BPG is committed to discovery and dissemination of knowledge
Case Report Open Access
Copyright: ©Author(s) 2026. This article is an open access article distributed under the terms and conditions of the Creative Commons Attribution-NonCommercial (CC BY-NC 4.0) license. No commercial re-use. See permissions. Published by Baishideng Publishing Group Inc.
World J Gastrointest Endosc. Apr 16, 2026; 18(4): 115366
Published online Apr 16, 2026. doi: 10.4253/wjge.v18.i4.115366
Fecal microbiota transplantation for indolent T-cell lymphoproliferative disorder of gastrointestinal tract: A case report and review of literature
Yi-Ming Yu, Ye Chen, Bing-Yun Lu, Department of Gastroenterology, Integrative Microecology Clinical Center, Shenzhen Key Laboratory of Gastrointestinal Microbiota and Disease, Shenzhen Clinical Research Center for Digestive Disease, Shenzhen Technology Research Center of Gut Microbiota Transplantation, Shenzhen Hospital, Southern Medical University, Shenzhen 518101, Guangdong Province, China
Jun Huang, Department of Gastroenterology, Nanfang Hospital, Southern Medical University, Guangzhou 510515, Guangdong Province, China
ORCID number: Ye Chen (0000-0002-7964-7899); Bing-Yun Lu (0009-0007-9793-8386).
Author contributions: Yu YM was responsible for the drafting and critical revision of the manuscript; Huang J was responsible for patient follow-up and the organization of clinical data; Chen Y and Lu BY were responsible for the diagnosis, clinical management of the patient, and participation in multidisciplinary discussions; Lu BY additionally supervised and approved the final manuscript.
Supported by the Shenzhen Medical Research Special Fund Project Plan, No. C2401027; Research Foundation of Shenzhen Hospital of Southern Medical University, No. PY2022YM06; and Shenzhen Special Fund for Sustainable Development, No. KCXFZ20211020163558024.
Informed consent statement: The authors confirm that written informed consent was obtained from the patient.
Conflict-of-interest statement: All the authors report no relevant conflicts of interest for this article.
CARE Checklist (2016) statement: The authors have read the CARE Checklist (2016), and the manuscript was prepared and revised according to the CARE Checklist (2016).
Corresponding author: Bing-Yun Lu, MD, PhD, Professor, Department of Gastroenterology, Integrative Microecology Clinical Center, Shenzhen Key Laboratory of Gastrointestinal Microbiota and Disease, Shenzhen Clinical Research Center for Digestive Disease, Shenzhen Technology Research Center of Gut Microbiota Transplantation, Shenzhen Hospital, Southern Medical University, No. 1333 Xinhu Road, Bao’an District, Shenzhen 518101, Guangdong Province, China. lubingyun_smu@163.com
Received: October 17, 2025
Revised: December 16, 2025
Accepted: February 3, 2026
Published online: April 16, 2026
Processing time: 180 Days and 15 Hours

Abstract
BACKGROUND

Indolent T-cell lymphoproliferative disorder of the gastrointestinal tract (ITLPD-GI) is a rare clonal T-cell proliferation characterized by chronic diarrhea, abdominal pain, and weight loss. Its non-specific clinical and endoscopic presentation often leads to misdiagnosis as inflammatory bowel disease. Fecal microbiota transplantation (FMT), which aims to restore gut microbial homeostasis, has demonstrated efficacy in recurrent Clostridioides difficile infections, and its immunomodulatory potential is being explored in other conditions. However, the role of the gut microbiome in the pathogenesis of ITLPD-GI remains unknown.

CASE SUMMARY

A male patient presented with recurrent oral ulcers, chronic diarrhea, and significant weight loss. He was initially diagnosed with and treated for ulcerative colitis, without a successful response. A comprehensive re-evaluation, including systematic histopathological and immunohistochemical analyses of mucosal biopsies, confirmed a definitive diagnosis of ITLPD-GI. Following this diagnosis, the patient underwent a series of FMT procedures via colonoscopy. This intervention resulted in a remarkable and sustained clinical remission, with the complete resolution of diarrhea and oral ulcers, and significant weight gain. Follow-up endoscopy demonstrated substantial mucosal improvement, with a marked reduction in previous congestion and edema. The patient reported a significant improvement in his quality of life.

CONCLUSION

This report presents the first documented case in which FMT induced clinical and endoscopic remission in a patient with ITLPD-GI. The findings underscore the necessity to accurately differentiate ITLPD-GI from inflammatory bowel disease histopathologically. The significant therapeutic response suggests a pathogenic role of gut dysbiosis in ITLPD-GI and establishes FMT as a promising microbiota-targeting intervention. Further clinical studies are needed to validate these findings and elucidate the precise immunomodulatory mechanisms involved.

Key Words: Indolent T-cell lymphoproliferative disorder of the gastrointestinal tract; Fecal microbiota transplantation; Oral ulcers; diarrhea; Weight loss; Clinical manifestations; Endoscopic presentation; Case report

Core Tip: Indolent T-cell lymphoproliferative disorder of the gastrointestinal tract is frequently misdiagnosed as inflammatory bowel disease, leading to ineffective treatments. This first successful use of fecal microbiota transplantation in a patient with indolent T-cell lymphoproliferative disorder of the gastrointestinal resulted in sustained clinical and endoscopic remission, suggesting that gut dysbiosis may play a key pathogenic role and positioning fecal microbiota transplantation as a novel, microbiota-targeting therapeutic strategy for this rare condition.



INTRODUCTION

Indolent T-cell lymphoproliferative disorder of the gastrointestinal tract (ITLPD-GI), a rare subtype of intestinal T- and natural killer-cell lymphoproliferative disorders and lymphomas, is a chronically relapsing disease with inert behavior[1]. Its clinical manifestations include abdominal pain, diarrhea, weight loss, dyspepsia, nausea, vomiting, and gastrointestinal bleeding. The gold standard for the diagnosis of ITLPD-GI is histopathological examination; however, it is easily misdiagnosed as one of several other diseases with similar symptoms (e.g., inflammatory bowel disease and aggressive T-cell lymphoma) due to its rarity and the general lack of knowledge of its morphological features among clinicians. A clear and effective treatment is not currently available[2], although adaptations of lymphoma treatment regimens, glucocorticoids, and immunomodulators have some effects. Fecal microbiota transplantation (FMT) has been shown to be an effective therapy for a range of diseases with intestinal bacterial imbalances. It is already used in oncology as an adjuvant therapy to improve the effects of chemotherapy[3], radiotherapy[4], and immunotherapy[5], while reducing their side effects. This case report describes the use of FMT to treat a patient with ITLPD-GI for the first time, and increases the understanding of the diagnosis and treatment of this rare disease. Additionally, this case report provides a unique perspective on tumor therapy, demonstrating the potential of FMT as an emerging adjuvant therapeutic for tumor treatment.

CASE PRESENTATION
Chief complaints

A 44-year-old male with recurrent oral ulcers and diarrhea presented at our hospital in May 2021.

History of present illness

The patient had no symptoms until 2015, when he developed oral ulcers, diarrhea (Bristol 6 or 7, approximately 3-8 times per day), and weight loss [weight 80.9 kg, with a body mass index (BMI) value (weight in kg divided by the square of the height in meters) of 25.25]. A diagnosis of Behcet disease was considered at an outside hospital, and the patient was treated with anti-inflammatory therapy, which improved the symptoms. However, 4 years ago, the diarrhea worsened (approximately 10 times per day), and he developed a sore throat and blood in the stool. A colonoscopy suggested the development of ulcerative colitis (UC). A UC diagnosis was then considered in an outside hospital, mesalazine was administered, and the symptoms improved. However, 2 years before presenting, the patient's symptoms recurred. An abdominal computed tomography (CT) scan showed multiple enlarged lymph nodes in the ascending colon, sigmoid colon, and mesentery. Histopathological examination of the oropharynx revealed the presence of crushed and deformed lymphocyte-like cells, indicative of a lymphoproliferative disorder. The histopathological results of the ascending colon and transverse colon demonstrated the mild and slow infiltration of heterogeneous small lymphocytes, nuclear irregularity, and no evident lymphoepithelial lesions in the mucosal lamina propria. The immunohistochemical results showed positivity for CD3, CD5, CD2, CD7, CD4, CD8, GRB, TIA-1, and CD21FDC, while CD30 was weakly positive, and Ki-67 was approximately 10% positive. In situ hybridization was negative for Epstein-Barr virus-encoded RNA, while genetic testing showed clonal positivity for T-cell receptor (TCR) β and TCRγ. The findings, combined with the reported symptoms and medical history, suggested gastrointestinal affective T-cell lymphoma. During the year prior to his admission, the patient underwent multiple oropharyngeal biopsies and intestinal biopsies whose results were consistent with gastrointestinal inert T-cell lymphoma. Moreover, multiple bone marrow aspirations suggested mature T-cell lymphoma. The patient was finally diagnosed with ITLPD-GI and underwent multiple courses of chemotherapy and immunotherapy. The specific treatment regimens (Table 1) included the cyclophosphamide, doxorubicin, vincristine, prednisone, and etoposide regimen; the etoposide, prednisone, vincristine, cyclophosphamide, and doxorubicin regimen and chidamide; the gemcitabine, cisplatin, and prednisone regimen and chidamide; cyclophosphamide regimen; anti-CD30 monoclonal antibody and sintilimab regimen; sintilimab, gemcitabine + oxaliplatin, reduced dose, and chidamide regimen; tislelizumab and lenalidomide regimen. Despite receiving multiple lines of treatment, the patient’s response was inadequate, with persistent oral ulcers and diarrhea (predominantly Bristol 7, gradually increasing to more than 10 times per day). Over the last 6 years, the patient lost a total of 20 kg, and he was subsequently referred to our hematology department for further treatment.

Table 1 Specific treatment options for patients at different times.
Treatment time
Specific treatment program
January 11 through February 3, 2020CHOPE regimen
February 26 through March 24, 2020CHOPE regimen
April 16, 2020CHOPE regimen
May 8 through June 5, 2020EPOCH regimen and chidamide
July 13, 2020GDP regimen and chidamide
August 22, 2020Cyclophosphamide regimen
November 16 through December 13, 2020Anti-CD30 monoclonal antibody and sintilimab regimen (2 courses)
February 5 through March 3, 2021Sintilimab, gemcitabine + oxaliplatin, reduced dose, and chidamide regimen
April 15, 2021Tislelizumab and lenalidomide regimen
June 17, 2021Thalidomide with first FMT
September 16, 2021Thalidomide with second FMT
March 30, 2022Thalidomide with third FMT
January 11, 2024Fourth FMT (thalidomide discontinued prior)
July 3, 2024Fifth FMT
History of past illness

The patient had no specific past medical history.

Personal and family history

The patient confirmed that he had no significant personal or family history of cancer.

Physical examination

On admission to our hematology department, the patient’s assessment revealed a height of 179 cm, a weight of 60.9 kg, and a BMI of 19.01. Physical examination revealed oral and pharyngeal ulcers with scattered leukomalacia (Figure 1), no sternal tenderness, no hemorrhage of the skin or mucous membranes, and non-palpable superficial lymph nodes throughout the body. The liver and spleen were not palpable under the ribs, and no abdominal tenderness or edema was found in the lower limbs.

Figure 1
Figure 1 Oropharyngeal conditions. A: Mouth ulcers were visible before fecal microbiota transplantation treatment; B: Mouth ulcers disappeared after fecal microbiota transplantation treatment.
Laboratory examinations

Laboratory tests yielded the following results: Hemoglobin, 98 g/L (reference range 120-160); erythrocyte sedimentation rate, 73 mm/hour (reference range 0-15); ultrasensitive C-reactive protein, 60.65 mg/L (reference range 0.5-10); immunoglobulin G, 16.57 g/L (reference range 7-16); and complement C4, 0.52 g/L (reference range 0.1-0.4). A semi-quantitative assay of intestinal flora revealed that the percentage of bacteria (the combined relative abundance of Bacillota and Bacteroidota) was 0.8 (reference value: > 0.85). The patient’s white blood cell count, lymphocyte count, liver function tests, thyroid function tests, cardiac enzymes, kidney function tests, Epstein-Barr virus test, and cytomegalovirus test were normal.

Imaging examinations

The patient also underwent gastroscopy (Figure 2) and enteroscopy (Figure 3). The gastroscopy results showed mild redness and swelling of the mucosa and multiple red spots. The regular arrangement of the collecting venules was not visible. The endoscopy results showed multiple ulcerated erosions in the cecum and total colon, with reddened surfaces partially covered with white moss. The intestinal mucosa was extensively eroded and congested, and bloody exudate was observed locally. The colonic haustra were absent, and the colon had a featureless, pipe-like appearance. These changes were more severe in the left hemicolon, which demonstrated diminished tissue elasticity and a tendency to bleed readily upon contact. The pathological findings from the colonoscopic biopsy (Figure 4) indicated moderate-to-small mild heterogeneous lymphocytic infiltration in the mucosal lamina propria (terminal ileum, ascending colon, transverse colon, sigmoid colon, rectum, cecum, and descending colon) and mucosal muscle, which, in conjunction with the history and immunophenotype, was considered to be a proliferative disease of the gastrointestinal tract with inert CD8-positive T-cell lymphoid tissue.

Figure 2
Figure 2 Gastroscopic presentation on admission. A: The esophagus had a smooth mucosa with a clear vascular network, and no ulcers, erosions, polyps, or varicose veins were seen; B and C: The gastric fundus and the gastric body had multiple red spots, and the regular arrangement of collecting venules was not visible. The mucosa of the gastric body was mildly reddened and swollen without chicken-skin-like changes; D and E: The mucosal regular arrangement of collecting venules was not visible in the gastric angle. The gastric angle and antrum had no chicken-skin-like changes; F: The proximal mucosa and annular folds of the descending duodenum were normal.
Figure 3
Figure 3 Enteroscopic presentation at admission. Multiple ulcerated erosions, surface redness, partial white moss covering, extensive intestinal mucosa erosion, congestion, and local oozing blood. The colonic pouch had disappeared, and the intestinal tubes showed regular lead-pipe-like morphology. The half of the colon was more serious, segmental biopsy, tissue elasticity was poor, easy to bleed. A: Ascending colon; B: Transverse colon; C: Descending colon; D: Sigmoid colon; E and F: Rectum.
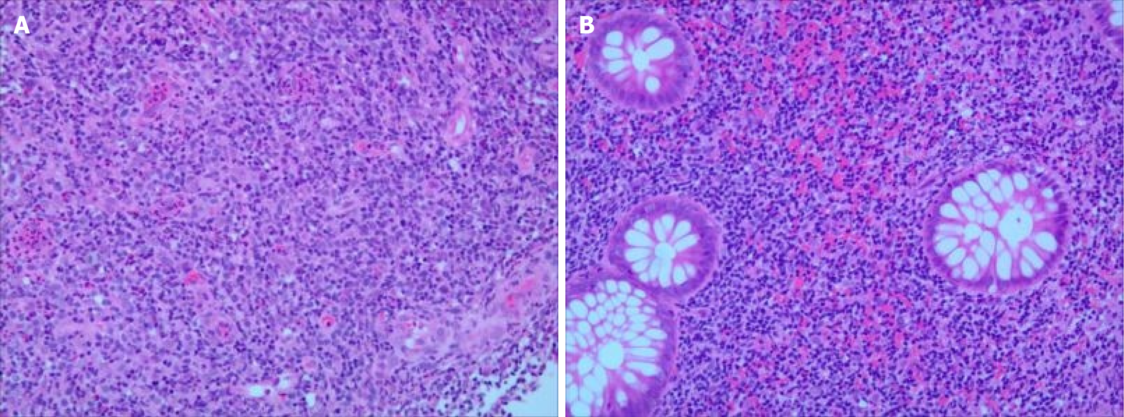
Figure 4
Figure 4 Tissue biopsy pathology findings. A and B: The tissues (terminal ileum, cecum, ascending colon, transverse colon, descending colon, sigmoid colon, and rectum) were covered with columnar epithelium, the glands were regularly arranged, the cells were not heterogeneous, and the interstitium was infiltrated by many lymphocytes, with small-to-medium sized heterogeneous cells between, fine nuclear chromatin, and inconspicuous nuclei. The foci were clonal proliferation, with low cytoplasmic volume.
FINAL DIAGNOSIS

After combining the patient’s clinical presentation with the results of the diagnostic tests, a final diagnosis of ITLPD-GI was reached.

TREATMENT

A multidisciplinary consultation based on the patient’s symptoms and test results concluded that the patient might be experiencing gut microbiota dysbiosis for which FMT is considered a potential intervention. Thalidomide (100 mg once daily for a 30-day course) was administered concurrently as adjunctive therapy to modulate the patient’s immune function (Table 1). FMT was performed in accordance with the Chinese experts’ consensus on standardized methodology and clinical application of FMT[6]. Healthy donors underwent comprehensive screening that included medical history assessment, physical examination, and extensive laboratory testing. Blood-based evaluations comprised complete blood counts, liver and renal function tests, blood-borne pathogen screening, and targeted single-gene hereditary disease testing, while the fecal assessments included pathogen screening, fecal occult blood testing, and microbiota profiling. Standardized psychological questionnaires were additionally administered to ensure donor eligibility. Donor fecal samples were collected on-site using sterile, disposable containers and immediately cooled to 4 °C before processing. Sample preparation involved standardized identification and weighing followed by serial filtration and resuspension in a glycerol-containing cryoprotectant, after which the bacterial suspension was stored at -80 °C. For each FMT cycle, 100 g of donor feces were processed to generate 600 mL of bacterial suspension and aliquoted into 12 preservation tubes. FMT was administered via colonoscopy with an infusion catheter positioned at the ileocecal junction, and the suspension was infused over 3 consecutive days with three aliquots administered per day. The recipients routinely received oral vancomycin (0.5 g twice daily) for 3 days before FMT to facilitate microbial engraftment. Adverse events following FMT were prospectively monitored through monthly telephone follow-ups, during which the patients were asked to report gastrointestinal symptoms such as nausea, vomiting, and abdominal distension, as well as allergic reactions and serious adverse events, including life-threatening conditions. Follow-up was continued until the subsequent FMT session.

OUTCOME AND FOLLOW-UP

The patient’s bowel condition improved 1 month after the first FMT; the frequency of evacuation was 1-2 times a day, the stools were yellow, molded, and soft (Bristol 4 and 5), and there was an occasional feeling of incomplete evacuation. Although a few ulcers and tissue hyperplasia were still present in the patient’s oral cavity, the patient gained approximately 10 kg over the previous month. The patient underwent a second and third FMT (in September 2021 and March 2022, respectively) to maintain the therapeutic effect and was treated with thalidomide to regulate immunotherapy. A follow-up colonoscopy 9 months after the third FMT (Figure 5) demonstrated improved endoscopic findings compared to the previous procedure. In January 2024, the stool frequency was 2-3 times per day after an out-of-town business trip, with a thinner stool consistency (Bristol 6 predominantly) compared to the previous one. Concurrently, the patient developed progressive numbness in both lower extremities, whereas the oral ulcers showed gradual improvement and ultimately resolved. Following multidisciplinary consultation, the bilateral lower limb numbness was considered an adverse effect attributable to thalidomide, with a cumulative exposure of 28.75 g. Accordingly, thalidomide therapy was discontinued, and a fourth FMT was subsequently administered. The therapeutic effect was further consolidated by treating the patient with a fifth FMT in July 2024 (Figure 6). The pathological findings from the colonoscopic biopsy during the fifth FMT session demonstrated marked improvement in the lesion compared to previous assessments. This manifested as moderate-to-mild lymphocytic infiltration with mild atypia observed in the lamina propria (descending colon) and the muscularis mucosae. Concurrently, a repeat abdominal CT (Figure 7) scan revealed no enlarged lymph nodes in the ascending colon, sigmoid colon, or mesentery. At present, the patient’s diarrhea has significantly improved; his evacuation frequency is 1-2 times a day, his stools are yellow, molded, and soft (Bristol 4 and 5; with no black stools or fresh blood stools), and he shows no mouth ulcers (Figure 1B). The patient has gained significant weight since the start of FMT (Figure 8), from 60.9 kg to 85 kg, and his BMI has increased from 19.01 to 26.53. The patient also expressed a high degree of satisfaction with the treatment outcome. Clinically significant improvements were observed in both functional status and psychological well-being. The resolution of diarrheal symptoms has restored his ability to maintain a normal occupational and social routine, without disruptions to professional commitments or daily activities. Furthermore, the patient reported markedly improved mood and a positive outlook regarding future health prospects. No FMT-related adverse events have been observed since the initial FMT. As of the submission of this report, the patient continues to undergo monitoring and one intestinal bacterial transplant per year.

Figure 5
Figure 5 Enteroscopic manifestations at 9 months follow-up after the third fecal microbiota transplantation. Diffuse edema of the intestinal mucosa, the scattered distribution of congested erythema and punctate erosions, and blurred vascular texture. A: Transverse colon; B: Cecum; C: Descending colon; D: Sigmoid colon; E and F: Rectum.
Figure 6
Figure 6 Enteroscopic presentation at the fifth fecal microbiota transplantation. Endoscopic fecal microbiota transplantation placement. Endoscopic presentation: Edema of the intestinal mucosa with multiple punctate erosions and blurred vascular texture. A: Transverse colon; B: Ascending colon; C: Cecum; D: Transverse colon; E: Descending colon; F: Rectum.
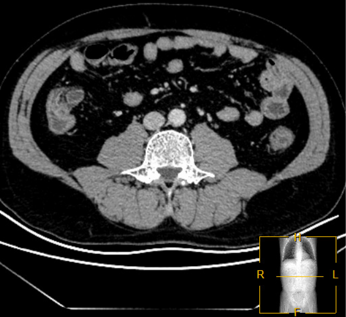
Figure 7
Figure 7 Post-fecal microbiota transplantation abdominal computed tomography scan revealed no evidence of lymph node enlargement in the ascending colon, sigmoid colon, or mesenteric region.
Figure 8
Figure 8 Changes in patient weight before and after fecal microbiota transplantation. FMT: Fecal microbiota transplantation.
DISCUSSION

ITLPD-GI is a rare, low-grade malignant monoclonal T-lymphocyte proliferative disease with a poorly defined pathogenesis, sometimes genetically related[7], which rarely progresses to high-grade T-lymphocytoma. This disease is most common in middle-aged adults, with a mean age of onset of 51 years and a male: Female ratio of approximately 1.5:1. ITLPD-GI can involve all parts of the gastrointestinal tract, with the small intestine and colon being the most commonly affected sites. The clinical symptoms of ITLPD-GI are diverse and atypical, and include abdominal pain, diarrhea, nausea, vomiting, gastrointestinal bleeding, weight loss, and, in a few cases, night sweats, sensory abnormalities, and confusion, as well as several metabolic disorders, including hypocalcemia and hypomagnesemia[8]. Refractory oral ulcers are a common first manifestation in some patients, while others show epiglottal ulcers[9]. Very few patients are asymptomatic. ITLPD-GI can be accompanied by IBD, rheumatoid arthritis, and viral and bacterial infections[10]. The results of endoscopic examination are also not specific, since congestion, erosion, ulceration, and occasionally polypoid lesions may appear. These multiple lesions do not fuse and do not form a mass; in some patients, the mucosa is not abnormal, while some show features such as gastrointestinal mucosal roughness, multiple mound-like elevations under the mucous membrane, and thickened duodenal folds. Although most of the lymph nodes surrounding the modified lesions are not abnormal, CT scanning shows the presence of a thickening of the gastric or intestinal wall, as well as a mild enlargement of mesenteric lymph nodes and para-aortic lymph nodes. A definitive diagnosis of ITLPD-GI is based on pathology[11]. A biopsy is usually performed on a sample taken from the small intestine or colon. The characteristic histologic feature is a dense, diffuse, or nodular lymphocytic infiltrate within the mucosal lamina propria. The infiltrate consists of small- to medium-sized lymphocytes. Involvement may extend to the submucosa and, in some cases, the full thickness of the intestinal wall. The formation of a discrete mass is an uncommon finding. The infiltrating lymphocytes are monomorphic and have a mature appearance, with round, ovoid or mildly irregular nuclei, variable chromatin size, fuzzy nucleoli, scanty or intermediate cytoplasm, and they may be accompanied by lymphoid follicle formation. Eosinophilia and epithelial granulomas are present in some cases, and epithelial focal lymphocytic infiltration is occasionally present (in a small number of patients), but crypt abscesses and evident cryptitis are not associated findings. The immunophenotype of ITLPD-GI is variable and may be CD4+/CD8-, CD4-/CD8+, CD4-/CD8-, or CD4+/CD8+. The Ki-67 proliferation index is usually less than 10% (mostly less than 5%), and in situ hybridization is negative for Epstein-Barr virus-encoded RNA[12]. Molecular analysis reveals a clonal rearrangement of the TCR gene and positivity for TCRβ and TCRγ. Signal transducer and activator of transcription-Janus kinase (JAK) fusion genes are present in some CD4+/CD8- patients[13].

Clinicians can easily misdiagnose or miss a diagnosis of ITLPD-GI because it lacks specific clinical manifestations and a characteristic endoscopic presentation. As a corollary, ITLPD-GI can be differentiated from IBD, enteropathy-associated T-cell lymphoma, and other related diseases[11]. IBD, encompassing Crohn’s disease and UC, is typically characterized by a negative TCR gene rearrangement[14]. This disease group exhibits distinct clinicopathological features. The main clinical manifestations of Crohn's disease include abdominal distension, abdominal pain, diarrhea, intestinal obstruction, and perforation. The most common site of disease is the ileum. The typical endoscopic presentations of Crohn’s disease include non-continuous lesions, longitudinal ulcers, and a cobblestone-like appearance. Moreover, pathological examinations typically reveal fissure-like ulcers and non-caseating granulomas. The main clinical manifestations of UC include diarrhea and resolving mucopurulent blood stools, and the most common site of onset is the colorectum. The typical endoscopic presentation of UC is diffuse erosions and multiple shallow ulcers. Chronic lesions are commonly characterized by roughened, fine granular mucosa, inflammatory polyps, and bridging mucosa. These lesions are mainly confined to the mucosal and submucosal layers. The patient described in this case report demonstrated a slow disease course, and UC was originally considered. After being treated with mesalazine at an outside hospital, the patient initially showed an improvement in symptoms. However, a recurrence of the symptoms eventually occurred. A histopathologic biopsy of the cecum was performed on admission, and the results were inconsistent with UC. Therefore, this diagnosis was excluded based on history and immunophenotype. Enteropathy-associated T-cell lymphoma is a primary gastrointestinal T-cell lymphoma with aggressive progression, often with a history of celiac disease. Its clinical manifestations include lymph node enlargement, abdominal pain, abdominal distension, diarrhea, intestinal obstruction, and perforation, with the most common site of disease being the small intestine. Its main endoscopic characteristic is a deep ulcerative lesion prone to perforation or stenosis. Typically, the lesion invades the entire intestinal wall and often involves mesenteric lymph nodes, although the degree of lymph node involvement is often inconsistent with the relatively small extent of the lesion in the intestine. Pathologic examination reveals a variety of tumor cell morphologies that are medium to large, with round or irregular nuclei and a high expression of the proliferative protein Ki-67.

A standardized treatment regimen for ITLPD-GI is currently lacking. The disease often follows a prolonged clinical course spanning several years and is frequently misdiagnosed as other conditions, notably peripheral T-cell lymphoma or IBD. Although ITLPD-GI responds poorly to conventional chemotherapy, hormone treatment may sometimes improve the symptoms. Previous studies have reported an improvement in ITLPD-GI symptoms after treatment with glucocorticoids or anti-CD52 monoclonal antibodies[15]. A previous case report also described the treatment of limited gastric lesions with local radiotherapy, achieving complete remission[16]. Several studies have highlighted the risk of inducing a progression to lymphoma by using biologic agents. In fact, signal transducer and activator of transcription-JAK fusion proteins are potential therapeutic targets for ITLPD-GI, and tumor growth is effectively inhibited by JAK inhibitors[17,18]. However, CD4+ ITLPD-GI individuals are more prone to progress to high-grade aggressive lymphoma than CD8+ individuals.

FMT is used to treat intestinal and extra-intestinal diseases by transplanting functional flora from healthy human feces into the patient’s intestine to re-establish the intestinal flora balance. The process includes donor screening and management, the collection of fecal samples, the preparation of bacterial fluid, patient bowel preparation to receive the transplantation, and finally, the transplantation of the bacterial fluid into the patient’s bowel through specific routes (e.g., nasoenteric tube, colonoscopy, or oral capsule)[19]. FMT was initially used to treat recurrent or refractory Clostridioides difficile (C. difficile) infections, and its efficacy was first reported in the New England Journal of Medicine in 2013[20]. The success of that treatment subsequently resulted in the rapid adoption of FMT for clinical use. Several randomized controlled trials (RCTs)[21,22] have demonstrated that the cure rate of FMT for C. difficile infection is more than 80%, which is significantly better than that of traditional antibiotic treatment. The optimization of FMT technology has recently expanded the use of FMT for C. difficile infection to other diseases where it has potential clinical efficacy, including digestive disorders (e.g., IBD, irritable bowel syndrome, functional constipation, and hepatic encephalopathy), neuropsychiatric disorders (e.g., autism, anxiety, and depression), metabolic disorders (e.g., diabetes mellitus, obesity, fatty liver, and hyperlipidemia), and systemic immune diseases (e.g., tumor immunity, allergic diseases, and chronic fatigue syndrome). FMT has already demonstrated some efficacy in treating UC. Several RCTs have reported that FMT induced UC remission at a rate of approximately 30%[23-25]. For example, a study by Costello et al[23] reported that 32% of patients receiving anaerobically prepared donor FMT reached clinical remission within 8 weeks. Similarly, several RCTs on the treatment of irritable bowel syndrome reported fewer abdominal symptoms and improved quality of life after receiving FMT[26-28]. Regarding the safety of FMT, the main adverse reactions include gastrointestinal symptoms such as nausea and vomiting, abdominal pain, bloating, and diarrhea[29,30]. The extra-gastrointestinal symptoms mainly include fever and, in rare instances, pulmonary infections[31]. Most of the symptoms are self-limiting, and serious adverse reactions are rare; only two reports describe a serious multidrug-resistant bacterial infection, and one death[32]. Thus, FMT is considered a comparatively safe treatment for patients.

FMT also demonstrates great potential in tumor therapy because it improves immunotherapeutic responses and overcomes drug resistance. FMT has been shown to modulate the gut microbiota by restoring microbiota diversity and altering microbiota composition. For example, the presence of certain bacteria (including Akkermansia muciniphila) is correlated with a favorable response to immune checkpoint inhibitor therapy. FMT increases the abundance of these beneficial bacteria, thereby improving the efficacy of oncologic therapy[33]. FMT also activates anti-tumor immunity and modulates immune cell function, thereby improving the immunotherapeutic response. Indeed, FMT is known to increase the infiltration of the immune CD8+ cytotoxic T cells and natural killer cells in the tumor environment. In addition, immunotherapy for tumors is often accompanied by immune-related adverse events, including colitis and dermatitis. FMT improves patients' tolerance to immunotherapy by regulating the intestinal microbiota and reducing the incidence and severity of these adverse events[34]. Several clinical trials have provided evidence that FMT can help overcome immunotherapy resistance. Baruch et al[5] and Davar et al[35] showed that when fecal bacteria from patients who responded well to immunotherapy were transplanted into melanoma patients who did not respond to immunotherapy, approximately 30% of the previously unresponsive patients responded to immunotherapy. They also found that patients had an increased abundance of specific beneficial bacteria in their intestines and the increased activity of immune cells after receiving FMT, with a restored sensitivity to immunotherapy. In addition to its use in treatment-resistant patients, FMT also improves immunotherapeutic response rates in first-treatment patients. Routy et al[36] found that the transplantation of fecal bacteria from a healthy donor into a primed melanoma patient increased the patient’s response rate to immunotherapy. FMT can also be used in combination with other treatments, such as chemotherapy and radiotherapy, to further improve the therapeutic effect. Lastly, several studies have reported the use of FMT to treat immunotherapy-associated colitis. Case reports described by Fasanello et al[37] and Wang et al[38] revealed that FMT effectively alleviated the symptoms of immunotherapy-associated colitis.

After multiple cycles of chemotherapy, the patient in this case exhibited a suboptimal therapeutic response, with persistent and clinically significant symptoms, including oral ulcers, diarrhea, and weight loss. Nevertheless, whether the ongoing inflammatory manifestations were primarily driven by intestinal microbiota dysbiosis or represented adverse effects associated with chemotherapy remains unclear. The patient received thalidomide to regulate immunity and inhibit inflammation, and an FMT procedure to remodel the intestinal flora. The number of oral ulcers decreased after the first FMT treatment, and the frequency of evacuation and the character of the stools improved. The endoscopic performance of the patient’s intestinal tract was significantly improved after the third FMT compared with the previous procedure. This was manifested by a decrease in intestinal mucosal edema and the disappearance of small focal ulcers. The segmental nature of intestinal lesions was no longer evident. After five courses of FMT, the number of evacuations and characteristics of the patient's stools returned to normal, oral ulcers disappeared, and the patient’s body weight increased by approximately 25 kg from that at the start of FMT. These results suggest that the effect of a single course of FMT had a limited duration and that multiple courses of FMT may be necessary. Moreover, the patient’s endoscopic findings changed after each course of FMT, as evidenced by decreases in congestion and edema of the intestinal mucosa, the gradual healing of the erosions and small foci of ulcers, and a gradual reduction in intestinal staging lesions, lending further support to the need for multiple courses of FMT.

Several limitations of the current treatment approach should be noted. First, stool samples were not collected for microbial sequencing before or after FMT, limiting the ability to determine whether clinical improvements were associated with specific changes in microbial taxa or a broader restoration of the gut ecosystem. Second, the concurrent use of thalidomide during the FMT course represents a potential confounding factor, making it difficult to attribute the observed clinical and endoscopic responses solely to FMT. Therefore, the possibility of additive or synergistic effects between FMT and thalidomide cannot be excluded.

CONCLUSION

This case report is the first to describe the use of FMT in treating ITLPD-GI, a rare disease. The successful treatment of this patient demonstrates the ability of FMT to improve symptoms and endoscopic bowel manifestations in tumor-like patients, including a change in stool pattern from predominantly watery stools to soft, yellow formed stools, a change in the frequency of bowel movements from 10 times per day to 1-2 times per day, a gradual disappearance of oral ulcers, an increase in body weight by 25 kg, a reduction in endoscopic intestinal mucosal congestion and edema, and a gradual disappearance of mucosal ulcers. However, further studies are needed to explore the underlying mechanisms of this rare disease and to validate the efficacy and safety of FMT. Clinicians are encouraged to consider the patient’s medical history and the results of clinical examinations in similar cases to determine the presence of intestinal dysbiosis and provide a basis for FMT treatment. This case report deepens our understanding of ITLPD-GI treatment and highlights the potential application of FMT in managing rare and complex disease conditions.

ACKNOWLEDGEMENTS

We thank the patient who participated in this study. We also thank the medical staff of the Department of Hematology and the Department of Gastroenterology for their excellent patient care.

References
1.  Khoury JD, Solary E, Abla O, Akkari Y, Alaggio R, Apperley JF, Bejar R, Berti E, Busque L, Chan JKC, Chen W, Chen X, Chng WJ, Choi JK, Colmenero I, Coupland SE, Cross NCP, De Jong D, Elghetany MT, Takahashi E, Emile JF, Ferry J, Fogelstrand L, Fontenay M, Germing U, Gujral S, Haferlach T, Harrison C, Hodge JC, Hu S, Jansen JH, Kanagal-Shamanna R, Kantarjian HM, Kratz CP, Li XQ, Lim MS, Loeb K, Loghavi S, Marcogliese A, Meshinchi S, Michaels P, Naresh KN, Natkunam Y, Nejati R, Ott G, Padron E, Patel KP, Patkar N, Picarsic J, Platzbecker U, Roberts I, Schuh A, Sewell W, Siebert R, Tembhare P, Tyner J, Verstovsek S, Wang W, Wood B, Xiao W, Yeung C, Hochhaus A. The 5th edition of the World Health Organization Classification of Haematolymphoid Tumours: Myeloid and Histiocytic/Dendritic Neoplasms. Leukemia. 2022;36:1703-1719.  [RCA]  [PubMed]  [DOI]  [Full Text]  [Full Text (PDF)]  [Cited by in Crossref: 44]  [Cited by in RCA: 2800]  [Article Influence: 700.0]  [Reference Citation Analysis (0)]
2.  Nishimura MF, Nishimura Y, Nishikori A, Yoshino T, Sato Y. Primary Gastrointestinal T-Cell Lymphoma and Indolent Lymphoproliferative Disorders: Practical Diagnostic and Treatment Approaches. Cancers (Basel). 2021;13:5774.  [RCA]  [PubMed]  [DOI]  [Full Text]  [Full Text (PDF)]  [Cited by in Crossref: 1]  [Cited by in RCA: 16]  [Article Influence: 3.2]  [Reference Citation Analysis (0)]
3.  Ianiro G, Rossi E, Thomas AM, Schinzari G, Masucci L, Quaranta G, Settanni CR, Lopetuso LR, Armanini F, Blanco-Miguez A, Asnicar F, Consolandi C, Iacovelli R, Sanguinetti M, Tortora G, Gasbarrini A, Segata N, Cammarota G. Faecal microbiota transplantation for the treatment of diarrhoea induced by tyrosine-kinase inhibitors in patients with metastatic renal cell carcinoma. Nat Commun. 2020;11:4333.  [RCA]  [PubMed]  [DOI]  [Full Text]  [Full Text (PDF)]  [Cited by in Crossref: 38]  [Cited by in RCA: 112]  [Article Influence: 18.7]  [Reference Citation Analysis (0)]
4.  Ding X, Li Q, Li P, Chen X, Xiang L, Bi L, Zhu J, Huang X, Cui B, Zhang F. Fecal microbiota transplantation: A promising treatment for radiation enteritis? Radiother Oncol. 2020;143:12-18.  [RCA]  [PubMed]  [DOI]  [Full Text]  [Cited by in Crossref: 79]  [Cited by in RCA: 97]  [Article Influence: 16.2]  [Reference Citation Analysis (0)]
5.  Baruch EN, Youngster I, Ben-Betzalel G, Ortenberg R, Lahat A, Katz L, Adler K, Dick-Necula D, Raskin S, Bloch N, Rotin D, Anafi L, Avivi C, Melnichenko J, Steinberg-Silman Y, Mamtani R, Harati H, Asher N, Shapira-Frommer R, Brosh-Nissimov T, Eshet Y, Ben-Simon S, Ziv O, Khan MAW, Amit M, Ajami NJ, Barshack I, Schachter J, Wargo JA, Koren O, Markel G, Boursi B. Fecal microbiota transplant promotes response in immunotherapy-refractory melanoma patients. Science. 2021;371:602-609.  [RCA]  [PubMed]  [DOI]  [Full Text]  [Cited by in Crossref: 1401]  [Cited by in RCA: 1208]  [Article Influence: 241.6]  [Reference Citation Analysis (0)]
6.  Parenteral and Enteral Nutrition Branch of Chinese Medical Association; Enhanced Recovery After Surgery Branch of China International Health Care Promotion and Exchange Association;  China Microecological Treatment Innovation Alliance;  Microecology Committee of Shanghai Preventive Medicine Association. [Chinese experts consensus on standardized methodology and clinical application of fecal microbiota transplantation]. Zhonghua Wei Chang Wai Ke Za Zhi. 2020;23:5-13.  [RCA]  [PubMed]  [DOI]  [Full Text]  [Cited by in RCA: 5]  [Reference Citation Analysis (0)]
7.  Soderquist CR, Patel N, Murty VV, Betman S, Aggarwal N, Young KH, Xerri L, Leeman-Neill R, Lewis SK, Green PH, Hsiao S, Mansukhani MM, Hsi ED, de Leval L, Alobeid B, Bhagat G. Genetic and phenotypic characterization of indolent T-cell lymphoproliferative disorders of the gastrointestinal tract. Haematologica. 2020;105:1895-1906.  [RCA]  [PubMed]  [DOI]  [Full Text]  [Full Text (PDF)]  [Cited by in Crossref: 67]  [Cited by in RCA: 53]  [Article Influence: 8.8]  [Reference Citation Analysis (0)]
8.  Perry AM, Warnke RA, Hu Q, Gaulard P, Copie-Bergman C, Alkan S, Wang HY, Cheng JX, Bacon CM, Delabie J, Ranheim E, Kucuk C, Hu X, Weisenburger DD, Jaffe ES, Chan WC. Indolent T-cell lymphoproliferative disease of the gastrointestinal tract. Blood. 2013;122:3599-3606.  [RCA]  [PubMed]  [DOI]  [Full Text]  [Full Text (PDF)]  [Cited by in Crossref: 172]  [Cited by in RCA: 144]  [Article Influence: 11.1]  [Reference Citation Analysis (0)]
9.  Shao SH, Gu HY, Lin DL, Shi HL, Zhang YJ, Li YJ. [Clinicopathological features of indolent T-cell lymphoproliferative disorder of the gastrointestinal tract: a report of five cases]. Zhonghua Bing Li Xue Za Zhi. 2019;48:762-766.  [RCA]  [PubMed]  [DOI]  [Full Text]  [Cited by in RCA: 4]  [Reference Citation Analysis (0)]
10.  Margolskee E, Jobanputra V, Lewis SK, Alobeid B, Green PH, Bhagat G. Indolent small intestinal CD4+ T-cell lymphoma is a distinct entity with unique biologic and clinical features. PLoS One. 2013;8:e68343.  [RCA]  [PubMed]  [DOI]  [Full Text]  [Full Text (PDF)]  [Cited by in Crossref: 77]  [Cited by in RCA: 71]  [Article Influence: 5.5]  [Reference Citation Analysis (0)]
11.  Matnani R, Ganapathi KA, Lewis SK, Green PH, Alobeid B, Bhagat G. Indolent T- and NK-cell lymphoproliferative disorders of the gastrointestinal tract: a review and update. Hematol Oncol. 2017;35:3-16.  [RCA]  [PubMed]  [DOI]  [Full Text]  [Cited by in Crossref: 45]  [Cited by in RCA: 51]  [Article Influence: 5.1]  [Reference Citation Analysis (0)]
12.  Soderquist CR, Bhagat G. Gastrointestinal T- and NK-cell lymphomas and indolent lymphoproliferative disorders. Semin Diagn Pathol. 2020;37:11-23.  [RCA]  [PubMed]  [DOI]  [Full Text]  [Cited by in Crossref: 29]  [Cited by in RCA: 28]  [Article Influence: 4.7]  [Reference Citation Analysis (0)]
13.  Sanguedolce F, Zanelli M, Zizzo M, Luminari S, Martino G, Soriano A, Ricci L, Caprera C, Ascani S. Indolent T-Cell Lymphoproliferative Disorders of the Gastrointestinal Tract (iTLPD-GI): A Review. Cancers (Basel). 2021;13:2790.  [RCA]  [PubMed]  [DOI]  [Full Text]  [Full Text (PDF)]  [Cited by in Crossref: 27]  [Cited by in RCA: 21]  [Article Influence: 4.2]  [Reference Citation Analysis (0)]
14.  Küçük C, Wei L, You H. Indolent T-Cell Lymphoproliferative Disease of the GI Tract: Insights for Better Diagnosis, Prognosis, and Appropriate Therapy. Front Oncol. 2020;10:1276.  [RCA]  [PubMed]  [DOI]  [Full Text]  [Full Text (PDF)]  [Cited by in Crossref: 1]  [Cited by in RCA: 6]  [Article Influence: 1.0]  [Reference Citation Analysis (0)]
15.  Malamut G, Meresse B, Kaltenbach S, Derrieux C, Verkarre V, Macintyre E, Ruskone-Fourmestraux A, Fabiani B, Radford-Weiss I, Brousse N, Hermine O, Cerf-Bensussan N, Cellier C. Small intestinal CD4+ T-cell lymphoma is a heterogenous entity with common pathology features. Clin Gastroenterol Hepatol. 2014;12:599-608.e1.  [RCA]  [PubMed]  [DOI]  [Full Text]  [Cited by in Crossref: 73]  [Cited by in RCA: 50]  [Article Influence: 4.2]  [Reference Citation Analysis (0)]
16.  Takahashi N, Tsukasaki K, Kohri M, Akuzawa Y, Saeki T, Okamura D, Ishikawa M, Maeda T, Kawai N, Matsuda A, Arai E, Arai S, Asou N. Indolent T-cell lymphoproliferative disorder of the stomach successfully treated by radiotherapy. J Clin Exp Hematop. 2020;60:7-10.  [RCA]  [PubMed]  [DOI]  [Full Text]  [Full Text (PDF)]  [Cited by in Crossref: 14]  [Cited by in RCA: 10]  [Article Influence: 1.7]  [Reference Citation Analysis (0)]
17.  Hu G, Phillips JL, Dasari S, Jacobs HK, Luchtel RA, Oishi N, Hundal T, Ahmed NH, Satou A, Epstein AL, Bennani NN, Nowakowski GS, Murray JA, Feldman AL. Targetability of STAT3-JAK2 fusions: implications for T-cell lymphoproliferative disorders of the gastrointestinal tract. Leukemia. 2020;34:1467-1471.  [RCA]  [PubMed]  [DOI]  [Full Text]  [Cited by in Crossref: 3]  [Cited by in RCA: 11]  [Article Influence: 1.6]  [Reference Citation Analysis (0)]
18.  Sharma A, Oishi N, Boddicker RL, Hu G, Benson HK, Ketterling RP, Greipp PT, Knutson DL, Kloft-Nelson SM, He R, Eckloff BW, Jen J, Nair AA, Davila JI, Dasari S, Lazaridis KN, Bennani NN, Wu TT, Nowakowski GS, Murray JA, Feldman AL. Recurrent STAT3-JAK2 fusions in indolent T-cell lymphoproliferative disorder of the gastrointestinal tract. Blood. 2018;131:2262-2266.  [RCA]  [PubMed]  [DOI]  [Full Text]  [Full Text (PDF)]  [Cited by in Crossref: 94]  [Cited by in RCA: 78]  [Article Influence: 9.8]  [Reference Citation Analysis (0)]
19.  Cammarota G, Ianiro G, Tilg H, Rajilić-Stojanović M, Kump P, Satokari R, Sokol H, Arkkila P, Pintus C, Hart A, Segal J, Aloi M, Masucci L, Molinaro A, Scaldaferri F, Gasbarrini G, Lopez-Sanroman A, Link A, de Groot P, de Vos WM, Högenauer C, Malfertheiner P, Mattila E, Milosavljević T, Nieuwdorp M, Sanguinetti M, Simren M, Gasbarrini A; European FMT Working Group. European consensus conference on faecal microbiota transplantation in clinical practice. Gut. 2017;66:569-580.  [RCA]  [PubMed]  [DOI]  [Full Text]  [Full Text (PDF)]  [Cited by in Crossref: 974]  [Cited by in RCA: 854]  [Article Influence: 94.9]  [Reference Citation Analysis (0)]
20.  van Nood E, Vrieze A, Nieuwdorp M, Fuentes S, Zoetendal EG, de Vos WM, Visser CE, Kuijper EJ, Bartelsman JF, Tijssen JG, Speelman P, Dijkgraaf MG, Keller JJ. Duodenal infusion of donor feces for recurrent Clostridium difficile. N Engl J Med. 2013;368:407-415.  [RCA]  [PubMed]  [DOI]  [Full Text]  [Cited by in Crossref: 3187]  [Cited by in RCA: 2712]  [Article Influence: 208.6]  [Reference Citation Analysis (1)]
21.  Cammarota G, Masucci L, Ianiro G, Bibbò S, Dinoi G, Costamagna G, Sanguinetti M, Gasbarrini A. Randomised clinical trial: faecal microbiota transplantation by colonoscopy vs. vancomycin for the treatment of recurrent Clostridium difficile infection. Aliment Pharmacol Ther. 2015;41:835-843.  [RCA]  [PubMed]  [DOI]  [Full Text]  [Cited by in Crossref: 499]  [Cited by in RCA: 450]  [Article Influence: 40.9]  [Reference Citation Analysis (0)]
22.  Baunwall SMD, Andreasen SE, Hansen MM, Kelsen J, Høyer KL, Rågård N, Eriksen LL, Støy S, Rubak T, Damsgaard EMS, Mikkelsen S, Erikstrup C, Dahlerup JF, Hvas CL. Faecal microbiota transplantation for first or second Clostridioides difficile infection (EarlyFMT): a randomised, double-blind, placebo-controlled trial. Lancet Gastroenterol Hepatol. 2022;7:1083-1091.  [RCA]  [PubMed]  [DOI]  [Full Text]  [Cited by in Crossref: 11]  [Cited by in RCA: 96]  [Article Influence: 24.0]  [Reference Citation Analysis (0)]
23.  Costello SP, Hughes PA, Waters O, Bryant RV, Vincent AD, Blatchford P, Katsikeros R, Makanyanga J, Campaniello MA, Mavrangelos C, Rosewarne CP, Bickley C, Peters C, Schoeman MN, Conlon MA, Roberts-Thomson IC, Andrews JM. Effect of Fecal Microbiota Transplantation on 8-Week Remission in Patients With Ulcerative Colitis: A Randomized Clinical Trial. JAMA. 2019;321:156-164.  [RCA]  [PubMed]  [DOI]  [Full Text]  [Full Text (PDF)]  [Cited by in Crossref: 760]  [Cited by in RCA: 678]  [Article Influence: 96.9]  [Reference Citation Analysis (0)]
24.  Haifer C, Paramsothy S, Kaakoush NO, Saikal A, Ghaly S, Yang T, Luu LDW, Borody TJ, Leong RW. Lyophilised oral faecal microbiota transplantation for ulcerative colitis (LOTUS): a randomised, double-blind, placebo-controlled trial. Lancet Gastroenterol Hepatol. 2022;7:141-151.  [RCA]  [PubMed]  [DOI]  [Full Text]  [Cited by in Crossref: 245]  [Cited by in RCA: 212]  [Article Influence: 53.0]  [Reference Citation Analysis (0)]
25.  Paramsothy S, Kamm MA, Kaakoush NO, Walsh AJ, van den Bogaerde J, Samuel D, Leong RWL, Connor S, Ng W, Paramsothy R, Xuan W, Lin E, Mitchell HM, Borody TJ. Multidonor intensive faecal microbiota transplantation for active ulcerative colitis: a randomised placebo-controlled trial. Lancet. 2017;389:1218-1228.  [RCA]  [PubMed]  [DOI]  [Full Text]  [Cited by in Crossref: 1078]  [Cited by in RCA: 959]  [Article Influence: 106.6]  [Reference Citation Analysis (0)]
26.  El-Salhy M, Hatlebakk JG, Gilja OH, Bråthen Kristoffersen A, Hausken T. Efficacy of faecal microbiota transplantation for patients with irritable bowel syndrome in a randomised, double-blind, placebo-controlled study. Gut. 2020;69:859-867.  [RCA]  [PubMed]  [DOI]  [Full Text]  [Full Text (PDF)]  [Cited by in Crossref: 410]  [Cited by in RCA: 358]  [Article Influence: 59.7]  [Reference Citation Analysis (0)]
27.  Holvoet T, Joossens M, Vázquez-Castellanos JF, Christiaens E, Heyerick L, Boelens J, Verhasselt B, van Vlierberghe H, De Vos M, Raes J, De Looze D. Fecal Microbiota Transplantation Reduces Symptoms in Some Patients With Irritable Bowel Syndrome With Predominant Abdominal Bloating: Short- and Long-term Results From a Placebo-Controlled Randomized Trial. Gastroenterology. 2021;160:145-157.e8.  [RCA]  [PubMed]  [DOI]  [Full Text]  [Cited by in Crossref: 159]  [Cited by in RCA: 137]  [Article Influence: 27.4]  [Reference Citation Analysis (0)]
28.  Johnsen PH, Hilpüsch F, Cavanagh JP, Leikanger IS, Kolstad C, Valle PC, Goll R. Faecal microbiota transplantation versus placebo for moderate-to-severe irritable bowel syndrome: a double-blind, randomised, placebo-controlled, parallel-group, single-centre trial. Lancet Gastroenterol Hepatol. 2018;3:17-24.  [RCA]  [PubMed]  [DOI]  [Full Text]  [Cited by in Crossref: 369]  [Cited by in RCA: 317]  [Article Influence: 39.6]  [Reference Citation Analysis (0)]
29.  Agrawal M, Aroniadis OC, Brandt LJ, Kelly C, Freeman S, Surawicz C, Broussard E, Stollman N, Giovanelli A, Smith B, Yen E, Trivedi A, Hubble L, Kao D, Borody T, Finlayson S, Ray A, Smith R. The Long-term Efficacy and Safety of Fecal Microbiota Transplant for Recurrent, Severe, and Complicated Clostridium difficile Infection in 146 Elderly Individuals. J Clin Gastroenterol. 2016;50:403-407.  [RCA]  [PubMed]  [DOI]  [Full Text]  [Cited by in Crossref: 122]  [Cited by in RCA: 136]  [Article Influence: 13.6]  [Reference Citation Analysis (0)]
30.  Gulati AS, Nicholson MR, Khoruts A, Kahn SA. Fecal Microbiota Transplantation Across the Lifespan: Balancing Efficacy, Safety, and Innovation. Am J Gastroenterol. 2023;118:435-439.  [RCA]  [PubMed]  [DOI]  [Full Text]  [Cited by in Crossref: 9]  [Cited by in RCA: 27]  [Article Influence: 9.0]  [Reference Citation Analysis (0)]
31.  Wang S, Xu M, Wang W, Cao X, Piao M, Khan S, Yan F, Cao H, Wang B. Systematic Review: Adverse Events of Fecal Microbiota Transplantation. PLoS One. 2016;11:e0161174.  [RCA]  [PubMed]  [DOI]  [Full Text]  [Full Text (PDF)]  [Cited by in Crossref: 293]  [Cited by in RCA: 272]  [Article Influence: 27.2]  [Reference Citation Analysis (0)]
32.  DeFilipp Z, Bloom PP, Torres Soto M, Mansour MK, Sater MRA, Huntley MH, Turbett S, Chung RT, Chen YB, Hohmann EL. Drug-Resistant E. coli Bacteremia Transmitted by Fecal Microbiota Transplant. N Engl J Med. 2019;381:2043-2050.  [RCA]  [PubMed]  [DOI]  [Full Text]  [Cited by in Crossref: 1059]  [Cited by in RCA: 934]  [Article Influence: 133.4]  [Reference Citation Analysis (0)]
33.  Routy B, Le Chatelier E, Derosa L, Duong CPM, Alou MT, Daillère R, Fluckiger A, Messaoudene M, Rauber C, Roberti MP, Fidelle M, Flament C, Poirier-Colame V, Opolon P, Klein C, Iribarren K, Mondragón L, Jacquelot N, Qu B, Ferrere G, Clémenson C, Mezquita L, Masip JR, Naltet C, Brosseau S, Kaderbhai C, Richard C, Rizvi H, Levenez F, Galleron N, Quinquis B, Pons N, Ryffel B, Minard-Colin V, Gonin P, Soria JC, Deutsch E, Loriot Y, Ghiringhelli F, Zalcman G, Goldwasser F, Escudier B, Hellmann MD, Eggermont A, Raoult D, Albiges L, Kroemer G, Zitvogel L. Gut microbiome influences efficacy of PD-1-based immunotherapy against epithelial tumors. Science. 2018;359:91-97.  [RCA]  [PubMed]  [DOI]  [Full Text]  [Cited by in Crossref: 4719]  [Cited by in RCA: 4199]  [Article Influence: 524.9]  [Reference Citation Analysis (0)]
34.  Blake SJ, Wolf Y, Boursi B, Lynn DJ. Role of the microbiota in response to and recovery from cancer therapy. Nat Rev Immunol. 2024;24:308-325.  [RCA]  [PubMed]  [DOI]  [Full Text]  [Cited by in Crossref: 112]  [Cited by in RCA: 95]  [Article Influence: 47.5]  [Reference Citation Analysis (0)]
35.  Davar D, Dzutsev AK, McCulloch JA, Rodrigues RR, Chauvin JM, Morrison RM, Deblasio RN, Menna C, Ding Q, Pagliano O, Zidi B, Zhang S, Badger JH, Vetizou M, Cole AM, Fernandes MR, Prescott S, Costa RGF, Balaji AK, Morgun A, Vujkovic-Cvijin I, Wang H, Borhani AA, Schwartz MB, Dubner HM, Ernst SJ, Rose A, Najjar YG, Belkaid Y, Kirkwood JM, Trinchieri G, Zarour HM. Fecal microbiota transplant overcomes resistance to anti-PD-1 therapy in melanoma patients. Science. 2021;371:595-602.  [RCA]  [PubMed]  [DOI]  [Full Text]  [Full Text (PDF)]  [Cited by in Crossref: 1415]  [Cited by in RCA: 1258]  [Article Influence: 251.6]  [Reference Citation Analysis (1)]
36.  Routy B, Lenehan JG, Miller WH Jr, Jamal R, Messaoudene M, Daisley BA, Hes C, Al KF, Martinez-Gili L, Punčochář M, Ernst S, Logan D, Belanger K, Esfahani K, Richard C, Ninkov M, Piccinno G, Armanini F, Pinto F, Krishnamoorthy M, Figueredo R, Thebault P, Takis P, Magrill J, Ramsay L, Derosa L, Marchesi JR, Parvathy SN, Elkrief A, Watson IR, Lapointe R, Segata N, Haeryfar SMM, Mullish BH, Silverman MS, Burton JP, Maleki Vareki S. Fecal microbiota transplantation plus anti-PD-1 immunotherapy in advanced melanoma: a phase I trial. Nat Med. 2023;29:2121-2132.  [RCA]  [PubMed]  [DOI]  [Full Text]  [Cited by in Crossref: 409]  [Cited by in RCA: 352]  [Article Influence: 117.3]  [Reference Citation Analysis (0)]
37.  Fasanello MK, Robillard KT, Boland PM, Bain AJ, Kanehira K. Use of Fecal Microbial Transplantation for Immune Checkpoint Inhibitor Colitis. ACG Case Rep J. 2020;7:e00360.  [RCA]  [PubMed]  [DOI]  [Full Text]  [Full Text (PDF)]  [Cited by in Crossref: 11]  [Cited by in RCA: 36]  [Article Influence: 6.0]  [Reference Citation Analysis (0)]
38.  Wang Y, Wiesnoski DH, Helmink BA, Gopalakrishnan V, Choi K, DuPont HL, Jiang ZD, Abu-Sbeih H, Sanchez CA, Chang CC, Parra ER, Francisco-Cruz A, Raju GS, Stroehlein JR, Campbell MT, Gao J, Subudhi SK, Maru DM, Blando JM, Lazar AJ, Allison JP, Sharma P, Tetzlaff MT, Wargo JA, Jenq RR. Fecal microbiota transplantation for refractory immune checkpoint inhibitor-associated colitis. Nat Med. 2018;24:1804-1808.  [RCA]  [PubMed]  [DOI]  [Full Text]  [Full Text (PDF)]  [Cited by in Crossref: 642]  [Cited by in RCA: 599]  [Article Influence: 74.9]  [Reference Citation Analysis (0)]
Footnotes

Peer review: Externally peer reviewed.

Peer-review model: Single blind

Specialty type: Gastroenterology and hepatology

Country of origin: China

Peer-review report’s classification

Scientific quality: Grade B, Grade B, Grade B, Grade C

Novelty: Grade A, Grade A, Grade B, Grade B

Creativity or innovation: Grade A, Grade A, Grade B, Grade B

Scientific significance: Grade B, Grade B, Grade B, Grade B

P-Reviewer: Ren Q, MD, PhD, Associate Professor, China; Zhang WQ, PhD, China S-Editor: Bai Y L-Editor: A P-Editor: Xu J

Write to the Help Desk