Copyright
©The Author(s) 2025.
World J Radiol. Nov 28, 2025; 17(11): 113701
Published online Nov 28, 2025. doi: 10.4329/wjr.v17.i11.113701
Published online Nov 28, 2025. doi: 10.4329/wjr.v17.i11.113701
Figure 1 A comparison of traditional energy integrating vs photon-counting detector systems.
A: Energy integrating; B: Photon-counting detector.
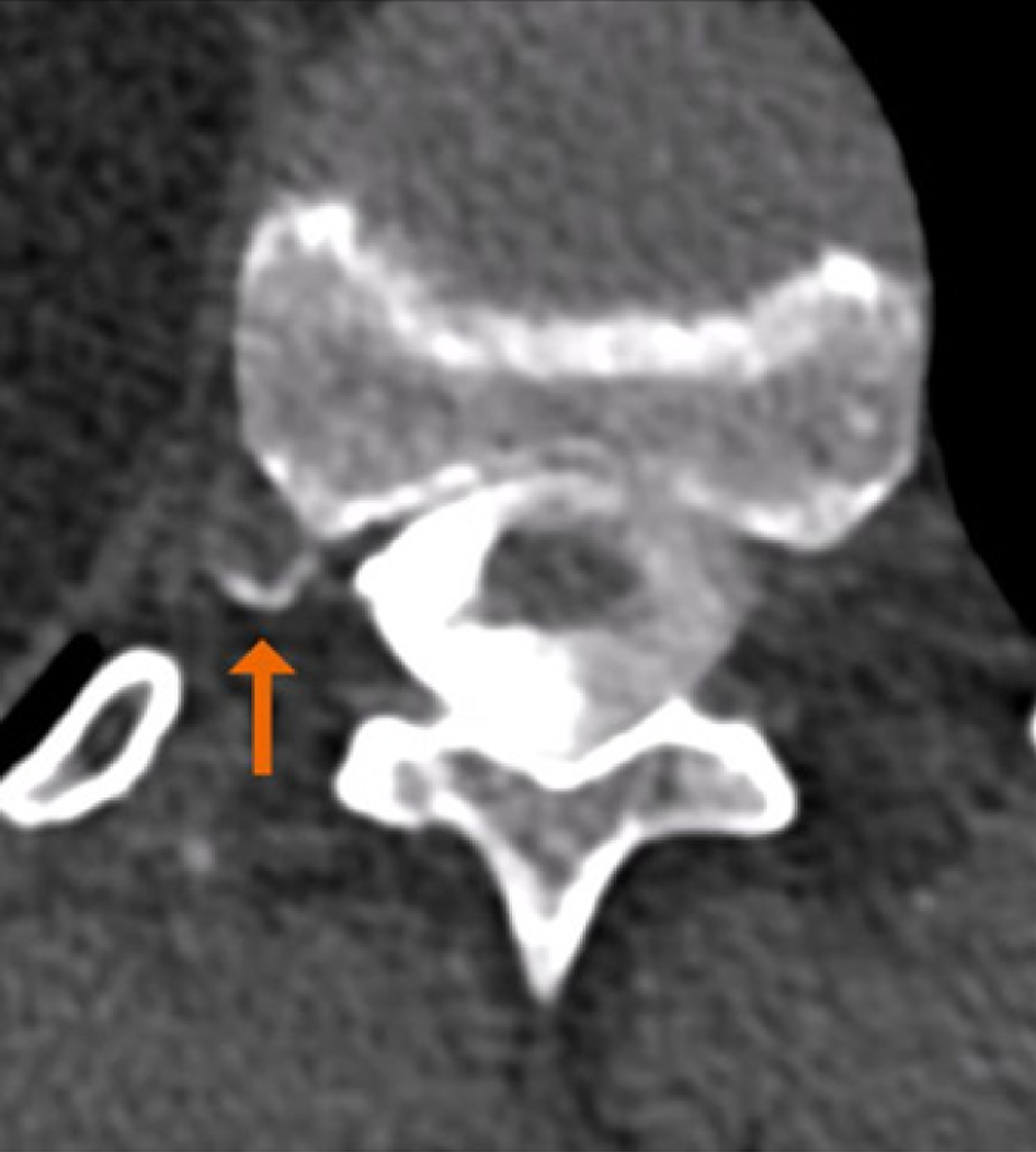
Figure 2 Cerebrospinal fluid-venous fistulas are challenging to detect using conventional computed tomography imaging.
NAEOTOM Alpha makes Cerebrospinal fluid-venous fistulas visible (orange coloured arrow). Copyright ©Siemens Healthineers AG 2024. The authors have obtained the permission (Supplementary material).
Figure 3 Image showing a conventional image of a head computed tomography angiogram (on the left) and its corresponding photon-counting computed tomography version (on the right), which clearly shows a middle cerebral artery stent with in-stent thrombosis.
EID-CT: Energy-integrating detector-computed tomography; PCD-CT: Photon-counting detector-computed tomography; MCA: Middle cerebral artery. Image courtesy of Professor Cynthia H McCollough, Mayo Clinic, Rochester, MN, United States.
Figure 4 On the lumbar spine images acquired on the photon-counting computed tomography (on the left), the metallic artifacts are less evident when compared with conventional computed tomography (on the right).
Figure 5 Direct visualization of the DBS electrode with photon-counting computed tomography without having to rely on streak artifacts that overlap each other with multiple electrodes.
CT: Computed tomography; EID-CT: Energy-integrating detector-computed tomography. Image courtesy of Professor Erik H Middlebrooks, Mayo Clinic, Jacksonville, FL, United States.
Figure 6 Axial high-resolution computed tomography image of the right temporal bone.
On the photon-counting computed tomography image on the right is clearly evident a focus of otospongiosis that cannot be clearly identified on the traditional computed tomography image on the left. Visualized in the form of a hypodense demineralized otosclerotic plaque is noted in the fissula ante fenestram.
- Citation: Perera Molligoda Arachchige AS, Alves GAM, Fedorov D, Ressa G, Cappellini L, Levi R, Savini G, Catapano F, Francone M, Politi LS. Neuroimaging with photon-counting computed tomography: A review of clinical applications. World J Radiol 2025; 17(11): 113701
- URL: https://www.wjgnet.com/1949-8470/full/v17/i11/113701.htm
- DOI: https://dx.doi.org/10.4329/wjr.v17.i11.113701
