Copyright
©The Author(s) 2025.
World J Gastrointest Pharmacol Ther. Dec 5, 2025; 16(4): 111977
Published online Dec 5, 2025. doi: 10.4292/wjgpt.v16.i4.111977
Published online Dec 5, 2025. doi: 10.4292/wjgpt.v16.i4.111977
Figure 1 Schematic representation of the dosing schedule.
Figure 2 Pancreas-to-mouse weight ratio.
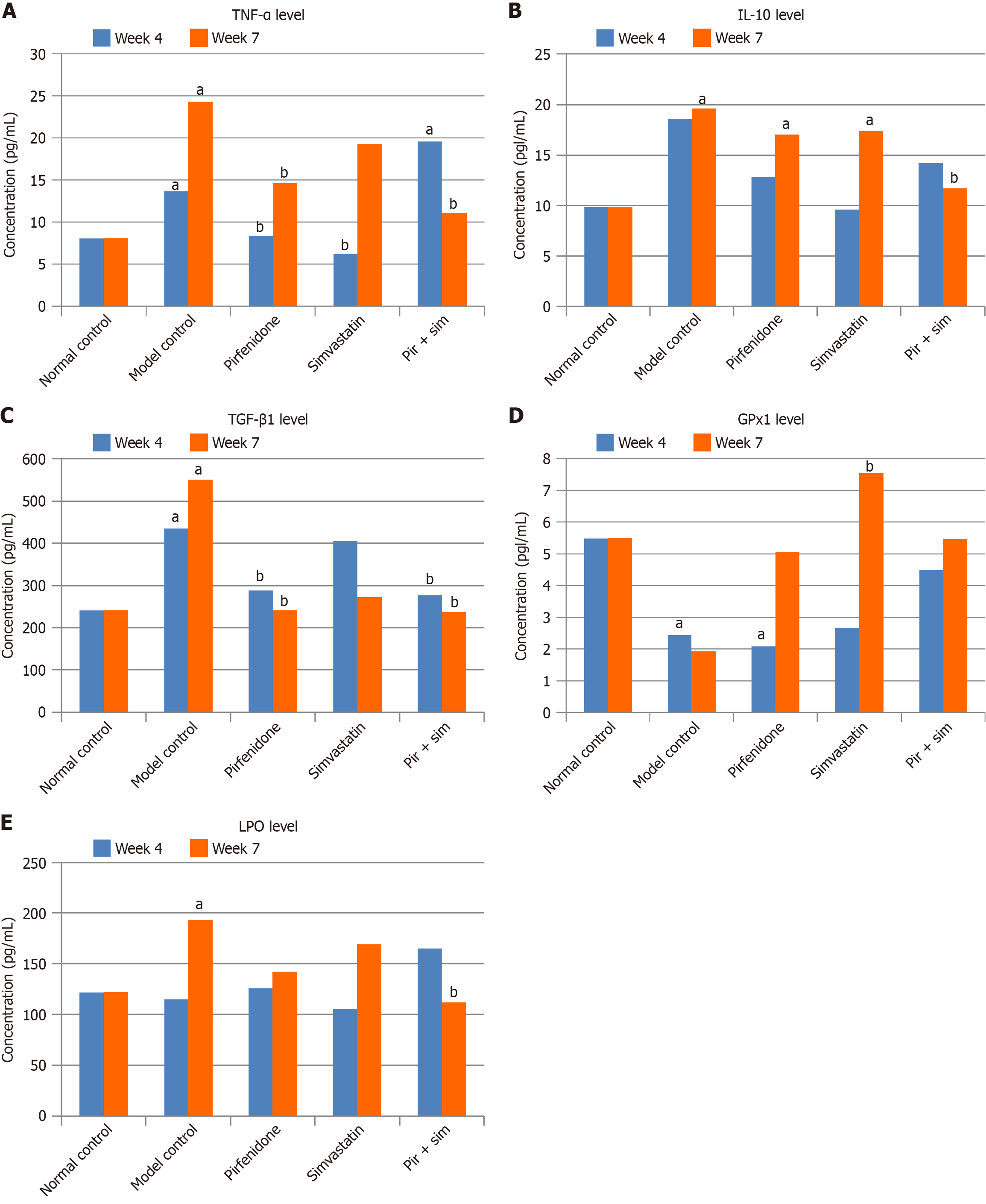
Figure 3 Indicators after 4 weeks and 7 weeks of treatment in mice.
A: Tumor necrosis factor-alpha level; B: Interleukin-10 level; C: Transforming growth factor-beta 1 level; D: Glutathione peroxidase1 level; E: Lipid peroxidation level. All values are expressed as mean ± SD error of the mean. aP < 0.05 vs normal control group; bP < 0.05 vs model control group. One-way analysis of variance followed by Tukey’s test. n = 7. Pir: Pirfenidone; Sim: Simvastatin; TNF-α: Tumor necrosis factor-alpha; IL-10: Interleukin-10; TGF-β1: Transforming growth; GPx1: Glutathione peroxidase 1; LPO: Lipid peroxidation.
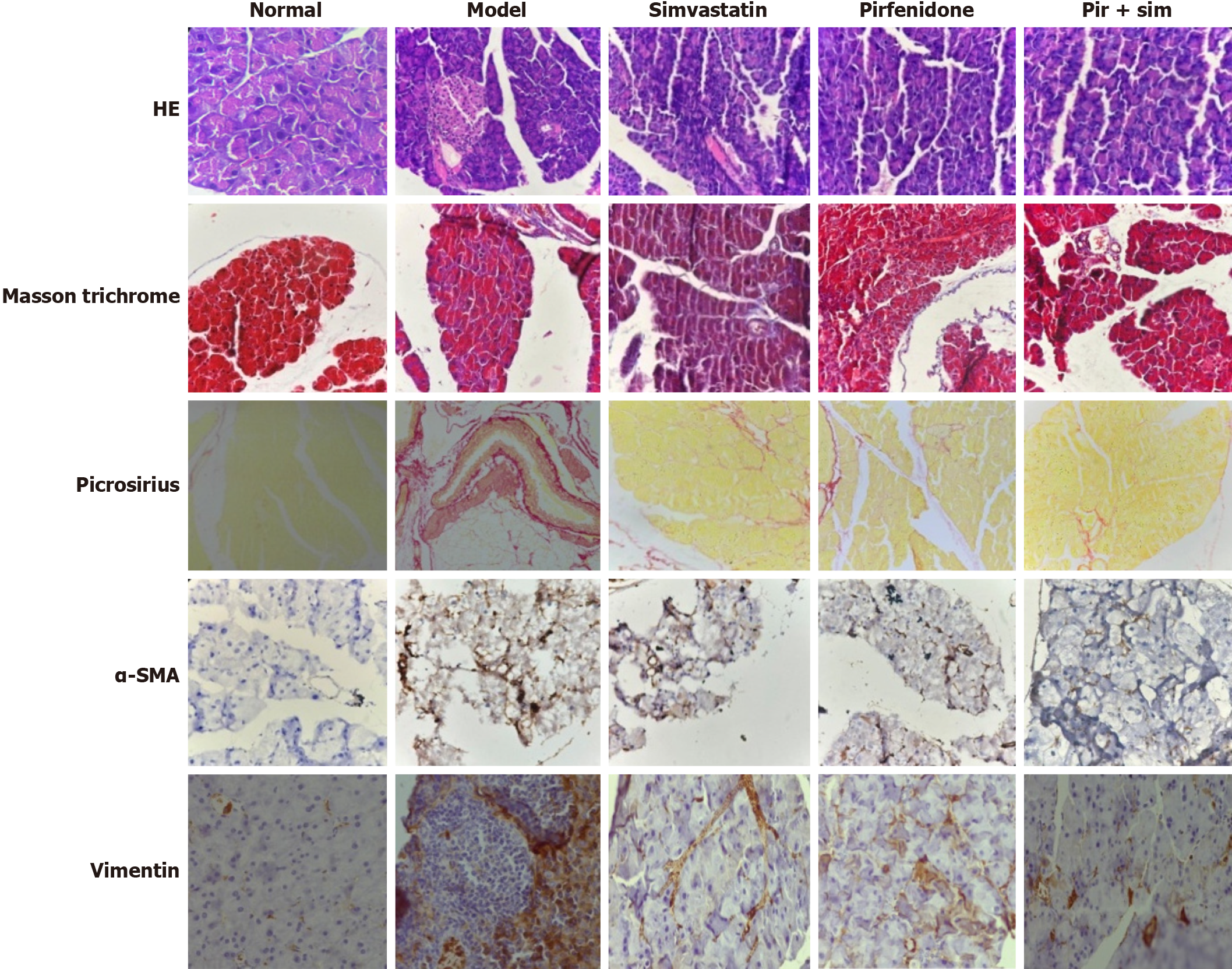
Figure 4 Representative histological and immunohistochemical images of pancreatic tissue from each study group at week 7.
Tissue sections were stained with hematoxylin and eosin to assess general morphology, and Masson’s trichrome and Picrosirius Red evaluated collagen deposition. Tissue sections also underwent immunohistochemical analysis for Vimentin and alpha-smooth muscle actin (α-SMA) to assess fibroblast and pancreatic stellate cell activation. The model control group (L-arginine-induced chronic pancreatitis) exhibited substantial exocrine architectural disruption, dense inflammatory infiltration, and prominent fibrosis. In contrast, all treatment groups showed improved preservation of tissue architecture and reduced fibrotic changes. Notably, the pirfenidone and combination therapy groups demonstrated marked attenuation of collagen deposition and decreased expression of vimentin and α-SMA, indicating suppression of stellate cell activation and fibrogenesis. Pir: Pirfenidone; Sim: Simvastatin; α-SMA: Alpha-smooth muscle actin; HE: Hematoxylin and eosin.
- Citation: Mehta R, Patel A, Vyas B, Desai B, Adhvaryu D, Sojitra P, Bhuptani S. L-arginine-induced chronic pancreatitis in mice: Evaluating effects of pirfenidone and simvastatin. World J Gastrointest Pharmacol Ther 2025; 16(4): 111977
- URL: https://www.wjgnet.com/2150-5349/full/v16/i4/111977.htm
- DOI: https://dx.doi.org/10.4292/wjgpt.v16.i4.111977
