Copyright: ©Author(s) 2026.
World J Gastrointest Surg. Mar 27, 2026; 18(3): 115320
Published online Mar 27, 2026. doi: 10.4240/wjgs.v18.i3.115320
Published online Mar 27, 2026. doi: 10.4240/wjgs.v18.i3.115320
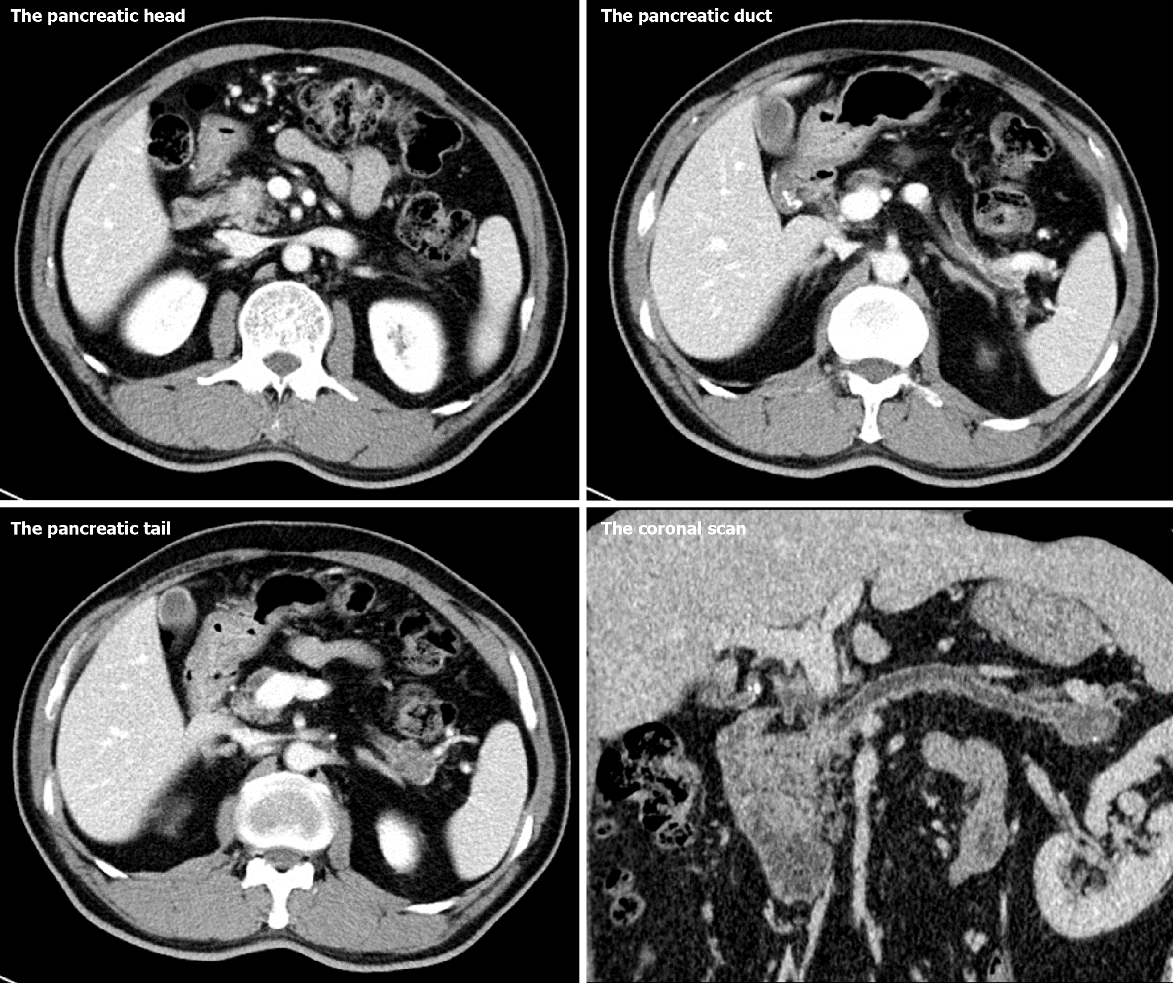
Figure 1 High-resolution computed tomography with three-dimensional reconstruction of the patient.
Figure 2 Positron emission tomography-computed tomography of the patient.
Figure 3 Endoscopic ultrasound of the patient.
Figure 4 The specimen and pathology of the mass at the pancreatic head of the patient.
Figure 5 The whole-genome sequencing analysis of the patient’s tumor sample.
From the inside to outside: (1) Structure variation; (2) Spot mutation variation; and (3) Copy number variation.
Figure 6 The deleterious and tolerated mutation sites of MUC16 in the patient.
- Citation: Li YT, Zhang YP, Fang QD, Wu HW, Xiao Y, Wu WM, Xue HD, Jin ZY, Wang ZW. MUC16 indicates poor prognosis in coexistent pancreatic ductal adenocarcinoma and serous cystadenoma: A case report and review of literature. World J Gastrointest Surg 2026; 18(3): 115320
- URL: https://www.wjgnet.com/1948-9366/full/v18/i3/115320.htm
- DOI: https://dx.doi.org/10.4240/wjgs.v18.i3.115320
