reactive metabolites can increase mitochondrial stress which then leads to hepatocyte necrosis, apoptosis, and activation of immune response[14]. In the absence of prospective safety studies, post-marketing reporting systems are needed to identify these types of liver injury[13]; systems that are not nearly as robust for HDS as pharmaceuticals.

Complicating study and safety of HDS is the lack of regulation regarding their sale. Although 70% of consumers believe that herbal supplements are tested by the Food and Drug Administration (FDA) and 60% believe that they are FDA-regulated[16], supplements in the United States are considered a food category and not subject to safety and efficacy testing required of pharmaceuticals[17]. As such, companies are only required to make safety recommendations based on expert opinion of individual agent hepatotoxicity, rather than in vivo studies of actual herb combinations. These products are prohibited from making medical claims to treat specific diseases but can make non-specific claims of function, including improved energy, liver health, or weight loss[10]. Companies are not required to provide risk/benefit information to consumers or regulators or to demonstrate purity[18]. This is alarming because an estimated 20% of dietary supplements contain unapproved pharmaceuticals[5], there is variety in how herbs are harvested and processed[19,20], and some supplements have been found to lack their advertised herb on confirmatory testing[21].

OxyShred Thermogenic Fat Burner (OxyShred)[22,23] is a popular PWS that has been shown in small trials to increase resting energy expenditure and free fatty acid levels over a 180-minute period[24]. We present the first described case of acute liver failure from OxyShred.

CASE PRESENTATION
Chief complaints

A 31-year-old female with hypertension, mild depression, and class I obesity (body mass index: 31 kg/m2) presented with fatigue, nausea, constipation, and jaundice.

History of present illness

She started taking OxyShred intermittently for one year, then consistently 4-5 times a week at the recommended dose (5 g) as a PWS in order to improve efficiency of her workouts, lower her blood pressure, and lose weight. No recognized side effects or symptoms were noted during her period of intermittent use. After 8 weeks of consistent use, she developed fatigue, nausea, and constipation. She then developed three days of conjunctival icterus (week 9), prompting presentation to the hospital (Figure 1).

Figure 1
Figure 1 A timeline of the progression of our patient’s clinical course. ALP: Alkaline phosphatase; ALT: Alanine aminotransferase; AST: Aspartate aminotransferase; BMI: Body mass index; BP: Blood pressure; HR: Heart rate; HTN: Hypertension; ICU: Intensive care unit; INR: International normalized ratio; IV: Intravenous; NAC: N-acetylcysteine; RR: Respiratory rate; SpO2: Oxygen saturation; T: Temperature; T. Bili: Total bilirubin; OxyShred: OxyShred thermogenic fat burner.
History of past illness

Her prescribed medications were stable doses of labetalol and sertraline. She denied acetaminophen, nonsteroidal anti-inflammatory, or illicit drug use and she drank alcohol rarely.

Personal and family history

She had no family history of liver disease.

Physical examination

Her exam was significant for jaundice without organomegaly.

Laboratory examinations

Laboratory studies on admission demonstrated an aspartate aminotransferase (AST) level of 1080 U/L, alanine aminotransferase (ALT) 1327 U/L, alkaline phosphatase 119 U/L, total bilirubin 15.3 mg/dL, international normalized ratio (INR) 2.3, and platelet count of 162 × 1000/μL (R-factor 23.1). Investigations for viral, immunologic, and genetic etiologies were negative (Table 1).

Table 1 Serologic work-up for etiology of acute liver failure.
Laboratory test
Result
Reference range
Viral serologies
Hepatitis A, IgMNegativeNegative
Hepatitis B, surface antigenNegativeNegative
Hepatitis B, core antibodyNegativeNegative
Hepatitis B, quantitative PCRNot detectedNot detected
Hepatitis C, antibodyNegativeNegative
Hepatitis E, quantitative PCRNot detectedNot detected
Herpes simplex virus 1/2 PCRNot detectedNot detected
Epstein-Barr virus, quantitative PCRNot detectedNot detected
Cytomegalovirus, quantitative PCRNot detectedNot detected
Autoantibody titers
Immunoglobulin G1265 mg/dL700-1600 mg/dL
Antinuclear antibodyPositiveNegative
Antinuclear antibody titer1:80< 1:80
Mitochondria M2 antibody1.3 U/mL< 4.0 U/mL
Smooth Muscle antibody10 U< 20 U
Genetic liver disease work-up
Ceruloplasmin17 mg/dL (L)18-51 mg/dL
Copper, serum60 μg/dL77-206 μg/dL
Iron212 μg/dL (H)37-145 μg/dL
Total iron binding capacity< 229 μg/dL (L)250-450 μg/dL
Ferritin912 ng/mL (H)13-150 ng/mL
Alpha-1-antitrypsin86 mg/dL (L)90-200 mg/dL
Blood toxicology panel
Phenobarbital level< 2.4 μg/mL10.0-40.0 μg/mL
Salicylate level< 0.3 mg/dL3.0-10.0 mg/dL
Acetaminophen level< 5 μg/mL10-30 μg/mL
Ethanol< 10 mg/dL< 10 mg/dL
Tricyclic antidepressant screen< 100 ng/mLVariable
Phosphatidylethanol< 10 ng/mL< 10 ng/mL
Imaging examinations

Right upper quadrant ultrasound and computerized tomography were unremarkable aside from hepatomegaly.

FINAL DIAGNOSIS

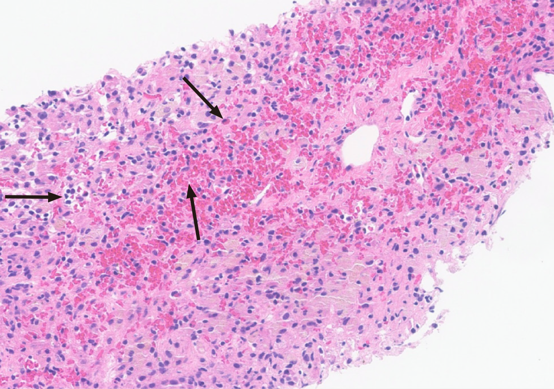
She was started on n-acetylcysteine and home medications were held. Her AST and ALT peaked at 2322 U/L and 6584 U/L, respectively, and then gradually started to decline, but her total bilirubin level and INR continued to rise despite n-acetylcysteine, vitamin K, transfusions, and supportive measures. One week later, she developed acute encephalopathy with asterixis (West Haven Criteria grade 2)[25]. Her animal naming test score was 9 and she self-reported a sensation of general brain fog[26]. Liver biopsy demonstrated massive necrosis with greater than 90% parenchymal loss (Figure 2). She was diagnosed with acute liver failure and listed status 1A for transplant.

Figure 2
Figure 2 Liver biopsy demonstrating effacement of the normal architecture with parenchymal collapse. > 90% of hepatic parenchyma is replaced with inflammatory cells, bile ductal reaction, hemorrhage, fibrin and necrotic hepatocytes. Areas of preserved hepatocytes showed a predominantly lymphocytic infiltrate. No significant steatosis. Features were determined to be most suggestive of a drug-induced liver injury.
TREATMENT

She underwent orthotopic liver transplantation 15 days into her hospital stay (Figure 3). On day of transplant her AST was 162 U/L, ALT 254 U/L, total bilirubin 18.8 mg/dL, and INR 5.52, with model for end-stage liver disease-sodium score of 35[27].

Figure 3
Figure 3 Explanted liver. Pathology reported extensive hepatocyte necrosis and marked hepatocyte drop-out, involving > 90% of the liver parenchyma (arrows). No viral cytopathic changes. Trichrome stain showed no significant fibrosis. Reticulin stain highlights marked hepatic atrophy. Iron stain was negative for hemosiderosis.
OUTCOME AND FOLLOW-UP

Her post-operative course was complicated by mild ischemic reperfusion injury, treated with alprostadil, and hemoperitoneum, for which the patient required surgical intervention on post-operative day 4. After her second surgery she continued to recover, ultimately discharged 12 days later.

DISCUSSION

OxyShred is a proprietary blend of greater than 30 ingredients with exact quantities unavailable[24]. As such, pinpointing which herb, herb-herb interaction or herb-additive interaction is most responsible for hepatotoxicity is exceptionally difficult. The product is described as having four major “matrices” of ingredients for fat burning, immunity support, mood enhancement, and vitamin B supplementation[23]. The fat burning matrix includes four ingredients that have been linked to hepatotoxicity: Garcinia cambogia (GC), conjugated linoleic acid, guggul, and chromium picolinate.

GC is an herbal product related to the tamarind tree. Traditionally used as a food preservative, it has increasingly been advertised as an appetite suppressant, with hydroxycitric acid (HCA) as an active ingredient[28]. It has been implicated in multiple case series on severe liver injury or failure often requiring transplantation[18,29,30]. In many instances, GC toxicity is associated with combination products[31-33]. However, a Drug Induced Liver Injury Network study did not find a significant difference in toxicity when used alone or in combination[30]. The mechanism of liver toxicity is not fully known, though there are theories that HCA increases hepatic collagen accumulation and lipid peroxidation, which then leads to increased upregulation of genes associated with oxidative stress and inflammatory response[34]. Risk of liver injury with GC has also been linked to the HLA-B*35.01 allele, the same genotype associated in other cases of PWS-associated liver injury[12,30]. It has been graded by the National Institute of Health as Likelihood Score B for clinically apparent liver injury[28].

Additional ingredients in OxyShred include conjugated linoleic acid, which has had two case reports of significant cholestatic liver injury when taken in isolation. In one case the patient recovered completely after discontinuation[35]; the other patient developed massive hepatic necrosis with acute liver failure requiring transplantation[36]. Theorized mechanism of injury includes induction of lipid peroxidation, which leads to free radical creation and cell death[36]. Guggul, a gum resin derived from the Commiphora wightii plant used in Vedic medicine, has been associated with several cases of severe liver injury occasionally requiring transplantation[5,37-39]. It is considered a probable cause of self-limited drug-induced liver injury; however, it is also linked to severe cases of acute liver failure when used in multiherb fat-burner products, possibly due to herb-herb interactions. Mechanism of injury is currently unknown[40]. Finally, chromium picolinate is a formulation of chromium that is generally considered safe; however, it can be toxic in higher quantities and is associated with liver dysfunction[41,42]. This toxicity has been linked to increased oxidative stress leading to genomic DNA damage[41].

This patient’s Roussel-Uclaf Causality Assessment Method score of 8 supports OxyShred as a probable cause of liver injury[43]. Studies have demonstrated that consumers often assign occurrence of adverse effects to individual factors of the consumer and not the product[44]; our patient’s relative health, young age, lack of risk factors, and moderate usage at recommended dosages suggest against a factor implicit to the patient as a cause of her organ failure. While many of these components have been used in traditional medicine for centuries, modern methods of extraction and concentration, as well as combination with other ingredients, may enhance their toxicity. Furthermore, the synergistic effect of so many ingredients may exponentiate harm caused by any one ingredient or unmask toxicity of individually safe ingredients by altering metabolism. Such effects are impossible to predict prospectively based on the safety of individual ingredients, which is the current industry safety standard for herbal supplements[45]. Further monitoring and attention are needed to observe whether other patients experience similar toxicity after sustained use of OxyShred.

CONCLUSION

Physicians need to be aware of the potential hepatotoxicity of PWS, screen for them in history taking and caution against their use in lifestyle counselling. Several studies have demonstrated fewer than one-third of patients using supplements disclose their use to physicians in both inpatient and outpatient settings — mainly because they are not asked[46,47]. Additionally, much greater regulation is needed on a federal level to protect consumers, including development of regulatory bodies to oversee post-marketing surveillance for HDS, required ingredient quantity and source for combination products, and re-evaluation of the current classification of HDS as non-pharmaceutical agents, in order to allow patients and their physicians to better understand the health effects of supplement use.

References
1.   Pre-Workout Supplements Market Size, Share & Trends Analysis Report By Form (Powder, Capsule, Ready to Drink), By Distribution Channel (Online, offline), By Region, And Segment Forecasts, 2025-2030. Pre-Workout Supplements Market Size|Industry Report 2030, Grandview Research, 2025. Available from: https://www.grandviewresearch.com/industry-analysis/pre-workout-supplements-market.  [PubMed]  [DOI]
2.  Straits Research  Pre-Workout Supplements Market Size, Share & Trends Analysis Report By Product Type (Powder, CapsuleTablet, Drinks, Other Types), By Distribution Channel (Hypermarket/Supermarket, Specialty Stores, Online Retail Stores, Other Distribution Channels) and By Region (North America, Europe, APAC, Middle East and Africa, LATAM) Forecasts, 2024-2032. Pre-Workout Supplements Market Size, Share & Trends Forecast 2032, Straits Research, 2024. Available from: https://straitsresearch.com/report/pre-workout-supplements-market.  [PubMed]  [DOI]
3.  Tucker J, Fischer T, Upjohn L, Mazzera D, Kumar M. Unapproved Pharmaceutical Ingredients Included in Dietary Supplements Associated With US Food and Drug Administration Warnings. JAMA Netw Open. 2018;1:e183337.  [RCA]  [PubMed]  [DOI]  [Full Text]  [Cited by in Crossref: 99]  [Cited by in RCA: 151]  [Article Influence: 18.9]  [Reference Citation Analysis (0)]
4.  Maida J  Gym and Health Clubs Market to Grow by USD 20.58 Billion (2024-2028), Rising Gym Memberships among Boomers and Millennials, Ai Impact on Market Trends – Technavio. PR Newswire, Cision PR Newswire [December 18, 2024]. Available from: https://www.prnewswire.com/news-releases/gym-and-health-clubs-market-to-grow-by-usd-20-58-billion-2024-2028-rising-gym-memberships-among-boomers-and-millennials-ai-impact-on-market-trends---technavio-302334484.html.  [PubMed]  [DOI]
5.  Yellapu RK, Mittal V, Grewal P, Fiel M, Schiano T. Acute liver failure caused by 'fat burners' and dietary supplements: a case report and literature review. Can J Gastroenterol. 2011;25:157-160.  [RCA]  [PubMed]  [DOI]  [Full Text]  [Cited by in Crossref: 54]  [Cited by in RCA: 51]  [Article Influence: 3.4]  [Reference Citation Analysis (0)]
6.  Bray GA. Are non-prescription medications needed for weight control? Obesity (Silver Spring). 2008;16:509-514.  [RCA]  [PubMed]  [DOI]  [Full Text]  [Cited by in Crossref: 19]  [Cited by in RCA: 18]  [Article Influence: 1.0]  [Reference Citation Analysis (0)]
7.  Teschke R, Wolff A, Frenzel C, Schwarzenboeck A, Schulze J, Eickhoff A. Drug and herb induced liver injury: Council for International Organizations of Medical Sciences scale for causality assessment. World J Hepatol. 2014;6:17-32.  [RCA]  [PubMed]  [DOI]  [Full Text]  [Full Text (PDF)]  [Cited by in Crossref: 57]  [Cited by in RCA: 64]  [Article Influence: 5.3]  [Reference Citation Analysis (0)]
8.  Bailey RL, Gahche JJ, Lentino CV, Dwyer JT, Engel JS, Thomas PR, Betz JM, Sempos CT, Picciano MF. Dietary supplement use in the United States, 2003-2006. J Nutr. 2011;141:261-266.  [RCA]  [PubMed]  [DOI]  [Full Text]  [Full Text (PDF)]  [Cited by in Crossref: 627]  [Cited by in RCA: 527]  [Article Influence: 35.1]  [Reference Citation Analysis (0)]
9.  Clarke TC, Black LI, Stussman BJ, Barnes PM, Nahin RL. Trends in the use of complementary health approaches among adults: United States, 2002-2012. Natl Health Stat Report. 2015;1-16.  [PubMed]  [DOI]
10.  Navarro VJ, Khan I, Björnsson E, Seeff LB, Serrano J, Hoofnagle JH. Liver injury from herbal and dietary supplements. Hepatology. 2017;65:363-373.  [RCA]  [PubMed]  [DOI]  [Full Text]  [Cited by in Crossref: 283]  [Cited by in RCA: 282]  [Article Influence: 31.3]  [Reference Citation Analysis (1)]
11.  Navarro VJ, Barnhart H, Bonkovsky HL, Davern T, Fontana RJ, Grant L, Reddy KR, Seeff LB, Serrano J, Sherker AH, Stolz A, Talwalkar J, Vega M, Vuppalanchi R. Liver injury from herbals and dietary supplements in the U.S. Drug-Induced Liver Injury Network. Hepatology. 2014;60:1399-1408.  [RCA]  [PubMed]  [DOI]  [Full Text]  [Full Text (PDF)]  [Cited by in Crossref: 343]  [Cited by in RCA: 288]  [Article Influence: 24.0]  [Reference Citation Analysis (0)]
12.  Furhad S, Bokhari AA.   Herbal Supplements. 2024 Sep 2. In: StatPearls [Internet]. Treasure Island (FL): StatPearls Publishing; 2025 Jan-.  [PubMed]  [DOI]
13.  Ma ZT, Shi Z, Xiao XH, Wang JB. New Insights into Herb-Induced Liver Injury. Antioxid Redox Signal. 2023;38:1138-1149.  [RCA]  [PubMed]  [DOI]  [Full Text]  [Cited by in Crossref: 8]  [Cited by in RCA: 26]  [Article Influence: 8.7]  [Reference Citation Analysis (0)]
14.  Lee TP. A narrative review of herb-induced liver injury. Dig Med Res. 2021;4:28-28.  [PubMed]  [DOI]  [Full Text]
15.  Correction: Fatty acids promote fatty liver disease via the dysregulation of 3-mercaptopyruvate sulfurtransferase/hydrogen sulfide pathway. Gut. 2025;74:e13.  [RCA]  [PubMed]  [DOI]  [Full Text]  [Full Text (PDF)]  [Cited by in RCA: 1]  [Reference Citation Analysis (0)]
16.  Marinac JS, Buchinger CL, Godfrey LA, Wooten JM, Sun C, Willsie SK. Herbal products and dietary supplements: a survey of use, attitudes, and knowledge among older adults. J Am Osteopath Assoc. 2007;107:13-20; quiz 21.  [PubMed]  [DOI]
17.  Hayamizu K, Ishii Y, Kaneko I, Shen M, Okuhara Y, Shigematsu N, Tomi H, Furuse M, Yoshino G, Shimasaki H. Effects of garcinia cambogia (Hydroxycitric Acid) on visceral fat accumulation: a double-blind, randomized, placebo-controlled trial. Curr Ther Res Clin Exp. 2003;64:551-567.  [RCA]  [PubMed]  [DOI]  [Full Text]  [Cited by in Crossref: 55]  [Cited by in RCA: 57]  [Article Influence: 4.8]  [Reference Citation Analysis (0)]
18.  Crescioli G, Lombardi N, Bettiol A, Marconi E, Risaliti F, Bertoni M, Menniti Ippolito F, Maggini V, Gallo E, Firenzuoli F, Vannacci A. Acute liver injury following Garcinia cambogia weight-loss supplementation: case series and literature review. Intern Emerg Med. 2018;13:857-872.  [RCA]  [PubMed]  [DOI]  [Full Text]  [Cited by in Crossref: 42]  [Cited by in RCA: 49]  [Article Influence: 6.1]  [Reference Citation Analysis (1)]
19.  Catanzaro M, Corsini E, Rosini M, Racchi M, Lanni C. Immunomodulators Inspired by Nature: A Review on Curcumin and Echinacea. Molecules. 2018;23:2778.  [RCA]  [PubMed]  [DOI]  [Full Text]  [Full Text (PDF)]  [Cited by in Crossref: 85]  [Cited by in RCA: 124]  [Article Influence: 15.5]  [Reference Citation Analysis (0)]
20.  Wölfle U, Seelinger G, Schempp CM. Topical application of St. John's wort (Hypericum perforatum). Planta Med. 2014;80:109-120.  [RCA]  [PubMed]  [DOI]  [Full Text]  [Cited by in Crossref: 38]  [Cited by in RCA: 61]  [Article Influence: 5.1]  [Reference Citation Analysis (0)]
21.  Weinmann S, Roll S, Schwarzbach C, Vauth C, Willich SN. Effects of Ginkgo biloba in dementia: systematic review and meta-analysis. BMC Geriatr. 2010;10:14.  [RCA]  [PubMed]  [DOI]  [Full Text]  [Full Text (PDF)]  [Cited by in Crossref: 205]  [Cited by in RCA: 154]  [Article Influence: 9.6]  [Reference Citation Analysis (0)]
22.  Wilson K  From Self-Funding to Viral Fame: The Impact of Black Creators on This Fitness Brand’s Journey. Essence, [updated August 11, 2024]. Available from: https://www.essence.com/lifestyle/health-wellness/self-funding-viral-fame-oxyshred/#:~:text=Holiday%20Gift%20Guide-,From%20Self%2DFunding%20To%20Viral%20Fame%3A%20The%20Impact%20of%20Black,a%20protein%20shake%20after%20exercise.  [PubMed]  [DOI]
23.   Online Sports Supplement Store: The Official Home of OxyShredTM. EHPlabs, ehplabs.com/. [Accessed 13 July 2025]. Available from: https://ehplabs.com/.  [PubMed]  [DOI]
24.  Prather JM, Florez CM, Vargas A, Soto B, Harrison A, Willoughby D, Tinsley G, Taylor L. The effects of a thermogenic supplement on metabolic and hemodynamic variables and subjective mood states. J Int Soc Sports Nutr. 2023;20:2185538.  [RCA]  [PubMed]  [DOI]  [Full Text]  [Cited by in RCA: 7]  [Reference Citation Analysis (0)]
25.  Vilstrup H, Amodio P, Bajaj J, Cordoba J, Ferenci P, Mullen KD, Weissenborn K, Wong P. Hepatic encephalopathy in chronic liver disease: 2014 Practice Guideline by the American Association for the Study of Liver Diseases and the European Association for the Study of the Liver. Hepatology. 2014;60:715-735.  [RCA]  [PubMed]  [DOI]  [Full Text]  [Cited by in Crossref: 1758]  [Cited by in RCA: 1499]  [Article Influence: 124.9]  [Reference Citation Analysis (0)]
26.  Agarwal A, Taneja S, Chopra M, Duseja A, Dhiman RK. Animal Naming Test - a simple and accurate test for diagnosis of minimal hepatic encephalopathy and prediction of overt hepatic encephalopathy. Clin Exp Hepatol. 2020;6:116-124.  [RCA]  [PubMed]  [DOI]  [Full Text]  [Full Text (PDF)]  [Cited by in Crossref: 2]  [Cited by in RCA: 22]  [Article Influence: 3.7]  [Reference Citation Analysis (0)]
27.  Kim WR, Biggins SW, Kremers WK, Wiesner RH, Kamath PS, Benson JT, Edwards E, Therneau TM. Hyponatremia and mortality among patients on the liver-transplant waiting list. N Engl J Med. 2008;359:1018-1026.  [RCA]  [PubMed]  [DOI]  [Full Text]  [Cited by in Crossref: 1236]  [Cited by in RCA: 1105]  [Article Influence: 61.4]  [Reference Citation Analysis (0)]
28.   Garcinia Cambogia. 2019 Feb 13. In: LiverTox: Clinical and Research Information on Drug-Induced Liver Injury [Internet]. Bethesda (MD): National Institute of Diabetes and Digestive and Kidney Diseases; 2012– .  [PubMed]  [DOI]
29.  Lunsford KE, Bodzin AS, Reino DC, Wang HL, Busuttil RW. Dangerous dietary supplements: Garcinia cambogia-associated hepatic failure requiring transplantation. World J Gastroenterol. 2016;22:10071-10076.  [RCA]  [PubMed]  [DOI]  [Full Text]  [Full Text (PDF)]  [Cited by in CrossRef: 49]  [Cited by in RCA: 53]  [Article Influence: 5.3]  [Reference Citation Analysis (1)]
30.  Vuppalanchi R, Bonkovsky HL, Ahmad J, Barnhart H, Durazo F, Fontana RJ, Gu J, Khan I, Kleiner DE, Koh C, Rockey DC, Phillips EJ, Li YJ, Serrano J, Stolz A, Tillmann HL, Seeff LB, Hoofnagle JH, Navarro VJ; Drug-Induced Liver Injury Network. Garcinia cambogia, Either Alone or in Combination With Green Tea, Causes Moderate to Severe Liver Injury. Clin Gastroenterol Hepatol. 2022;20:e1416-e1425.  [RCA]  [PubMed]  [DOI]  [Full Text]  [Cited by in Crossref: 22]  [Cited by in RCA: 31]  [Article Influence: 7.8]  [Reference Citation Analysis (0)]
31.  Skeie G, Braaten T, Hjartåker A, Lentjes M, Amiano P, Jakszyn P, Pala V, Palanca A, Niekerk EM, Verhagen H, Avloniti K, Psaltopoulou T, Niravong M, Touvier M, Nimptsch K, Haubrock J, Walker L, Spencer EA, Roswall N, Olsen A, Wallström P, Nilsson S, Casagrande C, Deharveng G, Hellström V, Boutron-Ruault MC, Tjønneland A, Joensen AM, Clavel-Chapelon F, Trichopoulou A, Martinez C, Rodríguez L, Frasca G, Sacerdote C, Peeters PH, Linseisen J, Schienkiewitz A, Welch AA, Manjer J, Ferrari P, Riboli E, Bingham S, Engeset D, Lund E, Slimani N. Use of dietary supplements in the European Prospective Investigation into Cancer and Nutrition calibration study. Eur J Clin Nutr. 2009;63 Suppl 4:S226-S238.  [RCA]  [PubMed]  [DOI]  [Full Text]  [Cited by in Crossref: 160]  [Cited by in RCA: 177]  [Article Influence: 10.4]  [Reference Citation Analysis (0)]
32.  Dietz B, Bolton JL. Botanical dietary supplements gone bad. Chem Res Toxicol. 2007;20:586-590.  [RCA]  [PubMed]  [DOI]  [Full Text]  [Full Text (PDF)]  [Cited by in Crossref: 17]  [Cited by in RCA: 12]  [Article Influence: 0.6]  [Reference Citation Analysis (0)]
33.  Pittler MH, Schmidt K, Ernst E. Adverse events of herbal food supplements for body weight reduction: systematic review. Obes Rev. 2005;6:93-111.  [RCA]  [PubMed]  [DOI]  [Full Text]  [Cited by in Crossref: 134]  [Cited by in RCA: 109]  [Article Influence: 5.2]  [Reference Citation Analysis (0)]
34.  Fong TL, Klontz KC, Canas-Coto A, Casper SJ, Durazo FA, Davern TJ 2nd, Hayashi P, Lee WM, Seeff LB. Hepatotoxicity due to hydroxycut: a case series. Am J Gastroenterol. 2010;105:1561-1566.  [RCA]  [PubMed]  [DOI]  [Full Text]  [Cited by in Crossref: 97]  [Cited by in RCA: 96]  [Article Influence: 6.0]  [Reference Citation Analysis (0)]
35.  Ramos R, Mascarenhas J, Duarte P, Vicente C, Casteleiro C. Conjugated linoleic acid-induced toxic hepatitis: first case report. Dig Dis Sci. 2009;54:1141-1143.  [RCA]  [PubMed]  [DOI]  [Full Text]  [Cited by in Crossref: 39]  [Cited by in RCA: 30]  [Article Influence: 1.8]  [Reference Citation Analysis (0)]
36.  Nortadas R, Barata J. Fulminant hepatitis during self-medication with conjugated linoleic acid. Ann Hepatol. 2012;11:265-267.  [RCA]  [PubMed]  [DOI]  [Full Text]  [Cited by in Crossref: 23]  [Cited by in RCA: 18]  [Article Influence: 1.3]  [Reference Citation Analysis (0)]
37.  Grieco A, Miele L, Pompili M, Biolato M, Vecchio FM, Grattagliano I, Gasbarrini G. Acute hepatitis caused by a natural lipid-lowering product: when "alternative" medicine is no "alternative" at all. J Hepatol. 2009;50:1273-1277.  [RCA]  [PubMed]  [DOI]  [Full Text]  [Cited by in Crossref: 45]  [Cited by in RCA: 34]  [Article Influence: 2.0]  [Reference Citation Analysis (0)]
38.  Polavarapu AD, Daoud M, Philipose J, Deeb L. Fat Burner Causing Liver Injury. Am J Gastroenterol. 2017;112:S1571.  [PubMed]  [DOI]  [Full Text]
39.  Dalal KK, Holdbrook T, Peikin SR. Ayurvedic drug induced liver injury. World J Hepatol. 2017;9:1205-1209.  [RCA]  [PubMed]  [DOI]  [Full Text]  [Full Text (PDF)]  [Cited by in Crossref: 8]  [Cited by in RCA: 9]  [Article Influence: 1.0]  [Reference Citation Analysis (0)]
40.  Philips CA, Ahamed R, Rajesh S, George T, Mohanan M, Augustine P. Comprehensive review of hepatotoxicity associated with traditional Indian Ayurvedic herbs. World J Hepatol. 2020;12:574-595.  [RCA]  [PubMed]  [DOI]  [Full Text]  [Full Text (PDF)]  [Cited by in Crossref: 49]  [Cited by in RCA: 35]  [Article Influence: 5.8]  [Reference Citation Analysis (0)]
41.  Bagchi D, Stohs SJ, Downs BW, Bagchi M, Preuss HG. Cytotoxicity and oxidative mechanisms of different forms of chromium. Toxicology. 2002;180:5-22.  [RCA]  [PubMed]  [DOI]  [Full Text]  [Cited by in Crossref: 479]  [Cited by in RCA: 384]  [Article Influence: 16.0]  [Reference Citation Analysis (0)]
42.  Cerulli J, Grabe DW, Gauthier I, Malone M, McGoldrick MD. Chromium picolinate toxicity. Ann Pharmacother. 1998;32:428-431.  [RCA]  [PubMed]  [DOI]  [Full Text]  [Cited by in Crossref: 152]  [Cited by in RCA: 115]  [Article Influence: 4.1]  [Reference Citation Analysis (0)]
43.   Roussel Uclaf Causality Assessment Method (RUCAM) in Drug Induced Liver Injury. 2019 May 4. In: LiverTox: Clinical and Research Information on Drug-Induced Liver Injury [Internet]. Bethesda (MD): National Institute of Diabetes and Digestive and Kidney Diseases; 2012– .  [PubMed]  [DOI]
44.  Halegoua-DeMarzio D, Navarro V. Challenges in herbal-induced liver injury identification and prevention. Liver Int. 2025;45:e16071.  [RCA]  [PubMed]  [DOI]  [Full Text]  [Cited by in RCA: 12]  [Reference Citation Analysis (0)]
45.  Pajor EM, Oenema A, Eggers SM, de Vries H. Exploring beliefs about dietary supplement use: focus group discussions with Dutch adults. Public Health Nutr. 2017;20:2694-2705.  [RCA]  [PubMed]  [DOI]  [Full Text]  [Cited by in Crossref: 10]  [Cited by in RCA: 13]  [Article Influence: 1.4]  [Reference Citation Analysis (0)]
46.  Kennedy J, Wang CC, Wu CH. Patient Disclosure about Herb and Supplement Use among Adults in the US. Evid Based Complement Alternat Med. 2008;5:451-456.  [RCA]  [PubMed]  [DOI]  [Full Text]  [Full Text (PDF)]  [Cited by in Crossref: 74]  [Cited by in RCA: 68]  [Article Influence: 3.8]  [Reference Citation Analysis (0)]
47.  Gardiner P, Sadikova E, Filippelli AC, White LF, Jack BW. Medical reconciliation of dietary supplements: don't ask, don't tell. Patient Educ Couns. 2015;98:512-517.  [RCA]  [PubMed]  [DOI]  [Full Text]  [Full Text (PDF)]  [Cited by in Crossref: 59]  [Cited by in RCA: 51]  [Article Influence: 4.6]  [Reference Citation Analysis (0)]
Footnotes

Peer review: Externally peer reviewed.

Peer-review model: Single blind

Specialty type: Gastroenterology and hepatology

Country of origin: United States

Peer-review report’s classification

Scientific quality: Grade B, Grade B, Grade C, Grade C

Novelty: Grade A, Grade A, Grade B, Grade B

Creativity or innovation: Grade B, Grade B, Grade B, Grade B

Scientific significance: Grade B, Grade B, Grade C, Grade D

P-Reviewer: El Tawil AI, Researcher, Brazil; Yang J, PhD, China S-Editor: Liu JH L-Editor: A P-Editor: Xu J