Copyright
©The Author(s) 2026.
World J Clin Cases. Feb 26, 2026; 14(6): 117655
Published online Feb 26, 2026. doi: 10.12998/wjcc.v14.i6.117655
Published online Feb 26, 2026. doi: 10.12998/wjcc.v14.i6.117655
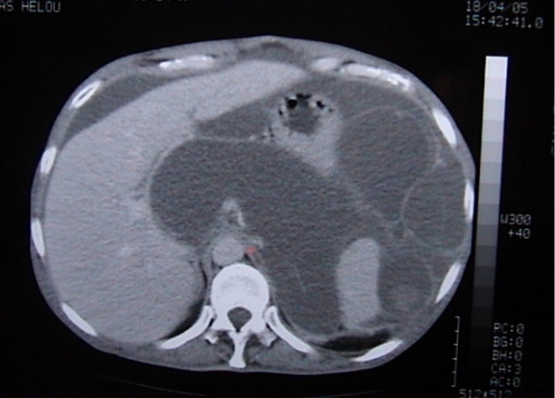
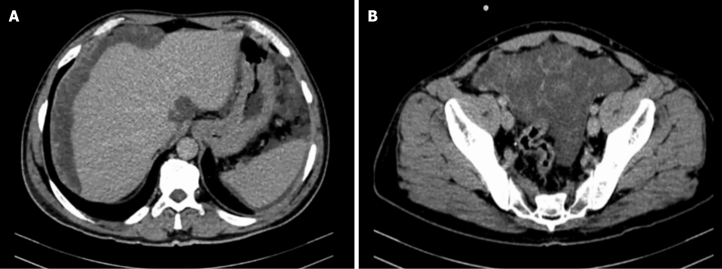
Figure 1 Enhanced computed tomography scan of the abdomen and pelvis showing a large amount of ascites.
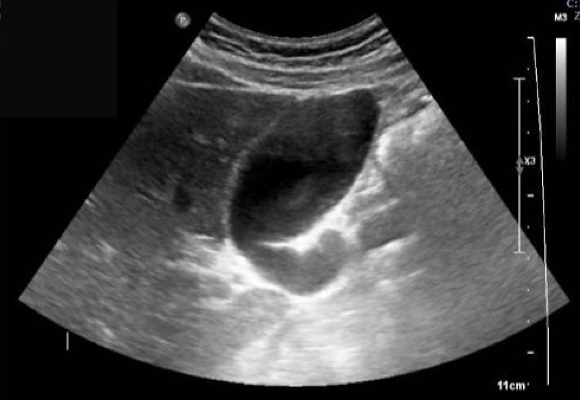
Figure 2 Abdominal ultrasound: Fluid-filled structure at the right iliac fossa.
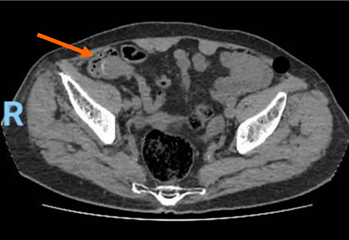
Figure 3 Computed tomography scan with intravenous contrast showing a well-circumscribed, low fluid attenuation tubular-shaped structure, seen in continuation with the base of the cecum, grossly measuring 64 mm × 29 mm × 28 mm, corresponding to the appendix (orange arrow).
Figure 4 Enhanced computed tomography scan of the abdomen and pelvis.
A: Scalloping of the liver surface; B: Omental caking.
Figure 5 Right iliac fossa mass.
Figure 6 Intraoperative findings.
A: Multiple mucinous nodules around the abdomen along with thick omental caking; B: Small lesions less than 2 mm in the mesentery along with another in the Douglas; C: Large lesion in the hepatic pedicle invading the retro portal space and the hiatus of Winslow; D: Complete omentectomy; E: Excision of the hepatic pedicle nodule and hepatic capsule; F: Complete peritonectomy starting sub diaphragmatic right and left walls bilaterally reaching the Douglas; G: Coliseum technique with suspension of abdominal walls; H: Hyperthermic intraperitoneal chemotherapy done with mitomycin 10 mg/m2 in 3 L of 1.5% Dextrose peritoneal solution at 41 degree for 90 minutes.
Figure 7 Focal perforation of the tumor contained within the abdominal wall.
Figure 8 Resected segments.
A: Right hemicolectomy specimen showing the ileum, right colon, and perforated appendix; B: Perforated appendix.
Figure 9 Histopathological examination showing a focally ruptured appendicular mucocele on a mucinous cystadenoma with absence of malignant cells.
Yellow arrows indicate extracellular mucin pools; orange arrows highlight mucin-producing columnar epithelium; blue arrows demonstrate absence of cytologic atypia. Hematoxylin and eosin staining. Scale bar = 100 µm.
Figure 10 Ruptured appendiceal mucocele.
Figure 11 Laparotomy findings.
A: Inspection of the abdomen; B: Hyperthermic intraperitoneal chemotherapy closed technique.
Figure 12 Right hemicolectomy with cytoreductive surgery and hyperthermic intraperitoneal chemotherapy.
A: Inspection of the abdomen; B: Peritonectomy; C: Closed technique hyperthermic intraperitoneal chemotherapy; D: Specimen removed.
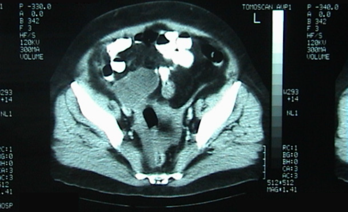
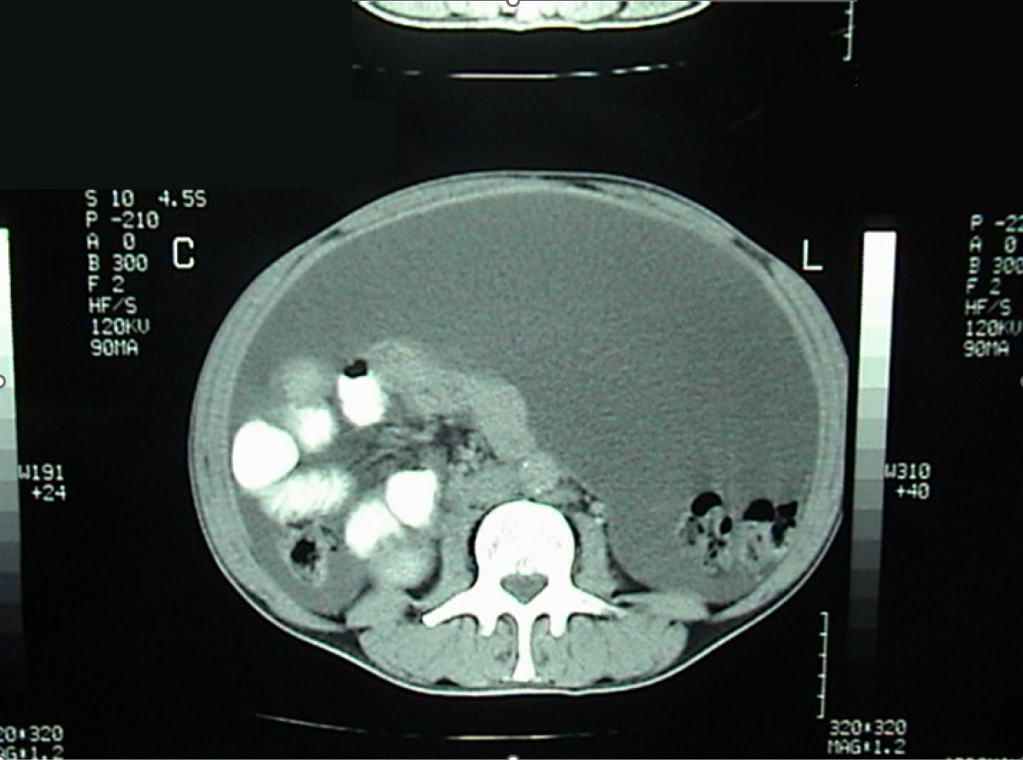
Figure 13 Enhanced computed tomography scan showing a large amount of ascites.
Figure 14 Complete cytoreductive surgery with visceral and parietal peritonectomy.
A: Gelatinous mucinous secretions released from the abdomen; B: Visceral peritonectomy.
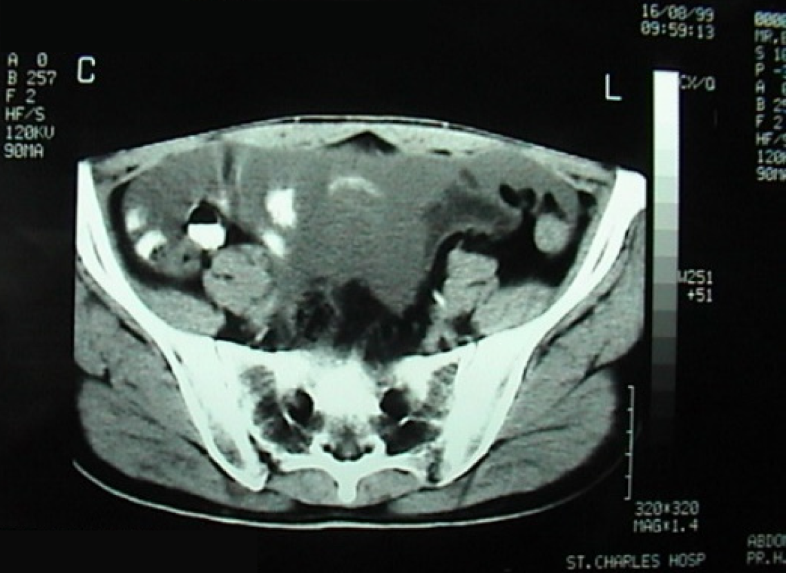
Figure 15 Enhanced computed tomography scan abdomen pelvis showing the presence of abundant ascites.
Figure 16 Third laparotomy performed with complete cytoreductive surgery followed.
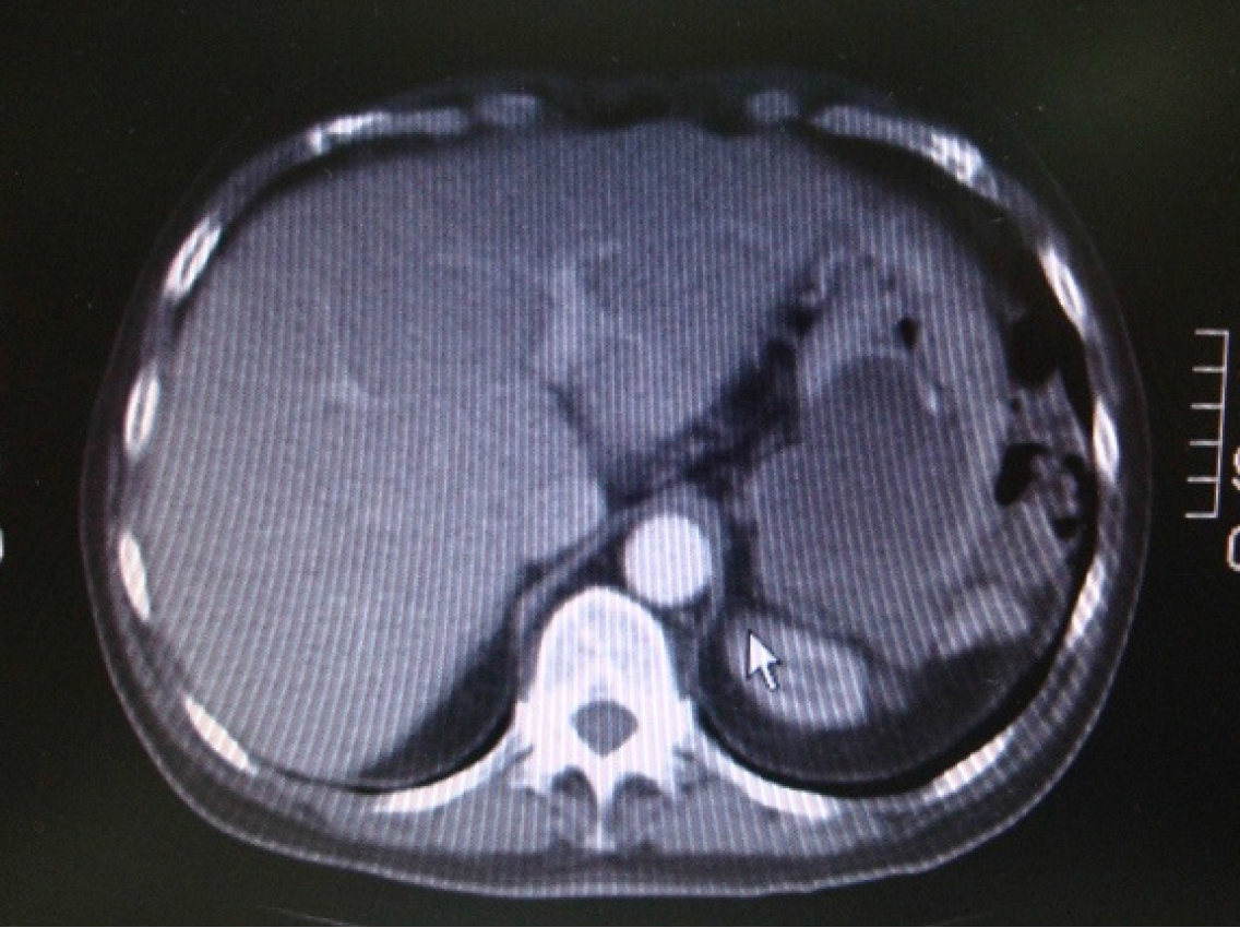
Figure 17 Enhanced computed tomography scan of the abdomen showing exterior compression of the stomach.
Figure 18 Mechanical ileo-ileal anastomosis and a double-lumen left colostomy.
A: Retrogastric mass invading the left diaphragm (white circle); B: Colonic mass invading part of the small bowel (white circle); C: Hyperthermic intraperitoneal chemotherapy.
- Citation: Aby Hadeer R, Ghattas S, Farhat H, Maalouf H, Bitar JE, Ayash D, Mohtar F, Elias B, Wakim R. Cytoreductive surgery and hyperthermic intraperitoneal chemotherapy for appendiceal mucocele tumors: Five case reports and review of literature. World J Clin Cases 2026; 14(6): 117655
- URL: https://www.wjgnet.com/2307-8960/full/v14/i6/117655.htm
- DOI: https://dx.doi.org/10.12998/wjcc.v14.i6.117655
