Copyright
©The Author(s) 2025.
World J Clin Cases. Dec 6, 2025; 13(34): 114352
Published online Dec 6, 2025. doi: 10.12998/wjcc.v13.i34.114352
Published online Dec 6, 2025. doi: 10.12998/wjcc.v13.i34.114352
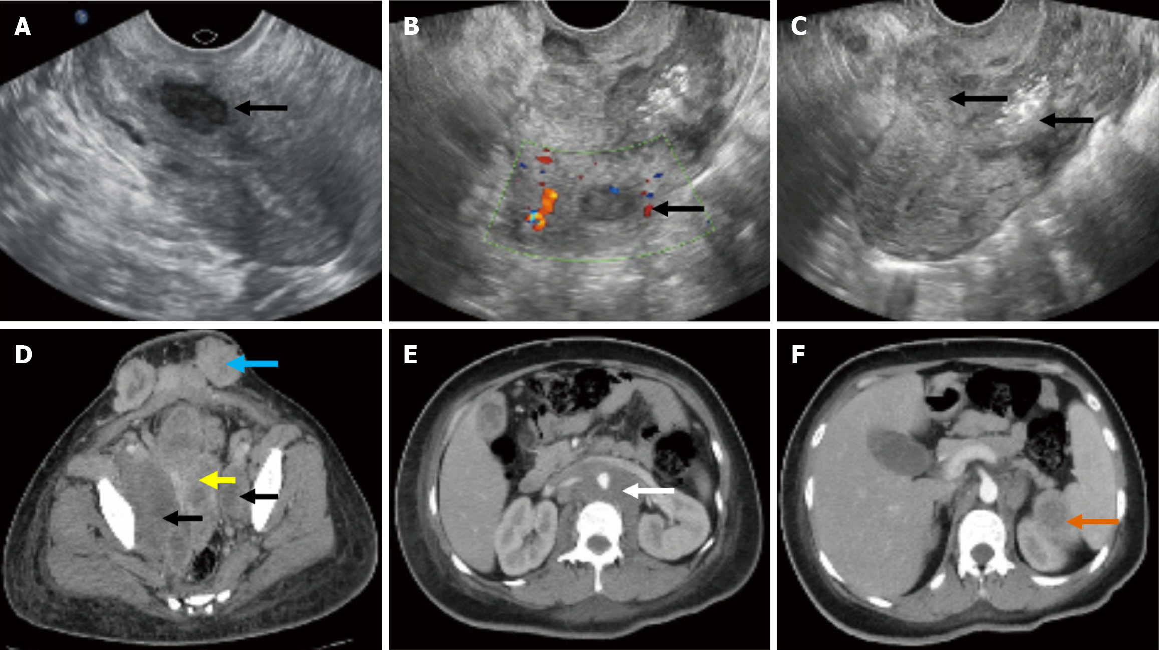
Figure 1 Transvaginal ultrasound images and enhanced computed tomography of the tumor and metastases.
A and B: The intramural uterine myoma located in the inferior-posterior wall of the uterus (A) 11 months before this pregnancy and (B) 13 days after chemotherapy (black arrow: The intramural uterine myoma); C: An uneven and weak-echo mass in the inferior uterine segment and cervical canal that invaded the entire layer of the muscle wall (black arrow: Tumor infiltration in the cervix ); D-F: Enhanced computed tomography of the tumor and metastases; yellow arrow: Tumor infiltration in the cervix and uterine cavity; black arrow: Tumor infiltration in the bilateral obturator lymph nodes; blue arrow: Tumor metastasis to subcutaneous tissue of the scar area of the abdominal wall; white arrow: Tumor metastasis to para-aortic lymph nodes; orange arrow: Tumor metastasis to spleen.
Figure 2 Histopathological and immunohistochemical results of the rotten fish-like solid mass.
A: The typical “carcinomatous nest” structure of adenosquamous cell carcinoma of the cervix was not observed [hematoxylin-eosin (HE), × 200]; B: Glycogen-rich tumor cells are dehydrated to form similar clear cells (HE, × 100); C: The carcinoma thrombus infiltrated the uterine wall vessel (HE, × 200); D-I: The representative immunohistochemical of tumor cells was positive for (D) HNF-1β, (E) P16, (F) cytokeratin (CK) 7, and (G) CK5/6 and negative for (H) estrogen receptor and (I) progesterone receptor (immunohistochemical, × 100 magnification).
- Citation: Liu XJ, Wang P, Yang KX, Wang QL. Misdiagnosis and fatal outcome of advanced cervical adenosquamous carcinoma in pregnancy: A case report. World J Clin Cases 2025; 13(34): 114352
- URL: https://www.wjgnet.com/2307-8960/full/v13/i34/114352.htm
- DOI: https://dx.doi.org/10.12998/wjcc.v13.i34.114352
