Copyright
©The Author(s) 2026.
World J Clin Cases. Feb 16, 2026; 14(5): 117016
Published online Feb 16, 2026. doi: 10.12998/wjcc.v14.i5.117016
Published online Feb 16, 2026. doi: 10.12998/wjcc.v14.i5.117016
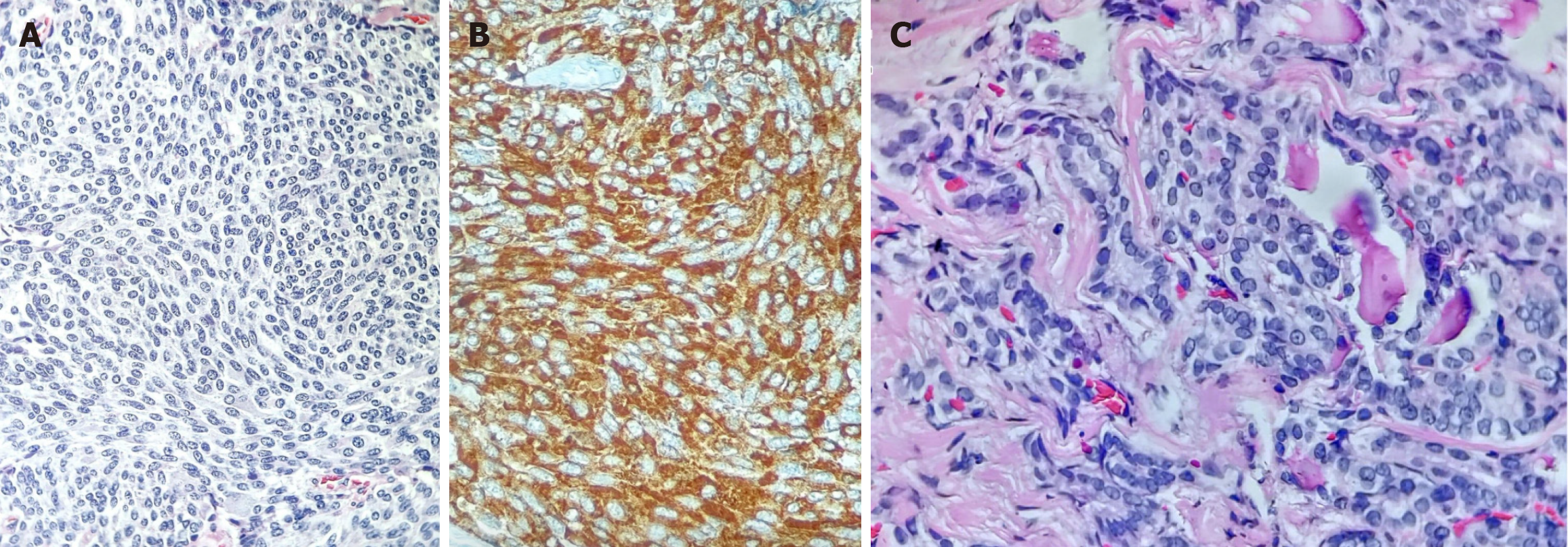
Figure 1 Pathology.
A: Medullary carcinoma of the thyroid hematoxylin and eosin 10 ×; B: Calcitonin immunohistochemical stain 10 ×; C: Micropapillary carcinoma of the thyroid hematoxylin and eosin 10 ×.
- Citation: Alvarez M, Luna M, Suarez E, Rincon O, Guzman I, Mancera P. Thyroid collision tumor and Graves’ disease: A case report and review of literature. World J Clin Cases 2026; 14(5): 117016
- URL: https://www.wjgnet.com/2307-8960/full/v14/i5/117016.htm
- DOI: https://dx.doi.org/10.12998/wjcc.v14.i5.117016
