Copyright: ©Author(s) 2026.
World J Methodol. Jun 20, 2026; 16(2): 113663
Published online Jun 20, 2026. doi: 10.5662/wjm.v16.i2.113663
Published online Jun 20, 2026. doi: 10.5662/wjm.v16.i2.113663
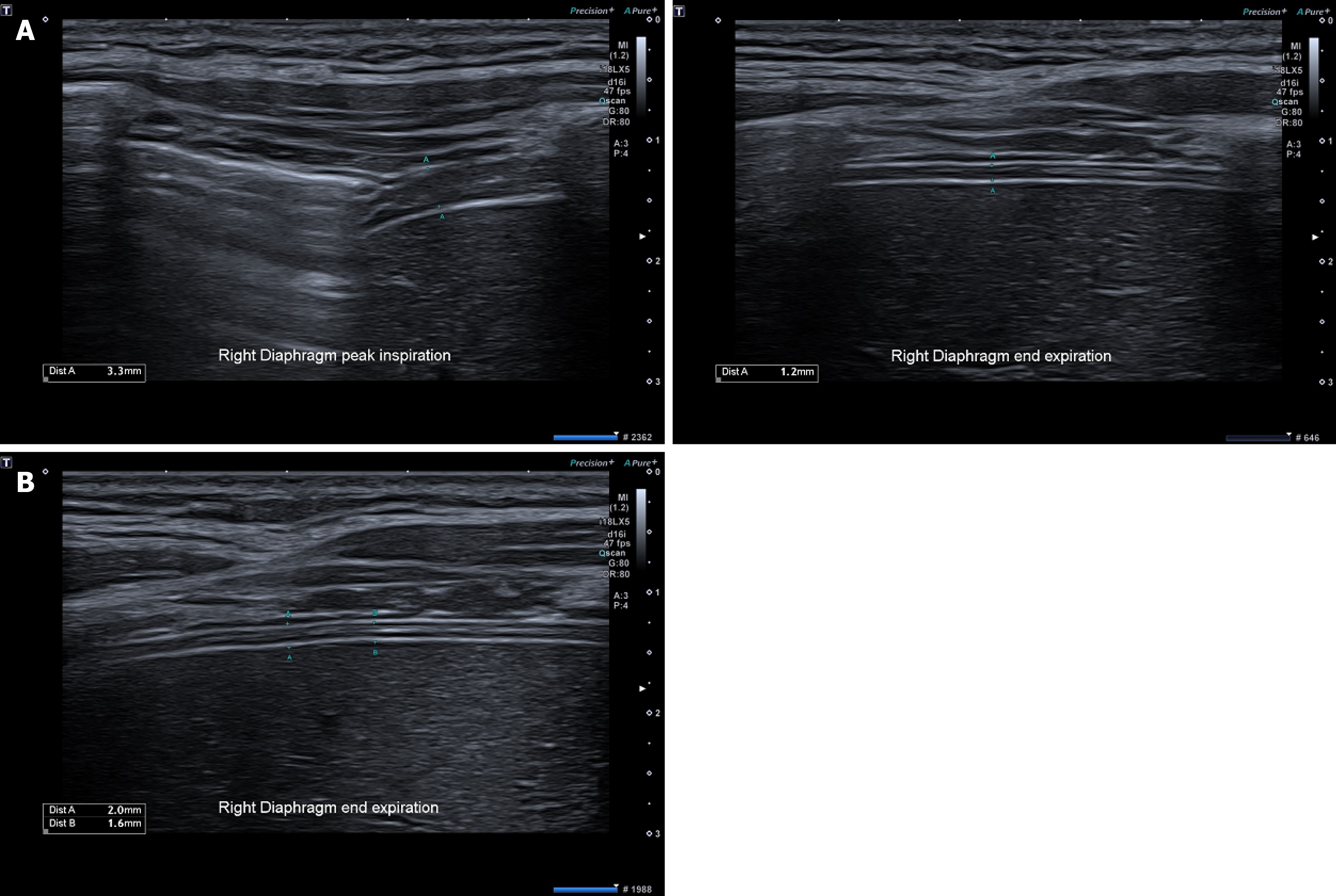
Figure 1 The measurements of diaphragmatic thickness.
A: Correct ways of measurements of diaphragm thickness at peak inspiration and end-expiration. Measurements A: Calipers placed within the two lines and not including the two lines into the total thickness; B: Examples of incorrect measurements of diaphragmatic thickness. Measurements A: Includes the two white lines into the measurement; measurements B: Includes the bottom white line into the measurement.
Figure 2 Excursion measurements for diaphragm.
A: Correct and incorrect methods of measurements for right diaphragm excursion. Measurements A: Correct position to put calipers; measurements B: Incorrect position to put calipers - on the exterior of the diaphragm; measurements C: Incorrect position to put calipers - on the interior of the diaphragm; B: Excursion measurements for left diaphragm at resting tidal breathing. Measurements A: Shows direction of diaphragmatic movement and position of calipers for measurement if M mode could not be used accurately due to the plane of diaphragmatic movement.
Figure 3 Learning trajectory of trainees.
The learning trajectory of trainees is depicted by the proportion of trainees who attain an acceptable result at each patient encounter, where an acceptable result is defined as attaining measurements in agreement and interpretation in agreement to the trainer. Measurement in agreement for diaphragm thickening fraction is defined as < 10% difference in diaphragm thickening fraction between trainer and trainee, measurement in agreement for diaphragmatic excursion is defined as < 2 mm difference between trainer and trainee, and interpretation of the presence or absence of diaphragmatic dysfunction was defined as in agreement to the trainer if interpretations were similar. DTF: Diaphragm thickening fraction; ZOA: Zone of apposition; mid ax: Mid axillary line; Diaph: Diaphragm.
- Citation: Ng KWP, See KC. Basic diaphragm ultrasound training: Curriculum implementation and learning trajectory among diaphragm ultrasound naive trainees. World J Methodol 2026; 16(2): 113663
- URL: https://www.wjgnet.com/2222-0682/full/v16/i2/113663.htm
- DOI: https://dx.doi.org/10.5662/wjm.v16.i2.113663
