BPG is committed to discovery and dissemination of knowledge
Case Report Open Access
Copyright: ©Author(s) 2026. This article is an open access article distributed under the terms and conditions of the Creative Commons Attribution-NonCommercial (CC BY-NC 4.0) license. No commercial re-use. See permissions. Published by Baishideng Publishing Group Inc.
World J Gastrointest Surg. Apr 27, 2026; 18(4): 115698
Published online Apr 27, 2026. doi: 10.4240/wjgs.v18.i4.115698
Loop ileostomy-induced reversible nonalcoholic fatty liver disease in a rectal cancer patient: A case report and review of literature
Yong-Kang Liang, Ju-He Zhang, Song Liang, Shen-Wei Wu, Xue-Yi Feng, Department of General Surgery, Lu’an Hospital of Anhui Medical University (Lu’an People’s Hospital of Anhui Province), Lu’an 237005, Anhui Province, China
ORCID number: Yong-Kang Liang (0009-0000-9040-3441); Xue-Yi Feng (0009-0009-8524-7291).
Co-first authors: Yong-Kang Liang and Ju-He Zhang.
Co-corresponding authors: Shen-Wei Wu and Xue-Yi Feng.
Author contributions: Liang YK and Zhang JH contributed equally to manuscript writing and editing, and data collection; they made equal contributions; Liang S contributed to conceptualization and supervision; Feng XY and Wu SW contributed equally to revising the article and supervision; all authors have read and approved the final manuscript.
Supported by Bengbu Medical University Research Fund, No. 2024byzd288.
Informed consent statement: Written informed consent was obtained from the participant for both participation and publication of clinical data.
Conflict-of-interest statement: All the authors report no relevant conflicts of interest for this article.
CARE Checklist (2016) statement: The authors have read the CARE Checklist (2016), and the manuscript was prepared and revised according to the CARE Checklist (2016).
Corresponding author: Xue-Yi Feng, MD, PhD, Department of General Surgery, Lu’an Hospital of Anhui Medical University (Lu’an People’s Hospital of Anhui Province), No. 21 West Wanxi Road, Lu’an 237005, Anhui Province, China. fxy514270277@126.com
Received: October 24, 2025
Revised: December 4, 2025
Accepted: February 12, 2026
Published online: April 27, 2026
Processing time: 183 Days and 4.3 Hours

Abstract
BACKGROUND

Loop ileostomy is routinely performed in colorectal surgery to decrease the risk of anastomotic leakage. Its short- and long-term complications, such as renal impairment, dehydration, and microbial dysbiosis, are well recognized, but its potential metabolic effects have been largely overlooked. Notably, the development and spontaneous resolution of nonalcoholic fatty liver disease (NAFLD) in association with loop ileostomy has not been previously documented.

CASE SUMMARY

A 41-year-old man with a 2-month history of hematochezia underwent laparoscopic total mesorectal excision with loop ileostomy, followed by six cycles of adjuvant oxaliplatin and capecitabine chemotherapy. Surveillance computed tomography at 6 months and 9 months postoperatively showed new-onset hepatic steatosis, with no evidence of alcohol use or other secondary causes. Ileostomy reversal was performed 9 months after initial surgery. Remarkably, hepatic steatosis resolved completely within 3 months following stoma closure. During this period, serial assessments revealed dynamic changes in body mass index, serum lipid levels, and appetite scores. Postprandial levels of glucagon-like peptide-1 and peptide YY(3-36) were suppressed during ileostomy and rose significantly after reversal. These findings suggest a reversible metabolic disturbance potentially mediated by altered gut hormone signaling. At 27-month follow-up, the patient remained free of hepatic steatosis and cancer recurrence. This case highlights a previously unrecognized association between loop ileostomy and reversible NAFLD.

CONCLUSION

Loop ileostomy may induce reversible NAFLD via appetite stimulation and hormonal changes involving glucagon-like peptide-1 and peptide YY(3-36).

Key Words: Nonalcoholic fatty liver disease; Rectal cancer; Loop ileostomy; Glucagon-like peptide 1; Peptide YY(3-36); Case report

Core Tip: This case highlights a rare, reversible occurrence of nonalcoholic fatty liver disease following loop ileostomy in a rectal cancer patient. The temporal association between ileostomy, increased appetite, dyslipidemia, and fluctuations in glucagon-like peptide 1 and peptide YY(3-36) levels suggests a potential metabolic impact of ileostomy. These findings introduce a novel hypothesis linking gastrointestinal anatomical changes to hepatic lipid accumulation, warranting further mechanistic investigation.



INTRODUCTION

Nonalcoholic fatty liver disease (NAFLD) is defined as hepatic steatosis in the absence of significant alcohol consumption or exposure to steatogenic medications[1]. NAFLD has emerged as one of the most prevalent chronic liver disorders worldwide, currently affecting approximately 25% of the global adult population[2]. Its prevalence has shown a marked upward trend over time, increasing from 25.5% (20.1%-31.0%) before or in 2005 to 37.8% (32.4%-43.3%) in 2016 or later[3]. The primary driver of NAFLD is overnutrition, which readily leads to excessive fat accumulation in the body[4]. Loop ileostomy is a commonly used surgical technique in colorectal procedures, particularly for mid-to-low rectal cancers, to divert fecal flow and reduce the risk of anastomotic leakage[5,6]. Although several complications of loop ileostomy have been well documented, including dehydration[7-9], renal dysfunction[10-12], and microbial dysbiosis[13,14], the metabolic consequences of temporary intestinal diversion have received little attention. In particular, its potential influence on appetite regulation, body composition, and hepatic lipid metabolism has not been systematically described. Here, we report a rare case of reversible NAFLD that developed following laparoscopic total mesorectal excision (TME) with loop ileostomy for rectal cancer and subsequently resolved after stoma closure. Serial computed tomography (CT) imaging demonstrated the dynamic progression and resolution of hepatic steatosis. In parallel, the patient exhibited significant changes in body mass index (BMI), serum lipid profiles, and appetite, as assessed by the visual analog scale (VAS), as well as marked alterations in gastrointestinal hormone levels, particularly glucagon-like peptide (GLP)-1 and peptide YY(3-36) [PYY(3-36)]. This case provides novel insights into a potential link between loop ileostomy and hepatic lipid accumulation, suggesting that endocrine alterations triggered by intestinal diversion may play an under-recognized role in metabolic homeostasis. Further investigation is warranted to explore the mechanisms underlying this phenomenon and its clinical implications.

CASE PRESENTATION
Chief complaints

A 41-year-old man presented with hematochezia for 2 months.

History of present illness

The patient presented with painless hematochezia of 2 months’ duration, without associated symptoms such as hematemesis, nausea, vomiting, fatigue, dizziness, or significant weight loss. He was subsequently admitted for further evaluation. Colonoscopy revealed a rectal mass, and histopathological examination of biopsy specimens confirmed the diagnosis of rectal adenocarcinoma. Surgical management was planned following staging workup.

History of past illness

No history of chronic illnesses, including hypertension, diabetes, or cardiovascular disease.

Personal and family history

No alcohol consumption, smoking, or family history of malignant tumors.

Physical examination

On physical examination, the patient exhibited no superficial lymphadenopathy, scleral icterus, or skin abnormalities. The abdomen was soft, nontender, with no palpable masses, hepatosplenomegaly, or peritoneal signs. Digital rectal examination, performed in the left lateral decubitus position, revealed a firm, irregular mass on the anterior rectal wall, located approximately 7 cm from the anal verge. The inferior margin was palpable, while the superior margin was not; the lesion was mobile and not fixed to adjacent structures. Anal sphincter tone was preserved, and no perianal lesions, blood, or mucus were noted. Serial assessment of BMI demonstrated marked fluctuations across the treatment course. Preoperative BMI was 24.8 kg/m2, which decreased to 22.7 kg/m2 3 months after initial surgery, followed by a progressive increase to 26.6 kg/m2 by postoperative month 9. At the 18th-month follow-up after ileostomy reversal, BMI declined again, to 24.1 kg/m2 (Table 1). To minimize the impact of chemotherapy on appetite assessment, the patient’s appetite during chemotherapy was evaluated before the start of the next cycle of chemotherapy. The method for appetite assessment was the VAS as reported by Flint et al[15]. The patient’s preoperative VAS score for appetite was 7.5. Postoperatively, the score decreased to 6.5 at 3 months but subsequently increased to 8.0 by 6 months and peaked at 9.0 at 9 months. VAS scores gradually declined following ileostomy reversal, which took place 9 months after initial surgery, reaching 7.0, 7.3, 7.8, and 7.6 at 12, 15, 18, and 27 months after initial surgery, respectively - values close to the preoperative baseline (Table 1).

Table 1 The results of body mass index, general laboratory investigations, appetite scores, glucagon-like peptide 1, and peptide YY(3-36) before and after surgery.
Before surgeryAfter initial surgery
(months)
After reversal surgery
(months)
3
6
9
3
6
9
18
BMI24.8022.6824.0926.5724.8024.0923.7423.38
VAS7.56.58.09.07.07.37.87.6
TCH (mmol/L)4.724.534.865.564.954.784.554.48
TG (mmol/L)1.81.621.952.542.131.981.651.7
LDL (mmol/L)3.423.153.624.153.783.252.882.86
HDL (mmol/L)0.851.060.880.740.851.021.151.05
FBG (mmol/L)5.24.54.85.64.84.95.35.5
HbA1c5.4%4.8%5.0%4.9%5.2%5.4%5.6%4.7%
ALT (U/L)20.326.135.330.724.135.332.323.9
AST (U/L)15.618.920.122.014.013.421.727.7
ALP (U/L)82.455.478.863.354.842.274.685.6
GGT (U/L)35.232.520.719.930.219.824.541.3
GLP-1 (pg/mL) (fasting)--20.623.625.526.424.325.8
GLP-1 (pg/mL) (postprandial)--40.842.765.470.667.968.2
Laboratory examinations

Routine preoperative laboratory investigations, including complete blood count and liver and renal function tests, were within normal limits prior to both surgical procedures. Specifically, fasting glucose levels were 5.2 mmol/L preoperatively, 4.5-5.6 mmol/L during ileostomy, and 4.9-5.5 mmol/L after reversal; glycated hemoglobin A1c was 5.4% preoperatively and remained stable throughout follow-up. Comprehensive hepatobiliary panel showed normal alanine aminotransferase, aspartate aminotransferase, alkaline phosphatase, and gamma-glutamyl transferase levels at all time points. Serum tumor markers - carcinoembryonic antigen and carbohydrate antigen 19-9 - also remained within normal ranges throughout the preoperative and postoperative periods. Longitudinal assessment of serum lipid profiles revealed significant fluctuations associated with ileostomy status. By postoperative month 9, levels of total cholesterol (TCH), triglycerides (TG), and low-density lipoprotein cholesterol (LDL-C) had markedly increased (TCH: 5.56 mmol/L; TG: 2.54 mmol/L; LDL-C: 4.15 mmol/L), while high-density lipoprotein cholesterol declined to 0.74 mmol/L. Following ileostomy reversal, these parameters progressively normalized over the subsequent months, returning to baseline by month 18 (TCH: 4.55 mmol/L; TG: 1.65 mmol/L; LDL-C: 2.88 mmol/L; high-density lipoprotein cholesterol: 1.15 mmol/L) (Table 1). In response to the onset of hepatic steatosis, serum concentrations of the gut hormones GLP-1 and PYY(3-36) were measured starting at month 6. The fasting/postprandial concentrations were 20.6/40.8 pg/mL for GLP-1 and 32.4/50.6 pg/mL for PYY(3-36) before ileostomy reversal. Ileostomy reversal elicited differential hormonal responses. By month 3 after ileostomy reversal, postprandial GLP-1 (52.1 pg/mL) and PYY(3-36) (61.3 pg/mL) showed sustained elevation compared to preoperative baselines [GLP-1: 38.5 pg/mL; PYY(3-36): 47.2 pg/mL], while fasting concentrations maintained preoperative ranges [GLP-1: 18.9 pg/mL vs 19.3 pg/mL; PYY(3-36): 30.1 pg/mL vs 29.8 pg/mL] (Table 1).

Imaging examinations

Colonoscopy revealed a 3.5-cm ulcerated, circumferential mass with irregular borders, located approximately 7 cm from the anal verge, consistent with features of malignancy. Histopathological analysis of biopsy specimens confirmed a moderately differentiated adenocarcinoma. Preoperative contrast-enhanced CT of the chest and abdomen demonstrated localized thickening of the rectal wall, without evidence of distant metastasis, including the liver and lungs. Pelvic magnetic resonance imaging identified a mid-rectal lesion with a negative circumferential resection margin (CRM) and no pelvic lateral lymphadenopathy (Figure 1). Baseline unenhanced abdominal CT showed no evidence of hepatic steatosis: Mean hepatic attenuation was 63.8 HU and the liver-to-spleen attenuation difference was 10.4 HU; both well within the normal range. Follow-up unenhanced CT at 6 months and 9 months after surgery revealed newly developed diffuse hepatic steatosis, with mean hepatic attenuation dropping to 27.4 HU and 20.6 HU, respectively, while splenic attenuation remained stable at 45.2 HU and 46.1 HU. After ileostomy reversal, serial CT scans at 3, 6, 9, and 18 months revealed progressive resolution of fatty liver, with complete normalization by 3 months and no recurrence thereafter (Figure 2). Postoperative pathology confirmed moderately differentiated adenocarcinoma with no lymph node metastasis (0/12), and the pathological stage was pT3N0M0. Both the CRM and stapler resection margins were negative.

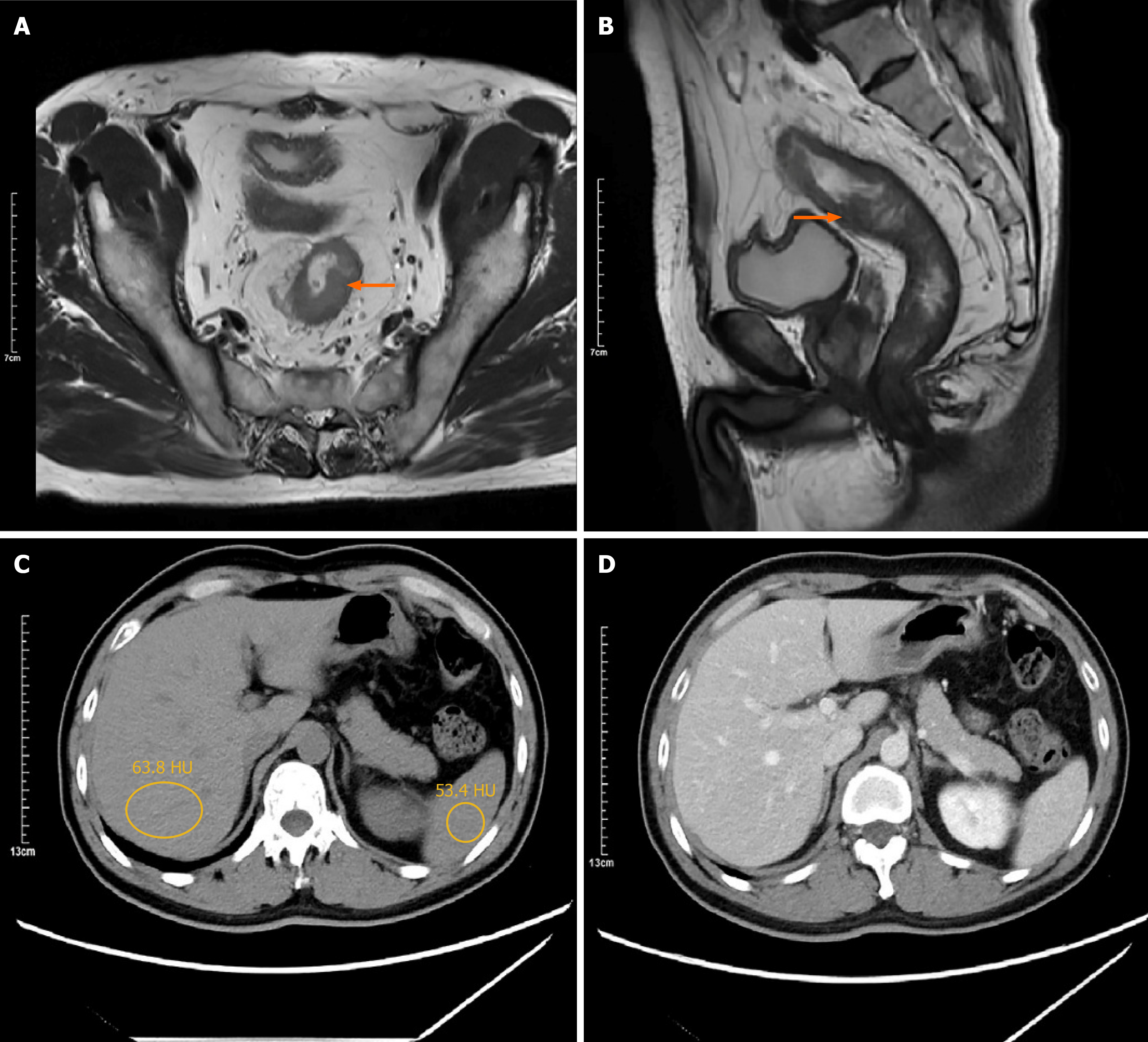
Figure 1
Figure 1 Preoperative abdominal computed tomography and magnetic resonance imaging. A: The transverse image shows a rectal lesion (indicated by the orange arrow) in the middle segment of the rectum with no obvious lymph node metastasis; B: The sagittal image clearly demonstrates the lesion in the middle rectal segment (orange arrow) and further confirms the absence of significant lymph node metastasis; C: The plain abdominal computed tomography scan indicates no significant liver metastasis (the circle mean hepatic attenuation: 63.8 HU; splenic attenuation: 53.4 HU); D: The contrast-enhanced abdominal computed tomography scan further confirms the absence of significant metastatic lesions in the liver.
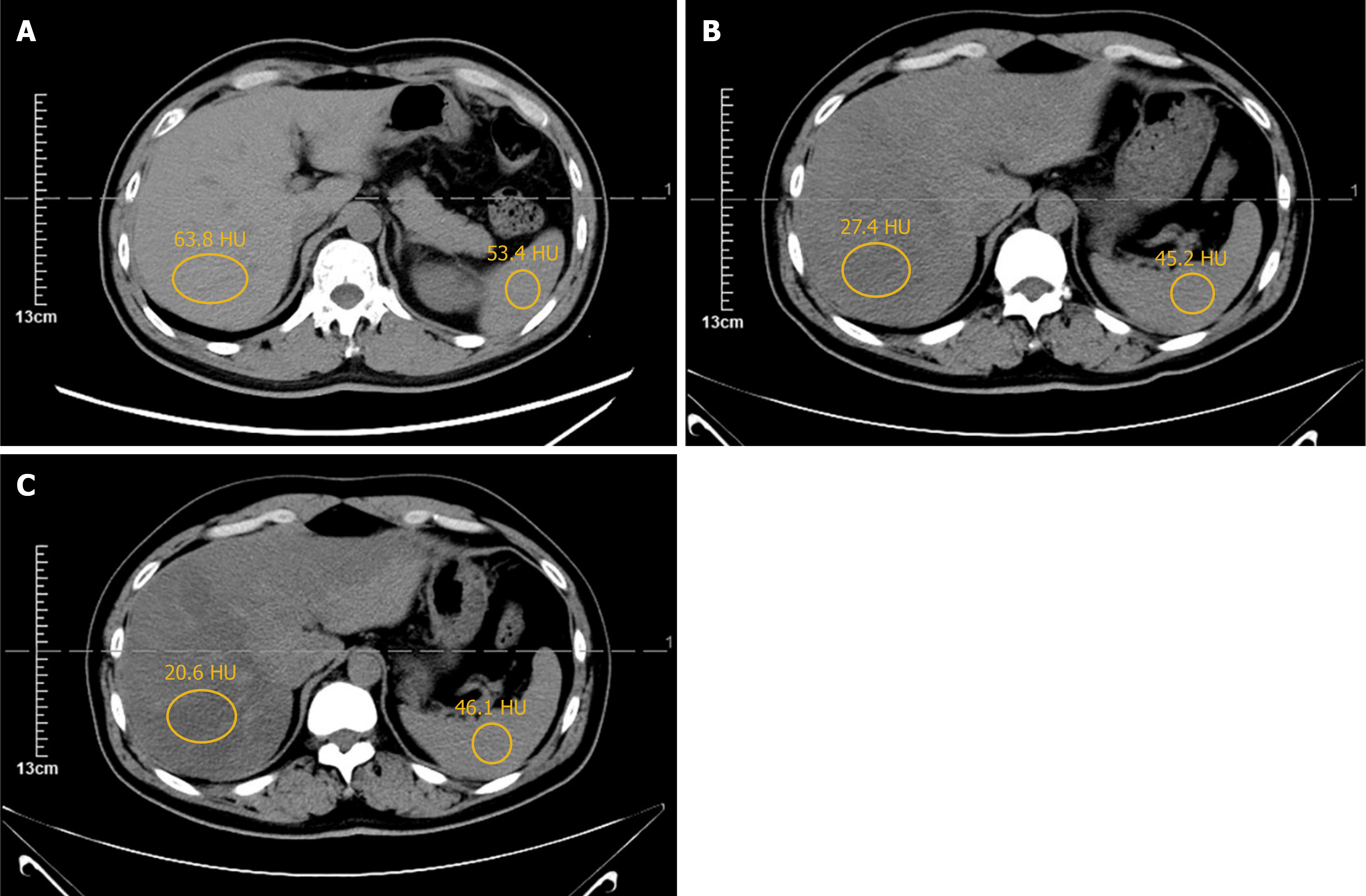
Figure 2
Figure 2 Abdominal computed tomography scans after the first procedure. A-C: Scans obtained at 3, 6, and 9 months postoperatively, respectively (the circle: Hepatic/splenic attenuation in HU: A: 63.8/53.4; B: 27.4/45.2; C: 20.6/46.1).
FINAL DIAGNOSIS

The final diagnosis was moderately differentiated rectal adenocarcinoma (pT3N0M0) and ileostomy-associated NAFLD, confirmed by histopathology and serial imaging, respectively.

TREATMENT

Preoperative magnetic resonance imaging revealed a mid-rectal lesion without pelvic lateral lymph node involvement and a negative CRM. Concurrent CT imaging confirmed the absence of distant metastasis. Based on these assessments, the clinical staging was cT3N0M0. The patient, then, underwent laparoscopic TME with loop ileostomy on March 25, 2023. The chemotherapy was initiated 4 weeks after initial surgery and completed within 6 months postoperatively. Between April 2023 and October 2023, the patient completed six cycles of postoperative adjuvant chemotherapy with an oxaliplatin and capecitabine regimen, consisting of oxaliplatin 85 mg/m2 intravenous infusion on day 1 and capecitabine 1000 mg/m2 twice daily orally on days 1-14, repeated every 3 weeks. After confirming that there was no obvious stenosis at the anastomosis by colonoscopy, ileostomy reversal was performed 9 months after the first surgery.

OUTCOME AND FOLLOW-UP

The patient was followed up at 3, 6, and 9 months after initial surgery, and at 3, 6, 9, and 18 months after ileostomy reversal. Abdominal CT performed at postoperative months 6 and 9 revealed hepatic steatosis, which was absent on all CT scans following stoma closure. At each visit, serum lipid profiles, BMI, and VAS for appetite evaluation were assessed, demonstrating marked fluctuations over time. Starting from month 6 after initial surgery, when steatosis was first noted, serial measurements of GLP-1 and PYY(3-36) were conducted, showing dynamic changes before and after ileostomy reversal. No recurrence of fatty liver or malignancy was observed during the 18-month follow-up period after ileostomy reversal.

DISCUSSION

Temporary loop ileostomy is a widely adopted surgical technique in colorectal surgery, particularly for low rectal cancer, to divert fecal flow and protect the distal anastomosis. Its utility in reducing the incidence and severity of anastomotic leakage is well established[5,6]. However, the physiological consequences of temporarily bypassing the terminal ileum and colon are multifaceted and extend beyond local intestinal effects. Known complications include dehydration[7-9], renal dysfunction[10-12], and microbial dysbiosis[13,14]. Yet, the potential metabolic impact of loop ileostomy - particularly on systemic lipid metabolism, appetite regulation, and liver health - remains underappreciated in clinical practice. In this report, we present a novel case of NAFLD that developed in a patient following laparoscopic TME with a diverting loop ileostomy, and subsequently resolved completely after ileostomy closure. Importantly, this metabolic disturbance was accompanied by fluctuations in appetite, BMI, serum lipid profiles, and levels of key enteroendocrine hormones: GLP-1 and PYY(3-36). To our knowledge, this may be the first clinical case that links ileostomy-associated anatomical and hormonal changes to the pathogenesis and reversibility of NAFLD.

NAFLD is a spectrum of liver disease characterized by excess hepatic fat accumulation in the absence of significant alcohol intake or secondary causes. Its prevalence is increasing worldwide, with strong associations to obesity, insulin resistance, and dyslipidemia[2,3]. The central pathogenic mechanisms of NAFLD involve overnutrition and insulin resistance, which lead to increased de novo lipogenesis, impaired lipid oxidation, and inflammatory responses in hepatocytes[4,16]. While most cases of NAFLD are associated with classical metabolic syndrome, our case illustrates a distinct etiology - transient enterohepatic hormonal dysregulation triggered by loop ileostomy. Several features in this patient support this hypothesis. First, although CT has limited sensitivity (46%-72%) for detecting early or mild steatosis[17], baseline abdominal CT scans showed no signs of hepatic steatosis with liver attenuation measuring > 60 HU and a liver-to-spleen attenuation difference > 10 HU (Figure 1). However, follow-up CT imaging at 6 months and 9 months postoperatively demonstrated new-onset diffuse hepatic steatosis with liver attenuation < 40 HU and a liver-to-spleen attenuation ratio of < 0.8, meeting the diagnostic criteria of hepatic steatosis[17] (Figure 3). The consistent progression and resolution pattern of hepatic steatosis on serial CT imaging, along with corresponding metabolic changes, support the temporal association with ileostomy status. Second, the steatosis reversed completely within 3 months of stoma closure, without lifestyle or pharmacological intervention. Third, the temporal trends in BMI, lipid profiles, and VAS-based appetite scores mirrored the radiologic course of hepatic steatosis. Finally, serial hormone assays revealed significant alterations in GLP-1 and PYY(3-36) concentrations before and after stoma closure, implicating a possible endocrine mechanism.

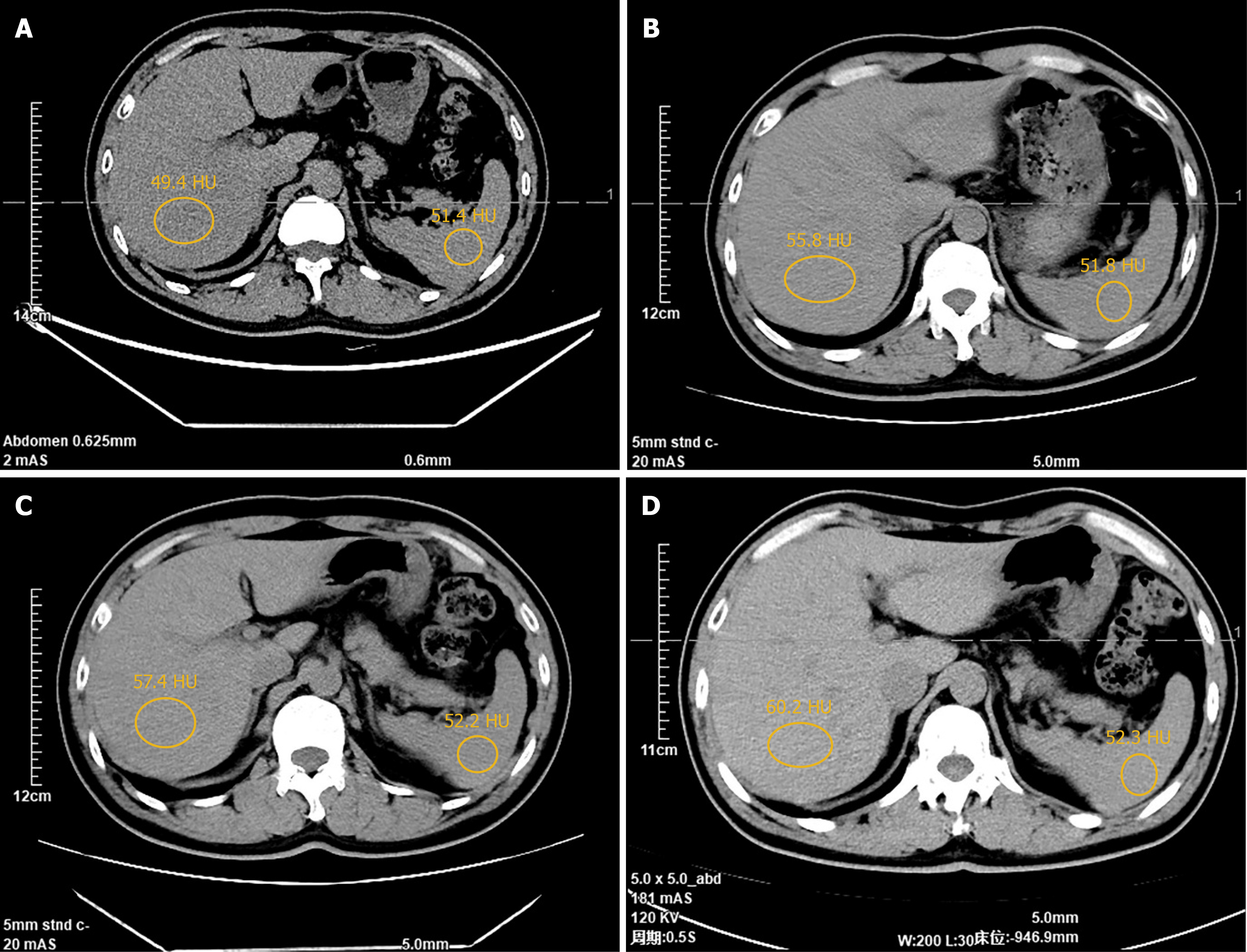
Figure 3
Figure 3 Postoperative abdominal computed tomography scans obtained at 3, 6, 9, and 18 months after the reversal operation. A-D: Scans correspond to the 3-, 6-, 9-, and 18-month timepoints, respectively (the circle hepatic/splenic attenuation in HU: A: 49.4/51.4; B: 55.8/51.8; C: 57.4/52.2; D: 60.2/52.3).

The ileostomy excluded the terminal ileum and colon from the digestive stream. These segments contain high densities of enteroendocrine L-cells, which are responsible for postprandial secretion of GLP-1 and PYY(3-36) in response to nutrient exposure[18-21]. The functional absence of nutrient stimulation in the diverted gut is a key feature of the ileostomy state, leading to broad pathophysiological changes in the distal segment, including a potential reduction in the secretion of key hormones like GLP-1 and PYY(3-36)[22]. GLP-1 enhances insulin secretion[23], improves β-cell survival[24,25], delays gastric emptying[26-28], and reduces appetite[27,28]. PYY(3-36), likewise, promotes satiety[29-31] and regulates insulin sensitivity[32,33]. The functional absence of nutrient stimulation in the diverted gut segments may have led to reduced postprandial secretion of these hormones, thereby attenuating satiety signaling, increasing caloric intake, and promoting hepatic lipid accumulation. After ileostomy reversal, reintroduction of luminal flow to the distal gut reactivated L-cell function, restoring hormonal balance and reversing steatosis. While several factors could potentially influence gut hormone secretion, including diet composition, body weight changes, and medication use, the temporal correlation between ileostomy status and hormonal changes - specifically the suppression during diversion and rapid rebound after restoration of intestinal continuity - suggests a primary role for anatomical changes. This is consistent with the understanding that luminal content is a primary driver for maintaining gut mucosal structure, microbial ecology, and endocrine function[22]. The patient’s dietary habits were consistent throughout the observation period as reported during follow-up visits, and no significant medication changes occurred that would have affected gut hormone secretion. Although chemotherapy could theoretically impact gut function, the hormonal changes paralleled the ileostomy status rather than the chemotherapy schedule, with the most significant alterations occurring after completion of all chemotherapy cycles.

Our patient’s appetite score (VAS) increased from 6.5 at 3 months postoperatively to 9.0 at 9 months, coinciding with a peak BMI of 26.6 kg/m2. Serum lipid profiles also peaked during this period. After stoma reversal, VAS scores declined to near-baseline levels (7.6 by 27 months), and BMI and lipid profiles normalized. These findings support a feed-forward loop whereby impaired gut hormonal signaling due to ileostomy contributed to hyperphagia and lipid dysregulation, ultimately manifesting as NAFLD. Restoration of intestinal continuity may have reinstated normal feedback control of energy homeostasis via hormonal pathways.

The observed changes are particularly significant considering the central role of insulin resistance in NAFLD. Both GLP-1 and PYY(3-36) have been shown to enhance insulin sensitivity and suppress hepatic lipogenesis[33-35]. A temporary suppression of these hormones could therefore potentiate insulin resistance and promote hepatic fat deposition. Conversely, their recovery may have contributed to improved insulin action and lipid clearance after ileostomy reversal. While we did not directly assess insulin resistance via homeostatic model assessment for insulin resistance or euglycemic clamps, the clinical and biochemical context supports this mechanism.

The pattern of hepatic steatosis in this case differs significantly from chemotherapy-associated steatohepatitis (CASH). The patient showed no steatosis at postoperative month 3 (after chemotherapy initiation), developed mild steatosis at month 6 (during chemotherapy), and exhibited progression to moderate steatosis at month 9 (after chemotherapy completion). This timeline contradicts the typical CASH presentation, which usually manifests during active treatment and improves after chemotherapy discontinuation[36,37]. Instead, the steatosis rapidly resolved within 3 months following ileostomy reversal, despite being without any medication. Additionally, CASH predominantly affects patients with metabolic risk factors (30%-47% incidence)[38], while our metabolically healthy patient demonstrated parallel changes in appetite VAS, BMI, and lipid profile that precisely tracked with ileostomy status rather than chemotherapy timeline. The synchronous fluctuations in GLP-1 and PYY(3-36) further support intestinal continuity disruption as the primary driver of metabolic changes.

This case raises several important clinical and scientific questions. From a clinical perspective, it underscores the need to monitor patients with temporary ileostomies for signs of metabolic disturbance, especially in the setting of unexplained hepatic steatosis. Routine follow-up imaging may incidentally detect steatosis, which could otherwise be attributed to chemotherapy, diet, or unrelated hepatic conditions. Recognizing the possibility of ileostomy-induced NAFLD may prompt early consideration of stoma closure or endocrine-based interventions.

From a research standpoint, this case introduces a testable hypothesis: That anatomical diversion of the distal gut can transiently suppress enteroendocrine activity, leading to hyperphagia, dyslipidemia, and hepatic steatosis. Future studies should examine serial trends in gut hormones, caloric intake, body composition, and liver fat content in patients with and without ileostomies. Investigations into gut microbial contributions and bile acid signaling could further clarify the gut-liver axis in this context.

Several limitations must be acknowledged. This was a single-case observation and, therefore, cannot establish assured causality. Although we observed a clear temporal relationship between ileostomy, hormonal suppression, and NAFLD onset, other factors such as chemotherapy, reduced physical activity, and diet may have contributed. We also lacked direct measurements of caloric intake, insulin resistance, or liver histology. However, the strength and internal consistency of the metabolic and hormonal data, combined with the complete radiologic reversal of steatosis post-stoma closure, provide compelling circumstantial evidence.

CONCLUSION

This case highlights a novel and reversible form of NAFLD associated with loop ileostomy, likely mediated through disrupted enteroendocrine signaling and appetite regulation. The observed associations between ileostomy, increased appetite, dyslipidemia, and changes in GLP-1 and PYY(3-36) levels suggest a potential hormonal mechanism. Clinicians should be aware of such metabolic alterations in patients with intestinal diversion. Further research is needed to elucidate underlying pathways and guide risk stratification and perioperative management.

References
1.  Eslam M, Newsome PN, Sarin SK, Anstee QM, Targher G, Romero-Gomez M, Zelber-Sagi S, Wai-Sun Wong V, Dufour JF, Schattenberg JM, Kawaguchi T, Arrese M, Valenti L, Shiha G, Tiribelli C, Yki-Järvinen H, Fan JG, Grønbæk H, Yilmaz Y, Cortez-Pinto H, Oliveira CP, Bedossa P, Adams LA, Zheng MH, Fouad Y, Chan WK, Mendez-Sanchez N, Ahn SH, Castera L, Bugianesi E, Ratziu V, George J. A new definition for metabolic dysfunction-associated fatty liver disease: An international expert consensus statement. J Hepatol. 2020;73:202-209.  [RCA]  [PubMed]  [DOI]  [Full Text]  [Cited by in Crossref: 3640]  [Cited by in RCA: 3311]  [Article Influence: 551.8]  [Reference Citation Analysis (3)]
2.  Paik JM, Golabi P, Younossi Y, Mishra A, Younossi ZM. Changes in the Global Burden of Chronic Liver Diseases From 2012 to 2017: The Growing Impact of NAFLD. Hepatology. 2020;72:1605-1616.  [RCA]  [PubMed]  [DOI]  [Full Text]  [Cited by in Crossref: 676]  [Cited by in RCA: 573]  [Article Influence: 95.5]  [Reference Citation Analysis (0)]
3.  Riazi K, Azhari H, Charette JH, Underwood FE, King JA, Afshar EE, Swain MG, Congly SE, Kaplan GG, Shaheen AA. The prevalence and incidence of NAFLD worldwide: a systematic review and meta-analysis. Lancet Gastroenterol Hepatol. 2022;7:851-861.  [RCA]  [PubMed]  [DOI]  [Full Text]  [Cited by in Crossref: 1837]  [Cited by in RCA: 1564]  [Article Influence: 391.0]  [Reference Citation Analysis (3)]
4.  Lefere S, Tacke F. Macrophages in obesity and non-alcoholic fatty liver disease: Crosstalk with metabolism. JHEP Rep. 2019;1:30-43.  [RCA]  [PubMed]  [DOI]  [Full Text]  [Full Text (PDF)]  [Cited by in Crossref: 238]  [Cited by in RCA: 216]  [Article Influence: 30.9]  [Reference Citation Analysis (0)]
5.  Bax TW, McNevin MS. The value of diverting loop ileostomy on the high-risk colon and rectal anastomosis. Am J Surg. 2007;193:585-7; discussion 587.  [RCA]  [PubMed]  [DOI]  [Full Text]  [Cited by in Crossref: 47]  [Cited by in RCA: 57]  [Article Influence: 3.0]  [Reference Citation Analysis (0)]
6.  Sparreboom CL, van Groningen JT, Lingsma HF, Wouters MWJM, Menon AG, Kleinrensink GJ, Jeekel J, Lange JF; Dutch ColoRectal Audit group. Different Risk Factors for Early and Late Colorectal Anastomotic Leakage in a Nationwide Audit. Dis Colon Rectum. 2018;61:1258-1266.  [RCA]  [PubMed]  [DOI]  [Full Text]  [Cited by in Crossref: 191]  [Cited by in RCA: 161]  [Article Influence: 20.1]  [Reference Citation Analysis (0)]
7.  Justiniano CF, Temple LK, Swanger AA, Xu Z, Speranza JR, Cellini C, Salloum RM, Fleming FJ. Readmissions With Dehydration After Ileostomy Creation: Rethinking Risk Factors. Dis Colon Rectum. 2018;61:1297-1305.  [RCA]  [PubMed]  [DOI]  [Full Text]  [Cited by in Crossref: 56]  [Cited by in RCA: 82]  [Article Influence: 10.3]  [Reference Citation Analysis (0)]
8.  Borucki JP, Schlaeger S, Crane J, Hernon JM, Stearns AT. Risk and consequences of dehydration following colorectal cancer resection with diverting ileostomy. A systematic review and meta-analysis. Colorectal Dis. 2021;23:1721-1732.  [RCA]  [PubMed]  [DOI]  [Full Text]  [Cited by in Crossref: 27]  [Cited by in RCA: 22]  [Article Influence: 4.4]  [Reference Citation Analysis (0)]
9.  Liu C, Bhat S, Sharma P, Yuan L, O'Grady G, Bissett I. Risk factors for readmission with dehydration after ileostomy formation: A systematic review and meta-analysis. Colorectal Dis. 2021;23:1071-1082.  [RCA]  [PubMed]  [DOI]  [Full Text]  [Cited by in Crossref: 10]  [Cited by in RCA: 29]  [Article Influence: 5.8]  [Reference Citation Analysis (0)]
10.  Yagyu T, Hamada M, Hatta M, Kobayashi T, Matsumi Y, Inada R, Matsumoto T, Oishi M. Impact of the Diverting Stoma on Renal Function. Dis Colon Rectum. 2024;67:1576-1583.  [RCA]  [PubMed]  [DOI]  [Full Text]  [Cited by in RCA: 3]  [Reference Citation Analysis (0)]
11.  Borucki JP, Woods R, Fielding A, Webb LA, Hernon JM, Lines SW, Stearns AT. Postoperative decline in renal function after rectal resection and all-cause mortality: a retrospective cohort study. Colorectal Dis. 2023;25:2225-2232.  [RCA]  [PubMed]  [DOI]  [Full Text]  [Cited by in RCA: 4]  [Reference Citation Analysis (0)]
12.  Yaegashi M, Otsuka K, Kimura T, Matsuo T, Fujii H, Sato K, Takashimizu K, Hatanaka T, Yoshida T, Tono C, Sasaki A. Early renal dysfunction after temporary ileostomy construction. Surg Today. 2020;50:703-710.  [RCA]  [PubMed]  [DOI]  [Full Text]  [Cited by in Crossref: 5]  [Cited by in RCA: 14]  [Article Influence: 2.0]  [Reference Citation Analysis (0)]
13.  Beamish EL, Johnson J, Shaw EJ, Scott NA, Bhowmick A, Rigby RJ. Loop ileostomy-mediated fecal stream diversion is associated with microbial dysbiosis. Gut Microbes. 2017;8:467-478.  [RCA]  [PubMed]  [DOI]  [Full Text]  [Full Text (PDF)]  [Cited by in Crossref: 30]  [Cited by in RCA: 47]  [Article Influence: 5.2]  [Reference Citation Analysis (0)]
14.  Beamish EL, Johnson J, Shih B, Killick R, Dondelinger F, McGoran C, Brewster-Craig C, Davies A, Bhowmick A, Rigby RJ. Delay in loop ileostomy reversal surgery does not impact upon post-operative clinical outcomes. Complications are associated with an increased loss of microflora in the defunctioned intestine. Gut Microbes. 2023;15:2199659.  [RCA]  [PubMed]  [DOI]  [Full Text]  [Cited by in RCA: 9]  [Reference Citation Analysis (1)]
15.  Flint A, Raben A, Blundell JE, Astrup A. Reproducibility, power and validity of visual analogue scales in assessment of appetite sensations in single test meal studies. Int J Obes Relat Metab Disord. 2000;24:38-48.  [RCA]  [PubMed]  [DOI]  [Full Text]  [Cited by in Crossref: 1444]  [Cited by in RCA: 1711]  [Article Influence: 65.8]  [Reference Citation Analysis (0)]
16.  Polyzos SA, Kountouras J, Mantzoros CS. Obesity and nonalcoholic fatty liver disease: From pathophysiology to therapeutics. Metabolism. 2019;92:82-97.  [RCA]  [PubMed]  [DOI]  [Full Text]  [Cited by in Crossref: 1018]  [Cited by in RCA: 904]  [Article Influence: 129.1]  [Reference Citation Analysis (2)]
17.  Wan YL, Wang DW, Li HB, Xu Y. The imaging techniques and diagnostic performance of ultrasound, CT, and MRI in detecting liver steatosis and fat quantification: A systematic review. J Radiat Res Appl Sci. 2023;16:100658.  [PubMed]  [DOI]  [Full Text]
18.  Nauck MA, Niedereichholz U, Ettler R, Holst JJ, Orskov C, Ritzel R, Schmiegel WH. Glucagon-like peptide 1 inhibition of gastric emptying outweighs its insulinotropic effects in healthy humans. Am J Physiol. 1997;273:E981-E988.  [RCA]  [PubMed]  [DOI]  [Full Text]  [Cited by in Crossref: 244]  [Cited by in RCA: 297]  [Article Influence: 10.2]  [Reference Citation Analysis (0)]
19.  Reimann F, Gribble FM. Glucose-sensing in glucagon-like peptide-1-secreting cells. Diabetes. 2002;51:2757-2763.  [RCA]  [PubMed]  [DOI]  [Full Text]  [Cited by in Crossref: 211]  [Cited by in RCA: 224]  [Article Influence: 9.3]  [Reference Citation Analysis (0)]
20.  Dagbasi A, Byrne C, Blunt D, Serrano-Contreras JI, Becker GF, Blanco JM, Camuzeaux S, Chambers E, Danckert N, Edwards C, Bernal A, Garcia MV, Hanyaloglu A, Holmes E, Ma Y, Marchesi J, Martinez-Gili L, Mendoza L, Tashkova M, Perez-Moral N, Garcia-Perez I, Robles AC, Sands C, Wist J, Murphy KG, Frost G. Diet shapes the metabolite profile in the intact human ileum, which affects PYY release. Sci Transl Med. 2024;16:eadm8132.  [RCA]  [PubMed]  [DOI]  [Full Text]  [Cited by in RCA: 11]  [Reference Citation Analysis (1)]
21.  Zhang J, Sonnenburg D, Tricò D, Kabisch S, Mari A, Theis S, Kemper M, Pivovarova-Ramich O, Rohn S, Pfeiffer AFH. Isomaltulose Enhances GLP-1 and PYY Secretion to a Mixed Meal in People With or Without Type 2 Diabetes as Compared to Saccharose. Mol Nutr Food Res. 2024;68:e2300086.  [RCA]  [PubMed]  [DOI]  [Full Text]  [Cited by in RCA: 3]  [Reference Citation Analysis (0)]
22.  Ma H, Li X, Yang H, Qiu Y, Xiao W. The Pathology and Physiology of Ileostomy. Front Nutr. 2022;9:842198.  [RCA]  [PubMed]  [DOI]  [Full Text]  [Full Text (PDF)]  [Cited by in RCA: 14]  [Reference Citation Analysis (0)]
23.  Yada T, Dezaki K, Iwasaki Y. GLP-1 and ghrelin inversely regulate insulin secretion and action in pancreatic islets, vagal afferents, and hypothalamus for controlling glycemia and feeding. Am J Physiol Cell Physiol. 2025;328:C1793-C1807.  [RCA]  [PubMed]  [DOI]  [Full Text]  [Cited by in RCA: 9]  [Reference Citation Analysis (0)]
24.  Ali A, Khan D, Dubey V, Tarasov AI, Flatt PR, Irwin N. Comparative Effects of GLP-1 and GLP-2 on Beta-Cell Function, Glucose Homeostasis and Appetite Regulation. Biomolecules. 2024;14:1520.  [RCA]  [PubMed]  [DOI]  [Full Text]  [Full Text (PDF)]  [Cited by in RCA: 8]  [Reference Citation Analysis (0)]
25.  Gu L, Wang D, Cui X, Wei T, Yang K, Yang J, Wei R, Hong T. Combination of GLP-1 Receptor Activation and Glucagon Blockage Promotes Pancreatic β-Cell Regeneration In Situ in Type 1 Diabetic Mice. J Diabetes Res. 2021;2021:7765623.  [RCA]  [PubMed]  [DOI]  [Full Text]  [Cited by in Crossref: 4]  [Cited by in RCA: 5]  [Article Influence: 1.0]  [Reference Citation Analysis (0)]
26.  Rau M, Meining A. Delayed Gastric Emptying Under Treatment with GLP-1 Agonists. Dtsch Arztebl Int. 2025;122:70.  [RCA]  [PubMed]  [DOI]  [Full Text]  [Full Text (PDF)]  [Cited by in RCA: 1]  [Reference Citation Analysis (0)]
27.  Aldawsari M, Almadani FA, Almuhammadi N, Algabsani S, Alamro Y, Aldhwayan M. The Efficacy of GLP-1 Analogues on Appetite Parameters, Gastric Emptying, Food Preference and Taste Among Adults with Obesity: Systematic Review of Randomized Controlled Trials. Diabetes Metab Syndr Obes. 2023;16:575-595.  [RCA]  [PubMed]  [DOI]  [Full Text]  [Full Text (PDF)]  [Cited by in RCA: 77]  [Reference Citation Analysis (0)]
28.  Zhang T, Perkins MH, Chang H, Han W, de Araujo IE. An inter-organ neural circuit for appetite suppression. Cell. 2022;185:2478-2494.e28.  [RCA]  [PubMed]  [DOI]  [Full Text]  [Cited by in Crossref: 15]  [Cited by in RCA: 144]  [Article Influence: 36.0]  [Reference Citation Analysis (0)]
29.  Batterham RL, Heffron H, Kapoor S, Chivers JE, Chandarana K, Herzog H, Le Roux CW, Thomas EL, Bell JD, Withers DJ. Critical role for peptide YY in protein-mediated satiation and body-weight regulation. Cell Metab. 2006;4:223-233.  [RCA]  [PubMed]  [DOI]  [Full Text]  [Cited by in Crossref: 490]  [Cited by in RCA: 443]  [Article Influence: 22.2]  [Reference Citation Analysis (0)]
30.  Liang C, Zhou XH, Jiao YH, Guo MJ, Meng L, Gong PM, Lyu LZ, Niu HY, Wu YF, Chen SW, Han X, Zhang LW. Ligilactobacillus Salivarius LCK11 Prevents Obesity by Promoting PYY Secretion to Inhibit Appetite and Regulating Gut Microbiota in C57BL/6J Mice. Mol Nutr Food Res. 2021;65:e2100136.  [RCA]  [PubMed]  [DOI]  [Full Text]  [Cited by in Crossref: 15]  [Cited by in RCA: 30]  [Article Influence: 6.0]  [Reference Citation Analysis (0)]
31.  Sloth B, Holst JJ, Flint A, Gregersen NT, Astrup A. Effects of PYY1-36 and PYY3-36 on appetite, energy intake, energy expenditure, glucose and fat metabolism in obese and lean subjects. Am J Physiol Endocrinol Metab. 2007;292:E1062-E1068.  [RCA]  [PubMed]  [DOI]  [Full Text]  [Cited by in Crossref: 162]  [Cited by in RCA: 170]  [Article Influence: 8.9]  [Reference Citation Analysis (0)]
32.  Vrang N, Madsen AN, Tang-Christensen M, Hansen G, Larsen PJ. PYY(3-36) reduces food intake and body weight and improves insulin sensitivity in rodent models of diet-induced obesity. Am J Physiol Regul Integr Comp Physiol. 2006;291:R367-R375.  [RCA]  [PubMed]  [DOI]  [Full Text]  [Cited by in Crossref: 98]  [Cited by in RCA: 106]  [Article Influence: 5.3]  [Reference Citation Analysis (0)]
33.  Karcz-Socha I, Zwirska-Korczala K, Zembala M, Borgiel-Marek H, Karcz K. Ghrelin PYY 3-36 serum changes in left ventricular hypertrophic, insulin-resistant, hypertensive obese patients. Obes Facts. 2011;4:386-392.  [RCA]  [PubMed]  [DOI]  [Full Text]  [Cited by in Crossref: 6]  [Cited by in RCA: 7]  [Article Influence: 0.5]  [Reference Citation Analysis (0)]
34.  Reimann F, Habib AM, Tolhurst G, Parker HE, Rogers GJ, Gribble FM. Glucose sensing in L cells: a primary cell study. Cell Metab. 2008;8:532-539.  [RCA]  [PubMed]  [DOI]  [Full Text]  [Cited by in Crossref: 644]  [Cited by in RCA: 597]  [Article Influence: 33.2]  [Reference Citation Analysis (0)]
35.  Wettergren A, Schjoldager B, Mortensen PE, Myhre J, Christiansen J, Holst JJ. Truncated GLP-1 (proglucagon 78-107-amide) inhibits gastric and pancreatic functions in man. Dig Dis Sci. 1993;38:665-673.  [RCA]  [PubMed]  [DOI]  [Full Text]  [Cited by in Crossref: 522]  [Cited by in RCA: 473]  [Article Influence: 14.3]  [Reference Citation Analysis (0)]
36.  Satapathy SK, Kuwajima V, Nadelson J, Atiq O, Sanyal AJ. Drug-induced fatty liver disease: An overview of pathogenesis and management. Ann Hepatol. 2015;14:789-806.  [RCA]  [PubMed]  [DOI]  [Full Text]  [Cited by in Crossref: 106]  [Cited by in RCA: 91]  [Article Influence: 8.3]  [Reference Citation Analysis (0)]
37.  Meunier L, Larrey D. Chemotherapy-associated steatohepatitis. Ann Hepatol. 2020;19:597-601.  [RCA]  [PubMed]  [DOI]  [Full Text]  [Cited by in Crossref: 81]  [Cited by in RCA: 61]  [Article Influence: 10.2]  [Reference Citation Analysis (0)]
38.  Vauthey JN, Pawlik TM, Ribero D, Wu TT, Zorzi D, Hoff PM, Xiong HQ, Eng C, Lauwers GY, Mino-Kenudson M, Risio M, Muratore A, Capussotti L, Curley SA, Abdalla EK. Chemotherapy regimen predicts steatohepatitis and an increase in 90-day mortality after surgery for hepatic colorectal metastases. J Clin Oncol. 2006;24:2065-2072.  [RCA]  [PubMed]  [DOI]  [Full Text]  [Cited by in Crossref: 1080]  [Cited by in RCA: 920]  [Article Influence: 46.0]  [Reference Citation Analysis (2)]
Footnotes

Peer review: Externally peer reviewed.

Peer-review model: Single blind

Specialty type: Gastroenterology and hepatology

Country of origin: China

Peer-review report’s classification

Scientific quality: Grade B, Grade C

Novelty: Grade B, Grade C

Creativity or innovation: Grade B, Grade C

Scientific significance: Grade B, Grade C

P-Reviewer: Hernández-Almonacid PG, MD, Consultant, Colombia S-Editor: Bai SR L-Editor: A P-Editor: Zhang L

Write to the Help Desk