Copyright
©The Author(s) 2025.
World J Clin Cases. Dec 6, 2025; 13(34): 110925
Published online Dec 6, 2025. doi: 10.12998/wjcc.v13.i34.110925
Published online Dec 6, 2025. doi: 10.12998/wjcc.v13.i34.110925
Figure 1 Imaging findings of posterior shoulder dislocation.
A: The lightbulb sign and loss of the normal half-moon overlap on the right shoulder indicated posterior dislocation; B and C: Computed tomography revealed posterior shoulder dislocation with minimal glenoid bone loss (< 10%).
Figure 2 Shoulder radiograph after reduction.
Radiography confirmed successful reduction of the dislocated shoulder. However, the acromiohumeral interval was 3.8 mm, and the inferior glenohumeral distance was 13.9 mm (Hamada-Fukuda grade 2), suggesting a massive rotator cuff tear. A: Shoulder anteroposterior radiograph; B: Shoulder axillary radiograph.
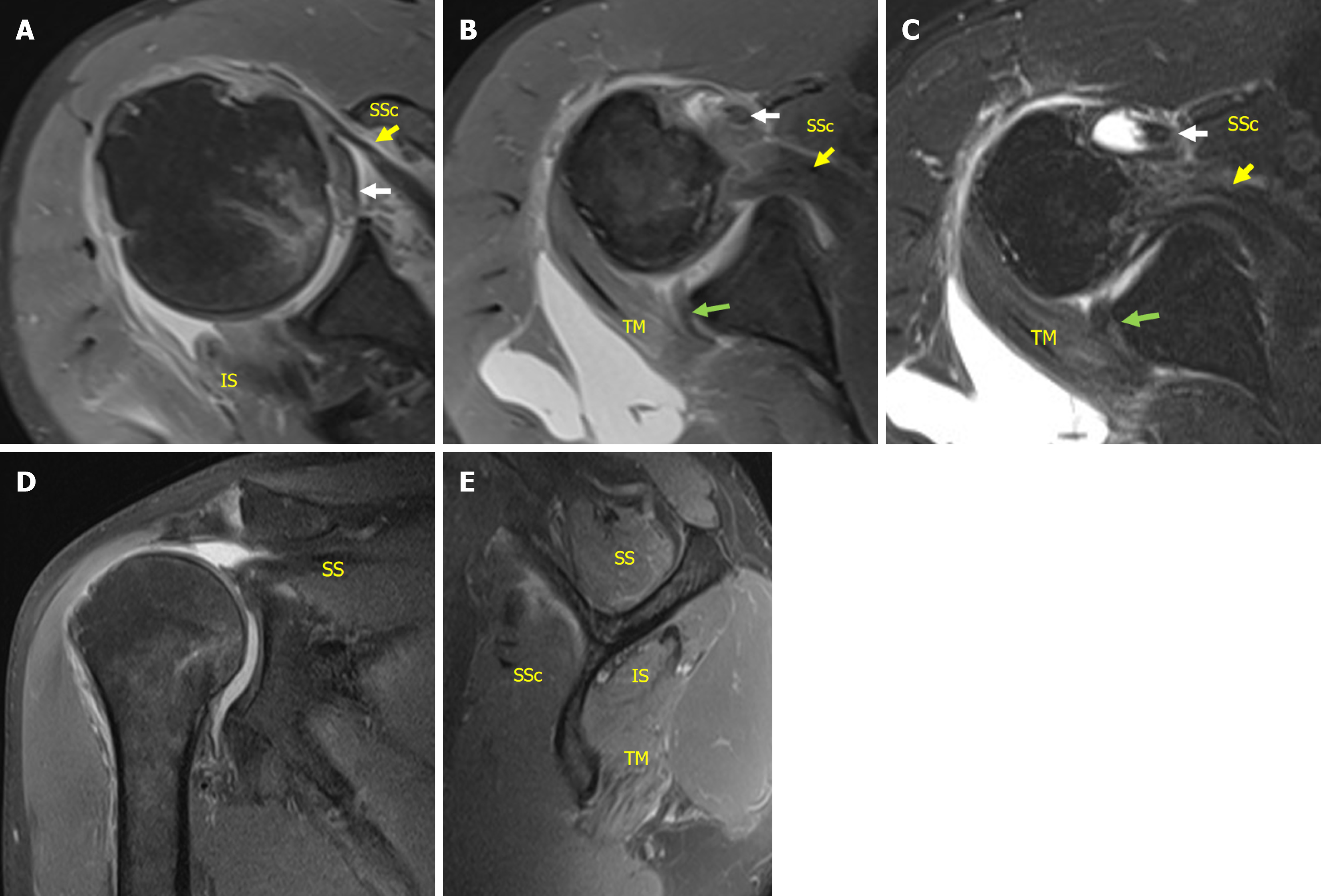
Figure 3 Magnetic resonance imaging performed 2 weeks after the injury.
A-C: Images revealed complete tear of infraspinatus tendon and an upper two-thirds complete tear of the subscapularis tendon (LaFosse stage 3) as well as medial dislocation and rupture of the long head of the biceps tendon. The posterior-inferior labrum was torn but remained attached to the scapular periosteum and partially to the glenoid. Glenoid bone loss was minimal; D: Complete tear of supraspinatus tendon with retraction to the glenoid (Patte stage 3). The rotator cuff tear was classified as the most severe topographic type (involved segment 6 in the sagittal plane); E: Fatty infiltration was mild (Goutallier grade, supraspinatus/infraspinatus/subscapularis/teres minor: 2/1/1/0). White arrow: Long head of the biceps tendon; Yellow arrow: Subscapularis; Green arrow: Posterior-inferior labrum; SSc: Subscapularis; SS: Supraspinatus; IS: Infraspinatus; TM: Teres minor.
Figure 4 Arthroscopic findings.
A: Near-complete intra-articular tear and complete medial dislocation of the long head of the biceps tendon from the bicipital groove; B: Restoration of the anatomical continuity of the subscapularis tendon after single-row repair. 1: Long head of the biceps tendon. G: Glenoid; HH: Humeral head; SSc: Subscapularis.
Figure 5 Arthroscopic view of the complete tears.
A: Torn supraspinatus tendon; B: Torn infraspinatus tendon. In the subacromial space after the acromioplasty, debridement, bursectomy, and release of the torn rotator cuff, complete tears of the supraspinatus and infraspinatus tendons were confirmed. The teres minor remained relatively intact. SS: Supraspinatus; HH: Humeral head; IS: Infraspinatus; TM: Teres minor.
Figure 6 Rotator cuff repair using a suture bridge technique.
A and B: Three double-loaded suture anchors were evenly placed at the medial aspect of the rotator cuff footprint, and the torn tendons were sutured using a horizontal mattress technique; C: All sutures were crossed and secured to a lateral anchor. SS: Supraspinatus; HH: Humeral head; IS: Infraspinatus; TM: Teres minor; RC: Rotator cuff.
Figure 7 Pain reduction, functional recovery, and range of motion during the follow-up period.
A: American Shoulder and Elbow Surgeons score; B: University of California, Los Angeles shoulder score; C: Forward flexion and abduction; D: External rotation and internal rotation at 90° of abduction. ASES: American Shoulder and Elbow Surgeons shoulder score; UCLA: University of California, Los Angeles, shoulder scale. Pre-op: Preoperative.
Figure 8 Magnetic resonance imaging at the 1-year follow-up revealed rotator cuff healing (Sugaya stage 1 or 2).
A: Coronal view; B: Sagittal view. RC: Rotator cuff.
- Citation: Liu MY, Lin CH, Chen SH, Ding YS, Chiang CH. Acute massive rotator cuff tear and biceps tendon dislocation following posterior shoulder dislocation: A case report. World J Clin Cases 2025; 13(34): 110925
- URL: https://www.wjgnet.com/2307-8960/full/v13/i34/110925.htm
- DOI: https://dx.doi.org/10.12998/wjcc.v13.i34.110925
