BPG is committed to discovery and dissemination of knowledge
Minireviews Open Access
©The Author(s) 2025. Published by Baishideng Publishing Group Inc. All rights reserved.
World J Radiol. Sep 28, 2025; 17(9): 110214
Published online Sep 28, 2025. doi: 10.4329/wjr.v17.i9.110214
Complications and expected imaging findings after endoscopic retrograde cholangiopancreatography
Mehmet Simsar, Olgun Sahin, Hilal Sahin, Department of Radiology, University of Health Sciences, Izmir City Hospital, Izmir 35540, Türkiye
Yesim Yekta Yuruk, Department of Radiology, University of Health Sciences, Tepecik Training and Research Hospital, Izmir 35020, Türkiye
ORCID number: Mehmet Simsar (0009-0001-1438-694X); Yesim Yekta Yuruk (0009-0002-6478-4636); Olgun Sahin (0000-0003-0366-9220); Hilal Sahin (0000-0001-8726-8998).
Author contributions: Simsar M and Sahin H conceptualized and designed the study; Simsar M, Yuruk YY, and Sahin O conducted the literature review, carried out the analysis, drafted the original manuscript, and made critical revisions; Sahin H supervised the review, advised the review design, and critically revised the manuscript; All authors prepared the draft and approved the submitted version.
Conflict-of-interest statement: The authors declare no conflicts of interest.
Corresponding author: Hilal Sahin, MD, Associate Professor, Department of Radiology, University of Health Sciences, Izmir City Hospital, Şevket ince mahallesi, 2148/11. Bayraklı, Izmir 35540, Türkiye. hilalcimen@gmail.com
Received: June 3, 2025
Revised: July 15, 2025
Accepted: September 5, 2025
Published online: September 28, 2025
Processing time: 117 Days and 20.1 Hours

Abstract

Endoscopic retrograde cholangiopancreatography (ERCP) is a cornerstone procedure for the diagnosis and management of pancreatic and hepatobiliary diseases. Although its diagnostic role has been increasingly supplanted by noninvasive imaging modalities such as magnetic resonance imaging (MRI) and magnetic resonance cholangiopancreatography, the therapeutic applications of ERCP have continued to expand. ERCP is widely used and has a generally favorable safety profile. However, it is important to recognize expected post-procedural imaging findings and serious complications that can arise. The increasing complexity of therapeutic interventions and the growing volume of procedures have led to a higher incidence of complications that often present with overlapping clinical and laboratory features, underscoring the critical role of imaging in differential diagnosis. This review focused on the typical normal ERCP findings and the imaging characteristics of common complications, including pancreatitis, bleeding, ERCP-related infections, perforations, and stent-related complications. Computed tomography (CT) is particularly valuable in timely recognition, management, and surgical decision-making for these complications. Furthermore, MRI offers a radiation-free alternative for managing complications in selected patients. Therefore, radiological modalities, particularly CT and MRI, are critical tools for the rapid diagnosis, management, and surgical decision-making processes for post-ERCP complications.

Key Words: Endoscopic retrograde cholangiopancreatography; Post-endoscopic retrograde cholangiopancreatography complications; Medical imaging; Magnetic resonance imaging; Computed tomography; Pancreatitis; Hepatobiliary diseases

Core Tip: Endoscopic retrograde cholangiopancreatography (ERCP) is a standard procedure for treating pancreaticobiliary diseases that was driven by technological advances and improved procedural feasibility. However, the widespread use of ERCP is accompanied by a range of potential complications. Imaging modalities are frequently relied upon to identify, classify, monitor, and manage ERCP-related complications. Differentiating normal post-procedural changes from pathological findings is essential. This review provided a comprehensive overview of the normal post-ERCP imaging appearances and the spectrum of potential complications.



INTRODUCTION

Endoscopic retrograde cholangiopancreatography (ERCP) was introduced in 1968 as a diagnostic tool for biliary and pancreatic pathologies[1]. Following the development of endoscopic sphincterotomy in 1974, however, ERCP has primarily been utilized as a therapeutic modality. Due to its complexity and higher complication risk, there is an increased reliance on imaging for early complication detection[2-4]. To date, ERCP continues to be utilized increasingly, with more than 350000 procedures conducted each year in the United States alone[5]; the increased use has unsurprisingly been accompanied by an increased number of ERCP-related complications. Although the technology has advanced, operator experience has improved, and patient selection is more accurate to reduce complication rates, the potential for adverse events remains[6].

A systematic review and meta-analysis conducted by Bishay et al[7] and published in 2025 reported the incidence of ERCP-related adverse events in decreasing order as follows: Post-ERCP pancreatitis (PEP) 4.6%; cholangitis 2.5%; hemorrhage 1.5%; cholecystitis 0.8%; perforation 0.5%; and ERCP-related mortality 0.2%. Gastroenterologists performing ERCP may encounter adverse events that are comparable in severity to those found in patients after surgery. Familiarity with potential ERCP-related complications and their routine imaging findings is beneficial for supporting timely and accurate clinical decision-making[8,9]. Therefore, early diagnosis and appropriate interventions are essential for limiting iatrogenic morbidity and preventing mortality. According to guidelines published by the American Society for Gastrointestinal Endoscopy (ASGE), the American College of Gastroenterology (ACG), the European Society of Gastrointestinal Endoscopy (ESGE), and the Japan Gastroenterological Endoscopy Society (JGES), diagnosis and management of ERCP-related complications should be based on clinical, laboratory, and imaging findings, with computed tomography (CT) playing a central role in the assessment of these complications[10,11].

In this review, the radiological approaches recommended by various guidelines for each complication are highlighted, and commonalities and differences are emphasized. Additionally, the figures present demonstrative cases from the authors’ institutions and include relevant clinical information and radiological findings.

IMAGING STRATEGIES FOLLOWING ERCP: INDICATIONS AND PROTOCOL RECOMMENDATIONS

Post-ERCP imaging is typically guided by a combination of clinical signs observed during the procedure and subsequent laboratory findings. Common indications for imaging include repeated or difficult cannulation, suspected duodenal perforation, acute or exacerbating abdominal pain, signs of fever or cardiovascular instability, declining hemoglobin levels, and elevated markers such as serum amylase, lipase, leukocyte count, and other acute phase reactants. CT is preferred for the initial assessment because of its speed and availability. However, both ultrasound (US) and magnetic resonance imaging (MRI) may be utilized in specific clinical scenarios[10,11].

Contrast-enhanced CT (CECT) is the preferred imaging technique for assessing acute post-ERCP complications, due to its ability to evaluate intraabdominal and retroperitoneal structures rapidly and comprehensively. A recommended multiphasic CT protocol typically begins with a noncontrast scan to detect hyperattenuating hemorrhagic collections or extraluminal air followed by the administration of oral contrast. Imaging during the arterial (25-30 seconds) and venous (60-70 seconds) phases enhances the visualization of vascular injuries and the assessment of associated inflammatory changes.

US offers several advantages, including bedside applicability, real-time imaging, lack of ionizing radiation, low cost, accessibility, and repeatability[12]. Despite these advantages, US is dependent on the operator, has restricted evaluation in the presence of ileus and pneumoperitoneum, and has a limited ability to identify necrotizing pancreatitis (NP) and hemorrhage. US is generally utilized for the rapid evaluation of the biliary tract and for monitoring known complications such as fluid collections[9,13].

MRI provides valuable information with the added benefit of no ionizing radiation. Moreover, MRI is particularly useful in the evaluation of pancreatitis and pancreatitis-related fluid collections because it has superior soft tissue resolution and excellent tissue contrast differentiation[9,13]. Magnetic resonance cholangiopancreatography (MRCP) enables noninvasive evaluation of the biliary tree. However, the presence of expected post-procedural pneumobilia can cause diagnostic confusion in identifying biliary stones[14]. Some disadvantages of MRI are that it tends to be more claustrophobic and is expensive and time-consuming. However, in patients with contrast allergies or renal insufficiency, noncontrast T2-weighted sequences offer significant advantages, including the ability to detect NP and to identify common bile duct (CBD) stones or pancreatic duct injuries with high accuracy[15].

EXPECTED POST-ERCP IMAGING FINDINGS

Certain imaging findings normally appear after ERCP and should not be mistaken for pathological conditions. In particular, the air within the intraextrahepatic bile ducts, which is consistent with pneumobilia, can be observed. This finding may continue for several weeks to several months in patients who have undergone sphincterotomy. Contrast material injected during ERCP may also appear on CT imaging as characteristic layering within the bile ducts and gallbladder (Figure 1)[9,13].

Figure 1
Figure 1 Typical imaging findings of air and contrast material in the biliary system after endoscopic retrograde cholangiopancreatography. A and B: Coronal (A) and axial (B) noncontrast computed tomography images showed normal post-intervention findings in a 70-year-old female patient. The patient underwent endoscopic retrograde cholangiopancreatography for choledocholithiasis. Despite having normal post-procedural laboratory values, she presented with abdominal pain and mild guarding upon physical examination. Air was present within the intrahepatic bile ducts and gallbladder (orange arrow). Contrast material used during the endoscopic retrograde cholangiopancreatography was visualized as layering within the intrahepatic bile ducts (blue arrow) and the gallbladder (yellow arrow).

Another condition secondary to ERCP or upper gastrointestinal endoscopy is acute reversible duodenitis, which has the potential association with duodenal diverticula. Imaging findings include duodenal wall thickening, a target sign due to submucosal edema, and inflammatory changes in the periduodenal fat. The differential diagnosis is made by excluding other complications based on imaging and laboratory results and is accompanied by improvement in the findings on follow-up CT scans (Figure 2)[9,13,16].

Figure 2
Figure 2 Typical imaging finding of acute duodenitis after endoscopic retrograde cholangiopancreatography. A and B: Axial (A) and coronal (B) noncontrast computed tomography images revealed post-endoscopic retrograde cholangiopancreatography acute reversible duodenitis in a 26-year-old female patient. Following sphincterotomy, epigastric pain and dyspeptic symptoms developed the next day. Due to the persistence of symptoms during follow-up, imaging was performed. Periduodenal fat stranding (yellow arrow) and increased thickness with submucosal edema of the duodenal wall (purple arrow) were observed. Minimal fluid was noted in the pancreaticoduodenal groove (orange arrow). Expected post-procedural findings include intraductal air within the biliary tree (white arrow) and contrast material within the gallbladder (blue arrow).

Retroperitoneal air may be observed within 24 hours after ERCP in asymptomatic patients. This finding may result from excessive air insufflation during ERCP and can be classified as a Stapfer type IV perforation. The absence of fluid collections is an important distinguishing feature; however, it is not sufficient by itself to definitively exclude other types of perforations. It is recommended that this finding should be reported descriptively without directly using the term perforation. No specific treatment is required[9,17,18].

ERCP-RELATED COMPLICATIONS
PEP

PEP is the most common ERCP-related complication. Its incidence varies between 4.0% and 14.1% depending on the patient’s risk factors[7,19]. Several risk factors have been identified for PEP, including patient-related factors, procedural techniques, and technical details. Patient-related factors may include sphincter of Oddi dysfunction, female sex, and a previous history of PEP. Procedural aspects, such as difficult cannulation, multiple guidewire insertions, repeated guidewire advancement within the pancreatic duct, and administration of contrast material to the pancreas, have also been associated with an increased risk. Furthermore, technical interventions, such as precut sphincterotomy, pancreatic sphincterotomy, and prior biliary balloon dilation, further contribute to the development of PEP[7,20-22].

The ASGE, ESGE, and American Gastroenterological Association recommend the use of the Revised Atlanta Classification for evaluating PEP, including early CT imaging[11,20,23,24]. JGES also recommends early CT imaging and suggests the Japanese Prognostic Factor Score, revised in 2008, for severity assessment[25,26]. The ACG guidelines recommend abdominal imaging, such as CECT, in patients with atypical presentations. CECT is highly sensitive and specific for diagnosing pancreatitis. If clinical symptoms, such as persistent pain, fever, nausea, or inability to tolerate oral intake, do not improve within 48-72 hours, CT or MRI is suggested to evaluate local complications including NP[15].

The diagnostic criteria for PEP is currently debated, and clinicians should realize that abdominal pain or elevated serum amylase levels following ERCP is not always indicative of PEP. PEP diagnosis is most frequently based on the classification system introduced by Cotton et al[27]. This system includes characteristic pancreatic-type abdominal pain (typically radiating to the back in a belt-like distribution), unplanned hospitalization or prolongation of the hospital stay for at least two nights, and elevation of serum amylase levels to at least three times the upper limit of normal. However, up to 41.9% of PEP cases may be missed when lipase levels and imaging findings are not incorporated into the Cotton Consensus Criteria[28].

The revised Atlanta classification has been utilized in clinical practice due to its relevance to managing acute pancreatitis even though it was not specifically designed for diagnosing PEP. It classifies disease severity by the presence or absence of local complications, systemic inflammatory response, and organ failure within the first 48 h after symptom onset. Compared with the Cotton Consensus Criteria, the revised Atlanta classification is more effective in predicting the severity and mortality of PEP[8,21,23]. However, the revised Atlanta classification discourages early imaging. Nonetheless, CECT may be performed within 24-48 h in cases with overlapping clinical features, particularly to exclude duodenal perforation[29,30].

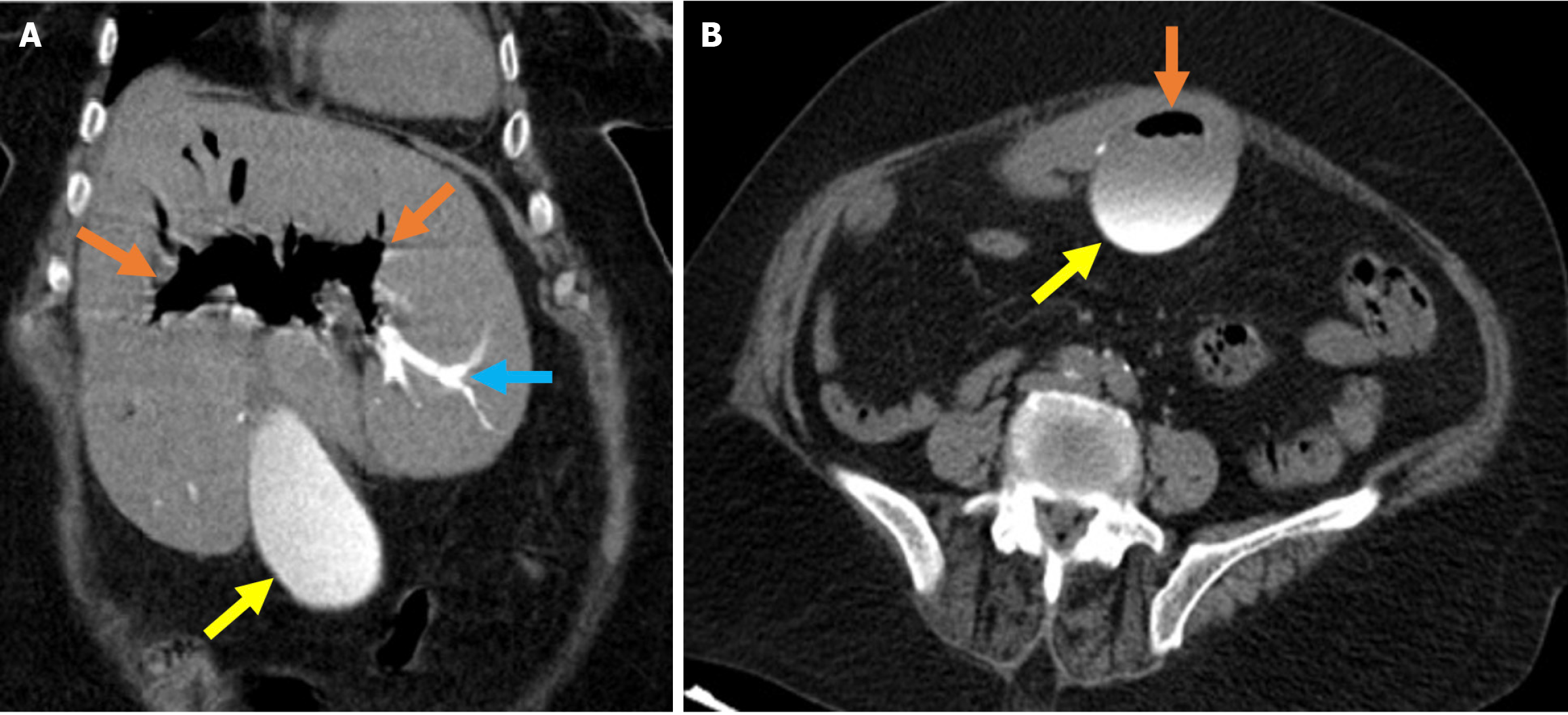
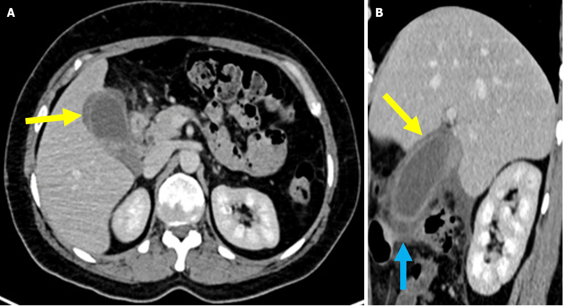
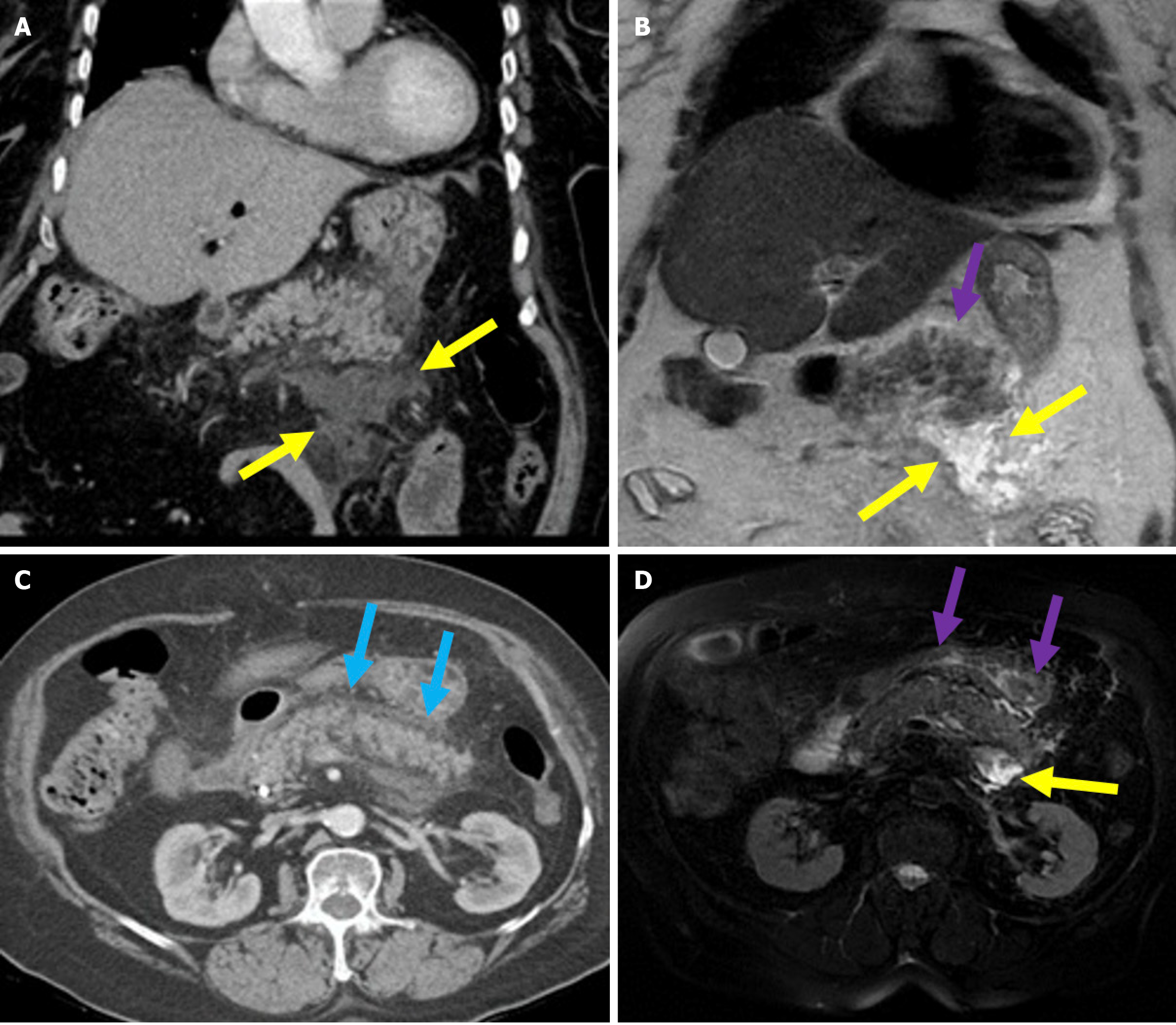
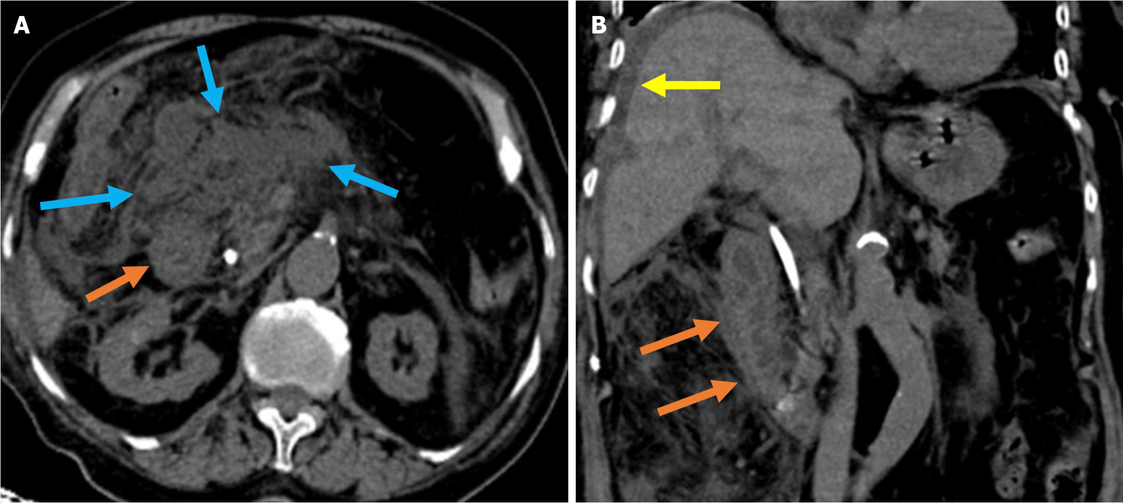
The revised Atlanta classification recognizes two primary forms of acute pancreatitis: NP and interstitial edematous pancreatitis (IEP). NP tends to follow a more severe clinical course with higher rates of infection, organ failure, and mortality. Imaging reveals hypoperfused or non-enhancing areas indicating NP or peripancreatic necrosis. Early collections (within 4 weeks) are referred to as acute necrotic collections. Once encapsulated after 4 weeks, they are known as walled-off necrosis (Figure 3)[23]. IEP is characterized by a diffusely enlarged pancreas with homogeneous enhancement on CECT imaging without areas of necrosis and with peripancreatic fat stranding and fluid accumulation. Fluid collections observed within the first 4 weeks are termed acute peripancreatic fluid collections, while those persisting beyond 4 weeks are classified as pancreatic pseudocysts (Figures 4 and 5).

Figure 3
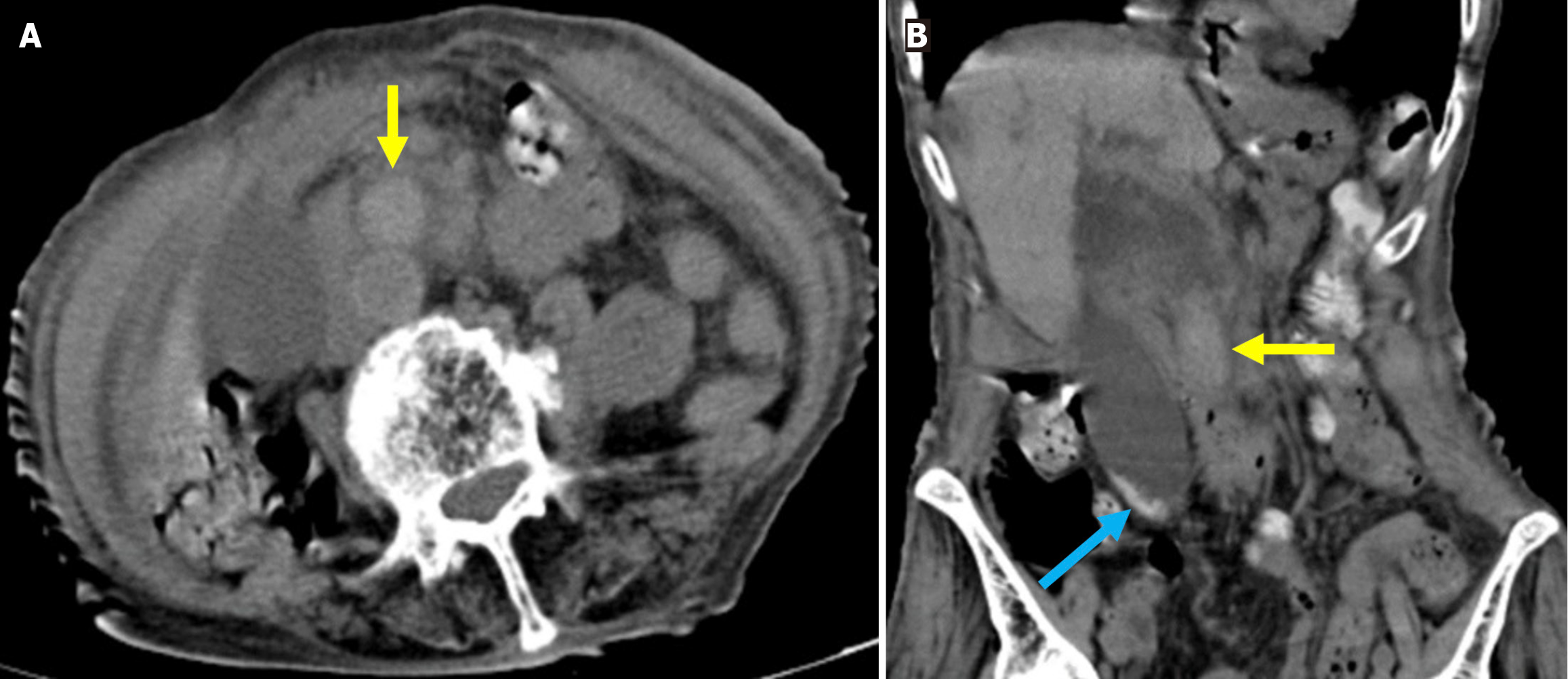
Figure 3 Necrotizing pancreatitis, acute necrotic collections, and walled-off necrosis. A and B: Contrast-enhanced axial computed tomography (CT); C: T2-weighted magnetic resonance imaging (MRI); D: Post-contrast fat-suppressed T1-weighted MRI. A 76-year-old male patient underwent endoscopic retrograde cholangiopancreatography due to choledocholithiasis. On the evening of the procedure, the patient developed acute abdominal pain that was unresponsive to analgesics. Laboratory tests revealed elevated levels of aspartate aminotransferase, alanine aminotransferase, and lipase. Within the following 24 hours, the patient’s condition deteriorated and developed into shock. Subsequently, the patient required vasopressor support and intubation. Contrast-enhanced CT (A and B) was performed due to the severe abdominal pain. The images showed a markedly enlarged pancreas with areas of non-enhancement consistent with necrotizing pancreatitis that was accompanied by peripancreatic edema (yellow arrows). Heterogeneous acute necrotic collections were also observed in the peripancreatic region (blue arrows). Two months later, an MRI was performed for follow-up. On T2-weighted images (C) a collection with a heterogeneous internal structure and defined wall that was consistent with walled-off necrosis was visualized (orange double-sided arrow). There was a significant loss of pancreatic volume due to necrosis. In the post-contrast T1-weighted fat-suppressed image (D), contrast enhancement of the wall of the collection was noted. A small remnant of pancreatic tissue with normal contrast enhancement was observed (purple arrow).
Figure 4
Figure 4 Interstitial edematous pancreatitis and acute peripancreatic fluid collections. A-C: Contrast-enhanced coronal and axial computed tomography (CT) images (A and C), coronal T2-weighted magnetic resonance imaging (B); D: Fat-suppressed axial T2-weighted magnetic resonance imaging. The 81-year-old female patient diagnosed with post-endoscopic retrograde cholangiopancreatography pancreatitis had presented with epigastric pain and elevated amylase and C-reactive protein levels. CT images showed preserved pancreatic enhancement that was consistent with the absence of necrosis and peripancreatic fat stranding (blue arrow). The pancreatic enlargement and increased T2 signal intensity were suggestive of edema (purple arrow). The pancreas also exhibited mildly diffuse, lace-like T2 hyperintensity within the parenchyma that was associated with a small acute peripancreatic fluid collection (yellow arrow).
Figure 5
Figure 5 Acute peripancreatic fluid collections and pseudocyst. A: Noncontrast axial computed tomography (CT); B: Contrast-enhanced axial CT after 15 months. A 28-year-old female patient underwent endoscopic retrograde cholangiopancreatography for choledocholithiasis. Ten hours after the procedure, the patient developed severe upper quadrant abdominal pain accompanied by fever. No signs of peritonitis were observed, and there was no evidence of hemodynamic instability. Laboratory tests revealed elevated levels of pancreatic enzymes and inflammatory markers. Due to suspected pancreatitis a noncontrast CT performed on post-procedure day 1 (A) demonstrated fluid loculation in the infrahepatic and paraduodenal region that was consistent with acute peripancreatic fluid collections (yellow arrow). The patient was diagnosed with post-endoscopic retrograde cholangiopancreatography edematous pancreatitis and was managed conservatively. A follow-up contrast-enhanced CT performed 1.5 months later (B) showed fluid collection in the exact location with pseudocapsule formation that was consistent with a pseudocyst (blue arrow).

The CT Severity Index and the Modified CT Severity Index are commonly used to assess the severity of acute pancreatitis. There are no significant differences between the two indices. While clinical scoring systems more accurately correlate with systemic complications and mortality, radiological scoring systems demonstrate a stronger correlation with the diagnosis of severe disease, pancreatic infection, and the need for intervention[31]. Woods et al[32] conducted a single-center study in which PEP cases were categorized based on the Modified CT Severity Index, as follows: 53.6% were classified as mild (≤ 2 points); 42.8% were classified as moderate (4–6 points); and 3.6% were classified as severe (≥ 8 points). The study emphasized that most cases were mild and highlighted the importance of radiologists familiarizing themselves with common risk factors for PEP and the duration of the ERCP procedure.

CECT may overestimate the extent of NP during evaluation. Therefore, its use is limited in cases with small necrotic areas where accurate estimation of necrosis is challenging. CT is more sensitive for detecting gas within fluid collections. This is an indication of infection or enteric fistulation. However, the absence of gas does not rule out an underlying infection. MRI with diffusion-weighted imaging can determine whether restricted diffusion is causing the infection of a collection[33-36]. Quantitative measurement of apparent diffusion coefficient values on diffusion-weighted imaging allows the detection of PEP and the differentiation of IEP from NP. This offers a means of identifying NP without the need for contrast administration[36].

MRI with its superior soft tissue resolution offers greater accuracy for the assessment of small necrotic regions of the pancreas[33]. Although MRI is less accessible and more costly than CT, it can be used for the diagnosis and follow-up of PEP. In IEP, pancreatic enhancement is preserved, and T2-weighted images typically reveal increased signal intensity, indicating pancreatic edema and peripancreatic inflammatory changes including fat stranding and fluid collections. In NP, decreased or heterogeneous enhancement areas are seen (Figure 3)[33]. In 20% of patients with NP, necrosis is confined to the peripancreatic fat without involvement of the pancreatic parenchyma. Patients in this category usually experience a more favorable disease course compared with those with glandular necrosis but a worse outcome than in individuals with IEP[34]. MRI is superior to CT in evaluating peripancreatic fat necrosis due to its enhanced soft tissue contrast[35]. MRI and MRCP are particularly valuable in visualizing the communication between pancreatic ducts and fluid collections. They aid in the diagnosis of disconnected pancreatic duct syndrome and determining the need for surgical intervention[33,35,36].

Walled-off necrosis typically appears as a partially liquefied collection containing solid necrotic tissue and fatty debris. The advantage of MRI in soft tissue contrast over CT enhances the accuracy in assessing the solid parts of pancreatic and peripancreatic collections. As the amount of solid debris increases, the effectiveness of drainage through stents or catheters tends to decrease. Therefore, MRI is particularly useful in guiding therapeutic decisions, including the need for endoscopic necrosectomy[36].

Infectious complications

During ERCP, the endoscope and contrast medium may become contaminated with gastrointestinal flora before reaching the CBD. This event is typically clinically insignificant, but failure to achieve adequate ductal drainage can lead to biliary stasis and subsequent bacterial overgrowth. Infections commonly present as cholangitis. Even in the absence of overt clinical infection, bacteremia occurs in 15% of diagnostic ERCP procedures and 27% of therapeutic ERCP procedures. In high-risk patient groups, prophylactic antibiotic administration is suggested to minimize severe complications such as infective endocarditis[6,37,38]. Other infectious complications secondary to ERCP include cholecystitis and hepatic abscess formation. An elevated risk of infection is present after combined percutaneous and endoscopic interventions, stent placement for malignant biliary strictures, the presence of jaundice, low procedural volume, and inadequate biliary drainage[11,38].

The ESGE recommends an initial evaluation with abdominal US or CT scan when an infectious complication following ERCP arises. If conservative treatment fails to achieve clinical improvement, repeat ERCP is advised[20]. The ESGE and JGES recommend the revised Tokyo severity grading system for evaluating cholangitis and cholecystitis[20,39,40]. This system recommends CT over US in the assessment of cholangitis as it provides a broader overview of the abdominal region and identifies associated pathologies. MRI/MRCP is typically reserved for resolving diagnostic uncertainties when CT and US are inconclusive[39]. US is considered the best first-line imaging modality for cholecystitis due to its affordability, noninvasiveness, and high diagnostic accuracy. In cases where gallstones cannot be visualized or when complications such as gangrenous cholecystitis are suspected, CT or MRI are more appropriate than US[40].

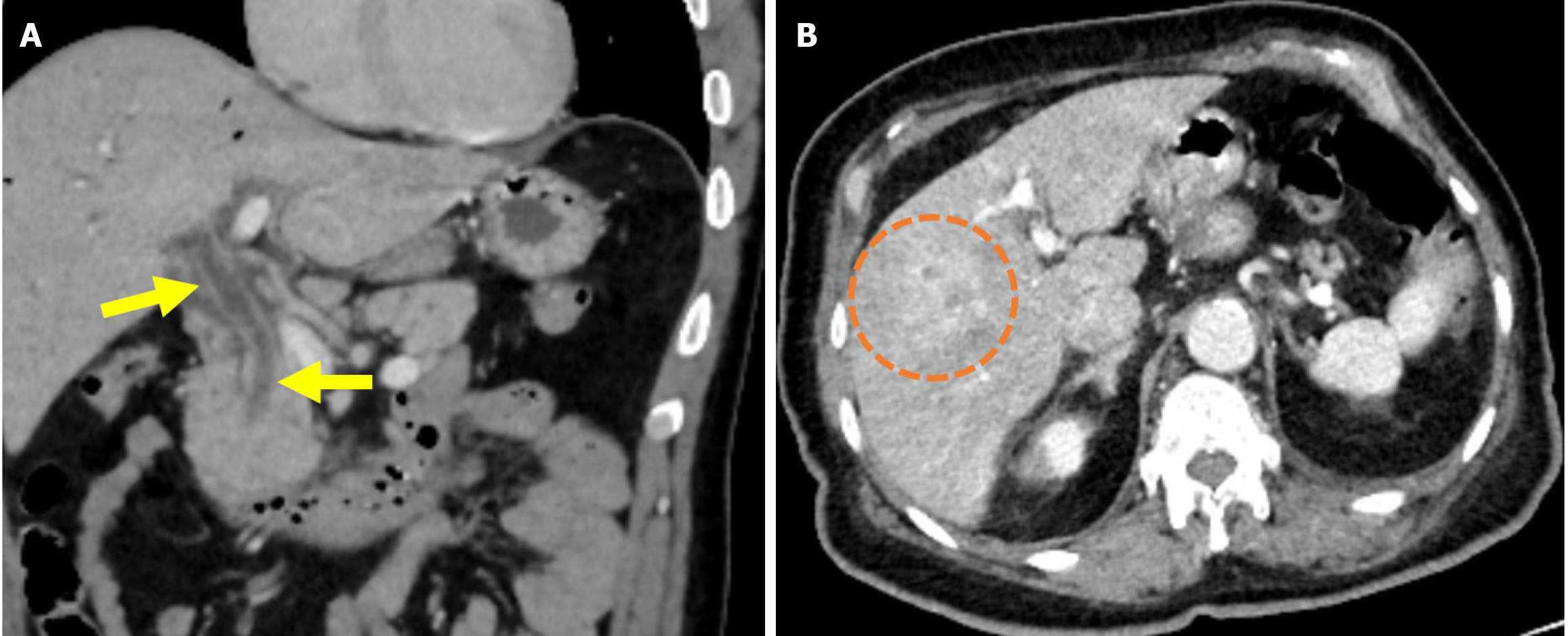
Cholangitis: The incidence of post-ERCP cholangitis is 0.5%-3.3% in meta-analyses, with a mortality rate of 0.1%[7,39,41]. Cholangitis reportedly develops in 1% of patients undergoing sphincterotomy[42]. The risk factors of developing cholangitis include the presence of a combined percutaneous drainage catheter, stenting of malignant strictures, unsuccessful biliary drainage, procedures performed in recipients of a liver transplant, and the use of cholangioscopy[11,20,39]. Antibiotic prophylaxis is recommended in high-risk patient populations, and pre-procedural MRCP may be beneficial in guiding the intervention[11].

ERCP is an effective treatment modality for cholangitis, yet it also contributes to its development. The typical clinical presentation of cholangitis includes Charcot’s triad, which consists of fever, jaundice, and abdominal pain. In severe cases, hypotension and altered mental status may occur to form Reynolds’ pentad. This clinical progression is attributed to the translocation of bacteria from infected bile into the bloodstream. When incomplete biliary drainage is anticipated, prophylactic antibiotics are recommended. Moreover, biliary stents placed during ERCP may become obstructed over time, potentially resulting in delayed cholangitis[11,43].

In patients with suspected cholangitis, US is the typical initial imaging modality. It reveals intrahepatic bile duct dilatation and biliary abscesses. CT and MRI can be employed for further evaluation. Imaging findings include thickened and contrast-enhancing bile duct walls, a prominently enhancing and edematous ampulla, periportal T2 hyperintense areas, and diffusion restriction. Heterogeneous hepatic parenchymal enhancement and cholangitic abscesses may be observed (Figure 6)[43-45].

Figure 6
Figure 6 Cholangitis. A and B: Coronal (A) and axial (B) contrast-enhanced computed tomography images showed findings in a 55-year-old male patient who presented with abdominal pain, chills, and jaundice 1 week after endoscopic retrograde cholangiopancreatography. The patient’s laboratory results revealed elevated levels of gamma-glutamyl transferase, alkaline phosphatase, aspartate aminotransferase, alanine aminotransferase, bilirubin, and acute phase reactants. The patient was subsequently diagnosed with cholangitis. The common bile duct appeared dilated with thickened and enhanced walls (yellow arrows). There was also dilatation of the intrahepatic bile ducts and periductal areas of increased perfusion, likely secondary to inflammation (orange circle).

Cholecystitis: The incidence rate of post-ERCP cholecystitis is 0.5%-5.2%. However, the data are inconsistent[7,40,46]. The risk factors for post-ERCP cholecystitis include advanced age, a history of acute pancreatitis or chronic cholecystitis, an elevated leukocyte count prior to ERCP, cholelithiasis, opacification of the gallbladder during the procedure, and neoplastic involvement of the biliary system[46-49]. The use of self-expandable metal stents (SEMS) (but not plastic stents) in the biliary tract has been identified as a risk factor for complications, suggesting reflux of duodenal content into the biliary system[47].

The clinical presentation of cholecystitis includes fever, abdominal pain, leukocytosis, and a positive Murphy’s sign. Symptoms typically arise within 5 days after ERCP. The underlying mechanism is hypothesized to involve gallbladder dyskinesia or cystic duct obstruction and is potentially facilitated by contamination from non-sterile contrast material[41,48,49].

Imaging findings on US include a thick-walled, hydropic gallbladder, and pericholecystic fluid. Moreover, CT and MRI reveal abnormal gallbladder wall enhancement (Figure 7)[48].

Figure 7
Figure 7 Cholecystitis. A and B: Axial (A) and sagittal (B) contrast-enhanced computed tomography images showed findings consistent with post-endoscopic retrograde cholangiopancreatography cholecystitis in a 33-year-old female patient who presented 10 days after endoscopic retrograde cholangiopancreatography with abdominal pain, nausea, and a positive Murphy’s sign. The patient’s laboratory results revealed elevated levels of aspartate aminotransferase, alanine aminotransferase, and acute phase reactants. Imaging features included gallbladder wall thickening, increased mucosal enhancement (yellow arrows), and stranding in the pericholecystic fat (blue arrow).

Pyogenic liver abscess: Intrahepatic and perihepatic abscesses may develop after ERCP due to endoluminal microbial translocation. Endoscopic sphincterotomy is believed to facilitate bacterial colonization, cholangitis, and subsequent abscess formation by disrupting the anatomical barrier between the biliary system and the intestinal tract[50,51]. Pyogenic liver abscess is often associated with significant bacteremia, leading to the development of concurrent metastatic abscesses in distant sites[52].

On US, abscesses smaller than 2 cm typically appear as hypoechoic nodules, while larger abscesses present as heterogeneous masses, ranging from hyperechoic to hypoechoic due to internal septations and debris. Therefore, US has limited specificity distinguishing abscesses from neoplasms. Posterior acoustic enhancement and the absence of flow signals on Doppler US, however, are suggestive of an abscess[53].

A hepatic abscess appears as a heterogeneous solid mass on CT in the early stages. It typically develops a peripheral contrast-enhancing rim with a centrally hypoattenuating core as it progresses. Pyogenic liver abscesses may be difficult to differentiate from necrotic tumors. The double target sign in which the outer wall layer enhances later than the inner wall layer is an important feature for differentiation. Abscesses usually appear hypointense on T1-weighted MRI and hyperintense on T2-weighted MRI. Peripheral rim enhancement shows the double target sign on contrast-enhanced sequences and typically yields low apparent diffusion coefficient values on diffusion-weighted imaging (Figure 8)[5355].

Figure 8
Figure 8 Pyogenic liver abscess. A and B: Axial (A) and coronal (B) contrast-enhanced computed tomography images demonstrated pyogenic liver abscess secondary to endoscopic retrograde cholangiopancreatography in a 76-year-old female patient. She presented 2 months after endoscopic retrograde cholangiopancreatography with abdominal pain, nausea, elevated acute phase reactants, and leukocytosis. A hypodense lesion corresponding to the abscess was apparent in the right hepatic lobe (orange star). Surrounding edema and increased perfusion were also noted. This imaging appearance represents the double target sign (blue arrows).
Hemorrhage

Hemorrhage is a potentially serious complication of ERCP that most commonly results after sphincterotomy. It is an uncommon complication with an incidence of 1.2%-1.7%[7]. Established risk factors for post-ERCP hemorrhage include biliary and pancreatic sphincterotomy, coagulopathy, initiation of anticoagulant therapy within 3 days after the procedure, preexisting cholangitis, bleeding during the initial sphincterotomy, and procedures performed by inexperienced endoscopists. Factors not associated with an increased bleeding risk include the use of aspirin (acetylsalicylic acid) or nonsteroidal anti-inflammatory drugs, ampullary tumors, longer sphincterotomy incisions, and extension of a previous sphincterotomy[47,56]. Bleeding can also occur secondary to liver, splenic, or vascular injury. Hemobilia may develop following stricture dilation, biliary biopsy, or ablative therapies.

The ASGE, ACG, ESGE, and JGES do not have specific guidelines addressing ERCP-related hemorrhage. However, they do provide guidelines concerning gastrointestinal bleeding in general[57-59]. The ASGE and ACG guidelines recommend urgent angiography for potential embolization in cases where endoscopy is negative and the patient is hemodynamically unstable. If the patient is hemodynamically stable, CT angiogram or red blood cell scintigraphy is suggested to localize the bleeding source and guide angiography timing[57,60]. The JGES guidelines suggest CECT for non-variceal upper gastrointestinal bleeding when the source of the bleeding cannot be identified endoscopically[58]. The ESGE guidelines on upper gastrointestinal bleeding focus on therapeutic recommendations rather than diagnostic strategies. When endoscopic treatment fails, transcatheter angiographic embolization is recommended as the next intervention[59].

Acute duodenal wall hemorrhage appears as an area of high-attenuation wall thickening on imaging. The attenuation decreases as the hemorrhage evolves and often forms a pseudocapsule. Hyperattenuating blood can be seen within the CBD and the duodenal lumen in cases of intraluminal bleeding. Arterial phase acquisition with vascular window settings and maximum intensity projection reconstruction demonstrate active contrast extravasation in the duodenum (Figures 9 and 10)[37,61,62].

Figure 9
Figure 9 Acute duodenal wall and mesenteric hemorrhages. A and B: Axial (A) and coronal (B) noncontrast computed tomography images revealed findings consistent with hemorrhage in an 81-year-old female patient who presented with abdominal pain and a drop in hemoglobin levels following endoscopic retrograde cholangiopancreatography. A high-density mesenteric collection and mesenteric fat stranding were observed and consistent with mesenteric hematoma (blue arrows). Hyperattenuating duodenal wall thickening, indicative of an intramural hematoma (orange arrows), was also present. Free fluid was noted in the perihepatic space (yellow arrow).
Figure 10
Figure 10  Hemobilia. A and B: Axial (A) and coronal (B) noncontrast computed tomography images depicted findings of hemobilia in an 84-year-old female patient with coagulopathy who presented with abdominal pain and a drop in hemoglobin following endoscopic retrograde cholangiopancreatography. Dilatation of the common bile duct with hyperattenuating intraluminal material consistent with hemorrhage was observed (yellow arrows). Hyperdense gallstones were also visible within the gallbladder (blue arrow).

A subcapsular hematoma resulting from the tearing of vascular or biliary structures during wire manipulation or balloon dilation may occur. In addition pseudoaneurysms can develop from irritation or erosion of adjacent vessel walls by biliary stents. These complications may require surgical or angiographic intervention (Figure 11)[63-66].

Figure 11
Figure 11  Hepatic pseudoaneurysm. A and B: Axial (A) and coronal (B) computed tomography (CT) angiography in the arterial phase. C: Digital subtraction angiography during therapeutic intervention. A 63-year-old female patient presented with a rapid drop in hemoglobin and melena following the removal of a previous plastic stent. The patient developed progressively worsening periumbilical abdominal pain and exhibited signs of hypovolemic shock. Arterial phase CT angiography revealed a pseudoaneurysm originating from the left hepatic artery (yellow arrows). The digital subtraction angiography image showed successful embolization of the pseudoaneurysm with coil placement (blue arrow).

Hemorrhage is classified as mild, moderate, or severe. Mild bleeding is self-limiting and can be managed conservatively. Moderate to severe bleeding may require repeated endoscopic interventions, such as epinephrine injection, placement of hemoclips, balloon tamponade, electrocauterization, temporary stent placement, or angiographic embolization or surgical treatment in severe cases[67,68].

Perforation

The incidence of ERCP-related perforation is 0.09%-1.67% with associated mortality rates reaching up to 8.00%[7,69,70]. Risk factors include sphincter of Oddi dysfunction, female sex, advanced age, anatomical variations (e.g., situs inversus and surgically altered gastrointestinal tracts), difficult cannulation, prolonged procedure, sphincterotomy, stricture dilation, and operator inexperience[11,18,71].

ERCP-related perforations occur through several mechanisms. Luminal perforations, typically intraperitoneal, result from direct trauma from the endoscope. Retroperitoneal leaks occur when the sphincterotomy incision extends beyond the intramural segment of the bile or pancreatic duct. Perforation can also result from guidewire or stent migration. Clinically, perforation symptoms can mimic PEP, making diagnosis challenging. The extravasation of contrast material outside the lumen during the procedure should raise suspicion of perforation. Delayed diagnosis and treatment can lead to life-threatening complications[11,71,72]. The results of delayed perforation management include increased hospitalization duration and mortality as well as the need for more complex surgical interventions[73].

Diagnosis of ERCP-related perforations during the procedure may involve direct visualization of a luminal defect or an indirect sign (e.g., extraluminal passage of contrast or a guidewire) and fluoroscopic detection of intraperitoneal or retroperitoneal air according to the ASGE and ESGE guidelines. In cases where perforation is suspected after the procedure, CT evaluation is recommended[11,69,74].

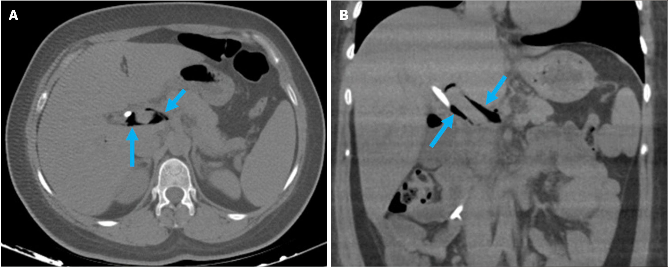
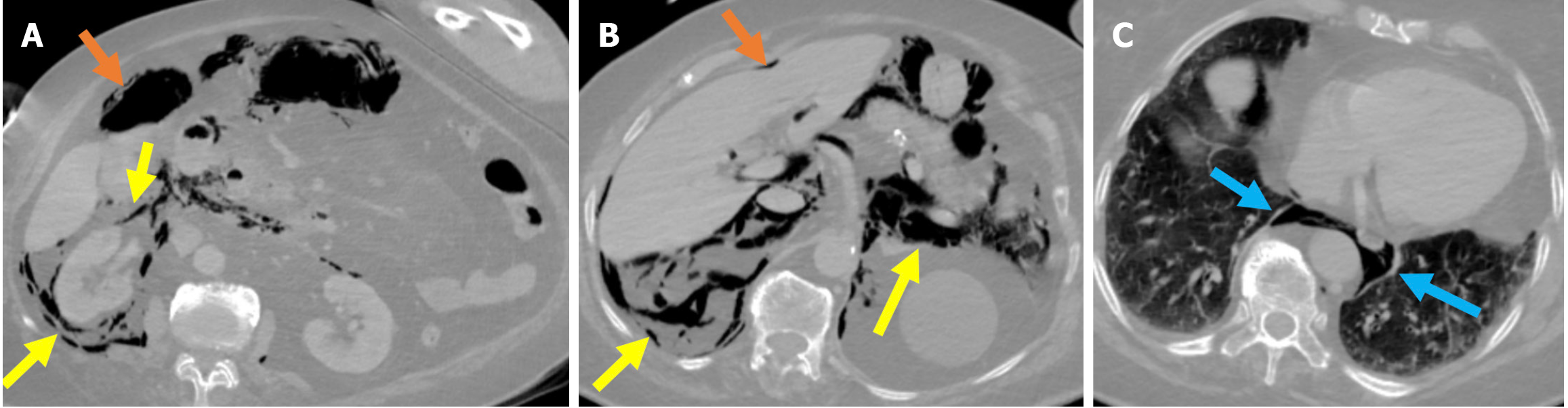
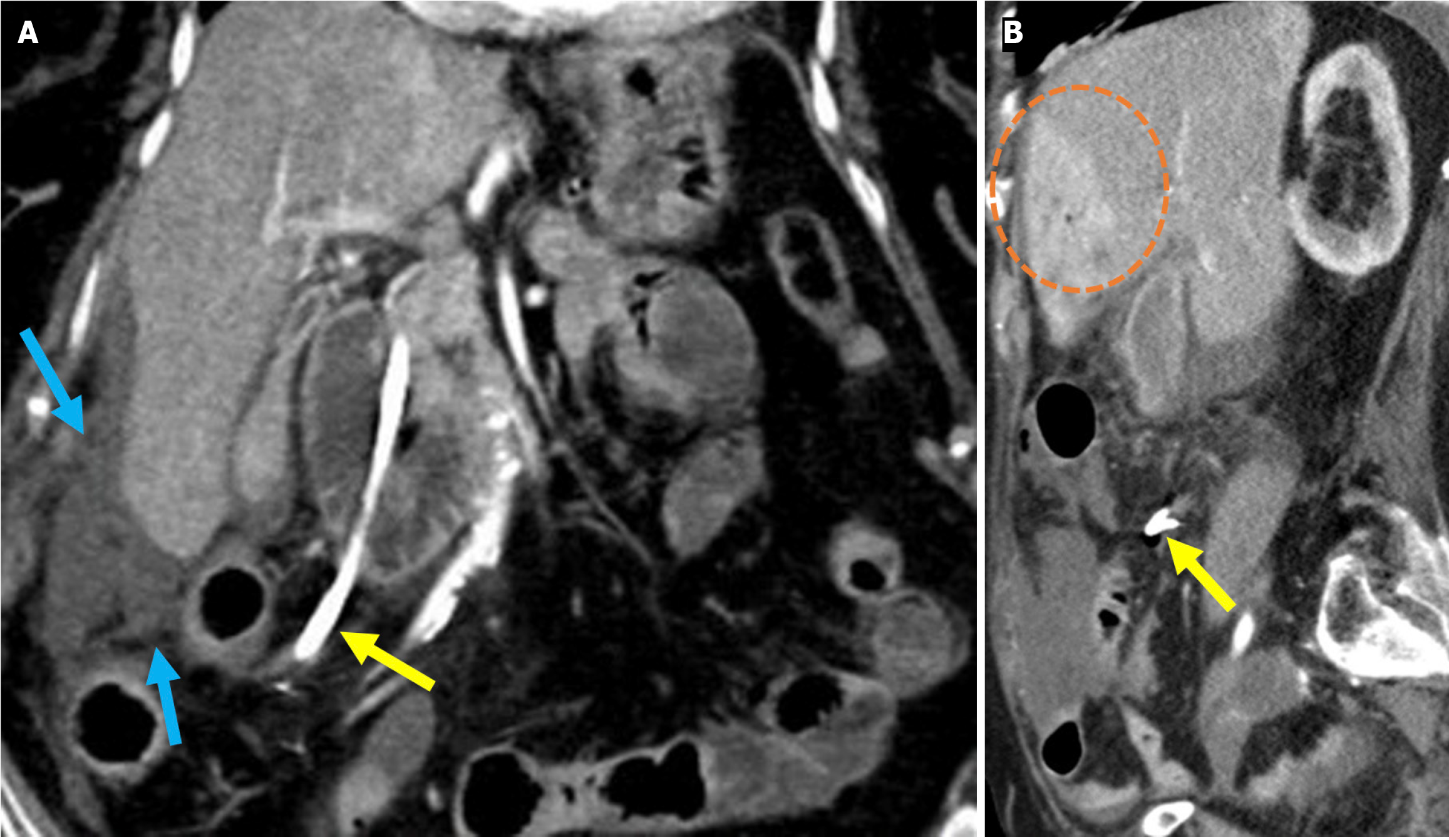
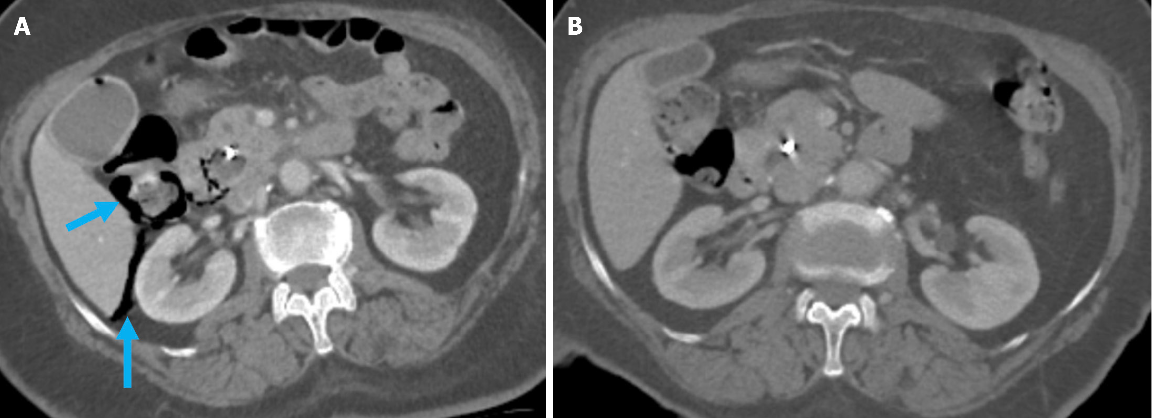
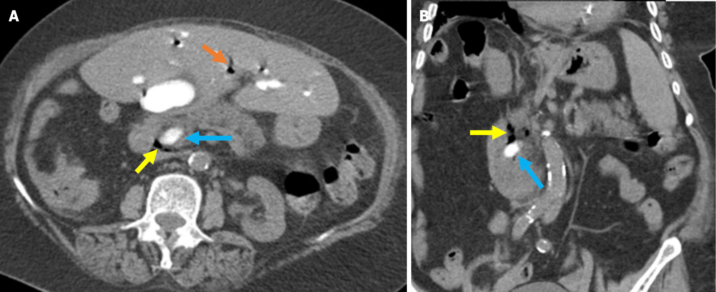
In the classification system proposed by Stapfer et al[17], perforations are categorized by decreasing severity and account for the need for surgical intervention, the mechanism of injury, and the anatomical location. Type I perforations involve full-thickness injuries of the duodenal wall caused by the endoscope (Figure 12). Type I perforations typically present during the procedure as sudden bleeding, collapse of the lumen, and difficulty maintaining insufflation[73]. Type II perforations are medial duodenal wall injuries related to sphincterotomy or papillotomy (Figure 13). Type II perforations may also present with gas patterns under the liver or around the right kidney during fluoroscopy[73]. Type III perforations result from instrumentation-related injuries to the bile or pancreatic ducts (Figure 14). Type IV perforations indicate retroperitoneal air due to excessive endoscopic insufflation or minor sphincter manipulation, and there is typically no actual perforation (Figure 15).

Figure 12
Figure 12  Stapfer type I perforation. A-C: Contrast-enhanced computed tomography (CT) images in lung window settings at the duodenum (A), celiac artery (B), and basal thorax (C) revealed a lateral duodenal wall perforation in an 84-year-old female patient who had undergone sphincterotomy. During the procedure, suspicion of perforation arose due to suboptimal luminal insufflation during the endoscopic manipulation. A prompt CT scan was performed before the patient was returned to the ward. Findings included pneumoperitoneum (orange arrows) in the perihepatic and right paracolic regions and extensive retroperitoneal emphysema (yellow arrows) involving the right perirenal space, posterior and anterior pararenal spaces, and posterior pneumomediastinum (blue arrows). Due to worsening clinical signs of peritonitis and the results from imaging, an emergency laparotomy was required.
Figure 13
Figure 13  Stapfer type II perforation. A and B: Axial (A) and coronal (B) noncontrast computed tomography (CT) images in a 70-year-old patient who developed a perforation around the ampulla of Vater during sphincterotomy and cannulation. Four hours after the procedure, the patient developed mild epigastric pain, which progressively became diffuse. Eight hours after the procedure, the patient experience fever and tachycardia, which indicated a potential perforation, and a CT scan was subsequently performed. Free air was visible along the medial aspect of the duodenum at the pancreaticoduodenal groove, indicating perforation (yellow arrows). Typical post-endoscopic retrograde cholangiopancreatography appearances included air within the intrahepatic bile ducts (orange arrow) and contrast material within the common bile duct (blue arrows). The patient was managed conservatively.
Figure 14
Figure 14  Stapfer type III perforation. A and B: Axial (A) and coronal (B) contrast-enhanced computed tomography images showed a choledochal microperforation in a 28-year-old patient following sphincterotomy and plastic stent placement. Following the procedure, the patient developed severe periumbilical abdominal pain accompanied by guarding and rebound tenderness. The free air was confined to the periportal region and extended from the hepatoduodenal ligament to the hepatic hilum (blue arrows).
Figure 15
Figure 15  Stapfer type IV perforation. A: Axial early post-endoscopic retrograde cholangiopancreatography contrast-enhanced computed tomography (CT); B: Axial contrast-enhanced CT on day 7 after endoscopic retrograde cholangiopancreatography. The 76-year-old patient who underwent sphincterotomy and placement of a plastic stent presented with mild abdominal pain and a slight elevation in serum amylase following the procedure. Despite the absence of intra-procedural suspicion and no clinical findings suggestive of perforation, free air was observed on CT in the right anterior pararenal and paraduodenal spaces (blue arrows). The patient was managed conservatively. A follow-up CT scan on day 7 demonstrated resolution of the free air. The patient’s clinical and laboratory findings were consistent with this benign course.

A systematic review published in 2017 identified Stapfer type II perforations as the most frequent (58.4%), followed by type I (17.8%), type 3 (13.2%), and type IV (10.6%). The review highlighted that early surgical intervention is crucial for type I perforations due to a high risk of sepsis-related mortality, whereas conservative, non-surgical management is generally preferred for types III and IV. The timing of surgery was shown to be critical in type II cases, with early intervention associated with reduced mortality rates[70]; although, type II perforations can often be managed conservatively, provided the patient remains clinically stable.

When a perforation is suspected, abdominal CT with water-soluble oral contrast is recommended. Key diagnostic findings include extraluminal air, contrast extravasation, or fluid collections. Free air may be intraperitoneal or extraperitoneal depending on the injury site. In type II injuries, air most commonly accumulates between the head of the pancreas and the posterior aspect of the duodenum. It may also extend to the right perirenal or anterior pararenal space, the inferior vena cava, and the mediastinum[9,13,75]. During cannulation, inadvertent advancement of the catheter or guidewire into the submucosal layer of the duodenum may result in the accumulation of air and contrast agent within the submucosa[17]. Importantly, the volume of visualized retroperitoneal air is not indicative of prognosis as it largely reflects the amount of air insufflated during endoscopy. Clinical indicators such as patient stability and the presence or absence of peritonitis, fever, or shock are more critical for guiding management decisions[9,13].

If there are no signs of peritonitis on CT and no evidence of systemic inflammatory response syndrome, conservative management is appropriate. Small perforations are typically self-limiting and can close spontaneously, whereas larger perforations lead to the formation of infected biliary collections located intraperitoneally or retroperitoneally[9,13,76]. According to the recommendations of the American Gastroenterological Association, patients who are managed conservatively and show clear clinical improvement can elect to undergo a CECT scan with intravenous and oral contrast within 2-4 days after ERCP to confirm the absence of extraluminal leakage before resuming oral intake[73].

Complications associated with biliary stents

Stent placement is commonly used to treat biliary obstruction caused by benign and malignant conditions. Plastic and metallic stents are utilized and easily identifiable on CT imaging. Stent-related complications are categorized as primary or secondary. Primary complications include stent fracture and migration, while secondary complications encompass hemorrhage, perforation, infection, stent encrustation, stent obstruction, and tumor regrowth[77-79]. Stent-related complications are acute (e.g., hemorrhage, pancreatitis, and stent misplacement) or chronic (e.g., stent migration, fracture, and obstruction). Acute complications are less common than chronic ones[13].

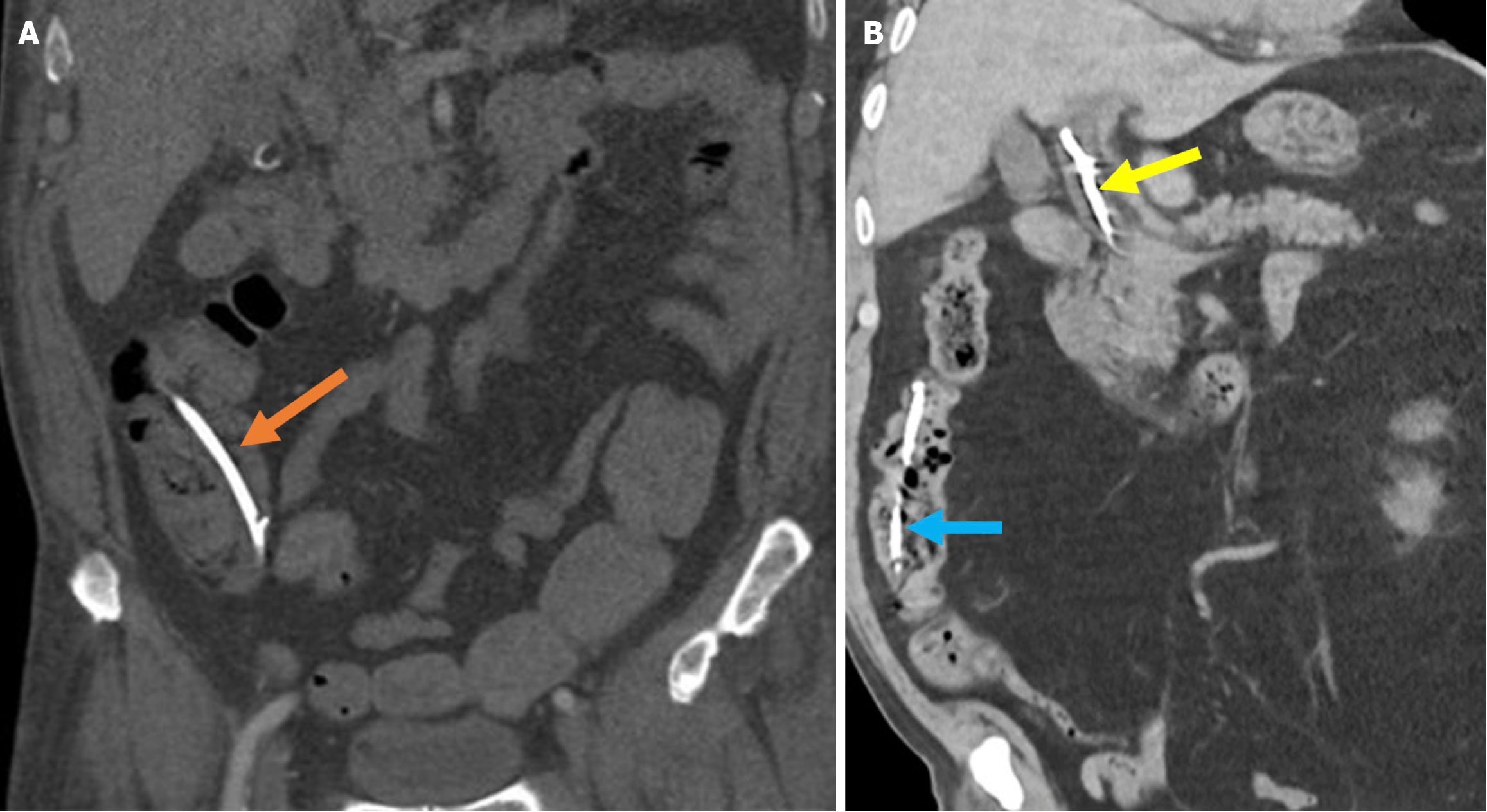
Stent migration: Proximal or distal migration of biliary stents occurs in 5%-10% of patients after stent placement. Gastrointestinal penetration or transmural perforation related to stent migration is uncommon in clinical practice (Figures 16 and 17)[80,81]. Proximal migration refers to the displacement of the stent into the right or left main bile duct, whereas distal migration indicates movement beyond the papilla[78]. Migration rates are lower in malignant strictures, particularly when using multiple stents. In benign strictures, long stents, proximal strictures, and post-cholecystectomy strictures have been associated with distal migration. Conversely, short stents, distal strictures, and the absence of post-cholecystectomy changes are more commonly linked to proximal migration[80,82].

Figure 16
Figure 16  Proximal stent migration. A and B: Axial (A) and sagittal (B) contrast-enhanced computed tomography of a 73-year-old male patient with a history of biliary stenting. He presented with persistent abdominal pain following revision of the common bile duct stent 1 week prior. The patient developed progressive jaundice, pruritus, and recurrent fever. Laboratory tests revealed elevated levels of bilirubin, aspartate aminotransferase, and alanine aminotransferase. The stent, which should be located within the common bile duct, migrated proximally into an intrahepatic bile duct and extended toward the subcapsular region of hepatic segment IV (yellow arrows).
Figure 17
Figure 17  Distal stent migration. A: A 56-year-old male patient with a history of endoscopic retrograde cholangiopancreatography (ERCP) and biliary stenting presented with right lower quadrant pain lasting for 3 days. The coronal noncontrast computed tomography (CT) images demonstrated distal migration of the stent into the cecum (orange arrow); B: An 85-year-old patient with a history of ERCP and biliary stenting presented with jaundice. The previous stent was not visualized during ERCP for stent revision, and re-stenting was performed (yellow arrow). Post-procedural coronal contrast-enhanced CT revealed distal migration of the previous stent into the ascending colon (blue arrow).

Distal migration of a biliary stent typically involves passage through the gastrointestinal tract without complication. However, there is the potential for perforation of the duodenum, jejunum, ileum, cecum, or colon[83]. Biliary stents cause perforation more frequently than pancreatic stents when migrating distally and may be related to the steeper exit angle of biliary stents into the duodenum[84]. These types of perforations are not included in the Stapfer classification nor other ERCP-related perforation systems. They present with pneumoperitoneum or retroperitoneal gas accumulation, fluid collections, or direct evidence of duodenal wall disruption on abdominal CT. While there are no specific guidelines for the management of stent-related perforations, imaging findings and the patient’s clinical status are critical for determining the appropriate intervention (i.e. surgical or endoscopic) (Figure 18)[79].

Figure 18
Figure 18  Distal stent migration and duodenal perforation. A and B: Coronal (A) and sagittal (B) contrast-enhanced computed tomography images in a 77-year-old female patient with a history of endoscopic retrograde cholangiopancreatography and biliary stenting for cholangitis, who presented with severe abdominal pain. Tachypnea and agitation were observed and were accompanied by nausea, fatigue, and impaired oral intake. Laboratory tests revealed elevated leukocyte counts, C-reactive protein levels, and lactate levels. The stent was found to have migrated distally into the duodenum and perforated the distal portion of the second part of the duodenum (yellow arrow). High attenuation-free fluid, suggestive of hemorrhage, was observed in the perihepatic region and mesentery (blue arrows). The liver exhibited heterogeneous contrast enhancement, consistent with impaired perfusion that was likely related to ischemia (orange circle). Emergent surgical intervention was required.

Stent fracture: A stent fracture is a rare complication that may lead to biliary obstruction and an increased risk of cholangitis if left untreated. It is commonly observed in SEMS while fractures of plastic stents are exceedingly rare. The underlying mechanism involves metal fatigue resulting from repeated bending and mechanical stress over time (Figure 19)[85,86].

Figure 19
Figure 19  Stent fracture. A: Posteroanterior chest radiograph; B: Contrast-enhanced coronal computed tomography scan. A 52-year-old female patient presented to the hospital 3 days after biliary stent placement via endoscopic retrograde cholangiopancreatography with complaints of abdominal pain and elevated levels of aspartate aminotransferase, alanine aminotransferase, and bilirubin. The imaging revealed a fracture of the previously placed plastic stent (yellow arrow). A repeat endoscopic retrograde cholangiopancreatography was performed to remove the fractured stent, but residual stent fragments remained within the common bile duct. The duct appeared dilated due to malfunction of the broken stent (blue arrow).
Post-sphincterotomy biliary stricture

Post-sphincterotomy biliary stricture is a rare complication. It results from fibrosis at the sphincterotomy site and can develop months to years after the procedure. Strictures located just above the duodenal wall are classified as type 1, while those situated deeper within the bile duct are type 2. In type 1 strictures, a simple extension of the sphincterotomy may be sufficient, whereas type 2 strictures often require balloon dilation. Similarly, the pancreatic duct orifice may also become stenotic following sphincterotomy, leading to recurrent episodes of pancreatitis (Figure 20)[38,68].

Figure 20
Figure 20  Post-sphincterotomy biliary stricture. A: Coronal T2-weighted magnetic resonance imaging; B: Fat-suppressed post-contrast T1-weighted magnetic resonance imaging showed a biliary stricture in a 40-year-old male patient with a history of endoscopic retrograde cholangiopancreatography and sphincterotomy. Focal stenosis was observed in the mid portion of the common bile duct without any associated mass lesion (yellow arrows). There was associated mural thickening of the mid-bile duct and dilatation of the intrahepatic bile ducts (blue arrows). The findings were consistent with a benign biliary stricture secondary to prior endoscopic retrograde cholangiopancreatography.
INTEGRATING ARTIFICIAL INTELLIGENCE AND INNOVATIVE IMAGING TECHNIQUES IN ERCP-RELATED COMPLICATIONS

Studies involving artificial intelligence (AI) and novel imaging modalities in the radiological evaluation of ERCP-related complications have focused on pancreatitis, the most common ERCP-related complication. AI plays a significant role in the medical field, particularly in radiology, by aiding in lesion detection, characterization, segmentation, post-treatment response evaluation, and risk stratification[87].

Hamada et al[88] investigated the potential of a convolutional neural network (CNN) model to predict PEP by analyzing pancreatic morphology on preprocedural CECT scans in patients undergoing SEMS placement for malignant biliary obstruction. In a cohort of 70 patients, the CNN model utilizing only imaging data achieved an area under the curve of 0.67, an accuracy of 66%, a positive predictive value of 45%, and a specificity of 63%. When the CNN was combined with clinical variables such as body mass index, age, and sex, the performance of the model improved notably, yielding an area under the curve of 0.74, an accuracy of 83%, a positive predictive value of 85%, and a specificity of 96%. The authors advocated for the development of a comprehensive risk scoring system that incorporated both imaging and clinical data. Lin et al[89] demonstrated that extracting radiomic features from contrast-enhanced MRI images enabled reliable early differentiation of severe acute pancreatitis compared with clinical assessments and conventional imaging scores.

Dual-energy CT (DECT) is a sophisticated diagnostic modality that enhances tissue characterization by generating images at multiple energy levels within a single acquisition[90]. In the evaluation of post-ERCP complications, DECT facilitated precise visualization of pancreatic perfusion abnormalities and necrotic areas through the generation of iodine maps[91]. Mahmoudi et al[92] demonstrated that DECT technology enabled the quantitative assessment of iodine concentration using only the portal venous phase, thereby eliminating the need for multiphasic imaging and reducing radiation exposure. The technique showed high accuracy, particularly in distinguishing between mild to moderate and severe cases of acute pancreatitis.

DECT-based virtual noncontrast imaging in cases of bleeding complications avoids the need for an initial noncontrast scan, thereby decreasing overall radiation burden by 30%[93]. Low-keV virtual monochromatic images generated by DECT allow enhanced visualization of vascular structures. This improved clarity enhanced the conspicuity of vascular lesions and facilitated accurate pre-embolization planning[90,93].

It is evident that emerging technologies such as artificial intelligence and DECT are gaining significant traction in radiology and various medical applications. They will play a greater role in the prediction and evaluation of ERCP-related complications in the future.

CONCLUSION

ERCP is routinely performed in many medical centers and is a minimally invasive alternative to procedures that once required major surgery. While complications are relatively rare, they lead to considerable morbidity and even mortality. Due to the increasing complexity of the procedures, the ability of the clinician to interpret procedural findings in conjunction with laboratory results is crucial to select the optimal imaging strategy for timely diagnosis and effective treatment.

CT is often the initial imaging modality employed at the presentation of ERCP-related complications due to its speed, accessibility, and ability to provide valuable diagnostic information. Emerging technologies such as DECT allow the acquisition of greater diagnostic information while minimizing radiation exposure. Although the current use of AI in assessing ERCP-related complications is limited and focused on PEP, its potential for broader application is expected to grow with future research on various complications.

Radiologists play a vital role in identifying complications and recognizing expected post-procedural changes. Clear communication between radiologists and endoscopists is essential. It is crucial for both clinicians to understand normal and abnormal imaging features. In addition, structured classification systems of ERCP-related complications are needed for accurate reporting and optimal patient care. Future multidisciplinary research incorporating both radiological advancements and clinical insights will be pivotal in improving patient outcomes following ERCP.

References
1.  McCune WS, Shorb PE, Moscovitz H. Endoscopic cannulation of the ampulla of vater: a preliminary report. Ann Surg. 1968;167:752-756.  [RCA]  [PubMed]  [DOI]  [Full Text]  [Cited by in Crossref: 410]  [Cited by in RCA: 384]  [Article Influence: 6.6]  [Reference Citation Analysis (0)]
2.  Kawai K, Akasaka Y, Murakami K, Tada M, Koli Y. Endoscopic sphincterotomy of the ampulla of Vater. Gastrointest Endosc. 1974;20:148-151.  [RCA]  [PubMed]  [DOI]  [Full Text]  [Cited by in Crossref: 514]  [Cited by in RCA: 462]  [Article Influence: 8.9]  [Reference Citation Analysis (0)]
3.  Demling L, Koch H, Classen M, Belohlavek D, Schaffner O, Schwamberger K, Stolte M. [Endoscopic papillotomy and removal of gall-stones: animal experiments and first clinical results (author's transl)]. Dtsch Med Wochenschr. 1974;99:2255-2257.  [RCA]  [PubMed]  [DOI]  [Full Text]  [Cited by in Crossref: 52]  [Cited by in RCA: 41]  [Article Influence: 0.8]  [Reference Citation Analysis (0)]
4.  ASGE Standards of Practice Committee; Chathadi KV, Chandrasekhara V, Acosta RD, Decker GA, Early DS, Eloubeidi MA, Evans JA, Faulx AL, Fanelli RD, Fisher DA, Foley K, Fonkalsrud L, Hwang JH, Jue TL, Khashab MA, Lightdale JR, Muthusamy VR, Pasha SF, Saltzman JR, Sharaf R, Shaukat A, Shergill AK, Wang A, Cash BD, DeWitt JM. The role of ERCP in benign diseases of the biliary tract. Gastrointest Endosc. 2015;81:795-803.  [RCA]  [PubMed]  [DOI]  [Full Text]  [Cited by in Crossref: 94]  [Cited by in RCA: 110]  [Article Influence: 10.0]  [Reference Citation Analysis (1)]
5.  Cappell MS, Friedel DM. Stricter national standards are required for credentialing of endoscopic-retrograde-cholangiopancreatography in the United States. World J Gastroenterol. 2019;25:3468-3483.  [RCA]  [PubMed]  [DOI]  [Full Text]  [Full Text (PDF)]  [Cited by in CrossRef: 29]  [Cited by in RCA: 28]  [Article Influence: 4.0]  [Reference Citation Analysis (0)]
6.  Wu CCH, Lim SJM, Khor CJL. Endoscopic retrograde cholangiopancreatography-related complications: risk stratification, prevention, and management. Clin Endosc. 2023;56:433-445.  [RCA]  [PubMed]  [DOI]  [Full Text]  [Full Text (PDF)]  [Cited by in RCA: 28]  [Reference Citation Analysis (0)]
7.  Bishay K, Meng ZW, Khan R, Gupta M, Ruan Y, Vaska M, Iannuzzi J, O'Sullivan DE, Mah B, Partridge ACR, Henderson AM, Guo H, Samnani S, DeMarco M, Yuan Y, Elmunzer BJ, Keswani RN, Wani S, Smith ZL, Bridges RJ, Heitman SJ, Hilsden RJ, Brenner DR, Leontiadis GI, Forbes N. Adverse Events Associated With Endoscopic Retrograde Cholangiopancreatography: Systematic Review and Meta-Analysis. Gastroenterology. 2025;168:568-586.  [RCA]  [PubMed]  [DOI]  [Full Text]  [Cited by in Crossref: 12]  [Cited by in RCA: 34]  [Article Influence: 34.0]  [Reference Citation Analysis (0)]
8.  Barakat M, Saumoy M, Forbes N, Elmunzer BJ. Complications of Endoscopic Retrograde Cholangiopancreatography. Gastroenterology. 2025;169:230-243.e8.  [RCA]  [PubMed]  [DOI]  [Full Text]  [Cited by in Crossref: 2]  [Cited by in RCA: 11]  [Article Influence: 11.0]  [Reference Citation Analysis (0)]
9.  Tonolini M, Pagani A, Bianco R. Cross-sectional imaging of common and unusual complications after endoscopic retrograde cholangiopancreatography. Insights Imaging. 2015;6:323-338.  [RCA]  [PubMed]  [DOI]  [Full Text]  [Full Text (PDF)]  [Cited by in Crossref: 13]  [Cited by in RCA: 12]  [Article Influence: 1.1]  [Reference Citation Analysis (0)]
10.  Sartelli M, Viale P, Catena F, Ansaloni L, Moore E, Malangoni M, Moore FA, Velmahos G, Coimbra R, Ivatury R, Peitzman A, Koike K, Leppaniemi A, Biffl W, Burlew CC, Balogh ZJ, Boffard K, Bendinelli C, Gupta S, Kluger Y, Agresta F, Di Saverio S, Wani I, Escalona A, Ordonez C, Fraga GP, Junior GA, Bala M, Cui Y, Marwah S, Sakakushev B, Kong V, Naidoo N, Ahmed A, Abbas A, Guercioni G, Vettoretto N, Díaz-Nieto R, Gerych I, Tranà C, Faro MP, Yuan KC, Kok KY, Mefire AC, Lee JG, Hong SK, Ghnnam W, Siribumrungwong B, Sato N, Murata K, Irahara T, Coccolini F, Segovia Lohse HA, Verni A, Shoko T. 2013 WSES guidelines for management of intra-abdominal infections. World J Emerg Surg. 2013;8:3.  [RCA]  [PubMed]  [DOI]  [Full Text]  [Full Text (PDF)]  [Cited by in Crossref: 209]  [Cited by in RCA: 178]  [Article Influence: 13.7]  [Reference Citation Analysis (0)]
11.  Chandrasekhara V, Khashab MA, Muthusamy VR, Acosta RD, Agrawal D, Bruining DH, Eloubeidi MA, Fanelli RD, Faulx AL, Gurudu SR, Kothari S, Lightdale JR, Qumseya BJ, Shaukat A, Wang A, Wani SB, Yang J, DeWitt JM;  ASGE Standards of Practice Committee. Adverse events associated with ERCP. Gastrointest Endosc. 2017;85:32-47.  [RCA]  [PubMed]  [DOI]  [Full Text]  [Cited by in Crossref: 405]  [Cited by in RCA: 597]  [Article Influence: 66.3]  [Reference Citation Analysis (0)]
12.  Ferrari FS, Fantozzi F, Tasciotti L, Vigni F, Scotto F, Frasci P. US, MRCP, CCT and ERCP: a comparative study in 131 patients with suspected biliary obstruction. Med Sci Monit. 2005;11:MT8-M18.  [PubMed]  [DOI]
13.  Manoharan D, Srivastava DN, Gupta AK, Madhusudhan KS. Complications of endoscopic retrograde cholangiopancreatography: an imaging review. Abdom Radiol (NY). 2019;44:2205-2216.  [RCA]  [PubMed]  [DOI]  [Full Text]  [Cited by in Crossref: 6]  [Cited by in RCA: 11]  [Article Influence: 1.6]  [Reference Citation Analysis (0)]
14.  O'Connor OJ, O'Neill S, Maher MM. Imaging of biliary tract disease. AJR Am J Roentgenol. 2011;197:W551-W558.  [RCA]  [PubMed]  [DOI]  [Full Text]  [Cited by in Crossref: 41]  [Cited by in RCA: 43]  [Article Influence: 2.9]  [Reference Citation Analysis (0)]
15.  Tenner S, Vege SS, Sheth SG, Sauer B, Yang A, Conwell DL, Yadlapati RH, Gardner TB. American College of Gastroenterology Guidelines: Management of Acute Pancreatitis. Am J Gastroenterol. 2024;119:419-437.  [RCA]  [PubMed]  [DOI]  [Full Text]  [Cited by in Crossref: 64]  [Cited by in RCA: 219]  [Article Influence: 109.5]  [Reference Citation Analysis (0)]
16.  Unal E, Ayan EN, Yazgan S. Acute Reversible Duodenitis Following Non-Therapeutic Upper Gastrointestinal Endoscopy. Is Duodenal Diverticulum a Predisposing Factor? Pol J Radiol. 2016;81:589-592.  [RCA]  [PubMed]  [DOI]  [Full Text]  [Full Text (PDF)]  [Cited by in RCA: 1]  [Reference Citation Analysis (0)]
17.  Stapfer M, Selby RR, Stain SC, Katkhouda N, Parekh D, Jabbour N, Garry D. Management of duodenal perforation after endoscopic retrograde cholangiopancreatography and sphincterotomy. Ann Surg. 2000;232:191-198.  [RCA]  [PubMed]  [DOI]  [Full Text]  [Cited by in Crossref: 242]  [Cited by in RCA: 254]  [Article Influence: 9.8]  [Reference Citation Analysis (0)]
18.  Wu JH, Tsai HM, Chen CY, Wang YS. Computed tomography classification of endoscopic retrograde cholangiopancreatography-related perforation. Kaohsiung J Med Sci. 2020;36:129-134.  [RCA]  [PubMed]  [DOI]  [Full Text]  [Cited by in Crossref: 2]  [Cited by in RCA: 5]  [Article Influence: 0.7]  [Reference Citation Analysis (0)]
19.  Akshintala VS, Kanthasamy K, Bhullar FA, Sperna Weiland CJ, Kamal A, Kochar B, Gurakar M, Ngamruengphong S, Kumbhari V, Brewer-Gutierrez OI, Kalloo AN, Khashab MA, van Geenen EM, Singh VK. Incidence, severity, and mortality of post-ERCP pancreatitis: an updated systematic review and meta-analysis of 145 randomized controlled trials. Gastrointest Endosc. 2023;98:1-6.e12.  [RCA]  [PubMed]  [DOI]  [Full Text]  [Cited by in Crossref: 67]  [Cited by in RCA: 95]  [Article Influence: 31.7]  [Reference Citation Analysis (0)]
20.  Dumonceau JM, Kapral C, Aabakken L, Papanikolaou IS, Tringali A, Vanbiervliet G, Beyna T, Dinis-Ribeiro M, Hritz I, Mariani A, Paspatis G, Radaelli F, Lakhtakia S, Veitch AM, van Hooft JE. ERCP-related adverse events: European Society of Gastrointestinal Endoscopy (ESGE) Guideline. Endoscopy. 2020;52:127-149.  [RCA]  [PubMed]  [DOI]  [Full Text]  [Cited by in Crossref: 707]  [Cited by in RCA: 599]  [Article Influence: 99.8]  [Reference Citation Analysis (1)]
21.  Cahyadi O, Tehami N, de-Madaria E, Siau K. Post-ERCP Pancreatitis: Prevention, Diagnosis and Management. Medicina (Kaunas). 2022;58:1261.  [RCA]  [PubMed]  [DOI]  [Full Text]  [Full Text (PDF)]  [Cited by in RCA: 47]  [Reference Citation Analysis (0)]
22.  Rustagi T, Jamidar PA. Endoscopic retrograde cholangiopancreatography-related adverse events: general overview. Gastrointest Endosc Clin N Am. 2015;25:97-106.  [RCA]  [PubMed]  [DOI]  [Full Text]  [Cited by in Crossref: 54]  [Cited by in RCA: 64]  [Article Influence: 5.8]  [Reference Citation Analysis (0)]
23.  Banks PA, Bollen TL, Dervenis C, Gooszen HG, Johnson CD, Sarr MG, Tsiotos GG, Vege SS; Acute Pancreatitis Classification Working Group. Classification of acute pancreatitis--2012: revision of the Atlanta classification and definitions by international consensus. Gut. 2013;62:102-111.  [RCA]  [PubMed]  [DOI]  [Full Text]  [Cited by in Crossref: 4932]  [Cited by in RCA: 4758]  [Article Influence: 366.0]  [Reference Citation Analysis (48)]
24.  Crockett SD, Wani S, Gardner TB, Falck-Ytter Y, Barkun AN; American Gastroenterological Association Institute Clinical Guidelines Committee. American Gastroenterological Association Institute Guideline on Initial Management of Acute Pancreatitis. Gastroenterology. 2018;154:1096-1101.  [RCA]  [PubMed]  [DOI]  [Full Text]  [Cited by in Crossref: 405]  [Cited by in RCA: 601]  [Article Influence: 75.1]  [Reference Citation Analysis (1)]
25.  Mukai S, Takeyama Y, Itoi T, Ikeura T, Irisawa A, Iwasaki E, Katanuma A, Kitamura K, Takenaka M, Hirota M, Mayumi T, Morizane T, Yasuda I, Ryozawa S, Masamune A. Clinical Practice Guidelines for post-ERCP pancreatitis 2023. Dig Endosc. 2025;37:573-587.  [RCA]  [PubMed]  [DOI]  [Full Text]  [Cited by in Crossref: 13]  [Cited by in RCA: 17]  [Article Influence: 17.0]  [Reference Citation Analysis (0)]
26.  Takeda K, Yokoe M, Takada T, Kataoka K, Yoshida M, Gabata T, Hirota M, Mayumi T, Kadoya M, Yamanouchi E, Hattori T, Sekimoto M, Amano H, Wada K, Kimura Y, Kiriyama S, Arata S, Takeyama Y, Hirota M, Hirata K, Shimosegawa T. Assessment of severity of acute pancreatitis according to new prognostic factors and CT grading. J Hepatobiliary Pancreat Sci. 2010;17:37-44.  [RCA]  [PubMed]  [DOI]  [Full Text]  [Cited by in Crossref: 70]  [Cited by in RCA: 85]  [Article Influence: 5.0]  [Reference Citation Analysis (0)]
27.  Cotton PB, Lehman G, Vennes J, Geenen JE, Russell RC, Meyers WC, Liguory C, Nickl N. Endoscopic sphincterotomy complications and their management: an attempt at consensus. Gastrointest Endosc. 1991;37:383-393.  [RCA]  [PubMed]  [DOI]  [Full Text]  [Cited by in Crossref: 1890]  [Cited by in RCA: 2087]  [Article Influence: 59.6]  [Reference Citation Analysis (2)]
28.  Artifon EL, Chu A, Freeman M, Sakai P, Usmani A, Kumar A. A comparison of the consensus and clinical definitions of pancreatitis with a proposal to redefine post-endoscopic retrograde cholangiopancreatography pancreatitis. Pancreas. 2010;39:530-535.  [RCA]  [PubMed]  [DOI]  [Full Text]  [Cited by in Crossref: 37]  [Cited by in RCA: 38]  [Article Influence: 2.4]  [Reference Citation Analysis (0)]
29.  Masci E, Mariani A, Curioni S, Testoni PA. Risk factors for pancreatitis following endoscopic retrograde cholangiopancreatography: a meta-analysis. Endoscopy. 2003;35:830-834.  [RCA]  [PubMed]  [DOI]  [Full Text]  [Cited by in Crossref: 275]  [Cited by in RCA: 287]  [Article Influence: 12.5]  [Reference Citation Analysis (0)]
30.  Thoeni RF. The revised Atlanta classification of acute pancreatitis: its importance for the radiologist and its effect on treatment. Radiology. 2012;262:751-764.  [RCA]  [PubMed]  [DOI]  [Full Text]  [Cited by in Crossref: 261]  [Cited by in RCA: 280]  [Article Influence: 20.0]  [Reference Citation Analysis (0)]
31.  Bollen TL, Singh VK, Maurer R, Repas K, van Es HW, Banks PA, Mortele KJ. Comparative evaluation of the modified CT severity index and CT severity index in assessing severity of acute pancreatitis. AJR Am J Roentgenol. 2011;197:386-392.  [RCA]  [PubMed]  [DOI]  [Full Text]  [Cited by in Crossref: 73]  [Cited by in RCA: 87]  [Article Influence: 5.8]  [Reference Citation Analysis (0)]
32.  Woods RW, Akshintala VS, Singh VK, Almulla A, Khan VN, Cader R, Fishman EK, Zaheer A. CT severity of post-ERCP pancreatitis: results from a single tertiary medical center. Abdom Imaging. 2014;39:1162-1168.  [RCA]  [PubMed]  [DOI]  [Full Text]  [Cited by in Crossref: 9]  [Cited by in RCA: 11]  [Article Influence: 0.9]  [Reference Citation Analysis (0)]
33.  Sun H, Zuo HD, Lin Q, Yang DD, Zhou T, Tang MY, Wáng YXJ, Zhang XM. MR imaging for acute pancreatitis: the current status of clinical applications. Ann Transl Med. 2019;7:269.  [RCA]  [PubMed]  [DOI]  [Full Text]  [Cited by in Crossref: 10]  [Cited by in RCA: 29]  [Article Influence: 4.1]  [Reference Citation Analysis (1)]
34.  Chua TY, Walsh RM, Baker ME, Stevens T. Necrotizing pancreatitis: Diagnose, treat, consult. Cleve Clin J Med. 2017;84:639-648.  [RCA]  [PubMed]  [DOI]  [Full Text]  [Cited by in Crossref: 11]  [Cited by in RCA: 13]  [Article Influence: 1.6]  [Reference Citation Analysis (0)]
35.  Sandrasegaran K, Heller MT, Panda A, Shetty A, Menias CO. MRI in acute pancreatitis. Abdom Radiol (NY). 2020;45:1232-1242.  [RCA]  [PubMed]  [DOI]  [Full Text]  [Cited by in Crossref: 8]  [Cited by in RCA: 19]  [Article Influence: 3.2]  [Reference Citation Analysis (0)]
36.  Nikpanah M, Morgan DE. Magnetic resonance imaging in the evaluation and management of acute pancreatitis: a review of current practices and future directions. Clin Imaging. 2024;107:110086.  [RCA]  [PubMed]  [DOI]  [Full Text]  [Cited by in RCA: 5]  [Reference Citation Analysis (0)]
37.  Pannu HK, Fishman EK. Complications of endoscopic retrograde cholangiopancreatography: spectrum of abnormalities demonstrated with CT. Radiographics. 2001;21:1441-1453.  [RCA]  [PubMed]  [DOI]  [Full Text]  [Cited by in Crossref: 54]  [Cited by in RCA: 45]  [Article Influence: 1.8]  [Reference Citation Analysis (0)]
38.  Szary NM, Al-Kawas FH. Complications of endoscopic retrograde cholangiopancreatography: how to avoid and manage them. Gastroenterol Hepatol (N Y). 2013;9:496-504.  [PubMed]  [DOI]
39.  Kiriyama S, Kozaka K, Takada T, Strasberg SM, Pitt HA, Gabata T, Hata J, Liau KH, Miura F, Horiguchi A, Liu KH, Su CH, Wada K, Jagannath P, Itoi T, Gouma DJ, Mori Y, Mukai S, Giménez ME, Huang WS, Kim MH, Okamoto K, Belli G, Dervenis C, Chan ACW, Lau WY, Endo I, Gomi H, Yoshida M, Mayumi T, Baron TH, de Santibañes E, Teoh AYB, Hwang TL, Ker CG, Chen MF, Han HS, Yoon YS, Choi IS, Yoon DS, Higuchi R, Kitano S, Inomata M, Deziel DJ, Jonas E, Hirata K, Sumiyama Y, Inui K, Yamamoto M. Tokyo Guidelines 2018: diagnostic criteria and severity grading of acute cholangitis (with videos). J Hepatobiliary Pancreat Sci. 2018;25:17-30.  [RCA]  [PubMed]  [DOI]  [Full Text]  [Cited by in Crossref: 468]  [Cited by in RCA: 491]  [Article Influence: 61.4]  [Reference Citation Analysis (0)]
40.  Yokoe M, Hata J, Takada T, Strasberg SM, Asbun HJ, Wakabayashi G, Kozaka K, Endo I, Deziel DJ, Miura F, Okamoto K, Hwang TL, Huang WS, Ker CG, Chen MF, Han HS, Yoon YS, Choi IS, Yoon DS, Noguchi Y, Shikata S, Ukai T, Higuchi R, Gabata T, Mori Y, Iwashita Y, Hibi T, Jagannath P, Jonas E, Liau KH, Dervenis C, Gouma DJ, Cherqui D, Belli G, Garden OJ, Giménez ME, de Santibañes E, Suzuki K, Umezawa A, Supe AN, Pitt HA, Singh H, Chan ACW, Lau WY, Teoh AYB, Honda G, Sugioka A, Asai K, Gomi H, Itoi T, Kiriyama S, Yoshida M, Mayumi T, Matsumura N, Tokumura H, Kitano S, Hirata K, Inui K, Sumiyama Y, Yamamoto M. Tokyo Guidelines 2018: diagnostic criteria and severity grading of acute cholecystitis (with videos). J Hepatobiliary Pancreat Sci. 2018;25:41-54.  [RCA]  [PubMed]  [DOI]  [Full Text]  [Cited by in Crossref: 769]  [Cited by in RCA: 794]  [Article Influence: 99.3]  [Reference Citation Analysis (0)]
41.  Andriulli A, Loperfido S, Napolitano G, Niro G, Valvano MR, Spirito F, Pilotto A, Forlano R. Incidence rates of post-ERCP complications: a systematic survey of prospective studies. Am J Gastroenterol. 2007;102:1781-1788.  [RCA]  [PubMed]  [DOI]  [Full Text]  [Cited by in Crossref: 669]  [Cited by in RCA: 805]  [Article Influence: 42.4]  [Reference Citation Analysis (0)]
42.  Freeman ML, Nelson DB, Sherman S, Haber GB, Herman ME, Dorsher PJ, Moore JP, Fennerty MB, Ryan ME, Shaw MJ, Lande JD, Pheley AM. Complications of endoscopic biliary sphincterotomy. N Engl J Med. 1996;335:909-918.  [RCA]  [PubMed]  [DOI]  [Full Text]  [Cited by in Crossref: 1716]  [Cited by in RCA: 1705]  [Article Influence: 56.8]  [Reference Citation Analysis (2)]
43.  Catalano OA, Sahani DV, Forcione DG, Czermak B, Liu CH, Soricelli A, Arellano RS, Muller PR, Hahn PF. Biliary infections: spectrum of imaging findings and management. Radiographics. 2009;29:2059-2080.  [RCA]  [PubMed]  [DOI]  [Full Text]  [Cited by in Crossref: 81]  [Cited by in RCA: 81]  [Article Influence: 4.8]  [Reference Citation Analysis (0)]
44.  Pötter-Lang S, Ba-Ssalamah A, Bastati N, Messner A, Kristic A, Ambros R, Herold A, Hodge JC, Trauner M. Modern imaging of cholangitis. Br J Radiol. 2021;94:20210417.  [RCA]  [PubMed]  [DOI]  [Full Text]  [Full Text (PDF)]  [Cited by in Crossref: 11]  [Cited by in RCA: 16]  [Article Influence: 3.2]  [Reference Citation Analysis (0)]
45.  Eun HW, Kim JH, Hong SS, Kim YJ. Assessment of acute cholangitis by MR imaging. Eur J Radiol. 2012;81:2476-2480.  [RCA]  [PubMed]  [DOI]  [Full Text]  [Cited by in Crossref: 15]  [Cited by in RCA: 16]  [Article Influence: 1.1]  [Reference Citation Analysis (0)]
46.  Khan R, Osman H, Lee S, Chen YI, Singh A, Hookey L, Arya N, Causada Calo N, Grover SC, Tepox-Padrón A, Bass S, Cole M, Lei Y, Li S, Mohamed R, Turbide C, Koury HF, Chau M, Howarth M, Cartwright S, Heitman SJ, Forbes N. Post-ERCP cholecystitis: Incidence, characteristics, and outcomes from a prospective multicenter biliary endoscopy registry. Gastrointest Endosc. 2024;99:633-640.  [RCA]  [PubMed]  [DOI]  [Full Text]  [Cited by in Crossref: 4]  [Cited by in RCA: 8]  [Article Influence: 4.0]  [Reference Citation Analysis (0)]
47.  Johnson KD, Perisetti A, Tharian B, Thandassery R, Jamidar P, Goyal H, Inamdar S. Endoscopic Retrograde Cholangiopancreatography-Related Complications and Their Management Strategies: A "Scoping" Literature Review. Dig Dis Sci. 2020;65:361-375.  [RCA]  [PubMed]  [DOI]  [Full Text]  [Cited by in Crossref: 68]  [Cited by in RCA: 61]  [Article Influence: 10.2]  [Reference Citation Analysis (0)]
48.  Chawla A, Bosco JI, Lim TC, Srinivasan S, Teh HS, Shenoy JN. Imaging of acute cholecystitis and cholecystitis-associated complications in the emergency setting. Singapore Med J. 2015;56:438-43; quiz 444.  [RCA]  [PubMed]  [DOI]  [Full Text]  [Cited by in Crossref: 32]  [Cited by in RCA: 35]  [Article Influence: 3.5]  [Reference Citation Analysis (0)]
49.  Cao J, Peng C, Ding X, Shen Y, Wu H, Zheng R, Wang L, Zou X. Risk factors for post-ERCP cholecystitis: a single-center retrospective study. BMC Gastroenterol. 2018;18:128.  [RCA]  [PubMed]  [DOI]  [Full Text]  [Full Text (PDF)]  [Cited by in Crossref: 13]  [Cited by in RCA: 33]  [Article Influence: 4.1]  [Reference Citation Analysis (1)]
50.  Liu AC, Tai WC, Chiu SM, Sou FM, Yang SC, Lu LS, Kuo CM, Chiu YC, Chuah SK, Liang CM, Wu CK. The Clinical Presentations of Liver Abscess Development After Endoscopic Retrograde Cholangiopancreatography with Choledocholithiasis: A 17-Year Follow-Up. Infect Drug Resist. 2023;16:6167-6174.  [RCA]  [PubMed]  [DOI]  [Full Text]  [Full Text (PDF)]  [Cited by in RCA: 5]  [Reference Citation Analysis (0)]
51.  Peng YC, Lin CL, Sung FC. Risk of pyogenic liver abscess and endoscopic sphincterotomy: a population-based cohort study. BMJ Open. 2018;8:e018818.  [RCA]  [PubMed]  [DOI]  [Full Text]  [Full Text (PDF)]  [Cited by in Crossref: 7]  [Cited by in RCA: 12]  [Article Influence: 1.5]  [Reference Citation Analysis (0)]
52.  Merei F, Shapiro G, Abu Shakra I, Bickel A, Ganam S, Bez M, Kakiashvili E. A unusual case of multifocal pyogenic abscess formation following ERCP procedure. BMC Surg. 2020;20:92.  [RCA]  [PubMed]  [DOI]  [Full Text]  [Full Text (PDF)]  [Cited by in RCA: 4]  [Reference Citation Analysis (0)]
53.  Bächler P, Baladron MJ, Menias C, Beddings I, Loch R, Zalaquett E, Vargas M, Connolly S, Bhalla S, Huete Á. Multimodality Imaging of Liver Infections: Differential Diagnosis and Potential Pitfalls. Radiographics. 2016;36:1001-1023.  [RCA]  [PubMed]  [DOI]  [Full Text]  [Cited by in Crossref: 84]  [Cited by in RCA: 103]  [Article Influence: 10.3]  [Reference Citation Analysis (0)]
54.  Park HJ, Kim SH, Jang KM, Lee SJ, Park MJ, Choi D. Differentiating hepatic abscess from malignant mimickers: value of diffusion-weighted imaging with an emphasis on the periphery of the lesion. J Magn Reson Imaging. 2013;38:1333-1341.  [RCA]  [PubMed]  [DOI]  [Full Text]  [Cited by in Crossref: 46]  [Cited by in RCA: 43]  [Article Influence: 3.3]  [Reference Citation Analysis (0)]
55.  Elbanna KY, Kielar AZ. Computed Tomography Versus Magnetic Resonance Imaging for Hepatic Lesion Characterization/Diagnosis. Clin Liver Dis (Hoboken). 2021;17:159-164.  [RCA]  [PubMed]  [DOI]  [Full Text]  [Cited by in Crossref: 1]  [Cited by in RCA: 20]  [Article Influence: 4.0]  [Reference Citation Analysis (0)]
56.  Freeman ML. Adverse outcomes of ERCP. Gastrointest Endosc. 2002;56:S273-S282.  [RCA]  [PubMed]  [DOI]  [Full Text]  [Cited by in Crossref: 13]  [Cited by in RCA: 61]  [Article Influence: 2.5]  [Reference Citation Analysis (0)]
57.  Gurudu SR, Bruining DH, Acosta RD, Eloubeidi MA, Faulx AL, Khashab MA, Kothari S, Lightdale JR, Muthusamy VR, Yang J, DeWitt JM;  ASGE Standards of Practice Committee. The role of endoscopy in the management of suspected small-bowel bleeding. Gastrointest Endosc. 2017;85:22-31.  [RCA]  [PubMed]  [DOI]  [Full Text]  [Cited by in Crossref: 92]  [Cited by in RCA: 117]  [Article Influence: 13.0]  [Reference Citation Analysis (0)]
58.  Fujishiro M, Iguchi M, Ono S, Funasaka K, Sakata Y, Mikami T, Kataoka M, Shimaoka S, Michida T, Igarashi Y, Tanaka S. Guidelines for endoscopic management of nonvariceal upper gastrointestinal bleeding (second edition). Dig Endosc. 2025;37:447-469.  [RCA]  [PubMed]  [DOI]  [Full Text]  [Cited by in Crossref: 5]  [Cited by in RCA: 4]  [Article Influence: 4.0]  [Reference Citation Analysis (0)]
59.  Gralnek IM, Stanley AJ, Morris AJ, Camus M, Lau J, Lanas A, Laursen SB, Radaelli F, Papanikolaou IS, Cúrdia Gonçalves T, Dinis-Ribeiro M, Awadie H, Braun G, de Groot N, Udd M, Sanchez-Yague A, Neeman Z, van Hooft JE. Endoscopic diagnosis and management of nonvariceal upper gastrointestinal hemorrhage (NVUGIH): European Society of Gastrointestinal Endoscopy (ESGE) Guideline - Update 2021. Endoscopy. 2021;53:300-332.  [RCA]  [PubMed]  [DOI]  [Full Text]  [Cited by in Crossref: 426]  [Cited by in RCA: 327]  [Article Influence: 65.4]  [Reference Citation Analysis (1)]
60.  Gerson LB, Fidler JL, Cave DR, Leighton JA. ACG Clinical Guideline: Diagnosis and Management of Small Bowel Bleeding. Am J Gastroenterol. 2015;110:1265-87; quiz 1288.  [RCA]  [PubMed]  [DOI]  [Full Text]  [Cited by in Crossref: 368]  [Cited by in RCA: 474]  [Article Influence: 43.1]  [Reference Citation Analysis (1)]
61.  Jaeckle T, Stuber G, Hoffmann MH, Freund W, Schmitz BL, Aschoff AJ. Acute gastrointestinal bleeding: value of MDCT. Abdom Imaging. 2008;33:285-293.  [RCA]  [PubMed]  [DOI]  [Full Text]  [Cited by in Crossref: 49]  [Cited by in RCA: 38]  [Article Influence: 2.1]  [Reference Citation Analysis (0)]
62.  Horton KM, Jeffrey RB Jr, Federle MP, Fishman EK. Acute gastrointestinal bleeding: the potential role of 64 MDCT and 3D imaging in the diagnosis. Emerg Radiol. 2009;16:349-356.  [RCA]  [PubMed]  [DOI]  [Full Text]  [Cited by in Crossref: 17]  [Cited by in RCA: 13]  [Article Influence: 0.8]  [Reference Citation Analysis (0)]
63.  So YH, Choi YH, Chung JW, Jae HJ, Song SY, Park JH. Selective embolization for post-endoscopic sphincterotomy bleeding: technical aspects and clinical efficacy. Korean J Radiol. 2012;13:73-81.  [RCA]  [PubMed]  [DOI]  [Full Text]  [Full Text (PDF)]  [Cited by in Crossref: 19]  [Cited by in RCA: 25]  [Article Influence: 1.7]  [Reference Citation Analysis (0)]
64.  Inoue H, Tano S, Takayama R, Nimomiya K, Nishikawa K, Katurahara M, Horiki N, Takei Y. Right hepatic artery pseudoaneurysm: rare complication of plastic biliary stent insertion. Endoscopy. 2011;43 Suppl 2 UCTN:E396.  [RCA]  [PubMed]  [DOI]  [Full Text]  [Cited by in Crossref: 8]  [Cited by in RCA: 16]  [Article Influence: 1.1]  [Reference Citation Analysis (1)]
65.  Watanabe M, Shiozawa K, Mimura T, Ito K, Kamata I, Kishimoto Y, Momiyama K, Igarashi Y, Sumino Y. Hepatic artery pseudoaneurysm after endoscopic biliary stenting for bile duct cancer. World J Radiol. 2012;4:115-120.  [RCA]  [PubMed]  [DOI]  [Full Text]  [Full Text (PDF)]  [Cited by in CrossRef: 10]  [Cited by in RCA: 19]  [Article Influence: 1.4]  [Reference Citation Analysis (0)]
66.  Yasuda M, Sato H, Koyama Y, Sakakida T, Kawakami T, Nishimura T, Fujii H, Nakatsugawa Y, Yamada S, Tomatsuri N, Okuyama Y, Kimura H, Ito T, Morishita H, Yoshida N. Late-onset severe biliary bleeding after endoscopic pigtail plastic stent insertion. World J Gastroenterol. 2017;23:735-739.  [RCA]  [PubMed]  [DOI]  [Full Text]  [Full Text (PDF)]  [Cited by in CrossRef: 3]  [Cited by in RCA: 13]  [Article Influence: 1.4]  [Reference Citation Analysis (0)]
67.  Ferreira LE, Baron TH. Post-sphincterotomy bleeding: who, what, when, and how. Am J Gastroenterol. 2007;102:2850-2858.  [RCA]  [PubMed]  [DOI]  [Full Text]  [Cited by in Crossref: 94]  [Cited by in RCA: 101]  [Article Influence: 5.3]  [Reference Citation Analysis (0)]
68.  Talukdar R. Complications of ERCP. Best Pract Res Clin Gastroenterol. 2016;30:793-805.  [RCA]  [PubMed]  [DOI]  [Full Text]  [Cited by in Crossref: 56]  [Cited by in RCA: 83]  [Article Influence: 8.3]  [Reference Citation Analysis (0)]
69.  Emori T, Yamasaki T, Itonaga M, Bamba S, Kitagawa K, Maruyama H, Ueyama S, Fujita K, Doi T, Iemoto T, Shiomi H, Sawai Y, Ogura T, Shimatani M, Nakanishi F, Uza N, Uenoyama Y, Asai S, Mandai K, Azuma S, Kitano M, Takenaka M. Management of ERCP-related perforation: a large multicenter study. Gastrointest Endosc. 2025;102:97-105.e3.  [RCA]  [PubMed]  [DOI]  [Full Text]  [Cited by in Crossref: 2]  [Cited by in RCA: 6]  [Article Influence: 6.0]  [Reference Citation Analysis (0)]
70.  Cirocchi R, Kelly MD, Griffiths EA, Tabola R, Sartelli M, Carlini L, Ghersi S, Di Saverio S. A systematic review of the management and outcome of ERCP related duodenal perforations using a standardized classification system. Surgeon. 2017;15:379-387.  [RCA]  [PubMed]  [DOI]  [Full Text]  [Cited by in Crossref: 25]  [Cited by in RCA: 43]  [Article Influence: 4.8]  [Reference Citation Analysis (0)]
71.  Silviera ML, Seamon MJ, Porshinsky B, Prosciak MP, Doraiswamy VA, Wang CF, Lorenzo M, Truitt M, Biboa J, Jarvis AM, Narula VK, Steinberg SM, Stawicki SP. Complications related to endoscopic retrograde cholangiopancreatography: a comprehensive clinical review. J Gastrointestin Liver Dis. 2009;18:73-82.  [PubMed]  [DOI]
72.  Cotton PB, Garrow DA, Gallagher J, Romagnuolo J. Risk factors for complications after ERCP: a multivariate analysis of 11,497 procedures over 12 years. Gastrointest Endosc. 2009;70:80-88.  [RCA]  [PubMed]  [DOI]  [Full Text]  [Cited by in Crossref: 449]  [Cited by in RCA: 489]  [Article Influence: 28.8]  [Reference Citation Analysis (0)]
73.  Lee JH, Kedia P, Stavropoulos SN, Carr-Locke D. AGA Clinical Practice Update on Endoscopic Management of Perforations in Gastrointestinal Tract: Expert Review. Clin Gastroenterol Hepatol. 2021;19:2252-2261.e2.  [RCA]  [PubMed]  [DOI]  [Full Text]  [Cited by in Crossref: 14]  [Cited by in RCA: 103]  [Article Influence: 20.6]  [Reference Citation Analysis (1)]
74.  Paspatis GA, Dumonceau JM, Barthet M, Meisner S, Repici A, Saunders BP, Vezakis A, Gonzalez JM, Turino SY, Tsiamoulos ZP, Fockens P, Hassan C. Diagnosis and management of iatrogenic endoscopic perforations: European Society of Gastrointestinal Endoscopy (ESGE) Position Statement. Endoscopy. 2014;46:693-711.  [RCA]  [PubMed]  [DOI]  [Full Text]  [Cited by in Crossref: 236]  [Cited by in RCA: 193]  [Article Influence: 16.1]  [Reference Citation Analysis (1)]
75.  Mukherji R, Gopinath M. A Study on the Spectrum of Imaging Findings of Post-ERCP-Specific Complications: A Retrospective Descriptive Study. Indian J Radiol Imaging. 2024;34:422-434.  [RCA]  [PubMed]  [DOI]  [Full Text]  [Full Text (PDF)]  [Cited by in RCA: 3]  [Reference Citation Analysis (0)]
76.  Kumbhari V, Sinha A, Reddy A, Afghani E, Cotsalas D, Patel YA, Storm AC, Khashab MA, Kalloo AN, Singh VK. Algorithm for the management of ERCP-related perforations. Gastrointest Endosc. 2016;83:934-943.  [RCA]  [PubMed]  [DOI]  [Full Text]  [Cited by in Crossref: 36]  [Cited by in RCA: 48]  [Article Influence: 4.8]  [Reference Citation Analysis (0)]
77.  Elmunzer BJ, Anderson MA, Mishra G, Rex DK, Yadlapati R, Shaheen NJ. Quality Indicators Common to All Gastrointestinal Endoscopic Procedures. Am J Gastroenterol. 2024;119:1781-1791.  [RCA]  [PubMed]  [DOI]  [Full Text]  [Cited by in RCA: 9]  [Reference Citation Analysis (0)]
78.  Catalano O, De Bellis M, Sandomenico F, de Lutio di Castelguidone E, Delrio P, Petrillo A. Complications of biliary and gastrointestinal stents: MDCT of the cancer patient. AJR Am J Roentgenol. 2012;199:W187-W196.  [RCA]  [PubMed]  [DOI]  [Full Text]  [Cited by in Crossref: 20]  [Cited by in RCA: 22]  [Article Influence: 1.6]  [Reference Citation Analysis (0)]
79.  Wang X, Qu J, Li K. Duodenal perforations secondary to a migrated biliary plastic stent successfully treated by endoscope: case-report and review of the literature. BMC Gastroenterol. 2020;20:149.  [RCA]  [PubMed]  [DOI]  [Full Text]  [Full Text (PDF)]  [Cited by in Crossref: 19]  [Cited by in RCA: 22]  [Article Influence: 3.7]  [Reference Citation Analysis (0)]
80.  Arhan M, Odemiş B, Parlak E, Ertuğrul I, Başar O. Migration of biliary plastic stents: experience of a tertiary center. Surg Endosc. 2009;23:769-775.  [RCA]  [PubMed]  [DOI]  [Full Text]  [Cited by in Crossref: 65]  [Cited by in RCA: 80]  [Article Influence: 4.4]  [Reference Citation Analysis (0)]
81.  Johanson JF, Schmalz MJ, Geenen JE. Incidence and risk factors for biliary and pancreatic stent migration. Gastrointest Endosc. 1992;38:341-346.  [RCA]  [PubMed]  [DOI]  [Full Text]  [Cited by in Crossref: 233]  [Cited by in RCA: 241]  [Article Influence: 7.1]  [Reference Citation Analysis (0)]
82.  Kawaguchi Y, Ogawa M, Kawashima Y, Mizukami H, Maruno A, Ito H, Mine T. Risk factors for proximal migration of biliary tube stents. World J Gastroenterol. 2014;20:1318-1324.  [RCA]  [PubMed]  [DOI]  [Full Text]  [Full Text (PDF)]  [Cited by in CrossRef: 27]  [Cited by in RCA: 37]  [Article Influence: 3.1]  [Reference Citation Analysis (2)]
83.  Mohammadi Tofigh A, Tahmasbi H, Iranshahi M, Haghbin Toutounchi A, Khoshnoudi H, Kouchak Hosseini SP. Cecal Perforation Induced by Migrated Biliary Stent as a Rare Complication of ERCP: A Case Report and Literature Review. Case Rep Surg. 2023;2023:9493333.  [RCA]  [PubMed]  [DOI]  [Full Text]  [Cited by in RCA: 2]  [Reference Citation Analysis (0)]
84.  Gromski MA, Bick BL, Vega D, Easler JJ, Watkins JL, Sherman S, Lehman GA, Fogel EL. A rare complication of ERCP: duodenal perforation due to biliary stent migration. Endosc Int Open. 2020;8:E1530-E1536.  [RCA]  [PubMed]  [DOI]  [Full Text]  [Full Text (PDF)]  [Cited by in Crossref: 2]  [Cited by in RCA: 12]  [Article Influence: 2.0]  [Reference Citation Analysis (0)]
85.  Yoshida H, Tajiri T, Mamada Y, Taniai N, Kawano Y, Mizuguchi Y, Arima Y, Uchida E, Misawa H. Fracture of a biliary expandable metallic stent. Gastrointest Endosc. 2004;60:655-658.  [RCA]  [PubMed]  [DOI]  [Full Text]  [Cited by in Crossref: 15]  [Cited by in RCA: 16]  [Article Influence: 0.7]  [Reference Citation Analysis (0)]
86.  Joo KR, Paik CN, Chung WC, Lee KM, Yang JM. Fracture of Self-Expandable Metal Stent during Endoscopic Removal in Benign Biliary Stricture. Clin Endosc. 2013;46:95-97.  [RCA]  [PubMed]  [DOI]  [Full Text]  [Full Text (PDF)]  [Cited by in Crossref: 3]  [Cited by in RCA: 3]  [Article Influence: 0.2]  [Reference Citation Analysis (0)]
87.  Laino ME, Ammirabile A, Lofino L, Mannelli L, Fiz F, Francone M, Chiti A, Saba L, Orlandi MA, Savevski V. Artificial Intelligence Applied to Pancreatic Imaging: A Narrative Review. Healthcare (Basel). 2022;10:1511.  [RCA]  [PubMed]  [DOI]  [Full Text]  [Full Text (PDF)]  [Cited by in Crossref: 5]  [Cited by in RCA: 7]  [Article Influence: 1.8]  [Reference Citation Analysis (0)]
88.  Hamada T, Yasaka K, Nakai Y, Fukuda R, Hakuta R, Ishigaki K, Kanai S, Noguchi K, Oyama H, Saito T, Sato T, Suzuki T, Takahara N, Isayama H, Abe O, Fujishiro M. Computed tomography-based prediction of pancreatitis following biliary metal stent placement with the convolutional neural network. Endosc Int Open. 2024;12:E772-E780.  [RCA]  [PubMed]  [DOI]  [Full Text]  [Full Text (PDF)]  [Cited by in RCA: 3]  [Reference Citation Analysis (0)]
89.  Lin Q, Ji YF, Chen Y, Sun H, Yang DD, Chen AL, Chen TW, Zhang XM. Radiomics model of contrast-enhanced MRI for early prediction of acute pancreatitis severity. J Magn Reson Imaging. 2020;51:397-406.  [RCA]  [PubMed]  [DOI]  [Full Text]  [Cited by in Crossref: 47]  [Cited by in RCA: 47]  [Article Influence: 7.8]  [Reference Citation Analysis (0)]
90.  Trabzonlu TA, Mozaffary A, Kim D, Yaghmai V. Dual-energy CT evaluation of gastrointestinal bleeding. Abdom Radiol (NY). 2020;45:1-14.  [RCA]  [PubMed]  [DOI]  [Full Text]  [Cited by in Crossref: 8]  [Cited by in RCA: 19]  [Article Influence: 3.2]  [Reference Citation Analysis (0)]
91.  George E, Wortman JR, Fulwadhva UP, Uyeda JW, Sodickson AD. Dual energy CT applications in pancreatic pathologies. Br J Radiol. 2017;90:20170411.  [RCA]  [PubMed]  [DOI]  [Full Text]  [Cited by in Crossref: 41]  [Cited by in RCA: 54]  [Article Influence: 6.0]  [Reference Citation Analysis (0)]
92.  Mahmoudi S, Martin S, Koch V, Gruenewald LD, Bernatz S, D'Angelo T, Vogl TJ, Booz C, Yel I. Value of Dual-Energy CT Perfusion Analysis in Patients with Acute Pancreatitis: Correlation and Discriminative Diagnostic Accuracy with Varying Disease Severity. Diagnostics (Basel). 2022;12:2601.  [RCA]  [PubMed]  [DOI]  [Full Text]  [Full Text (PDF)]  [Cited by in Crossref: 8]  [Cited by in RCA: 10]  [Article Influence: 2.5]  [Reference Citation Analysis (0)]
93.  Okamura-Kawasaki M, Uesugi Y, Yabusaki S. Dual-energy CT for gastrointestinal bleeding. BJR Open. 2023;5:20220054.  [RCA]  [PubMed]  [DOI]  [Full Text]  [Cited by in RCA: 3]  [Reference Citation Analysis (0)]
Footnotes

Provenance and peer review: Invited article; Externally peer reviewed.

Peer-review model: Single blind

Specialty type: Radiology, nuclear medicine and medical imaging

Country of origin: Türkiye

Peer-review report’s classification

Scientific Quality: Grade B

Novelty: Grade B

Creativity or Innovation: Grade B

Scientific Significance: Grade B

Open Access: This article is an open-access article that was selected by an in-house editor and fully peer-reviewed by external reviewers. It is distributed in accordance with the Creative Commons Attribution NonCommercial (CC BY-NC 4.0) license, which permits others to distribute, remix, adapt, build upon this work non-commercially, and license their derivative works on different terms, provided the original work is properly cited and the use is non-commercial. See: https://creativecommons.org/Licenses/by-nc/4.0/

P-Reviewer: Tang C, DM, MD, Chief, China S-Editor: Liu H L-Editor: A P-Editor: Zhang XD