Copyright: ©Author(s) 2026.
World J Clin Cases. Mar 16, 2026; 14(8): 118789
Published online Mar 16, 2026. doi: 10.12998/wjcc.v14.i8.118789
Published online Mar 16, 2026. doi: 10.12998/wjcc.v14.i8.118789
Figure 1
Leukonychia and finger clubbing.
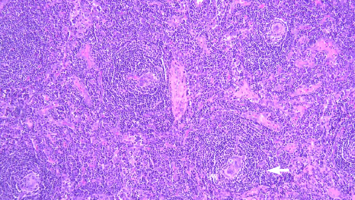
Figure 2 Hematoxylin and eosin-stained lymph node biopsy with atretic germinal centres.
Mantle zones thickened with lymphocytes arranged in layers give an onion skin appearance (white arrow).
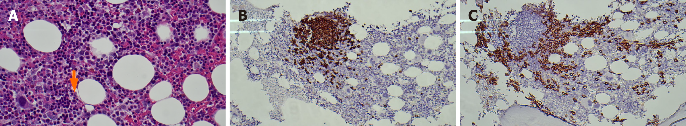
Figure 3 Bone marrow trephine sample.
A: Hyper-normocellular marrow with 5% plasma cells (orange arrow) and mild plasmacytosis; B: Aggregation of mature B-cells on CD20 immuno-histochemical stains; C: Rimmed clusters of medium to large plasma cells on CD 138 (× 20 magnification).
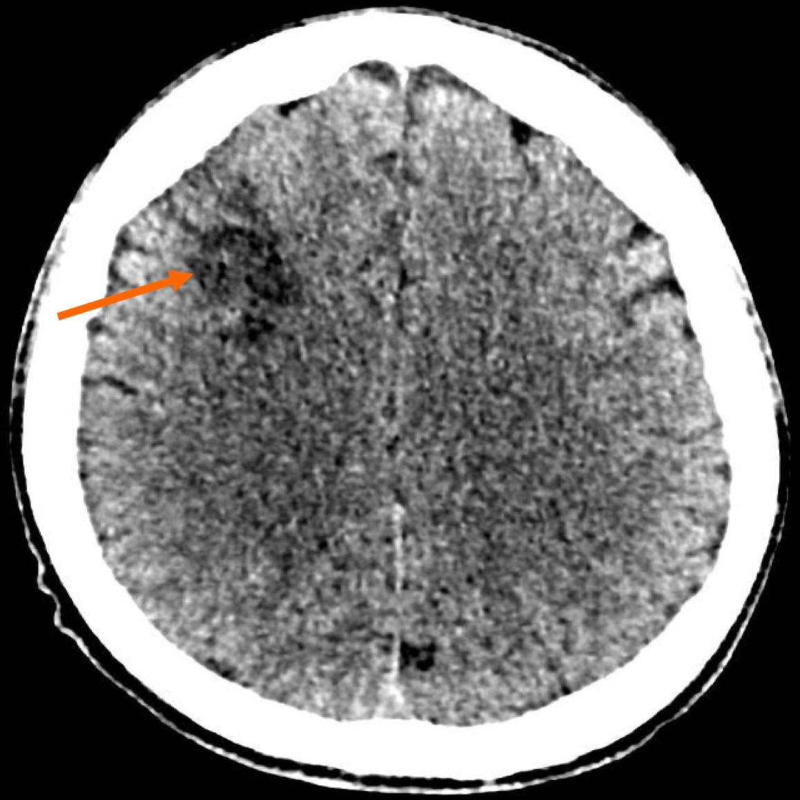
Figure 4
Non-enhanced computed tomography brain (axial view) with well-defined hypodensity at right fronto-parietal lobe, suggestive of a chronic watershed region infarct (orange arrow).
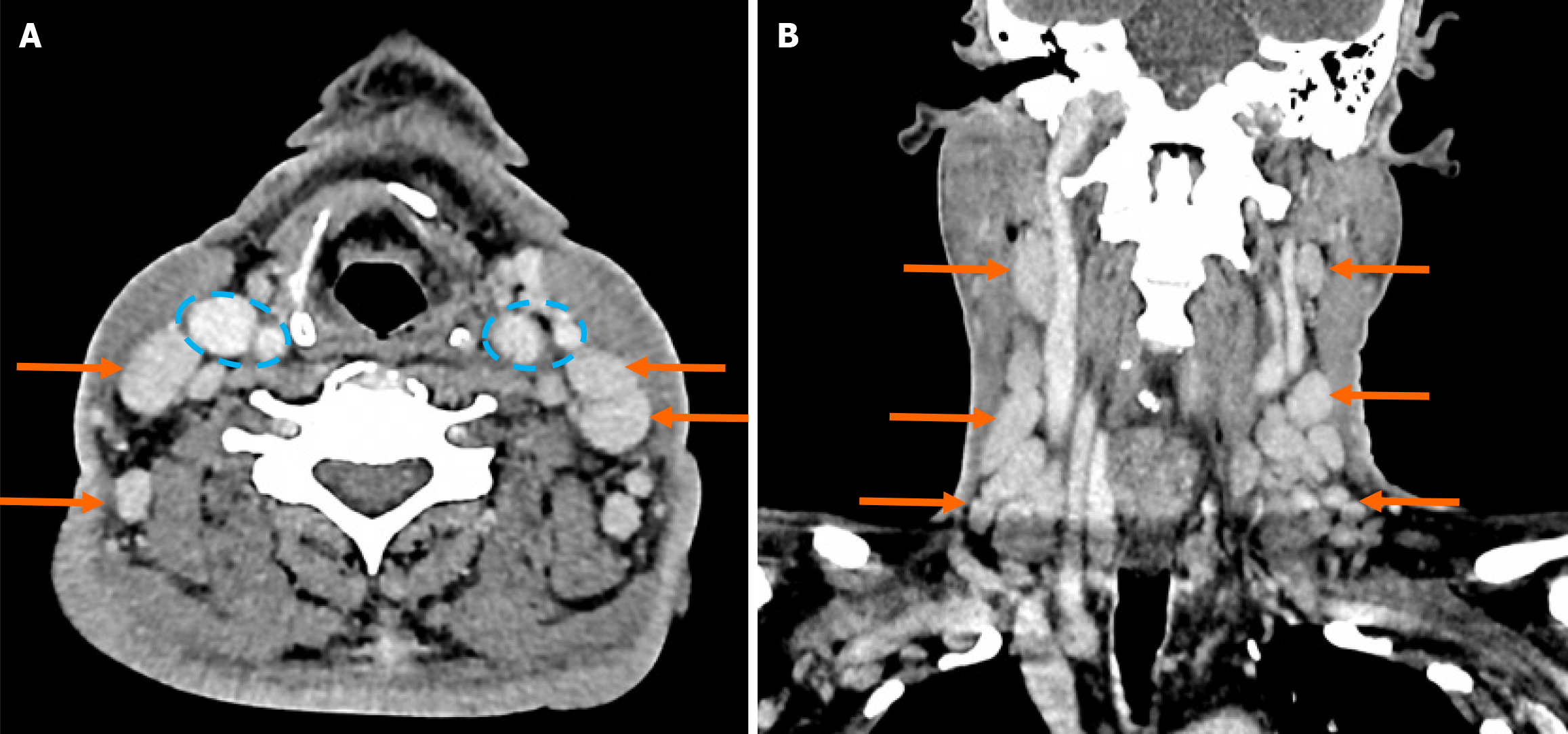
Figure 5 Contrast enhanced computed tomography neck.
A: Axial computed tomography (CT) with multiple enlarged cervical and supraclavicular lymph nodes (arrows) and patent bilateral carotid and jugular vessels are highlighted within the blue dotted lines; B: Sagittal CT with similarly enlarged nodes as mentioned (arrows).
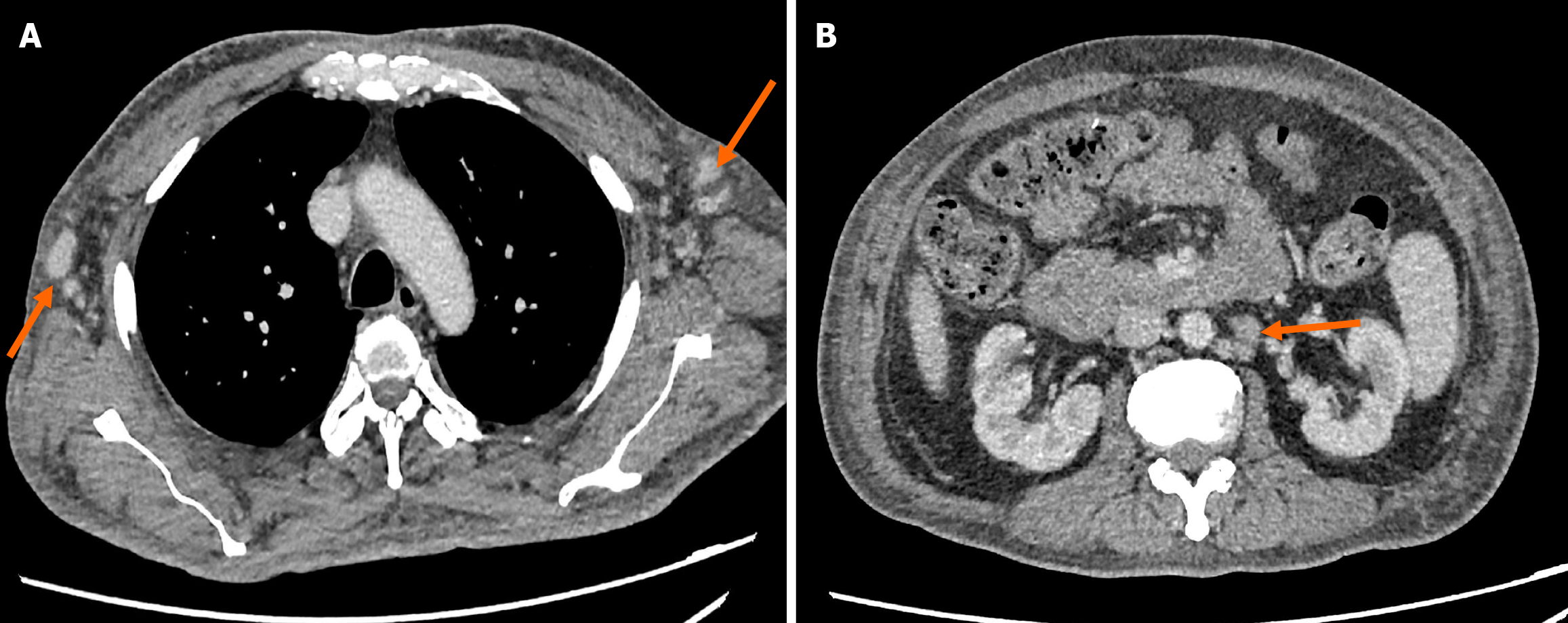
Figure 6 Contrast enhanced computed tomography thorax and abdomen.
A: Axial view depicting enlarged lymph nodes at bilateral axillary region (arrows); B: Axial view at abdominal level showing lymphadenopathy at paraaortic region (arrow).
Figure 7 Positron emission tomography/computed tomography (level of the neck).
A: Axial view showing hypermetabolic left thyroid nodule (arrows); B: Contrast enhanced computed tomography neck axial showing heterogeneously enhancing left thyroid nodule.
- Citation: Paw LJ, Tan JK, Teoh CX, Megat Mohamad Aminuddin PNA, Agusalim AF, Cheong XK, Payus AO, Wan Nik Ahmad Mustafa WAK, Omar UA, Mustafa N, Chong GY, Tumian NR, Abdul Wahid SF, Chong CY, Tan HJ, Remli R. Castleman disease variant of polyneuropathy, organomegaly, endocrinopathy, monoclonal protein and skin changes syndrome: A case report. World J Clin Cases 2026; 14(8): 118789
- URL: https://www.wjgnet.com/2307-8960/full/v14/i8/118789.htm
- DOI: https://dx.doi.org/10.12998/wjcc.v14.i8.118789
