BPG is committed to discovery and dissemination of knowledge
Prospective Study Open Access
©The Author(s) 2025. Published by Baishideng Publishing Group Inc. All rights reserved.
World J Exp Med. Dec 20, 2025; 15(4): 110890
Published online Dec 20, 2025. doi: 10.5493/wjem.v15.i4.110890
Lack of cytoplasmic expression of a new marker programmed cell death ligand-1 in tumor cells is significant
Marina A Senchukova, Scientific and Clinical Center No. 3, Petrovsky National Research Centre of Surgery, Moscow 108840, Troitsk, Russia
Evgeniya Yu Zubareva, Department of Oncology, Orenburg State Medical University, Orenburg 460021, Orenburgskaya Oblast’, Russia
Natalia V Saidler, Department of Pathology, Orenburg Regional Cancer Clinic, Orenburg 460021, Orenburgskaya Oblast’, Russia
Lyubov V Krivolapova, Scientific and Clinical Center No. 2, Petrovsky National Research Centre of Surgery, Moscow 117953, Moskva, Russia
ORCID number: Marina A Senchukova (0000-0001-8371-740X); Evgeniya Yu Zubareva (0000-0001-7025-0206); Natalia V Saidler (0009-0007-3641-1580); Lyubov V Krivolapova (0009-0009-2544-068X).
Author contributions: Senchukova MA formulated the idea and aims of the study, wrote the first version of the manuscript and performed the analysis of the results and statistical processing of the results; Saidler NV made a significant contribution to the development of the study methodology, participated in the discussion of the obtained results, and revised and approved the final version; Zubareva EY collected and analyzed the data and made a significant contribution to the concept and design of the study, participated in the preparation of tables and figures; Krivolapova LV made a significant contribution to the selection and analysis of data and their discussion, as well as to the interpretation of the obtained results; All the authors wrote and approved the final version of the manuscript.
Supported by the Russian Science Foundation, No. 23-25-00183.
Institutional review board statement: This study was reviewed and approved by the Ethics Committee of Orenburg State Medical University (Russia, Orenburg; protocol No. 311 dated January 13, 2023).
Clinical trial registration statement: This study does not require registration as it does not meet the definition of a clinical trial.
Informed consent statement: All patients signed informed consent to participate in the clinical study.
Conflict-of-interest statement: All authors have no conflicts of interest to declare.
CONSORT 2010 statement: The authors have read the CONSORT 2010 statement—checklist of items, and the manuscript was prepared and revised according to the CONSORT 2010 statement—checklist of items.
Data sharing statement: Data from patients included in the study in Statistica10 table or Excel table formats can be provided upon request to the corresponding author at masenchukova@yandex.com.
Corresponding author: Marina A Senchukova, Scientific and Clinical Center No. 3, Petrovsky National Research Centre of Surgery, Oktyabrsky Prospekt, 3, Moscow 108840, Troitsk, Russia. masenchukova@yandex.com
Received: June 18, 2025
Revised: July 13, 2025
Accepted: October 20, 2025
Published online: December 20, 2025
Processing time: 184 Days and 20.9 Hours

Abstract
BACKGROUND

Recent studies have indicated that an antibody against programmed cell death protein 1-ligand 1 (PDCD1-LG1), a new marker of programmed cell death-ligand 1 expression, is promising for studying the mechanisms of breast cancer (BC) progression and resistance to chemotherapy.

AIM

To compare the features of PDCD1-LG1 expression in chemoresistant luminal A BC and BC with high Ki67 indices.

METHODS

This prospective single-center observational cohort study included 148 patients with newly diagnosed primary resectable BC. The tumor sections were stained with antibodies against PDCD1-LG1. The statistical calculations were performed using Statistica software version 12.0. P < 0.05 was considered statistically significant.

RESULTS

Cytoplasmic PDCD1-LG1 (cPDCD1-LG1) expression was detected in the nonneoplastic epithelium, tumor cells (TCs) and immune cells (ICs). A lack of cPDCD1-LG1 expression in ≥ 20% of TCs and a PDCD1-LG1+ IC score ≥ 10% were associated with aggressive BC characteristics, including tumor G3, estrogen receptor-negative status, overexpression of human epidermal growth factor receptor 2 (HER2+), luminal B HER2+ BC, nonluminal HER2+ BC and triple-negative BC. The lack of cPDCD1-LG1 expression in < 20% of the TCs, in combination with a PDCD1-LG1+ IC score < 10% and G1, was characteristic of chemoresistant luminal A BC, whereas the lack of cPDCD1-LG1 expression in ≥ 20% of the TCs, combined with a PDCD1-LG1+ IC score ≥ 10%, was a predictor of high BC sensitivity to chemotherapy.

CONCLUSION

These results indicate that both the lack of cPDCD1 LG1 in TCs and the PDCD1 LG1 IC score and their combination may be important for assessing BC prognosis and sensitivity to chemotherapy.

Key Words: Breast cancer; Chemoresistance; Programmed death-ligand 1; Programmed cell death protein 1-ligand 1; Сytoplasmic programmed cell death protein 1 ligand 1

Core Tip: We immunohistochemically studied the expression of programmed cell death protein 1 Ligand 1 (PDCD1 LG1) in tumor cells (TCs) and immune cells (ICs) in patients with breast cancer (BC). We revealed that a lack of cytoplasmic PDCD1 LG1 (cPDCD1 LG1) expression in ≥ 20% of TCs is characteristic of more aggressive BC subtypes, namely, G3 tumors, estrogen receptor-negative status and human epidermal growth factor receptor-2 overexpression. In addition, we established that the combined assessment of the lack of cPDCD1 LG1 expression in TCs and the PDCD1 LG1 score in ICs is one of the most significant predictors associated with BC chemotherapy sensitivity.



INTRODUCTION

Breast cancer (BC) remains one of the most important problems in modern oncology[1]. The results of BC treatment largely depend on the sensitivity of tumor cells (TCs) to drug therapy, especially in locally advanced and highly aggressive BC subtypes. In this context, the search for new prognostic and predictive markers of BC has not lost its relevance.

Currently, the determination of programmed cell death-ligand 1 (PD-L1) expression in tumor tissue is widely used to assess the prognosis of the disease and determine indications for immunotherapy, including in patients with BC[2-5]. To determine the level of marker expression, the antibody clones SP142, CD274, SP263 and 22C3 are most often used. However, the results of assessing the level of PD-L1 expression when different antibody clones are used are contradictory[2,6,7]. In addition, the data concerning the role of PD-L1 expression in BC progression are ambiguous[8]. Thus, identifying new markers of PD-L1 expression and assessing their prognostic and predictive value have not lost their relevance.

Recently, a new marker of PD-L1 expression, an antibody against programmed cell death protein 1-ligand 1 (PDCD1-LG1), was found to be associated with both BC clinicopathologic characteristics and tumor sensitivity to chemotherapy[9]. The aims of this study were (1) To establish the associations of PDCD1-LG1 expression in TCs and immune cells (ICs) with BC clinical and pathological characteristics in patients with early BC; and (2) To compare the features of marker expression in chemoresistant luminal A BC and BC with high Ki67 indices (≥ 40%).

MATERIALS AND METHODS
Patient characteristics

A prospective single-center cohort study included 148 patients aged 26-87 years (62.8 years ± 11.9 years, median 62 years) with newly diagnosed primary resectable BC. The study was conducted in accordance with the Helsinki Declaration and internationally recognized guidelines. All patients signed informed consent to participate in the clinical study. Ethical approval was obtained from the Ethics Committee of Orenburg State Medical University (protocol No. 311 dated January 13, 2023). The characteristics of the patients included in the study are presented in Table 1.

Table 1 Characteristics of patients with breast cancer.
Breast cancer characteristics
n (%)
Т stage
Тin situ4 (2.7)
Т1в11 (7.5)
Т1с89 (60.1)
Т244 (29.7)
N stage
N081 (54.7)
N147 (31.8)
N216 (10.8)
N34 (2.7)
Clinical stage
04 (2.7)
I (IA)53 (35.8)
IIA55 (37.2)
IIB17 (11.5)
IIIA15 (10.1)
IIIB4 (2.7)
Histology
Intraductal4 (2.7)
Ductal134 (90.5)
Lobular2 (1.4)
Others8 (5.4)
Tumor grade (G)
G116 (10.8)
G289 (60.1)
G343 (29.1)
Estrogen receptor status
negative16 (10.8)
positive132 (89.2)
Progesterone receptor status
Negative41 (27.7)
Positive107 (72.3)
HER2 status
Negative128 (85.5)
Positive20 (14.5)
Breast cancer molecular biological subtype
Luminal A56 (37.8)
Luminal B HER2-66 (44.6)
Luminal B HER2+10 (6.8)
Nonluminal HER2+10 (6.8)
Triple negative breast cancer6 (4.0)

The patients underwent standard clinical and instrumental examinations. The stage of BC was determined according to the 8th TNM classification of malignant tumors. All patients underwent radical surgeries (R0) involving radical resection of the mammary gland (n = 107) or radical mastectomy (n = 41) with axillary lymphadenectomy from February 15, 2023, to June 30, 2023, at the Orenburg Regional Clinical Oncology Center. In 20 patients, the disease stage increased because of the detection of metastases in more than 3 examined lymph nodes. The study did not include patients who received drug therapy (chemotherapy, targeted or hormone therapy), radiation therapy, corticosteroids or nonsteroidal anti-inflammatory drugs before surgery.

Immunohistochemistry

The staining procedure was described in a previously published study[10]. Briefly, serial sections were used to reduce interassay variability due to tumor heterogeneity. To assess PD-L1 expression, 4-μm sections were stained with monoclonal antibodies against PDCD1-LG1 at a 1:100 dilution (Cloud-Clone Corp., China). The staining procedure was performed according to the manufacturer's protocol using a fully automated BOND-MAX staining system (Leica Biosystems Melboume Pty Ltd., Australia). The visualization system included DAB with hematoxylin. For the negative control sections, the primary antibodies were replaced with phosphate-buffered saline, and the samples were processed in the same way. Benign tonsil tissue was used as a positive control. Histological preparations were examined via light microscopy (Levenhuk D740T digital microscope connected to a 5.1 MP camera, Russia). All samples were examined by two researchers (Saidler NV and Senchukova MA) who were blinded to the clinical and pathological data of the patients.

PDCD1-LG1 IHC scoring

The severity of cytoplasmic PDCD1-LG1 (cPDCD1-LG1) expression in TCs was determined in 5 fields of view at a magnification of 200 × as follows[11]:

The extent of staining was scored according to the percentage of TCs with cPDCD1-LG1 expression as follows: 0%, 0; 1%-25%, 1; 26%-50%, 2; 51%-75%, 3; and 76%-100%, 4.

The intensity of cPDCD1-LG1 expression in TCs was scored as follows: No staining, 0; weak staining, 1; moderate staining, 2; and strong staining, 3.

The severity of cPDCD1-LG1 expression in the TCs was calculated by multiplying the intensity and extent of the staining scores of the TCs (score range 0-12). Examples of the quantification of the severity of cPDCD1-LG1 expression in TCs are shown in Figure 1.

Figure 1
Figure 1 Assessment of the severity of cytoplasmic programmed cell death protein 1 Ligand 1 expression in tumor cells. A: The percentage of tumor cells (TCs) without staining = 1, the percentage of TCs with weak staining = 0, the percentage of TCs with moderate staining = 2 and the percentage of TCs with strong staining = 1. The severity of cytoplasmic programmed cell death protein 1 ligand 1 (cPDCD1 LG1) expression in TCs = 8 (1 × 0 + 0 × 1 + 2 × 2 + 1 × 3); B: The percentage of TCs without staining = 0, the percentage of TCs with weak staining = 3, the percentage of TCs with moderate staining = 0 and the percentage of TCs with strong staining = 0. The severity of cPDCD1 LG1 expression in TCs = 3 (1 × 0 + 3 × 1 + 0 × 2 + 0 × 3); C: The percentage of TCs without staining = 1; the percentage of TCs with weak staining = 0; the percentage of TCs with moderate staining = 4; and the percentage of TCs with strong staining = 0. The severity of PDCD1 LG1 expression in TCs = 6 (1 × 0 + 0 × 1 + 3 × 2 + 0 × 3); D: The percentage of TCs without staining = 0; the percentage of TCs with weak staining = 0; the percentage of TCs with moderate staining = 1; and the percentage of TCs with strong staining = 3. The severity of PDCD1 LG1 expression in TCs = 11 (0 × 0 + 0 × 1 + 1 × 2 + 3 × 3). Staining with anti-PDCD1 LG1 antibodies. The scale bar is 200 μm.
Evaluation of PDCD1-LG1 expression in immune cells

The expression of PDCD1-LG1 in ICs (intratumoral and peritumoral lymphocytes, macrophages, dendritic cells, and granulocytes) was assessed in 5 fields of view at 200 × magnification and calculated as the proportion of the tumor area (non-necrotic and non-sclerotic areas) occupied by PDCD1-LG1+ ICs of any intensity. We used three scoring intervals for PDCD1-LG1+ IC scores (< 10%; ≥ 10% and < 30%; and ≥ 30%). Examples of PDCD1-LG1+ IC quantification are shown in Figure 2.

Figure 2
Figure 2 Assessment of tumor-infiltrating programmed cell death protein 1 Ligand 1-positive immune cells. A: Cytoplasmic programmed cell death protein 1 ligand 1 (cPDCD1 LG1) + immune cell score ≥ 30%; B: PDCD1 LG1+ immune cell score < 10%. Staining with anti-PDCD1 LG1 antibodies. The scale bar is 200 μm.
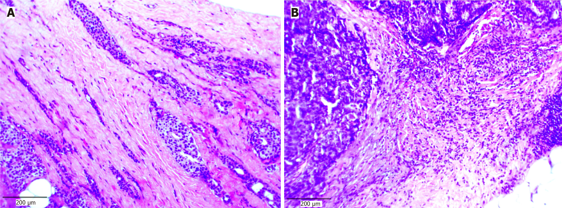
Evaluation of tumor-infiltrating lymphocytes

Tumor infiltrating lymphocytes (TILs) were assessed according to the recommendations of the International TIL Working Group 2014 on Mayer hematoxylin and eosin-stained sections in 5 fields of view at 200 × magnification and calculated as the proportion of the tumor stromal area occupied by TILs[12]. Three intervals were used to assess TILs: < 5%, ≥ 5% and < 10%, and ≥ 10%. Examples of TIL quantification are shown in Figure 3.

Figure 3
Figure 3 Assessment of tumor-infiltrating lymphocytes. A: Tumor-infiltrating lymphocytes score < 5%; B: TIL score ≥ 10%. Staining with Mayer hematoxylin and eosin. The scale bar is 200 μm.
Statistical analysis

The statistical calculations were performed via Statistica software version 12.0. The data are presented as the means ± SDs or medians depending on the normality of the distribution. The normality of the continuous data was analyzed via the Kolmogorov-Smirnov test. Correlations between data were assessed depending on the type of variables via nonparametric Spearman rank correlation (ρ) or Kendall rank correlation (τ). Continuous variables were compared via the Mann-Whitney test or median nonparametric tests. Categorical variables were compared via the χ2 test. Receiver operating characteristic (ROC) curves were constructed to discriminate between patients with the chemoresistant luminal A subtype of BC and those with high Ki67 levels (≥ 40%). The effectiveness of the predictive models was assessed by the area under the curve (AUC). To plot the ROC curves and measure the AUCs, software, which is available free at https://www.statskingdom.com/roc-calculator.html, was used. Univariate and multivariate logistic regression analyses were used to investigate the influence of various factors on tumor sensitivity to drug therapy. A value of P < 0.05 was considered statistically significant.

RESULTS
Cytoplasmic PDCD1-LG1 expression in the nonneoplastic epithelium

In nonneoplastic epithelium, cPDCD1-LG1 expression of varying intensity was observed: Moderate in normal glands (Figure 4A) and cystic dilated ducts with apocrine metaplasia (Figure 4B), weak in the atrophic epithelium lining the dilated ducts of the mammary gland (Figure 4C), and expressed in the cytoplasm of proliferating lobular epithelial cells (Figure 4D).

Figure 4
Figure 4 Cytoplasmic expression of programmed cell death protein 1 ligand 1 in nonneoplastic epithelium. A: Moderate cytoplasmic programmed cell death protein 1 ligand 1 (cPDCD1 LG1) expression in the normal ductal epithelium of the mammary gland; B: Moderate cytoplasmic PDCD1 LG1 expression in the epithelial cells lining cystic dilated ducts with apocrine metaplasia and intraductal secretion; C: Weak cytoplasmic expression in the atrophic epithelium lining cystic dilated ducts of the mammary gland; D: Pronounced cytoplasmic PDCD1 LG1 expression in the proliferating lobular epithelium. Staining with anti-PDCD1 LG1 antibodies. The scale bar is 200 μm.
The severity of cytoplasmic PDCD1-LG1 expression in tumor cells

The severity of cPDCD1-LG1 expression in TCs according to the clinical and pathological characteristics of BC patients is shown in Table 2.

Table 2 The severity of cytoplasmic programmed cell death protein 1 ligand 1 expression in tumor cells according to the clinical and pathological characteristics of breast cancer.
Breast cancer characteristics
Severity of cPDCD1 LG1 expression in the tumor cells
Р value
T stage
Тin situ8.0 ± 2.80.86
Т1в8.4 ± 2.4
Т1с8.5 ± 2.3
Т28.2 ± 2.2
N stage
N08.7 ± 2.20.67
N18.3 ± 1.9
N26.9 ± 2.5
N39.1 ± 3.3
Clinical stage
08.0 ± 2.80.906
I (IA)8.7 ± 2.3
IIA8.5 ± 1.9
IIB8.1 ± 1.9
IIIA6.8 ± 2.6
IIIB9.1 ± 3.2
Tumor grade
G19.4 ± 2.20.003a
G28.6 ± 2.5
G37.6 ± 1.9
Lymphovascular invasion
Absent8.6 ± 2.20.27
Present8.1 ± 2.2
Perineural invasion
Absent8.7 ± 2.20.12
Present7.7 ± 2.3
Intraductal component
Absent8.5 ± 2.10.44
Present8.0 ± 2.4
Estrogen receptor status
Negative 8.3 ± 1.20.87
Positive8.4 ± 2.3
Progesterone receptor status
Negative7.4 ± 2.10.0009a
Positive8.7 ± 2.2
HER2 status
HER2 -8.7 ± 2.40.15
HER2 1+8.1 ± 1.3
HER2 2+7.4 ± 2.8
HER2 3+8.1 ± 1.3
Breast cancer molecular biological subtype
Luminal A8.3 ± 2.50.41
Luminal B HER2-8.4 ± 2.2
Luminal B HER2+8.8 ± 2.1
Nonluminal HER2+8.3 ± 1.2
TNBC8.5 ± 1.2

The severity of cPDCD1-LG1 expression was significantly greater in BCs with low tumor grade (G1) and positive progesterone receptor (PR) status and was not associated with T and N stages, clinical stage, estrogen receptor (ER) status or Ki67 levels, lymphovascular invasion (LVI), perineural invasion (PNI) or the intraductal component (IDC). Considering that in our study, 25 (18.9%) of 132 patients with luminal subtypes of BC had a negative PR status, we analyzed the severity of cPDCD1-LG1 expression according to the ER and PP status. The results obtained are presented in Figure 5.

Figure 5
Figure 5 Severity of cytoplasmic programmed cell death protein 1 ligand 1 expression in tumor cells according to estrogen receptor and progesterone receptor status. PD-L1: Programmed cell death-ligand 1; ER: Estrogen receptor; PR: Progesterone receptor; SE: Standard error.

Thus, the lowest values of cPDCD1-LG1 expression in TCs were observed in the group with a positive ER status and a negative PR status, whereas the highest values were detected in the group in which both hormone receptors were positive (Р = 0.0005). These data indirectly confirm the results of other studies, according to which, in luminal subtypes of BC, the presence of PR expression, which affects BC characteristics, should be taken into account. In particular, negative PR status in luminal subtypes of BC is associated with poorer overall survival and relapse-free survival[13,14].

Lack of cytoplasmic PDCD1-LG1 expression in tumor cells

When studying BC samples, we noted the frequent lack of cPDCD1-LG1 expression in TCs along the invasive edge (Figure 6A). A lack of PDCD1-LG1 expression was noted not only along the edge but also in the central part of the tumor parenchyma (Figure 6B). In isolated cases, most of the tumor parenchyma did not express the marker (Figure 6C). In the absence of marker expression, the nuclei of the TCs were sharply basophilic and acquired an elongated shape (Figure 6D).

Figure 6
Figure 6 Lack of cytoplasmic programmed cell death protein 1 ligand 1 expression in tumor cells. A: Lack of cytoplasmic programmed cell death protein 1 ligand 1 (cPDCD1 LG1) expression at the invasive edge of the tumor [in < 20% of tumor cells (TCs)]; B: Lack of cPDCD1 LG1 expression in the central part of the tumor (in ≥ 20% of the TCs); C: Lack of cPDCD1 LG1 expression in most of the tumor parenchyma; D: Severe basophilia and elongated shape of the TC nuclei in the absence of cPDCD1 LG1 expression. Staining with anti-PDCD1 LG1 antibodies, A-C: Scale bar is 200 μm, D: Scale bar is 50 μm.

According to the cutoff point discriminating between patients with chemoresistant luminal A BC and patients with BC with a Ki67 index ≥ 40%, we identified two BC subgroups on the basis of the lack of cPDCD1-LG1 expression in TCs: Those with a lack of cPDCD1-LG1 expression in < 20% of the TCs and those with a lack of cPDCD1-LG1 expression in ≥ 20% of the TCs. The distribution of patients in these subgroups, depending on the BC clinical and pathological characteristics, is presented in Table 3.

Table 3 Distribution of patients according to the lack of cytoplasmic programmed cell death protein 1 ligand 1 expression and the clinical and pathological characteristics of breast cancer patients.
The lack of cPDCD1 LG1 in < 20% of the TCs
The lack of cPDCD1 LG1 in ≥ 20% of the TCs
P value
n
%
n
%
T stage
Тin situ4100000.0052a
Т1в981.8218.2
Т1с5157.33842.7
Т21636.42863.6
N stage
N04251.93948.10.24
N12451.12348.9
N2-31462.5637.5
Clinical stage
04100000.059
I (IA)3056.62343.4
IIA2443.63156.4
IIB847.1952.9
IIIA1066.7533.3
IIIB410000
Tumor grade
G11487.5212.50.0000a
G25563.23236.8
G31124.43475.6
Lymphovascular invasion
Absent4857.13642.90.39
Present3250.0325.0
Perineural invasion
Absent6455.75144.30.47
Present1648.51751.5
Intraductal component
Absent5753.35046.70.76
Present2356.11843.9
Estrogen receptor status
Negative531.31168.70.052
Positive7556.85743.2
Progesterone receptor status
Negative2151.22048.80.67
Positive5955.14844.9
HER2 status
Negative7357.05543.00.070
Positive735.01365.0
Molecular biological subtype
Luminal A4275.01425.00.0011a
Luminal B HER2-2842.43857.6
Luminal B HER2+550.0550.0
Nonluminal HER2+220.0880.0
TNBC350.0350.0

Thus, a lack of cPDCD1-LG1 in ≥ 20% of TCs is associated with more aggressive characteristics of BC, namely, T1c-T2 stage, G3 tumors, negative ER status, HER2 overexpression and high Ki67 levels. The Ki67 indices were 24.6% ± 18.8% and 37.4% ± 23.1%, respectively, in the tumor samples, with a lack of cPDCD1-LG1 in < 20% of the TCs and a lack of cPDCD1-LG1 in ≥ 20% of the TCs (P = 0.000074). A lack of cPDCD1-LG1 in ≥ 20% of the TCs was significantly less common in the luminal A subtype than in the other BC subtypes and was not associated with N stage, clinical stage, the PR level, or the presence of LVI, PNI or IDC.

Evaluation of PDCD1-LG1 expression in immune cells

Previously, we studied the concordance of the results of PD-L1 expression assessment between antibodies against PDCD1-LG1 and SP142 and reported that the negative status of PD-L1 expression in ICs assessed by SP142 (SP142+ IC score < 1%) corresponded to a PDCD1-LG1+ IC score < 10% (cutoff)[15]. The distributions of patients according to PDCD1-LG1+ IC scores and the clinical and pathological characteristics of BC patients are presented in Table 4.

Table 4 Distribution of patients according to cytoplasmic programmed cell death protein 1 ligand 1 + immune cell score and the clinical and pathological characteristics of patients with breast cancer.
Breast cancer characteristicsPDCD1 LG1+ IC score
Р value
< 10%
≥ 10% and < 30%
≥ 30%
n
%
n
%
n
%
T stage
Тin situ250.0250.0000.035a
Т1в436.4545.4218.2
Т1с5966.31820.21213.5
Т23681.836.8511.4
N stage
N05871.61113.61214.80.488
N13166.01124.4510.6
N2-31260.0630.0210.0
Clinical stage
0250.0250.0000.158
I (IA)3871.7611.3917.0
IIA3563.61425.4610.9
IIB1588.200211.8
IIIA960.0426.7213.3
IIIB250.0250.000
Tumor grade
G11062.5637.5000.018a
G26473.61517.289.2
G32760.0715.61124.4
Lymphovascular invasion
Absent6071.41517.9910.70.581
Present4164.11320.31015.6
Perineural invasion
Absent7968.72420.91210.40.185
Present2266.7412.1721.2
Intraductal component
Absent7368.22119.61312.20.885
Present2868.3717.1614.6
Estrogen receptor status
Negative 531.25531.25637.50.0012a
Positive9672.72317.4139.9
Progesterone receptor status
Negative 2561.0717.1921.90.122
Positive7671.02119.6109.4
HER2 status
Negative 9977.32318.064.70.0000a
Positive210.0525.01365.0
Breast cancer subtypes
Luminal A4275.0814.3610.70.0000a
Luminal B HER2-5481.81218.200
Luminal B HER2+00330770
Nonluminal HER2+220.0220.0660.0
TNBC350.0350.000

Thus, a PDCD1-LG1+ IC score ≥ 10% was significantly more often detected in patients with a high tumor grade (G3), negative ER status, BC with HER2/neu overexpression, and luminal B HER2+ BC, nonluminal HER2+ BC and TNBC. The Ki67 indices in BC samples with PDCD1-LG1+ IC scores < 10% and ≥ 10% were 27.8% ± 19.7% and 48.4% ± 27.0%, respectively (Р = 0.002).

Evaluation of tumor-infiltrating lymphocytes

We revealed that a TIL score < 5% was found in 60 (40.5%) BC samples, a TIL score ≥ 5% and < 10% was found in 50 (22.8%) BC samples, and a TIL score ≥ 10% was found in 38 (25.7%) BC samples. TIL scores ≥ 10% were observed in 18.2%, 15.7% and 45.5% of the BC samples in the T1b, T1c and T2 stages, respectively (Р = 0.00053, Pearson χ2); in 0%, 18.8% and 48.8% of the BC samples, respectively, in the G1, G2 and G3 tumors (Р = 0.00031, Pearson χ2); in 14.3%, 27.3%, 30.0%, 60% and 50% of the BC samples, respectively, in the luminal A BC, luminal B HER2- BC, luminal B HER2+ BC, nonluminal HER2+ BC and TNBC (Р = 0.0012, Pearson χ2); in 22.7% and 45.0% of the BC samples, respectively, in the HER2- and HER2+ tumors (Р = 0.0085, Pearson χ2); and in 56.3% and 22.0% of the BC samples, respectively, in the ER- and ER+ tumors (Р = 0.0066, Pearson χ2); and in 48.8% and 16.8% of BC samples, respectively, in PR- and PR+ tumors (Р = 0.00035, Pearson χ2). For BCs with TIL scores < 5%, ≥ 5% and < 10% and ≥ 10%, the Ki67 indices were 21.9% ± 13.7%, 30.7% ± 22.6% and 43.5% ± 24.9%, respectively (Р = 0.0004, median test), and the severity of cPDCD1-LG1 expression in TCs was 8.1 ± 2.6, 8.9 ± 1.9 and 8.1 ± 1.8, respectively (Р = 0.0062, median test).

The TIL score was positively correlated with a lack of cPDCD1-LG1 in TCs (ρ = 0.283, Р = 0.000492, Spearman rank order correlation) and the PDCD1-LG1+ IC score (ρ = 0.504, Р < 0.00001, Spearman rank order correlation). For BCs with TIL scores < 10% and ≥ 10%, a lack of cPDCD1-LG1 in ≥ 20% of the TCs was revealed in 40.0% and 64.8% of the BC samples, respectively (Р = 0.0012, Pearson χ2), and PDCD1-LG1+ IC scores ≥ 10% were revealed in 6.5% and 48.9% of the BC samples, respectively (Р < 0.00001, Pearson χ2).

The features of PDCD1-LG1 expression in chemoresistant luminal A breast cancer and breast cancer with a high index of Ki67 (≥ 40%)

To evaluate the associations of the studied markers with the chemoresistance of BC, we identified two groups of patients: Those with chemoresistant luminal A BC (group 1, n = 56) and those with a Ki67 index ≥ 40% (group 2, n = 44). We performed the following studies to establish the clinical and immunological characteristics of BC associated with BC sensitivity to chemotherapy: (1) Correlation analysis to establish the associations of markers with the chemoresistance of BC; (2) Analysis of ROC curves to determine marker cutoffs that discriminate patients in groups 1 and 2; and (3) Univariate and multivariate analyses to determine the clinicopathological and immunological characteristics of chemoresistant luminal A BC and BC with an index of Ki67 ≥ 40% (n = 44). Table 5 presents the results of the correlation analysis.

Table 5 Results of the correlation analysis.
Breast cancer characteristics
Correlation coefficient
P value
Т stage1-0.1030.40932
N stage1-0.3850.00302a
Clinical stage1-0.0790.15234
Tumor grade10.8740.00000a
Estrogen receptor status1-0.9880.00000a
Progesterone receptor status1-0.5400.00004a
HER2 status10.9780.00000a
Ki67 index20.8610.00000a
Lymphovascular invasion10.0940.51440
Perineural invasion1-0.5150.00199a
Intraductal component10.1140.54373
сPDCD1 LG1 expression in TCs10.0810.42558
Lack of cPDCD1 LG1 in TCs10.4320.00000a
PDCD1 LG1+ IC score10.4540.00000a

The results of the ROC curve analysis for determining the optimal cutoff points of the markers are presented in Figure 7.

Figure 7
Figure 7 Receiver operating characteristic curve. A: Receiver operating characteristic (ROC) curve for estrogen receptor status; B: ROC curve for progesterone receptor status; C: ROC curve for human epidermal growth factor receptor-2 status; D: ROC curve for the lack of cytoplasmic programmed cell death protein 1 ligand 1 expression in tumor cells; E: ROC curve for tumor-infiltrating programmed cell death protein 1 ligand 1-positive immune cell scores.

Thus, for the ER status, the optimal cutoff point for discriminating between patients in groups 1 and 2 was 80%. The AUC was 0.787 (95%CI: 0.680-0.893). The sensitivity and specificity of the method were 93.2% and 63.3%, respectively.

For the PR status, the optimal cutoff point for discriminating between patients in groups 1 and 2 was 30%. The AUC was 0.847 (95%CI: 0.783-0.911). The sensitivity and specificity of the method were 72.6% and 86.7%, respectively.

For HER2 status, the optimal cutoff point for discriminating patients in groups 1 and 2 was HER2++. The AUC was 0.715 (95%CI: 0.634-0.811). The sensitivity and specificity of the method were 50.0% and 89.9%, respectively.

To construct the ROC curve for the lack of cPDCD1-LG1 in TCs, patients were divided into 3 groups: (1) Those with the lack of cPDCD1-LG1 in < 1% of TCs; (2) Those with the lack of cPDCD1-LG1 in ≥ 1% and < 20% of TCs; and (3) Those with the lack of cPDCD1-LG1 in ≥ 20% of TCs. The optimal cutoff point for this marker was a lack of cPDCD1-LG1 in ≥ 20% of the TCs. The AUC for this marker was 0.727 (95%CI: 0.647-0.831). The sensitivity and specificity of the method were 65.1% and 75.9%, respectively.

To construct the ROC curve for the PDCD1-LG1+ IC score, patients were divided into 3 groups: (1) With PDCD1-LG1+ IC scores < 10%; (2) With PDCD1-LG1+ IC scores ≥ 10% and < 30%; and (3) With PDCD1-LG1+ IC scores ≥ 30%. The optimal cutoff point for the PDCD1-LG1+ IC score was ≥ 10%. The AUC was 0.769 (95%CI: 0.672-0.866). The sensitivity and specificity of the method were 70.0% and 77.8%, respectively.

Thus, the optimal cutoff points for discriminating patients in groups 1 and 2 were 80% for ER status, 30% for PR status, HER2++ for HER2 status, ≥ 20% for lack of cPDCD1-LG1 in TCs and ≥ 10% for PDCD1-LG1+ IC scores.

Given that both the lack of cPDCD1-LG1 in TCs and the PDCD1-LG1+ IC scores are correlated with BC chemoresistance, we grouped BC cases into the following 4 groups: (1) BC with a lack of cPDCD1-LG1 in ≥ 20% of TCs and PDCD1-LG1+ IC scores ≥ 10%; (2) BC with a lack of cPDCD1-LG1 in ≥ 20% of TCs and PDCD1-LG1+ IC scores < 10%; (3) BC with a lack of cPDCD1-LG1 in < 20% of TCs and PDCD1-LG1+ IC scores ≥ 10%; and (4) BC with a lack of cPDCD1-LG1 in < 20% of TCs and PDCD1-LG1+ IC scores < 10%. These groups were also included in the analysis. However, the lack of cPDCD1-LG1 in TCs and the PDCD1-LG1+ IC score, as individual factors, were excluded from the multivariate analysis because they were included in the four subgroups defined by combining them as noted above. Table 6 presents the results of the univariate and multivariate analyses.

Table 6 Results of the univariate and multivariate analyses.
Breast cancer characteristics
Univariate analysis
Multivariate analysis
OR (95%CI)
P value
OR (95%CI)
P value
N stage0.017a
N0--
N11.62 (0.75-3.48)0.2171.64 (0.63-35.39)0.303
N2-36.18 (1.34-28.47)0.019a5.45 (0.83-35.73)0.077
Tumor grade< 0.0000a
G3--
G1-212.62 (5.40-29.56)< 0.0000a4.54 (1.59-12.95)0.0057a
Estrogen receptor status0.0001a
≤ 80%-
> 80%7.52 (2.71-20.82)< 0.0000a2.57 (0.69-9.62)0.16
Progesterone receptor status0.0000a
< 30%-
≥ 30%6.67 (3.11-14.28)< 0.0000a5.77 (2.09-15.97)0.001a
HER2 status< 0.0000a
HER2 0 and +--
HER2 ++ and +++8.54 (3.61-20.21)< 0.0000a3.51 (1.17-10.47)0.024
PNI0.044a
No-
Yes2.69 (1.03-7.03)0.032a2.41 (0.73-7.89)0.14
Lack of cPDCD1 LG1 in TCs< 0.0000a
≥ 20%--
< 20%12.52 (5.50-28.50)< 0.0000a
PDCD1 LG1 IC score
≥ 10%-
< 10%1.50 (0.59-3.84)0.03977
Combination of PDCD1 LG1+ IC score and lack of cPDCD1 LG1 in TCs0.0001a
Lack of cPDCD1 LG1 in ≥ 20% of the TCs and PDCD1 LG1 IC scores ≥ 10%--
Lack of cPDCD1 LG1 in ≥ 20% of the TCs and PDCD1 LG1 IC scores < 10%3.11 (0.94-10.25)0.06a1.51 (0.30-7.49)0.616
Lack of cPDCD1 LG1 in < 20% of the TCs and PDCD1 LG1 IC scores ≥ 10%2.49 (0.87-0.09)0.09a1.82 (0.45-7.37)0.399
Lack of cPDCD1 LG1 in < 20% of the TCs and PDCD1 LG1 IC scores < 10%12.00 (3.70-38.90)< 0.0000a7.59 (1.63-4.24)0.01a

Thus, according to univariate analysis, the following characteristics are associated with chemoresistant BC: Stage N2-3, G1-2 tumors, ER-positive status, PR-positive status, HER2-negative status, the presence of PNI, the lack of cPDCD1-LG1 in < 20% of the TCs, a PDCD1-LG1+ IC score < 10% and a combination of the lack of cPDCD1-LG1 in < 20% of the TCs and PDCD1-LG1+ IC scores < 10%. However, in the multivariate analysis, only G1-2 tumors, PR-positive status, HER2-negative status, and a combination of a lack of cPDCD1-LG1 in < 20% of the TCs and PDCD1-LG1+ IC scores < 10% were independent predictors of chemoresistant luminal A BC.

The distributions of patients in groups 1 and 2 according to the combination of the lack of cPDCD1-LG1 in TCs and PDCD1-LG1+ IC scores are shown in Table 7.

Table 7 Distribution of patients in groups 1 and 2 depending on the combination of the lack of cytoplasmic programmed cell death protein 1 ligand 1 tumor cells and cytoplasmic programmed cell death protein 1 ligand 1 immune cell scores.
The combination of the lack of cPDCD1 LG1 in TCs and PDCD1 LG1 IC scores
1 group (luminal A BC)
2 group (BC with Ki67 ≥ 40%)
P value (χ2 test)
BC with the lack of cPDCD1 LG1 in < 20% of the TCs and PDCD1 LG1 IC scores < 10%28 (87.5)4 (12.5)< 0.0000
BC with the lack of cPDCD1 LG1 in ≥ 20% of the TCs and PDCD1 LG1 IC scores < 10%14 (58.3)10 (41.7)
BC with the lack of cPDCD1 LG1 in < 20% of the TCs and PDCD1 LG1 IC scores ≥ 10%10 (55.6)8 (44.4)
BC with the lack of cPDCD1 LG1 in ≥ 20% of the TCs and PDCD1 LG1 IC scores ≥ 10%4 (15.4)22 (84.6)

According to the results obtained, the BC immune profile, which was associated with a lack of cPDCD1-LG1 in < 20% of the TCs and PDCD1-LG1+ IC scores < 10%, was observed in 28 (50%) of the 56 patients with chemoresistant luminal A BC and in only 4 (9.1%) of the 44 patients with BC with Ki67 ≥ 40%. In contrast, the BC immune profile, which was associated with a lack of cPDCD1-LG1 in ≥ 20% of the TCs and PDCD1-LG1+ IC scores ≥ 10%, was detected in 22 (50%) of the 44 patients with BC with Ki67 ≥ 40% and in only 4 (7.1%) of the 56 patients with luminal A BC. The remaining immune subtypes were slightly more common in patients with luminal A BC, but the differences between the groups were not statistically significant.

We assessed the levels of RE and RP and the Ki67 index according to the BC immune profile. The data are shown in Table 8. Interestingly, in BC with a lack of cPDCD1-LG1 in ≥ 20% of the TCs and PDCD1-LG1+ IC scores ≥ 10%, the lowest levels of ER and RP and the highest Ki67 index were observed, whereas the other three immune profiles of BC differed only in the level of the Ki67 index and were absolutely identical in the levels of ER and RP. The lowest Ki67 index was noted in BC, with a lack of cPDCD1-LG1 in < 20% of the TCs and PDCD1-LG1+ IC scores < 10%.

Table 8 The levels of estrogen receptors, progesterone receptors and Ki67 proliferation index according to the breast cancer immune profile.
The combination of the lack of cPDCD1 LG1 in TCs and PDCD1 LG1 IC scores
P value (χ2 test)
BC with the lack of cPDCD1 LG1 in < 20% of the TCs and PDCD1 LG1 IC scores < 10% (group 1)
BC with the lack of cPDCD1 LG1 in ≥ 20% of the TCs and PDCD1 LG1 IC scores < 10% (group 2)
BC with the lack of cPDCD1 LG1 in < 20% of the TCs and PDCD1 LG1 IC scores ≥ 10% (group 3)
BC with the lack of cPDCD1 LG1 in ≥ 20% of the TCs and PDCD1 LG1 IC scores ≥ 10% (group 4)
Estrogen receptors (%)89.4 ± 24.9191.9 ± 25.2281.4 ± 30.2342.1 ± 48.940.0071,4; 0.0042,4; 0.0053,4
Progesterone receptors (%)53.4 ± 44.7153.7 ± 44.3255.1 ± 40.1325.4 ± 40.940.0411,4; 0.0112,4; 0.0123,4
Ki67 proliferation index (%)17.2 ± 14.9129.0 ± 17.8231.8 ± 27.3366.2 ± 28.240.0141,2; 0.0031,3; < 0.000011,4; 0.000122,4; 0.0033,4

In addition, TIL scores ≥ 10% were significantly more often observed in BCs with a high index of Ki67 (≥ 40%) than in chemoresistant luminal A BCs (in 10.1% and 57.1% of BC samples, respectively, in luminal A BCs and BCs with a high index of Ki67, Р < 0.0000, Pearson χ2 test).

DISCUSSION

In this study, we investigated the relationships between PD-L1 expression and the clinicopathological characteristics of patients with BC and between PD-L1 expression and tumor sensitivity to chemotherapy. To assess the features of PD-L1 expression, we used a new antibody against PDCD1-LG1. Unlike SP142 and other markers approved for use in clinical practice, which are characterized by membrane expression of the marker in TCs, PDCD1-LG1 expression is detected mainly in the cytoplasm of TCs. However, it cannot be ruled out that membrane staining may not be visible against the background of cytoplasmic staining of TCs.

We found that from a predictive point of view, the lack of cPDCD1-LG1 in TCs has greater significance than the intensity of marker staining. A lack of cPDCD1-LG1 in ≥ 20% of the TCs was characteristic of more aggressive BC subtypes, namely, G3 tumors, ER-negative status and HER2/neu overexpression, whereas the highest level of cPDCD1-LG1 expression was observed in G1 tumors and PR-positive BC.

Importantly, the data concerning the prognostic and predictive significance of PD-L1 expression in TCs are highly contradictory. These contradictions concern both the relationships of markers with BC clinical and pathological characteristics and with the prognosis of the disease. The results of studies on the prognostic and predictive significance of PD-L1 expression in TCs are presented in Table 9[16-29].

Table 9 Results of the studies of the prognostic and predictive significance of programmed cell death-ligand 1 expression in tumor cells.
Ref.
No. of patients BC subtype
Clone of anti-PD-L1 antibody
Staining type; cutoff point; n (%) with expression
Association of PD-L1 expression in TCs with BC characteristics
Mori et al[16], 2017 248, allClone E1 L3N (monoclonal rabbit antibody, Cell Signaling Technology, Beverly, MA, United States)NS; ≥ 1%; three scoring intervals: < 1% - negative (58.5); 1%-49% - weak-positive (26.2); ≥ 50% - strong-positive (15.3)With tumor G3 (Р = 0.0015), a high Ki67 (Р < 0.0001), a high TILs (Р < 0.0001); Correlations with RFS and OS were absent
Oner et al[17], 2023 50, TNBC Clone SP263 (rabbit monoclonal antibody, Ventana Clone kit)Membrane; ≥ 1%; four scoring intervals: ≥ 1% and < 5%; ≥ 5% and < 10%; ≥ 10% and < 20%; ≥ 20%; 25 (50)With G3 (Р < 0.0001) TCs+ score ≥ 20% were associated with a better DFS and DSS
Shang et al[18], 2022 155, HER2+Clone SP142 (rabbit monoclonal antibody, Ventana, Shanghai Roche Diagnostic Products Limited Company, Shanghai, China)Membrane or cytoplasmic; ≥ 1%; continuous scale with 5% step; 62 (40)No correlation
Çetin et al[19], 2024 85, HER2+Clone 73-10 (monoclonal antibody, Leica Biosystems, Newcastle, United Kingdom)Membrane; ≥ 1%; 36 (42.4)No correlation
Hoffmann et al[20], 2022 127, allClone ZR3 (rabbit monoclonal antibody, Cell Marque – Sigma-Aldrich, MO, United States)Membrane or cytoplasmic; ≥ 1%; 40 (31.5)with a high TILLs (Р = 0.02) and pCR (Р = 0.02)
Kitano et al[21], 2022 166, all (II-III stage)antihuman PD-L1 polyclonal antibody (ProScience, Poway, California, United States)Membrane or cytoplasmic; > 0%; All 62 (34); HR+HER2- (20); HR-HER2+ (32); TNBC (49)With tumor G3 (Р < 0.0001), TNBC (Р < 0.0001), a high TILs (Р < 0.0001), p53 (Р = 0.0074) and pCR for TNBC (Р = 0.05). Correlations with RFS and OS were absent
Qin et al[22], 2015 870, allRabbit primary anti-PD-L1 antibody (Cell Signaling Technology, Beverly, MA, United States) Membrane; ≥ 5%; All 189 (21.7); Luminal A (11.5); HR+HER2+ (7.7); HR+HER2 (8.6); TNBC (55.9)With tumor size > 20 mm (Р = 0.002), tumor G3 (Р = 0.013), presence of LVI (Р = 0.015), ER-negative status (Р < 0.001) and PR-negative status (Р < 0.001), TNBC (Р < 0.001) and decreased DFS (Р = 0.012) and OS (Р < 0.001)
Muenst et al[23], 2014 650, allRabbit-anti-human PD-L1 polyclonal antibody (Abcam, Cambridge, United Kingdom)Membrane or cytoplasmic; H-score 0-300 (0–99 - negative/Low expression, and 100–300 - positive expression); All 152 (23.4); Luminal A (12.1); HR+HER2+ (28.8); HR+HER2- (20.4); HR-HER2+ (33.9); TNBC (30.7)With T3-T4 stages (Р < 0.0001), N2 stage (Р < 0.0001), tumor G3 (Р = 0.0007), ER-negative status (Р = 0.002), HER2-positive status (Р = 0.0237), a high Ki67 (Р = 0.043) and decreased OS (Р < 0.0001)
Li et al[24], 2016 501, allClone ab58810 (primary polyclonal anti-PD-L1 antibody, Abcam, Cambridge, United Kingdom)Membrane or cytoplasmic; H-score 0-300 (0–99 - negative/Low expression, and 100–300 - positive expression); All 231 (46.1); Luminal A (37.0); HR+HER2- (45.8); HR+HER2+ (48.5); HR-HER2+ (57.5); TNBC (58.2)With tumor G3 (Р = 0.0008), N2-N3 stages (Р = 0.005), ER-negative status (Р = 0.006) and PR-negative status (Р < 0.001), and decreased DFS (Р < 0.001) and OS (Р = 0.002)
Wang et al[25], 2017 443, allClone SP142 (Pleasanton, CA, United States)NS; H-score 0-300; All 73 (16.5); Luminal A (12); Luminal B (21); HR-HER2+ (9); TNBC (31)With tumor G3 (Р = 0.001), ER-negative status (Р = 0.005) and PR-negative status (Р = 0.002), a high TILs (Р < 0.05). Correlations with RFS and OS were absent (Р > 0.05)
Parvathareddy et al[26], 2021 1003, TNBCClone E1 L3N (Cell Signaling Technology, Danvers, MA, United States)Membrane and cytoplasmic but only membrane was assessed; ≥ 5%; 329 (32.8)With younger age (Р = 0.0432), tumor G3 (Р = 0.0025), ER-negative status (Р < 0.0001), PR-negative status (Р = 0.0001), TNBC (Р = 0.0062) and a high Ki67 (Р < 0.0001). Correlations with RFS and OS were absent (Р > 0.05)
Guo et al[27], 2020 341, allClone 22C3 (Dako North America Inc., Carpinteria, CA, United States)Membrane; ≥ 1%; All 24 (10); HR+ (9); HER2+ (16); TNBC (10)with tumor G3 (Р < 0.0001), PR-negative status (Р = 0.0125), a high TILs (Р < 0.0001)
Chu et al[28], 2022 132, TNBCClone SP142 (Ventana Medical Systems)Membrane; ≥ 1%; All 36 (27.3); ≥ 10% (2.3)Correlations with RFS and OS were absent
Ni et al[29], 2022 1752, allClone SP142 (rabbit monoclonal primary antibody, Ventana Medical Systems Inc.)Membrane; ≥ 1%; 173 (10.1)With ER-negative status, PR-negative status, HER-positive status, TNBC, a high Ki67, a high TILs and PD-L1-positive ICs; Correlations with DSS, RFS and OS were absent

The inconsistency of the results of PD-L1 expression assessment in TCs is likely associated with the use of different antibody clones and different cutoffs and with the assessment of marker expression in different cellular structures (membrane and cytoplasmic). Notably, some researchers also noted the association of PD-L1 expression in TCs with BC luminal subtypes, G1 tumors, and positive ER and PR statuses; however, unfortunately, the authors did not note which antibody they used and in which cellular structures they observed marker expression[30]. Furthermore, in the study by Sigurjonsdottir et al[31], in patients with TNBC, in the absence of CD274 gene expression, tumors were enriched in cell growth, differentiation, and metastatic potential pathways and were grouped into luminal androgen receptor-high tumors and tumors with mesenchymal characteristics.

With respect to marker expression in the ICs, our results are in good agreement with the results of most studies, which are presented in Table 10[16-20,27-29,31-35].

Table 10 Results of the studies of the prognostic and predictive significance of programmed cell death ligand 1 expression in immune cells.
Ref.
No. of patients BC subtype
Clone of anti-PD-L1 antibody
Staining type, cutoff point, n (%)
Association of PD-L1 expression in ICs with BC characteristics
Oner et al[17], 2021 50, TNBCClone SP263 (rabbit monoclonal antibody, Ventana)NS; ≥ 1%; four scoring intervals: ≥ 1%; ≥ 5%; ≥ 10% and ≥ 20%; 23 (46)ICs+ score ≥ 1% was associated with tumor G3 (Р = 0.0001) and pCR (Р = 0.064). ICs+ score ≥ 20% was associated with better DFS (Р = 0.041) and OS (Р = 0.049)
Shang et al[18], 2022 155, HER2+Clone SP142 (rabbit monoclonal antibody, Ventana, Shanghai Roche Diagnostic Products Limited Company, Shanghai, China)Membrane or cytoplasmic; ≥ 1%; continuous scale with 5% step; 108 (69.7)With ER-negative status (Р < 0.05), PR-negative status (Р < 0.05), and pCR
Çetin et al[19], 2024 85, HER2+Clone 73–10 (monoclonal antibody, Leica Biosystems, Newcastle, United Kingdom)Membrane or cytoplasmic; ≥ 1%; 32 (37.6)With tumor G3 (Р = 0.002), a high Ki67, a high TILs and pCR
Stanowska et al[32], 2022 93, TNBC, G3Clone SP142 (rabbit monoclonal antibody, Roche Diagnostics, Basel, Switzerland) NS; ≥ 1%; 53 (57)With a high TILs (Р < 0.001) and pCR (Р < 0.01)
Hoffmann et al[20], 2022 127, allClone ZR3
(rabbit monoclonal antibody, Cell Marque – Sigma-Aldrich, MO, United States)
Membrane or cytoplasmic; ≥ 1%; All 70 (55.1); HR+HER2- (46.2); HR+HER2+ (61.5); HR-HER2+ (50.0); TNBC (87.5)With a high TILs (Р = 0.01)
Bae et al[33], 2016 465, allClone E1 L3 (rabbit monoclonal antibody, Cell Signaling Technology, Beverly, United States)Membrane or cytoplasmic; H-score 0-300 (0–99 - negative/Low expression, and 100–300 - positive expression); All 63 (13.5); Luminal A (2.5); HR+HER2- (17.1); HR+HER2+ (18.9); HR-HER2+ (28.9); TNBC (29.6)With tumor G3 (Р < 0.001), N0 stage (Р = 0.011), early stages (Р = 0.025), ER-negative status (Р < 0.001) and PR-negative status (Р = 0.002), HER2-positive status (Р = 0.003), a high Ki67, a high TILs (Р < 0.001), with better DFS and OS in patients with HR+HER2+, HR-HER2+ and TNBC (Р < 0.05)
Mori et al[16], 2017 248, allClone E1 L3N (monoclonal rabbit antibody, Cell Signaling Technology, Beverly, MA, United States)NS; ≥ 5%; 129 (52.0)Correlations with RFS and OS were absent
Hoda et al[34], 2020 156, TNBCClone SP142 (Ventana Medical Systems, United States)NS; ≥ 1%; 74 (47.4)With a high TILs (Р < 0.001); PD-L1 expression in ICs was more frequently detected in primary tumors than in metastatic tumors
Sigurjonsdottir et al[31], 2024 237, early-stage TNBCClone SP142 (Ventana Medical Systems, Inc., AZ, United States)NS; ≥ 1%; 120 (50.6) With better DFS (Р = 0.017), OS (Р = 0.032) and distant relapse-free interval (Р = 0.027) but only in patients who received neo-A-ChT
Cha et al[35], 2021 316, allClone SP142 (Ventana Medical System) Membrane and cytoplasmic; ≥ 1%; All 43 (14.3); HR+HER2- (1.4); HR+HER2+ (11.9); HR-HER2+ (11.9); TNBC (20.7)With tumor G3 (Р < 0.001), early stages (Р = 0.042), ER-negative status (Р < 0.001) and PR-negative status (Р < 0.001), a high Ki67 (Р < 0.001) and TNBC (Р < 0.001). Correlations of markers with RFS and OS were absent (Р > 0.05)
Cha et al[35], 2021 316, allClone SP263 (Ventana Medical System)Membrane and cytoplasmic; ≥ 1%; All 115 (38.5); HR+HER2- (9.9); HR+HER2+ (37.3); HR-HER2+ (37.3); TNBC (54.8)With tumor G3 (Р < 0.001), ER-negative status (Р = 0.008) and PR-negative status (Р = 0.003), a high Ki67 (Р = 0.002) and TNBC (Р < 0.001). Correlations of markers with RFS and OS were absent (Р > 0.05)
Guo et al[27], 2020 341, allClone 22C3 (Dako North America Inc., Carpinteria, CA, United States)Membrane and cytoplasmic; ≥ 1%; All 58 (17.1); HR+ (13); HER2+ (29); TNBC (31)With tumor G3 (Р < 0.0001), ER-negative status (Р = 0.0011), PR-negative status (Р < 0.0001), TNBC (P = 0.0069), a high TILs (Р < 0.0001) and decreased OS in patients with HAChT (Р = 0.021)
Chu et al[28], 2022 132, TNBCClone SP142 (Ventana Medical Systems)Membrane and cytoplasmic; ≥ 1%; All 46 (34.8); ≥ 10% (20.5)ICs+ score ≥ 10% with pT1 (Р = 0.03), fewer lymph node metastases (Р = 0.002), the absence of LVI (Р = 0.024) and better DFS (Р = 0.038)
Ni et al[29], 2022 1752, allClone SP142 (rabbit monoclonal primary antibody, Ventana Medical Systems Inc.)Membrane and cytoplasmic; ≥ 1%; 600 (34.2)With ER-negative status, PR-negative status, HER-positive status, TNBC, a high Ki67, a high TILs and PD-L1-positive TCs. Correlations with DSS, RFS and OS were absent

Thus, according to the results obtained by other researchers, PD-L1 expression in ICs is associated with G3 tumors, negative ER and PR status, HER2-positive status and a high Ki67 index[36-38]. We recently evaluated the concordance of methods for assessing PD-L1 expression in ICs using PDCD1-LG1 and SP142 antibodies and revealed that regardless of the method used to assess marker expression, PD-L1 expression was significantly more often detected in patients with negative estrogen receptor status, positive human epidermal growth factor receptor-2 (HER2+) status, luminal B HER+ BC, nonluminal HER+ BC and triple-negative BC. The positive and negative percentage agreements for these markers were 38.3% and 70.4%, respectively, and Cohen’s kappa index was 0.385 (CI: 0.304-0.466), indicating moderate concordance between the tests[15].

Importantly, in our study, PDCD1-LG1 expression was observed mainly in the cytoplasm of TCs and ICs. Our results are somewhat consistent with the results of other researchers who reported that PD-L1 is present not only on membranes but also in the cytoplasm, exosomes and nuclei of TCs and ICs and that the functions of PD-L1 are much broader than the functions of tumor evasion from the immune response[39,40]. Cytoplasmic PD-L1 not only participates in tumor evasion from immune surveillance but also increases the survival of TCs by inhibiting apoptosis and suppressing tumor autophagy[40-43]. There is undoubted interest in studies indicating the role of cytoplasmic and nuclear PD-L1 in deoxyribonucleic acid (DNA) repair when damaged by various agents, which may contribute to the development of tumor resistance to chemotherapy and radiotherapy[39,40,42,44-48]. By competing with exosomal ribonucleic acid (RNA), intracellular PD-L1 protects target RNAs from degradation, thereby increasing the resistance of TCs to DNA damage. In vitro studies in head and neck cancer cells demonstrated the ability of PD-L1 to interact with the NBS1 DNA repair complex and other proteins involved in DNA remodeling and messenger RNA splicing[49,50]. For example, in a study by Shen et al[49], when cisplatin interacted with TCs, an increase in PD-L1 expression was observed in chemoresistant cells but not in chemosensitive cells. However, when PD-L1 expression is reduced in chemoresistant cancer cells, they become chemosensitive.

Experimental data also indicate the participation of intracellular PD-L1 in the transmission of internal signals that promote the proliferation, invasion and metastasis of TCs[51-53]. In addition, relationships have been established between PD-L1 expression and tumor mutational burden and microsatellite instability, the severity of which affects the effectiveness of therapy with immune checkpoint inhibitors[54-56]. Given that modern immune checkpoint blockers are primarily targeted at membrane PD-L1, cytoplasmic and nuclear PD-L1 may be new potential targets for increasing the effectiveness of radiation and chemotherapy for treating malignant neoplasms and improving long-term treatment outcomes in cancer patients[39,46].

Currently, neoadjuvant chemotherapy (neo-A-ChT) is the standard of treatment for patients with locally advanced BC and patients with unfavorable prognostic factors for the disease[57]. The primary goal of neo-A-ChT is to achieve a pathologic complete response (pCR). Many studies indicate that achieving pCR significantly improves the long-term results of BC treatment[58,59]. The main obstacle to achieving pCR is BC resistance to chemotherapy.

To assess the factors associated with chemoresistant BC, we identified two groups of patients: Those with chemoresistant luminal A BC and those with BC with an index of Ki67 ≥ 40%. This division into groups is based on the results of numerous studies, according to which hormone receptor-positive/HER2- BC subtypes, especially those with low Ki67 indices, are associated with resistance to several types of chemotherapy, whereas tumors with high Ki67 index values respond better to treatment[36,38,59,60].

In our study, independent predictors of chemoresistant BC were a G1 tumor, positive PR status and a combination of a lack of cPDCD1-LG1 in < 20% of the TCs and a PDCD1-LG1+ IC score < 10%. The combined assessment of the lack of сPDCD1-LG1 expression in TCs and the PDCD1-LG1 score in ICs was one of the most significant predictors associated with tumor chemotherapy sensitivity in BC patients. Some studies have also demonstrated that the assessment of the combination of PD-L1 expression in TCs with the TIL score has better prognostic value than the assessment of markers separately[16,29,61].

Despite the successes achieved, the search for new predictive markers of the tumor response to drug therapy continues to attract the attention of researchers. Wolf et al[36] revised the existing classification of BC and demonstrated that the immune phenotype, DNA repair features and HER2 status better predict the response to chemotherapy than do molecular biological BC subtypes. The authors classified BC subtypes into immune-high and immune-low signaling subtypes and reported that the response to neo-A-ChT depends less on the molecular biological subtype of BC than on the immune phenotype and DNA repair features.

In our study, a lack of cPDCD1-LG1 in ≥ 20% of the TCs was significantly less frequently observed in patients with luminal A BC than in patients with BC with a high Ki67 index, whereas a PDCD1-LG1+ IC score ≥ 20% and a TIL score ≥ 10% were significantly more frequently observed in patients with BC with a high Ki67 index. The best response to neo-A-CT or chemoimmunotherapy in tumors with high stromal infiltration of ICs, including PD-L1-positive ICs, has also been noted by other researchers[4,5,62]. Considering that the cytoplasmic and nuclear expression of PD-L1 is directly associated with DNA repair when damaged by various agents[46], we assume that a lack of PD-L1 expression can lead to a decrease in reparative processes in TCs, which ensures a better effect of drug therapy. According to the results of some studies, the reparative capacity of "surviving" TCs is directly related to the activation of PD-L1 expression[63,64]. Moreover, PDCD1-LG1+ ICs, which cooperate with antigen-presenting cells in the elimination of dead TCs, can contribute to the formation of a stable immune response, without which it is impossible to achieve stable remission in patients with pCR after neo-A-ChT.

CONCLUSION

Thus, studying the features of PD-L1 expression via a new monoclonal antibody against PDCD1-LG1 made it possible to establish a relationship between marker expression in TCs and ICs and the clinical and pathological characteristics of BC and tumor sensitivity to chemotherapy. A fundamentally new result of this work is that, from the point of view of the prognosis and sensitivity of BC to chemotherapy; (1) Not only the presence but also the lack of cPDCD1-LG1 in TCs is important; and (2) Different combinations of a lack of cPDCD1-LG1 in TCs and the PDCD1-LG1+ IC score are associated with different subtypes of BC and different sensitivities of BC to chemotherapy. Our study has significant limitations related to the small number of patients included in the study and the predominance of patients with early BC, which limits the statistical power of the study, especially when subgroups with locally advanced BC are analyzed. A serious limitation of this study is its single-center nature. To confirm the reproducibility of the obtained results, external verification is needed in multicenter studies on larger cohorts of patients with both early and locally advanced stages of BC. In addition, our conclusions are not based on actual data on the tumor response to drug therapy but rather on the assumption that a tumor of a certain subtype is chemoresistant or sensitive to drug therapy. Therefore, prospective multicenter studies in a cohort of patients receiving neo-A-CT are needed to confirm the associations of immune profiles with BC chemoresistance. The study of the correlations between PDCD1-LG1 expression and remote treatment results and the risk of disease recurrence is of particular interest. The relevance of such studies is due to the contradictory results of studies on the role of PD-L1 in BC progression and the fact that nuclear, cytoplasmic and membrane expression of the marker can be associated with different cellular functions, and their role may differ in early, locally advanced and disseminated BC. In addition, the relationships between PDCD1-LG1 expression and PD-1 expression in ICs, the genomic and transcriptomic landscape of BC, and the predictive significance of this marker in different drug therapy regimens are of interest. We believe that the results of such studies will contribute to a better understanding of the mechanisms of progression and are important for more accurate selection of patients for drug therapy and the development of new approaches to BC drug therapy.

References
1.  Benitez Fuentes JD, Morgan E, de Luna Aguilar A, Mafra A, Shah R, Giusti F, Vignat J, Znaor A, Musetti C, Yip CH, Van Eycken L, Jedy-Agba E, Piñeros M, Soerjomataram I. Global Stage Distribution of Breast Cancer at Diagnosis: A Systematic Review and Meta-Analysis. JAMA Oncol. 2024;10:71-78.  [RCA]  [PubMed]  [DOI]  [Full Text]  [Full Text (PDF)]  [Cited by in Crossref: 162]  [Cited by in RCA: 132]  [Article Influence: 66.0]  [Reference Citation Analysis (0)]
2.  Lim B. PD-L1 in Breast Cancer: The Road to the Perfect BiomarkerIs Fraught With Uncertainty. J Natl Cancer Inst. 2021;113:951-952.  [RCA]  [PubMed]  [DOI]  [Full Text]  [Full Text (PDF)]  [Cited by in Crossref: 5]  [Cited by in RCA: 5]  [Article Influence: 1.0]  [Reference Citation Analysis (0)]
3.  Hou Y, Nitta H, Wei L, Banks PM, Lustberg M, Wesolowski R, Ramaswamy B, Parwani AV, Li Z. PD-L1 expression and CD8-positive T cells are associated with favorable survival in HER2-positive invasive breast cancer. Breast J. 2018;24:911-919.  [RCA]  [PubMed]  [DOI]  [Full Text]  [Full Text (PDF)]  [Cited by in Crossref: 64]  [Cited by in RCA: 60]  [Article Influence: 7.5]  [Reference Citation Analysis (0)]
4.  Han M, Li J, Wu S, Wu C, Yu Y, Liu Y. Comparison of the tumor immune microenvironment phenotypes in different breast cancers after neoadjuvant therapy. Cancer Med. 2023;12:2906-2917.  [RCA]  [PubMed]  [DOI]  [Full Text]  [Full Text (PDF)]  [Cited by in Crossref: 8]  [Cited by in RCA: 7]  [Article Influence: 2.3]  [Reference Citation Analysis (0)]
5.  Du Q, Che J, Jiang X, Li L, Luo X, Li Q. PD-L1 Acts as a Promising Immune Marker to Predict the Response to Neoadjuvant Chemotherapy in Breast Cancer Patients. Clin Breast Cancer. 2020;20:e99-e111.  [RCA]  [PubMed]  [DOI]  [Full Text]  [Cited by in Crossref: 14]  [Cited by in RCA: 11]  [Article Influence: 1.8]  [Reference Citation Analysis (0)]
6.  Rugo HS, Loi S, Adams S, Schmid P, Schneeweiss A, Barrios CH, Iwata H, Diéras V, Winer EP, Kockx MM, Peeters D, Chui SY, Lin JC, Nguyen-Duc A, Viale G, Molinero L, Emens LA. PD-L1 Immunohistochemistry Assay Comparison in Atezolizumab Plus nab-Paclitaxel-Treated Advanced Triple-Negative Breast Cancer. J Natl Cancer Inst. 2021;113:1733-1743.  [RCA]  [PubMed]  [DOI]  [Full Text]  [Full Text (PDF)]  [Cited by in Crossref: 124]  [Cited by in RCA: 117]  [Article Influence: 23.4]  [Reference Citation Analysis (0)]
7.  Tsimafeyeu I, Imyanitov E, Zavalishina L, Raskin G, Povilaitite P, Savelov N, Kharitonova E, Rumyantsev A, Pugach I, Andreeva Y, Petrov A, Frank G, Tjulandin S. Agreement between PDL1 immunohistochemistry assays and polymerase chain reaction in non-small cell lung cancer: CLOVER comparison study. Sci Rep. 2020;10:3928.  [RCA]  [PubMed]  [DOI]  [Full Text]  [Full Text (PDF)]  [Cited by in Crossref: 32]  [Cited by in RCA: 33]  [Article Influence: 5.5]  [Reference Citation Analysis (0)]
8.  Li S, Chen L, Jiang J. Role of programmed cell death ligand-1 expression on prognostic and overall survival of breast cancer: A systematic review and meta-analysis. Medicine (Baltimore). 2019;98:e15201.  [RCA]  [PubMed]  [DOI]  [Full Text]  [Cited by in Crossref: 32]  [Cited by in RCA: 28]  [Article Influence: 4.0]  [Reference Citation Analysis (0)]
9.  Zubareva E, Senchukova M, Karmakova T. Predictive significance of HIF-1α, Snail, and PD-L1 expression in breast cancer. Clin Exp Med. 2023;23:2369-2383.  [RCA]  [PubMed]  [DOI]  [Full Text]  [Cited by in Crossref: 5]  [Cited by in RCA: 5]  [Article Influence: 1.7]  [Reference Citation Analysis (0)]
10.  Zubareva EY, Senchukova MA, Saidler NV. Cytoplasmic and nuclear programmed death ligand 1 expression in peritumoral stromal cells in breast cancer: Prognostic and predictive value. World J Exp Med. 2025;15:102761.  [PubMed]  [DOI]  [Full Text]
11.  Omura Y, Toiyama Y, Okugawa Y, Yin C, Shigemori T, Kusunoki K, Kusunoki Y, Ide S, Shimura T, Fujikawa H, Yasuda H, Hiro J, Ohi M, Kusunoki M. Prognostic impacts of tumoral expression and serum levels of PD-L1 and CTLA-4 in colorectal cancer patients. Cancer Immunol Immunother. 2020;69:2533-2546.  [RCA]  [PubMed]  [DOI]  [Full Text]  [Full Text (PDF)]  [Cited by in Crossref: 43]  [Cited by in RCA: 41]  [Article Influence: 6.8]  [Reference Citation Analysis (0)]
12.  Salgado R, Denkert C, Demaria S, Sirtaine N, Klauschen F, Pruneri G, Wienert S, Van den Eynden G, Baehner FL, Penault-Llorca F, Perez EA, Thompson EA, Symmans WF, Richardson AL, Brock J, Criscitiello C, Bailey H, Ignatiadis M, Floris G, Sparano J, Kos Z, Nielsen T, Rimm DL, Allison KH, Reis-Filho JS, Loibl S, Sotiriou C, Viale G, Badve S, Adams S, Willard-Gallo K, Loi S; International TILs Working Group 2014. The evaluation of tumor-infiltrating lymphocytes (TILs) in breast cancer: recommendations by an International TILs Working Group 2014. Ann Oncol. 2015;26:259-271.  [RCA]  [PubMed]  [DOI]  [Full Text]  [Cited by in Crossref: 2574]  [Cited by in RCA: 2384]  [Article Influence: 216.7]  [Reference Citation Analysis (0)]
13.  Wu N, Fu F, Chen L, Lin Y, Yang P, Wang C. Single hormone receptor-positive breast cancer patients experienced poor survival outcomes: a systematic review and meta-analysis. Clin Transl Oncol. 2020;22:474-485.  [RCA]  [PubMed]  [DOI]  [Full Text]  [Cited by in Crossref: 13]  [Cited by in RCA: 13]  [Article Influence: 2.2]  [Reference Citation Analysis (0)]
14.  Fei F, Siegal GP, Wei S. Characterizing Clinicopathologic Features of Estrogen Receptor-Positive/Progesterone Receptor-Negative Breast Cancers. Clin Breast Cancer. 2022;22:e788-e797.  [RCA]  [PubMed]  [DOI]  [Full Text]  [Cited by in RCA: 16]  [Reference Citation Analysis (0)]
15.  Senchukova MA, Saidler NV, Zubareva EY, Prokofiev AB, Tagabilev DG. Concordance of programmed death-ligand 1 expression assessments determined via two immunohistochemical tests and the polymerase chain reaction method. World J Exp Med. 2025;15:108984.  [PubMed]  [DOI]  [Full Text]
16.  Mori H, Kubo M, Yamaguchi R, Nishimura R, Osako T, Arima N, Okumura Y, Okido M, Yamada M, Kai M, Kishimoto J, Oda Y, Nakamura M. The combination of PD-L1 expression and decreased tumor-infiltrating lymphocytes is associated with a poor prognosis in triple-negative breast cancer. Oncotarget. 2017;8:15584-15592.  [RCA]  [PubMed]  [DOI]  [Full Text]  [Full Text (PDF)]  [Cited by in Crossref: 102]  [Cited by in RCA: 100]  [Article Influence: 11.1]  [Reference Citation Analysis (0)]
17.  Oner G, Önder S, Karatay H, Ak N, Tükenmez M, Müslümanoğlu M, İğci A, Dincçağ A, Özmen V, Aydiner A, Yavuz E, Cabioğlu N. Clinical impact of PD-L1 expression in triple-negative breast cancer patients with residual tumor burden after neoadjuvant chemotherapy. World J Surg Oncol. 2021;19:264.  [RCA]  [PubMed]  [DOI]  [Full Text]  [Full Text (PDF)]  [Cited by in Crossref: 27]  [Cited by in RCA: 26]  [Article Influence: 5.2]  [Reference Citation Analysis (0)]
18.  Shang M, Chi Y, Zhang J, Chang J, Yang H, Yin S, Tan Q, Man X, Li H. The Therapeutic Effectiveness of Neoadjuvant Trastuzumab Plus Chemotherapy for HER2-Positive Breast Cancer Can Be Predicted by Tumor-Infiltrating Lymphocytes and PD-L1 Expression. Front Oncol. 2021;11:706606.  [RCA]  [PubMed]  [DOI]  [Full Text]  [Full Text (PDF)]  [Cited by in Crossref: 13]  [Cited by in RCA: 11]  [Article Influence: 2.8]  [Reference Citation Analysis (0)]
19.  Çetin K, Kökten Ş, Sarıkamış B, Yıldırım S, Gökçe ON, Barışık NÖ, Kılıç Ü. The association of PD-L1 expression and CD8-positive T cell infiltration rate with the pathological complete response after neoadjuvant treatment in HER2-positive breast cancer. Breast Cancer Res Treat. 2024;205:17-27.  [RCA]  [PubMed]  [DOI]  [Full Text]  [Full Text (PDF)]  [Cited by in Crossref: 6]  [Cited by in RCA: 6]  [Article Influence: 3.0]  [Reference Citation Analysis (0)]
20.  Hoffmann LG, Sarian LO, Vassallo J, de Paiva Silva GR, Ramalho SOB, Ferracini AC, da Silva Araujo K, Jales RM, Figueira DE, Derchain S. Evaluation of PD-L1 and tumor infiltrating lymphocytes in paired pretreatment biopsies and post neoadjuvant chemotherapy surgical specimens of breast carcinoma. Sci Rep. 2021;11:22478.  [RCA]  [PubMed]  [DOI]  [Full Text]  [Full Text (PDF)]  [Cited by in Crossref: 12]  [Cited by in RCA: 11]  [Article Influence: 2.2]  [Reference Citation Analysis (0)]
21.  Kitano A, Ono M, Yoshida M, Noguchi E, Shimomura A, Shimoi T, Kodaira M, Yunokawa M, Yonemori K, Shimizu C, Kinoshita T, Fujiwara Y, Tsuda H, Tamura K. Tumour-infiltrating lymphocytes are correlated with higher expression levels of PD-1 and PD-L1 in early breast cancer. ESMO Open. 2017;2:e000150.  [RCA]  [PubMed]  [DOI]  [Full Text]  [Full Text (PDF)]  [Cited by in Crossref: 123]  [Cited by in RCA: 115]  [Article Influence: 12.8]  [Reference Citation Analysis (0)]
22.  Qin T, Zeng YD, Qin G, Xu F, Lu JB, Fang WF, Xue C, Zhan JH, Zhang XK, Zheng QF, Peng RJ, Yuan ZY, Zhang L, Wang SS. High PD-L1 expression was associated with poor prognosis in 870 Chinese patients with breast cancer. Oncotarget. 2015;6:33972-33981.  [RCA]  [PubMed]  [DOI]  [Full Text]  [Full Text (PDF)]  [Cited by in Crossref: 152]  [Cited by in RCA: 154]  [Article Influence: 14.0]  [Reference Citation Analysis (0)]
23.  Muenst S, Schaerli AR, Gao F, Däster S, Trella E, Droeser RA, Muraro MG, Zajac P, Zanetti R, Gillanders WE, Weber WP, Soysal SD. Expression of programmed death ligand 1 (PD-L1) is associated with poor prognosis in human breast cancer. Breast Cancer Res Treat. 2014;146:15-24.  [RCA]  [PubMed]  [DOI]  [Full Text]  [Full Text (PDF)]  [Cited by in Crossref: 444]  [Cited by in RCA: 449]  [Article Influence: 37.4]  [Reference Citation Analysis (0)]
24.  Li Z, Dong P, Ren M, Song Y, Qian X, Yang Y, Li S, Zhang X, Liu F. PD-L1 Expression Is Associated with Tumor FOXP3(+) Regulatory T-Cell Infiltration of Breast Cancer and Poor Prognosis of Patient. J Cancer. 2016;7:784-793.  [RCA]  [PubMed]  [DOI]  [Full Text]  [Full Text (PDF)]  [Cited by in Crossref: 128]  [Cited by in RCA: 136]  [Article Influence: 13.6]  [Reference Citation Analysis (0)]
25.  Wang ZQ, Milne K, Derocher H, Webb JR, Nelson BH, Watson PH. PD-L1 and intratumoral immune response in breast cancer. Oncotarget. 2017;8:51641-51651.  [RCA]  [PubMed]  [DOI]  [Full Text]  [Full Text (PDF)]  [Cited by in Crossref: 35]  [Cited by in RCA: 37]  [Article Influence: 4.1]  [Reference Citation Analysis (0)]
26.  Parvathareddy SK, Siraj AK, Ahmed SO, Ghazwani LO, Aldughaither SM, Al-Dayel F, Tulbah A, Ajarim D, Al-Kuraya KS. PD-L1 Protein Expression in Middle Eastern Breast Cancer Predicts Favorable Outcome in Triple-Negative Breast Cancer. Cells. 2021;10:229.  [RCA]  [PubMed]  [DOI]  [Full Text]  [Full Text (PDF)]  [Cited by in Crossref: 12]  [Cited by in RCA: 11]  [Article Influence: 2.2]  [Reference Citation Analysis (0)]
27.  Guo H, Ding Q, Gong Y, Gilcrease MZ, Zhao M, Zhao J, Sui D, Wu Y, Chen H, Liu H, Zhang J, Resetkova E, Moulder SL, Wang WL, Huo L. Comparison of three scoring methods using the FDA-approved 22C3 immunohistochemistry assay to evaluate PD-L1 expression in breast cancer and their association with clinicopathologic factors. Breast Cancer Res. 2020;22:69.  [RCA]  [PubMed]  [DOI]  [Full Text]  [Full Text (PDF)]  [Cited by in Crossref: 57]  [Cited by in RCA: 50]  [Article Influence: 8.3]  [Reference Citation Analysis (0)]
28.  Chu J, Yeo MK, Lee SH, Lee MY, Chae SW, Kim HS, DO SI. Clinicopathological and Prognostic Significance of Programmed Death Ligand-1 SP142 Expression in 132 Patients With Triple-negative Breast Cancer. In Vivo. 2022;36:2890-2898.  [RCA]  [PubMed]  [DOI]  [Full Text]  [Full Text (PDF)]  [Cited by in Crossref: 7]  [Cited by in RCA: 7]  [Article Influence: 1.8]  [Reference Citation Analysis (0)]
29.  Ni Y, Tsang JY, Shao Y, Poon IK, Tam F, Shea KH, Tse GM. Combining Analysis of Tumor-infiltrating Lymphocytes (TIL) and PD-L1 Refined the Prognostication of Breast Cancer Subtypes. Oncologist. 2022;27:e313-e327.  [RCA]  [PubMed]  [DOI]  [Full Text]  [Full Text (PDF)]  [Cited by in Crossref: 29]  [Cited by in RCA: 27]  [Article Influence: 6.8]  [Reference Citation Analysis (0)]
30.  Tsang JY, Au WL, Lo KY, Ni YB, Hlaing T, Hu J, Chan SK, Chan KF, Cheung SY, Tse GM. PD-L1 expression and tumor infiltrating PD-1+ lymphocytes associated with outcome in HER2+ breast cancer patients. Breast Cancer Res Treat. 2017;162:19-30.  [RCA]  [PubMed]  [DOI]  [Full Text]  [Cited by in Crossref: 68]  [Cited by in RCA: 79]  [Article Influence: 8.8]  [Reference Citation Analysis (0)]
31.  Sigurjonsdottir G, De Marchi T, Ehinger A, Hartman J, Ullén S, Leandersson K, Bosch A, Staaf J, Killander F, Niméus E. Evaluation of alternative prognostic thresholds for SP142 and 22C3 immunohistochemical PD-L1 expression in triple-negative breast cancer: results from a population-based cohort. Breast Cancer Res Treat. 2025;210:271-284.  [RCA]  [PubMed]  [DOI]  [Full Text]  [Full Text (PDF)]  [Cited by in Crossref: 2]  [Cited by in RCA: 2]  [Article Influence: 2.0]  [Reference Citation Analysis (0)]
32.  Stanowska O, Kuczkiewicz-Siemion O, Dębowska M, Olszewski WP, Jagiełło-Gruszfeld A, Tysarowski A, Prochorec-Sobieszek M. PD-L1-Positive High-Grade Triple-Negative Breast Cancer Patients Respond Better to Standard Neoadjuvant Treatment-A Retrospective Study of PD-L1 Expression in Relation to Different Clinicopathological Parameters. J Clin Med. 2022;11:5524.  [RCA]  [PubMed]  [DOI]  [Full Text]  [Full Text (PDF)]  [Cited by in Crossref: 18]  [Cited by in RCA: 16]  [Article Influence: 4.0]  [Reference Citation Analysis (0)]
33.  Bae SB, Cho HD, Oh MH, Lee JH, Jang SH, Hong SA, Cho J, Kim SY, Han SW, Lee JE, Kim HJ, Lee HJ. Expression of Programmed Death Receptor Ligand 1 with High Tumor-Infiltrating Lymphocytes Is Associated with Better Prognosis in Breast Cancer. J Breast Cancer. 2016;19:242-251.  [RCA]  [PubMed]  [DOI]  [Full Text]  [Full Text (PDF)]  [Cited by in Crossref: 65]  [Cited by in RCA: 64]  [Article Influence: 6.4]  [Reference Citation Analysis (0)]
34.  Hoda RS, Brogi E, Dos Anjos CH, Grabenstetter A, Ventura K, Patil S, Selenica P, Weigelt B, Reis-Filho JS, Traina T, Robson M, Norton L, Wen HY. Clinical and pathologic features associated with PD-L1 (SP142) expression in stromal tumor-infiltrating immune cells of triple-negative breast carcinoma. Mod Pathol. 2020;33:2221-2232.  [RCA]  [PubMed]  [DOI]  [Full Text]  [Full Text (PDF)]  [Cited by in Crossref: 31]  [Cited by in RCA: 31]  [Article Influence: 5.2]  [Reference Citation Analysis (0)]
35.  Cha YJ, Kim D, Bae SJ, Ahn SG, Jeong J, Lee HS, Jeon S, Yoo TK, Park WC, Yoon CI. PD-L1 expression evaluated by 22C3 antibody is a better prognostic marker than SP142/SP263 antibodies in breast cancer patients after resection. Sci Rep. 2021;11:19555.  [RCA]  [PubMed]  [DOI]  [Full Text]  [Full Text (PDF)]  [Cited by in Crossref: 13]  [Cited by in RCA: 12]  [Article Influence: 2.4]  [Reference Citation Analysis (0)]
36.  Wolf DM, Yau C, Wulfkuhle J, Brown-Swigart L, Gallagher RI, Lee PRE, Zhu Z, Magbanua MJ, Sayaman R, O'Grady N, Basu A, Delson A, Coppé JP, Lu R, Braun J; I-SPY2 Investigators, Asare SM, Sit L, Matthews JB, Perlmutter J, Hylton N, Liu MC, Pohlmann P, Symmans WF, Rugo HS, Isaacs C, DeMichele AM, Yee D, Berry DA, Pusztai L, Petricoin EF, Hirst GL, Esserman LJ, van 't Veer LJ. Redefining breast cancer subtypes to guide treatment prioritization and maximize response: Predictive biomarkers across 10 cancer therapies. Cancer Cell. 2022;40:609-623.e6.  [RCA]  [PubMed]  [DOI]  [Full Text]  [Full Text (PDF)]  [Cited by in Crossref: 274]  [Cited by in RCA: 238]  [Article Influence: 59.5]  [Reference Citation Analysis (0)]
37.  Schettini F, Prat A. Dissecting the biological heterogeneity of HER2-positive breast cancer. Breast. 2021;59:339-350.  [RCA]  [PubMed]  [DOI]  [Full Text]  [Full Text (PDF)]  [Cited by in Crossref: 116]  [Cited by in RCA: 101]  [Article Influence: 20.2]  [Reference Citation Analysis (0)]
38.  van den Ende NS, Nguyen AH, Jager A, Kok M, Debets R, van Deurzen CHM. Triple-Negative Breast Cancer and Predictive Markers of Response to Neoadjuvant Chemotherapy: A Systematic Review. Int J Mol Sci. 2023;24:2969.  [RCA]  [PubMed]  [DOI]  [Full Text]  [Full Text (PDF)]  [Cited by in Crossref: 162]  [Cited by in RCA: 138]  [Article Influence: 46.0]  [Reference Citation Analysis (0)]
39.  Hanks BA. The "Inside" Story on Tumor-Expressed PD-L1. Cancer Res. 2022;82:2069-2071.  [RCA]  [PubMed]  [DOI]  [Full Text]  [Cited by in Crossref: 15]  [Cited by in RCA: 14]  [Article Influence: 3.5]  [Reference Citation Analysis (0)]
40.  Wang Y, Zhou Y, Yang L, Lei L, He B, Cao J, Gao H. Challenges Coexist with Opportunities: Spatial Heterogeneity Expression of PD-L1 in Cancer Therapy. Adv Sci (Weinh). 2024;11:e2303175.  [RCA]  [PubMed]  [DOI]  [Full Text]  [Full Text (PDF)]  [Cited by in Crossref: 47]  [Cited by in RCA: 45]  [Article Influence: 22.5]  [Reference Citation Analysis (0)]
41.  Pimentel JM, Zhou JY, Wu GS. Regulation of programmed death ligand 1 (PD-L1) expression by TNF-related apoptosis-inducing ligand (TRAIL) in triple-negative breast cancer cells. Mol Carcinog. 2023;62:135-144.  [RCA]  [PubMed]  [DOI]  [Full Text]  [Full Text (PDF)]  [Cited by in Crossref: 11]  [Cited by in RCA: 10]  [Article Influence: 3.3]  [Reference Citation Analysis (0)]
42.  Schulz D, Streller M, Piendl G, Brockhoff G, Reichert TE, Menevse AN, Beckhove P, Hautmann MG, Bauer RJ, Ettl T. Differential localization of PD-L1 and Akt-1 involvement in radioresistant and radiosensitive cell lines of head and neck squamous cell carcinoma. Carcinogenesis. 2020;41:984-992.  [PubMed]  [DOI]  [Full Text]
43.  Wang X, Wu WKK, Gao J, Li Z, Dong B, Lin X, Li Y, Li Y, Gong J, Qi C, Peng Z, Yu J, Shen L. Autophagy inhibition enhances PD-L1 expression in gastric cancer. J Exp Clin Cancer Res. 2019;38:140.  [RCA]  [PubMed]  [DOI]  [Full Text]  [Full Text (PDF)]  [Cited by in Crossref: 144]  [Cited by in RCA: 134]  [Article Influence: 19.1]  [Reference Citation Analysis (0)]
44.  Xiong W, Gao Y, Wei W, Zhang J. Extracellular and nuclear PD-L1 in modulating cancer immunotherapy. Trends Cancer. 2021;7:837-846.  [RCA]  [PubMed]  [DOI]  [Full Text]  [Cited by in Crossref: 76]  [Cited by in RCA: 67]  [Article Influence: 13.4]  [Reference Citation Analysis (0)]
45.  Liu D, Wen C, Chen L, Ye M, Liu H, Sun X, Liang L, Zhang J, Chang S, Liu J. The emerging roles of PD-L1 subcellular localization in tumor immune evasion. Biochem Pharmacol. 2024;220:115984.  [RCA]  [PubMed]  [DOI]  [Full Text]  [Cited by in Crossref: 12]  [Cited by in RCA: 12]  [Article Influence: 6.0]  [Reference Citation Analysis (0)]
46.  Tu X, Qin B, Zhang Y, Zhang C, Kahila M, Nowsheen S, Yin P, Yuan J, Pei H, Li H, Yu J, Song Z, Zhou Q, Zhao F, Liu J, Zhang C, Dong H, Mutter RW, Lou Z. PD-L1 (B7-H1) Competes with the RNA Exosome to Regulate the DNA Damage Response and Can Be Targeted to Sensitize to Radiation or Chemotherapy. Mol Cell. 2019;74:1215-1226.e4.  [RCA]  [PubMed]  [DOI]  [Full Text]  [Full Text (PDF)]  [Cited by in Crossref: 217]  [Cited by in RCA: 202]  [Article Influence: 28.9]  [Reference Citation Analysis (0)]
47.  Ying H, Zhang X, Duan Y, Lao M, Xu J, Yang H, Liang T, Bai X. Non-cytomembrane PD-L1: An atypical target for cancer. Pharmacol Res. 2021;170:105741.  [RCA]  [PubMed]  [DOI]  [Full Text]  [Cited by in Crossref: 43]  [Cited by in RCA: 37]  [Article Influence: 7.4]  [Reference Citation Analysis (0)]
48.  Gao Y, Nihira NT, Bu X, Chu C, Zhang J, Kolodziejczyk A, Fan Y, Chan NT, Ma L, Liu J, Wang D, Dai X, Liu H, Ono M, Nakanishi A, Inuzuka H, North BJ, Huang YH, Sharma S, Geng Y, Xu W, Liu XS, Li L, Miki Y, Sicinski P, Freeman GJ, Wei W. Acetylation-dependent regulation of PD-L1 nuclear translocation dictates the efficacy of anti-PD-1 immunotherapy. Nat Cell Biol. 2020;22:1064-1075.  [RCA]  [PubMed]  [DOI]  [Full Text]  [Full Text (PDF)]  [Cited by in Crossref: 338]  [Cited by in RCA: 312]  [Article Influence: 52.0]  [Reference Citation Analysis (0)]
49.  Shen B, Huang D, Ramsey AJ, Ig-Izevbekhai K, Zhang K, Lajud SA, O'Malley BW, Li D. PD-L1 and MRN synergy in platinum-based chemoresistance of head and neck squamous cell carcinoma. Br J Cancer. 2020;122:640-647.  [RCA]  [PubMed]  [DOI]  [Full Text]  [Full Text (PDF)]  [Cited by in Crossref: 24]  [Cited by in RCA: 19]  [Article Influence: 3.2]  [Reference Citation Analysis (0)]
50.  Schulz D, Feulner L, Santos Rubenich D, Heimer S, Rohrmüller S, Reinders Y, Falchetti M, Wetzel M, Braganhol E, Lummertz da Rocha E, Schäfer N, Stöckl S, Brockhoff G, Wege AK, Fritsch J, Pohl F, Reichert TE, Ettl T, Bauer RJ. Subcellular localization of PD-L1 and cell-cycle-dependent expression of nuclear PD-L1 variants: implications for head and neck cancer cell functions and therapeutic efficacy. Mol Oncol. 2024;18:431-452.  [RCA]  [PubMed]  [DOI]  [Full Text]  [Full Text (PDF)]  [Cited by in Crossref: 11]  [Cited by in RCA: 9]  [Article Influence: 4.5]  [Reference Citation Analysis (0)]
51.  Du W, Zhu J, Zeng Y, Liu T, Zhang Y, Cai T, Fu Y, Zhang W, Zhang R, Liu Z, Huang JA. KPNB1-mediated nuclear translocation of PD-L1 promotes non-small cell lung cancer cell proliferation via the Gas6/MerTK signaling pathway. Cell Death Differ. 2021;28:1284-1300.  [RCA]  [PubMed]  [DOI]  [Full Text]  [Full Text (PDF)]  [Cited by in Crossref: 120]  [Cited by in RCA: 106]  [Article Influence: 21.2]  [Reference Citation Analysis (0)]
52.  Qiu XY, Hu DX, Chen WQ, Chen RQ, Qian SR, Li CY, Li YJ, Xiong XX, Liu D, Pan F, Yu SB, Chen XQ. PD-L1 confers glioblastoma multiforme malignancy via Ras binding and Ras/Erk/EMT activation. Biochim Biophys Acta Mol Basis Dis. 2018;1864:1754-1769.  [RCA]  [PubMed]  [DOI]  [Full Text]  [Cited by in Crossref: 125]  [Cited by in RCA: 126]  [Article Influence: 15.8]  [Reference Citation Analysis (0)]
53.  Yu W, Hua Y, Qiu H, Hao J, Zou K, Li Z, Hu S, Guo P, Chen M, Sui S, Xiong Y, Li F, Lu J, Guo W, Luo G, Deng W. PD-L1 promotes tumor growth and progression by activating WIP and β-catenin signaling pathways and predicts poor prognosis in lung cancer. Cell Death Dis. 2020;11:506.  [RCA]  [PubMed]  [DOI]  [Full Text]  [Full Text (PDF)]  [Cited by in Crossref: 140]  [Cited by in RCA: 135]  [Article Influence: 22.5]  [Reference Citation Analysis (0)]
54.  Sha D, Jin Z, Budczies J, Kluck K, Stenzinger A, Sinicrope FA. Tumor Mutational Burden as a Predictive Biomarker in Solid Tumors. Cancer Discov. 2020;10:1808-1825.  [RCA]  [PubMed]  [DOI]  [Full Text]  [Cited by in Crossref: 701]  [Cited by in RCA: 606]  [Article Influence: 101.0]  [Reference Citation Analysis (0)]
55.  Cho YA, Lee H, Kim DG, Kim H, Ha SY, Choi YL, Jang KT, Kim KM. PD-L1 Expression Is Significantly Associated with Tumor Mutation Burden and Microsatellite Instability Score. Cancers (Basel). 2021;13:4659.  [RCA]  [PubMed]  [DOI]  [Full Text]  [Full Text (PDF)]  [Cited by in Crossref: 44]  [Cited by in RCA: 39]  [Article Influence: 7.8]  [Reference Citation Analysis (0)]
56.  Rizzo A, Cusmai A, Acquafredda S, Giovannelli F, Rinaldi L, Misino A, Palmiotti G. KEYNOTE-522, IMpassion031 and GeparNUEVO: changing the paradigm of neoadjuvant immune checkpoint inhibitors in early triple-negative breast cancer. Future Oncol. 2022;18:2301-2309.  [RCA]  [PubMed]  [DOI]  [Full Text]  [Cited by in Crossref: 92]  [Cited by in RCA: 76]  [Article Influence: 19.0]  [Reference Citation Analysis (0)]
57.  Loi S. The ESMO clinical practise guidelines for early breast cancer: diagnosis, treatment and follow-up: on the winding road to personalized medicine. Ann Oncol. 2019;30:1183-1184.  [RCA]  [PubMed]  [DOI]  [Full Text]  [Cited by in Crossref: 35]  [Cited by in RCA: 29]  [Article Influence: 4.1]  [Reference Citation Analysis (0)]
58.  Chen D, Wang Q, Dong M, Chen F, Huang A, Chen C, Lu Y, Zhao W, Wang L. Analysis of neoadjuvant chemotherapy for breast cancer: a 20-year retrospective analysis of patients of a single institution. BMC Cancer. 2023;23:984.  [RCA]  [PubMed]  [DOI]  [Full Text]  [Full Text (PDF)]  [Cited by in Crossref: 9]  [Cited by in RCA: 7]  [Article Influence: 2.3]  [Reference Citation Analysis (0)]
59.  Zhang J, Wu Q, Yin W, Yang L, Xiao B, Wang J, Yao X. Development and validation of a radiopathomic model for predicting pathologic complete response to neoadjuvant chemotherapy in breast cancer patients. BMC Cancer. 2023;23:431.  [RCA]  [PubMed]  [DOI]  [Full Text]  [Full Text (PDF)]  [Cited by in Crossref: 45]  [Cited by in RCA: 37]  [Article Influence: 12.3]  [Reference Citation Analysis (0)]
60.  Ianza A, Giudici F, Pinello C, Corona SP, Strina C, Bernocchi O, Bortul M, Milani M, Sirico M, Allevi G, Aguggini S, Cocconi A, Azzini C, Dester M, Cervoni V, Bottini A, Cappelletti M, Generali D. ΔKi67 proliferation index as independent predictive and prognostic factor of outcome in luminal breast cancer: data from neoadjuvant letrozole-based treatment. Tumour Biol. 2020;42:1010428320925301.  [RCA]  [PubMed]  [DOI]  [Full Text]  [Cited by in Crossref: 11]  [Cited by in RCA: 11]  [Article Influence: 1.8]  [Reference Citation Analysis (0)]
61.  Tomioka N, Azuma M, Ikarashi M, Yamamoto M, Sato M, Watanabe KI, Yamashiro K, Takahashi M. The therapeutic candidate for immune checkpoint inhibitors elucidated by the status of tumor-infiltrating lymphocytes (TILs) and programmed death ligand 1 (PD-L1) expression in triple negative breast cancer (TNBC). Breast Cancer. 2018;25:34-42.  [RCA]  [PubMed]  [DOI]  [Full Text]  [Cited by in Crossref: 58]  [Cited by in RCA: 90]  [Article Influence: 10.0]  [Reference Citation Analysis (0)]
62.  Dieci MV, Guarneri V, Tosi A, Bisagni G, Musolino A, Spazzapan S, Moretti G, Vernaci GM, Griguolo G, Giarratano T, Urso L, Schiavi F, Pinato C, Magni G, Lo Mele M, De Salvo GL, Rosato A, Conte P. Neoadjuvant Chemotherapy and Immunotherapy in Luminal B-like Breast Cancer: Results of the Phase II GIADA Trial. Clin Cancer Res. 2022;28:308-317.  [RCA]  [PubMed]  [DOI]  [Full Text]  [Cited by in Crossref: 90]  [Cited by in RCA: 82]  [Article Influence: 20.5]  [Reference Citation Analysis (0)]
63.  Sato H, Niimi A, Yasuhara T, Permata TBM, Hagiwara Y, Isono M, Nuryadi E, Sekine R, Oike T, Kakoti S, Yoshimoto Y, Held KD, Suzuki Y, Kono K, Miyagawa K, Nakano T, Shibata A. DNA double-strand break repair pathway regulates PD-L1 expression in cancer cells. Nat Commun. 2017;8:1751.  [RCA]  [PubMed]  [DOI]  [Full Text]  [Full Text (PDF)]  [Cited by in Crossref: 608]  [Cited by in RCA: 555]  [Article Influence: 61.7]  [Reference Citation Analysis (0)]
64.  Shu Z, Dwivedi B, Switchenko JM, Yu DS, Deng X. PD-L1 deglycosylation promotes its nuclear translocation and accelerates DNA double-strand-break repair in cancer. Nat Commun. 2024;15:6830.  [RCA]  [PubMed]  [DOI]  [Full Text]  [Full Text (PDF)]  [Cited by in Crossref: 23]  [Cited by in RCA: 22]  [Article Influence: 11.0]  [Reference Citation Analysis (0)]
Footnotes

Provenance and peer review: Invited article; Externally peer reviewed.

Peer-review model: Single blind

Corresponding Author's Membership in Professional Societies: Association of Oncologists of Russia.

Specialty type: Oncology

Country of origin: Russia

Peer-review report’s classification

Scientific Quality: Grade A, Grade A, Grade A, Grade A, Grade B

Novelty: Grade A, Grade A, Grade A, Grade A, Grade B

Creativity or Innovation: Grade A, Grade A, Grade A, Grade B, Grade B

Scientific Significance: Grade A, Grade A, Grade A, Grade A, Grade B

Open Access: This article is an open-access article that was selected by an in-house editor and fully peer-reviewed by external reviewers. It is distributed in accordance with the Creative Commons Attribution NonCommercial (CC BY-NC 4.0) license, which permits others to distribute, remix, adapt, build upon this work non-commercially, and license their derivative works on different terms, provided the original work is properly cited and the use is non-commercial. See: https://creativecommons.org/Licenses/by-nc/4.0/

P-Reviewer: Ke QH, PhD, Adjunct Associate Professor, Chief Physician, China; Pannu MK, MD, Assistant Professor, Switzerland; Xu X, MD, PhD, Associate Professor, China S-Editor: Liu JH L-Editor: A P-Editor: Zhao S

Write to the Help Desk