Copyright: ©Author(s) 2026.
World J Diabetes. Mar 15, 2026; 17(3): 116660
Published online Mar 15, 2026. doi: 10.4239/wjd.v17.i3.116660
Published online Mar 15, 2026. doi: 10.4239/wjd.v17.i3.116660
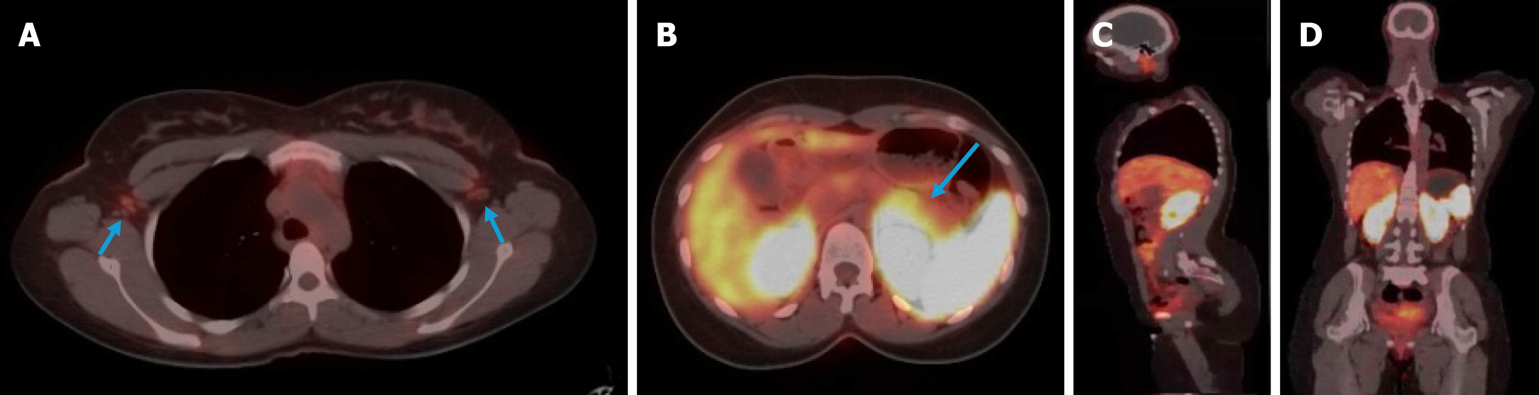
Figure 1 68Ga-DOTATOC positron emission tomography/computed tomography scans.
A: Prominent bilateral axillary lymph nodes with preserved fatty hila (reactive); B: Axial fusion: Diffuse low-grade Somatostatin receptor uptake in pancreatic body/tail (standardized uptake value max 5.1) vs head/neck (3.4); C and D: Coronal and sagittal views showing physiological tracer distribution in liver, spleen, kidneys, marrow and parotid glands.
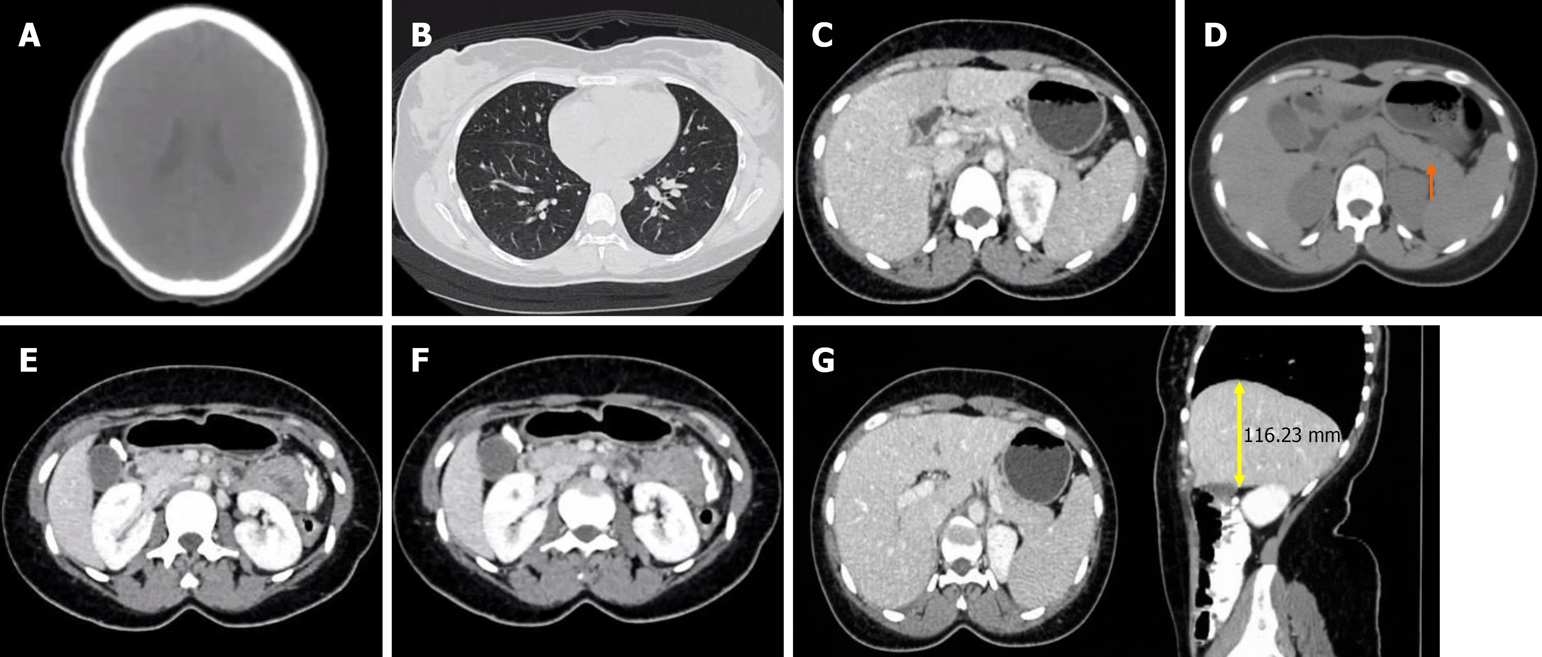
Figure 2 Computed tomography findings.
A: Normal head computed tomography (CT), no metastases; B: Normal chest CT, no lung metastases, no pulmonary or mediastinal lesions; C: Abdominopelvic CT scan showing bulky body and tail of pancreas relative to head; D-G: Abdominopelvic CT showing normal gall bladder, kidneys, stomach, bowel loops and liver (span of 11.6 cm).
Figure 3 Intra-operative photographs.
A: Pancreas noted during laparotomy; B: Ligation across body prior to resection; C: Resected specimen (pancreatic body and tail).
Figure 4 Histopathological images of the pancreatic specimen stained using hematoxylin & eosin stain.
A: Pancreatic architecture with lobules and acini at 100 × magnification; B: Increased numbers of pancreatic islets noted at 400 × magnification; C: Enlarged islet noted at 1000 × magnification.
- Citation: Bavaria S, Chana A, Nurani KM, Kimang’a J. Recurrent hypoglycemia in a young female with nesidioblastosis: A case report and review of literature. World J Diabetes 2026; 17(3): 116660
- URL: https://www.wjgnet.com/1948-9358/full/v17/i3/116660.htm
- DOI: https://dx.doi.org/10.4239/wjd.v17.i3.116660
