Copyright
©The Author(s) 2025.
World J Clin Cases. Dec 26, 2025; 13(36): 113778
Published online Dec 26, 2025. doi: 10.12998/wjcc.v13.i36.113778
Published online Dec 26, 2025. doi: 10.12998/wjcc.v13.i36.113778
Figure 1 Microscopic visualization of a fasciola egg in a stool specimen.
This light microscopic image shows a single, large oval shaped egg with a thin, smooth, yellowish shell visualized under non stained wet mount stool preparation.
Figure 2 Histopathology of eosinophilic liver abscess.
Photomicrographs demonstrate a necrotic background with sheets of mixed inflammatory cells and scattered Charcot-Leyden crystals.
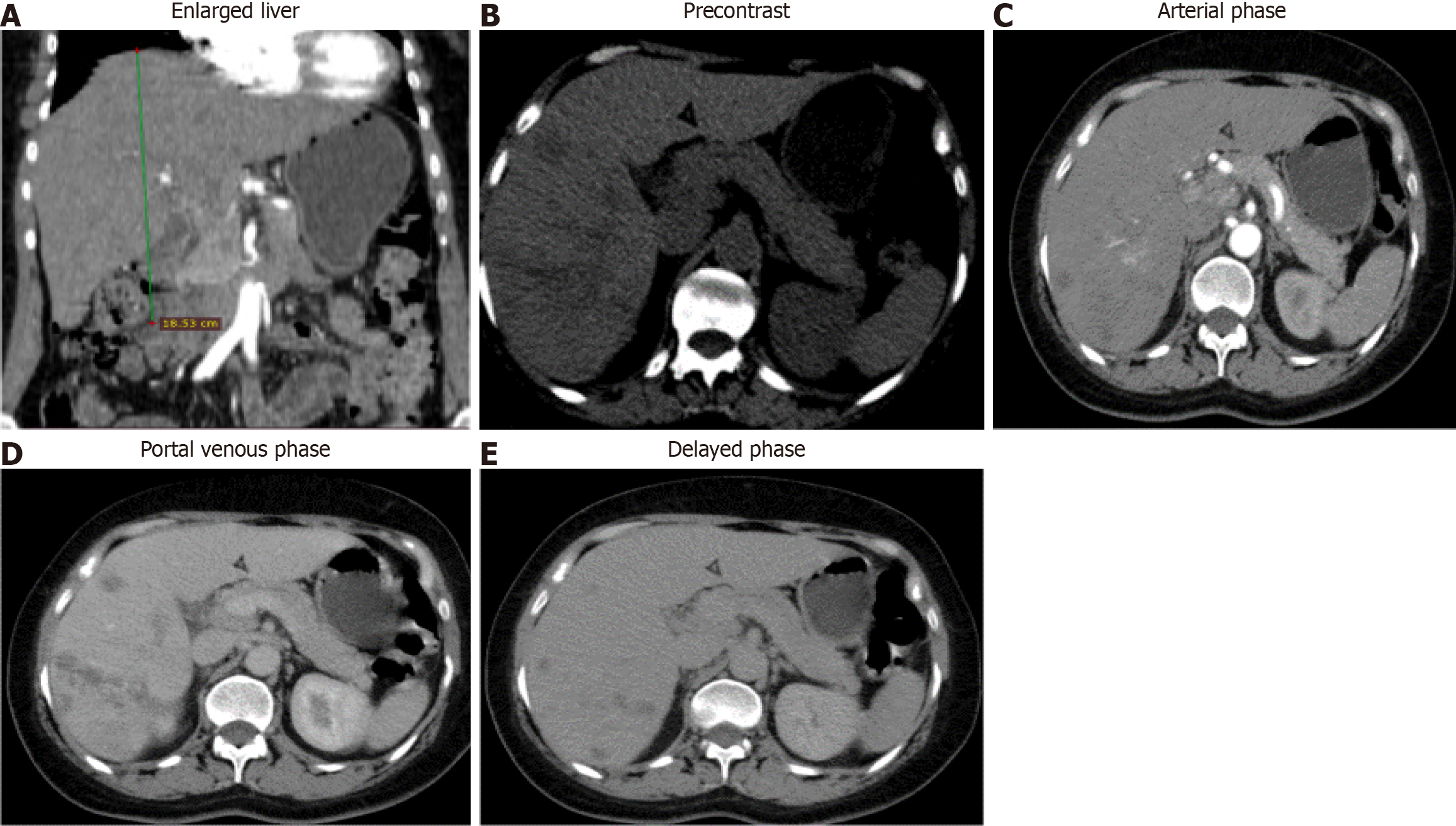
Figure 3 Abdominal computed tomography scan.
A: Abdominal computed tomography scan showed an enlarged liver; B: Shows multiple ill-defined hypodense lesions in the right lobe; C: Shows the largest lesion, a 5.3 cm × 3.3 cm measuring hypodense lesion having minimal arterial enhancement; D: Shows the delayed portal venous phase; E: Shows a slight filling in the delayed phase with the underlying hepatic parenchyma having internal attenuation more around the periportal area, which was consistent with fascioliasis.
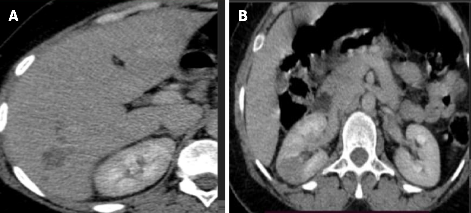
Figure 4 Abdominal computed tomography scan consistent with hepatic and kidney fasciola involvement.
A and B: The above computed tomography image showed hepatic segment 6 small subcapsular hypodense lesion with peripheral enhancement likely Fasciola hepatica (the hepatic lesions on segment 6 were clusters of oval hypodense nodules with peripheral enhancement where there is also mild biliary tree dilatation) (A). Multiple hyperdense lesions were also seen on both kidney’s (B).
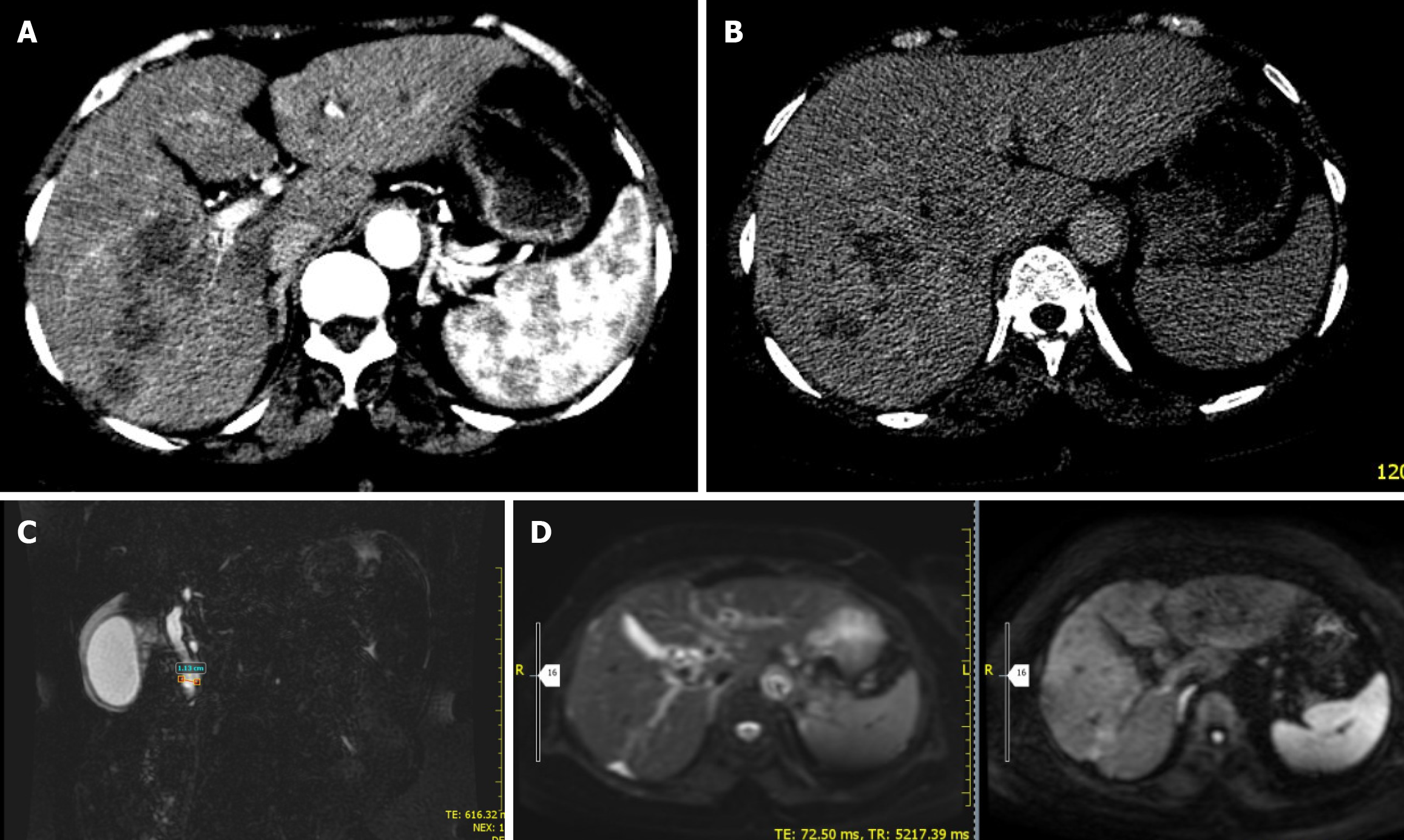
Figure 5 Abdominal computed tomography, magnetic resonance imaging, and magnetic resonance cholangiopancreatography images.
A and B: Shows arterial phase axial abdominal computed tomography (CT) can showing ill defined, confluent hypodense right lobe liver lesions (A). Delayed phase abdominal axial CT scan showing progressive central enhancement of the right lobe hypodense lesion (B); C: Showing dilated complete blood count and edematous gallbladder wall; D: Abdominal magnetic resonance imaging diffusion weighted imaging and apparent diffusion coefficient image showing focal right lobe capsular retraction with adjacent mildly restricting right lobe liver lesion.
Figure 6 Abdominal computed tomography scan.
A-C: Showed normal sized liver with segment VI 6 cm × 5.4 cm hypodense, poorly defined lesion with heterogeneous enhancement. Segment VII multiple smaller (1-1.5 cm) satellite nodules with similar characteristics. There was also a central intrahepatic duct dilatation with normal common hepatic duct size.
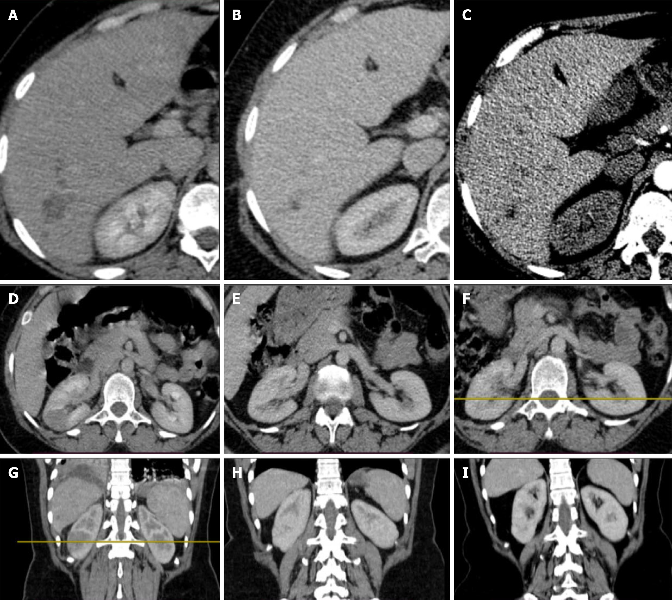
Figure 7 Serial computed tomography imaging depicting radiographic changes with treatment.
A-C: Abdominal computed tomography (CT) images of the liver showing changes with treatment; D-F: Abdominal CT images of the kidneys showing improvement with treatment; G-I: Abdominal CT scans demonstrating the progression of hepatic and renal lesions throughout the clinical course, from initial presentation to post-treatment follow-up.
- Citation: Mulate ST, Gesese BD, Nur AM, Mengistu HB, Annose RT, Berga AE, Ulfata AL. Hepatic fascioliasis of emphasizing diagnostic difficulty and the need for high index of suspicion: Four case reports. World J Clin Cases 2025; 13(36): 113778
- URL: https://www.wjgnet.com/2307-8960/full/v13/i36/113778.htm
- DOI: https://dx.doi.org/10.12998/wjcc.v13.i36.113778
