Copyright
©The Author(s) 2025.
World J Clin Cases. Nov 16, 2025; 13(32): 110813
Published online Nov 16, 2025. doi: 10.12998/wjcc.v13.i32.110813
Published online Nov 16, 2025. doi: 10.12998/wjcc.v13.i32.110813
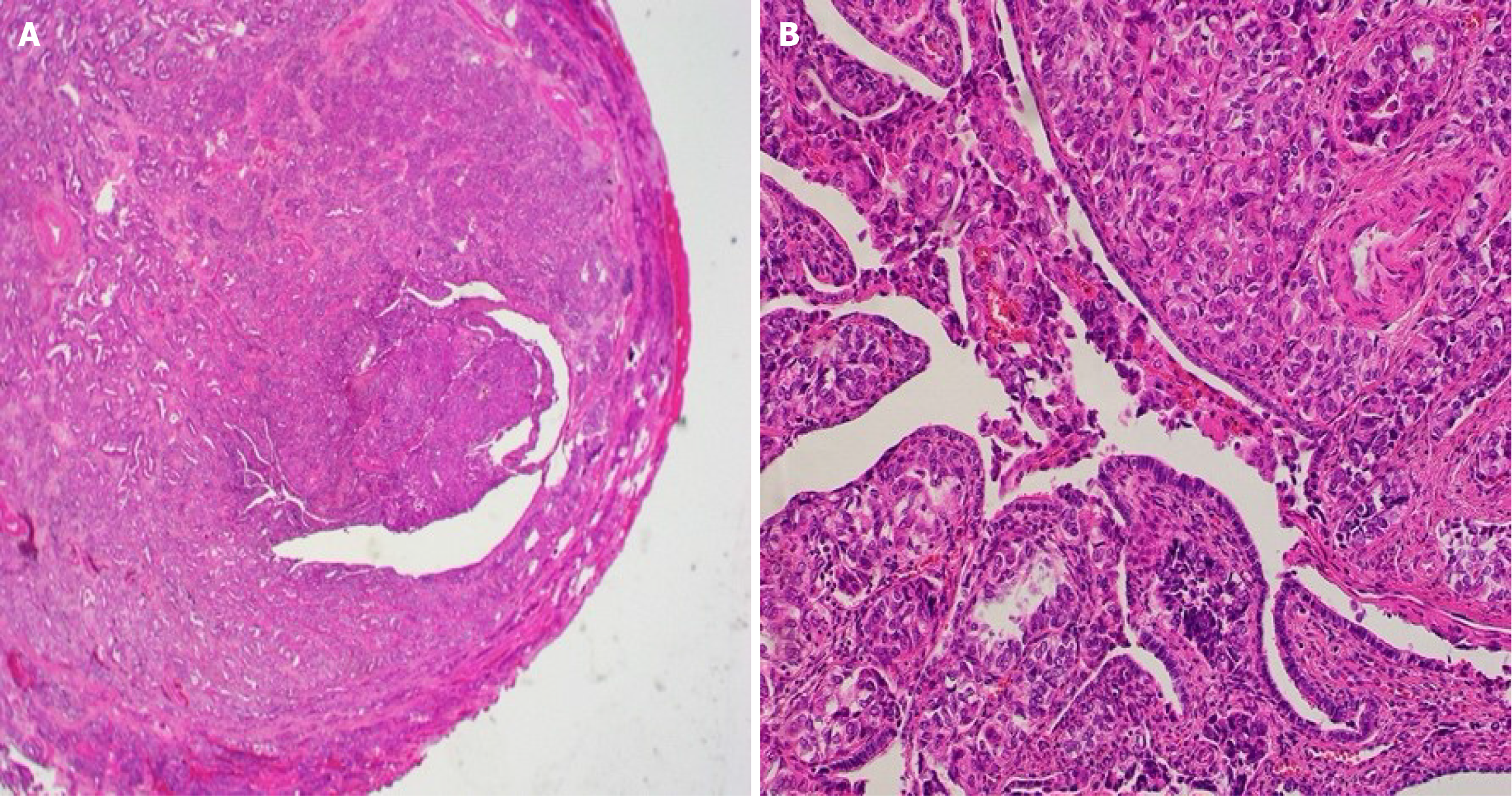
Figure 1 Pathological histological examination.
A: Hematoxylin and eosin × 40; B: Hematoxylin and eosin × 100. Irregular proliferation of tumor cells in papillary and cystic patterns. Partial presence of luminal structures.
Figure 2 Immunohistochemical examination.
A: Estrogen receptor (× 40); B: Calretinin (× 40); C: GATA-binding protein 3 (× 40); D: Thyroid transcription factor 1 (× 40); E: P53 (× 40); F: Paired box protein-8 (× 40). Estrogen receptor (-), calretinin (-), GATA-binding protein 3 (+), thyroid transcription factor 1 (+), p53 (wild type), and paired box protein-8 (+).
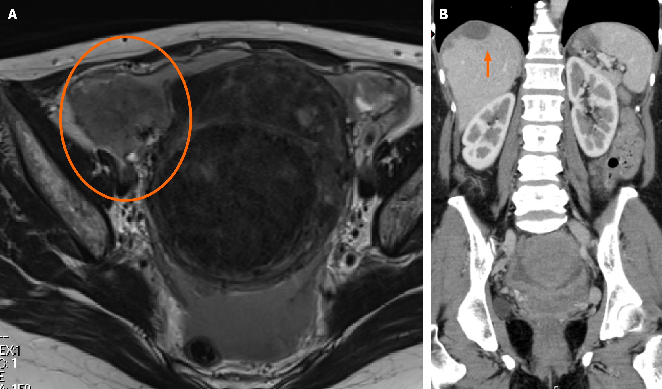
Figure 3 Image findings.
A: Plain magnetic resonance imaging T2-weighted image: 7-cm mass is noted in the right adnexa; B: Contrast-enhanced computed tomography, with findings suggestive of diffuse peritoneal dissemination from the pelvis to the diaphragm. The arrow indicates the subdiaphragmatic disseminated lesion.
Figure 4 Intraoperative findings.
A: Bladder-uterine pouch peritoneum: Extensive dissemination is observed; B: Left adnexa: Adhesions of disseminated lesions are present, but no enlargement is observed; C: Right adnexa: A 4 cm mass in the fallopian tube. The ovary showed adhesions of disseminated lesions but no enlargement; D: Subdiaphragmatic peritoneum with extensive dissemination.
Figure 5 Resected specimen.
A: Uterus, bilateral adnexa, rectum; B: Right fallopian tube.
Figure 6 Flowchart for the diagnostic workup of mesonephric-like adenocarcinoma.
ER: Estrogen receptor; GATA3: GATA-binding protein 3; KRAS: Kirsten rat sarcoma virus; MLA: Mesonephric-like adenocarcinoma; PAX-8: Paired box protein-8; PR: Progesterone receptor; TTF1: Thyroid transcription factor 1; WT1: Wilms’ tumor 1.
- Citation: Sagawa S, Ito F, Nakatani M, Kurose S, Niiro E, Taniguchi M, Toyoda S, Sado T, Morita K. Mesonephric-like adenocarcinoma presenting with malignant peritonitis and suspected to originate from the fallopian tube: A case report. World J Clin Cases 2025; 13(32): 110813
- URL: https://www.wjgnet.com/2307-8960/full/v13/i32/110813.htm
- DOI: https://dx.doi.org/10.12998/wjcc.v13.i32.110813
