Copyright
©The Author(s) 2025.
World J Gastroenterol. Nov 7, 2025; 31(41): 110398
Published online Nov 7, 2025. doi: 10.3748/wjg.v31.i41.110398
Published online Nov 7, 2025. doi: 10.3748/wjg.v31.i41.110398
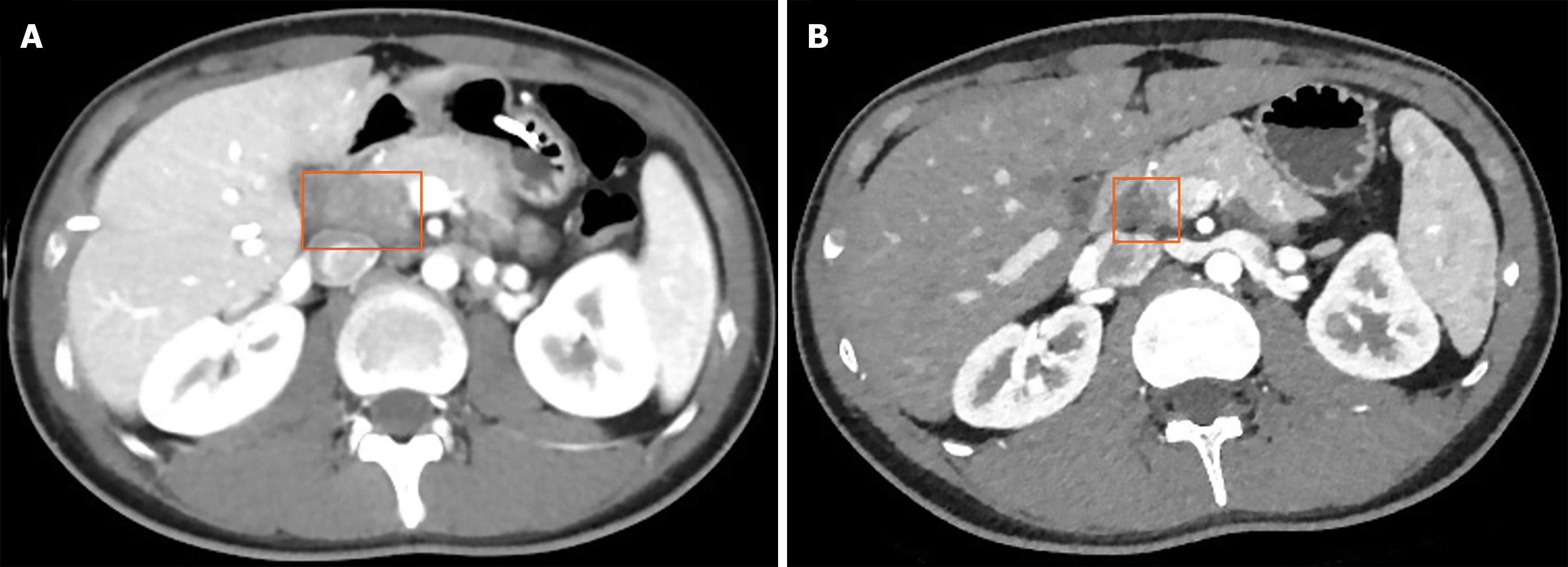
Figure 1 Abdominal contrast-enhanced computed tomography images.
A: An irregular hypodense mass located in the duodenum and pancreatic head, measuring approximately 29.8 mm × 22.0 mm (orange box), with multiple internal air-fluid levels. The mass demonstrates peripheral contrast enhancement and indistinct surrounding fat planes, indicating local inflammatory infiltration or possible extension; B: Follow-up imaging shows a mildly hypodense mass in the duodenal-pancreatic head region, reduced in size compared to the prior scan (December 25, 2023). Previously observed gas and fluid components have been absorbed (orange box).
Figure 2 Gastroscopy examination.
A: Duodenal bulb ulcer with perforation: A 0.6 cm ulcer with central depression is visible on the anterior wall of the duodenal bulb, with a fistulous opening at the base, scant purulent discharge, and surrounding mucosa exhibiting a coarse texture; B: Esophageal ulcer: A scar-like mucosal elevation is observed, along with a 0.4 cm ulceration featuring central depression and a white coating at the base.
Figure 3 Endoscopic ultrasound-fine needle aspiration images.
Endoscopic ultrasound reveals a hypoechoic mass in the pancreatic head measuring approximately 29.8 mm × 22.0 mm (orange circle). Fine needle aspiration was performed for cytological and histopathological evaluation.
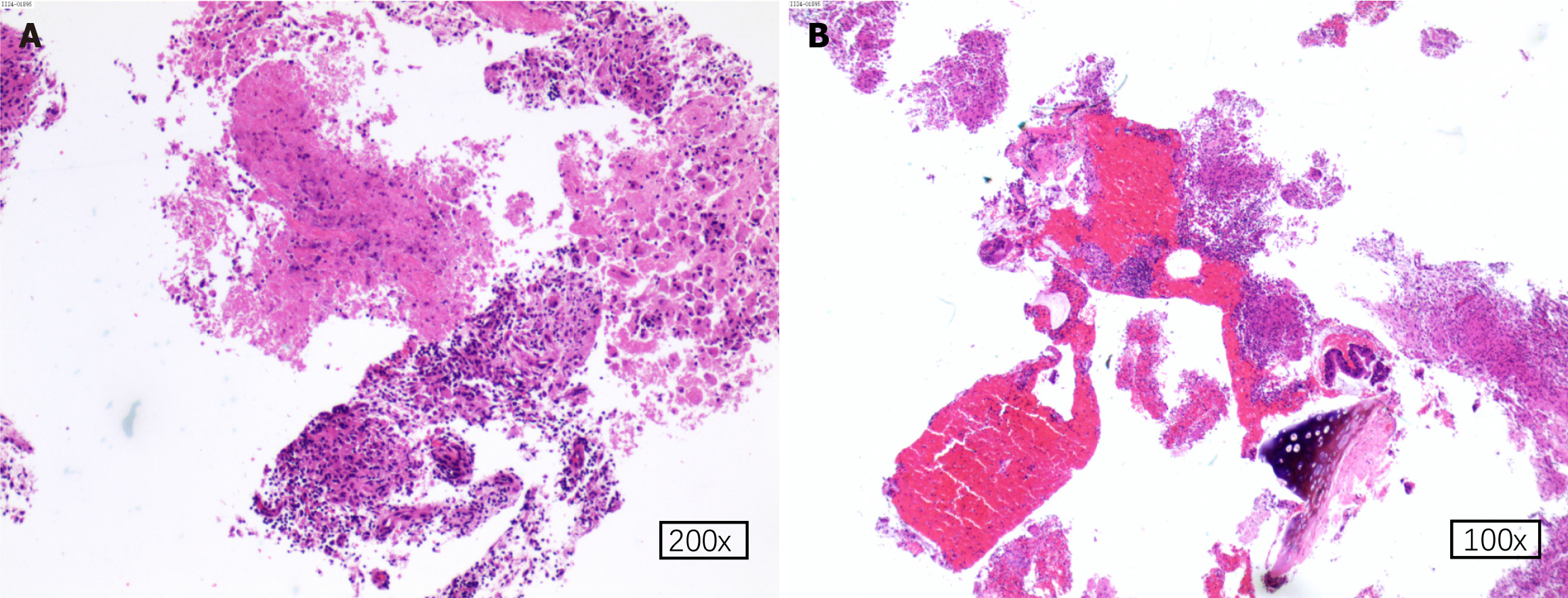
Figure 4 Histopathological examination.
A: Granulomatous inflammation with central necrosis is observed in focal areas. Occasional mucinous epithelial cells with preserved differentiation are also identified (hematoxylin and eosin staining, magnification × 200); B: Microscopic examination showing scattered lymphocytes, histiocytes, and cartilage fragments (hematoxylin and eosin staining, magnification × 100).
Figure 5 Follow-up gastroscopy images.
A: Scarring of the anterior wall of the duodenal bulb was observed, with surrounding mucosa appearing rough and granular; B: The esophagus shows ulcer-related scar formation, with smooth mucosa, a clearly visible vascular pattern, and good luminal distensibility.
- Citation: Nima CL, Wang HG, Zhou Q. Pancreatic tuberculosis: A case report and review of literature. World J Gastroenterol 2025; 31(41): 110398
- URL: https://www.wjgnet.com/1007-9327/full/v31/i41/110398.htm
- DOI: https://dx.doi.org/10.3748/wjg.v31.i41.110398
