Copyright
©The Author(s) 2025.
World J Crit Care Med. Dec 9, 2025; 14(4): 109786
Published online Dec 9, 2025. doi: 10.5492/wjccm.v14.i4.109786
Published online Dec 9, 2025. doi: 10.5492/wjccm.v14.i4.109786
Figure 1 Electrocardiogram of the patient at first presentation with ST-elevations in leads II, III and aVF, and reciprocal ST depressions in I, aVL, V2 and V3.
MI: Myocardial infarction.
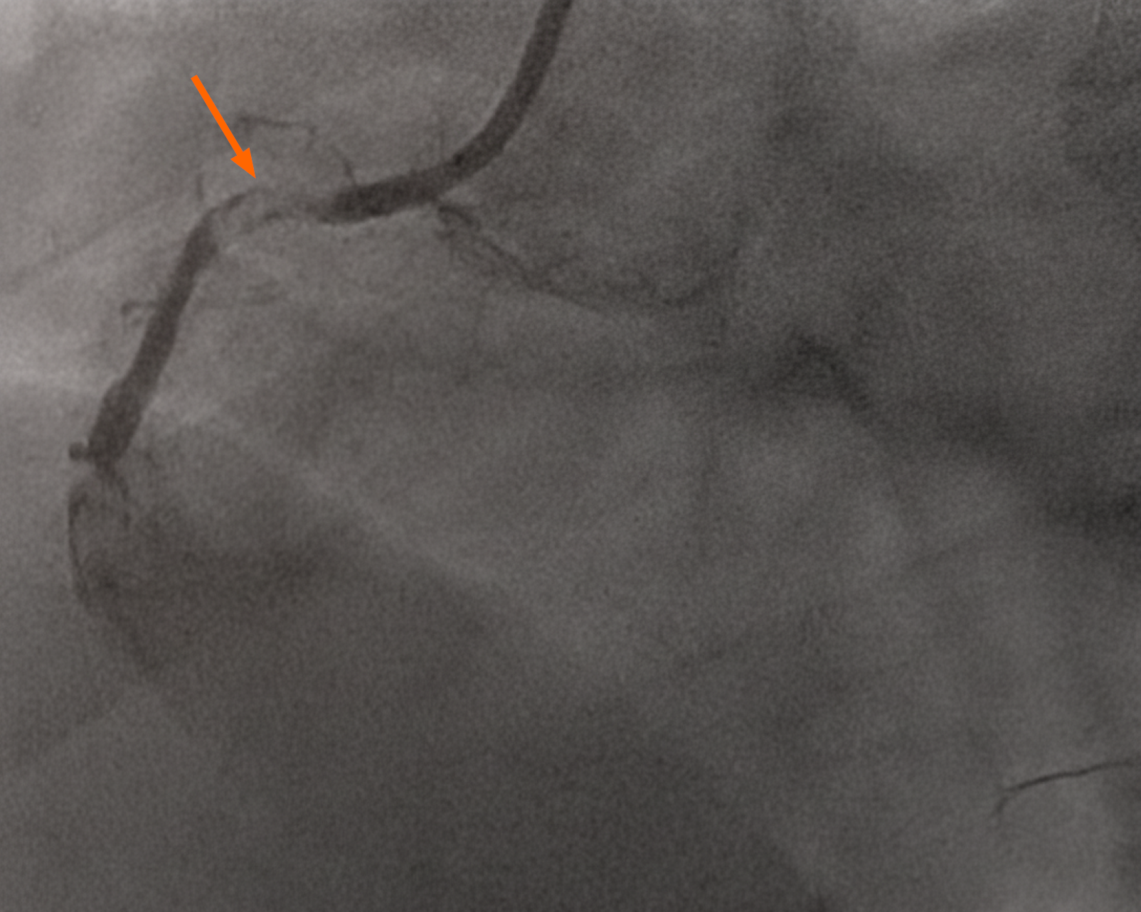
Figure 2 Initial coronary angiogram images prior to percutaneous coronary intervention showing a completely occluded right coronary artery with thrombolysis in myocardial infarction Grade 1 flow (orange arrow).
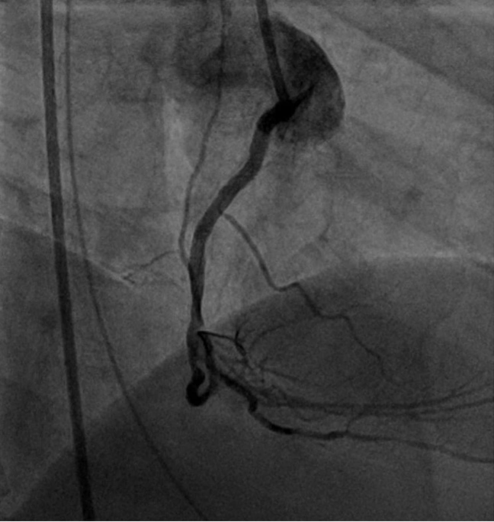
Figure 3 Coronary angiogram images after percutaneous coronary intervention done to right coronary artery showing improvement in coronary perfusion with thrombolysis in myocardial infarction grade 3 flow.
Figure 4 Coronary angiogram pictorial diagram showing the extent of thrombosis and eventual stent location.
PCI: Percutaneous coronary intervention; LMCA: Left main coronary artery; LAD: Left anterior descending; RCA: Right coronary artery; CIRC: Circumflex artery.
Figure 5 Electrocardiogram of the patient after return of spontaneous circulation, showing persistent ST elevations in the inferior leads with associated Q waves and ST depressions in V2-3 with tall R waves.
MI: Myocardial infarction.
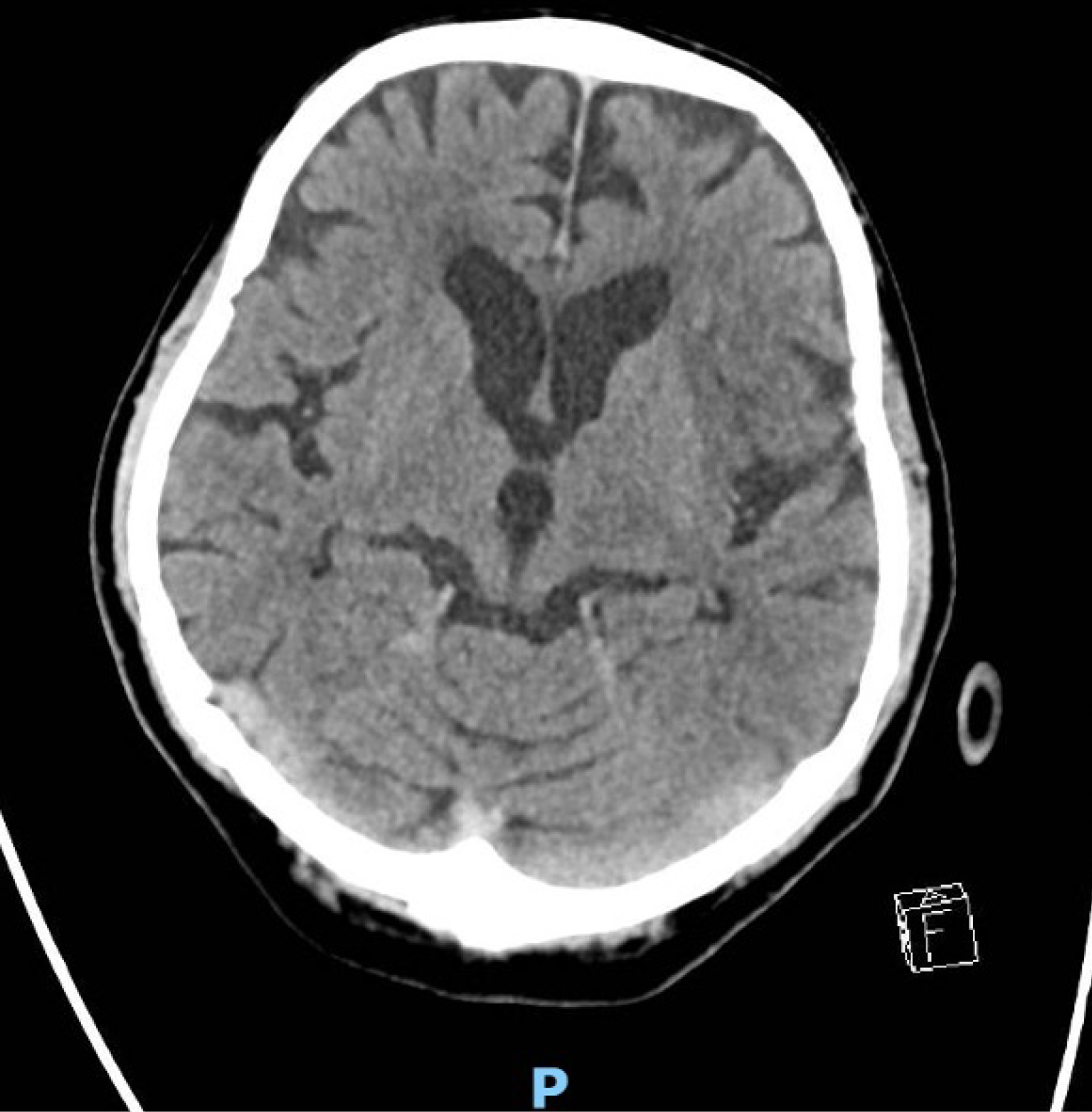
Figure 6 Repeat computed tomography brain of the patient, showing loss of grey-white matter differentiation in the left insula and left M2 region suspicious for an acute left middle cerebral artery territorial infarct.
There is no evidence of haemorrhagic conversion or midline shift.
Figure 7 Sequence of events from patient presentation to eventual demise.
ICU: Intensive care unit; PCI: Percutaneous coronary intervention; CT: Computed tomography; CRRT: Continuous renal replacement therapy; ED: Emergency department; ROSC: Return of spontaneous circulation.
Figure 8 Recommended management strategy.
rTPA: Recombinant tissu-type plasminogen activator.
- Citation: Chan WJ, Tan TXZ, Ponampalam R, Thompson A. Thrombotic storm presenting with synchronous myocardial infarction, stroke and bowel ischaemia: A case report. World J Crit Care Med 2025; 14(4): 109786
- URL: https://www.wjgnet.com/2220-3141/full/v14/i4/109786.htm
- DOI: https://dx.doi.org/10.5492/wjccm.v14.i4.109786
