Copyright
©The Author(s) 2026.
World J Clin Cases. Feb 16, 2026; 14(5): 118498
Published online Feb 16, 2026. doi: 10.12998/wjcc.v14.i5.118498
Published online Feb 16, 2026. doi: 10.12998/wjcc.v14.i5.118498
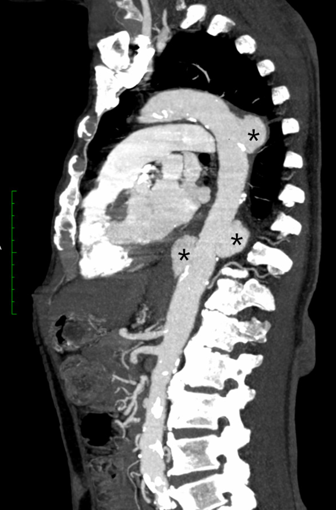
Figure 1 Sagittal view of computed tomography angiography of the thoracic aorta in maximum intensity projection showing three saccular aneurysms (*) along the descending thoracic aorta.
Background atherosclerotic changes of the visualized aorta are also noted.
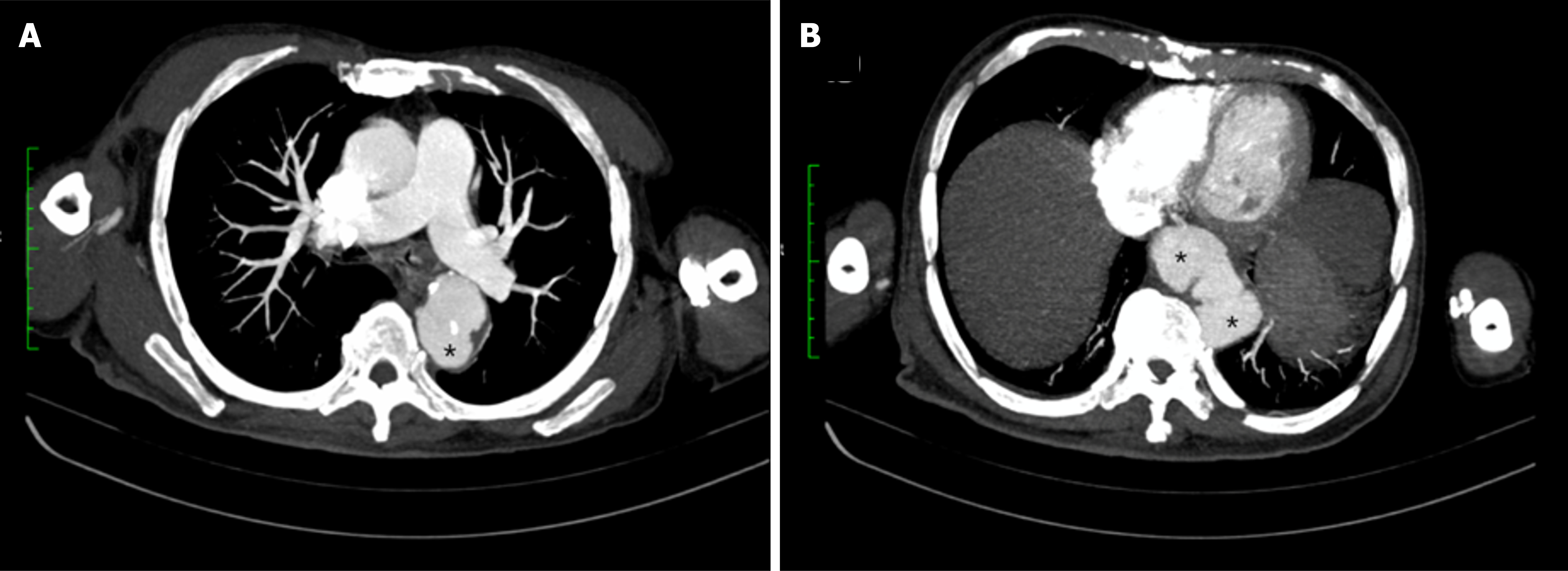
Figure 2 Axial view of computed tomography angiography of the thoracic aorta.
A: Upper thoracic axial section demonstrating a saccular aneurysm (*) arising from the descending thoracic aorta; B: Lower thoracic axial section showing additional saccular aneurysms (*) along the descending thoracic aorta.
- Citation: Chang CY, Nor Aswan FA, Muhamad Yazid MA. Disseminated melioidosis presenting with multifocal thoracic aortic mycotic aneurysms: A case report. World J Clin Cases 2026; 14(5): 118498
- URL: https://www.wjgnet.com/2307-8960/full/v14/i5/118498.htm
- DOI: https://dx.doi.org/10.12998/wjcc.v14.i5.118498
