Copyright
©The Author(s) 2026.
World J Clin Cases. Feb 26, 2026; 14(6): 118184
Published online Feb 26, 2026. doi: 10.12998/wjcc.v14.i6.118184
Published online Feb 26, 2026. doi: 10.12998/wjcc.v14.i6.118184
Figure 1 Clinical ocular manifestations of chronic panuveitis.
A: Slit-lamp photograph of the left eye demonstrating diffuse, flat, pigmented keratic preci pitates on the corneal endothelium; B: Slit-lamp photograph of the left eye showing a festooned pupil due to broad-based posterior synechiae with a complicated cataract; C: Color fundus photograph of the right eye showing grade I vitritis with healed, hypopigmented chorioretinal patches; D: Color fundus photograph of the left eye showing dense vitritis with obscured fundus details.
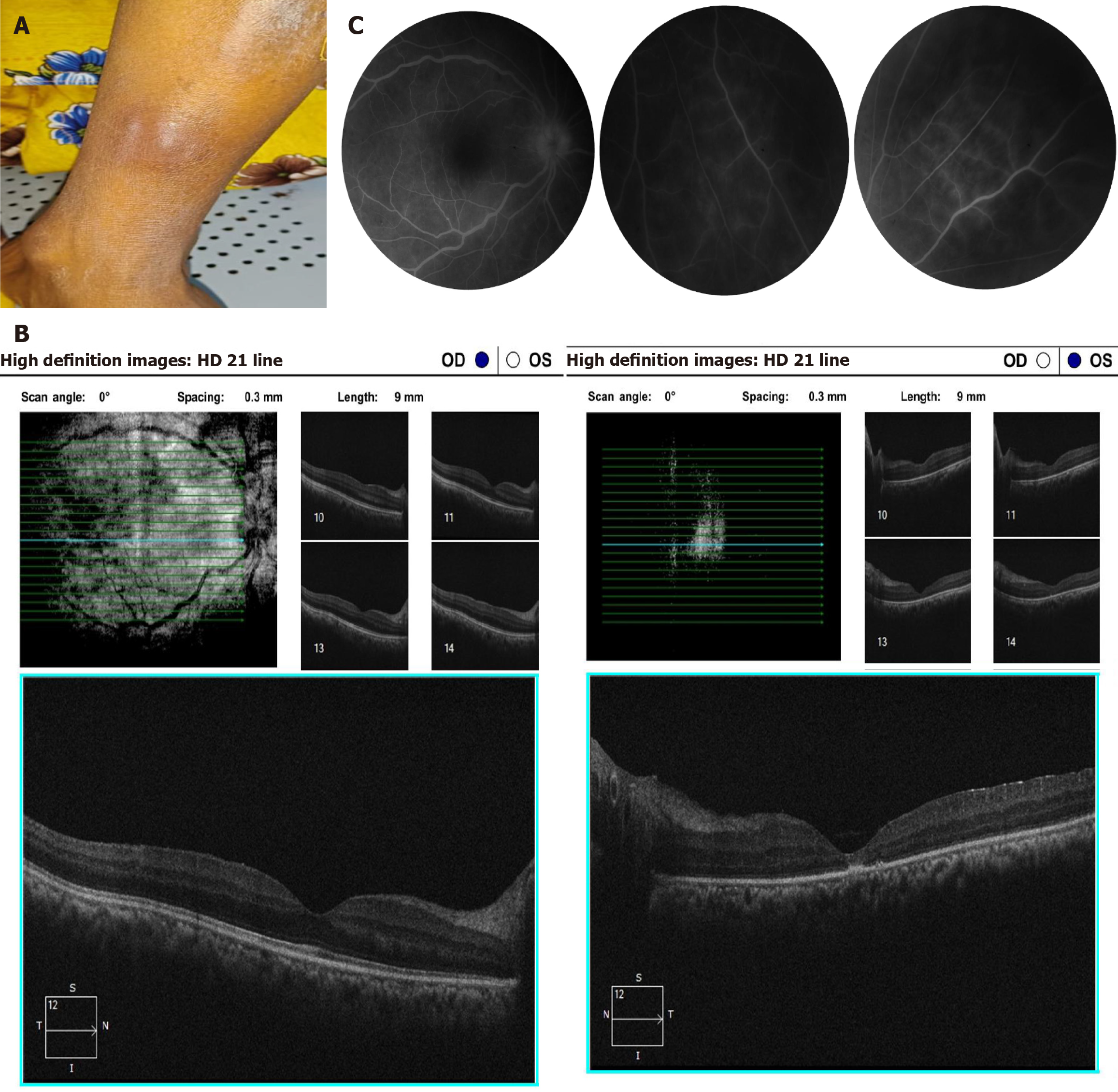
Figure 2 Systemic markers and multimodal imaging.
A: Clinical photograph of the left shin showing a tender erythematous subcutaneous nodule consistent with erythema nodosum; B: Optical coherence tomography of both eyes showing hyperreflective echoes in the vitreous cavity consistent with vitritis; C: Fundus fluorescein angiography of the right eye showing segmental perivascular leakage in the mid-peripheral retina suggestive of retinal vasculitis.
- Citation: Singh N, Morya AK, Walia S, Udenia H. Tubercular chorioretinitis mimicking sarcoidosis in a patient with celiac disease and erythema nodosum: A case report. World J Clin Cases 2026; 14(6): 118184
- URL: https://www.wjgnet.com/2307-8960/full/v14/i6/118184.htm
- DOI: https://dx.doi.org/10.12998/wjcc.v14.i6.118184
