BPG is committed to discovery and dissemination of knowledge
Editorial Open Access
©Author(s) (or their employer(s)) 2026. No commercial re-use. See Permissions. Published by Baishideng Publishing Group Inc.
World J Gastrointest Surg. Feb 27, 2026; 18(2): 113867
Published online Feb 27, 2026. doi: 10.4240/wjgs.v18.i2.113867
Emergency surgery for malignant large bowel obstruction: Assessing management options and outcomes
Terence N Moyana, Division of Diagnostic and Molecular Pathology, The Ottawa Hospital and University of Ottawa, Ottawa K1H 8L6, Ontario, Canada
ORCID number: Terence N Moyana (0009-0006-8426-8638).
Author contributions: Moyana TN is responsible for all aspects of the work, including the conception, design, research, writing, and finalization of the manuscript.
Conflict-of-interest statement: The author reports no relevant conflicts of interest for this article.
Corresponding author: Terence N Moyana, MD, FRCPC, FCAP, Full Professor, Division of Diagnostic and Molecular Pathology, The Ottawa Hospital and University of Ottawa, 501 Smyth Road, Ottawa K1H 8L6, Ontario, Canada. tmoyana@toh.ca
Received: September 5, 2025
Revised: November 11, 2025
Accepted: December 3, 2025
Published online: February 27, 2026
Processing time: 174 Days and 17.9 Hours

Abstract

Malignant large bowel obstruction accounts for a disproportionately high percentage of colorectal cancer emergencies. Traditionally, it was treated by emergency surgery, which, depending on the circumstances, could involve primary resection or staged procedures. However, this was associated with considerable morbidity and mortality. Qiu et al sought to improve this by creating a nomogram that can be used as a benchmark in the management of such patients. Although the nomogram is meant to be a predictive model for recurrence, it is only based on a snapshot of parameters at 2 years. To be of maximum benefit to patients consenting for surgery and their caregivers, the performance of the model should be assessed over both the short- and long-term intervals (e.g., 30, 60, and 90 days as well as 1, 2, and 5 years or longer). Moreover, the heterogeneity of colorectal cancer (e.g., right-sided vs left-sided cancers vs rectal cancers) limits the nomogram’s applicability in certain situations, as it was constructed using a one-size-fits-all approach. It is also noteworthy that the increasing acceptance of self-expanding metal stents as an option to emergency surgery provides significant benefits for patients with malignant large bowel obstruction. Lastly, it is important to distinguish residual disease from recurrence, as conflating the two may confound parameters and study endpoints. This distinction has gained renewed interest with recent advances in liquid biopsies and genomics and how they can better define minimal residual disease.

Key Words: Malignant large bowel obstruction; Emergency surgery; Disease recurrence; Self-expanding metal stents; Bridge-to-surgery; Right vs left colon cancer; Molecular biomarkers

Core Tip: Malignant large bowel obstruction was traditionally managed by emergency surgery, a strategy associated with considerable morbidity and mortality. The introduction of self-expanding metal stents in the 1990s provided an option to emergency surgery with significant benefits for these patients. Looking ahead, advances in liquid biopsies and molecular biomarkers are poised to enhance cancer diagnostics and the monitoring of minimal residual disease, promising improved outcomes in the future.



INTRODUCTION

Colorectal cancer (CRC) is the third most common visceral malignancy and the second leading cause of cancer-related deaths in many countries[1,2]. Malignant large bowel obstruction (MLBO) occurs in 10%–15% of patients with CRC but accounts for 75% of CRC-related emergencies[3-7]. It is associated with high postoperative morbidity and mortality, and population studies have shown that 25% of all postoperative deaths after surgery for CRC occur in patients who present with MLBO[4,5]. The longer-term survival rates (5 and 10 years) for MLBO are also considerably worse compared to non-obstructive CRC[8,9]. Therefore, it is essential to conduct an in-depth analysis of MLBO, as it may provide additional insights for quantifying surgical risk and assessing clinical outcomes.

This editorial discusses the study by Qiu et al[10], which aimed to investigate early post-operative recurrence (defined as recurrence within 2 years following surgery) in patients with MLBO. Five key parameters, namely (1) Preoperative carcinoembryonic antigen; (2) Preoperative systemic immune-inflammation index; (3) Tumor–node–metastasis stage; (4) Tumor differentiation; and (5) Ki-67 expression, were used to construct a nomogram prediction model to guide patient management. To achieve this objective, Qiu et al[10] analyzed 181 patients with MLBO who underwent emergency surgery at their institution, comparing those who developed recurrence with those who did not.

However, for a tool intended to provide guidance and practical clinical value, it would be prudent to consider other treatment options besides emergency surgery. These options should take into account not just recurrence rates at 2 years but also morbidity and mortality in the short term (e.g., at 30, 60, and 90 days) and long term (e.g., overall survival at 5 years or beyond), as is customary for CRC assessments[5,7,11-13]. In addition, the heterogeneity of the cohort in the study by Qiu et al[10] (e.g., demographics, tumor site, anatomy, stage, histology, and molecular biology) makes it challenging to construct a nomogram that applies to all MLBO cases.

SURGICAL OPTIONS

The traditional approach to managing MLBO has been emergency exploratory laparotomy. For proximally located CRCs (i.e., in the right or transverse colon), primary resection and anastomosis should be considered if the patient is hemodynamically stable, fit for resection, and the colon appears viable[14,15]. For more distally located tumors, various options can be considered depending on the exact site of the tumor, the viability of the obstructed bowel, and the overall patient condition. The classical three-stage approach involves creating a colostomy for obstruction relief, followed by a second surgery for cancer resection, and a third for colostomy reversal. This approach has fallen out of favor because it resulted in prolonged hospital stays without necessarily good prognostic outcomes[14,15]. Another approach is primary tumor resection with closure of the rectal stump and formation of proximal-end colostomy (Hartmann’s procedure). However, this approach carries considerable morbidity and mortality[6,14,15]. Furthermore, colostomy reversal is not possible in ≥ 40% of patients owing to advanced disease and/or comorbidities[6,14,15]. Therefore, it is not surprising that, in carefully selected patients who are hemodynamically stable and meet appropriate criteria (e.g., American Society of Anesthesiologists classification)[16], primary resection and anastomosis have been proposed as an alternative to Hartmann’s procedure[5,6,17]. Advocates of this approach reported a reduced incidence of complications and favorable long-term survival benefits when compared with staged procedures[14,15]. It is particularly suitable when performed by an experienced colorectal surgeon treating a younger patient with a freely mobile, easily resectable tumor[18]. Nonetheless, the threshold for fecal diversion should be low, as an anastomotic leak can have profound consequences on postoperative recovery and the timely administration of adjuvant chemotherapy or radiotherapy[18,19].

Overall, these various surgical approaches (primary anastomosis or staged procedures) have different morbidity and mortality risks at 30, 60, and 90 days, as well as at 2 years, 5 years, or more. Incorporating this information into Qiu et al’s study[10] would improve the utility of this nomogram and expand the range of informed treatment choices available to patients and their caregivers.

SELF-EXPANDING METAL STENTS

Patients with MLBO often present with advanced disease, are usually elderly, and are in poor medical condition due to the underlying tumor, malnutrition, dehydration, electrolyte imbalances, and a friable colonic mucosa resulting from prolonged bowel distension[6,7,14,15,20]. These metabolic derangements can be quite significant because, unlike acute obstruction (e.g., volvulus), the underlying process with MLBO is more chronic, and the obstruction is merely a final step that triggers the emergency. All this adversely affects surgical risk, especially with an operative emergency on an unprepared colon. Before the 1990s, most of these patients underwent emergency surgery[6,14,15]. Since then, self-expanding metal stents (SEMSs; Figure 1) have become an increasingly acceptable option for restoring luminal patency and decompressing the bowel before surgical resection, i.e., bridge-to-surgery (BTS) or for palliative purposes[3,5,14,21].

Figure 1
Figure 1 Surgical specimens with colonic stents and corresponding survival outcomes. A: Obstructing sigmoid colon adenocarcinoma from an elderly patient who underwent open anterior resection with colorectal side-to-end anastomosis 10 weeks after endoscopic placement of a self-expanding metal stent. The uncovered stent (on the right side of the colon) was extracted from the specimen (proximal end is shown at the top). The tumor turned out to be stage pT4N1a with negative surgical resection margins. The patient then received adjuvant chemotherapy and was still alive with no evidence of disease more than 5 years later; B: Obstructing adenocarcinoma in the ascending colon with a large fungating tumor measuring 5.7 cm. The 9-cm uncovered stent was slightly moved to better expose the tumor, located just above it. Marked proximal cecal dilatation is visible at the top of the picture. The stent did not adequately decompress the bowel, and the patient underwent right hemicolectomy with primary anastomosis. Pathology revealed a pT4aN2aM1 tumor. Despite adjuvant chemotherapy, the patient died of the disease 14 months later.

SEMS technology has advanced considerably in the last 30 years and includes covered, uncovered (Figure 1), partially covered, and uni-flanged or bi-flanged stents of variable length or shape that can be deployed depending on the clinical circumstances[14,21,22]. When used as BTS, SEMSs allow patients to be optimized for surgery by correcting fluid and electrolyte imbalances, improving nutritional status, treating sepsis, and permitting mechanical preparation of the bowel (Table 1)[7,14,15,20]. Furthermore, stenting allows the physician to perform a preoperative colonoscopy and/or imaging to rule out the possibility of synchronous tumors.

Table 1 Summary of favorable features and complications of self-expanding metal stents used as a bridge to surgery.
Favorable features
Complications/unfavorable features
Timely relief of bowel obstructionPerforation
Allows colonoscopy/imaging to rule out the possibility of synchronous tumorsStent migration
Enables preoperative cancer stagingChronic pain or tenesmus
Optimization before surgery: (1) Fluid and electrolyte correction; (2) Nutritional support; and (3) Bowel cleansing/preparationStent obstruction due to: (1) Tumor ingrowth; (2) Tumor overgrowth; and (3) Stool impaction
Relatively higher rates of primary anastomosisUlceration/bleeding
Reduced risk of permanent stomaInfection at the stent site
Lower morbidity rates compared to emergency surgery; postoperative mortality rates comparableTheoretical risk of tumor dissemination owing to tissue pressure exacerbation by stent-related shearing force

For rectal cancers in which neoadjuvant therapy is considered, it is important to note that preoperative chemoradiation can still be administered even after insertion of SEMs[23-25]. Stenting also provides the opportunity for accurate staging of the tumor and determining the best therapeutic option for the patient, considering that up to 50% of patients who undergo emergency laparotomy are not candidates for curative surgery[6,12,21]. In these patients who cannot be cured because of their advanced cancer or rapidly progressive disease, the ability to avoid emergency surgery is a major advantage of SEMSs, given their life expectancy is relatively short[6,7,25].

Compared to emergency surgery, BTS stenting allows elective surgery with primary anastomosis in a higher percentage of patients, shorter hospital stays, and reduced stoma rates without adversely affecting overall survival (Table 1)[7,11,14,25]. Nonetheless, it should be noted that there are certain situations in which placement of a SEMS is contraindicated (e.g., suspected or impending perforation, intra-abdominal abscess, or peritonitis; Table 2)[6,25,26]. Technical difficulties may also arise during SEMS insertion. These include: (1) Patients with fibrous adhesions from previous abdominal surgery; (2) Those with peritoneal carcinomatosis with concomitant colonic narrowing, tortuosity, or extrinsic compression; (3) Stenting of the right colon, which has a larger diameter and thinner wall. Although early experiences favored left-sided stenting, technical advancements have largely equalized outcomes, especially in experienced hands[25]; and (4) Tumors located < 5 cm from the anal verge, where proximity to the dentate line can cause severe tenesmus and increase the risk of expulsion of the stent[21,25,27]. SEMSs are also associated with complications, including bowel perforation, stent migration, bleeding, occlusion, re-stenosis due to tumor ingrowth or overgrowth, and stool impaction (Table 1)[7,21,24,25]. Patient optimization for BTS or palliation also includes pertinent radiologic assessment (e.g., contrast-enhanced computed tomography), as other causes of large bowel obstruction should also be considered[14,28].

Table 2 Contraindications and technical challenges associated with self-expanding metal stent insertion.
Absolute contraindications or major concerns
Relative contraindications and/or technical challenges
PerforationExtracolonic obstruction
Colonic ischemiaPeritoneal metastases
Intra-abdominal abscessPeritoneal fibrous adhesions
PeritonitisTumors located within 5 cm of the anal verge
OTHER CAUSES OF LARGE BOWEL OBSTRUCTION

Large bowel obstruction usually presents with abdominal pain, distention, and obstipation[14,26]. The majority of these cases (> 50%) are due to neoplasms, most often CRC, but a significant proportion of cases arise from other causes. In this regard, radiologic procedures such as computed tomography are very important in establishing the etiology of the obstruction. Other causes of large bowel obstruction include extra-intestinal tumors (e.g., ovarian, uterine, prostatic, or urinary bladder cancers). They can cause extrinsic compression on the large bowel owing to either the mass effect of the primary tumor or metastases. Non-neoplastic causes of large bowel obstruction include diverticular disease, especially when complicated by peri-diverticulitis or strictures. Volvulus arises from the axial rotation of the bowel around the mesentery and most commonly occurs in the sigmoid colon or cecum. Other causes include internal hernias, fibrous adhesions, intussusception, Crohn’s disease, fecal impaction, foreign bodies, and infections. Radiology is also important in ruling out functional types of large bowel obstruction, such as Ogilvie syndrome (acute colonic pseudo-obstruction) and toxic megacolon[29,30]. Differentiation between total mechanical obstruction and partial obstruction or pseudo-obstruction is important because complete obstruction is typically treated surgically, whereas the others can be treated with medication or simple bowel rest. Misdiagnosis can result in considerable morbidity and mortality[14,26,29,30]. Computed tomography is particularly helpful in identifying pseudo-obstruction or megacolon, which typically lacks a transition point or definitive area of caliber change[14].

RESIDUAL DISEASE VS RECURRENT DISEASE

Qiu et al’s[10] nomogram is based on the presence or absence of recurrent disease. Since it is such a critical parameter of the study, it is important to define “recurrence”, because what is sometimes described as recurrence could simply be “residual tumor” left behind at the time of surgery. Recurrence is defined by the American Joint Committee on Cancer and the Union for International Cancer Control as the appearance of cancer after a disease-free interval. Although recurrence is presumably the result of residual cancer, the defining feature is that the cancer must be undetectable in the immediate aftermath of the treatment[31-34]. Thus, it is generally easier to envisage tumor eradication in patients who undergo resection for primary non-metastatic CRC with curative intent[35,36]. In contrast, residual disease denotes the presence of microscopic or macroscopic tumor after treatment. The treatment modality can be surgical, chemo-/radiotherapy, or other modalities/combinations. The residual disease can be at the level of the primary tumor (e.g., positive surgical resection margins), in regional lymph nodes, or at distant sites. Based on the American Joint Committee on Cancer and the Union for International Cancer Control, residual disease can be classified into three categories: R0, R1, and R2[31-34]. The R0 classification applies to cases in which residual tumor cannot be detected by conventional diagnostic methods, i.e., it is the desired outcome in surgical resection with curative intent. The R1 category applies to residual disease found by histologic examination either at the resection site or distant sites at the time of surgery[31,35]. In this regard, R1 disease tends to be more common in rectal cancer than in right- or left-sided colon cancers. R2 refers to macroscopically visible residual tumor, either clinically or pathologically. The reporting of residual disease (R status) is not clear in Qiu et al’s study[10].

As most tumors in Qiu et al’s study[10] were advanced and required emergency surgery, some cases would not have been treated with curative intent. In fact, 90 patients (i.e., approximately 50%) underwent palliative resection, which implies the presence of residual disease. Parenthetically, none of the patients were classified as stage IV, which is somewhat unusual considering the large size of the primary tumors (mean diameter approximately 5 cm). Studies have also shown that the likelihood of residual tumor after cancer therapy increases progressively with higher disease stage[31,34].

While the established classification of residual disease (R0–R2) is useful, this approach has limitations, as highlighted by the increasingly promulgated concept of minimal residual disease (MRD). MRD is defined as clinically undetectable microscopic disease remaining after curative treatment[37,38]. As such, it holds the potential to precipitate disease relapse. Recently, there has been growing interest in the potential of circulating biomarkers in detecting MRD[37-39].

CIRCULATING BIOMARKERS

The traditional circulating biomarker used for CRC is carcinoembryonic antigen, which was one of the biomarkers evaluated by Qiu et al[10]. However, its levels can be elevated in benign conditions such as inflammatory bowel disease, diverticulitis, pancreatitis, and liver disease, as well as in cigarette smokers and individuals who consume alcohol[39,40]. This limits its role as a screening tool for CRC. However, when initiated in the preoperative setting, it has been validated as a surrogate of disease burden for patients undergoing CRC resection as well as a predictor of cancer recurrence[40].

More recent advances in genomics and cell biology have stimulated renewed interest in liquid biopsy techniques such as circulating tumor DNA, cell-free DNA, circulating tumor RNA, circulating total nucleic acid, tumor-educated platelets, and plasma proteomics[39-42]. They offer distinct advantages such as simplicity in sampling, minimal invasiveness, and improved ability to capture intratumor heterogeneity. Additionally, they detect real-time cancer dynamics compared to archival material from tissue biopsies or resection specimens. For tumors that have not yet metastasized, liquid biopsy can be helpful in identifying MRD, potentially guiding adjuvant treatment and reducing overtreatment. In the metastatic setting, liquid biopsy is useful for real-time treatment monitoring, tracking of clonal evolution, and assessing mechanisms of resistance. The integration of these techniques into clinical practice could enhance therapeutic strategies and curtail unnecessary interventions[41,42]. Collectively, these emerging techniques promise to revolutionize noninvasive cancer diagnostics and monitoring. However, there is currently wide variability in how the biomarker assays are developed and validated. Standardization is needed to ensure consistency, reliability, and wider clinical acceptance of these approaches[39-42].

HETEROGENEITY OF THE MLBO GROUP

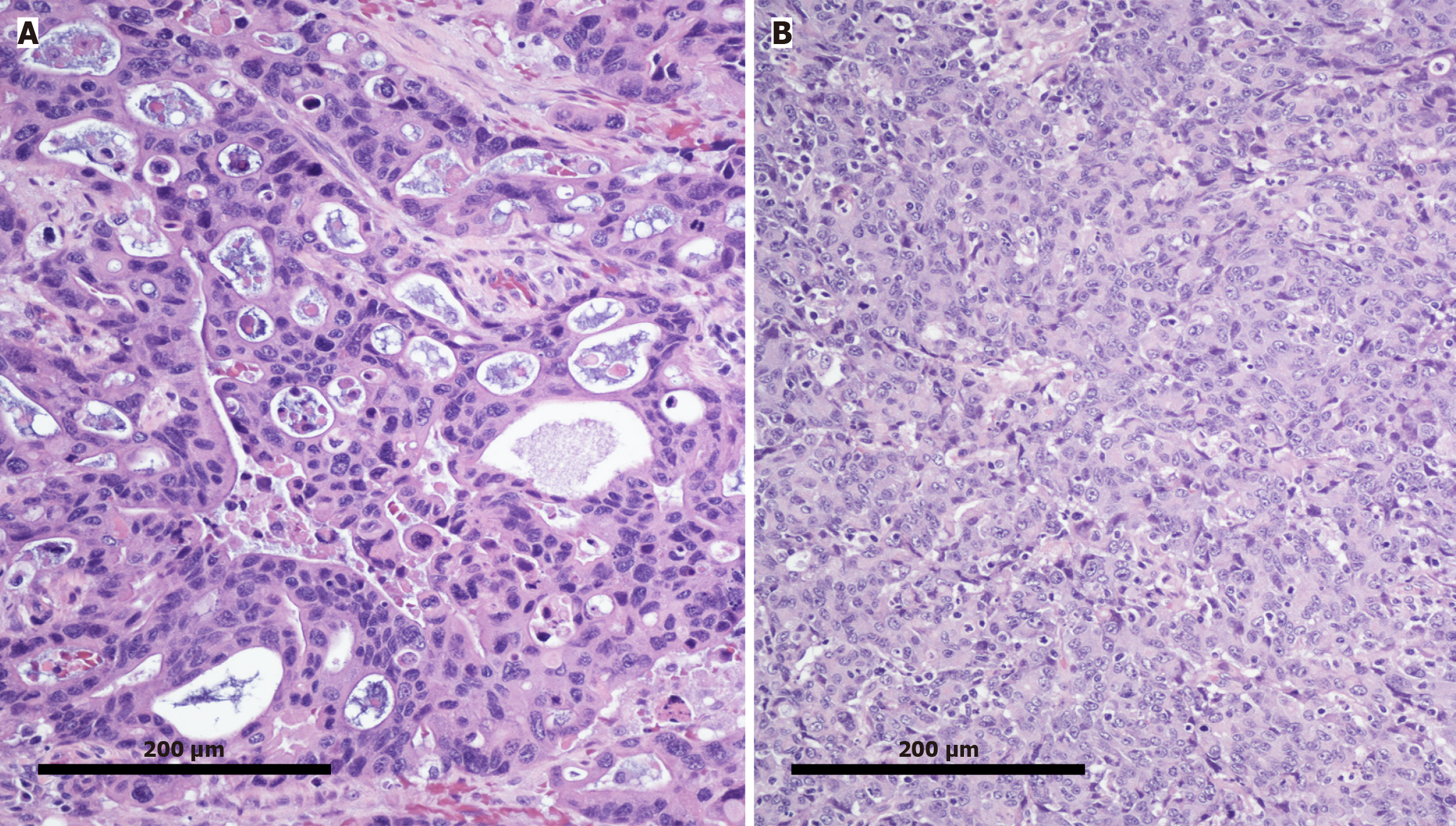
The prevalence and distribution of the histologic subtypes of CRC vary according to tumor location in the large bowel. For example, the proportion of microsatellite instability-high, mucinous, medullary, and signet-ring cell carcinomas is higher on the right side, whereas conventional adenocarcinoma is relatively more prevalent on the left side[43-47] (Figure 2). Notably, Qiu et al’s study[10] had a disproportionately large percentage of mucinous tumors (57%), even though this subtype typically accounts for only approximately 10% of all CRCs[43,48]. Mucinous adenocarcinomas are more likely to dissect tissue planes, aiding their spread and exacerbating tumor dissemination and progression. The incidence of peritoneal carcinomatosis is higher in right-sided cancers, while that of hepatic and pulmonary metastases is higher in left-sided cancers[44,49,50]. These biological and anatomical differences may influence disease behavior and outcomes, potentially affecting the functionality of Qiu et al’s[10] nomogram.

Figure 2
Figure 2 Histologic comparison of colorectal carcinoma subtypes. A: High-power view of a conventional adenocarcinoma, not otherwise specified, which is the commonest subtype of colorectal cancer. There is architectural disorganization with partial glandular fusion, consistent with a moderately differentiated (grade 2) adenocarcinoma; B: High-power view of a medullary carcinoma of the colon. Unlike conventional adenocarcinoma, this subtype exhibits diffuse proliferation of epithelial cells without glandular formation and is therefore commonly described as an undifferentiated carcinoma. Paradoxically, it generally has a better prognosis compared to conventional adenocarcinoma.

Medullary carcinomas (Figure 2B) are commonly described as poorly differentiated or undifferentiated; however, they have a significantly better prognosis than conventional poorly differentiated adenocarcinomas[43,51,52]. This underscores a limitation of Qiu et al’s[10] nomogram, which incorporates tumor grade without taking into account the tumor subtype.

It should also be noted that within the context of left-sided colon cancers, rectal cancers are often regarded as a separate entity because stage II/III rectal tumors have a different treatment paradigm compared to other CRCs. For example, neoadjuvant or total neoadjuvant therapy is commonly deployed for this cohort[47,53,54]. Qiu et al’s[10] study, however, does not clarify whether neoadjuvant treatment was administered in any of the 61 rectal cancer cases included. In addition, the study does not provide sufficient information on the effect of adjuvant chemoradiation or immunotherapy on disease recurrence[47,55-57]. Furthermore, with regard to tumor biology, several parameters such as lymphovascular invasion, extramural vascular invasion, and tumor budding are regarded as very important parameters in CRC progression. Their omission from Qiu et al’s[10] predictive model could raise questions regarding its practicality and applicability for patients with MLBO. Overall, the heterogeneity within the study cohort of Qiu et al[10] could be a confounding factor that limits the generalizability of their findings and nomogram. Taken together, this means that comparisons between recurrence and non-recurrence groups in MLBO will carry more weight and provide deeper insights if the heterogeneity of disease biology is taken into account.

PERFORATION

Owing to the generation of intraluminal pressure as a result of obstruction, MLBO is more likely to be complicated by perforation compared to non-obstructive tumors. According to Laplace’s law, the right colon, which is more capacious and relatively thin-walled, is particularly prone to perforation[14]. In severe cases, especially when the ileocecal valve is competent, an outright cecal blowout may occur[28]. Perforation provides cancer cells direct access to the peritoneal cavity, thus upstaging the tumor and considerably raising the prospect of tumor recurrence. Notably, perforation is not mentioned as a complication or included as a parameter in the cases analyzed by Qiu et al[10].

FUTURE DIRECTIONS
MLBO nomograms based on larger studies with more statistical power

While Qiu et al’s study[10] is commendable, future studies could enhance such predictive models by enrolling larger numbers of patients. This would provide more statistical power to overcome the limitations arising from a small sample size/multiple parameters.

Randomized controlled studies on SEMS

More randomized controlled studies are required with respect to: (1) The type of SEMS deployed, including covered, uncovered, or partially covered designs[21,22,25,58,59]; (2) Optimal timing between insertion of SEMS and surgery; (3) Long-term oncological outcomes, as current research predominantly focuses on the well-documented short-term benefits of SEMS[25]; and (4) Use of neoadjuvant or adjuvant therapy with SEMS in situ (e.g., anti-angiogenic drugs such as bevacizumab)[23-25].

Liquid biopsy and MRD

Liquid biopsies are increasingly being integrated into the management algorithms of CRC, as they can offer insights into MRD through tumor genomics, transcriptomics, and proteomics. However, there is currently much variability in assay protocols, which complicates interpretation and clinical adoption[25,41,42]. Thus, there is a need to standardize methodologies and develop uniform clinical recommendations for serial sampling, testing frequency, and actionable thresholds.

CONCLUSION

MLBO accounts for a disproportionately large percentage of colorectal cancer emergencies. Traditionally, it was treated by emergency surgery, which, depending on the circumstances, could involve primary resection or staged procedures. However, this was associated with considerable morbidity and mortality. Qiu et al[10] sought to address this by creating a nomogram that can be used as a benchmark in the management of such patients. Although the nomogram is meant to be a predictive model for recurrence, it is only based on a snapshot of parameters assessed at 2 years. To be of maximum benefit to patients consenting for surgery and their caregivers, the performance of the model should be assessed over both the short and long term (e.g., 30, 60, and 90 days as well as 1, 2, and 5 years and beyond). Secondly, the heterogeneity of CRC, such as the differences between right-sided, left-sided, and rectal cancers, limits the applicability of a one-size-fits-all nomogram. Lastly, the increasing acceptance of SEMSs as an alternative to emergency surgery provides significant benefits for patients with MLBO.

References
1.  Roshandel G, Ghasemi-Kebria F, Malekzadeh R. Colorectal Cancer: Epidemiology, Risk Factors, and Prevention. Cancers (Basel). 2024;16:1530.  [RCA]  [PubMed]  [DOI]  [Full Text]  [Full Text (PDF)]  [Cited by in RCA: 192]  [Reference Citation Analysis (1)]
2.  Pinheiro M, Moreira DN, Ghidini M. Colon and rectal cancer: An emergent public health problem. World J Gastroenterol. 2024;30:644-651.  [RCA]  [PubMed]  [DOI]  [Full Text]  [Full Text (PDF)]  [Cited by in CrossRef: 20]  [Cited by in RCA: 38]  [Article Influence: 19.0]  [Reference Citation Analysis (6)]
3.  Ribeiro IB, Bernardo WM, Martins BDC, de Moura DTH, Baba ER, Josino IR, Miyahima NT, Coronel Cordero MA, Visconti TAC, Ide E, Sakai P, de Moura EGH. Colonic stent versus emergency surgery as treatment of malignant colonic obstruction in the palliative setting: a systematic review and meta-analysis. Endosc Int Open. 2018;6:E558-E567.  [RCA]  [PubMed]  [DOI]  [Full Text]  [Full Text (PDF)]  [Cited by in Crossref: 84]  [Cited by in RCA: 75]  [Article Influence: 9.4]  [Reference Citation Analysis (0)]
4.  Tekkis PP, Kinsman R, Thompson MR, Stamatakis JD; Association of Coloproctology of Great Britain, Ireland. The Association of Coloproctology of Great Britain and Ireland study of large bowel obstruction caused by colorectal cancer. Ann Surg. 2004;240:76-81.  [RCA]  [PubMed]  [DOI]  [Full Text]  [Cited by in Crossref: 202]  [Cited by in RCA: 220]  [Article Influence: 10.0]  [Reference Citation Analysis (0)]
5.  Guo MG, Feng Y, Liu JZ, Zheng Q, Di JZ, Wang Y, Fan YB, Huang XY. Factors associated with mortality risk for malignant colonic obstruction in elderly patients. BMC Gastroenterol. 2014;14:76.  [RCA]  [PubMed]  [DOI]  [Full Text]  [Full Text (PDF)]  [Cited by in Crossref: 8]  [Cited by in RCA: 10]  [Article Influence: 0.8]  [Reference Citation Analysis (0)]
6.  Jiménez-Pérez J, Casellas J, García-Cano J, Vandervoort J, García-Escribano OR, Barcenilla J, Delgado AA, Goldberg P, Gonzalez-Huix F, Vázquez-Astray E, Meisner S. Colonic stenting as a bridge to surgery in malignant large-bowel obstruction: a report from two large multinational registries. Am J Gastroenterol. 2011;106:2174-2180.  [RCA]  [PubMed]  [DOI]  [Full Text]  [Cited by in Crossref: 81]  [Cited by in RCA: 73]  [Article Influence: 4.9]  [Reference Citation Analysis (0)]
7.  CReST Collaborative Group. Colorectal Endoscopic Stenting Trial (CReST) for obstructing left-sided colorectal cancer: randomized clinical trial. Br J Surg. 2022;109:1073-1080.  [RCA]  [PubMed]  [DOI]  [Full Text]  [Cited by in Crossref: 34]  [Cited by in RCA: 48]  [Article Influence: 12.0]  [Reference Citation Analysis (0)]
8.  Yang Z, Wang L, Kang L, Xiang J, Peng J, Cui J, Huang Y, Wang J. Clinicopathologic characteristics and outcomes of patients with obstructive colorectal cancer. J Gastrointest Surg. 2011;15:1213-1222.  [RCA]  [PubMed]  [DOI]  [Full Text]  [Cited by in Crossref: 39]  [Cited by in RCA: 47]  [Article Influence: 3.1]  [Reference Citation Analysis (0)]
9.  Wang X, He J, Chen X, Yang Q. Stenting as a bridge to resection versus emergency surgery for left-sided colorectal cancer with malignant obstruction: A systematic review and meta-analysis. Int J Surg. 2017;48:64-68.  [RCA]  [PubMed]  [DOI]  [Full Text]  [Cited by in Crossref: 25]  [Cited by in RCA: 33]  [Article Influence: 3.7]  [Reference Citation Analysis (0)]
10.  Qiu J, Wu JZ, Gu ZG, Qian JW, Shen T. Influencing factors and predictive model of the early postoperative recurrence of colorectal cancer with obstruction. World J Gastrointest Surg. 2025;17:110695.  [RCA]  [PubMed]  [DOI]  [Full Text]  [Full Text (PDF)]  [Cited by in RCA: 1]  [Reference Citation Analysis (0)]
11.  McHugh FT, Ryan ÉJ, Ryan OK, Tan J, Boland PA, Whelan MC, Kelly ME, McNamara D, Neary PC, O'Riordan JM, Kavanagh DO. Management Strategies for Malignant Left-Sided Colonic Obstruction: A Systematic Review and Network Meta-analysis of Randomized Controlled Trials and Propensity Score Matching Studies. Dis Colon Rectum. 2024;67:878-894.  [RCA]  [PubMed]  [DOI]  [Full Text]  [Cited by in RCA: 6]  [Reference Citation Analysis (0)]
12.  Iversen LH, Kratmann M, Bøje M, Laurberg S. Self-expanding metallic stents as bridge to surgery in obstructing colorectal cancer. Br J Surg. 2011;98:275-281.  [RCA]  [PubMed]  [DOI]  [Full Text]  [Cited by in Crossref: 32]  [Cited by in RCA: 33]  [Article Influence: 2.2]  [Reference Citation Analysis (0)]
13.  Arezzo A, Balague C, Targarona E, Borghi F, Giraudo G, Ghezzo L, Arroyo A, Sola-Vera J, De Paolis P, Bossotti M, Bannone E, Forcignanò E, Bonino MA, Passera R, Morino M. Colonic stenting as a bridge to surgery versus emergency surgery for malignant colonic obstruction: results of a multicentre randomised controlled trial (ESCO trial). Surg Endosc. 2017;31:3297-3305.  [RCA]  [PubMed]  [DOI]  [Full Text]  [Cited by in Crossref: 94]  [Cited by in RCA: 128]  [Article Influence: 12.8]  [Reference Citation Analysis (0)]
14.  Yeo HL, Lee SW. Colorectal emergencies: review and controversies in the management of large bowel obstruction. J Gastrointest Surg. 2013;17:2007-2012.  [RCA]  [PubMed]  [DOI]  [Full Text]  [Cited by in Crossref: 67]  [Cited by in RCA: 76]  [Article Influence: 5.8]  [Reference Citation Analysis (0)]
15.  Davila M. Self-expanding metal stents in malignant colonic obstruction: have we covered all angles? Gastrointest Endosc. 2007;66:937-939.  [RCA]  [PubMed]  [DOI]  [Full Text]  [Cited by in Crossref: 5]  [Cited by in RCA: 3]  [Article Influence: 0.2]  [Reference Citation Analysis (0)]
16.  Mayhew D, Mendonca V, Murthy BVS. A review of ASA physical status - historical perspectives and modern developments. Anaesthesia. 2019;74:373-379.  [RCA]  [PubMed]  [DOI]  [Full Text]  [Cited by in Crossref: 306]  [Cited by in RCA: 627]  [Article Influence: 89.6]  [Reference Citation Analysis (0)]
17.  Alvarez JA, Baldonedo RF, Bear IG, Truán N, Pire G, Alvarez P. Presentation, treatment, and multivariate analysis of risk factors for obstructive and perforative colorectal carcinoma. Am J Surg. 2005;190:376-382.  [RCA]  [PubMed]  [DOI]  [Full Text]  [Cited by in Crossref: 78]  [Cited by in RCA: 84]  [Article Influence: 4.0]  [Reference Citation Analysis (0)]
18.  Hedrick TL. Challenges in the treatment of obstructing colon cancer: The role of neoadjuvant chemotherapy. Surgery. 2021;169:1280.  [RCA]  [PubMed]  [DOI]  [Full Text]  [Cited by in Crossref: 1]  [Cited by in RCA: 3]  [Article Influence: 0.5]  [Reference Citation Analysis (0)]
19.  Brisinda G, Chiarello MM, Pepe G, Cariati M, Fico V, Mirco P, Bianchi V. Anastomotic leakage in rectal cancer surgery: Retrospective analysis of risk factors. World J Clin Cases. 2022;10:13321-13336.  [RCA]  [PubMed]  [DOI]  [Full Text]  [Full Text (PDF)]  [Cited by in CrossRef: 17]  [Cited by in RCA: 18]  [Article Influence: 4.5]  [Reference Citation Analysis (2)]
20.  Petra G, Kritsotakis EI, Gouvas N, Schizas D, Toutouzas K, Karanikas M, Pappas-Gogos G, Stylianidis G, Zacharioudakis G, Laliotis A, Christodoulidis G, Kehagias I, Lasithiotakis K; MATS Study Group. Multicentre prospective study on the diagnostic and prognostic validity of malnutrition assessment tools in surgery. Br J Surg. 2025;112:znaf013.  [RCA]  [PubMed]  [DOI]  [Full Text]  [Full Text (PDF)]  [Cited by in Crossref: 17]  [Cited by in RCA: 15]  [Article Influence: 15.0]  [Reference Citation Analysis (0)]
21.  Telford JJ, Carr-Locke DL, Baron TH, Poneros JM, Bounds BC, Kelsey PB, Schapiro RH, Huang CS, Lichtenstein DR, Jacobson BC, Saltzman JR, Thompson CC, Forcione DG, Gostout CJ, Brugge WR. A randomized trial comparing uncovered and partially covered self-expandable metal stents in the palliation of distal malignant biliary obstruction. Gastrointest Endosc. 2010;72:907-914.  [RCA]  [PubMed]  [DOI]  [Full Text]  [Cited by in Crossref: 179]  [Cited by in RCA: 188]  [Article Influence: 11.8]  [Reference Citation Analysis (0)]
22.  Mashar M, Mashar R, Hajibandeh S. Uncovered versus covered stent in management of large bowel obstruction due to colorectal malignancy: a systematic review and meta-analysis. Int J Colorectal Dis. 2019;34:773-785.  [RCA]  [PubMed]  [DOI]  [Full Text]  [Cited by in Crossref: 21]  [Cited by in RCA: 29]  [Article Influence: 4.1]  [Reference Citation Analysis (0)]
23.  Han JG, Wang ZJ, Dai Y, Li XR, Qian Q, Wang GY, Zhai ZW, Zeng WG. Short-term Outcomes of Elective Surgery Following Self-Expandable Metallic Stent and Neoadjuvant Chemotherapy in Patients With Left-Sided Colon Cancer Obstruction. Dis Colon Rectum. 2023;66:1319-1328.  [RCA]  [PubMed]  [DOI]  [Full Text]  [Cited by in Crossref: 8]  [Cited by in RCA: 13]  [Article Influence: 4.3]  [Reference Citation Analysis (0)]
24.  Yang L, Ma W, Wang M, Zhang R, Bi T, Zhou S. Efficacy of intestinal obstruction stent combined with laparoscopic surgery and neoadjuvant chemotherapy in patients with obstructive colorectal cancer. Oncol Lett. 2019;18:1931-1937.  [RCA]  [PubMed]  [DOI]  [Full Text]  [Full Text (PDF)]  [Cited by in Crossref: 4]  [Cited by in RCA: 9]  [Article Influence: 1.3]  [Reference Citation Analysis (0)]
25.  Cardoso PM, Rodrigues-Pinto E. Self-Expandable Metal Stents for Obstructing Colon Cancer and Extracolonic Cancer: A Review of Latest Evidence. Cancers (Basel). 2024;17:87.  [RCA]  [PubMed]  [DOI]  [Full Text]  [Cited by in RCA: 6]  [Reference Citation Analysis (0)]
26.  Lingham G, Okocha M, Griffiths B. Acute large bowel obstruction. Br J Surg. 2024;111:znae202.  [RCA]  [PubMed]  [DOI]  [Full Text]  [Cited by in RCA: 2]  [Reference Citation Analysis (0)]
27.  Kuwai T, Mizumoto T, Tamaru Y, Kusunoki R, Ishaq S. Challenges in colonic stenting: Giving up is not an option. Dig Endosc. 2022;34:1491-1493.  [RCA]  [PubMed]  [DOI]  [Full Text]  [Cited by in RCA: 2]  [Reference Citation Analysis (0)]
28.  Veld JV, Beek KJ, Consten ECJ, Ter Borg F, van Westreenen HL, Bemelman WA, van Hooft JE, Tanis PJ. Definition of large bowel obstruction by primary colorectal cancer: A systematic review. Colorectal Dis. 2021;23:787-804.  [RCA]  [PubMed]  [DOI]  [Full Text]  [Full Text (PDF)]  [Cited by in Crossref: 1]  [Cited by in RCA: 6]  [Article Influence: 1.2]  [Reference Citation Analysis (0)]
29.  Ross SW, Oommen B, Wormer BA, Walters AL, Augenstein VA, Heniford BT, Sing RF, Christmas AB. Acute Colonic Pseudo-obstruction: Defining the Epidemiology, Treatment, and Adverse Outcomes of Ogilvie's Syndrome. Am Surg. 2016;82:102-111.  [RCA]  [PubMed]  [DOI]  [Full Text]  [Cited by in Crossref: 36]  [Cited by in RCA: 46]  [Article Influence: 4.6]  [Reference Citation Analysis (0)]
30.  Khan Z, Challand CP, Lee MJ. Management of acute colonic pseudo-obstruction: opportunities to improve care? Ann R Coll Surg Engl. 2025;107:106-111.  [RCA]  [PubMed]  [DOI]  [Full Text]  [Cited by in Crossref: 2]  [Cited by in RCA: 4]  [Article Influence: 4.0]  [Reference Citation Analysis (0)]
31.  Wittekind C, Compton CC, Greene FL, Sobin LH. TNM residual tumor classification revisited. Cancer. 2002;94:2511-2516.  [RCA]  [PubMed]  [DOI]  [Full Text]  [Cited by in Crossref: 331]  [Cited by in RCA: 349]  [Article Influence: 14.5]  [Reference Citation Analysis (0)]
32.  Puppa G, Sonzogni A, Colombari R, Pelosi G. TNM staging system of colorectal carcinoma: a critical appraisal of challenging issues. Arch Pathol Lab Med. 2010;134:837-852.  [RCA]  [PubMed]  [DOI]  [Full Text]  [Cited by in Crossref: 108]  [Cited by in RCA: 152]  [Article Influence: 9.5]  [Reference Citation Analysis (0)]
33.  Maguire A, Sheahan K. Controversies in the pathological assessment of colorectal cancer. World J Gastroenterol. 2014;20:9850-9861.  [RCA]  [PubMed]  [DOI]  [Full Text]  [Full Text (PDF)]  [Cited by in CrossRef: 56]  [Cited by in RCA: 76]  [Article Influence: 6.3]  [Reference Citation Analysis (0)]
34.  Compton CC. Colorectal carcinoma: diagnostic, prognostic, and molecular features. Mod Pathol. 2003;16:376-388.  [RCA]  [PubMed]  [DOI]  [Full Text]  [Cited by in Crossref: 261]  [Cited by in RCA: 281]  [Article Influence: 12.2]  [Reference Citation Analysis (5)]
35.  Wiesmueller F, Schuetz R, Langheinrich M, Brunner M, Weber GF, Grützmann R, Merkel S, Krautz C. Defining early recurrence in patients with resected primary colorectal carcinoma and its respective risk factors. Int J Colorectal Dis. 2021;36:1181-1191.  [RCA]  [PubMed]  [DOI]  [Full Text]  [Full Text (PDF)]  [Cited by in Crossref: 2]  [Cited by in RCA: 9]  [Article Influence: 1.8]  [Reference Citation Analysis (0)]
36.  Coffey JC, Wang JH, Smith MJ, Bouchier-Hayes D, Cotter TG, Redmond HP. Excisional surgery for cancer cure: therapy at a cost. Lancet Oncol. 2003;4:760-768.  [RCA]  [PubMed]  [DOI]  [Full Text]  [Cited by in Crossref: 237]  [Cited by in RCA: 284]  [Article Influence: 12.3]  [Reference Citation Analysis (0)]
37.  Chidharla A, Rapoport E, Agarwal K, Madala S, Linares B, Sun W, Chakrabarti S, Kasi A. Circulating Tumor DNA as a Minimal Residual Disease Assessment and Recurrence Risk in Patients Undergoing Curative-Intent Resection with or without Adjuvant Chemotherapy in Colorectal Cancer: A Systematic Review and Meta-Analysis. Int J Mol Sci. 2023;24:10230.  [RCA]  [PubMed]  [DOI]  [Full Text]  [Full Text (PDF)]  [Cited by in Crossref: 27]  [Cited by in RCA: 49]  [Article Influence: 16.3]  [Reference Citation Analysis (0)]
38.  Faulkner LG, Howells LM, Pepper C, Shaw JA, Thomas AL. The utility of ctDNA in detecting minimal residual disease following curative surgery in colorectal cancer: a systematic review and meta-analysis. Br J Cancer. 2023;128:297-309.  [RCA]  [PubMed]  [DOI]  [Full Text]  [Full Text (PDF)]  [Cited by in Crossref: 15]  [Cited by in RCA: 49]  [Article Influence: 16.3]  [Reference Citation Analysis (0)]
39.  Moyana T, Merz V. Editorial: Molecular markers for pancreatic cancers: new technologies and applications in the clinical practice. Front Oncol. 2025;15:1651566.  [RCA]  [PubMed]  [DOI]  [Full Text]  [Full Text (PDF)]  [Cited by in RCA: 2]  [Reference Citation Analysis (0)]
40.  Janse van Rensburg HJ, Spiliopoulou P, Siu LL. Circulating Biomarkers for Therapeutic Monitoring of Anti-cancer Agents. Oncologist. 2022;27:352-362.  [RCA]  [PubMed]  [DOI]  [Full Text]  [Full Text (PDF)]  [Cited by in Crossref: 1]  [Cited by in RCA: 14]  [Article Influence: 3.5]  [Reference Citation Analysis (0)]
41.  Jin H, Deng K, Qi S, Deng Z, Pu L, Xu D, Jing W, Wang J, Zuo Z, Yang J, Jiang H. Plasma Proteomic High-Performance Biomarkers for Early Diagnosis of Colorectal Cancer. J Proteome Res. 2025;24:5177-5189.  [RCA]  [PubMed]  [DOI]  [Full Text]  [Cited by in RCA: 4]  [Reference Citation Analysis (0)]
42.  Ziranu P, Pretta A, Saba G, Spanu D, Donisi C, Ferrari PA, Cau F, D'Agata AP, Piras M, Mariani S, Puzzoni M, Pusceddu V, Coghe F, Faa G, Scartozzi M. Navigating the Landscape of Liquid Biopsy in Colorectal Cancer: Current Insights and Future Directions. Int J Mol Sci. 2025;26:7619.  [RCA]  [PubMed]  [DOI]  [Full Text]  [Full Text (PDF)]  [Cited by in Crossref: 1]  [Cited by in RCA: 4]  [Article Influence: 4.0]  [Reference Citation Analysis (0)]
43.  Nagtegaal ID, Odze RD, Klimstra D, Paradis V, Rugge M, Schirmacher P, Washington KM, Carneiro F, Cree IA; WHO Classification of Tumours Editorial Board. The 2019 WHO classification of tumours of the digestive system. Histopathology. 2020;76:182-188.  [RCA]  [PubMed]  [DOI]  [Full Text]  [Full Text (PDF)]  [Cited by in Crossref: 2554]  [Cited by in RCA: 2780]  [Article Influence: 463.3]  [Reference Citation Analysis (3)]
44.  Toews KP, Auld FM, Moyana TN. Embryonic Signaling Pathways Shape Colorectal Cancer Subtypes: Linking Gut Development to Tumor Biology. Pathophysiology. 2025;32:52.  [RCA]  [PubMed]  [DOI]  [Full Text]  [Full Text (PDF)]  [Cited by in RCA: 1]  [Reference Citation Analysis (0)]
45.  Salem ME, Weinberg BA, Xiu J, El-Deiry WS, Hwang JJ, Gatalica Z, Philip PA, Shields AF, Lenz HJ, Marshall JL. Comparative molecular analyses of left-sided colon, right-sided colon, and rectal cancers. Oncotarget. 2017;8:86356-86368.  [RCA]  [PubMed]  [DOI]  [Full Text]  [Full Text (PDF)]  [Cited by in Crossref: 134]  [Cited by in RCA: 172]  [Article Influence: 19.1]  [Reference Citation Analysis (0)]
46.  Auld FM, Moyana TN. Invasive stratified mucin-producing carcinoma of the colorectum: expanding the morphologic spectrum of large bowel cancer. Diagn Pathol. 2023;18:113.  [RCA]  [PubMed]  [DOI]  [Full Text]  [Full Text (PDF)]  [Cited by in RCA: 3]  [Reference Citation Analysis (0)]
47.  Brulé SY, Jonker DJ, Karapetis CS, O'Callaghan CJ, Moore MJ, Wong R, Tebbutt NC, Underhill C, Yip D, Zalcberg JR, Tu D, Goodwin RA. Location of colon cancer (right-sided versus left-sided) as a prognostic factor and a predictor of benefit from cetuximab in NCIC CO.17. Eur J Cancer. 2015;51:1405-1414.  [RCA]  [PubMed]  [DOI]  [Full Text]  [Cited by in Crossref: 247]  [Cited by in RCA: 260]  [Article Influence: 23.6]  [Reference Citation Analysis (0)]
48.  Huang A, Yang Y, Shi JY, Li YK, Xu JX, Cheng Y, Gu J. Mucinous adenocarcinoma: A unique clinicopathological subtype in colorectal cancer. World J Gastrointest Surg. 2021;13:1567-1583.  [RCA]  [PubMed]  [DOI]  [Full Text]  [Full Text (PDF)]  [Cited by in CrossRef: 6]  [Cited by in RCA: 50]  [Article Influence: 10.0]  [Reference Citation Analysis (2)]
49.  Baran B, Mert Ozupek N, Yerli Tetik N, Acar E, Bekcioglu O, Baskin Y. Difference Between Left-Sided and Right-Sided Colorectal Cancer: A Focused Review of Literature. Gastroenterology Res. 2018;11:264-273.  [RCA]  [PubMed]  [DOI]  [Full Text]  [Full Text (PDF)]  [Cited by in Crossref: 172]  [Cited by in RCA: 372]  [Article Influence: 46.5]  [Reference Citation Analysis (1)]
50.  Xia W, Geng Y, Hu W. Peritoneal Metastasis: A Dilemma and Challenge in the Treatment of Metastatic Colorectal Cancer. Cancers (Basel). 2023;15:5641.  [RCA]  [PubMed]  [DOI]  [Full Text]  [Full Text (PDF)]  [Cited by in Crossref: 1]  [Cited by in RCA: 22]  [Article Influence: 7.3]  [Reference Citation Analysis (0)]
51.  Friedman K, Brodsky AS, Lu S, Wood S, Gill AJ, Lombardo K, Yang D, Resnick MB. Medullary carcinoma of the colon: a distinct morphology reveals a distinctive immunoregulatory microenvironment. Mod Pathol. 2016;29:528-541.  [RCA]  [PubMed]  [DOI]  [Full Text]  [Cited by in Crossref: 46]  [Cited by in RCA: 66]  [Article Influence: 6.6]  [Reference Citation Analysis (0)]
52.  Pyo JS, Sohn JH, Kang G. Medullary carcinoma in the colorectum: a systematic review and meta-analysis. Hum Pathol. 2016;53:91-96.  [RCA]  [PubMed]  [DOI]  [Full Text]  [Cited by in Crossref: 43]  [Cited by in RCA: 39]  [Article Influence: 3.9]  [Reference Citation Analysis (0)]
53.  Verheij FS, Omer DM, Williams H, Lin ST, Qin LX, Buckley JT, Thompson HM, Yuval JB, Kim JK, Dunne RF, Marcet J, Cataldo P, Polite B, Herzig DO, Liska D, Oommen S, Friel CM, Ternent C, Coveler AL, Hunt S, Gregory A, Varma MG, Bello BL, Carmichael JC, Krauss J, Gleisner A, Guillem JG, Temple L, Goodman KA, Segal NH, Cercek A, Yaeger R, Nash GM, Widmar M, Wei IH, Pappou EP, Weiser MR, Paty PB, Smith JJ, Wu AJ, Gollub MJ, Saltz LB, Garcia-Aguilar J. Long-Term Results of Organ Preservation in Patients With Rectal Adenocarcinoma Treated With Total Neoadjuvant Therapy: The Randomized Phase II OPRA Trial. J Clin Oncol. 2024;42:500-506.  [RCA]  [PubMed]  [DOI]  [Full Text]  [Cited by in Crossref: 67]  [Cited by in RCA: 209]  [Article Influence: 104.5]  [Reference Citation Analysis (0)]
54.  Scott AJ, Kennedy EB, Berlin J, Brown G, Chalabi M, Cho MT, Cusnir M, Dorth J, George M, Kachnic LA, Kennecke HF, Loree JM, Morris VK, Perez RO, Smith JJ, Strickland MR, Gholami S. Management of Locally Advanced Rectal Cancer: ASCO Guideline. J Clin Oncol. 2024;42:3355-3375.  [RCA]  [PubMed]  [DOI]  [Full Text]  [Cited by in Crossref: 2]  [Cited by in RCA: 83]  [Article Influence: 41.5]  [Reference Citation Analysis (0)]
55.  Naidoo M, Gibbs P, Tie J. ctDNA and Adjuvant Therapy for Colorectal Cancer: Time to Re-Invent Our Treatment Paradigm. Cancers (Basel). 2021;13:346.  [RCA]  [PubMed]  [DOI]  [Full Text]  [Full Text (PDF)]  [Cited by in Crossref: 33]  [Cited by in RCA: 50]  [Article Influence: 10.0]  [Reference Citation Analysis (0)]
56.  Yang L, Yang J, Kleppe A, Danielsen HE, Kerr DJ. Personalizing adjuvant therapy for patients with colorectal cancer. Nat Rev Clin Oncol. 2024;21:67-79.  [RCA]  [PubMed]  [DOI]  [Full Text]  [Cited by in RCA: 71]  [Reference Citation Analysis (0)]
57.  Chan GHJ, Chee CE. Making sense of adjuvant chemotherapy in colorectal cancer. J Gastrointest Oncol. 2019;10:1183-1192.  [RCA]  [PubMed]  [DOI]  [Full Text]  [Cited by in Crossref: 50]  [Cited by in RCA: 71]  [Article Influence: 10.1]  [Reference Citation Analysis (0)]
58.  Ferreira-Silva J, Medas R, Girotra M, Barakat M, Tabibian JH, Rodrigues-Pinto E. Futuristic Developments and Applications in Endoluminal Stenting. Gastroenterol Res Pract. 2022;2022:6774925.  [RCA]  [PubMed]  [DOI]  [Full Text]  [Full Text (PDF)]  [Cited by in Crossref: 4]  [Cited by in RCA: 6]  [Article Influence: 1.5]  [Reference Citation Analysis (3)]
59.  Srinivasan N, Kozarek RA. Stents for colonic strictures: Materials, designs, and more. Tech Gastrointest Endosc. 2014;16:100-107.  [RCA]  [PubMed]  [DOI]  [Full Text]  [Cited by in Crossref: 6]  [Cited by in RCA: 5]  [Article Influence: 0.4]  [Reference Citation Analysis (0)]
Footnotes

Provenance and peer review: Invited article; Externally peer reviewed.

Peer-review model: Single blind

Specialty type: Gastroenterology and hepatology

Country of origin: Canada

Peer-review report’s classification

Scientific Quality: Grade B, Grade C, Grade D, Grade D

Novelty: Grade C, Grade C, Grade C, Grade D

Creativity or Innovation: Grade C, Grade C, Grade C, Grade D

Scientific Significance: Grade B, Grade C, Grade D, Grade D

Open Access: This article is an open-access article that was selected by an in-house editor and fully peer-reviewed by external reviewers. It is distributed in accordance with the Creative Commons Attribution NonCommercial (CC BY-NC 4.0) license, which permits others to distribute, remix, adapt, build upon this work non-commercially, and license their derivative works on different terms, provided the original work is properly cited and the use is non-commercial. See: https://creativecommons.org/Licenses/by-nc/4.0/

P-Reviewer: Kehagias D, PhD, Greece; Topcu R, Associate Professor, Türkiye S-Editor: Zuo Q L-Editor: Filipodia P-Editor: Xu J