Copyright
©The Author(s) 2025.
World J Hepatol. Dec 27, 2025; 17(12): 111414
Published online Dec 27, 2025. doi: 10.4254/wjh.v17.i12.111414
Published online Dec 27, 2025. doi: 10.4254/wjh.v17.i12.111414
Figure 1 Changes of biochemistry parameters during hospitalization.
The patient had worsening liver function over the first 7 days after receiving common liver-protecting medications, then the glucocorticosteroid therapy was performed, resulting in a significant improvement. Although we had gradually tapered the hormones due to the fact that her serum bilirubin was plateauing and lipid levels were too high, we still observed that those levels were slowly trending down after the glucocorticosteroid therapy was completely stopped. AST: Aspartate aminotransferase; DBIL: Direct bilirubin; ALB: Albumin; GGT: Gamma-glutamyl transferase; ALP: Alkaline phosphatase; ALT: Alanine aminotransferase; TBIL: Total bilirubin.
Figure 2 Changes of lipid profile during hospitalization.
The patient had persistent hyperlipidemia during the entire observational period. Her lipid levels all remained at levels above 10 times higher than normal after receiving glucocorticosteroids. TC: Total cholesterol; TG: Triglycerides; LDL-C: Low-density lipoprotein cholesterol; HDL-C: High-density lipoprotein cholesterol.
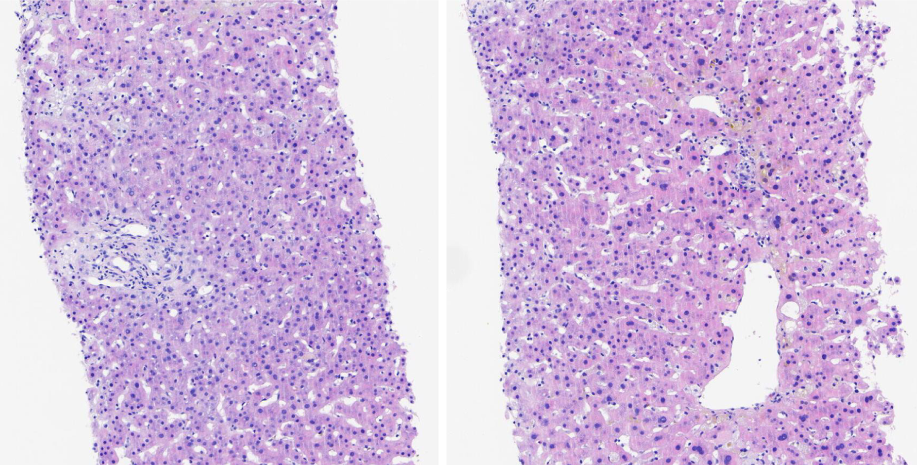
Figure 3 Histological findings of an ultrasound-guided percutaneous liver biopsy stained with hematoxylin and eosin (magnification × 10).
A histological examination revealed severe lobular hepatitis, accompanied by bile duct injury and intrahepatic cholestasis, and a loss of bile duct structure around portal tracts with a small amount of visible lymphocytes and plasma cell infiltration, which was believed to be the result of drug-related liver injury.
- Citation: Xu MJ, Wei X, Lu Y, Sun L, Xie Y, Li MH. Severe hyperlipidemia associated with drug-induced cholestatic liver disease: A case report. World J Hepatol 2025; 17(12): 111414
- URL: https://www.wjgnet.com/1948-5182/full/v17/i12/111414.htm
- DOI: https://dx.doi.org/10.4254/wjh.v17.i12.111414
