Copyright: ©Author(s) 2026.
World J Gastrointest Surg. Apr 27, 2026; 18(4): 117397
Published online Apr 27, 2026. doi: 10.4240/wjgs.v18.i4.117397
Published online Apr 27, 2026. doi: 10.4240/wjgs.v18.i4.117397
Figure 1
Flowchart of cases selection.
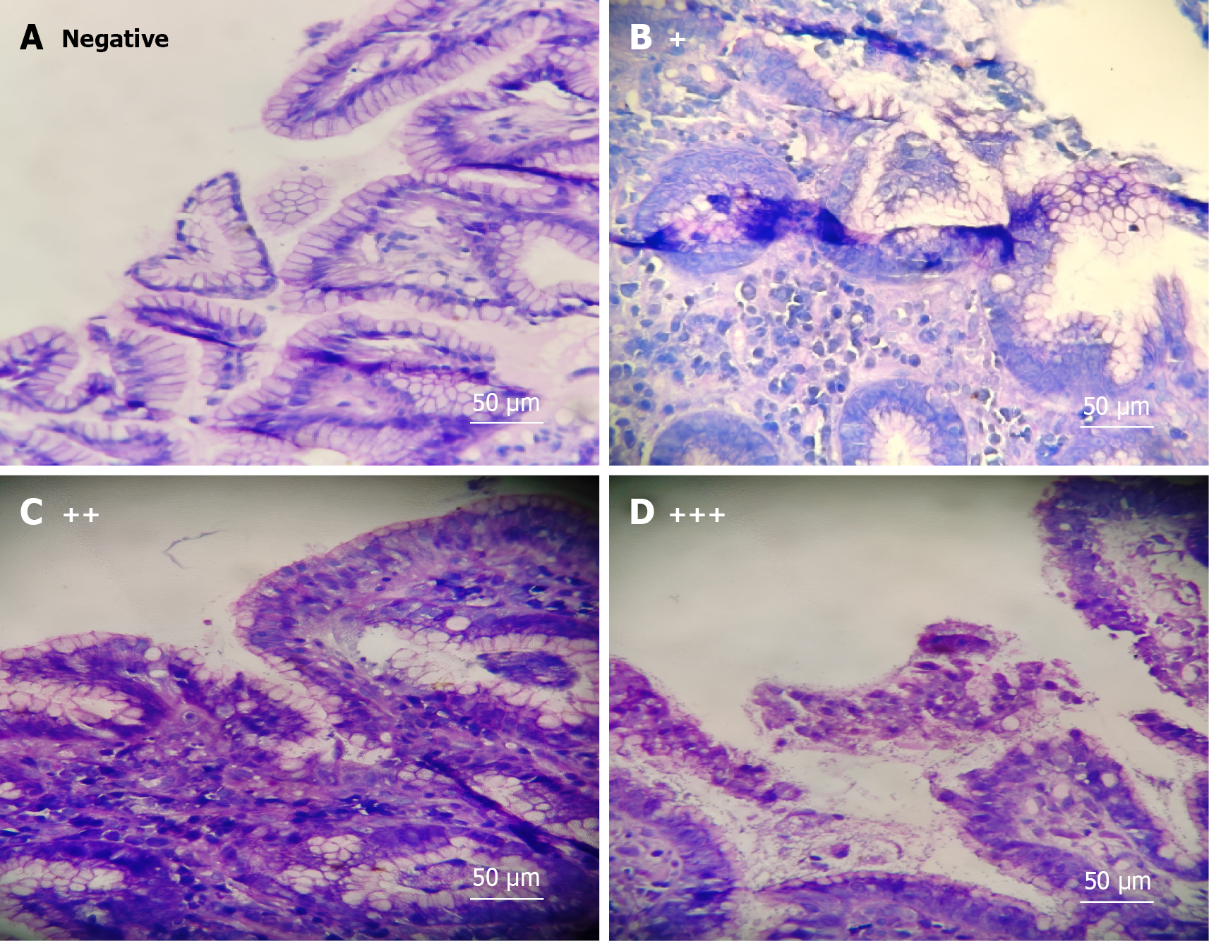
Figure 2 Helicobacter pylori infection levels.
A: Negative: No Helicobacter pylori (H. pylori) observed on special stained sections; B: +: Rare H. pylori or a few H. pylori observed in less than 1/3 of the entire specimen length; C: ++: H. pylori distribution equal to or exceeding 1/3 but less than 2/3 of the entire specimen length, or present in a continuous thin and sparse layer on the epithelial surface; D: +++: H. pylori present in clusters, essentially distributed along the entire specimen length.
Figure 3 Advanced adenomas.
A: Multivariable logistic regression for advanced adenomas. Unadjusted model: All variables were included, and then P values were calculated separately. Adjusted model: Adjusted for age and sex. Sex and age were included in the model as covariates, with both being categorical variables. Female as reference for sex; age < 40 years as reference for age; Helicobacter pylori negative as reference exposure; B: Receiver operating characteristic curve for adjusted model of advanced adenomas. H. pylori: Helicobacter pylori; CI: Confidence interval; AUC: Area under the curve.
Figure 4 Colorectal cancer.
A: Multivariable logistic regression for colorectal cancer. Unadjusted model: All variables were included, and then P values were calculated separately. Adjusted model: Adjusted for age and sex. Sex and age were included in the model as covariates, with both being categorical variables. Female as reference for sex; age < 40 years as reference for age; Helicobacter pylori negative as reference exposure; B: Receiver operating characteristic curve for adjusted model of colorectal cancer. H. pylori: Helicobacter pylori; CI: Confidence interval; AUC: Area under the curve.
- Citation: Shan N, Hou JJ, Jin CQ, Jin Q, Qin YH, Li WW. Helicobacter pylori positively associated with colorectal cancer and advanced, but not low-risk, adenomas: A retrospective study in China. World J Gastrointest Surg 2026; 18(4): 117397
- URL: https://www.wjgnet.com/1948-9366/full/v18/i4/117397.htm
- DOI: https://dx.doi.org/10.4240/wjgs.v18.i4.117397
