BPG is committed to discovery and dissemination of knowledge
Case Report Open Access
Copyright: ©Author(s) 2026. This article is an open access article distributed under the terms and conditions of the Creative Commons Attribution-NonCommercial (CC BY-NC 4.0) license. No commercial re-use. See permissions. Published by Baishideng Publishing Group Inc.
World J Gastrointest Surg. Apr 27, 2026; 18(4): 116138
Published online Apr 27, 2026. doi: 10.4240/wjgs.v18.i4.116138
Appendiceal bleeding caused by angiodysplasia: A case report and review of literature
Jiang-Wei Zhou, Cheng-Feng Jin, Wei-Shang Lei, Wei-Hua Yu, Department of Gastroenterology, The Fourth Affiliated Hospital of School of Medicine, International School of Medicine, International Institutes of Medicine, Zhejiang University, Yiwu 322000, Zhejiang Province, China
Meng-Lu Zhu, Department of Pharmacy, The Fourth Affiliated Hospital of School of Medicine, International School of Medicine, International Institutes of Medicine, Zhejiang University, Yiwu 322000, Zhejiang Province, China
Xi-Ping Yu, Department of Pathology, The Fourth Affiliated Hospital of School of Medicine, International School of Medicine, International Institutes of Medicine, Zhejiang University, Yiwu 322000, Zhejiang Province, China
ORCID number: Jiang-Wei Zhou (0009-0009-6093-8889); Wei-Hua Yu (0000-0002-1510-7279).
Author contributions: Zhou JW conceptualized the study and wrote the original draft; Zhou JW, Jin CF, and Zhu ML performed the investigation; Zhou JW, Jin CF, Lei WS, Zhu ML, Yu XP, and Yu WH reviewed, edited the draft, and carried out data curation; Yu WH supervised the study; all of the authors read and approved the final version of the manuscript to be published.
Supported by Scientific Research Fund of Zhejiang Provincial Education Department, No. Y202352681.
Informed consent statement: Informed written consent was obtained from the patient for publication of this report and any accompanying images.
Conflict-of-interest statement: All authors declare no conflict of interest in publishing the manuscript.
CARE Checklist (2016) statement: The authors have read the CARE Checklist (2016), and the manuscript was prepared and revised according to the CARE Checklist (2016).
Corresponding author: Wei-Hua Yu, MD, Department of Gastroenterology, The Fourth Affiliated Hospital of School of Medicine, International School of Medicine, International Institutes of Medicine, Zhejiang University, N1 Shangcheng Road, Yiwu 322000, Zhejiang Province, China. yuweihua84@zju.edu.cn
Received: November 4, 2025
Revised: November 23, 2025
Accepted: February 4, 2026
Published online: April 27, 2026
Processing time: 171 Days and 22.9 Hours

Abstract
BACKGROUND

Lower gastrointestinal bleeding is a common clinical presentation. However, appendiceal bleeding is exceedingly rare and often results in diagnostic delay or misdiagnosis.

CASE SUMMARY

We report the case of a 28-year-old man presenting with a two-day history of intermittent hematochezia. A colonoscopy revealed continuous fresh blood exuding from the appendiceal orifice. Computed tomography angiography demonstrated active bleeding from the appendix. An immediate laparoscopic appendectomy was performed. Pathological examination indicated that the bleeding originated from vascular dysplasia of the appendix. Postoperatively, no recurrence of bleeding or complications occurred, and the patient was discharged home on postoperative day 3.

CONCLUSION

Appendiceal bleeding is rare. Its cause remains obscure, challenging diagnosis. Colonoscopy is the primary diagnostic tool; appendectomy provides definitive treatment.

Key Words: Appendiceal bleeding; Colonoscopy; Computed tomography angiography; Angiodysplasia; Appendectomy; Case report

Core Tip: Appendiceal bleeding is extremely rare. We reported a case of a young man with hematochezia diagnosed with appendiceal bleeding via colonoscopy and computed tomography angiography. Laparoscopic appendectomy confirmed vascular malformation as the cause. Through literature review, we summarized clinical manifestations, causes, and treatment options, aiming to provide references for clinicians. Endoscopic hemostasis is feasible but carries a risk of appendicitis. Appendectomy is considered the definitive and reliable treatment, especially after failure of conservative treatment or endoscopic management, as it prevents recurrence.



INTRODUCTION

Lower gastrointestinal bleeding (GIB) accounts for 20%-50% of all GIB cases[1]. It most commonly originates from the colon, rectum, and terminal ileum. Appendiceal bleeding is exceedingly rare, accounting for only 0.014% of all GIB cases. Because of its anatomical position and structure, the appendix is difficult to visualize during colonoscopy[2]. In addition, appendiceal bleeding may not be visible at the time of colonoscopy. Hence, in many cases, appendiceal bleeding may be misdiagnosed as obscure GIB. Here, we report a rare case of appendiceal bleeding in a male patient successfully managed with laparoscopic appendectomy. Additionally, we conducted a detailed literature review to discuss the causes, optimal diagnostic approaches, and management strategies for appendicular bleeding.

CASE PRESENTATION
Chief complaints

A 28-year-old man presented to the gastroenterology department with a 48-hour history of intermittent hematochezia.

History of present illness

The patient developed intermittent hematochezia (1-2 times/day) with approximately 5-10 mL of dark red blood accompanying each bowel movement. He denied abdominal pain, fever, or dizziness.

Physical examination upon admission

Vital signs were stable, and the abdomen was soft and non-tender. The patient showed no signs of anemia.

Laboratory examinations

The routine blood examination showed a hemoglobin level of 134 g/L. Routine coagulation parameters were within normal limits.

Imaging examinations

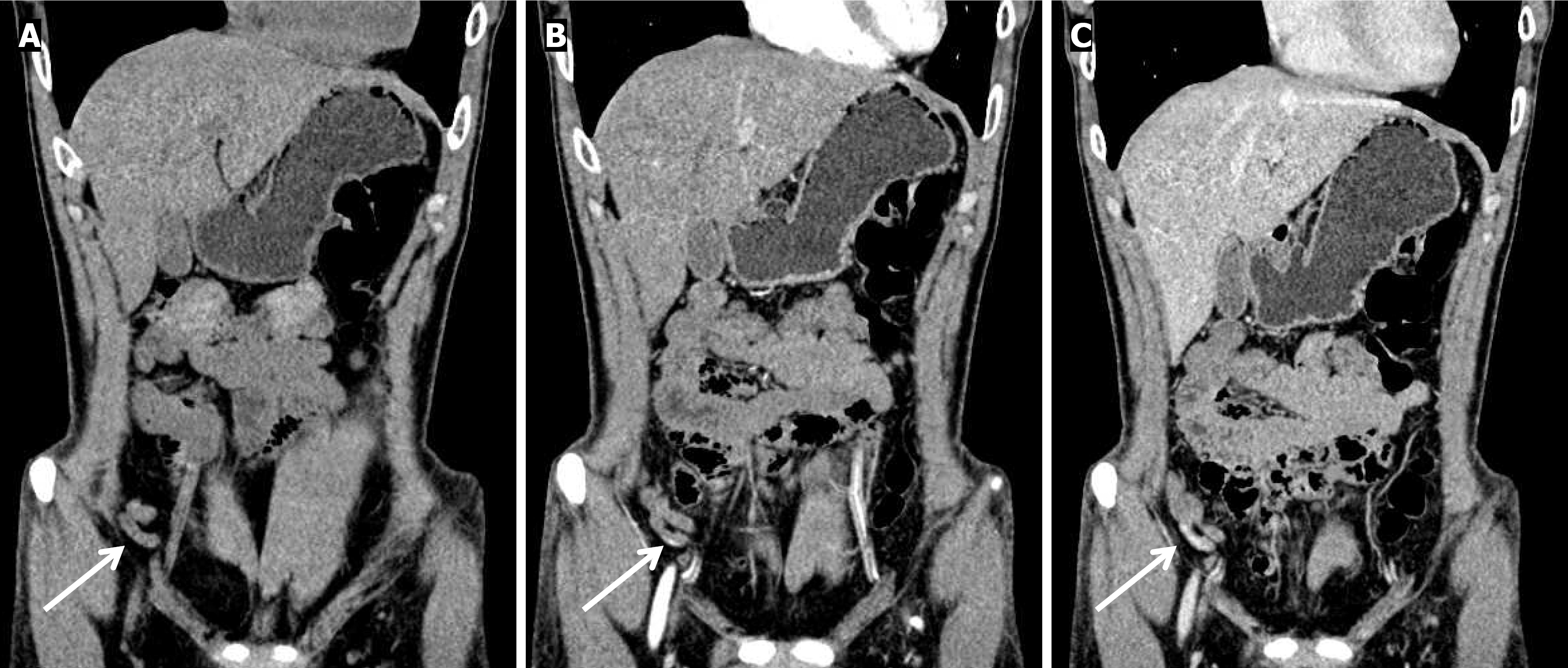
On January 7, 2025, colonoscopy was performed after bowel preparation which revealed a small amount of dark red blood in the colon and minimal bright red blood in the terminal ileum. After repeated water flushing, the mucosa of the terminal ileum appeared smooth, with no blood in the proximal intestinal lumen. On careful examination, fresh bleeding was noted from the appendiceal orifice (Figure 1). Following colonoscopy, emergent computed tomography angiography (CTA) was performed, which demonstrated active bleeding at the appendiceal orifice (Figure 2).

Figure 1
Figure 1 Colonoscopic examination shows bright red blood in the ileocecal region, and a blood clot and blood flowing from the appendix orifice. A: Blood clot at the appendiceal orifice (arrow); B: Extravasation of blood from the orifice of the appendix after flushing (arrow).
Figure 2
Figure 2 Abdominal computed tomography angiography reveals active appendiceal bleeding. A: Computed tomography scan without contrast showing no abnormalities (arrow); B: The arterial phase showing an active contrast leak in the appendix (arrow); C: The venous phase showing progressive enlargement of the contrast leak (arrow).
FINAL DIAGNOSIS

The final diagnosis was appendiceal bleeding.

TREATMENT

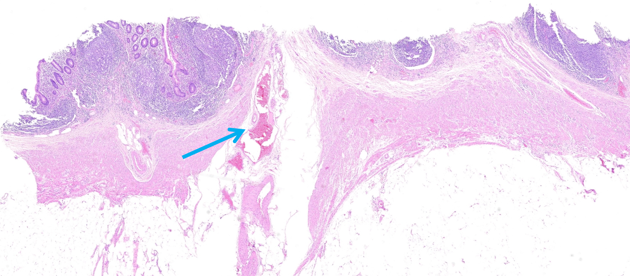
The preoperative routine blood test showed that the hemoglobin level was 114 g/L. The patient underwent an emergency laparoscopic appendectomy. Intraoperatively, the resected appendix measured 5 cm and showed no evidence of gangrene or perforation. There was no blood, fluid or pus in the pelvic cavity. Postoperatively, analgesic and nutritional medications were administered. Histopathological examination of the resected appendix revealed abnormal veins penetrating the muscular layers of the appendix (Figure 3).

Figure 3
Figure 3 The histopathology of the resected specimen. Abnormal veins piercing the muscle layers of the appendix can be seen. Blue arrow: Abnormal veins.
OUTCOME AND FOLLOW-UP

Postoperative recovery was uneventful with no evidence of bleeding. The hemoglobin level on postoperative day 3 was 120 g/L; therefore, he was discharged from hospital. No recurrence of GIB was noted during the six-month follow-up.

DISCUSSION

Lower GIB is relatively common, with approximately 80% of cases originating from the colon and rectum. However, appendiceal bleeding is extremely rare[3]. A PubMed/MEDLINE search of articles published from January 2000 to March 2025 using the terms “appendiceal bleeding” or “appendiceal hemorrhage” identified 37 cases, as summarized in Table 1[2-32]. Appendiceal bleeding was more frequent in males (86.49%), and the median age was 44 years (range: 21-90 years). Thirty-one patients presented with hematochezia as the chief complaint, while six patients presented with melena. The reported causes of appendiceal bleeding included angiodysplasia, ulceration, mucosal erosion, diverticulum, tumors, Dieulafoy’s lesions, and post-appendectomy changes in 23 research reports[2,4-25]. The etiology of appendiceal bleeding remained unknown in approximately 30% cases. Up until now, only 6 cases[6,8,17,19,22,25] of bleeding from the appendix, specifically caused by angiodysplasia have been reported in English literature. Among these, six had hematochezia and one had melena. Reportedly, angiodysplasia, a common vascular malformation of the gastrointestinal tract, often causes recurrent bleeding, but it is more prevalent in older adults[33]. The most common sites of angiodysplastic lesions (54%-81.9%) are the caecum and ascending colon[34]. Seven previously reported cases mostly involved middle-aged and elderly patients. However, the present case is the youngest patient (28 years old) to be reported in the literature till date.

Table 1 Clinical presentation and treatment of appendiceal bleeding reported in the English literature from the year 2000 onwards.
Ref.
Age/sex
Presenting symptom
Diagnostic method
Pathological finding
Treatment
Jiao et al[4], 202524/MHematocheziaEndoscopyAppendiceal ulcerAppendectomy
Tabcheh et al[5], 202479/FHematocheziaEndoscopyAppendiceal ulcerAppendectomy
Ma and Du[6], 202433/FHematocheziaEndoscopyAppendiceal angiodysplasiaAppendectomy
Ma et al[29], 202433/MHematocheziaEndoscopyUnknownAppendectomy
Ikehata et al[7], 202535/FHematocheziaEndoscopyAppendiceal ulcerAppendectomy
Siddiqui et al[27], 202442/MMelenaComputed tomography angiographyUnknownConservative management
Dung et al[2], 202332/MHematocheziaEndoscopyAppendiceal ulcerAppendectomy
Xing et al[8], 202363/MHematocheziaEndoscopyAppendiceal angiodysplasiaAppendectomy
Xing et al[8], 202333/MHematocheziaEndoscopyAppendiceal angiodysplasiaAppendectomy
Xing et al[8], 202348/MMelenaEndoscopyAppendiceal ulcerAppendectomy
Xing et al[8], 202367/MHematocheziaEndoscopyPost-appendectomyColonoscopic clipping
Xing et al[8], 202342/MMelenaEndoscopyUnknownConservative management
Xing et al[8], 202338/MHematocheziaEndoscopyUnknownConservative management
Nakashima et al[9], 202371/MHematocheziaEndoscopyAppendiceal diverticulumColonoscopic clipping failed, appendectomy
Zhou et al[10], 202232/MHematocheziaEndoscopyDieulafoy’s lesionAppendectomy
Liu et al[11], 202232/MHematocheziaEndoscopyAppendiceal ulcerAppendectomy
Karatas et al[12], 202288/MHematocheziaEndoscopyAppendiceal mucinous adenomaAppendectomy
Maeda et al[33], 202190/MMelenaEndoscopyUnknownAppendectomy
Smith et al[26], 202167/MHematocheziaDSAUnknownConservative management failed, embolization failed, appendectomy
Murakami et al[31], 202154/MHematocheziaEndoscopyUnknownAppendectomy
Wijayaratne et al[13], 202173/MHematocheziaEndoscopyAppendiceal mucinous adenomaAppendectomy
Ahn et al[14], 202182/MHematocheziaEndoscopyAcute eosinophilic appendicitisLaparoscopic partial cectomy
Xue et al[15], 202021/FHematocheziaEndoscopyDieulafoy’s lesionAppendectomy
Kim et al[32], 201944/MHematocheziaEndoscopyUnknownAppendectomy
Ogawa et al[16], 201863/MHematocheziaEndoscopyAppendiceal diverticulumAppendectomy
Song et al[28], 201654/MHematocheziaEndoscopyUnknownIntra-appendiceal stent insertion and detachable snare wrapping
Choi et al[17], 201672/MHematocheziaEndoscopyAppendiceal angiodysplasiaAppendectomy
Reynolds et al[18], 201568/MHematocheziaEndoscopyDieulafoy’s lesionAppendectomy
Gu et al[19], 201341/MMelenaEndoscopyAppendiceal angiodysplasiaAppendectomy
Chung and Kim[3], 201170/MHematocheziaEndoscopyUnknownColonoscopic clipping
Chiang et al[20], 201125/MHematocheziaEndoscopyAppendiceal ulcerAppendectomy
Chung and Gao[21], 201133/MHematocheziaEndoscopyAppendiceal mucosal erosionAppendectomy
Park et al[22], 201044/MHematocheziaEndoscopyAppendiceal angiodysplasiaColonoscopic clipping
Park et al[22], 201034/MMelenaEndoscopyUnknownColonoscopic clipping
Baek et al[23], 200942/MHematocheziaEndoscopyAppendiceal mucosal erosionAppendectomy
Kim et al[24], 200756/MHematocheziaEndoscopyGastrointestinal stromal tumorRight hemicolectomy + appendectomy
Kyokane et al[25], 200176/FHematocheziaDSAAppendiceal angiodysplasiaEmbolisation, appendectomy
Current case28/MHematocheziaEndoscopyAppendiceal angiodysplasiaAppendectomy

Appendiceal bleeding poses diagnostic challenges, as it is often difficult to distinguish from ileocecal bleeding. CTA, digital subtraction angiography (DSA), and colonoscopy are commonly employed for the diagnosis of appendiceal bleeding. CTA is suitable for detecting active bleeding, whereas the diagnostic utility of DSA depends on the bleeding rate. Previous case reports suggested that although CTA and DSA may be helpful[25-27], their positive diagnostic yield remains low[8]. Colonoscopy can be useful for detecting appendiceal bleeding, provided there is active bleeding or oozing from the appendiceal orifice during the colonoscopy. Repeated water flushing and meticulous observation during colonoscopy can aid in the diagnosis of appendiceal bleeding. Additionally, with the advent of endosonography, enhanced visualization of the vascular structures within the colonic wall and its surrounding tissues is possible[35], aiding in the diagnosis of vascular malformations, ulcerative lesions, appendiceal tumors and so on. More recently, investigators have attempted to use an ultrathin gastroscope to visualize the appendiceal mucosa and its lumen[4]. This method of visualization of the appendiceal mucosa can also aid in controlling the appendiceal bleeding endoscopically in the same sitting.

Treatment options for appendiceal bleeding include medical therapy, endoscopic therapy, transcatheter arterial embolization, and appendectomy. The choice of treatment generally depends on the patient's overall clinical status and the underlying etiology of the bleeding. Endotherapy with argon plasma coagulation can resolve bleeding in 85% of patients with colonic angiodysplasia[34]. On similar lines, the appendiceal bleeding due to vascular malformations can be controlled using an ultrathin gastroscope[4] or cholangioscope[36]. Currently, endoscopic retrograde appendicitis therapy[37], an endoscopic technology for appendiceal diseases, has proven to be effective in the treatment of acute appendicitis and appendix-related conditions. Technologies like endoscopic retrograde appendicitis therapy integrated with cholangioscope may be highly useful for diagnosing and treating appendiceal bleeding. As summarized in Table 1, the reported patients were initially managed with conservative treatment, endoscopic therapy, or arterial embolization[8,22,27]. One case reported successful hemostasis by intra-appendiceal stent insertion combined with detachable snare wrapping[28]. However, in case of failure, appendectomy was performed[9,25,26]. Appendectomy remains the treatment of choice for most investigators, as it is reliable, effective, and provides the most definitive management. In our case, topical hemostatic agents were used during colonoscopy, but the effect was considered suboptimal. Notably, because the appendix has secretory functions, partial obstruction of the appendiceal orifice by colonoscopic clipping or embolization of the appendiceal artery carries the risk of acute appendicitis and recurrent hemorrhage[9]. Therefore, after consultation with the general surgery team, an emergent laparoscopic appendectomy was performed. On postoperative day 3, the patient was discharged, and no recurrence of hematochezia was observed during the six-month follow-up.

CONCLUSION

Appendiceal bleeding is rare, and its diagnosis is challenging due to its rarity and the absence of established guidelines. Colonoscopy and CTA can be very useful in detecting appendiceal bleeding as seen in the present case. Overall, it generally carries a favorable prognosis, and currently, appendectomy remains the primary treatment, serving both therapeutic and diagnostic purposes. In the future, with the rapid development of endoscopic-related technologies, the diagnosis and treatment of appendiceal diseases via direct visualization will be greatly improved, offering new solutions for managing appendiceal bleeding.

References
1.  Marion Y, Lebreton G, Le Pennec V, Hourna E, Viennot S, Alves A. The management of lower gastrointestinal bleeding. J Visc Surg. 2014;151:191-201.  [RCA]  [PubMed]  [DOI]  [Full Text]  [Cited by in Crossref: 41]  [Cited by in RCA: 29]  [Article Influence: 2.4]  [Reference Citation Analysis (0)]
2.  Dung LT, Hung ND, Phuong LTH, Khuong NH, Thien LQ, Duy NQ, Nhu TN, Duc NM. Appendiceal hemorrhage: An uncommon cause of lower gastrointestinal tract bleeding and intraluminal contrast extravasation. Radiol Case Rep. 2023;18:2232-2236.  [RCA]  [PubMed]  [DOI]  [Full Text]  [Full Text (PDF)]  [Cited by in Crossref: 3]  [Cited by in RCA: 5]  [Article Influence: 1.7]  [Reference Citation Analysis (0)]
3.  Chung IH, Kim KH. A case of successful colonoscopic treatment of acute appendiceal bleeding by endoclips. J Korean Soc Coloproctol. 2011;27:329-332.  [RCA]  [PubMed]  [DOI]  [Full Text]  [Full Text (PDF)]  [Cited by in Crossref: 13]  [Cited by in RCA: 10]  [Article Influence: 0.7]  [Reference Citation Analysis (0)]
4.  Jiao C, Liu C, Yang Z, Zhou H, Fu Y. Endoscopic observation of acute appendiceal hemorrhage: A case report. Endoscopy. 2025;57:E77-E78.  [RCA]  [PubMed]  [DOI]  [Full Text]  [Cited by in RCA: 2]  [Reference Citation Analysis (0)]
5.  Tabcheh A, Salem J, Zodeh K, Ghazale A. Appendiceal Bleeding, A Rare Yet Important Cause of Lower Gastrointestinal Bleed. Eur J Case Rep Intern Med. 2024;11:004683.  [RCA]  [PubMed]  [DOI]  [Full Text]  [Full Text (PDF)]  [Cited by in RCA: 1]  [Reference Citation Analysis (0)]
6.  Ma Q, Du JJ. Appendiceal bleeding caused by vascular malformation: A case report. World J Clin Cases. 2024;12:2457-2462.  [RCA]  [PubMed]  [DOI]  [Full Text]  [Full Text (PDF)]  [Cited by in RCA: 2]  [Reference Citation Analysis (0)]
7.  Ikehata A, Sato I, Nakayama M, Ono S. Granulomatous Appendicitis with Massive Hematochezia. Intern Med. 2025;64:2255-2256.  [RCA]  [PubMed]  [DOI]  [Full Text]  [Full Text (PDF)]  [Cited by in RCA: 1]  [Reference Citation Analysis (0)]
8.  Xing XC, Yang JL, Xiao X. Clinical features, treatments and prognosis of appendiceal bleeding: a case series study. BMC Gastroenterol. 2023;23:377.  [RCA]  [PubMed]  [DOI]  [Full Text]  [Full Text (PDF)]  [Cited by in Crossref: 3]  [Cited by in RCA: 10]  [Article Influence: 3.3]  [Reference Citation Analysis (0)]
9.  Nakashima T, Sano B, Ikawa A, Tawada K, Shinoda T, Ohno S, Tachikawa R. A case of laparoscopic appendectomy for appendiceal bleeding. Surg Case Rep. 2023;9:179.  [RCA]  [PubMed]  [DOI]  [Full Text]  [Full Text (PDF)]  [Cited by in RCA: 4]  [Reference Citation Analysis (0)]
10.  Zhou SY, Guo MD, Ye XH. Appendiceal bleeding: A case report. World J Clin Cases. 2022;10:6314-6318.  [RCA]  [PubMed]  [DOI]  [Full Text]  [Full Text (PDF)]  [Cited by in RCA: 7]  [Reference Citation Analysis (0)]
11.  Liu Z, Hou R, Bai X. The culprit of turbulent lower gastrointestinal bleeding: The appendiceal ulcer. Asian J Surg. 2022;45:2761-2762.  [RCA]  [PubMed]  [DOI]  [Full Text]  [Cited by in RCA: 4]  [Reference Citation Analysis (0)]
12.  Karatas M, Simsek C, Gunay S, Zengel B, Okut G, Yıldırım AM, Vardar E, Uslu A. Acute lower gastrointestinal bleeding due to low-grade mucinous neoplasm of appendix. Acta Chir Belg. 2022;122:357-360.  [RCA]  [PubMed]  [DOI]  [Full Text]  [Cited by in Crossref: 2]  [Cited by in RCA: 5]  [Article Influence: 1.3]  [Reference Citation Analysis (0)]
13.  Wijayaratne HWTD, Fernando KJA, Matheeshan T. A Case Report on Life-Threatening Lower Gastrointestinal Bleeding: A Rare Presentation of Mucinous Adenocarcinoma of the Appendix. Case Rep Surg. 2021;2021:2349737.  [RCA]  [PubMed]  [DOI]  [Full Text]  [Full Text (PDF)]  [Cited by in RCA: 4]  [Reference Citation Analysis (0)]
14.  Ahn SR, Lee JH. Acute Eosinophilic Appendicitis: A Rare Cause of Lower Gastrointestinal Hemorrhage. Korean J Gastroenterol. 2021;78:134-137.  [RCA]  [PubMed]  [DOI]  [Full Text]  [Full Text (PDF)]  [Cited by in Crossref: 2]  [Cited by in RCA: 3]  [Article Influence: 0.6]  [Reference Citation Analysis (0)]
15.  Xue M, Weng WH, Wang LJ. An Unusual Cause of Acute Massive Lower Gastrointestinal Bleeding. Gastroenterology. 2020;158:1550-1551.  [RCA]  [PubMed]  [DOI]  [Full Text]  [Cited by in Crossref: 8]  [Cited by in RCA: 7]  [Article Influence: 1.2]  [Reference Citation Analysis (0)]
16.  Ogawa Y, Asayama N, Nagata S. Acute gastrointestinal bleeding from appendiceal diverticulitis diagnosed preoperatively by combined short-interval computed tomography and colonoscopy: A case report. Dig Endosc. 2018;30:392-394.  [RCA]  [PubMed]  [DOI]  [Full Text]  [Cited by in Crossref: 1]  [Cited by in RCA: 6]  [Article Influence: 0.8]  [Reference Citation Analysis (0)]
17.  Choi JM, Lee SH, Lee SH, Ahn BK, Baek SU. Hematochezia due to Angiodysplasia of the Appendix. Ann Coloproctol. 2016;32:117-119.  [RCA]  [PubMed]  [DOI]  [Full Text]  [Full Text (PDF)]  [Cited by in Crossref: 14]  [Cited by in RCA: 13]  [Article Influence: 1.3]  [Reference Citation Analysis (0)]
18.  Reynolds JK, Mejia VA. Appendiceal Dieulafoy lesion: an unusual cause of massive lower gastrointestinal bleeding. Am Surg. 2015;81:E18-E19.  [PubMed]  [DOI]
19.  Gu MJ, Choi JH, Kim SH. Atypical florid vascular proliferation in appendix: a diagnostic dilemma. Diagn Pathol. 2013;8:12.  [RCA]  [PubMed]  [DOI]  [Full Text]  [Full Text (PDF)]  [Cited by in Crossref: 11]  [Cited by in RCA: 8]  [Article Influence: 0.6]  [Reference Citation Analysis (0)]
20.  Chiang CC, Tu CW, Liao CS, Shieh MC, Sung TC. Appendiceal hemorrhage -- an uncommon cause of lower gastrointestinal bleeding. J Chin Med Assoc. 2011;74:277-279.  [RCA]  [PubMed]  [DOI]  [Full Text]  [Cited by in Crossref: 6]  [Cited by in RCA: 9]  [Article Influence: 0.6]  [Reference Citation Analysis (0)]
21.  Chung KS, Gao JP. Massive lower gastrointestinal bleeding from the appendix. Gut Liver. 2011;5:234-237.  [RCA]  [PubMed]  [DOI]  [Full Text]  [Full Text (PDF)]  [Cited by in Crossref: 6]  [Cited by in RCA: 12]  [Article Influence: 0.8]  [Reference Citation Analysis (0)]
22.  Park I, Kwon CI, Ko KH, Hong SP, Park PW. Colonoscopic clipping as a treatment for appendiceal bleeding. Gut Liver. 2010;4:411-414.  [RCA]  [PubMed]  [DOI]  [Full Text]  [Cited by in Crossref: 3]  [Cited by in RCA: 8]  [Article Influence: 0.5]  [Reference Citation Analysis (0)]
23.  Baek SK, Kim YH, Kim SP. Acute lower gastrointestinal bleeding due to appendiceal mucosal erosion. Surg Laparosc Endosc Percutan Tech. 2009;19:e211-e214.  [RCA]  [PubMed]  [DOI]  [Full Text]  [Cited by in Crossref: 6]  [Cited by in RCA: 11]  [Article Influence: 0.6]  [Reference Citation Analysis (0)]
24.  Kim KJ, Moon W, Park MI, Park SJ, Lee SH, Chun BK. Gastrointestinal stromal tumor of appendix incidentally diagnosed by appendiceal hemorrhage. World J Gastroenterol. 2007;13:3265-3267.  [RCA]  [PubMed]  [DOI]  [Full Text]  [Full Text (PDF)]  [Cited by in CrossRef: 18]  [Cited by in RCA: 18]  [Article Influence: 0.9]  [Reference Citation Analysis (0)]
25.  Kyokane T, Akita Y, Katayama M, Kitagawa Y, Sato T, Shichino S, Nimura Y. Angiodysplasia of the appendix. Am J Gastroenterol. 2001;96:242-244.  [RCA]  [PubMed]  [DOI]  [Full Text]  [Cited by in Crossref: 36]  [Cited by in RCA: 23]  [Article Influence: 0.9]  [Reference Citation Analysis (0)]
26.  Smith EJ, Coventry C, Taylor J, De'ath H, Haque A. A case of endovascular management to gain control of a lower gastrointestinal haemorrhage caused by appendiceal artery bleeding. J Surg Case Rep. 2021;2021:rjab204.  [RCA]  [PubMed]  [DOI]  [Full Text]  [Full Text (PDF)]  [Cited by in Crossref: 6]  [Cited by in RCA: 5]  [Article Influence: 1.0]  [Reference Citation Analysis (0)]
27.  Siddiqui A, Zafar N, Hakiminezhad M, Jamal Z, Alam I, Khawaja Z. Beyond the Usual Suspects: Appendiceal Bleeding as the Surprising Cause of Lower Gastrointestinal (GI) Bleeding. Cureus. 2024;16:e76663.  [RCA]  [PubMed]  [DOI]  [Full Text]  [Cited by in RCA: 3]  [Reference Citation Analysis (0)]
28.  Song JH, Ko WJ, Song GW, Hahm KB, Cho JY. Urgent hemostasis of active appendiceal bleeding by intra-appendiceal stent insertion and detachable snare wrapping. Gastrointest Endosc. 2016;84:740-741.  [RCA]  [PubMed]  [DOI]  [Full Text]  [Cited by in Crossref: 1]  [Cited by in RCA: 3]  [Article Influence: 0.3]  [Reference Citation Analysis (0)]
29.  Ma C, Liu Y, Zhu P. Appendiceal bleeding: a rare cause of lower gastrointestinal bleeding. J Gastrointest Surg. 2024;28:1732-1734.  [RCA]  [PubMed]  [DOI]  [Full Text]  [Cited by in Crossref: 1]  [Cited by in RCA: 2]  [Article Influence: 1.0]  [Reference Citation Analysis (0)]
30.  Maeda Y, Saito S, Ohuchi M, Tamaoki Y, Nasu J, Baba H. Appendiceal bleeding in an elderly male: a case report and a review of the literature. Surg Case Rep. 2021;7:147.  [RCA]  [PubMed]  [DOI]  [Full Text]  [Cited by in Crossref: 14]  [Cited by in RCA: 11]  [Article Influence: 2.2]  [Reference Citation Analysis (0)]
31.  Murakami D, Harada H, Amano Y. An unexpected cause of lower gastrointestinal bleeding. Clin Case Rep. 2021;9:586-587.  [RCA]  [PubMed]  [DOI]  [Full Text]  [Full Text (PDF)]  [Cited by in Crossref: 1]  [Cited by in RCA: 4]  [Article Influence: 0.8]  [Reference Citation Analysis (0)]
32.  Kim DH, Lee JH, Kim D, Hwang S, Kang K, Koo JS. [Acute Suppurative Appendicitis Diagnosed by Acute Lower Gastrointestinal Hemorrhage]. Korean J Gastroenterol. 2019;73:45-49.  [RCA]  [PubMed]  [DOI]  [Full Text]  [Cited by in Crossref: 2]  [Cited by in RCA: 5]  [Article Influence: 0.7]  [Reference Citation Analysis (0)]
33.  Jackson CS, Strong R. Gastrointestinal Angiodysplasia: Diagnosis and Management. Gastrointest Endosc Clin N Am. 2017;27:51-62.  [RCA]  [PubMed]  [DOI]  [Full Text]  [Cited by in Crossref: 55]  [Cited by in RCA: 36]  [Article Influence: 4.0]  [Reference Citation Analysis (1)]
34.  Sami SS, Al-Araji SA, Ragunath K. Review article: gastrointestinal angiodysplasia - pathogenesis, diagnosis and management. Aliment Pharmacol Ther. 2014;39:15-34.  [RCA]  [PubMed]  [DOI]  [Full Text]  [Cited by in Crossref: 211]  [Cited by in RCA: 160]  [Article Influence: 13.3]  [Reference Citation Analysis (0)]
35.  Irisawa A, Nagashima K, Yamamiya A, Abe Y, Maki T, Kashima K, Kunogi Y, Fukushi K, Sakuma F, Inaba Y, Tominaga K. Endoscopic ultrasound-guided vascular interventions. Dig Endosc. 2025;37:85-92.  [RCA]  [PubMed]  [DOI]  [Full Text]  [Cited by in RCA: 5]  [Reference Citation Analysis (0)]
36.  Schaefer M. Beyond the end: a cholangioscope in the appendix - a new tool for the management of acute appendicitis? Endoscopy. 2022;54:401-402.  [RCA]  [PubMed]  [DOI]  [Full Text]  [Cited by in RCA: 4]  [Reference Citation Analysis (0)]
37.  Yang B, Kong L, Ullah S, Zhao L, Liu D, Li D, Shi X, Jia X, Dalal P, Liu B. Endoscopic retrograde appendicitis therapy versus laparoscopic appendectomy for uncomplicated acute appendicitis. Endoscopy. 2022;54:747-754.  [RCA]  [PubMed]  [DOI]  [Full Text]  [Full Text (PDF)]  [Cited by in Crossref: 62]  [Cited by in RCA: 54]  [Article Influence: 13.5]  [Reference Citation Analysis (0)]
Footnotes

Peer review: Externally peer reviewed.

Peer-review model: Single blind

Specialty type: Gastroenterology and hepatology

Country of origin: China

Peer-review report’s classification

Scientific quality: Grade B

Novelty: Grade B

Creativity or innovation: Grade B

Scientific significance: Grade B

P-Reviewer: Cheng WH, MD, China S-Editor: Luo ML L-Editor: A P-Editor: Zhang L

Write to the Help Desk