Copyright
©The Author(s) 2025.
World J Gastroenterol. Nov 28, 2025; 31(44): 112187
Published online Nov 28, 2025. doi: 10.3748/wjg.v31.i44.112187
Published online Nov 28, 2025. doi: 10.3748/wjg.v31.i44.112187
Figure 1 Endoscopic examination of the lesion.
A: White light; B: Biopsy site [narrow-band imaging magnifying endoscopy (NBI-ME)]; C: Anal side of the lesion (NBI-ME); D: Greater curvature side of the lesion (NBI-ME); E: Oral side of the lesion (NBI-ME); F: Near the ulcer at the oral side of the lesion (NBI-ME); G: Anterior wall side of the lesion (NBI-ME).
Figure 2 Postoperative pathology.
A: Pathological tissue strip #4 [hematoxylin and eosin (HE) 15 ×, scale bar = 1000 μm]; B: Green box: Nodular distribution of neuroendocrine tumor cells (HE 100 ×, scale bar = 100 μm); C: Yellow box: Signet-ring-like cell clusters with nested distribution (HE 100 ×, scale bar = 100 μm); D: Cord-like poorly differentiated adenocarcinoma infiltrating into submucosa (HE 15 ×, scale bar = 100 μm).
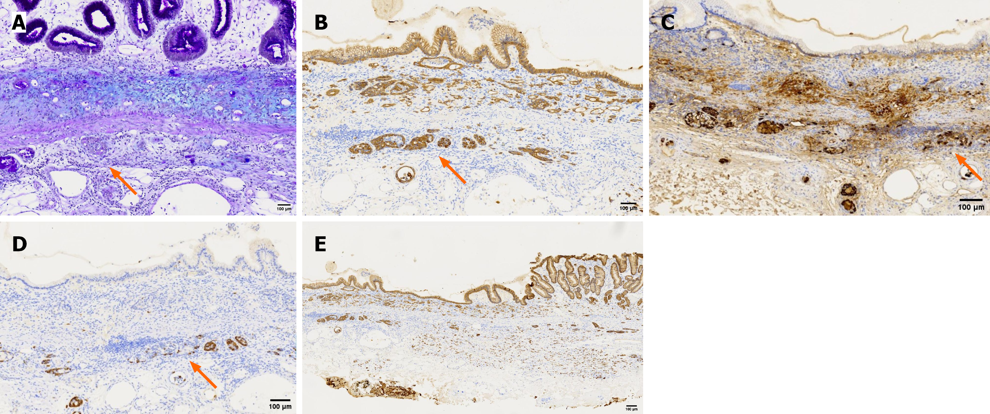
Figure 3 Immunohistochemistry (pathological tissue strip #4).
All photograph magnifications are × 100. A: Periodic acid Schiff-alcian blue (amphicrine carcinoma area), scale bar = 100 μm; B: Cytokeratin pan (amphicrine carcinoma area), scale bar = 100 μm; C: Synaptophysin (amphicrine carcinoma area), scale bar = 100 μm; D: Chromogranin A (amphicrine carcinoma area), scale bar = 100 μm; E: Cytokeratin pan (poorly differentiated adenocarcinoma area), scale bar = 100 μm.
Figure 4 Pathological tissue strip #7.
The magnifications of all photographs are × 200. A: Signet-ring cell carcinoma cells, scale bar = 100 μm; B: Periodic acid Schiff-alcian blue (+), scale bar = 100 μm; C: Cytokeratin pan, scale bar = 100 μm; D: Signet-ring cell carcinoma cells were positive for synaptophysin, scale bar = 100 μm; E: Chromogranin A (+), scale bar = 100 μm; F: Ki-67 low expression, scale bar = 100 μm.
Figure 5 Endoscopic submucosal dissection specimen fixation and reconstruction.
A: Endoscopic submucosal dissection specimen fixation; B: Yellow dashed line: Neuroendocrine tumor; yellow solid line: Amphicrine carcinoma; red solid line: Poorly differentiated adenocarcinoma; orange solid line: Signet-ring cell carcinoma.
Figure 6 Follow-up white light images.
A: Long range view at 2-month follow-up; B: Close-up view at 2-month; C: Long range view at 6-month; D: Close-up view at 6-month.
- Citation: Gao CZ, Meng Y, Du JZ, Zhu X. Very-early-stage gastric amphicrine carcinoma with mixed histology: A case report and review of literature. World J Gastroenterol 2025; 31(44): 112187
- URL: https://www.wjgnet.com/1007-9327/full/v31/i44/112187.htm
- DOI: https://dx.doi.org/10.3748/wjg.v31.i44.112187
