Copyright: ©Author(s) 2026.
World J Gastrointest Oncol. Mar 15, 2026; 18(3): 115812
Published online Mar 15, 2026. doi: 10.4251/wjgo.v18.i3.115812
Published online Mar 15, 2026. doi: 10.4251/wjgo.v18.i3.115812
Figure 1 Computed tomography and magnetic resonance imaging images of the liver.
A: Sagittal plane showing lesions in the caudal lobe region (arrow); B: Axial position of lesions in the caudal lobe region (arrow); C: Coronal view showing lesions in the caudal lobe region and enlarged lymph nodes below the caudal lobe (arrow); D: Multiple enlarged lymph nodes in the portal space; E: Lesion in caudal lobe region (T1 sequence) (arrow); F: Multiple enlarged lymph nodes in the portal space on T1 sequence (slightly prolonged T2 signal nodules, partially fused) (arrow); G: Caudal lobe region lesion (T2 sequence); H: Multiple enlarged lymph nodes in the portal space on T2 sequence (slightly prolonged T2 signal nodules, partially fused) (arrow); I: Lesion in the caudal lobe region on the enhanced sequence, appearing as a circular enhancement (coronal plane) (arrow); J: Enlarged lymph nodes in the portal space with high signal intensity on diffusion-weighted imaging (arrow).
Figure 2 Endoscopic ultrasound-guided fine-needle aspiration biopsy procedure.
A: Ultrasound image of the liver (S1 segment) showing a lesion characterized by low-level echoes, measuring approximately 50.5 mm × 25.5 mm (arrow). Internal changes, including high-intensity echoes, were observed within the lesion. It was observed that the lesion surrounded the portal vein and its confluence and was in proximity to the lower segment of the hepatic portal vein. The surrounding low-intensity lymph nodes appear dispersed; B and C: Ultrasound-guided puncture at the lesion site (arrow); D: Perifocal lymph node puncture (arrow).
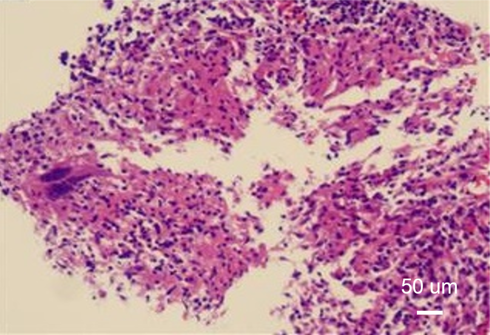
Figure 3 Pathological images of liver biopsy specimens (× 100).
Scattered granulomatous nodules with small areas of focal necrosis observed within the lesion tissue.
Figure 4 Diagnosis and treatment process of hepatic tuberculosis.
ALP: Alkaline Phosphatase; BDLLfxC: Bedaquiline, delamanid, linezolid, levo floxacin, cycloserine; BPaLM: Bedaquiline, pretomanid, linezolid, moxifloxacin; CRP: C-Reactive protein; CT: Computed tomography; DR-TB: Drug-resistant tuberculosis; DS-EPTB: Drug-susceptible extrapulmonary tuberculosis; ESR: Erythrocyte sedimentation rate; EUS-FNA: Endoscopic ultrasound-guided fine-needle aspiration; GGT: Gamma-glutamyl transferase; IGRA: Interferon-gamma release assay; LC-aNAAT: Lipoarabinomannan-capture nucleic acid amplification test; MRI: Magnetic resonance imaging; MTB: Mycobacterium tuberculosis; Pre XDR-TB: Pre-extensively drug-resistant tuberculosis; TBST: Tuberculin skin test; US: Ultrasonography; RIF Ultra: Rifampicin ultra; H: Isoniazid; R: Rifampicin; Z: Pyrazinamide; E: Ethambutol; P: Protionamide; M: Moxifloxacin.
- Citation: Qi DY, Zhao YC, Chen LP. Isolated hepatic tuberculoma: A case report and review of the literature. World J Gastrointest Oncol 2026; 18(3): 115812
- URL: https://www.wjgnet.com/1948-5204/full/v18/i3/115812.htm
- DOI: https://dx.doi.org/10.4251/wjgo.v18.i3.115812
