BPG is committed to discovery and dissemination of knowledge
Minireviews Open Access
©The Author(s) 2025. Published by Baishideng Publishing Group Inc. All rights reserved.
World J Radiol. Dec 28, 2025; 17(12): 112986
Published online Dec 28, 2025. doi: 10.4329/wjr.v17.i12.112986
Imaging considerations in tetralogy of Fallot: A comprehensive review
Arun Sharma, Pavithra Subramanian, Raghuraman Soundararajan, Muniraju Maralakunte, Uma Debi, Manphool Singhal, Department of Radiodiagnosis and Imaging, Postgraduate Institute of Medical Education and Research, Chandigarh 160012, India
Abhishek Mallick, Rohit Manoj Kumar, Department of Cardiology, Postgraduate Institute of Medical Education and Research, Chandigarh 160012, India
Vivek Jaswal, Department of Cardiothoracic and Vascular Surgery, Post Graduate Institute of Medical Education and Research, Chandigarh 160012, India
ORCID number: Arun Sharma (0000-0001-5945-4224); Pavithra Subramanian (0000-0001-7821-7961); Raghuraman Soundararajan (0009-0009-1636-4419); Uma Debi (0000-0002-2015-0941); Rohit Manoj Kumar (0000-0001-5866-2742); Manphool Singhal (0000-0002-1311-7203).
Co-first authors: Arun Sharma and Pavithra Subramanian.
Author contributions: Sharma A and Subramanian P contributed equally to this manuscript and are co-first authors. Sharma A, Subramanian P, Soundararajan R, Maralakunte M, Mallick A, Debi U, Jaswal V, and Kumar RM contributed to writing the original draft; Sharma A and Singhal M contributed to validation and revision; Singhal M contributed to conceptualization.
Conflict-of-interest statement: All the authors report no relevant conflicts of interest for this article.
Corresponding author: Manphool Singhal, MD, Professor, Department of Radiodiagnosis and Imaging, Postgraduate Institute of Medical Education and Research, Madhya Marg, Sector 12, Chandigarh 160012, India. drmsinghal74@gmail.com
Received: August 13, 2025
Revised: September 15, 2025
Accepted: November 4, 2025
Published online: December 28, 2025
Processing time: 136 Days and 21.2 Hours

Abstract

Tetralogy of Fallot (TOF) is a common cyanotic congenital heart disease. Imaging plays a pivotal role in the diagnosis and surgical planning of TOF. Trans-thoracic echocardiography, cardiac computed tomography, and magnetic resonance imaging are the commonly used non-invasive imaging modalities. Precise delineation of cardiac anatomy, pulmonary artery status, and associated anomalies is essential to guide the surgeon. Catheter angiography is used in specific situations for surgical planning and also to perform palliative procedures for cyanotic spells. Advances in imaging and surgical techniques have led to a better life expectancy. This has created a population of repaired TOF patients, in whom imaging plays a crucial role in both follow-up and the evaluation of complications. This article reviews the role of imaging modalities in TOF and repaired TOF, touching upon the basics of each modality, which are necessary for pre-operative diagnosis, surgical planning, and post-operative follow-up. The standard surgical strategies are also discussed, as relevant to post-operative imaging findings.

Key Words: Tetralogy of Fallot; Imaging modalities; Echocardiography; Computed tomography; Cardiac magnetic resonance imaging; Catheter angiography; Postoperative assessment

Core Tip: Transthoracic echocardiography is the basic investigation in assessing pre- and post-repair tetralogy of Fallot patients. Cardiac magnetic resonance imaging is preferred in adult patients in whom all the clinical queries cannot be answered by transthoracic echocardiography, and for the assessment of cardiac functions and quantification of pulmonary regurgitation. Cardiac computed tomography, for all practical purposes, is the workhorse for pre-operative evaluation of relevant surgical anatomy. With advancements in imaging technologies and improved post-operative survival rates, it is essential to be aware of the pre-operative and post-operative appearances of tetralogy of Fallot patients.



INTRODUCTION

Tetralogy of Fallot (TOF) is one of the most common cyanotic heart diseases, with an incidence of 32.6 per 100000 live births[1,2]. The four cardinal features of TOF consist of a large subaortic ventricular septal defect (VSD), biventricular connection of the aortic root, which overrides the muscular ventricular septum, right ventricular outflow tract obstruction (RVOTO), and right ventricular hypertrophy (RVH). Syndromic TOF is most commonly associated with 22q11.2 deletion (DiGeorge syndrome) or trisomy 21 (Down syndrome). Non-syndromic cases are associated with mutations in TBX1, NOTCH1, FLT4, GATA4, and NKX2.5 genes[3]. The TOF spectrum consists of the typical TOF (VSD with pulmonary stenosis), TOF with pulmonary atresia, TOF with absent pulmonary valve (PV), and other rare variants. Transthoracic echocardiography (TTE) is the primary modality of investigation to diagnose the condition. However, from the surgeon’s perspective, advanced imaging techniques better delineate certain specific structures. TTE provides only limited information regarding coronaries and aortopulmonary collaterals. Computed tomography angiography (CTA) fills in these TTE lacunae, providing the anatomical information required for surgical planning[3]. Coexisting lung and visceral abnormalities can also be visualized. Cardiac magnetic resonance imaging (CMRI) is helpful in obtaining dynamic and functional information. Catheter angiography supplements echocardiography for hemodynamic evaluation, and palliative procedures can be performed via angiography. Post-surgery, CMRI plays a vital role in evaluating and assessing complications and sequelae such as pulmonary regurgitation (PR), residual VSD, right ventricular outflow tract aneurysm, etc.

EMBRYOLOGY AND PATHOPHYSIOLOGY

The large, unrestrictive VSD of TOF is always associated with varying degrees of aortic override. The defect is best described from its right ventricle (RV) aspect, which is how the surgeon views it on an operating table. The septal band or the septomarginal trabeculation on the right ventricular side of the interventricular septum terminates as the anterior and posterior limbs, which are fashioned in a Y shape. They cradle the infundibular septum within the limbs so that the fusion is almost imperceptibly homogenous in a normal heart. However, in tetralogy, with the antero-cephalad malalignment of the infundibular (conal) septum, this is unhinged from its natural attachment and shifted outward. The septal defect replaces it in its place. Multilevel obstruction of the right ventricular outflow tract obstruction (RVOTO) is a hallmark of TOF. The PV in TOF is frequently bicuspid and stenotic. There is no shortening of the length of the infundibulum, but its diameter is severely reduced. This narrowing has been described as the monology that acts as the epicenter that brings about the spectrum of lesions. Obstructions can be seen at various levels of the infundibulum or supravalvular.

These changes result in the characteristic imaging findings of a VSD, RVH, aortic overriding, and right ventricular outflow obstruction. The anatomy of TOF allows both ventricles to be at equal pressures, resulting in mixing of blood at the level of VSD, with a variable degree of RVOTO causing a right-to-left shunt, adding deoxygenated blood to the systemic circulation and causing cyanosis. The right-to-left shunt through the VSD is a byproduct of the interplay of afterload faced by the two ventricles. The amount of pulmonary blood flow is determined by the RVOTO degree and anatomical and variable physiological components. Surgical management of TOF aims to address these defects in embryological development. Palliative shunts are performed to increase pulmonary blood flow, especially in the newborn period. Definitive surgery is usually considered between 3-11 months of age and involves complete repair of the VSD, repositioning the aorta to the left ventricular outflow tract, and relieving RVOTO either by widening the PV, replacing it, or using artificial conduits in cases of pulmonary atresia.

ASSOCIATED ANOMALIES

Typically, TOF constitutes perimembranous VSD, aortic override, pulmonary infundibular stenosis, and RVH. However, it can be associated with various other cardiovascular anomalies, the most common being right-sided aortic arch (18% to 20%), followed by left-sided superior vena cava (approximately 11%). Atrial septal defect (ASD) of ostium secundum can be present in approximately 5% of cases (if present, it makes TOF a pentalogy)[4]. In Down syndrome, TOF may be seen associated with an endocardial cushion defect. Coronary artery anomalies can be observed, with the most common being the left anterior descending artery, arising from the right coronary artery, and coursing anterior to the RVOT. When present, this precludes infundibulotomy and warrants the use of an RV-pulmonary artery (RV-PA) conduit. Other rare anomalies include tricuspid and PV pathologies associated with 22q deletion syndrome[4].

IMAGING CONSIDERATIONS IN TOF AND rTOF

Imaging modalities are available for judicious use, but no single modality gives all the information needed for management. Modality selection is based upon the availability, accessibility, expertise, and information desired, which is determined by the stage of the surgical procedure. The primary objectives of preoperative imaging are to precisely delineate cardiac anatomy, associated anomalies, the relationship between cardiac and extracardiac structures, and the functional status of the left and right heart. Specifically, the information about the degree and severity of pulmonary stenosis, confluence of the pulmonary arteries, origin and course of the coronary arteries, morphology and function of the ventricles, presence of aortopulmonary collaterals, and associated anomalies is necessary for surgical planning.

Post-operative imaging is required to assess shunt patency and long-term sequelae of repaired TOF (rTOF)[5]. Surgical correction has led to better survival[6,7]. However, there are delayed complications, predominantly due to PR and stenosis[8]. These complications are mainly due to remodeling of the RV due to either pressure or volume overload or both, resulting in concentric hypertrophy and chamber dilatation. Early diagnosis is crucial, and increasing evidence supports increased life quality with early management[9]. Timely intervention halts the progression of complications, improving the functional recovery of the RV. PV replacement (PVR) is the preferred treatment in these patients to cut short the pathological mechanism leading to RV volume and pressure overload. It also reduces the incidence of arrhythmia[10]. This, in turn, leads us to the paradigm of early diagnosis of the complication followed by the intervention. However, the risk of surgery and a repeat procedure needs consideration before decision-making, as the prosthetic valve has a relatively limited life span[11-14].

Chest radiograph

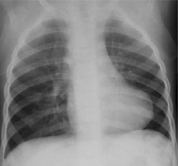
Chest radiograph is the first radiological examination and has a classical “cor-en-sabot” appearance, reduced pulmonary vascularity, and absent pulmonary bay (Figure 1). It has poor sensitivity, and the characteristic findings may be seen only in severe cases, typically in later stages. Moreover, it may be used to monitor changes after corrective surgery. Post-repair chest radiographs may show cardiac enlargement and heterogeneity in pulmonary vascular distribution[15]. Bedside chest radiographs can also help identify and follow up complications such as pleural effusion in the immediate post-operative period, particularly in the intensive care unit.

Figure 1
Figure 1  Frontal chest radiograph of a child who presented with cyanotic spells showing a boot-shaped heart (cor-en-sabot) with upturning of the cardiac apex, pulmonary oligemia, and absence of the pulmonary bay.
TTE

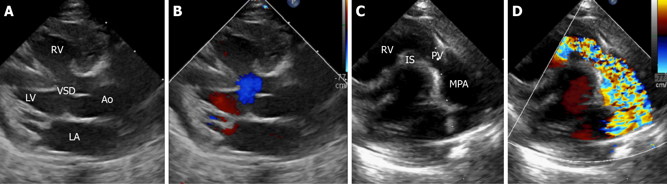
TTE is the principal and initial investigation of choice in patients less than 10 years of age, where the acoustic window is usually good. The parameters assessed on pre-operative TTE are outlined in Table 1 and depicted in Figure 2[16-18]. Detailed insights into right ventricle mechanics can be provided by using strain imaging, tissue Doppler, and speckle tracking with three-dimensional echocardiography, improving spatial resolution. Postoperative echocardiography in TOF includes assessment of the surgical repair, any residual VSDs, the residual gradient across the RVOT, the severity of PR resulting from valve surgery, and the function of the ventricles, among other factors[19].

Figure 2
Figure 2 Trans-thoracic echocardiography in classical tetralogy of Fallot. A and B: Parasternal long axis view (grayscale and Doppler images, respectively) focusing on the aortic valve showing the large ventricular septal defect, aortic override, and right-to-left shunt, blue color in (B); C and D: Parasternal long axis view (grayscale and Doppler images, respectively), focusing on the pulmonary valve showing the turbulence, mosaic pattern in (D) in blood flow due to right ventricular outflow tract obstruction. Ao: Aorta; VSD: Ventricular septal defect; RV: Right ventricle; LV: Left ventricle; MPA: Main pulmonary artery; PV: Pulmonary valve; IS: Infundibular septum.
Table 1 Parameters assessed on pre-operative transthoracic echocardiography.
Parameter
Assessment of normal atrio-ventricular and ventriculo-arterial relations
Spatial relations of the great arteries
Adequacy of the size of the VSD and the routability of the left ventricle to the aorta. Additional VSDs can also be evaluated
Function of the aortic valve
Level of obstruction in RVOT
Size of the pulmonary annulus, main pulmonary artery, and branch PAs
Coronary origin and presence of any anomalous branch crossing the RVOT
In the presence of pulmonary atresia, the adequacy of native PA size and blood supply to them (via patent ductus arteriosus / aortopulmonary collaterals)
Systolic and diastolic function of the ventricles
Aortic arch abnormalities
CMRI

CMRI is an indispensable modality for comprehensively evaluating complex structural defects constituting TOF. Black and bright blood imaging in various planes is helpful in delineating anatomy, while contrast MR angiography is used to visualize the pulmonary arteries and their confluence. Above the age of 10 years, cardiac MR is the preferred investigation for imaging in TOF patients, as TTE becomes relatively difficult due to a limited acoustic window. The pulmonary and branch arterial sizes measured on MRI examination accurately correlate with the angiographic evaluation and can be utilized to calculate the Nakata index and McGoon ratios. Cine MR imaging helps evaluate pulmonary valvular narrowing and any associated regurgitant component (especially in the postoperative period), and aids in risk stratification of adverse outcomes following repair. The disadvantages of cardiac MRI include its cost, limited availability, prolonged imaging duration, and the need for anesthesia[18,20].

RV size, function, and hypertrophy have been identified as predictors of death and ventricular tachycardia in rTOF[21]. A precise assessment of these parameters is paramount for planning further management. CMRI is the modality of choice for evaluating cardiac, extracardiac structures, and distal pulmonary arteries. It is the gold standard investigation for functional assessment, including ejection fraction, regional, and global wall motion abnormalities. Late gadolinium enhancement is used to identify other causes of ventricular dysfunction. The key reporting elements in MRI of post-operative TOF are outlined in Table 2. PR is the most common late complication observed in TOF and should always be actively sought in evaluating rTOF patients. Phase-contrast MR (through-plane imaging at the cross-section of the PA just above the PV) can be used to assess the severity of the regurgitation (Figure 3). The report should always mention the regurgitant fraction and absolute retrograde flow volume[22]. Regurgitant fraction threshold for assessing PR severity on CMRI is: Mild < 20%, moderate 20%-40%, and severe > 40%[23].

Figure 3
Figure 3 Cardiac magnetic resonance imaging with phase-contrast imaging of the pulmonary valve (region of interest represented by a yellow circle) showing the flow curve with antegrade flow above the baseline and retrograde flow below the baseline, representing the pulmonary regurgitation. The absolute retrograde flow volume was 62.54 mL, and the regurgitant fraction was calculated by the software as 35.81%.
Table 2 Key reporting elements in magnetic resonance imaging of post-operative tetralogy of Fallot.
Parameter
RVOTResidual obstruction or dyskinesia/aneurysm
Location, extent, and size
Functional assessment of RV and RVOTQuantification of pulmonary regurgitation fraction
Right ventricle volume and function assessment
Screening for tricuspid regurgitation
Pulmonary artery stenosisSite
Extent
Degree
Post-stenotic dilatation: Present/absent
Residual VSDLocation and size
Quantification of shunt (Qp/Qs)
Aortic root assessmentAortic root dilatation
Quantification of aortic regurgitation
Left ventricle volume and functional assessment

CMRI criteria have been proposed to help in the decision-making process regarding PVR[24]. Recent guidelines recommend PVR in symptomatic patients with moderate–severe PR with RV dilation or RV dysfunction[25,26]. Other associated valvular abnormalities, if present, should also be identified for proper intervention. Tricuspid regurgitation is commonly seen in these patients. Accurate grading of the TR can be done using MRI. Aneurysm of the RVOT, which is manifested as the dyskinetic movement of the RVOT wall (or outward movement during systole), should be carefully seen, as it is an independent predictor of RV dysfunction and arrhythmia development[27,28]. Late gadolinium enhancement can identify scars in vascular territories in patients with ischemic cardiomyopathy (Figure 4). Dilatation of other cardiac chambers should also be assessed, including atrial enlargement, which serves as an outcome predictor.

Figure 4
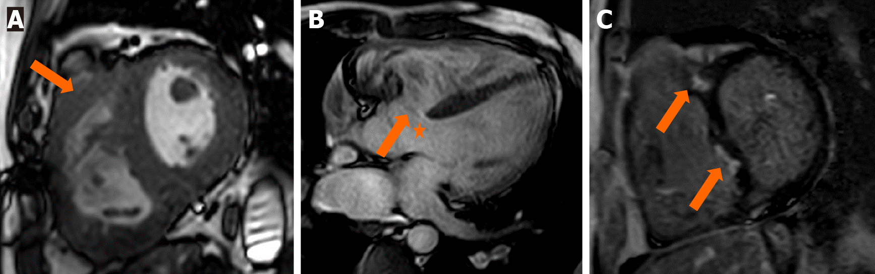
Figure 4 Cardiac magnetic resonance imaging in an operated patient of tetralogy of Fallot. A: Short-axis view showing a dilated right ventricle (RV) with thickened walls; B: Perimembranous ventricular septal defect (asterisk) with regurgitant jet (block arrow) across the tricuspid valve, suggestive of regurgitation; C: Focal areas of late Gadolinium enhancement in the RV and RV side of the septum.

Advanced MRI tools hold an important application in congenital heart disease[29-31]. Four-dimensional flow CMRI provides quantitative flow evaluation with better spatial coverage in all dimensions over an entire volume within the thorax. Moreover, it can potentially offer novel criteria for PVR in post op patients by delineating flow jets and streamlines across the stenotic PV[31]. In rTOF cases, parametric mapping provides valuable insight about the quantitative measures of tissue characterization beyond the traditional method, which can act as possible risk markers in these patients. Increased left ventricle T1 and extracellular volume fraction values have been seen associated with ventricular arrhythmias in rTOF patients[32]. Myocardial strain is an additive post-processing technique for the evaluation of myocardial deformation, which can predict adverse outcomes in rTOF.

Cardiac CT and CT angiography

The role of cardiac CT is not clearly defined, with the majority of the literature considering it to be second in line to CMRI, mainly owing to its radiation issues. Some institutes use cardiac CT only when MR is contraindicated, as in cases of implantable cardiac defibrillator devices, metal implants, or claustrophobia. Many hospitals, however, still use cardiac CT as the workhorse in the preoperative assessment of TOF. Cardiac CT has its advantages over MRI in assessing luminal pathologies due to its superior contrast resolution and rapid imaging. Intracardiac shunts can be better evaluated than conventional MR, where images are degraded due to susceptibility artifacts[33]. Coronary CTA has superior sensitivity and specificity as compared to coronary magnetic resonance angiography in assessing the origin and course of the coronary arteries, which are essential for planning the management, as discussed earlier[34]. As for the radiation dose, various advancements have occurred in computed tomography to mitigate the dose from iterative reconstruction to millisievert CT, with which an entire scan can be done with less than 1 mSv dose[35,36]. Typically, CT is done with electrocardiogram-gated acquisition followed by an immediate non-gated scan. Non-ionic iodinated contrast agent is administered at 1-2 mL/kg body weight. The area of scan extends from the lung apices to the domes of the diaphragm. Using the bolus tracking technique, the scan trigger is placed in the descending thoracic aorta. The cardiac gating can be prospective, retrospective, or adaptive. Although retrospective gating permits cardiac cine imaging, it has a higher radiation dose and hence is not preferred in pediatric patients.

The classical components of TOF, including perimembranous VSD, aortic override, pulmonary stenosis/atresia, and consequent right RVH, are very well delineated on CT (Figure 5A-C). The aortic override in TOF is typically less than or equal to 50%, in TOF. The degree of RVOTO is variable. Pulmonary stenosis may be infundibular, valvular, or supravalvular. Isolated left PA stenosis is the most common (Figure 5D-F). Rarely, stenosis of the branch PA may be coexistent with main PA stenosis (Figure 6A-D)[37]. In cases with pulmonary atresia, the main PA is atretic, and the branch pulmonary arteries may be confluent or isolated (Figure 6E-G). The PV may be absent in 3%-6% cases and is characterized by an aneurysmal main PA (Figure 6H)[38].

Figure 5
Figure 5 Computed tomography images. A-C: Axial (A and B) and sagittal reformatted images (C) of computed tomography angiography in a child with cyanosis, showing infundibular pulmonary stenosis (block arrow in A), right ventricular hypertrophy (asterisk in B), perimembranous ventricular septal defect (block arrow in B) with 50% aortic override (asterisk in C) consistent with classical tetralogy of Fallot; D-F: Axial (D and E) images showing stenosis at the origin of the left pulmonary artery (arrow). The right pulmonary artery was normal (asterisk); F: Three-dimensional volume rendered image showing the left pulmonary artery stenosis (arrow).
Figure 6
Figure 6 Computed tomography images. A-D: Oblique axial maximum intensity projection images and volume rendered image showing supravalvular main pulmonary artery (orange arrow) and right pulmonary artery (blue arrow) stenosis in a known case of TOF (A); coronal reformat image showing the main pulmonary artery stenosis (arrow) (B); coronal reformat image showing right pulmonary artery stenosis (blue arrow) (C); three-dimensional volume rendered image showing supravalvular main pulmonary artery stenosis (arrow) (D); E-H: Axial computed tomography angiography images showing pulmonary arterial anomalies in different patients of tetralogy of Fallot. E: Pulmonary atresia (block arrow) with reformed, confluent pulmonary arteries (asterisk); F: Pulmonary atresia with non-confluent, reformed pulmonary arteries (block arrow); G: Pulmonary atresia with absent main and branch pulmonary arteries (block arrow); H: Aneurysmal dilatation of the main pulmonary artery (block arrow) due to absent pulmonary valve.

In pulmonary atresia and severe pulmonary stenosis, the pulmonary circulation is maintained by a patent ductus arteriosus (PDA) and/or aortopulmonary collaterals. PDA shunts blood from the aorta to either of the pulmonary arteries (Figure 7A and B). Major aortopulmonary collateral arteries (MAPCAs) are larger than 3 mm in caliber, by definition. MAPCAs generally develop from the descending thoracic aorta and its branches (Figures 7C-F and 8A-C). Rare sources of MAPCAs include the celiac trunk and the coronary arteries[39]. When present, the origin and course of MAPCAs are to be clearly mentioned in the report, including the corresponding vertebral level, origin by clock position, and laterality[40]. While perimembranous VSD is characteristically present in TOF, other types of VSDs may be co-existent, including muscular VSD and doubly committed subarterial VSD, with or without perimembranous extension[41]. Although two-dimensional echocardiography is more sensitive than CT for the detection of ASDs, larger ASDs can be confidently identified on CT (Figure 8D and E).

Figure 7
Figure 7 Computed tomography images. A and B: Axial (A) and volume rendered image (B) of computed tomography angiography in a child with tetralogy of Fallot showing a large patent ductus arteriosus between the descending thoracic aorta and left pulmonary artery; C-F: Axial (C and D) and coronal reformatted images (E and F) of computed tomography angiography in a child with tetralogy of Fallot showing major aortopulmonary collateral arteries in the mediastinum arising from the descending thoracic aorta (block arrows) and reforming the right and left pulmonary arteries.
Figure 8
Figure 8 Computed tomography images. A-C: Axial (A and B) and coronal reformatted images (C) of computed tomography angiography in a child with tetralogy of Fallot showing systemic aortopulmonary collateral artery in the right paratracheal location arising from the right subclavian artery and reforming the right pulmonary artery; D and E: Axial image of computed tomography angiography showing a large atrial septal defect in a patient with tetralogy of Fallot consistent with pentalogy (D); Sagittal reformat of another patient showing a small muscular ventricular septal defect (block arrow) in addition to the perimembranous ventricular septal defect (E).

Anomalous coronary arteries are present in 2% to 23% of patients with TOF[42]. The origins and course of the coronary arteries require careful evaluation. Abnormalities of origin include the presence of a single coronary sinus and origin from the contralateral coronary sinus. An abnormal coronary course may be retroaortic, interarterial, or anterior to the infundibulum[43]. The presence of coronary anomalies has serious implications for the surgical management - an anomalous artery coursing anterior to the infundibulum precludes infundibulotomy. Further, the anomalous arteries crossing the infundibulum may not be visible intraoperatively due to overlying epicardial fat[44].

Aortic arch variations are commonly encountered in association with TOF. Right-sided aortic arch with mirror-image branching is the most common variation, present in 13%-34% of TOF patients. Among the supra-aortic anomalies, the bovine branching pattern is the most common, followed by the aberrant subclavian artery[44,45]. Associated visceral, pulmonary, and skeletal abnormalities can also be ruled out on CTA. The reporting template is provided in Table 3. Cardiac CT with three-dimensional reformation is often commonly used for postoperative evaluation. CT is an excellent modality to assess shunt patency, assess the vessels, and intracardiac anatomy. CT is limited for ventricular volumes and function[46-50]. Patent shunts are well-opacified on CT, whereas thrombosed shunts show hypodense filling defects (Figure 9).

Figure 9
Figure 9 Operated patient with tetralogy of Fallot. A-C: Axial computed tomography images of a postoperative patient with tetralogy of Fallot. Perimembranous ventricular septal defect (asterisk) (A). Infundibular pulmonary stenosis (arrow) with atresia of the main pulmonary artery (B). Central aortopulmonary shunt (arrows) between the ascending aorta and main pulmonary artery (C); D-F: Oblique Coronal reformat in an operated patient of tetralogy of Fallot. Showing patient modified-Blalock Taussig shunt between the right subclavian artery and the confluence of branch pulmonary arteries(D). Coronal reformat of another patient showing patent right Glenn shunt between the superior vena cava (SVC) and right pulmonary artery (E). Another patient with tetralogy of Fallot and double SVC showing bilateral Glenn shunts from both the SVCs to the branch pulmonary arteries, with a patent right shunt and partial thrombosis of the left shunt (F).
Table 3 Key computed tomography angiography reporting elements in pre-operative tetralogy of Fallot.
Parameter
SitusSolitus/ambiguous
Cardiac positionLevocardia/mesocardiac/dextrocardia
VSDSize
SitePerimembranous/muscular
Aortic override50% or > 50%
ASDPresent/absent
Status of the main pulmonary arteryAtresia/stenosis
Site of stenosisInfundibular/valvular/supravalvular
Pulmonary valvePresent/absent
Status of branch pulmonary arteriesConfluent/isolated
SizeGood-sized/small-sized (Mcgoon ratio and Nakata index1)
Collateral vesselsPDASize and opacification
Presence of proximal/distal end stenosis
Aortopulmonary collateralsOrigin (DTA/aortic arch branches, etc.)
Calibre (major/small); o’clock position, course and supply
Aortic archSideRight/Left
Branching patternLeft: Normal; bovine; aberrant right subclavian artery; truncus bicaroticus; direct origin of the vertebral artery
Right: Mirror image; independent origin of the vertebral artery; aberrant left subclavian artery
Coronary arteryOriginSeparate sinuses/common sinus/LAD originating from RCA
CourseCourse anterior to RVOT; inter-arterial course; hypertrophied conus branch of RCA coursing anterior to the infundibulum
Catheter angiography

Invasive catheter angiography has gradually been supplanted by newer, non-invasive imaging modalities such as CT and CMRI. However, certain situations warrant angiography as a part of pre-operative evaluation. For example, to clearly visualize the stenosis in an adult patient of TOF with poor echo windows and unclear morphology of RVOT obstruction in imaging, for accurate assessment of the size and location of VSDs in the presence of multiple muscular VSDs, in TOF with pulmonary atresia, to assess the adequacy of comparison between native PA supply to lungs and aortopulmonary collateral supply (Figure 10). These are a few situations where catheter-based angiography is preferred for pre-surgical planning. Apart from diagnostic purposes, invasive procedures like RVOT stenting, PDA stenting, coiling of MAPCAs, balloon pulmonary valvuloplasty, etc., can also be performed in a case of TOF with uncontrolled spells[51,52].

Figure 10
Figure 10  Catheter angiography images in a patient with tetralogy of Fallot. A: Left ventricle angiography showing large ventricular septal defect, aortic override; B: Right ventricle angiography showing multilevel stenosis at sub-valvar, valvar, supra-valvar region; C: Aortic root angiography showing origin of coronaries. Ao: Aorta; VSD: Ventricular septal defect; RV: Right ventricle; LV: Left ventricle; RPA: Right pulmonary artery; LPA: Left pulmonary artery; PV: Pulmonary valve; IS: Infundibular septum; SPT: Septoparietal trabeculations; RCA: Right coronary artery; LCx: Left circumflex artery; LAD: Left anterior descending artery.
Nuclear scintigraphy

Nuclear scintigraphy, once commonly used to assess the RV and PA status, is now rarely indicated, due to the superiority of other imaging modalities. However, it retains its role in the assessment of differential lung perfusion and ventilation-perfusion mismatch in the presence of left PA stenosis and pulmonary regurgitation[53,54]. The choice of imaging modality in TOF from initial diagnosis to all stages of care and long-term follow-up is discussed in Table 4.

Table 4 Imaging modalities and their use in different stages of care in patients with tetralogy of Fallot.
Stage of care
Imaging modality
Information provided
Advantages
At initial diagnosisTTEDefines the position of the VSD, degree of aortic override, and location and severity of the RVOT obstructionWidely available, safe (no radiation), and assesses the basic defects
CMRAssessment of pulmonary arteries- size/confluence; MAPCAsHigh-resolution, objective data on ventricular volumes, function, and pulmonary artery anatomy without using ionizing radiation
CT angiography - as an alternative to CMR, however choice depends upon centre to centre; should preferably be an ECG-gated acquisitionDetailed assessment of pulmonary artery anatomy and branches; MAPCAs; coronary arteries anatomy; additional defects: ASD; PAPVC, muscular VSDHigh spatial and temporal resolution, compared with CMR, less time is required for data acquisition
Post-surgical shuntsCT angiographyShunt patency, stenosisHigh accuracy
Post-intra-cardiac repairCMRQuantification of PR; RV volume and function; complications: RVOT aneurysms and myocardial fibrosis Highly accurate and gold standard for volumetry
Catheter angiographyAssessment of residual stenosis in pulmonary arteries and management (balloon dilation or stenting); management of residual VSDs; percutaneous PVR proceduresDiagnosis and therapeutic interventions
SURGICAL APPROACH

The timing of management is determined by symptoms of the child and the severity of pulmonary outflow obstruction. Though single-time correction is the standard treatment, transarterial-transpulmonary repair of TOF is not always feasible. Children with mild to moderate pulmonary stenosis and good oxygenation undergo single-stage correction, preferably before 11 months of age, which involves patch closure of the VSD and relieving the RVOTO[55]. RVOT reconstruction includes infundibular resection with patch augmentation of the infundibulum, pulmonary valvotomy, transannular patch with or without monocusp, separate patch augmentation of RVOT and MPA preserving the PV, double-barrel technique, and valved conduit placement. RVOT reconstruction depends upon the level of stenosis, pulmonary annulus size, and anomalous coronary artery crossing the RVOT. Those with severe pulmonary atresia undergo a palliative surgery followed by staged correction. Modified Blalock-Taussig (BT) shunt is a commonly performed palliative procedure, where a polytetrafluoroethylene or Gore-Tex conduit is placed between the left subclavian artery and pulmonary arteries. Although the modified BT shunt has fewer complications compared to the previously described BT shunt, pulmonary stenosis due to endothelial proliferation, graft thrombosis, and pulmonary hypertension may occur. When the central pulmonary arteries are hypoplastic and confluent, a central aortopulmonary shunt procedure is performed as an initial palliation. This procedure aims to ensure sufficient blood flow to aid in the development of the hypoplastic pulmonary arterial bed[56,57].

Assessment of residual disease

Less common causes for exertional dyspnea in patients with rTOF are a residual disease of the tetralogy. The VSD may persist, and recurrent VSD can lead to the right-to-left shunt and serve as an important cause of volume overload. The repair of the residual VSD in rTOF patients is similar to normal VSD in adult patients. The size of the defect and pulmonary vascular resistance are often used to guide management. The defect is well delineated using cardiac CT. The ratio of pulmonary to systemic flow (Qp/Qs) can be calculated on CMRI (Figure 11). Closure should be considered if Qp:Qs is 1.5:1[58,59]. Residual pulmonary stenosis can lead to progressive pressure overload, and subsequent RV dysfunction is seen in 10%-15% of post-TOF repair patients[60]. Therefore, it is essential to identify it as the cause for RV dysfunction and differentiate it from the more common cause of volume overload-induced RV dysfunction due to pulmonary regurgitation.

Figure 11
Figure 11  Cardiac magnetic resonance imaging to calculate Qp:Qs. Regions of interest are placed in the aorta and main pulmonary artery (yellow and orange circles, respectively), and phase-contrast magnetic resonance imaging is performed. The graph shows the quantity and directions of flow at these levels. The flow parameters and Qp:Qs are shown in the system-generated table.

Branch PA stenosis can also be a cause of pulmonary regurgitation, leading to progressive RV enlargement and dysfunction. Branch PA stenosis is also a complication of palliative procedures. As already discussed, cardiac MRI and cardiac CT score better in assessing distal pulmonary circulation, with the latter being commonly used due to its availability, ability to evaluate the flow within the stents, and multiplanar reformation[61].

CONCLUSION

The importance of imaging in the early diagnosis and comprehensive assessment of TOF is paramount in guiding surgical management. Though there are no clear-cut recommendations regarding the preferred modality, understanding the various aspects of the available modalities is essential for selecting the correct modality to answer clinical questions. TTE is the basic investigation in assessing pre- and post-repair TOF patients. Cardiac MRI is preferred in adult patients in whom all the clinical queries cannot be answered by TTE, and for the assessment of cardiac functions and quantification of pulmonary regurgitation. Cardiac CT, for all practical purposes, is the workhorse for pre-operative evaluation of cardiac, coronary, pulmonary arterial anatomy, and MAPCAs. With advancements in imaging technologies and improved postoperative survival rates, it is essential to be aware of the preoperative and postoperative appearances. For post-operative patients, CT is the way forward for assessment of shunt patency, and cardiac MR is preferred for estimation of pulmonary regurgitation, RV dysfunction, and volumetry.

References
1.  Bailliard F, Anderson RH. Tetralogy of Fallot. Orphanet J Rare Dis. 2009;4:2.  [RCA]  [PubMed]  [DOI]  [Full Text]  [Full Text (PDF)]  [Cited by in Crossref: 250]  [Cited by in RCA: 201]  [Article Influence: 11.8]  [Reference Citation Analysis (0)]
2.  Gaydos SS, Varga-Szemes A, Judd RN, Suranyi P, Gregg D. Imaging in Adult Congenital Heart Disease. J Thorac Imaging. 2017;32:205-216.  [RCA]  [PubMed]  [DOI]  [Full Text]  [Cited by in Crossref: 20]  [Cited by in RCA: 22]  [Article Influence: 2.4]  [Reference Citation Analysis (0)]
3.  Zucker EJ. Computed tomography in tetralogy of Fallot: pre- and postoperative imaging evaluation. Pediatr Radiol. 2022;52:2485-2497.  [RCA]  [PubMed]  [DOI]  [Full Text]  [Cited by in Crossref: 19]  [Cited by in RCA: 16]  [Article Influence: 4.0]  [Reference Citation Analysis (0)]
4.  Frank L, Dillman JR, Parish V, Mueller GC, Kazerooni EA, Bell A, Attili AK. Cardiovascular MR imaging of conotruncal anomalies. Radiographics. 2010;30:1069-1094.  [RCA]  [PubMed]  [DOI]  [Full Text]  [Cited by in Crossref: 57]  [Cited by in RCA: 36]  [Article Influence: 2.3]  [Reference Citation Analysis (0)]
5.  Norton KI, Tong C, Glass RB, Nielsen JC. Cardiac MR imaging assessment following tetralogy of fallot repair. Radiographics. 2006;26:197-211.  [RCA]  [PubMed]  [DOI]  [Full Text]  [Cited by in Crossref: 58]  [Cited by in RCA: 33]  [Article Influence: 1.7]  [Reference Citation Analysis (0)]
6.  Huehnergarth KV, Gurvitz M, Stout KK, Otto CM. Repaired tetralogy of Fallot in the adult: monitoring and management. Heart. 2008;94:1663-1669.  [RCA]  [PubMed]  [DOI]  [Full Text]  [Cited by in Crossref: 31]  [Cited by in RCA: 14]  [Article Influence: 0.8]  [Reference Citation Analysis (0)]
7.  Nørgaard MA, Lauridsen P, Helvind M, Pettersson G. Twenty-to-thirty-seven-year follow-up after repair for Tetralogy of Fallot. Eur J Cardiothorac Surg. 1999;16:125-130.  [RCA]  [PubMed]  [DOI]  [Full Text]  [Cited by in Crossref: 105]  [Cited by in RCA: 84]  [Article Influence: 3.1]  [Reference Citation Analysis (0)]
8.  Sorrell VL, Altbach MI, Kudithipudi V, Squire SW, Goldberg SJ, Klewer SE. Cardiac MRI is an important complementary tool to Doppler echocardiography in the management of patients with pulmonary regurgitation. Echocardiography. 2007;24:316-328.  [RCA]  [PubMed]  [DOI]  [Full Text]  [Cited by in Crossref: 11]  [Cited by in RCA: 9]  [Article Influence: 0.5]  [Reference Citation Analysis (0)]
9.  Cuypers JA, Menting ME, Opić P, Utens EM, Helbing WA, Witsenburg M, van den Bosch AE, van Domburg RT, Baart SJ, Boersma E, Meijboom FJ, Bogers AJ, Roos-Hesselink JW. The unnatural history of pulmonary stenosis up to 40 years after surgical repair. Heart. 2017;103:273-279.  [RCA]  [PubMed]  [DOI]  [Full Text]  [Cited by in Crossref: 13]  [Cited by in RCA: 11]  [Article Influence: 1.2]  [Reference Citation Analysis (0)]
10.  Karamlou T, Silber I, Lao R, McCrindle BW, Harris L, Downar E, Webb GD, Colman JM, Van Arsdell GS, Williams WG. Outcomes after late reoperation in patients with repaired tetralogy of Fallot: the impact of arrhythmia and arrhythmia surgery. Ann Thorac Surg. 2006;81:1786-93; discussion 1793.  [RCA]  [PubMed]  [DOI]  [Full Text]  [Cited by in Crossref: 121]  [Cited by in RCA: 89]  [Article Influence: 4.5]  [Reference Citation Analysis (0)]
11.  Lim C, Lee JY, Kim WH, Kim SC, Song JY, Kim SJ, Choh JH, Kim CW. Early replacement of pulmonary valve after repair of tetralogy: is it really beneficial? Eur J Cardiothorac Surg. 2004;25:728-734.  [RCA]  [PubMed]  [DOI]  [Full Text]  [Cited by in Crossref: 69]  [Cited by in RCA: 58]  [Article Influence: 2.6]  [Reference Citation Analysis (0)]
12.  Therrien J, Siu SC, McLaughlin PR, Liu PP, Williams WG, Webb GD. Pulmonary valve replacement in adults late after repair of tetralogy of fallot: are we operating too late? J Am Coll Cardiol. 2000;36:1670-1675.  [RCA]  [PubMed]  [DOI]  [Full Text]  [Cited by in Crossref: 448]  [Cited by in RCA: 356]  [Article Influence: 13.7]  [Reference Citation Analysis (0)]
13.  Vliegen HW, van Straten A, de Roos A, Roest AA, Schoof PH, Zwinderman AH, Ottenkamp J, van der Wall EE, Hazekamp MG. Magnetic resonance imaging to assess the hemodynamic effects of pulmonary valve replacement in adults late after repair of tetralogy of fallot. Circulation. 2002;106:1703-1707.  [RCA]  [PubMed]  [DOI]  [Full Text]  [Cited by in Crossref: 303]  [Cited by in RCA: 239]  [Article Influence: 10.0]  [Reference Citation Analysis (0)]
14.  Burchill LJ, Wald RM, Harris L, Colman JM, Silversides CK. Pulmonary valve replacement in adults with repaired tetralogy of Fallot. Semin Thorac Cardiovasc Surg Pediatr Card Surg Annu. 2011;14:92-97.  [RCA]  [PubMed]  [DOI]  [Full Text]  [Cited by in Crossref: 29]  [Cited by in RCA: 18]  [Article Influence: 1.2]  [Reference Citation Analysis (0)]
15.  Fraser CD, Bacha EA, Comas J, Sano S, Sarris GE, Tsang VT. Tetralogy of Fallot. Semin Thorac Cardiovasc Surg. 2015;27:189-204.  [RCA]  [PubMed]  [DOI]  [Full Text]  [Cited by in Crossref: 9]  [Cited by in RCA: 9]  [Article Influence: 0.8]  [Reference Citation Analysis (0)]
16.  Prieto L. Management of tetralogy of fallot with pulmonary atresia. Images Paediatr Cardiol. 2005;7:24-42.  [PubMed]  [DOI]
17.  Ferencz C, Rubin JD, McCarter RJ, Brenner JI, Neill CA, Perry LW, Hepner SI, Downing JW. Congenital heart disease: prevalence at livebirth. The Baltimore-Washington Infant Study. Am J Epidemiol. 1985;121:31-36.  [RCA]  [PubMed]  [DOI]  [Full Text]  [Cited by in Crossref: 824]  [Cited by in RCA: 596]  [Article Influence: 14.5]  [Reference Citation Analysis (0)]
18.  Valente AM, Cook S, Festa P, Ko HH, Krishnamurthy R, Taylor AM, Warnes CA, Kreutzer J, Geva T. Multimodality imaging guidelines for patients with repaired tetralogy of fallot: a report from the AmericanSsociety of Echocardiography: developed in collaboration with the Society for Cardiovascular Magnetic Resonance and the Society for Pediatric Radiology. J Am Soc Echocardiogr. 2014;27:111-141.  [RCA]  [PubMed]  [DOI]  [Full Text]  [Cited by in Crossref: 288]  [Cited by in RCA: 236]  [Article Influence: 19.7]  [Reference Citation Analysis (0)]
19.  Puchalski MD, Williams RV, Askovich B, Minich LL, Mart C, Tani LY. Assessment of right ventricular size and function: echo versus magnetic resonance imaging. Congenit Heart Dis. 2007;2:27-31.  [RCA]  [PubMed]  [DOI]  [Full Text]  [Cited by in Crossref: 97]  [Cited by in RCA: 82]  [Article Influence: 4.3]  [Reference Citation Analysis (0)]
20.  Geva T. Repaired tetralogy of Fallot: the roles of cardiovascular magnetic resonance in evaluating pathophysiology and for pulmonary valve replacement decision support. J Cardiovasc Magn Reson. 2011;13:9.  [RCA]  [PubMed]  [DOI]  [Full Text]  [Cited by in Crossref: 507]  [Cited by in RCA: 404]  [Article Influence: 26.9]  [Reference Citation Analysis (0)]
21.  Valente AM, Gauvreau K, Assenza GE, Babu-Narayan SV, Schreier J, Gatzoulis MA, Groenink M, Inuzuka R, Kilner PJ, Koyak Z, Landzberg MJ, Mulder B, Powell AJ, Wald R, Geva T. Contemporary predictors of death and sustained ventricular tachycardia in patients with repaired tetralogy of Fallot enrolled in the INDICATOR cohort. Heart. 2014;100:247-253.  [RCA]  [PubMed]  [DOI]  [Full Text]  [Full Text (PDF)]  [Cited by in Crossref: 431]  [Cited by in RCA: 373]  [Article Influence: 31.1]  [Reference Citation Analysis (0)]
22.  Wald RM, Redington AN, Pereira A, Provost YL, Paul NS, Oechslin EN, Silversides CK. Refining the assessment of pulmonary regurgitation in adults after tetralogy of Fallot repair: should we be measuring regurgitant fraction or regurgitant volume? Eur Heart J. 2009;30:356-361.  [RCA]  [PubMed]  [DOI]  [Full Text]  [Cited by in Crossref: 104]  [Cited by in RCA: 82]  [Article Influence: 4.8]  [Reference Citation Analysis (0)]
23.  Mercer-Rosa L, Yang W, Kutty S, Rychik J, Fogel M, Goldmuntz E. Quantifying pulmonary regurgitation and right ventricular function in surgically repaired tetralogy of Fallot: a comparative analysis of echocardiography and magnetic resonance imaging. Circ Cardiovasc Imaging. 2012;5:637-643.  [RCA]  [PubMed]  [DOI]  [Full Text]  [Cited by in Crossref: 141]  [Cited by in RCA: 122]  [Article Influence: 8.7]  [Reference Citation Analysis (0)]
24.  Geva T. Indications for pulmonary valve replacement in repaired tetralogy of fallot: the quest continues. Circulation. 2013;128:1855-1857.  [RCA]  [PubMed]  [DOI]  [Full Text]  [Cited by in Crossref: 243]  [Cited by in RCA: 211]  [Article Influence: 16.2]  [Reference Citation Analysis (0)]
25.  Stout KK, Daniels CJ, Aboulhosn JA, Bozkurt B, Broberg CS, Colman JM, Crumb SR, Dearani JA, Fuller S, Gurvitz M, Khairy P, Landzberg MJ, Saidi A, Valente AM, Van Hare GF. 2018 AHA/ACC Guideline for the Management of Adults With Congenital Heart Disease: A Report of the American College of Cardiology/American Heart Association Task Force on Clinical Practice Guidelines. Circulation. 2019;139:e698-e800.  [RCA]  [PubMed]  [DOI]  [Full Text]  [Cited by in Crossref: 294]  [Cited by in RCA: 342]  [Article Influence: 48.9]  [Reference Citation Analysis (0)]
26.  Geva T, Wald RM, Bucholz E, Cnota JF, McElhinney DB, Mercer-Rosa LM, Mery CM, Miles AL, Moore J; American Heart Association Council on Lifelong Congenital Heart Disease and Heart Health in the Young;  Council on Cardiovascular Surgery and Anesthesia;  Council on Clinical Cardiology;  and Council on Cardiovascular and Stroke Nursing. Long-Term Management of Right Ventricular Outflow Tract Dysfunction in Repaired Tetralogy of Fallot: A Scientific Statement From the American Heart Association. Circulation. 2024;150:e689-e707.  [RCA]  [PubMed]  [DOI]  [Full Text]  [Cited by in Crossref: 48]  [Cited by in RCA: 37]  [Article Influence: 18.5]  [Reference Citation Analysis (0)]
27.  Davlouros PA, Kilner PJ, Hornung TS, Li W, Francis JM, Moon JC, Smith GC, Tat T, Pennell DJ, Gatzoulis MA. Right ventricular function in adults with repaired tetralogy of Fallot assessed with cardiovascular magnetic resonance imaging: detrimental role of right ventricular outflow aneurysms or akinesia and adverse right-to-left ventricular interaction. J Am Coll Cardiol. 2002;40:2044-2052.  [RCA]  [PubMed]  [DOI]  [Full Text]  [Cited by in Crossref: 478]  [Cited by in RCA: 385]  [Article Influence: 16.0]  [Reference Citation Analysis (0)]
28.  Harrison DA, Harris L, Siu SC, MacLoghlin CJ, Connelly MS, Webb GD, Downar E, McLaughlin PR, Williams WG. Sustained ventricular tachycardia in adult patients late after repair of tetralogy of Fallot. J Am Coll Cardiol. 1997;30:1368-1373.  [RCA]  [PubMed]  [DOI]  [Full Text]  [Cited by in Crossref: 228]  [Cited by in RCA: 173]  [Article Influence: 6.0]  [Reference Citation Analysis (0)]
29.  Jalili MH, Chung A, Bradley D, Hassani C, Prosper AE, Finn JP, Bedayat A. Advanced imaging for pre- and post-operative evaluation of tetralogy of Fallot. Clin Imaging. 2025;120:110432.  [RCA]  [PubMed]  [DOI]  [Full Text]  [Cited by in Crossref: 1]  [Cited by in RCA: 1]  [Article Influence: 1.0]  [Reference Citation Analysis (0)]
30.  Schäfer M, Mawad W. Advanced Imaging Technologies for Assessing Tetralogy of Fallot: Insights Into Flow Dynamics. CJC Pediatr Congenit Heart Dis. 2023;2:380-392.  [RCA]  [PubMed]  [DOI]  [Full Text]  [Full Text (PDF)]  [Cited by in Crossref: 6]  [Cited by in RCA: 6]  [Article Influence: 2.0]  [Reference Citation Analysis (0)]
31.  Nyström A, Berntsson C, Mandalenakis Z, Lagerstrand K, Dangardt F, de Lange C. Cardiovascular magnetic resonance in Tetralogy of Fallot-state of the art. Cardiovasc Diagn Ther. 2025;15:173-194.  [RCA]  [PubMed]  [DOI]  [Full Text]  [Full Text (PDF)]  [Cited by in Crossref: 2]  [Cited by in RCA: 1]  [Article Influence: 1.0]  [Reference Citation Analysis (0)]
32.  Chen CA, Dusenbery SM, Valente AM, Powell AJ, Geva T. Myocardial ECV Fraction Assessed by CMR Is Associated With Type of Hemodynamic Load and Arrhythmia in Repaired Tetralogy of Fallot. JACC Cardiovasc Imaging. 2016;9:1-10.  [RCA]  [PubMed]  [DOI]  [Full Text]  [Cited by in Crossref: 129]  [Cited by in RCA: 119]  [Article Influence: 11.9]  [Reference Citation Analysis (0)]
33.  Puranik R, Muthurangu V, Celermajer DS, Taylor AM. Congenital heart disease and multi-modality imaging. Heart Lung Circ. 2010;19:133-144.  [RCA]  [PubMed]  [DOI]  [Full Text]  [Cited by in Crossref: 44]  [Cited by in RCA: 36]  [Article Influence: 2.3]  [Reference Citation Analysis (0)]
34.  Datta J, White CS, Gilkeson RC, Meyer CA, Kansal S, Jani ML, Arildsen RC, Read K. Anomalous coronary arteries in adults: depiction at multi-detector row CT angiography. Radiology. 2005;235:812-818.  [RCA]  [PubMed]  [DOI]  [Full Text]  [Cited by in Crossref: 179]  [Cited by in RCA: 142]  [Article Influence: 6.8]  [Reference Citation Analysis (0)]
35.  Expert Panel on Cardiac Imaging:, Woodard PK, Ho VB, Akers SR, Beache G, Brown RKJ, Cummings KW, Greenberg SB, Min JK, Stillman AE, Stojanovska J, Jacobs JE. ACR Appropriateness Criteria(®) Known or Suspected Congenital Heart Disease in the Adult. J Am Coll Radiol. 2017;14:S166-S176.  [RCA]  [PubMed]  [DOI]  [Full Text]  [Cited by in Crossref: 10]  [Cited by in RCA: 6]  [Article Influence: 0.7]  [Reference Citation Analysis (0)]
36.  Meinel FG, Henzler T, Schoepf UJ, Park PW, Huda W, Spearman JV, Dyer KT, Rao AG, Hlavacek AM. ECG-synchronized CT angiography in 324 consecutive pediatric patients: spectrum of indications and trends in radiation dose. Pediatr Cardiol. 2015;36:569-578.  [RCA]  [PubMed]  [DOI]  [Full Text]  [Cited by in Crossref: 41]  [Cited by in RCA: 36]  [Article Influence: 3.3]  [Reference Citation Analysis (0)]
37.  Sheikh AM, Kazmi U, Syed NH. Variations of pulmonary arteries and other associated defects in Tetralogy of Fallot. Springerplus. 2014;3:467.  [RCA]  [PubMed]  [DOI]  [Full Text]  [Full Text (PDF)]  [Cited by in Crossref: 17]  [Cited by in RCA: 12]  [Article Influence: 1.0]  [Reference Citation Analysis (0)]
38.  Lakier JB, Stanger P, Heymann MA, Hoffman JI, Rudolph AM. Tetralogy of Fallot with absent pulmonary valve. Natural history and hemodynamic considerations. Circulation. 1974;50:167-175.  [RCA]  [PubMed]  [DOI]  [Full Text]  [Cited by in Crossref: 121]  [Cited by in RCA: 91]  [Article Influence: 1.8]  [Reference Citation Analysis (0)]
39.  Seale AN, Ho SY, Shinebourne EA, Carvalho JS. Prenatal identification of the pulmonary arterial supply in tetralogy of Fallot with pulmonary atresia. Cardiol Young. 2009;19:185-191.  [RCA]  [PubMed]  [DOI]  [Full Text]  [Cited by in Crossref: 17]  [Cited by in RCA: 16]  [Article Influence: 0.9]  [Reference Citation Analysis (0)]
40.  Sharma A, Vadher A, Shaw M, Malhi AS, Kumar S, Singhal M. Basic Concepts and Insights into Aortopulmonary Collateral Arteries in Congenital Heart Diseases. Indian J Radiol Imaging. 2023;33:496-507.  [RCA]  [PubMed]  [DOI]  [Full Text]  [Full Text (PDF)]  [Cited by in Crossref: 8]  [Cited by in RCA: 6]  [Article Influence: 2.0]  [Reference Citation Analysis (0)]
41.  Chen MR, Chiu IS, Chiu CB. Angiographic classification of ventricular septal defects in tetralogy of Fallot. Int J Cardiol. 1994;44:115-122.  [RCA]  [PubMed]  [DOI]  [Full Text]  [Cited by in Crossref: 6]  [Cited by in RCA: 6]  [Article Influence: 0.2]  [Reference Citation Analysis (0)]
42.  Koppel CJ, Jongbloed MRM, Kiès P, Hazekamp MG, Mertens BJA, Schalij MJ, Vliegen HW. Coronary anomalies in tetralogy of Fallot - A meta-analysis. Int J Cardiol. 2020;306:78-85.  [RCA]  [PubMed]  [DOI]  [Full Text]  [Cited by in Crossref: 44]  [Cited by in RCA: 32]  [Article Influence: 5.3]  [Reference Citation Analysis (0)]
43.  Romeih S, Kaoud A, Shaaban M, Elzoghaby M, Abdelfattah M, Hashem M, Sayed S, Gibreel M, Elmozy W. Coronary artery anomalies in tetralogy of Fallot patients evaluated by multi slice computed tomography; myocardial bridge is not a rare finding. Medicine (Baltimore). 2021;100:e24325.  [RCA]  [PubMed]  [DOI]  [Full Text]  [Cited by in Crossref: 7]  [Cited by in RCA: 6]  [Article Influence: 1.2]  [Reference Citation Analysis (0)]
44.  Kakucs Z, Heidenhoffer E, Pop M. Detection of Coronary Artery and Aortic Arch Anomalies in Patients with Tetralogy of Fallot Using CT Angiography. J Clin Med. 2022;11:5500.  [RCA]  [PubMed]  [DOI]  [Full Text]  [Full Text (PDF)]  [Cited by in Crossref: 11]  [Cited by in RCA: 7]  [Article Influence: 1.8]  [Reference Citation Analysis (0)]
45.  Prabhu S, Kasturi S, Mehra S, Tiwari R, Joshi A, John C, Karl TR. The aortic arch in tetralogy of Fallot: types of branching and clinical implications. Cardiol Young. 2020;30:1144-1150.  [RCA]  [PubMed]  [DOI]  [Full Text]  [Cited by in Crossref: 15]  [Cited by in RCA: 12]  [Article Influence: 2.0]  [Reference Citation Analysis (0)]
46.  Juergens KU, Grude M, Maintz D, Fallenberg EM, Wichter T, Heindel W, Fischbach R. Multi-detector row CT of left ventricular function with dedicated analysis software versus MR imaging: initial experience. Radiology. 2004;230:403-410.  [RCA]  [PubMed]  [DOI]  [Full Text]  [Cited by in Crossref: 213]  [Cited by in RCA: 173]  [Article Influence: 7.9]  [Reference Citation Analysis (0)]
47.  Mahnken AH, Spuentrup E, Niethammer M, Buecker A, Boese J, Wildberger JE, Flohr T, Sinha AM, Krombach GA, Günther RW. Quantitative and qualitative assessment of left ventricular volume with ECG-gated multislice spiral CT: value of different image reconstruction algorithms in comparison to MRI. Acta Radiol. 2003;44:604-611.  [RCA]  [PubMed]  [DOI]  [Full Text]  [Cited by in Crossref: 80]  [Cited by in RCA: 68]  [Article Influence: 3.0]  [Reference Citation Analysis (0)]
48.  Halliburton SS, Petersilka M, Schvartzman PR, Obuchowski N, White RD. Evaluation of left ventricular dysfunction using multiphasic reconstructions of coronary multi-slice computed tomography data in patients with chronic ischemic heart disease: validation against cine magnetic resonance imaging. Int J Cardiovasc Imaging. 2003;19:73-83.  [RCA]  [PubMed]  [DOI]  [Full Text]  [Cited by in Crossref: 75]  [Cited by in RCA: 52]  [Article Influence: 2.3]  [Reference Citation Analysis (0)]
49.  Juergens KU, Grude M, Fallenberg EM, Opitz C, Wichter T, Heindel W, Fischbach R. Using ECG-gated multidetector CT to evaluate global left ventricular myocardial function in patients with coronary artery disease. AJR Am J Roentgenol. 2002;179:1545-1550.  [RCA]  [PubMed]  [DOI]  [Full Text]  [Cited by in Crossref: 126]  [Cited by in RCA: 99]  [Article Influence: 4.1]  [Reference Citation Analysis (0)]
50.  Raman SV, Cook SC, McCarthy B, Ferketich AK. Usefulness of multidetector row computed tomography to quantify right ventricular size and function in adults with either tetralogy of Fallot or transposition of the great arteries. Am J Cardiol. 2005;95:683-686.  [RCA]  [PubMed]  [DOI]  [Full Text]  [Cited by in Crossref: 75]  [Cited by in RCA: 52]  [Article Influence: 2.5]  [Reference Citation Analysis (0)]
51.  Rehman R, Marhisham MC, Alwi M. Stenting the complex patent ductus arteriosus in tetralogy of Fallot with pulmonary atresia: challenges and outcomes. Future Cardiol. 2018;14:55-73.  [RCA]  [PubMed]  [DOI]  [Full Text]  [Cited by in Crossref: 34]  [Cited by in RCA: 29]  [Article Influence: 3.6]  [Reference Citation Analysis (0)]
52.  Cholkraisuwat E, Lertsapcharoen P, Khongphatthanayothin A, La-orkhun V, Vithessonthi K, Benjacholamas V, Namchaisiri J. Balloon pulmonary valvuloplasty in tetralogy of Fallot: effects on growth of pulmonary annulus and transannular patch. J Med Assoc Thai. 2010;93:898-902.  [PubMed]  [DOI]
53.  Wu MT, Huang YL, Hsieh KS, Huang JT, Peng NJ, Pan JY, Huang JS, Yang TL. Influence of pulmonary regurgitation inequality on differential perfusion of the lungs in tetralogy of Fallot after repair: a phase-contrast magnetic resonance imaging and perfusion scintigraphy study. J Am Coll Cardiol. 2007;49:1880-1886.  [RCA]  [PubMed]  [DOI]  [Full Text]  [Cited by in Crossref: 28]  [Cited by in RCA: 25]  [Article Influence: 1.3]  [Reference Citation Analysis (0)]
54.  Dowdle SC, Human DG, Mann MD. Pulmonary ventilation and perfusion abnormalities and ventilation perfusion imbalance in children with pulmonary atresia or extreme tetralogy of Fallot. J Nucl Med. 1990;31:1276-1279.  [PubMed]  [DOI]
55.  Luijten LW, van den Bosch E, Duppen N, Tanke R, Roos-Hesselink J, Nijveld A, van Dijk A, Bogers AJ, van Domburg R, Helbing WA. Long-term outcomes of transatrial-transpulmonary repair of tetralogy of Fallot. Eur J Cardiothorac Surg. 2015;47:527-534.  [RCA]  [PubMed]  [DOI]  [Full Text]  [Cited by in Crossref: 63]  [Cited by in RCA: 54]  [Article Influence: 4.9]  [Reference Citation Analysis (0)]
56.  Simsek B, Ozyuksel A, Saygi M, Demiroluk S, Basaran M. Revisiting the central aortopulmonary shunt procedure. Turk Gogus Kalp Damar Cerrahisi Derg. 2023;31:207-214.  [RCA]  [PubMed]  [DOI]  [Full Text]  [Full Text (PDF)]  [Cited by in Crossref: 3]  [Cited by in RCA: 3]  [Article Influence: 1.0]  [Reference Citation Analysis (0)]
57.  Expert Consensus Panel:, Miller JR, Stephens EH, Goldstone AB, Glatz AC, Kane L, Van Arsdell GS, Stellin G, Barron DJ, d'Udekem Y, Benson L, Quintessenza J, Ohye RG, Talwar S, Fremes SE, Emani SM, Eghtesady P. The American Association for Thoracic Surgery (AATS) 2022 Expert Consensus Document: Management of infants and neonates with tetralogy of Fallot. J Thorac Cardiovasc Surg. 2023;165:221-250.  [RCA]  [PubMed]  [DOI]  [Full Text]  [Cited by in Crossref: 62]  [Cited by in RCA: 50]  [Article Influence: 16.7]  [Reference Citation Analysis (0)]
58.  Luijnenburg SE, Peters RE, van der Geest RJ, Moelker A, Roos-Hesselink JW, de Rijke YB, Mulder BJ, Vliegen HW, Helbing WA. Abnormal right atrial and right ventricular diastolic function relate to impaired clinical condition in patients operated for tetralogy of Fallot. Int J Cardiol. 2013;167:833-839.  [RCA]  [PubMed]  [DOI]  [Full Text]  [Cited by in Crossref: 62]  [Cited by in RCA: 53]  [Article Influence: 4.1]  [Reference Citation Analysis (0)]
59.  Warnes CA, Williams RG, Bashore TM, Child JS, Connolly HM, Dearani JA, del Nido P, Fasules JW, Graham TP Jr, Hijazi ZM, Hunt SA, King ME, Landzberg MJ, Miner PD, Radford MJ, Walsh EP, Webb GD. ACC/AHA 2008 Guidelines for the Management of Adults with Congenital Heart Disease: a report of the American College of Cardiology/American Heart Association Task Force on Practice Guidelines (writing committee to develop guidelines on the management of adults with congenital heart disease). Circulation. 2008;118:e714-e833.  [RCA]  [PubMed]  [DOI]  [Full Text]  [Cited by in Crossref: 684]  [Cited by in RCA: 616]  [Article Influence: 34.2]  [Reference Citation Analysis (0)]
60.  Gatzoulis MA, Balaji S, Webber SA, Siu SC, Hokanson JS, Poile C, Rosenthal M, Nakazawa M, Moller JH, Gillette PC, Webb GD, Redington AN. Risk factors for arrhythmia and sudden cardiac death late after repair of tetralogy of Fallot: a multicentre study. Lancet. 2000;356:975-981.  [RCA]  [PubMed]  [DOI]  [Full Text]  [Cited by in Crossref: 1505]  [Cited by in RCA: 1152]  [Article Influence: 44.3]  [Reference Citation Analysis (0)]
61.  Cheung MM, Konstantinov IE, Redington AN. Late complications of repair of tetralogy of Fallot and indications for pulmonary valve replacement. Semin Thorac Cardiovasc Surg. 2005;17:155-159.  [RCA]  [PubMed]  [DOI]  [Full Text]  [Cited by in Crossref: 62]  [Cited by in RCA: 49]  [Article Influence: 2.3]  [Reference Citation Analysis (0)]
Footnotes

Provenance and peer review: Invited article; Externally peer reviewed.

Peer-review model: Single blind

Specialty type: Radiology, nuclear medicine and medical imaging

Country of origin: India

Peer-review report’s classification

Scientific Quality: Grade B

Novelty: Grade B

Creativity or Innovation: Grade B

Scientific Significance: Grade B

Open Access: This article is an open-access article that was selected by an in-house editor and fully peer-reviewed by external reviewers. It is distributed in accordance with the Creative Commons Attribution NonCommercial (CC BY-NC 4.0) license, which permits others to distribute, remix, adapt, build upon this work non-commercially, and license their derivative works on different terms, provided the original work is properly cited and the use is non-commercial. See: https://creativecommons.org/Licenses/by-nc/4.0/

P-Reviewer: Cen KY, Academic Fellow, Associate Chief Physician, Malaysia S-Editor: Bai SR L-Editor: A P-Editor: Lei YY

Write to the Help Desk