BPG is committed to discovery and dissemination of knowledge
Basic Study Open Access
Copyright: ©Author(s) 2026. This article is an open access article distributed under the terms and conditions of the Creative Commons Attribution-NonCommercial (CC BY-NC 4.0) license. No commercial re-use. See permissions. Published by Baishideng Publishing Group Inc.
World J Gastroenterol. Mar 28, 2026; 32(12): 114576
Published online Mar 28, 2026. doi: 10.3748/wjg.v32.i12.114576
ST2 gene deficiency alleviates acute gastric injury in mice by modulating inflammation and epithelial cell death
Irfan F Corovic, Jelena M Pantic, Isidora A Stanisavljevic, Sladjana M Pavlovic, Ivan P Jovanovic, Gordana D Radosavljevic, Bojana J Simovic Markovic, Center for Molecular Medicine and Stem Cell Research, Faculty of Medical Sciences, University of Kragujevac, Kragujevac 34000, Serbia
Irfan F Corovic, Department of Internal Medicine, General Hospital of Novi Pazar, Novi Pazar 36300, Serbia
Ivan P Jovanovic, Institute of Public Health Kragujevac, Kragujevac 34000, Serbia
Ivan P Jovanovic, Faculty of Medicine, University of East Sarajevo, Foča 73300, Bosnia and Herzegovina
ORCID number: Irfan F Corovic (0009-0006-4675-4344); Jelena M Pantic (0000-0003-0602-4815); Isidora A Stanisavljevic (0009-0000-8308-8885); Sladjana M Pavlovic (0000-0002-8912-1874); Ivan P Jovanovic (0000-0002-1169-2378); Gordana D Radosavljevic (0000-0001-6016-0725); Bojana J Simovic Markovic (0000-0001-8408-4624).
Author contributions: Corovic IF and Simovic Markovic BJ were responsible for designing and coordinating the study, conducting the literature review, analyzing the data, and drafting the manuscript; Pantic JM, Stanisavljevic IA, Pavlovic SM, Jovanovic IP, and Radosavljevic GD contributed to the study design, data analysis, and manuscript preparation; Simovic Markovic BJ developed the figure; Pantic JM, Jovanovic IP, and Radosavljevic GD provided expert guidance and participated in the critical revision of the manuscript. All authors contributed to the drafting process and approved the final submitted version.
Supported by the Junior Projects of the Faculty of Medical Sciences, University of Kragujevac, Serbia, No. JP06/23; and by the Ministry of Science, Technological Development and Innovation of the Republic of Serbia, No. 451-03-137/2025-03/200111.
Institutional animal care and use committee statement: All animal experiments were approved by the Animal Ethics Committee of the Faculty of Medical Sciences, University of Kragujevac, Serbia (approval No. 01-6172/3), and conducted in accordance with internationally accepted principles for the care and use of laboratory animals.
Conflict-of-interest statement: All the authors report no relevant conflicts of interest for this article.
ARRIVE guidelines statement: The authors have read the ARRIVE guidelines, and the manuscript was prepared and revised according to the ARRIVE guidelines.
Data sharing statement: All data relevant to this study are contained in the article.
Corresponding author: Bojana J Simovic Markovic, MD, PhD, Senior Research Associate, Center for Molecular Medicine and Stem Cell Research, Faculty of Medical Sciences, University of Kragujevac, Svetozara Markovic 69, Kragujevac 34000, Serbia. bojana.simovic@gmail.com
Received: September 23, 2025
Revised: November 4, 2025
Accepted: January 19, 2026
Published online: March 28, 2026
Processing time: 177 Days and 10.6 Hours

Abstract
BACKGROUND

Peptic ulcer disease continues to pose a major clinical challenge worldwide. A better understanding of molecular mechanisms underlying gastric mucosal damage could open new avenues for targeted interventions. The interleukin-33 (IL-33)/suppression of tumorigenicity 2 (ST2) signaling pathway is an important regulator of inflammation and epithelial injury.

AIM

To investigate the effect of ST2 deletion on multiple pathways of inflammation and epithelial cell death in an experimental model of acute gastric injury.

METHODS

Acute gastric damage was induced in ST2-/- and wild-type BALB/c mice by oral administration of 80% ethanol, followed by macroscopic and histological evaluation. Gastric tissue and serum were analyzed by quantitative polymerase chain reaction, enzyme-linked immunosorbent assay, immunohistochemistry, and flow cytometry to assess cytokine production, immune cell recruitment, inflammatory signaling, and cell death pathways. Recombinant IL-33 was administered intraperitoneally in selected groups to confirm functional relevance.

RESULTS

ST2 deletion ameliorates acute gastric injury in mice, as evidenced by reduced macroscopic lesions and more preserved mucosal architecture. This was associated with decreased infiltration of neutrophils, macrophages, dendritic cells, eosinophils, CD8+ T cells, and ILC2s, along with reduced production of pro-inflammatory cytokines (IL-1β, tumor necrosis factor-α, IL-17 and interferon-γ). Moreover, ST2 gene deficiency downregulated nuclear factor kappa B (NF-κB) and NOD-like receptor family, pyrin domain containing 3 (NLRP3) inflammasome signaling pathways in gastric tissue, leading to diminished release of IL-1β, tumor necrosis factor-α and interferon-γ in gastric-infiltrating neutrophils and macrophages. In addition, ST2 deletion limited epithelial cell apoptosis, while recombinant IL-33 administration significantly exacerbated gastric mucosal injury, confirming the pathogenic role of IL-33/ST2 signaling.

CONCLUSION

Our study provides evidence that ST2 gene deficiency alleviates acute gastric injury effectively by suppressing inflammation mainly via repression of NF-κB and NLRP3 inflammasome signaling, and concurrently downregulating epithelial cell death. Obtained data suggest that targeting IL-33/ST2 axis represent a promising therapeutic strategy for acute gastric ulcer disease.

Key Words: Interleukin-33/suppression of tumorigenicity 2 axis; Acute gastric injury; Nuclear factor kappa B; NLRP3 inflammasome; Cell death; Peptic ulcer; Interleukin 33; Suppression of tumorigenicity 2 receptor

Core Tip: Our study shows that suppression of tumorigenicity 2 deletion markedly reduces acute gastric mucosal injury by limiting nuclear factor kappa B and NOD-like receptor family, pyrin domain containing 3 inflammatory signaling, and subsequently immune cell infiltration, proinflammatory cytokine secretion, as well as epithelial cell death. These findings provide mechanistic insight into how interleukin-33/suppression of tumorigenicity 2 drives gastric mucosal damage and highlight this pathway as a potential therapeutic target in acute gastric injury.



INTRODUCTION

Peptic ulcer disease, defined by mucosal defects penetrating the muscularis mucosae and encompassing both gastric and duodenal ulcers, remains a major global health concern, affecting approximately 5%-10% of the population worldwide[1]. It typically arises from a disparity between the protective factors of the gastric mucosa and the aggressive agents such as hydrochloric acid, pepsin, and bile salts. Primary risk factors include Helicobacter pylori (H. pylori) infection, the use of nonsteroidal anti-inflammatory drugs, psychological stress, smoking, and excessive alcohol consumption, all of which compromise the epithelial barrier and trigger a robust inflammatory response[1,2]. Clinically, peptic ulcer disease presents with epigastric pain and dyspepsia-related symptoms such as fullness, bloating, early satiety, and nausea, whereas complications including perforation, penetration, gastrointestinal bleeding, or obstruction markedly increase morbidity and mortality[1,3]. While acute gastric injury in clinical settings often corresponds to stress-related mucosal disease in critically ill patients[4], the ethanol-induced acute gastric injury model is widely used experimentally to reproduce the acute inflammatory and epithelial injury processes characteristic of both the early phase and the exacerbations of peptic ulcer disease[5-7].

Inflammation is the central driving force in ulcer pathogenesis. Disruption of gastric mucosal integrity triggers the release of damage-associated molecular patterns (DAMPs), which rapidly activate innate immune signaling. These signals recruit innate immune cells and amplify the production of pro-inflammatory cytokines and chemokines, leading to excessive generation of reactive oxygen species and exacerbation of oxidative stress. The resulting inflammatory feedback loop disrupts epithelial junctions and activates multiple cell death pathways, ultimately causing mucosal breakdown[6-8].

Interleukin-33 (IL-33) is a nuclear cytokine of the IL-1 family, and it is constitutively expressed in the nuclei of various cell types, including endothelial, epithelial, and fibroblast-like cells. Upon tissue injury or pathogen invasion, it is rapidly released into the extracellular space, where it functions as a potent alarmin[9]. IL-33 works by binding to a receptor complex made up of the membrane-bound suppression of tumorigenicity 2 (ST2) molecule and the IL-1 receptor accessory protein. This binding initiates downstream signaling cascades, positioning the IL-33/ST2 axis as a pivotal regulator of immune homeostasis by integrating innate and adaptive responses and modulating type 1, type 2, and type 17 immunity[10]. Within the gastrointestinal tract, IL-33/ST2 exerts highly context- and time-dependent effects. It helps start local inflammation during the early phase of DSS-induced colitis by activating the innate immune system[11]. In chronic colitis, it offers protection by promoting the expansion of regulatory T cells and type 2 innate lymphoid cells (ILC2s), which release the tissue-repair factor amphiregulin[12]. In the stomach, research on IL-33 has mainly focused on H. pylori infection, where it shows a biphasic expression pattern: It increases during acute infection, promoting T helper 2 polarization, but decreases in chronic stages, which aligns with reduced T helper 2 immunity[13]. Furthermore, higher IL-33 expression levels correspond with bacterial load and the severity of gastritis[14], yet some evidence indicates that IL-33 may also aid in healing the epithelium during H. pylori infection[15]. Beyond infection, IL-33 has been associated with the progression from chronic gastritis to intestinal metaplasia and potentially gastric cancer[16]. Despite the increasing recognition of its role in gastrointestinal inflammation, the contribution of IL-33/ST2 signaling to acute sterile gastric injury is largely unknown.

Here we show that ST2 deletion leads to a marked attenuation of acute gastric injury due to reduced inflammation probably through the inhibition of nuclear factor kappa B (NF-κB) and NOD-like receptor family, pyrin domain containing 3 (NLRP3) inflammasome pathways, which finally result in downregulation of immune cell infiltration as well as proinflammatory cytokine production in gastric tissue. Thus, our data indicate that IL-33/ST2 axis plays an important role in multiple inflammatory and epithelial cell death pathways in acute gastric injury, suggesting that the IL-33/ST2 axis blockade represents a potential attractive therapeutic target in gastric mucosal damage.

MATERIALS AND METHODS
Animals

All animal experiments were approved by and conducted in compliance with the guidelines of the Animal Ethics Committee of the Faculty of Medical Sciences, University of Kragujevac, Serbia (approval No. 01-6172/3). ST2 knockout (ST2-/-) and wild-type (WT) BALB/c mice of the same substrain, as previously described by Townsend et al[17], were bred and maintained in the animal facilities of the Faculty of Medical Sciences, University of Kragujevac, Serbia. The mice, aged 6 weeks to 8 weeks, were kept under controlled environmental conditions with a 12-hour light/dark cycle and provided unrestricted access to standard laboratory chow and water.

Induction of gastric injury

Mice were randomly assigned to experimental and control groups. The experimental groups consisted of ST2-/- and WT mice, which received a single intragastric administration of 80% ethanol (10 mL/kg) via oral gavage to induce acute gastric injury[5,18], while the control groups (ST2-/- and WT) received an equal volume of phosphate-buffered saline (PBS), also via oral gavage. Three hours after ethanol or PBS administration, mice were euthanized using the cervical dislocation method. Before gastric injury induction, all animals underwent a 24-hour fasting period while maintaining free access to water.

Analysis of gastric lesions

After cervical dislocation, the stomachs were isolated and prepared for macroscopic analysis. Each stomach was longitudinally incised along the greater curvature and thoroughly rinsed with PBS. The extent of gastric lesions was assessed by capturing digital images of the inner gastric surface, which were subsequently analyzed using ImageJ software (National Institutes of Health, Bethesda, MD, United States). The gastric lesion score (%) was determined for each stomach using the following formula: Gastric lesion index (%) = [area of damaged mucosa (mm2)/total mucosal area (mm2)] × 100[19]. The ulcer area (mm2) was calculated by summing the total damaged mucosal area for all stomachs within each group.

Histopathological assessment

For histological analysis, the excised stomach tissues were fixed in 4% paraformaldehyde, followed by sequential dehydration using graded concentrations of ethanol. The samples were then paraffin-embedded, sectioned at a thickness of 10 μm, and stained with hematoxylin and eosin. Histopathological evaluation was conducted by assessing the sections for epithelial cell loss (0-3), mucosal edema (0-3), hemorrhagic damage (0-3), and inflammatory cell infiltration (0-3). Each section was assigned a cumulative histological activity index (HAI), with a maximum possible score of 12, based on previously established evaluation criteria[20]. Histological evaluation and scoring were performed in a blinded manner by two independent observers.

Administration of recombinant IL-33

To assess the role of recombinant IL-33 (rIL-33) in the aggravation of acute gastric injury, WT BALB/c mice were administered a single intraperitoneal injection of rIL-33 (1 μg; R&D Systems, Minneapolis, MN, United States) two hours prior to ethanol administration[21,22]. The control group included WT BALB/c mice that were administered only rIL-33, without ethanol exposure.

Immunohistochemistry

To assess the expression of tumor necrosis factor-α (TNF-α) and caspase-3 in the stomach tissue of ST2-/- and WT mice, immunohistochemical analysis was performed. Formalin-fixed, paraffin-embedded stomach tissue sections were incubated overnight at room temperature with rabbit anti-mouse TNF-α antibody (ab66579, Abcam Inc., Cambridge, MA, United States) and rabbit anti-mouse caspase-3 antibody (ab184787, Abcam Inc., Cambridge, MA, United States). Immunoreactivity was visualized using a rabbit-specific HRP/DAB detection kit (ab64261, Abcam Inc., Cambridge, MA, United States), following the manufacturer’s protocol. The stained sections were photographed using a digital camera mounted on an Olympus BX51 Light microscope (Olympus, Japan), digitized, and analyzed. Quantification was conducted using ImageJ software (National Institutes of Health, Bethesda, MD, United States) on 10 fields per section. Histological evaluation and scoring were performed in a blinded manner by two independent observers. For each field, the gastric epithelium was manually selected, and the percentage of positively stained cells within the outlined area was quantified. The final results are expressed as the mean percentage of positively stained areas per field[23].

Measurement of cytokines in the serum and gastric tissue homogenates

Blood samples were collected from the abdominal aorta of the mice, centrifuged, and the serum was separated and stored at -80 °C until further analysis. Gastric homogenates were prepared according to previously established protocols[6]. Briefly, sections of stomach tissue were mechanically homogenized in 500 μL of PBS, centrifuged, and the resulting supernatant was collected and stored at -80 °C. The concentrations of cytokines [TNF-α, IL-1β, IL-6, IL-17, interferon (IFN)-γ, and IL-10] in both serum and gastric tissue homogenates were measured using commercially available enzyme-linked immunosorbent assay kits (R&D Systems, Minneapolis, MN, United States), following the manufacturer’s protocol.

Real-time quantitative reverse transcriptase polymerase chain reaction analysis

Total RNA was extracted from gastric tissue using TRIzol reagent (Invitrogen, Carlsbad, CA, United States) according to the manufacturer’s protocol. RNA purity and concentration were determined using an Epoch microplate spectrophotometer (Agilent BioTek, CA, United States). A total of 1 μg of RNA was reverse transcribed into cDNA using the High-Capacity cDNA Reverse Transcription Kit (Applied Biosystems, Foster City, CA, United States). Real-time quantitative reverse transcriptase polymerase chain reaction (RT-qPCR) was performed using Power SYBR Green Master Mix (Applied Biosystems, Foster City, CA, United States) and gene-specific primers for IL-33, NLRP3, caspase-1, Bcl-2, Bax, caspase-3, NF-κB, Beclin-1, high mobility group box-1 (HMGB1), and β-actin. All primers were custom-synthesized and quality-controlled by Metabion GmbH (Planegg, Germany) and Invitrogen (Carlsbad, CA, United States). The success of cDNA synthesis was confirmed by amplification of the housekeeping gene (β-actin) prior to target gene analysis. RT-qPCR reactions were initiated with a 10-minute denaturation at 95 °C, followed by 40 cycles of 95 °C for 15 seconds and 60 °C for 60 seconds using a Mastercycler ep Realplex (Eppendorf, Hamburg, Germany). Since the primers were pre-validated and sequence-confirmed by the manufacturers, no additional optimization of annealing temperatures or primer concentrations was required. Primer specificity was verified by the presence of single sharp peaks in melting-curve analysis, and amplification efficiency was confirmed by standard-curve assessment, with all reactions showing efficiencies between 90% and 110%. The relative expression of target genes was calculated using the 2-(Ct - Ctactin) formula, where Ct represents the cycle threshold of the gene of interest, and Ctactin corresponds to the cycle threshold of the housekeeping gene (β-actin)[24]. Detailed information on primer sequences (5’-3’), melting temperatures (Tm), and expected base pair sizes is provided in Table 1.

Table 1 Primer sequences, melting temperatures, and expected amplicon sizes used for real-time quantitative reverse transcriptase polymerase chain reaction analysis.
Gene name
Forward primer (5’-3’)
Reverse primer (5’-3’)
Temperature (°C)
Expected base pair size
Forward
Reverse
IL-33TCCTTGCTTGGCAGTATCCATGCTCAATGTGTCAACAGACG686952
Beclin-1ATACTGTTCTGGGGGTTTGCGGTCTCTCCTTTTTCCACCTCTTC6359111
HMGB1GGCGAGCATCCTGGCTTATCGGCTGCTTGTCATCTGCTG596386
NLRP3TGCTCTTCACTGCTATCAAGCCCTACAAGCCTTTGCTCCAGACCCTAT656585
Caspase-1AGATGGCACATTTCCAGGACGATCCTCCAGCAGCAACTTC6870221
Bcl-2GTGGTGGAGGAACTCTTCAGGTTCCACAAAGGCATCCCAG7070205
BaxACACCTGAGCTGACCTTGAGCCCATGATGGTTCTGATC6768292
Caspase-3AAATTCAAGGGACGGGTCATATTGACACAATACACGGGATCTGT6670180
NF-κBGCCGTGGAGTACGACAACGGTTTCCCATTTAGTATGT6664298
β-actinAGCTGCGTTTTACACCCTTTAAGCCATGCCAATGTTGTCT565681
Flow cytometric analysis of gastric tissue-infiltrating cells

The isolation of immune cells from the gastric lamina propria of experimental animals was performed according to previously established protocols[25]. Tissues were excised, opened, and thoroughly washed with RPMI 1640 medium supplemented with L-glutamine and 5% fetal bovine serum (FBS) to remove luminal contents. The tissues were then subjected to enzymatic digestion using ethylenediaminetetraacetic acid/dithiothreitol and collagenase IV. Initially, samples were incubated in 10 mL of Hanks’ balanced salt solution without calcium and magnesium, supplemented with 1 mmol/L ethylenediaminetetraacetic acid, 1 mmol/L dithiothreitol, and 2% FBS, for 30 minutes. Following this step, tissues were minced into smaller fragments and further digested using a collagenase IV/DNase I enzyme mixture (0.5 mg/mL collagenase IV, 200 μg/mL DNase I in wash buffer) for an additional 30 minutes. The digestion process was conducted in 5 mL of enzyme solution at 37 °C, with continuous shaking at 250 rpm. The resulting cell suspensions were filtered through a 40 μm nylon mesh, washed twice with wash buffer, and resuspended in 5 mL of RPMI medium supplemented with 5% FBS. For flow cytometry analysis, 1 × 106 cells per sample were incubated with fluorochrome-conjugated anti-mouse monoclonal antibodies, targeting cluster of differentiation (CD) 45, CD8, killer cell lectin-like receptor subfamily G member 1, cytotoxic T-lymphocyte-associated protein 4, CD11c, CD86, lineage marker (Lin), sialic acid-binding immunoglobulin-like lectin F (SiglecF), C-X-C motif chemokine receptor 3 (CXCR3), CXCR4, CXCR5, CD80, lymphocyte antigen 6 complex, locus G (Ly6G), and F4/80. These antibodies were labeled with fluorescein isothiocyanate, phycoerythrin, peridinin-chlorophyll-protein complex, or allophycocyanin, in accordance with the manufacturer’s instructions (BD Biosciences, San Jose, CA, United States). For intracellular staining, cell suspensions were stimulated for 4 hours at 37 °C, with phorbol 12-myristate 13-acetate (50 ng/mL, Sigma-Aldrich, MO, United States), ionomycin (500 ng/mL, Sigma-Aldrich, MO, United States), and GolgiStop (1 μg/mL, BD Pharmingen, NJ, United States). Following extracellular staining, cells were fixed, permeabilized, and subsequently stained with fluorochrome-labeled anti-mouse monoclonal antibodies specific for IFN-γ, CD107a, IL-12, GATA binding protein 3, IL-13, IL-4, IL-10, NLRP3, inducible nitric oxide synthase, TNF-α, and IL-1β using a fixation/permeabilization kit and fluorochrome-conjugated antibodies (fluorescein isothiocyanate, phycoerythrin, peridinin-chlorophyll-protein complex, and allophycocyanin; BD Biosciences, San Jose, CA, United States). Flow cytometry was performed using a FACSCalibur Flow Cytometer (BD Biosciences, San Jose, CA, United States), and data analysis was conducted using FlowJo software (Tree Star Inc., Ashland, OR, United States).

Statistical analysis

All data were analyzed using commercially available statistical software (SPSS version 26.0, SPSS Inc., Chicago, IL, United States). Student’s t-test, Mann-Whitney U test, Kruskal-Wallis test, or one-way ANOVA was applied where appropriate. Correlations were assessed using Spearman’s rank correlation test. Results are presented as mean ± SEM for each group. A P value less than 0.05 was considered statistically significant.

RESULTS
Deletion of ST2 significantly attenuates acute gastric injury

In WT mice, intragastric administration of 80% ethanol consistently induced severe acute gastric injury, characterized by extensive hemorrhagic ulceration and widespread macroscopic damage of the gastric mucosa. In contrast, ST2-/- ethanol-treated mice exhibited significantly less gastric injury, with the largely preserved mucosa, appearing smooth and intact, with only minor punctate erosions and scattered linear bleeding (Figure 1A). Quantitative assessment of macroscopic damage confirmed that ST2-/- mice had significantly lower gastric lesion score and smaller ulcer area compared to WT animals (Figure 1B and C). These findings suggest that ST2 gene deficiency confers a protective effect in acute gastric mucosal damage.

Figure 1
Figure 1 Suppression of tumorigenicity 2 gene deficiency mitigates acute gastric injury. A: Representative macroscopic images of gastric tissue showing differences in the severity of mucosal damage following ethanol exposure; B and C: Quantitative evaluation of macroscopic gastric injury. Gastric lesion score (%) (B) and ulcer area (mm2) (C) were determined by capturing digital images of the inner gastric surface and analyzing them using ImageJ software; D: Microscopic assessment of tissue damage based on histological activity index; E: Representative hematoxylin and eosin staining images of gastric tissue sections (magnified × 10 and × 40) illustrating differences in epithelial integrity, inflammatory infiltration, and overall tissue architecture between experimental groups. Data are presented as mean ± SEM; n = 10 mice per group. aP < 0.05, bP < 0.01. WT: Wild type; ST2: Suppression of tumorigenicity 2.

Microscopic analysis further validated the protective role of ST2 gene deficiency in acute gastric injury. Histologically, deletion of ST2 significantly reduced mucosal damage, as evidenced by a lower HAI in ST2-/- mice compared to ethanol-treated WT mice (Figure 1D). ST2-/- animals maintained a largely intact mucosal architecture with minimal histopathological alterations. In contrast, WT mice exposed to ethanol exhibited extensive mucosal injury, characterized by disrupted cellular organization, glandular disarray, hemorrhagic lesions, submucosal edema, inflammatory cell infiltration, and epithelial cell loss (Figure 1E).

ST2 gene deficiency mitigates acute gastric injury by suppressing the production of local and systemic proinflammatory mediators

In accordance with macroscopic and histopathological findings, the deletion of ST2 significantly attenuated the production of proinflammatory cytokines in ethanol-treated mice, both within the gastric tissue and systemically. Namely, analysis of gastric tissue homogenates revealed that ethanol-treated ST2-/- mice exhibited markedly lower concentrations of IL-1β, TNF-α, IL-17, and IFN-γ (Figure 2A) compared to their WT counterparts. Conversely, the levels of IL-10, an anti-inflammatory cytokine, were significantly elevated in the gastric tissue of both ethanol-treated ST2-/- and WT mice compared to control groups (Figure 2A). To further elucidate the balance between pro- and anti-inflammatory responses, cytokine ratios were analyzed in ethanol-treated groups. The ratios of proinflammatory to anti-inflammatory cytokines (IL-1β/IL-10, TNF-α/IL-10, IL-17/IL-10, and IFN-γ/IL-10) were significantly lower in ethanol-treated ST2-/- mice compared to their WT counterparts (Figure 2B). This dominance of proinflammatory cytokines in WT animals further supports the role of IL-33/ST2 axis in promoting inflammatory responses during acute gastric injury. At the systemic level, ethanol-treated ST2-/- mice exhibited significantly lower serum concentrations of key proinflammatory cytokines IL-1β, TNF-α, IL-17, IFN-γ, and IL-6 compared to ethanol-treated WT mice (Figure 2C). In contrast, IL-10 levels remained significantly elevated in the serum of both ethanol-treated groups (Figure 2C), further reinforcing the immunoregulatory function of IL-33/ST2 axis in acute gastric injury. Importantly, correlation analysis demonstrated strong positive associations between histological injury score and serum concentrations of IL-1β (r = 0.971, P = 0.001), TNF-α (r = 0.883, P = 0.020), and IL-6 (r = 0.912, P = 0.011), whereas correlations with IL-17 and IFN-γ did not reach statistical significance (Table 2).

Figure 2
Figure 2 Attenuated systemic and local proinflammatory milieu in suppression of tumorigenicity 2 gene knockout mice during acute gastric injury. A: Concentrations of interleukin (IL)-1β, tumor necrosis factor-α (TNF-α), IL-17, interferon (IFN)-γ, and IL-10 in gastric tissue homogenates; B: Ratios of proinflammatory to anti-inflammatory cytokines (IL-1β/IL-10, TNF-α/IL-10, IL-17/IL-10, and IFN-γ/IL-10) in gastric tissue to evaluate the inflammatory balance; C: Serum concentrations of IL-1β, TNF-α, IL-17, IFN-γ, IL-6, and IL-10. Cytokine levels were measured using enzyme-linked immunosorbent assay. Results are displayed as mean ± SEM; n = 10 mice per group. aP < 0.05, bP < 0.01, cP < 0.001. WT: Wild type; ST2: Suppression of tumorigenicity 2; IFN: Interferon; TNF-α: Tumor necrosis factor-α.
Table 2 Correlation between systemic concentration of cytokines of interest and histological score.
Cytokines
Histological score
IL-1βr = 0.9711,b; P = 0.0011
TNF-αr = 0.8831,a; P = 0.0201
IL-17r = 0.765; P = 0.076
IFN-γr = 0.736; P = 0.096
IL-6r = 0.9121,a; P = 0.0111
High expression of IL-33 in acute gastric injury promotes type 1 cytotoxic cell immune response

Various DAMPs, as specific biomolecular messengers, are released during tissue damage. IL-33, a guardian of barrier tissues, functions as a DAMP and an alarmin that amplifies immune responses following injury or infection[26]. Obtained data indicated that ethanol administration resulted in a significant upregulation of IL-33 mRNA expression in gastric tissue (Figure 3A) compared to control animals.

Figure 3
Figure 3 Interleukin-33 upregulation in acute gastric injury enhances type 1 cytotoxic activation and dendritic cells recruitment. A: Interleukin-33 mRNA expression levels in gastric tissue following ethanol administration, measured by real-time quantitative reverse transcriptase polymerase chain reaction; B: Total count of dendritic cells (CD11c+), including the subsets expressing CD86 and producing interleukin-12, assessed by flow cytometry; C-E: Total count and representative flow cytometry dot plots of CD8+ cells in ethanol-treated mice; quantification of CD8+ cells subsets (C). Producing interferon-γ and CD107a (D), and expressing the inhibitory molecules killer cell lectin-like receptor subfamily G member 1 and cytotoxic T-lymphocyte-associated protein 4 (E). Results are displayed as mean ± SEM; n = 10 mice per group. aP < 0.05, bP < 0.01, cP < 0.001. WT: Wild type; ST2: Suppression of tumorigenicity 2; IFN: Interferon; KLRG1: Killer cell lectin-like receptor subfamily G member 1; CTLA-4: Cytotoxic T-lymphocyte-associated protein 4.

In parallel with this upregulation, ethanol administration induced marked infiltration of CD11c+ dendritic cells (DCs), including CD86-expressing and IL-12-producing DC subsets, into the gastric mucosa of WT mice, whereas this response was reduced in ST2-/- mice, indicating that IL-33/ST2 signaling promotes DC recruitment and activation during acute gastric injury (Figure 3B).

Furthermore, ethanol administration in WT mice also resulted in a robust expansion of CD8+ T cells (Figure 3C), particularly the type 1 cytotoxic (Tc1) subset, including IFN-γ and CD107a-producing cells (Figure 3D). This expansion was markedly attenuated in ST2-/- mice, suggesting that ST2 signaling is required for full Tc1 activation in this model. Moreover, ST2 gene deficiency was associated with a higher proportion of CD8+ T cells expressing the inhibitory receptor killer cell lectin-like receptor subfamily G member 1, while cytotoxic T-lymphocyte-associated protein 4 expression remained unchanged between experimental groups (Figure 3E).

ST2 gene deficiency diminishes ILC2 function and eosinophil-driven immune responses in acute gastric injury

Ethanol-induced injury led to a substantial influx of ILC2 into gastric mucosa in both experimental groups, with no significant differences in their overall numbers (Figure 4A). However, ethanol-treated ST2-/- mice exhibited a significantly lower number of IL-13- and IL-4-producing ILC2 in gastric tissue compared to their WT counterparts (Figure 4B and C). In line with these findings, total number of eosinophils (SiglecF+) was significantly lower in the gastric mucosa in ST2-/- mice following ethanol exposure compared to WT animals (Figure 4D). Furthermore, intracellular cytokine analysis revealed a significantly lower number of IFN-γ-producing eosinophils (Figure 4E) and IL-10-producing eosinophils (Figure 4F) in ethanol-treated ST2-/- mice. Additionally, in ethanol-treated ST2-/- mice, the frequency of eosinophils expressing the co-stimulatory molecule CD80 and the chemokine receptors CXCR4 and CXCR3 was markedly reduced compared with WT controls (Figure 4G and H). These findings underscore the contribution of the IL-33/ST2 axis to the recruitment, activation, and retention of eosinophils which produce both type 1 and type 2 cytokines, thereby shaping the complex local milieu during acute gastric injury.

Figure 4
Figure 4 The interplay between interleukin-33, ILC2s, and eosinophils exacerbates acute gastric injury. A-C: Total count of ILC2 (Lin-GATA3+) in gastric tissue (A), interleukin (IL)-13-producing (B), and IL-4-producing (C) ILC2 subsets following ethanol administration; D-H: Total count of eosinophils (SiglecF+) (D); interferon-γ-producing (E) and IL-10-producing eosinophils (F); CD80+ (G), CXCR4+ and CXCR3+ (H) eosinophils in gastric tissue following ethanol administration. All parameters were analyzed by flow cytometry. Data are expressed as mean ± SEM; n = 10 mice per group. aP < 0.05, bP < 0.01, cP < 0.001. GATA3: GATA binding protein 3; WT: Wild type; ST2: Suppression of tumorigenicity 2; IL: Interleukin; IFN: Interferon; CXCR: C-X-C motif chemokine receptor.
ST2 deletion alters neutrophil and macrophage activity by suppressing NF-κB and NLRP3 inflammasome gene expression in acute gastric injury

To further investigate the role of ST2 deletion in shaping the inflammatory environment in acute gastric injury, we analyzed the phenotype and function of gastric-infiltrating neutrophils and macrophages in WT and ST2-/- mice. Our findings revealed a significantly reduced accumulation of Ly6G+ neutrophils in the gastric mucosa of ethanol-treated ST2-/- mice compared to WT counterparts (Figure 5A), along with a markedly lower proportion of neutrophils expressing NLRP3, CXCR5, and CXCR4 (Figure 5B and C). Additionally, intracellular staining demonstrated that neutrophils producing TNF-α, IFN-γ, and IL-1β were significantly less abundant in ethanol-treated ST2-/- mice (Figure 5D), further implicating the importance of ST2 deletion in attenuating both the accumulation and activation of neutrophils during acute gastric injury.

Figure 5
Figure 5 Suppression of tumorigenicity 2 gene deficiency attenuates neutrophil and macrophage activation and reduces gene expression of nuclear factor kappa B and NOD-like receptor family, pyrin domain containing 3. A-D: Total count of neutrophils (Ly6G+) (A) in gastric tissue following ethanol administration, along with neutrophil subsets expressing NOD-like receptor family, pyrin domain containing 3 (NLRP3) (B), expressing C-X-C motif chemokine receptor 5 and C-X-C motif chemokine receptor 4 (C), and producing tumor necrosis factor-α, interferon-γ, and interleukin-1β (D); E: Total count of macrophages (F4/80+) in gastric tissue following ethanol exposure, including M1 macrophage subsets expressing NLRP3 and producing interleukin-1β. All parameters were analyzed by flow cytometry; F and G: The mRNA expression levels of NLRP3, caspase-1 (F), and nuclear factor kappa B (G) in gastric tissue detected by real-time quantitative reverse transcriptase polymerase chain reaction. Data are presented as mean ± SEM; n = 10 mice per group. aP < 0.05, bP < 0.01, cP < 0.001. WT: Wild type; ST2: Suppression of tumorigenicity 2; NLRP3: NOD-like receptor family, pyrin domain containing 3; CXCR: C-X-C motif chemokine receptor; TNF-α: Tumor necrosis factor-α; IL: Interleukin; NF-κB: Nuclear factor kappa B.

Analysis of macrophage populations in ethanol-injured gastric tissue revealed a significantly lower number of F4/80+ macrophages, as well as a decreased presence of NLRP3-expressing and IL-1β-producing proinflammatory M1 macrophages in ethanol-treated ST2-/- mice (Figure 5E). In agreement with this, ethanol-injured gastric tissue from ST2-/- mice exhibited significantly lower mRNA expression levels of NLRP3 inflammasome components and caspase-1 compared to WT mice (Figure 5F), suggesting that ST2 deletion suppresses inflammasome activation and caspase-1-dependent inflammatory processes, thus leading to gastric damage.

Given the pivotal role of NF-κB signaling in inflammation and cell survival, we extended our analysis to assess the influence of ST2 gene deficiency on this pathway. Ethanol-treated ST2-/- mice exhibited significantly decreased NF-κB mRNA expression compared to WT counterparts, providing further evidence of IL-33/ST2-mediated regulation of proinflammatory signaling cascades (Figure 5G).

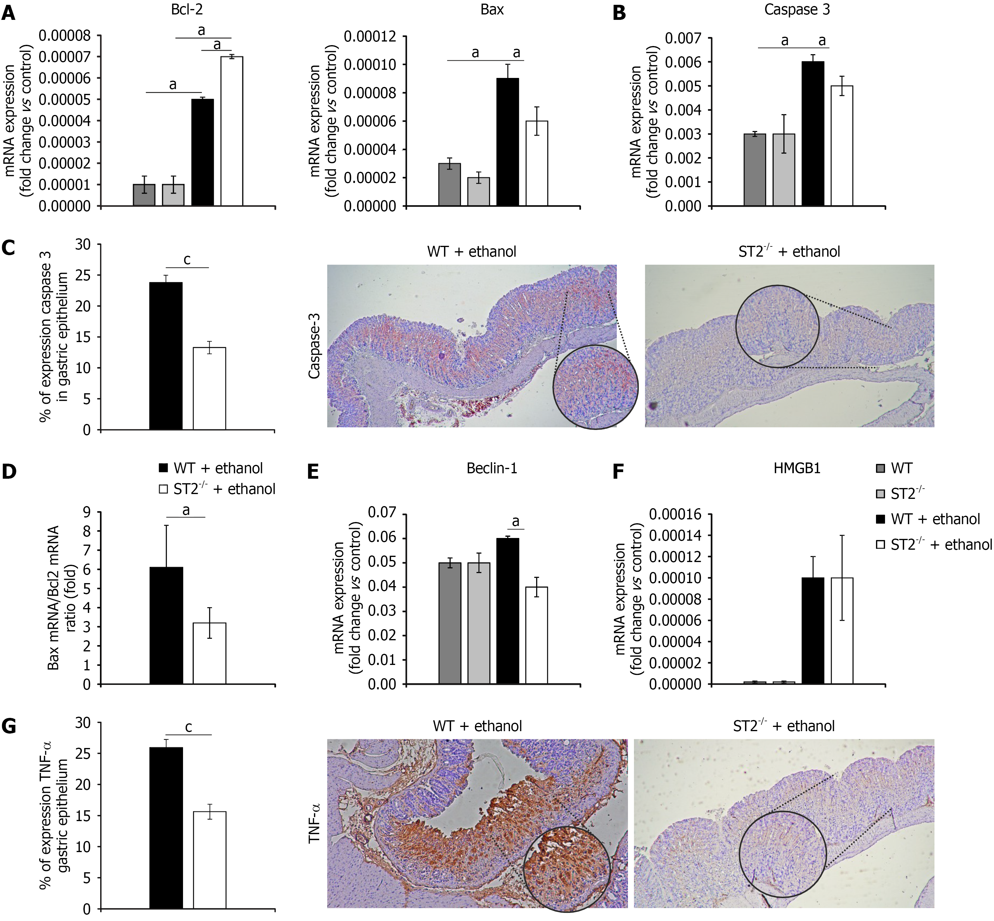
ST2 deletion limits acute gastric injury by attenuating multiple cell death pathways

Additional mechanisms contributing to acute gastric tissue injury involve the activation of cell death pathways[27]. Analysis of the involvement of ST2 deletion in the dysregulation of cell death/survival pathways indicated that ethanol-treated ST2-/- mice displayed markedly increased expression of the anti-apoptotic protein Bcl-2 in gastric tissue compared to their WT counterparts (Figure 6A). In contrast, expression levels of the pro-apoptotic protein Bax and the executioner enzyme caspase-3 were significantly downregulated in ST2-/- mice following ethanol exposure (Figure 6A and B). These findings were corroborated by immunohistochemical analysis, which revealed a substantially lower percentage of caspase-3-positive epithelial cells in the gastric mucosa of ethanol-treated ST2-/- mice compared to WT mice, highlighting the role of ST2 deletion in suppressing apoptosis during gastric injury (Figure 6C). Moreover, the decreased Bax/Bcl-2 mRNA ratio in ethanol-treated ST2-/- mice emphasizes the involvement of IL-33/ST2 axis in promoting apoptotic signaling (Figure 6D). In addition to its role in apoptosis, the ST2 deletion may influence other forms of cell death. As shown in Figure 6E, ethanol-treated ST2-/- mice exhibited significantly decreased mRNA expression of Beclin-1, a key regulator of autophagy, compared to their WT counterparts. Moreover, the upregulation of HMGB1 mRNA in both genotypes (Figure 6F) may reflect engagement of necrosis-associated signaling pathways. Interestingly, a significantly lower proportion of TNF-α-positive epithelial cells was detected in the gastric mucosa of ethanol-treated ST2-/- mice (Figure 6G), raising the possibility that the IL-33/ST2 axis could intersect with necroptotic mechanisms.

Figure 6
Figure 6 Suppression of tumorigenicity 2 deletion downregulates diverse cell death signaling in acute gastric damage. A and B: Real-time quantitative reverse transcriptase polymerase chain reaction (RT-qPCR) analysis of mRNA expression levels of Bcl-2 and Bax (A), and caspase 3 (B) in gastric tissue; C: Percentage of caspase 3 positive cells in the gastric epithelium assessed by immunohistochemical, accompanied by representative images (magnified × 10 and × 40); D: RT-qPCR analysis of mRNA expression levels of Bax/Bcl-2 expression ratio; E and F: The mRNA expression levels of Beclin-1 (E) and high mobility group box-1 (F) gastric tissue detected by RT-qPCR; G: Percentage of tumor necrosis factor-α-positive cells in the gastric epithelium, evaluated by immunohistochemical and illustrated with representative images (magnified × 10 and × 40). Data are expressed as mean ± SEM; n = 10 mice per group. aP < 0.05, cP < 0.001. WT: Wild type; ST2: Suppression of tumorigenicity 2; HMGB1: High mobility group box-1; TNF-α: Tumor necrosis factor-α.
IL-33 pretreatment exacerbates acute gastric injury in mice

Moreover, we showed the effect of IL-33/ST2 pathway stimulation on acute gastric injury after the administration of single dose of rIL-33 intraperitoneally, two hours prior to ethanol exposure. Namely, WT mice pretreated with exogenous IL-33 exhibited significantly more severe acute gastric injury, characterized by extensive mucosal erosion with pronounced hemorrhagic lesions and widespread structural damage compared to WT mice that received ethanol alone (Figure 7A). Quantitative macroscopic analysis confirmed that IL-33 pretreatment resulted in a significantly higher gastric lesion score and larger ulcerated area in ethanol-treated WT mice compared to those treated with ethanol alone (Figure 7B and C). Similarly, microscopic analysis revealed a significantly elevated HAI in WT mice pretreated with IL-33 prior to ethanol administration, further substantiating the role of IL-33 in aggravating gastric mucosal injury (Figure 7D). Although both groups exhibited severe histological alterations, IL-33 pretreatment resulted in more extensive tissue damage, with accentuated structural disorganization and inflammatory features. The marked exacerbation of both macroscopic lesions and histological damage following IL-33 pretreatment reinforces the pathogenic role of IL-33/ST2 signaling in acute gastric tissue injury.

Figure 7
Figure 7 Recombinant interleukin-33 aggravates acute gastric tissue injury. A: Representative macroscopic images illustrating the extent of gastric mucosal damage; B and C: Quantitative evaluation of gastric injury: Gastric lesion score (%) (B) and ulcer area (mm²) (C), analyzed using ImageJ software; D: Microscopic assessment of tissue damage based on histological activity index, accompanied by representative hematoxylin and eosin staining images (magnified × 10 and × 40). Data are presented as mean ± SEM; n = 10 mice per group. aP < 0.05, bP < 0.01. WT: Wild type; rIL-33: Recombinant interleukin-33.
DISCUSSION

This study provides novel mechanistic evidence that ST2 deficiency mitigates ethanol-induced acute sterile gastric injury by suppressing inflammatory signaling and limiting epithelial cell death. Previous research[13-16] has primarily examined the IL-33 axis in H. pylori-associated gastritis and metaplastic transformation, where IL-33 exerts context-dependent effects in induction of inflammation, tissue reparation, or metaplasia. However, our findings uncover a distinct role for this pathway in acute sterile gastric injury, extending beyond the previously reported upregulation of IL-33 to demonstrate its mechanistic involvement in driving inflammatory activation and epithelial injury. Specifically, we provide the evidence that the IL-33/ST2 axis blockade results in attenuation of acute gastric injury by downregulating the activation of innate immune cells, NF-κB and NLRP3 inflammasome-dependent cytokine release, expansion of cytotoxic T lymphocytes, and induction of epithelial damage. To summarize these findings, we propose a model that delineates the cellular and molecular mechanisms of IL-33/ST2 pathway blockade in acute gastric injury (Figure 8).

Figure 8
Figure 8 Schematic representation of the immunopathological mechanisms regulated by suppression of tumorigenicity 2 deletion in acute gastric injury. Ethanol exerts both direct cytotoxic effects on the gastric epithelium and indirect effects through the induction of inflammation. Tissue injury triggers the release of the nuclear alarmin interleukin (IL)-33 from gastric mucosal cells, which, by binding to its receptor suppression of tumorigenicity 2 (ST2), orchestrates a broad range of immune responses. ST2 deletion attenuates the infiltration and activation of dendritic cells, reducing the number of IL-12-producing and CD86-expressing dendritic cells, and impairs type 1 cytotoxic polarization, resulting in decreased interferon-γ production. Furthermore, ST2 gene deficiency limits the infiltration of neutrophils and macrophages, with a decreased number of neutrophils expressing C-X-C motif chemokine receptor 4 and C-X-C motif chemokine receptor 5, as well as reduced tumor necrosis factor-α and interferon-γ production. Both cell types exhibit decreased activation of the NOD-like receptor family, pyrin domain containing 3 inflammasome and caspase-1, resulting in lower IL-1β production. This cascade is further supported by dampened activation of nuclear factor kappa B, a transcription factor driving the expression of multiple proinflammatory mediators. In gastric epithelial cells, ST2 deletion decreases apoptosis and pyroptosis, while reduced levels of tumor necrosis factor-α and Beclin-1 suggest potential involvement of necroptosis and autophagy-associated cell death. Altogether, the IL-33/ST2 axis blockade uncouples epithelial injury from downstream innate and adaptive immune activation and limits engagement of multiple regulated cell death pathways, thereby mitigating acute gastric mucosal damage. ST2: Suppression of tumorigenicity 2; IL-33: Interleukin-33; TNF-α: Tumor necrosis factor-α; NF-κB: Nuclear factor kappa B; Neu: Neutrophils; Mφ: Macrophages; DC: Dendritic cell; Tc1: Type 1 cytotoxic; NLRP3: NOD-like receptor family, pyrin domain containing 3; CXCR: C-X-C motif chemokine receptor; IFN: Interferon.

Prior research conducted by Buzzelli et al[13] revealed an early elevation of IL-33 levels in the stomach during both infection- and drug-induced damages, affirming its function as an epithelial-derived alarmin in acute mucosal inflammation. Building on this concept, we found a significant increase in IL-33 mRNA expression after ethanol exposure (Figure 3A), supporting its alarmin function and early role in the acute gastric injury. Notably, the relevance of IL-33/ST2 signaling in this context was highlighted by our findings, which showed that typical features of acute gastric injury, such as epithelial exfoliation, hemorrhage, edema, and inflammatory infiltrates[7,28], were diminished in ST2 gene deficient mice (Figure 1), accompanied by decreased secretion of proinflammatory cytokines, both systemically and locally (Figure 2). Gastric DCs constitute a specialized resident immune population that exhibit a proinflammatory phenotype during H. pylori infection, characterized by IL-12 secretion and subsequent T helper 1 polarization[29-31]. Our findings show that ST2 deletion attenuates DC recruitment and maturation (Figure 3B), thereby limiting DC costimulatory activity and IL-12 production, both essential for Tc1 priming[32]. Consequently, ST2 gene deficiency reduces Tc1 cell expansion and activation during acute gastric injury (Figure 3C and D). Previous in vitro studies demonstrated that IL-33 synergizes with IL-12 to enhance IFN-γ production and cytotoxicity in CD8+ T cells[33]. Our in vivo findings extend this concept, while studies by Zhang et al[34] further suggest that CD8+ T cell-mediated tissue injury can trigger IL-33 release, creating a feed-forward inflammatory loop that may similarly operate within the gastric mucosa.

Tissue injury triggers the release of the alarmin IL-33, which activates ILC2s to initiate inflammation and type 2 immune responses[35,36]. Consistent with this, ST2 deletion markedly reduced IL-4+ and IL-13+ ILC2s in damaged gastric tissue, despite comparable total ILC2 numbers (Figure 4A-C). This indicates that IL-33/ST2 signaling governs ILC2 functional polarization rather than expansion, in agreement with Buzzelli et al[13]. Similar mechanisms have been described in sterile inflammation models, where IL-33 amplifies ILC2-derived cytokine release, promoting eosinophil recruitment and tissue damage[34]. Accordingly, ST2 deletion in our study reduced gastric eosinophil infiltration and the expression of costimulatory and migratory molecules (Figure 4D, G and H), along with a decline in IFN-γ+ and IL-10+ eosinophils (Figure 4E). Eosinophil-derived IFN-γ may enhance proinflammatory activity through autocrine signaling[37], whereas IL-10+ eosinophils likely represent a compensatory, resolution-oriented subset under intact IL-33/ST2 signaling. Together, these alterations highlight the dual impact of IL-33/ST2 signaling on both ILC2 functional polarization and eosinophil effector programming, converging to drive acute gastric inflammation.

Neutrophils and macrophages are central mediators of ulcer development and progression, largely through the generation of reactive oxygen species and proinflammatory cytokine release[28,38]. Regarding this, the IL-33/ST2 axis has been implicated in neutrophil recruitment in rheumatoid arthritis and in ST2-dependent formation of neutrophil extracellular traps during sterile liver injury, thereby amplifying inflammation and tissue damage[39,40]. It also modulates macrophage polarization and metabolic reprogramming toward M1 or M2 phenotypes depending on the inflammatory milieu[41]. Consistent with this, our results revealed that ST2 deletion profoundly restricted the infiltration of neutrophils and macrophages into gastric mucosa (Figure 5A and E) and reduced the proportion of neutrophils expressing chemokine receptors CXCR5 and CXCR4 (Figure 5C). Moreover, ST2 gene deficiency diminished the population of neutrophils producing key effector cytokines, including TNF-α and IFN-γ (Figure 5D). Traditionally, macrophages have been regarded as the primary mediators of canonical NLRP3 activation[42]. However, emerging evidence suggests that neutrophils also play an active role in the NLRP3 inflammasome response[43,44]. Consistent with this notion, ST2 deletion downregulated NLRP3 and caspase-1 expression in damaged gastric tissue (Figure 5F), with reduced inflammasome activation and subsequent IL-1β production in both macrophages and neutrophils (Figure 5B, D and E), highlighting a pivotal role for IL-33/ST2 signaling in inflammasome activation. Supporting this, IL-33 has also been shown to exacerbate barrier dysfunction in acute respiratory distress syndrome by inducing endoplasmic reticulum stress and upregulating NLRP3 and IL-1β in pulmonary endothelial cells[45].

During acute gastric injury, DAMPs released from injured epithelial cells stimulate the activation of NF-κB[28], a master regulator of immune cell infiltration, chemokine receptors expression, and pro-inflammatory cytokine production[46]. It also acts as a central mediator of the priming signal for inflammasome activation[47]. Indeed, ST2 deletion decreased NF-κB gene expression in damaged gastric tissue (Figure 5G), suggesting that the IL-33/ST2 axis contributes to gastric injury, at least in part, through NF-κB activation. This interpretation is further supported by findings that melatonin alleviated neuropathic pain by suppressing NF-κB/NLRP3 signaling[48], while in hepatocytes, NF-κB has been identified as indispensable for NLRP3 expression[49]. Taken together, these findings position NF-κB and NLRP3 inflammasome as the mechanistic bridge linking IL-33/ST2 signaling to the observed immunological responses, unifying pro-inflammatory cytokine release and leukocyte recruitment into a single pathogenic cascade that drives acute gastric mucosal injury. Moreover, CXCR4 and CXCR5 further integrate into this network. Their ligands (CXCL12 and CXCL13) activate NF-κB and amplify cytokine production[50,51], while NF-κB in turn upregulates CXCR4 and CXCR5 expression[52,53], forming a bidirectional regulatory loop. Pro-inflammatory cytokines additionally modulate CXCR4/CXCR5 signaling[54], thereby coupling chemokine and cytokine pathways within a unified inflammatory framework. Additionally, given that NLRP3 activation triggers caspase-1-mediated cleavage of gasdermin D[55], our results raise the possibility that IL-33/ST2 not only fuels inflammation, but also facilitates pyroptotic cell death, thereby exacerbating mucosal injury. Importantly, acute gastric injury encompasses not only robust inflammatory responses but also pronounced epithelial apoptosis[28]. Apoptosis include activation of intrinsic apoptotic signaling in response to oxidative stress and DNA damage, as well as extrinsic pathways mediated by pro-inflammatory cytokines such as TNF-α[56]. Accordingly, ST2 deletion significantly reduced epithelial apoptosis through increased expression of the anti-apoptotic protein Bcl-2, accompanied by decreased levels of pro-apoptotic Bax and cleaved caspase-3, as well as a reduced number of caspase-3-positive epithelial cells (Figure 6A-D), consistent with previous reports that IL-33/ST2 axis can promote apoptotic pathways in kidney injury[57,58]. Interestingly, IL-33 has also been shown to exert cytoprotective effects in other contexts, such as reducing apoptosis in cardiomyocytes during myocardial infarction[59] and in neuronal tissue following recurrent neonatal seizures[60]. Furthermore, our data suggest that ST2 deletion influences additional cell death pathways, as shown by reduced Beclin-1 and TNF-α expression, indicating the potential role of IL-33/ST2 axis in modulation of autophagy and necroptosis (Figure 6E-G). Recent studies have shown that Bcl-2 and Beclin-1 act as molecular switches between autophagy and apoptosis, where Bcl-2 binds to Beclin-1 and inhibits autophagy[61-63]. Moreover, HMGB1, a marker of necrosis, functions as a critical regulator of inflammation and immune responses[64]. In our study, HMGB1 expression was elevated in both experimental groups without significant differences between them (Figure 6F), suggesting that its release primarily reflects ethanol-induced epithelial injury rather than genotype-dependent modulation. Furthermore, ATP-induced signaling via P2X7 receptors may link NF-κB/NLRP3 activation with diverse cell-death pathways, potentially representing a common upstream mechanism in our study[65,66]. Together, these findings highlight the pleiotropic role of IL-33/ST2 signaling in regulating multiple cell death pathways during gastric injury. Notably, the significant aggravation of acute gastric damage (Figure 7) following administration of exogenous IL-33 further substantiates that the pathogenic impacts of IL-33 are mediated through its specific receptor ST2, thereby underscoring the functional significance of the IL-33/ST2 signaling pathway in gastric injury progression.

This study identifies NF-κB and NLRP3 inflammasome activation as key downstream mediators of the IL-33/ST2 signaling axis in gastric injury; however, these mechanisms were not directly validated at the functional level. Future studies employing pathway-specific inhibitors, double-knockout models, and validation at the protein level will be essential to confirm their causal roles. While ST2 deficiency attenuated inflammation and epithelial cell death, the contribution of IL-33/ST2 signaling to epithelial restitution and immune-epithelial crosstalk remains to be clarified. Translationally, modulation of this axis represents an emerging therapeutic avenue. IL-33-neutralizing antibodies and experimental ST2 antagonists have shown anti-inflammatory efficacy in models of allergic disease and colitis[67-69], while small-molecule ST2 inhibitors have demonstrated protective effects in graft-vs-host disease[70]. Collectively, these findings underscore the dual, context-dependent functions of IL-33/ST2 signaling and support further investigation of its regulatory role in human gastric pathology.

CONCLUSION

In conclusion, our research demonstrates that ST2 deletion markedly attenuates acute gastric injury by reducing inflammation, likely through the inhibition of NF-κB and NLRP3 inflammasome pathways. This, in turn, leads to decreased immune cell infiltration and diminished pro-inflammatory cytokine production in gastric tissue. Collectively, these findings provide a framework for understanding the role of IL-33/ST2 blockade in acute sterile gastric injury and set the stage for future studies aimed at elucidating upstream regulatory mechanisms and developing novel therapeutic strategies to mitigate immune-mediated epithelial damage in gastric disease.

References
1.  Lanas A, Chan FKL. Peptic ulcer disease. Lancet. 2017;390:613-624.  [RCA]  [PubMed]  [DOI]  [Full Text]  [Cited by in Crossref: 831]  [Cited by in RCA: 621]  [Article Influence: 69.0]  [Reference Citation Analysis (2)]
2.  Bujanda L. The effects of alcohol consumption upon the gastrointestinal tract. Am J Gastroenterol. 2000;95:3374-3382.  [RCA]  [PubMed]  [DOI]  [Full Text]  [Cited by in Crossref: 270]  [Cited by in RCA: 211]  [Article Influence: 8.1]  [Reference Citation Analysis (2)]
3.  Vakil N. Peptic Ulcer Disease: A Review. JAMA. 2024;332:1832-1842.  [RCA]  [PubMed]  [DOI]  [Full Text]  [Cited by in RCA: 42]  [Reference Citation Analysis (0)]
4.  Zhang C, Chang T, Chen D, Luo J, Chen S, Zhang P, Lin Z, Luo J, Zhou Q, Wang W, Xu H, Dong L, Tang Z. Acute Gastrointestinal Injury in Polytrauma: Special Attention to Elderly Patients. Int J Med Sci. 2024;21:2315-2323.  [RCA]  [PubMed]  [DOI]  [Full Text]  [Cited by in RCA: 6]  [Reference Citation Analysis (0)]
5.  Kang GD, Kim DH. Ponciretin attenuates ethanol-induced gastric damage in mice by inhibiting inflammatory responses. Int Immunopharmacol. 2017;43:179-186.  [RCA]  [PubMed]  [DOI]  [Full Text]  [Cited by in Crossref: 31]  [Cited by in RCA: 28]  [Article Influence: 3.1]  [Reference Citation Analysis (0)]
6.  Shams SGE, Eissa RG. Amelioration of ethanol-induced gastric ulcer in rats by quercetin: implication of Nrf2/HO1 and HMGB1/TLR4/NF-κB pathways. Heliyon. 2022;8:e11159.  [RCA]  [PubMed]  [DOI]  [Full Text]  [Full Text (PDF)]  [Cited by in Crossref: 54]  [Cited by in RCA: 48]  [Article Influence: 12.0]  [Reference Citation Analysis (0)]
7.  Aziz RS, Siddiqua A, Shahzad M, Shabbir A, Naseem N. Oxyresveratrol ameliorates ethanol-induced gastric ulcer via downregulation of IL-6, TNF-α, NF-ĸB, and COX-2 levels, and upregulation of TFF-2 levels. Biomed Pharmacother. 2019;110:554-560.  [RCA]  [PubMed]  [DOI]  [Full Text]  [Cited by in Crossref: 138]  [Cited by in RCA: 115]  [Article Influence: 16.4]  [Reference Citation Analysis (0)]
8.  Périco LL, Emílio-Silva MT, Ohara R, Rodrigues VP, Bueno G, Barbosa-Filho JM, Rocha LRMD, Batista LM, Hiruma-Lima CA. Systematic Analysis of Monoterpenes: Advances and Challenges in the Treatment of Peptic Ulcer Diseases. Biomolecules. 2020;10:265.  [RCA]  [PubMed]  [DOI]  [Full Text]  [Full Text (PDF)]  [Cited by in Crossref: 13]  [Cited by in RCA: 40]  [Article Influence: 6.7]  [Reference Citation Analysis (0)]
9.  Cayrol C, Girard JP. Interleukin-33 (IL-33): A critical review of its biology and the mechanisms involved in its release as a potent extracellular cytokine. Cytokine. 2022;156:155891.  [RCA]  [PubMed]  [DOI]  [Full Text]  [Cited by in Crossref: 255]  [Cited by in RCA: 220]  [Article Influence: 55.0]  [Reference Citation Analysis (0)]
10.  Kaur H, Kaur G, Ali SA. IL-33's role in the gut immune system: A comprehensive review of its crosstalk and regulation. Life Sci. 2023;327:121868.  [RCA]  [PubMed]  [DOI]  [Full Text]  [Cited by in RCA: 21]  [Reference Citation Analysis (0)]
11.  Oboki K, Ohno T, Kajiwara N, Arae K, Morita H, Ishii A, Nambu A, Abe T, Kiyonari H, Matsumoto K, Sudo K, Okumura K, Saito H, Nakae S. IL-33 is a crucial amplifier of innate rather than acquired immunity. Proc Natl Acad Sci U S A. 2010;107:18581-18586.  [RCA]  [PubMed]  [DOI]  [Full Text]  [Cited by in Crossref: 492]  [Cited by in RCA: 565]  [Article Influence: 35.3]  [Reference Citation Analysis (0)]
12.  Ngo Thi Phuong N, Palmieri V, Adamczyk A, Klopfleisch R, Langhorst J, Hansen W, Westendorf AM, Pastille E. IL-33 Drives Expansion of Type 2 Innate Lymphoid Cells and Regulatory T Cells and Protects Mice From Severe, Acute Colitis. Front Immunol. 2021;12:669787.  [RCA]  [PubMed]  [DOI]  [Full Text]  [Full Text (PDF)]  [Cited by in Crossref: 28]  [Cited by in RCA: 43]  [Article Influence: 8.6]  [Reference Citation Analysis (3)]
13.  Buzzelli JN, Chalinor HV, Pavlic DI, Sutton P, Menheniott TR, Giraud AS, Judd LM. IL33 Is a Stomach Alarmin That Initiates a Skewed Th2 Response to Injury and Infection. Cell Mol Gastroenterol Hepatol. 2015;1:203-221.e3.  [RCA]  [PubMed]  [DOI]  [Full Text]  [Full Text (PDF)]  [Cited by in Crossref: 52]  [Cited by in RCA: 86]  [Article Influence: 7.8]  [Reference Citation Analysis (2)]
14.  Lv YP, Teng YS, Mao FY, Peng LS, Zhang JY, Cheng P, Liu YG, Kong H, Wang TT, Wu XL, Hao CJ, Chen W, Yang SM, Zhao YL, Han B, Ma Q, Zou QM, Zhuang Y. Helicobacter pylori-induced IL-33 modulates mast cell responses, benefits bacterial growth, and contributes to gastritis. Cell Death Dis. 2018;9:457.  [RCA]  [PubMed]  [DOI]  [Full Text]  [Full Text (PDF)]  [Cited by in Crossref: 14]  [Cited by in RCA: 34]  [Article Influence: 4.3]  [Reference Citation Analysis (0)]
15.  Gonciarz W, Krupa A, Chmiela M. Proregenerative Activity of IL-33 in Gastric Tissue Cells Undergoing Helicobacter Pylori-Induced Apoptosis. Int J Mol Sci. 2020;21:1801.  [RCA]  [PubMed]  [DOI]  [Full Text]  [Full Text (PDF)]  [Cited by in Crossref: 4]  [Cited by in RCA: 25]  [Article Influence: 4.2]  [Reference Citation Analysis (0)]
16.  De Salvo C, Pastorelli L, Petersen CP, Buttò LF, Buela KA, Omenetti S, Locovei SA, Ray S, Friedman HR, Duijser J, Xin W, Osme A, Cominelli F, Mahabeleshwar GH, Mills JC, Goldenring JR, Pizarro TT. Interleukin 33 Triggers Early Eosinophil-Dependent Events Leading to Metaplasia in a Chronic Model of Gastritis-Prone Mice. Gastroenterology. 2021;160:302-316.e7.  [RCA]  [PubMed]  [DOI]  [Full Text]  [Cited by in Crossref: 22]  [Cited by in RCA: 59]  [Article Influence: 11.8]  [Reference Citation Analysis (0)]
17.  Townsend MJ, Fallon PG, Matthews DJ, Jolin HE, McKenzie AN. T1/ST2-deficient mice demonstrate the importance of T1/ST2 in developing primary T helper cell type 2 responses. J Exp Med. 2000;191:1069-1076.  [RCA]  [PubMed]  [DOI]  [Full Text]  [Full Text (PDF)]  [Cited by in Crossref: 408]  [Cited by in RCA: 421]  [Article Influence: 16.2]  [Reference Citation Analysis (0)]
18.  Yoo CY, Son HU, Kim SK, Kim SO, Lee SH. Improved Image Analysis for Measuring Gastric Ulcer Index in Animal Models and Clinical Diagnostic Data. Diagnostics (Basel). 2022;12:1233.  [RCA]  [PubMed]  [DOI]  [Full Text]  [Full Text (PDF)]  [Cited by in Crossref: 6]  [Cited by in RCA: 11]  [Article Influence: 2.8]  [Reference Citation Analysis (0)]
19.  Kwon DA, Kim YS, Baek SH, Kim SK, Kim HK, Jo SK, Jung U, Park HR, Lee HS. Protective effects of a standardized extract (HemoHIM) using indomethacin- and ethanol/HCl-induced gastric mucosal injury models. Pharm Biol. 2019;57:543-549.  [RCA]  [PubMed]  [DOI]  [Full Text]  [Cited by in Crossref: 14]  [Cited by in RCA: 18]  [Article Influence: 2.6]  [Reference Citation Analysis (0)]
20.  Mahmoud YI, Abd El-Ghffar EA. Spirulina ameliorates aspirin-induced gastric ulcer in albino mice by alleviating oxidative stress and inflammation. Biomed Pharmacother. 2019;109:314-321.  [RCA]  [PubMed]  [DOI]  [Full Text]  [Cited by in Crossref: 47]  [Cited by in RCA: 82]  [Article Influence: 11.7]  [Reference Citation Analysis (0)]
21.  Jovanovic IP, Pejnovic NN, Radosavljevic GD, Pantic JM, Milovanovic MZ, Arsenijevic NN, Lukic ML. Interleukin-33/ST2 axis promotes breast cancer growth and metastases by facilitating intratumoral accumulation of immunosuppressive and innate lymphoid cells. Int J Cancer. 2014;134:1669-1682.  [RCA]  [PubMed]  [DOI]  [Full Text]  [Cited by in Crossref: 213]  [Cited by in RCA: 274]  [Article Influence: 21.1]  [Reference Citation Analysis (1)]
22.  Jevtovic A, Pantic J, Jovanovic I, Milovanovic M, Stanojevic I, Vojvodic D, Arsenijevic N, Lukic ML, Radosavljevic GD. Interleukin-33 pretreatment promotes metastatic growth of murine melanoma by reducing the cytotoxic capacity of CD8(+) T cells and enhancing regulatory T cells. Cancer Immunol Immunother. 2020;69:1461-1475.  [RCA]  [PubMed]  [DOI]  [Full Text]  [Cited by in Crossref: 6]  [Cited by in RCA: 15]  [Article Influence: 2.5]  [Reference Citation Analysis (0)]
23.  Jovicic N, Petrovic I, Pejnovic N, Ljujic B, Miletic Kovacevic M, Pavlovic S, Jeftic I, Djukic A, Srejovic I, Jakovljevic V, Lukic ML. Transgenic Overexpression of Galectin-3 in Pancreatic β Cells Attenuates Hyperglycemia in Mice: Synergistic Antidiabetic Effect With Exogenous IL-33. Front Pharmacol. 2021;12:714683.  [RCA]  [PubMed]  [DOI]  [Full Text]  [Full Text (PDF)]  [Cited by in Crossref: 4]  [Cited by in RCA: 8]  [Article Influence: 1.6]  [Reference Citation Analysis (0)]
24.  Simovic Markovic B, Gazdic M, Arsenijevic A, Jovicic N, Jeremic J, Djonov V, Arsenijevic N, Lukic ML, Volarevic V. Mesenchymal Stem Cells Attenuate Cisplatin-Induced Nephrotoxicity in iNOS-Dependent Manner. Stem Cells Int. 2017;2017:1315378.  [RCA]  [PubMed]  [DOI]  [Full Text]  [Full Text (PDF)]  [Cited by in Crossref: 14]  [Cited by in RCA: 22]  [Article Influence: 2.4]  [Reference Citation Analysis (0)]
25.  Ruiz VE, Sachdev M, Zhang S, Wen S, Moss SF. Isolating, immunophenotyping and ex vivo stimulation of CD4+ and CD8+ gastric lymphocytes during murine Helicobacter pylori infection. J Immunol Methods. 2012;384:157-163.  [RCA]  [PubMed]  [DOI]  [Full Text]  [Cited by in Crossref: 11]  [Cited by in RCA: 17]  [Article Influence: 1.2]  [Reference Citation Analysis (0)]
26.  Mehraj V, Ponte R, Routy JP. The Dynamic Role of the IL-33/ST2 Axis in Chronic Viral-infections: Alarming and Adjuvanting the Immune Response. EBioMedicine. 2016;9:37-44.  [RCA]  [PubMed]  [DOI]  [Full Text]  [Full Text (PDF)]  [Cited by in Crossref: 27]  [Cited by in RCA: 40]  [Article Influence: 4.0]  [Reference Citation Analysis (0)]
27.  Simon L, Souza-Smith FM, Molina PE. Alcohol-Associated Tissue Injury: Current Views on Pathophysiological Mechanisms. Annu Rev Physiol. 2022;84:87-112.  [RCA]  [PubMed]  [DOI]  [Full Text]  [Cited by in Crossref: 31]  [Cited by in RCA: 61]  [Article Influence: 15.3]  [Reference Citation Analysis (0)]
28.  Raish M, Shahid M, Bin Jardan YA, Ansari MA, Alkharfy KM, Ahad A, Abdelrahman IA, Ahmad A, Al-Jenoobi FI. Gastroprotective Effect of Sinapic Acid on Ethanol-Induced Gastric Ulcers in Rats: Involvement of Nrf2/HO-1 and NF-κB Signaling and Antiapoptotic Role. Front Pharmacol. 2021;12:622815.  [RCA]  [PubMed]  [DOI]  [Full Text]  [Full Text (PDF)]  [Cited by in Crossref: 18]  [Cited by in RCA: 85]  [Article Influence: 17.0]  [Reference Citation Analysis (0)]
29.  Shiu J, Blanchard TG. Dendritic cell function in the host response to Helicobacter pylori infection of the gastric mucosa. Pathog Dis. 2013;67:46-53.  [RCA]  [PubMed]  [DOI]  [Full Text]  [Cited by in Crossref: 22]  [Cited by in RCA: 29]  [Article Influence: 2.2]  [Reference Citation Analysis (0)]
30.  Bimczok D, Clements RH, Waites KB, Novak L, Eckhoff DE, Mannon PJ, Smith PD, Smythies LE. Human primary gastric dendritic cells induce a Th1 response to H. pylori. Mucosal Immunol. 2010;3:260-269.  [RCA]  [PubMed]  [DOI]  [Full Text]  [Full Text (PDF)]  [Cited by in Crossref: 86]  [Cited by in RCA: 74]  [Article Influence: 4.6]  [Reference Citation Analysis (0)]
31.  Guiney DG, Hasegawa P, Cole SP. Helicobacter pylori preferentially induces interleukin 12 (IL-12) rather than IL-6 or IL-10 in human dendritic cells. Infect Immun. 2003;71:4163-4166.  [RCA]  [PubMed]  [DOI]  [Full Text]  [Cited by in Crossref: 108]  [Cited by in RCA: 93]  [Article Influence: 4.0]  [Reference Citation Analysis (0)]
32.  Koh CH, Lee S, Kwak M, Kim BS, Chung Y. CD8 T-cell subsets: heterogeneity, functions, and therapeutic potential. Exp Mol Med. 2023;55:2287-2299.  [RCA]  [PubMed]  [DOI]  [Full Text]  [Full Text (PDF)]  [Cited by in RCA: 219]  [Reference Citation Analysis (0)]
33.  Yang Q, Li G, Zhu Y, Liu L, Chen E, Turnquist H, Zhang X, Finn OJ, Chen X, Lu B. IL-33 synergizes with TCR and IL-12 signaling to promote the effector function of CD8+ T cells. Eur J Immunol. 2011;41:3351-3360.  [RCA]  [PubMed]  [DOI]  [Full Text]  [Full Text (PDF)]  [Cited by in Crossref: 175]  [Cited by in RCA: 170]  [Article Influence: 11.3]  [Reference Citation Analysis (0)]
34.  Zhang Y, Qi C, Li L, Hua S, Zheng F, Gong F, Fang M. CD8(+) T cell/IL-33/ILC2 axis exacerbates the liver injury in Con A-induced hepatitis in T cell-transferred Rag2-deficient mice. Inflamm Res. 2019;68:75-91.  [RCA]  [PubMed]  [DOI]  [Full Text]  [Cited by in Crossref: 15]  [Cited by in RCA: 15]  [Article Influence: 2.1]  [Reference Citation Analysis (1)]
35.  Sun F, Zou W, Shi H, Chen Z, Ma D, Lin M, Wang K, Huang Y, Zheng X, Tan C, Chen M, Tu C, Wang Z, Wu J, Wu W, Liu J. Interleukin-33 increases type 2 innate lymphoid cell count and their activation in eosinophilic asthma. Clin Transl Allergy. 2023;13:e12265.  [RCA]  [PubMed]  [DOI]  [Full Text]  [Cited by in Crossref: 1]  [Cited by in RCA: 8]  [Article Influence: 2.7]  [Reference Citation Analysis (0)]
36.  Schwartz C, Khan AR, Floudas A, Saunders SP, Hams E, Rodewald HR, McKenzie ANJ, Fallon PG. ILC2s regulate adaptive Th2 cell functions via PD-L1 checkpoint control. J Exp Med. 2017;214:2507-2521.  [RCA]  [PubMed]  [DOI]  [Full Text]  [Full Text (PDF)]  [Cited by in Crossref: 124]  [Cited by in RCA: 108]  [Article Influence: 12.0]  [Reference Citation Analysis (0)]
37.  Kanda A, Driss V, Hornez N, Abdallah M, Roumier T, Abboud G, Legrand F, Staumont-Sallé D, Quéant S, Bertout J, Fleury S, Rémy P, Papin JP, Julia V, Capron M, Dombrowicz D. Eosinophil-derived IFN-gamma induces airway hyperresponsiveness and lung inflammation in the absence of lymphocytes. J Allergy Clin Immunol. 2009;124:573-582, 582.e1.  [RCA]  [PubMed]  [DOI]  [Full Text]  [Cited by in Crossref: 49]  [Cited by in RCA: 58]  [Article Influence: 3.4]  [Reference Citation Analysis (0)]
38.  Huang XR, Chun Hui CW, Chen YX, Wong BC, Fung PC, Metz C, Cho CH, Hui WM, Bucala R, Lam SK, Lan HY. Macrophage migration inhibitory factor is an important mediator in the pathogenesis of gastric inflammation in rats. Gastroenterology. 2001;121:619-630.  [RCA]  [PubMed]  [DOI]  [Full Text]  [Cited by in Crossref: 57]  [Cited by in RCA: 59]  [Article Influence: 2.4]  [Reference Citation Analysis (0)]
39.  Verri WA Jr, Souto FO, Vieira SM, Almeida SC, Fukada SY, Xu D, Alves-Filho JC, Cunha TM, Guerrero AT, Mattos-Guimaraes RB, Oliveira FR, Teixeira MM, Silva JS, McInnes IB, Ferreira SH, Louzada-Junior P, Liew FY, Cunha FQ. IL-33 induces neutrophil migration in rheumatoid arthritis and is a target of anti-TNF therapy. Ann Rheum Dis. 2010;69:1697-1703.  [RCA]  [PubMed]  [DOI]  [Full Text]  [Cited by in Crossref: 217]  [Cited by in RCA: 220]  [Article Influence: 13.8]  [Reference Citation Analysis (0)]
40.  Yazdani HO, Chen HW, Tohme S, Tai S, van der Windt DJ, Loughran P, Rosborough BR, Sud V, Beer-Stolz D, Turnquist HR, Tsung A, Huang H. IL-33 exacerbates liver sterile inflammation by amplifying neutrophil extracellular trap formation. J Hepatol. 2017;S0168-8278(17)32291.  [RCA]  [PubMed]  [DOI]  [Full Text]  [Full Text (PDF)]  [Cited by in Crossref: 94]  [Cited by in RCA: 96]  [Article Influence: 10.7]  [Reference Citation Analysis (0)]
41.  Lin J, Liu J, Ma R, Hao J, Liang Y, Zhao J, Zhang A, Meng H, Lu J. Interleukin-33: Metabolic checkpoints, metabolic processes, and epigenetic regulation in immune cells. Front Immunol. 2022;13:900826.  [RCA]  [PubMed]  [DOI]  [Full Text]  [Full Text (PDF)]  [Cited by in RCA: 13]  [Reference Citation Analysis (0)]
42.  Yang Y, Wang H, Kouadir M, Song H, Shi F. Recent advances in the mechanisms of NLRP3 inflammasome activation and its inhibitors. Cell Death Dis. 2019;10:128.  [RCA]  [PubMed]  [DOI]  [Full Text]  [Full Text (PDF)]  [Cited by in Crossref: 538]  [Cited by in RCA: 1009]  [Article Influence: 144.1]  [Reference Citation Analysis (0)]
43.  Fukui S, Fukui S, Van Bruggen S, Shi L, Sheehy CE, Chu L, Wagner DD. NLRP3 inflammasome activation in neutrophils directs early inflammatory response in murine peritonitis. Sci Rep. 2022;12:21313.  [RCA]  [PubMed]  [DOI]  [Full Text]  [Cited by in Crossref: 4]  [Cited by in RCA: 12]  [Article Influence: 3.0]  [Reference Citation Analysis (0)]
44.  Heger LA, Schommer N, Van Bruggen S, Sheehy CE, Chan W, Wagner DD. Neutrophil NLRP3 promotes cardiac injury following acute myocardial infarction through IL-1β production, VWF release and NET deposition in the myocardium. Sci Rep. 2024;14:14524.  [RCA]  [PubMed]  [DOI]  [Full Text]  [Full Text (PDF)]  [Cited by in RCA: 22]  [Reference Citation Analysis (0)]
45.  Li PL, Fu HM, Liu K, Liu HF, Sui MZ, Yang JW. IL-33 facilitates endoplasmic reticulum stress and pyroptosis in LPS-stimulated ARDS model in vitro. Mol Immunol. 2025;181:102-112.  [RCA]  [PubMed]  [DOI]  [Full Text]  [Cited by in RCA: 2]  [Reference Citation Analysis (0)]
46.  Guo Q, Jin Y, Chen X, Ye X, Shen X, Lin M, Zeng C, Zhou T, Zhang J. NF-κB in biology and targeted therapy: new insights and translational implications. Signal Transduct Target Ther. 2024;9:53.  [RCA]  [PubMed]  [DOI]  [Full Text]  [Full Text (PDF)]  [Cited by in Crossref: 1527]  [Cited by in RCA: 1263]  [Article Influence: 631.5]  [Reference Citation Analysis (0)]
47.  Paik S, Kim JK, Silwal P, Sasakawa C, Jo EK. An update on the regulatory mechanisms of NLRP3 inflammasome activation. Cell Mol Immunol. 2021;18:1141-1160.  [RCA]  [PubMed]  [DOI]  [Full Text]  [Full Text (PDF)]  [Cited by in Crossref: 90]  [Cited by in RCA: 666]  [Article Influence: 133.2]  [Reference Citation Analysis (1)]
48.  Wang YH, Gao X, Tang YR, Yu Y, Sun MJ, Chen FQ, Li Y. The Role of NF-κB/NLRP3 Inflammasome Signaling Pathway in Attenuating Pyroptosis by Melatonin Upon Spinal Nerve Ligation Models. Neurochem Res. 2022;47:335-346.  [RCA]  [PubMed]  [DOI]  [Full Text]  [Cited by in Crossref: 1]  [Cited by in RCA: 17]  [Article Influence: 3.4]  [Reference Citation Analysis (0)]
49.  Boaru SG, Borkham-Kamphorst E, Van de Leur E, Lehnen E, Liedtke C, Weiskirchen R. NLRP3 inflammasome expression is driven by NF-κB in cultured hepatocytes. Biochem Biophys Res Commun. 2015;458:700-706.  [RCA]  [PubMed]  [DOI]  [Full Text]  [Cited by in Crossref: 98]  [Cited by in RCA: 171]  [Article Influence: 15.5]  [Reference Citation Analysis (0)]
50.  Tian X, Xie G, Xiao H, Ding F, Bao W, Zhang M. CXCR4 knockdown prevents inflammatory cytokine expression in macrophages by suppressing activation of MAPK and NF-κB signaling pathways. Cell Biosci. 2019;9:55.  [RCA]  [PubMed]  [DOI]  [Full Text]  [Full Text (PDF)]  [Cited by in Crossref: 23]  [Cited by in RCA: 53]  [Article Influence: 7.6]  [Reference Citation Analysis (0)]
51.  Chao CC, Lee WF, Wang SW, Chen PC, Yamamoto A, Chang TM, Weng SL, Liu JF. CXC chemokine ligand-13 promotes metastasis via CXCR5-dependent signaling pathway in non-small cell lung cancer. J Cell Mol Med. 2021;25:9128-9140.  [RCA]  [PubMed]  [DOI]  [Full Text]  [Full Text (PDF)]  [Cited by in Crossref: 17]  [Cited by in RCA: 22]  [Article Influence: 4.4]  [Reference Citation Analysis (1)]
52.  Helbig G, Christopherson KW 2nd, Bhat-Nakshatri P, Kumar S, Kishimoto H, Miller KD, Broxmeyer HE, Nakshatri H. NF-kappaB promotes breast cancer cell migration and metastasis by inducing the expression of the chemokine receptor CXCR4. J Biol Chem. 2003;278:21631-21638.  [RCA]  [PubMed]  [DOI]  [Full Text]  [Cited by in Crossref: 486]  [Cited by in RCA: 496]  [Article Influence: 21.6]  [Reference Citation Analysis (0)]
53.  Wang B, Wang M, Ao D, Wei X. CXCL13-CXCR5 axis: Regulation in inflammatory diseases and cancer. Biochim Biophys Acta Rev Cancer. 2022;1877:188799.  [RCA]  [PubMed]  [DOI]  [Full Text]  [Cited by in RCA: 78]  [Reference Citation Analysis (0)]
54.  Sun Y, Zhu D, Wang G, Wang D, Zhou H, Liu X, Jiang M, Liao L, Zhou Z, Hu J. Pro-Inflammatory Cytokine IL-1β Up-Regulates CXC Chemokine Receptor 4 via Notch and ERK Signaling Pathways in Tongue Squamous Cell Carcinoma. PLoS One. 2015;10:e0132677.  [RCA]  [PubMed]  [DOI]  [Full Text]  [Full Text (PDF)]  [Cited by in Crossref: 18]  [Cited by in RCA: 28]  [Article Influence: 2.5]  [Reference Citation Analysis (0)]
55.  Yu P, Zhang X, Liu N, Tang L, Peng C, Chen X. Pyroptosis: mechanisms and diseases. Signal Transduct Target Ther. 2021;6:128.  [RCA]  [PubMed]  [DOI]  [Full Text]  [Full Text (PDF)]  [Cited by in Crossref: 1917]  [Cited by in RCA: 1728]  [Article Influence: 345.6]  [Reference Citation Analysis (0)]
56.  Mustafa M, Ahmad R, Tantry IQ, Ahmad W, Siddiqui S, Alam M, Abbas K, Moinuddin, Hassan MI, Habib S, Islam S. Apoptosis: A Comprehensive Overview of Signaling Pathways, Morphological Changes, and Physiological Significance and Therapeutic Implications. Cells. 2024;13:1838.  [RCA]  [PubMed]  [DOI]  [Full Text]  [Full Text (PDF)]  [Cited by in Crossref: 355]  [Cited by in RCA: 309]  [Article Influence: 154.5]  [Reference Citation Analysis (0)]
57.  Shelite TR, Liang Y, Wang H, Mendell NL, Trent BJ, Sun J, Gong B, Xu G, Hu H, Bouyer DH, Soong L. IL-33-Dependent Endothelial Activation Contributes to Apoptosis and Renal Injury in Orientia tsutsugamushi-Infected Mice. PLoS Negl Trop Dis. 2016;10:e0004467.  [RCA]  [PubMed]  [DOI]  [Full Text]  [Full Text (PDF)]  [Cited by in Crossref: 28]  [Cited by in RCA: 40]  [Article Influence: 4.0]  [Reference Citation Analysis (0)]
58.  Akcay A, Nguyen Q, He Z, Turkmen K, Won Lee D, Hernando AA, Altmann C, Toker A, Pacic A, Ljubanovic DG, Jani A, Faubel S, Edelstein CL. IL-33 exacerbates acute kidney injury. J Am Soc Nephrol. 2011;22:2057-2067.  [RCA]  [PubMed]  [DOI]  [Full Text]  [Cited by in Crossref: 103]  [Cited by in RCA: 134]  [Article Influence: 8.9]  [Reference Citation Analysis (0)]
59.  Seki K, Sanada S, Kudinova AY, Steinhauser ML, Handa V, Gannon J, Lee RT. Interleukin-33 prevents apoptosis and improves survival after experimental myocardial infarction through ST2 signaling. Circ Heart Fail. 2009;2:684-691.  [RCA]  [PubMed]  [DOI]  [Full Text]  [Cited by in Crossref: 250]  [Cited by in RCA: 285]  [Article Influence: 16.8]  [Reference Citation Analysis (0)]
60.  Gao Y, Luo CL, Li LL, Ye GH, Gao C, Wang HC, Huang WW, Wang T, Wang ZF, Ni H, Chen XP, Tao LY. IL-33 Provides Neuroprotection through Suppressing Apoptotic, Autophagic and NF-κB-Mediated Inflammatory Pathways in a Rat Model of Recurrent Neonatal Seizure. Front Mol Neurosci. 2017;10:423.  [RCA]  [PubMed]  [DOI]  [Full Text]  [Full Text (PDF)]  [Cited by in Crossref: 20]  [Cited by in RCA: 33]  [Article Influence: 3.7]  [Reference Citation Analysis (0)]
61.  Zhang Z, Wang Q, Zhang H, Wang S, Ma X, Wang H. Golm1 facilitates the CaO2-DOPC-DSPE200-PEI -CsPbBr3 QDs -induced apoptotic death of hepatocytes through the stimulation of mitochondrial autophagy and mitochondrial reactive oxygen species production through interactions with P53/Beclin-1/Bcl-2. Chem Biol Interact. 2024;398:111076.  [RCA]  [PubMed]  [DOI]  [Full Text]  [Cited by in RCA: 3]  [Reference Citation Analysis (0)]
62.  Zając A, Maciejczyk A, Sumorek-Wiadro J, Filipek K, Deryło K, Langner E, Pawelec J, Wasiak M, Ścibiorski M, Rzeski W, Tchórzewski M, Reichert M, Jakubowicz-Gil J. The Role of Bcl-2 and Beclin-1 Complex in "Switching" between Apoptosis and Autophagy in Human Glioma Cells upon LY294002 and Sorafenib Treatment. Cells. 2023;12:2670.  [RCA]  [PubMed]  [DOI]  [Full Text]  [Full Text (PDF)]  [Cited by in Crossref: 15]  [Cited by in RCA: 19]  [Article Influence: 6.3]  [Reference Citation Analysis (0)]
63.  Prerna K, Dubey VK. Beclin1-mediated interplay between autophagy and apoptosis: New understanding. Int J Biol Macromol. 2022;204:258-273.  [RCA]  [PubMed]  [DOI]  [Full Text]  [Cited by in Crossref: 175]  [Cited by in RCA: 143]  [Article Influence: 35.8]  [Reference Citation Analysis (0)]
64.  Chen R, Kang R, Tang D. The mechanism of HMGB1 secretion and release. Exp Mol Med. 2022;54:91-102.  [RCA]  [PubMed]  [DOI]  [Full Text]  [Full Text (PDF)]  [Cited by in Crossref: 28]  [Cited by in RCA: 638]  [Article Influence: 159.5]  [Reference Citation Analysis (2)]
65.  Zhang HL, Sandai D, Zhang ZW, Song ZJ, Babu D, Tabana Y, Dahham SS, Adam Ahmed Adam M, Wang Y, Wang W, Zhang HL, Zhao R, Barakat K, Harun MSR, Shapudin SNM, Lok B. Adenosine triphosphate induced cell death: Mechanisms and implications in cancer biology and therapy. World J Clin Oncol. 2023;14:549-569.  [RCA]  [PubMed]  [DOI]  [Full Text]  [Full Text (PDF)]  [Cited by in RCA: 9]  [Reference Citation Analysis (1)]
66.  Wang W, Zhang H, Sandai D, Zhao R, Bai J, Wang Y, Wang Y, Zhang Z, Zhang HL, Song ZJ. ATP-induced cell death: a novel hypothesis for osteoporosis. Front Cell Dev Biol. 2023;11:1324213.  [RCA]  [PubMed]  [DOI]  [Full Text]  [Cited by in RCA: 13]  [Reference Citation Analysis (0)]
67.  Chinthrajah S, Cao S, Liu C, Lyu SC, Sindher SB, Long A, Sampath V, Petroni D, Londei M, Nadeau KC. Phase 2a randomized, placebo-controlled study of anti-IL-33 in peanut allergy. JCI Insight. 2019;4:e131347.  [RCA]  [PubMed]  [DOI]  [Full Text]  [Cited by in Crossref: 135]  [Cited by in RCA: 152]  [Article Influence: 21.7]  [Reference Citation Analysis (0)]
68.  Kosloski MP, Guttman-Yassky E, Cork MJ, Worm M, Nahm DH, Zhu X, Ruddy MK, Harel S, Kamal MA, Goulaouic H, Xu CR, Avetisova E, Davis JD, Nivens MC, Shabbir A, Radin A. Pharmacokinetics and pharmacodynamics of itepekimab in adults with moderate-to-severe atopic dermatitis: Results from two terminated phase II trials. Clin Transl Sci. 2024;17:e13874.  [RCA]  [PubMed]  [DOI]  [Full Text]  [Cited by in RCA: 11]  [Reference Citation Analysis (0)]
69.  Sedhom MA, Pichery M, Murdoch JR, Foligné B, Ortega N, Normand S, Mertz K, Sanmugalingam D, Brault L, Grandjean T, Lefrancais E, Fallon PG, Quesniaux V, Peyrin-Biroulet L, Cathomas G, Junt T, Chamaillard M, Girard JP, Ryffel B. Neutralisation of the interleukin-33/ST2 pathway ameliorates experimental colitis through enhancement of mucosal healing in mice. Gut. 2013;62:1714-1723.  [RCA]  [PubMed]  [DOI]  [Full Text]  [Full Text (PDF)]  [Cited by in Crossref: 196]  [Cited by in RCA: 189]  [Article Influence: 14.5]  [Reference Citation Analysis (2)]
70.  Ramadan AM, Daguindau E, Rech JC, Chinnaswamy K, Zhang J, Hura GL, Griesenauer B, Bolten Z, Robida A, Larsen M, Stuckey JA, Yang CY, Paczesny S. From proteomics to discovery of first-in-class ST2 inhibitors active in vivo. JCI Insight. 2018;3:e99208.  [RCA]  [PubMed]  [DOI]  [Full Text]  [Full Text (PDF)]  [Cited by in Crossref: 36]  [Cited by in RCA: 35]  [Article Influence: 4.4]  [Reference Citation Analysis (0)]
Footnotes

Peer review: Externally peer reviewed.

Peer-review model: Single blind

Specialty type: Gastroenterology and hepatology

Country of origin: Serbia

Peer-review report’s classification

Scientific quality: Grade A, Grade A, Grade A, Grade B, Grade C

Novelty: Grade A, Grade A, Grade A, Grade A, Grade B

Creativity or innovation: Grade A, Grade A, Grade A, Grade B, Grade C

Scientific significance: Grade A, Grade A, Grade A, Grade A, Grade C

P-Reviewer: Han L, MD, PhD, Postdoc, Professor, China; Rafaqat S, PhD, Pakistan; Zhang HL, PhD, Associate Research Scientist, Professor, Researcher, Malaysia S-Editor: Wang JJ L-Editor: A P-Editor: Zhang L

Write to the Help Desk