Copyright
©The Author(s) 2025.
World J Gastroenterol. Dec 14, 2025; 31(46): 113585
Published online Dec 14, 2025. doi: 10.3748/wjg.v31.i46.113585
Published online Dec 14, 2025. doi: 10.3748/wjg.v31.i46.113585
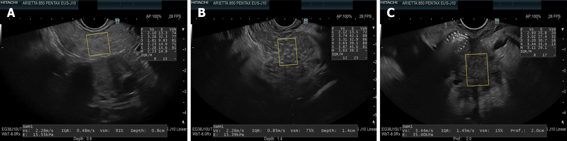
Figure 1 Endoscopic ultrasound-guided shear wave elastography images.
A: Normal pancreas; B: Chronic pancreatitis; C: Pancreatic cancer. In endoscopic ultrasound-guided shear wave elastography, shear wave velocity values were similar in normal parenchyma and chronic pancreatitis, but markedly higher in pancreatic cancer. The net effective shear wave velocity shows a decreasing trend across these conditions, reflecting increasing tissue heterogeneity and stiffness.
Figure 2 Endoscopic ultrasound-guided shear wave elastography images.
A: Normal liver; B: Cirrhotic liver; C: Spleen. In endoscopic ultrasound-guided shear wave elastography, shear wave velocity is higher in cirrhotic liver compared to normal liver, reflecting increased parenchymal stiffness. Spleen stiffness measurements may provide additional information on the degree of portal hypertension.
- Citation: Paratore M, Miliani S, D’Acunzo G, Viceconti N, Andaloro S, Cerniglia G, Mancuso F, Melita E, Rizzatti G, Gasbarrini A, Riccardi L, Garcovich M. Advances in endoscopic ultrasound-guided shear wave elastography: A comprehensive review of its clinical applications. World J Gastroenterol 2025; 31(46): 113585
- URL: https://www.wjgnet.com/1007-9327/full/v31/i46/113585.htm
- DOI: https://dx.doi.org/10.3748/wjg.v31.i46.113585
