BPG is committed to discovery and dissemination of knowledge
Minireviews Open Access
©Author(s) (or their employer(s)) 2026. No commercial re-use. See Permissions. Published by Baishideng Publishing Group Inc.
World J Clin Pediatr. Mar 9, 2026; 15(1): 110318
Published online Mar 9, 2026. doi: 10.5409/wjcp.v15.i1.110318
Imaging of pediatric pulmonary infections: A pictorial review
Bianca Schmiliver, Faculty of Medicine, Humanitas University, Pieve Emanuele 20072, Italy
Arosh S Perera Molligoda Arachchige, Emergency Service, GHOL-Hopital de Nyon, Nyon 1260, Vaud, Switzerland
ORCID number: Arosh S Perera Molligoda Arachchige (0000-0002-3875-0267).
Co-first authors: Bianca Schmiliver and Arosh S Perera Molligoda Arachchige.
Author contributions: Schmiliver B and Perera Molligoda Arachchige AS contributed equally to the conceptualization, writing, and critical review of the manuscript; All authors have read and approved the final version.
Conflict-of-interest statement: All authors have no conflicts of interest to declare.
Corresponding author: Arosh S Perera Molligoda Arachchige, MD, Emergency Service, GHOL-Hopital de Nyon, Chemin Monastier 10, Nyon 1260, Vaud, Switzerland. aroshperera@outlook.it
Received: June 4, 2025
Revised: July 9, 2025
Accepted: October 17, 2025
Published online: March 9, 2026
Processing time: 275 Days and 18.3 Hours

Abstract

Pulmonary infections remain a leading cause of morbidity and hospitalization in children. While the clinical presentation often guides diagnosis and treatment, imaging—particularly chest radiography—plays an essential adjunctive role. This is especially true when the diagnosis is uncertain or complications arise. This review synthesizes the characteristic imaging findings associated with common viral, bacterial, and fungal pathogens in pediatric patients. Emphasis is placed on identifying overlapping radiographic features, recognizing patterns suggestive of specific etiologies, and understanding the implications of radiographic complications for clinical management. In addition to reviewing pathogen-specific manifestations, we discuss the evolving role of computed tomography and other advanced imaging modalities for the diagnosis and monitoring of complex pulmonary infections in the pediatric population.

Key Words: Pediatric; Chest imaging; Radiology; Pulmonary; Infections

Core Tip: Pulmonary infections are a leading cause of illness and hospitalization in children. While clinical evaluation is central, chest radiography remains a vital tool in cases with diagnostic uncertainty or complications. This review highlights key imaging patterns of viral, bacterial, and fungal infections in pediatrics, aiding in differentiation of overlapping features and guiding clinical management, while also exploring the expanding role of computed tomography and advanced imaging in complex cases.



INTRODUCTION

Lower respiratory tract infections (LRTIs), particularly pneumonia, are among the leading causes of illness and hospitalization in children worldwide[1]. Globally, pneumonia alone accounts for a significant proportion of childhood mortality, particularly in low- and middle-income countries[2]. These infections are caused by a variety of pathogens, including viruses, bacteria, and fungi, and often present with overlapping clinical symptoms such as cough, fever, and respiratory distress[3]. Imaging plays a crucial role in supporting clinical assessment. It elucidates uncertain diagnoses and detects complications that may later influence treatment decisions.

Although chest radiography (CXR) is not routinely indicated for uncomplicated viral infections, it remains a valuable diagnostic tool in specific contexts[4]. These include severe or prolonged infections, atypical presentations, or cases involving immunocompromised children[5]. Furthermore, imaging findings can offer indirect clues about the nature of the underlying pathogen and help clinicians anticipate possible complications. Radiologic evaluation also plays an indispensable role in follow-up. It helps distinguish recurrent infection from non-infectious mimickers, such as neoplasms or congenital malformations[4,5]. Additionally, lung ultrasound can be useful for assessing pleural effusions and peripheral consolidations at the bedside, while magnetic resonance imaging (MRI) is rarely used but may be considered in selected cases where detailed soft tissue characterization is needed without ionizing radiation exposure[6,7].

VIRAL LOWER RESPIRATORY TRACT INFECTIONS

Viral infections are the most common cause of LRTIs in the pediatric population, with bronchiolitis and viral pneumonia being the predominant clinical entities[8-10]. The pathogenesis involves infection of the respiratory mucosa, leading to inflammation, epithelial cell necrosis, and subsequent airway obstruction due to edema and mucus plugging[11]. The resulting airflow limitation is especially pronounced in young children, who have narrower airways and a more reactive immune system[12]. This anatomical and immunological vulnerability contributes to the typical imaging findings observed in pediatric viral infections.

On CXR viral LRTIs typically show peribronchial thickening, hyperinflation, and patchy atelectasis. These findings are usually bilateral and symmetrical, centered around the perihilar regions. Although such patterns may suggest a viral etiology, they are not pathognomonic and should always be interpreted alongside clinical findings[11,13].

Among the causative agents, respiratory syncytial virus (RSV) remains the most significant, particularly in infants and young children under two years of age. Nearly all children are infected with RSV by age two, but only a subset develop severe disease requiring hospitalization[14]. Radiographic findings in RSV infections are similar to other viral pathogens but may be more pronounced in children with risk factors such as chronic lung disease, congenital heart anomalies, prematurity, or genetic syndromes like Trisomy 21[15,16]. The presence of marked peribronchial thickening, air trapping, and segmental atelectasis is characteristic but not exclusive to RSV[6].

Human metapneumovirus (HMPV) shares a similar epidemiological profile with RSV and often presents with indistinguishable imaging findings. Seroprevalence studies indicate that nearly all children are exposed to HMPV by the second decade of life[17]. The overall burden of disease is lower than RSV. However, it may lead to severe bronchiolitis or pneumonia in children with underlying pulmonary or immunological disorders. Imaging typically reveals bilateral peribronchial infiltrates, hyperaeration, and scattered atelectasis[18].

Parainfluenza viruses (HPIVs), while more commonly associated with upper respiratory tract infections such as croup, can also cause lower respiratory involvement in a subset of pediatric patients[19]. In HPIV pneumonia, chest radiographs may show bilateral infiltrates, perihilar opacities, and variable atelectasis. Croup, most often caused by HPIV-1, presents with a classic ‘steeple sign’ on frontal neck radiographs (Figure 1). This sign indicates subglottic tracheal narrowing. This narrowing, together with hypopharyngeal distention, provides a reliable radiographic correlate to the clinical triad of barking cough, stridor, and hoarseness[20]. Other viral pathogens, including adenovirus, rhinovirus, and influenza viruses (notably H1N1), can cause lower respiratory infections with overlapping radiographic patterns[21]. Adenovirus is notable for its association with post-infectious bronchiolitis obliterans, a chronic sequela that may be evident on computed tomography (CT) as mosaic attenuation and air trapping. The non-specificity of radiographic findings in viral infections underscores the importance of integrating clinical history, laboratory results. Advanced imaging may be needed in selected cases[22].

Figure 1
Figure 1 Neck X-Ray of a child demonstrating the “steeple sign” where the narrowing of the subglottic region (just below the vocal cords) resembles a church steeple or an inverted V.
BACTERIAL INFECTIONS

Bacterial pneumonia in children is often characterized by more localized and dense radiographic opacities compared to viral infections[23]. The pathophysiology involves alveolar filling with purulent exudate, inflammatory cells, and fibrin, leading to consolidation that obscures the normal lung architecture. A hallmark sign of consolidation is the air bronchogram, which occurs when air-filled bronchi become visible due to surrounding opaque alveolar infiltrates[24].

A unique feature in younger children is round pneumonia, typically seen in those under 8 years of age due to immature collateral ventilation pathways, such as the pores of Kohn and channels of Lambert. These underdeveloped pathways restrict the spread of infection, resulting in a well-circumscribed, spherical opacity that may mimic neoplastic lesions. Radiologists should be aware of this benign variant to avoid unnecessary interventions[25].

Beyond primary consolidation, bacterial pneumonias can cause a range of complications that require prompt recognition. Cavitary necrosis and lung abscesses are necrotizing forms of infection. They are frequently caused by pathogens such as Streptococcus pneumoniae, Staphylococcus aureus, and Klebsiella pneumoniae[26]. Radiographically, lung abscesses are characterized by thick-walled cavities containing air-fluid levels, best appreciated on CT imaging[27].

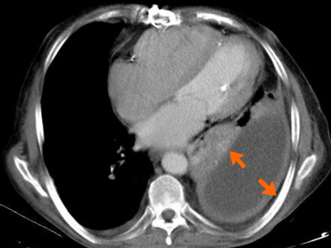
Empyema, or purulent pleural effusion, results from the extension of infection into the pleural space. It is visualized as a complex pleural collection with septations, internal debris, and contrast enhancement of the pleural layers, commonly referred to as the “split pleura sign” (Figure 2)[27,28]. Advanced imaging modalities such as ultrasound and contrast-enhanced CT provide critical information for diagnosis and planning interventions like thoracentesis or chest tube placement. Bronchopleural fistulas, although rare, are serious complications of necrotizing pneumonia[29]. Clinically, they often present with persistent air leaks despite chest tube drainage and are frequently associated with pneumothorax or hydropneumothorax. Recognizing the condition on imaging requires a high clinical suspicion and confirmation typically requires CT[30].

Figure 2
Figure 2 Axial contrast enhanced arterial phase computed tomography image showing the split pleura sign, seen with pleural empyemas refers to the thickening and increased contrast enhancement of the visceral and parietal pleura separated by empyema or an exudative effusion (arrows).

Pneumatoceles are thin-walled, air-filled cysts that can also develop as a sequela of bacterial pneumonia, most commonly secondary to Staphylococcus aureus infection. While they typically resolve spontaneously, large pneumatoceles may exert significant mass effect[31].

TUBERCULOSIS IN CHILDREN

Tuberculosis (TB) in children presents distinct imaging challenges due to its varied manifestations and subtle radiographic findings in early stages. Primary TB, the initial form of infection, often involves minimal pulmonary parenchymal changes and is characterized by prominent hilar or mediastinal lymphadenopathy. In some cases, marked lymph node enlargement can compress airways or cause lobar collapse, necessitating further evaluation with CT[32].

Miliary TB typically results from hematogenous spread of M. tuberculosis. It is characterized by innumerable tiny nodules uniformly distributed throughout the lungs[33]. This pattern is particularly observed in infants, young children, and immunocompromised patients, and it carries a high risk of extrapulmonary dissemination[34].

Post-primary or reactivation TB, although less common in children, typically involves the apical and posterior segments of the upper lobes[35]. Imaging may reveal cavitation, nodular opacities, and endobronchial spread, as evidenced by the tree-in-bud appearance on high-resolution CT[36]. Progressive disease may lead to paraspinal abscesses and vertebral involvement, a pattern typical of spinal tuberculosis, also known as Pott’s disease. This condition often presents with vertebral compression and paraspinal soft tissue masses[37].

FUNGAL INFECTIONS

Fungal pulmonary infections are uncommon in immunocompetent children yet pose a significant diagnostic challenge in those who are immunosuppressed. These infections often present with non-specific respiratory symptoms and require a high degree of clinical suspicion. Imaging findings are variable and may mimic other infectious or neoplastic processes[38].

Among fungal pathogens, Aspergillus species are the most frequently implicated. Pulmonary aspergillosis exists along a spectrum, with manifestations dependent on the host’s immune status. In immunocompetent children with pre-existing cavities, colonization by Aspergillus can result in a saprophytic aspergilloma or also known as a “fungus ball”. Radiographically, this appears as a mobile, round mass within a pre-existing cavity, typically surrounded by a crescent-shaped rim of air separating the mass from the cavity wall. This is known as the air-crescent sign (Figure 3) and it can shift depending on the patient’s position[39,40].

Figure 3
Figure 3 Aspergillus infection in a child[7]. A: Chest X-ray showcases a solitary rounded pulmonary lesion in a patient with leukemia (arrow); B: Further evaluation with computed tomography demonstrates cavitation of the lesion and a ground glass halo sign (arrow); C: Different immunocompromised patient with fungal infection showcasing the "air crescent sign" (arrowheads). Citation: Varotto A, Orsatti G, Crimì F, Cecchin D, Toffolutti T, Zucchetta P, Stramare R. Radiological Assessment of Paediatric Fungal Infections: A Pictorial Review With Focus on PET/MRI. In Vivo 2019; 33: 1727-1735. Copyright © 2019 The Author(s). Published by the International Institute of Anticancer Research (https://iv.iiarjournals.org/content/editorial-policies).

Allergic bronchopulmonary aspergillosis is an immune-mediated hypersensitivity reaction that primarily affects children with asthma or cystic fibrosis. Imaging typically shows central bronchiectasis and mucoid impaction, often forming the characteristic “finger-in-glove” appearance on CT scans. These findings, although characteristic, may overlap with other causes of mucoid plugging and require correlation with clinical and laboratory findings[41,42].

Invasive forms of aspergillosis, including angio-invasive and airway-invasive types, primarily affects severely immunocompromised individuals such as transplant recipients or patients with prolonged neutropenia. Angio-invasive disease leads to hemorrhagic infarctions and tissue necrosis, which often appears on imaging as nodules surrounded by ground-glass opacity, known as the “halo sign”. As necrosis progresses, the air-crescent sign may reappear, indicating central cavitation[7,43]. Airway-invasive aspergillosis, which infiltrates the deeper layers of the bronchial wall, may lead to airway, narrowing, obstruction, or rupture, resulting in air-leak phenomena such as pneumomediastinum. CT imaging is essential for detecting these subtle changes and guiding clinical management[44,45].

Aspergillus remains one of the main causes of invasive fungal lung infections in children, but other fungi can also lead to significant pulmonary or systemic disease, particularly in those who are immunocompromised. Candida species, for example, are a major cause of invasive fungal infections in pediatric intensive care settings. They most often affect the bloodstream but can spread to the lungs or deep organs through the circulation[46,47]. When Candida involves the lungs, CT typically shows multiple nodules or patchy areas of consolidation. Cavitation may be seen but is less frequent than with Aspergillus. If Candida spreads to the liver, spleen, or brain, ultrasound and MRI help detect abscesses or small lesions that may not be visible on CT alone[48]. Hybrid positron emission tomography (PET)/MRI combines detailed soft-tissue imaging with metabolic data and can help distinguish active infection from residual scarring or fibrosis, which is especially useful for follow-up during treatment[49].

Another relevant pathogen is Histoplasma capsulatum, which remains an important cause of fungal lung infection in children living in endemic regions. Many infected children have mild or no symptoms, but infants and immunosuppressed patients are at greater risk for severe or disseminated disease. On chest radiographs and CT, histoplasmosis may present as lobar or diffuse infiltrates, enlarged hilar or mediastinal lymph nodes, or cavitary lesions that can resemble tuberculosis. Healed areas may calcify over time. In complicated cases, CT is useful for assessing lymph node masses or airway compression, while MRI may aid in evaluating central nervous system or soft-tissue involvement[50].

Recognizing these patterns and selecting the right imaging tools is essential for timely diagnosis and effective management in children.

Even though the focus of this review is limited to CXR, recognizing these varied patterns and knowing when to extend imaging beyond standard chest radiography to include CT, ultrasound, MRI, or hybrid PET/MRI—is essential for timely diagnosis and appropriate management of pediatric fungal infections[48-50]. Imaging features associated with different pediatric pulmonary infections are summarized in Table 1.

Table 1 Imaging features and distinguishing characteristics of common pediatric pulmonary infections.
Pathogen
Clinical context
Common imaging findings (CXR/CT)
Distinguishing features/complications
Respiratory syncytial virusInfants and young children, especially with chronic lung disease or prematurityPeribronchial thickening, hyperinflation, patchy atelectasisMost common LRTI in infants; indistinct from other viruses on CXR
Human metapneumovirus Similar to RSV; affects children < 5 yearsSame as RSV: Hyperinflation, atelectasis, perihilar opacitiesOften milder than RSV; supportive care is mainstay
Parainfluenza virusChildren with croup or LRTISubglottic narrowing (“steeple sign”), perihilar opacities, atelectasisCroup presentation (stridor, barking cough); lower tract infection < 10%
AdenovirusInfants, toddlers; post-infectious bronchiolitis obliterans riskPatchy opacities, hyperinflation, air trapping (CT: Mosaic attenuation)Chronic sequelae: Constrictive bronchiolitis; often severe disease
Influenza (H1N1, B)All ages; epidemicsBilateral infiltrates, ground-glass opacities, lobar consolidation (CT)Severe in immunocompromised; overlap with bacterial superinfection
Streptococcus pneumoniaeMost common bacterial cause < 5 yearsLobar consolidation, air bronchogramsRisk of pleural effusion, empyema, necrosis in severe cases
Staphylococcus aureusHematogenous spread, post-viral pneumoniaPatchy/multifocal infiltrates, pneumatoceles, abscessesHigh complication risk: Necrotizing pneumonia, empyema
Klebsiella pneumoniaeImmunocompromised, aspirationBulky consolidation, abscesses with air-fluid levelsCan mimic TB; necrosis common
Mycoplasma pneumoniaeSchool-aged children, adolescentsSegmental/Lobar consolidation, interstitial infiltrates (GGO, septal thickening)Often subacute; extrapulmonary manifestations possible
Primary TBChildren < 5 years; endemic areasHilar/mediastinal lymphadenopathy ± mild parenchymal opacitiesMay cause bronchial obstruction; CT better for lymph nodes
Miliary TBInfants, immunocompromisedCountless tiny nodules throughout lungsHematogenous spread; high mortality if untreated
Post-primary TBAdolescents or reactivation casesUpper lobe cavitation, tree-in-bud nodules, consolidationSpinal involvement (Pott’s disease), paraspinal abscess
Aspergillus (fungus ball)Pre-existing cavity, immunocompetentMobile intracavitary mass, air-crescent signChanges with position; typically non-invasive
Allergic bronchopulmonary aspergillosisAsthma, CFCentral bronchiectasis, mucus plugging (“finger-in-glove”)IgE elevation, eosinophilia, recurrent exacerbations
Invasive aspergillosisImmunocompromised (BMT, neutropenia)Nodules with halo sign, cavitation, pneumomediastinumAngio-invasive: Infarction; airway-invasive: Air leaks, CT essential
CONCLUSION

Pediatric pulmonary infections represent a complex interplay between pathogen virulence and the developing immune host response. Radiologic imaging serves as an indispensable tool for diagnosis, evaluation of complications, and monitoring of treatment response. While chest radiography remains the cornerstone of initial evaluation, its limitations in sensitivity and specificity call for integration of clinical, laboratory, and advanced imaging data, including additional modalities such as ultrasound and MRI when appropriate.

Recognizing the radiographic patterns associated with common pathogens and understanding their clinical implications are critical for timely and effective management. As imaging technology advances and becomes more accessible, its role in pediatric infectious disease will continue to evolve. Given the radiation exposure associated with CT, its use in children should always be carefully justified and optimized according to established pediatric imaging guidelines[47]. Further research into imaging biomarkers and AI-driven diagnostic tools may pave the way for advances in precision radiology, specifically for the diagnosis and management of pediatric infections.

References
1.  Yoo B, Yune I, Kang D, Cho Y, Lim SY, Yoo S, Kim M, Kim JS, Kim D, Lee HY, Baek RM, Jung SY, Kim ES, Lee H. Etiology and Clinical Prediction of Community-Acquired Lower Respiratory Tract Infection in Children. J Korean Med Sci. 2025;40:e5.  [RCA]  [PubMed]  [DOI]  [Full Text]  [Cited by in RCA: 5]  [Reference Citation Analysis (0)]
2.  M S, Vaithilingan S. Childhood Pneumonia in Low- and Middle-Income Countries: A Systematic Review of Prevalence, Risk Factors, and Healthcare-Seeking Behaviors. Cureus. 2024;16:e57636.  [RCA]  [PubMed]  [DOI]  [Full Text]  [Cited by in RCA: 3]  [Reference Citation Analysis (0)]
3.  Eslamy HK, Newman B. Pneumonia in normal and immunocompromised children: an overview and update. Radiol Clin North Am. 2011;49:895-920.  [RCA]  [PubMed]  [DOI]  [Full Text]  [Full Text (PDF)]  [Cited by in Crossref: 47]  [Cited by in RCA: 34]  [Article Influence: 2.3]  [Reference Citation Analysis (0)]
4.  Wrotek A, Czajkowska M, Jackowska T. Chest Radiography in Children Hospitalized with Bronchiolitis. Adv Exp Med Biol. 2019;1222:55-62.  [RCA]  [PubMed]  [DOI]  [Full Text]  [Cited by in Crossref: 3]  [Cited by in RCA: 7]  [Article Influence: 1.2]  [Reference Citation Analysis (0)]
5.  Andronikou S, Lambert E, Halton J, Hilder L, Crumley I, Lyttle MD, Kosack C. Guidelines for the use of chest radiographs in community-acquired pneumonia in children and adolescents. Pediatr Radiol. 2017;47:1405-1411.  [RCA]  [PubMed]  [DOI]  [Full Text]  [Full Text (PDF)]  [Cited by in Crossref: 45]  [Cited by in RCA: 37]  [Article Influence: 4.1]  [Reference Citation Analysis (0)]
6.  Daltro P, Santos EN, Gasparetto TD, Ucar ME, Marchiori E. Pulmonary infections. Pediatr Radiol. 2011;41 Suppl 1:S69-S82.  [RCA]  [PubMed]  [DOI]  [Full Text]  [Full Text (PDF)]  [Cited by in Crossref: 23]  [Cited by in RCA: 24]  [Article Influence: 1.6]  [Reference Citation Analysis (0)]
7.  Varotto A, Orsatti G, Crimì F, Cecchin D, Toffolutti T, Zucchetta P, Stramare R. Radiological Assessment of Paediatric Fungal Infections: A Pictorial Review With Focus on PET/MRI. In Vivo. 2019;33:1727-1735.  [RCA]  [PubMed]  [DOI]  [Full Text]  [Full Text (PDF)]  [Cited by in Crossref: 9]  [Cited by in RCA: 5]  [Article Influence: 0.7]  [Reference Citation Analysis (0)]
8.  Akkoc G, Dogan C, Bayraktar S, Sahin K, Elevli M. Evaluation of viral respiratory pathogens in children aged under five hospitalized with lower respiratory tract infections. North Clin Istanb. 2022;9:162-172.  [RCA]  [PubMed]  [DOI]  [Full Text]  [Full Text (PDF)]  [Cited by in RCA: 5]  [Reference Citation Analysis (0)]
9.  Duyu M, Karakaya Z. Viral etiology and outcome of severe lower respiratory tract infections among critically ill children admitted to the PICU. Med Intensiva (Engl Ed).  2020.  [RCA]  [PubMed]  [DOI]  [Full Text]  [Full Text (PDF)]  [Cited by in Crossref: 7]  [Cited by in RCA: 10]  [Article Influence: 1.7]  [Reference Citation Analysis (0)]
10.  Sung CC, Chi H, Chiu NC, Huang DT, Weng LC, Wang NY, Huang FY. Viral etiology of acute lower respiratory tract infections in hospitalized young children in Northern Taiwan. J Microbiol Immunol Infect. 2011;44:184-190.  [RCA]  [PubMed]  [DOI]  [Full Text]  [Full Text (PDF)]  [Cited by in Crossref: 45]  [Cited by in RCA: 44]  [Article Influence: 2.9]  [Reference Citation Analysis (0)]
11.  Jain H, Schweitzer JW, Justice NA.   Respiratory Syncytial Virus Infection in Children. 2023 Jun 20. In: StatPearls [Internet]. Treasure Island (FL): StatPearls Publishing; 2025 Jan-.  [PubMed]  [DOI]
12.  Douros K, Everard ML. Time to Say Goodbye to Bronchiolitis, Viral Wheeze, Reactive Airways Disease, Wheeze Bronchitis and All That. Front Pediatr. 2020;8:218.  [RCA]  [PubMed]  [DOI]  [Full Text]  [Full Text (PDF)]  [Cited by in Crossref: 25]  [Cited by in RCA: 36]  [Article Influence: 6.0]  [Reference Citation Analysis (0)]
13.  Piedimonte G, Perez MK. Respiratory syncytial virus infection and bronchiolitis. Pediatr Rev. 2014;35:519-530.  [PubMed]  [DOI]  [Full Text]
14.  Baraldi E, Checcucci Lisi G, Costantino C, Heinrichs JH, Manzoni P, Riccò M, Roberts M, Vassilouthis N. RSV disease in infants and young children: Can we see a brighter future? Hum Vaccin Immunother. 2022;18:2079322.  [RCA]  [PubMed]  [DOI]  [Full Text]  [Full Text (PDF)]  [Cited by in Crossref: 83]  [Cited by in RCA: 67]  [Article Influence: 16.8]  [Reference Citation Analysis (0)]
15.  Borchers AT, Chang C, Gershwin ME, Gershwin LJ. Respiratory syncytial virus--a comprehensive review. Clin Rev Allergy Immunol. 2013;45:331-379.  [RCA]  [PubMed]  [DOI]  [Full Text]  [Full Text (PDF)]  [Cited by in Crossref: 567]  [Cited by in RCA: 489]  [Article Influence: 37.6]  [Reference Citation Analysis (1)]
16.  Miyairi I, DeVincenzo JP. Human genetic factors and respiratory syncytial virus disease severity. Clin Microbiol Rev. 2008;21:686-703.  [RCA]  [PubMed]  [DOI]  [Full Text]  [Cited by in Crossref: 87]  [Cited by in RCA: 82]  [Article Influence: 4.6]  [Reference Citation Analysis (0)]
17.  Mistry LN, Agarwal S, Jaiswal H, Kondkari S, Mulla SA, Bhandarkar SD. Human Metapneumovirus: Emergence, Impact, and Public Health Significance. Cureus. 2025;17:e80964.  [RCA]  [PubMed]  [DOI]  [Full Text]  [Cited by in RCA: 3]  [Reference Citation Analysis (0)]
18.  Hilmes MA, Daniel Dunnavant F, Singh SP, Ellis WD, Payne DC, Zhu Y, Griffin MR, Edwards KM, Williams JV. Chest radiographic features of human metapneumovirus infection in pediatric patients. Pediatr Radiol. 2017;47:1745-1750.  [RCA]  [PubMed]  [DOI]  [Full Text]  [Full Text (PDF)]  [Cited by in Crossref: 14]  [Cited by in RCA: 8]  [Article Influence: 0.9]  [Reference Citation Analysis (0)]
19.  Branche AR, Falsey AR. Parainfluenza Virus Infection. Semin Respir Crit Care Med. 2016;37:538-554.  [RCA]  [PubMed]  [DOI]  [Full Text]  [Full Text (PDF)]  [Cited by in Crossref: 196]  [Cited by in RCA: 161]  [Article Influence: 16.1]  [Reference Citation Analysis (1)]
20.  Kadam SJ, Daley SF, Carr B.   Croup. 2025 Jun 2. In: StatPearls [Internet]. Treasure Island (FL): StatPearls Publishing; 2025 Jan-.  [PubMed]  [DOI]
21.  Farzi R, Pirbonyeh N, Kadivar MR, Moattari A. Prevalence of Influenza Viruses A and B, Adenovirus, Respiratory Syncytial Virus, and Human Metapneumonia Viruses among Children with Acute Respiratory Tract Infection. Adv Virol. 2024;2024:7613948.  [RCA]  [PubMed]  [DOI]  [Full Text]  [Cited by in Crossref: 1]  [Cited by in RCA: 13]  [Article Influence: 6.5]  [Reference Citation Analysis (0)]
22.  Ions R, Narayanan M, Browning M, Gaillard EA, Stiefel G, Tang JW. Case presentation: persistent adenovirus B3 infections associated with bronchiolitis obliterans treated with cidofovir in a child with mosaic tetrasomy 9p. BMC Infect Dis. 2018;18:529.  [RCA]  [PubMed]  [DOI]  [Full Text]  [Full Text (PDF)]  [Cited by in Crossref: 8]  [Cited by in RCA: 8]  [Article Influence: 1.0]  [Reference Citation Analysis (0)]
23.  Perera Molligoda Arachchige AS, Verma Y. Role of photon-counting computed tomography in pediatric cardiovascular imaging. World J Clin Pediatr. 2025;14:99288.  [RCA]  [PubMed]  [DOI]  [Full Text]  [Full Text (PDF)]  [Cited by in RCA: 4]  [Reference Citation Analysis (0)]
24.  Reed JC  Diffuse Air Space Opacities. In: Reed JC, editor. Chest Radiology. 6th ed. Mosby, 2020: 220–242.  [RCA]  [PubMed]  [DOI]  [Full Text]  [Full Text (PDF)]  [Cited by in RCA: 1]  [Reference Citation Analysis (0)]
25.  Restrepo R, Palani R, Matapathi UM, Wu YY. Imaging of round pneumonia and mimics in children. Pediatr Radiol. 2010;40:1931-1940.  [RCA]  [PubMed]  [DOI]  [Full Text]  [Full Text (PDF)]  [Cited by in Crossref: 24]  [Cited by in RCA: 19]  [Article Influence: 1.2]  [Reference Citation Analysis (0)]
26.  Kapania EM, Cavallazzi R. Necrotizing Pneumonia: A Practical Guide for the Clinician. Pathogens. 2024;13:984.  [RCA]  [PubMed]  [DOI]  [Full Text]  [Cited by in RCA: 19]  [Reference Citation Analysis (0)]
27.  Bhalla AS, Goyal A, Guleria R, Gupta AK. Chest tuberculosis: Radiological review and imaging recommendations. Indian J Radiol Imaging. 2015;25:213-225.  [RCA]  [PubMed]  [DOI]  [Full Text]  [Full Text (PDF)]  [Cited by in Crossref: 133]  [Cited by in RCA: 98]  [Article Influence: 8.9]  [Reference Citation Analysis (0)]
28.  Karkhanis VS, Joshi JM. Pleural effusion: diagnosis, treatment, and management. Open Access Emerg Med. 2012;4:31-52.  [RCA]  [PubMed]  [DOI]  [Full Text]  [Full Text (PDF)]  [Cited by in Crossref: 99]  [Cited by in RCA: 128]  [Article Influence: 9.1]  [Reference Citation Analysis (0)]
29.  Sekarsari D, Handoyo S, Amal MY, Kharismarini P. Necrotizing pneumonia with bronchopleural fistula as an uncommon complication of pneumonia in children: a case report. Radiol Case Rep. 2021;16:2077-2080.  [RCA]  [PubMed]  [DOI]  [Full Text]  [Full Text (PDF)]  [Cited by in RCA: 1]  [Reference Citation Analysis (0)]
30.  Ruenwilai P. Bronchoscopic management in persistent air leak: a narrative review. J Thorac Dis. 2024;16:4030-4042.  [RCA]  [PubMed]  [DOI]  [Full Text]  [Full Text (PDF)]  [Cited by in RCA: 5]  [Reference Citation Analysis (0)]
31.  Maranella E, Conte E, Di Natale C, Coclite E, Di Fabio S. Disseminated, large-sized neonatal pneumatoceles: the wait-and-see strategy. Pediatr Pulmonol. 2014;49:E69-E71.  [RCA]  [PubMed]  [DOI]  [Full Text]  [Cited by in Crossref: 7]  [Cited by in RCA: 8]  [Article Influence: 0.7]  [Reference Citation Analysis (0)]
32.  Mahomed N, Kilborn T, Smit EJ, Chu WCW, Young CYM, Koranteng N, Kasznia-Brown J, Winant AJ, Lee EY, Sodhi KS. Tuberculosis revisted: classic imaging findings in childhood. Pediatr Radiol. 2023;53:1799-1828.  [RCA]  [PubMed]  [DOI]  [Full Text]  [Cited by in RCA: 20]  [Reference Citation Analysis (0)]
33.  Vohra S, Dhaliwal HS.   Miliary Tuberculosis. 2024 Jan 30. In: StatPearls [Internet]. Treasure Island (FL): StatPearls Publishing; 2025 Jan-.  [PubMed]  [DOI]
34.  Sharma SK, Mohan A. Miliary Tuberculosis. Microbiol Spectr. 2017;5.  [RCA]  [PubMed]  [DOI]  [Full Text]  [Cited by in Crossref: 59]  [Cited by in RCA: 66]  [Article Influence: 7.3]  [Reference Citation Analysis (0)]
35.  Tobin EH, Tristram D.   Tuberculosis Overview. 2024 Dec 22. In: StatPearls [Internet]. Treasure Island (FL): StatPearls Publishing; 2025 Jan-.  [PubMed]  [DOI]
36.  Rivas-Garcia A, Sarria-Estrada S, Torrents-Odin C, Casas-Gomila L, Franquet E. Imaging findings of Pott's disease. Eur Spine J. 2013;22 Suppl 4:567-578.  [RCA]  [PubMed]  [DOI]  [Full Text]  [Cited by in Crossref: 98]  [Cited by in RCA: 95]  [Article Influence: 7.3]  [Reference Citation Analysis (0)]
37.  Rossi SE, Franquet T, Volpacchio M, Giménez A, Aguilar G. Tree-in-bud pattern at thin-section CT of the lungs: radiologic-pathologic overview. Radiographics. 2005;25:789-801.  [RCA]  [PubMed]  [DOI]  [Full Text]  [Cited by in Crossref: 165]  [Cited by in RCA: 111]  [Article Influence: 5.3]  [Reference Citation Analysis (0)]
38.  Chong S, Lee KS, Yi CA, Chung MJ, Kim TS, Han J. Pulmonary fungal infection: imaging findings in immunocompetent and immunocompromised patients. Eur J Radiol. 2006;59:371-383.  [RCA]  [PubMed]  [DOI]  [Full Text]  [Cited by in Crossref: 67]  [Cited by in RCA: 54]  [Article Influence: 2.7]  [Reference Citation Analysis (0)]
39.  Kousha M, Tadi R, Soubani AO. Pulmonary aspergillosis: a clinical review. Eur Respir Rev. 2011;20:156-174.  [RCA]  [PubMed]  [DOI]  [Full Text]  [Full Text (PDF)]  [Cited by in Crossref: 591]  [Cited by in RCA: 480]  [Article Influence: 32.0]  [Reference Citation Analysis (0)]
40.  Latgé JP. Aspergillus fumigatus and aspergillosis. Clin Microbiol Rev. 1999;12:310-350.  [RCA]  [PubMed]  [DOI]  [Full Text]  [Full Text (PDF)]  [Cited by in Crossref: 1872]  [Cited by in RCA: 1587]  [Article Influence: 58.8]  [Reference Citation Analysis (0)]
41.  Panchabhai TS, Mukhopadhyay S, Sehgal S, Bandyopadhyay D, Erzurum SC, Mehta AC. Plugs of the Air Passages: A Clinicopathologic Review. Chest. 2016;150:1141-1157.  [RCA]  [PubMed]  [DOI]  [Full Text]  [Cited by in Crossref: 53]  [Cited by in RCA: 43]  [Article Influence: 4.3]  [Reference Citation Analysis (0)]
42.  Sisodia J, Bajaj T.   Allergic Bronchopulmonary Aspergillosis. 2023 Aug 8. In: StatPearls [Internet]. Treasure Island (FL): StatPearls Publishing; 2025 Jan-.  [PubMed]  [DOI]
43.  Garg A, Bhalla AS, Naranje P, Vyas S, Garg M. Decoding the Guidelines of Invasive Pulmonary Aspergillosis in Critical Care Setting: Imaging Perspective. Indian J Radiol Imaging. 2023;33:382-391.  [RCA]  [PubMed]  [DOI]  [Full Text]  [Full Text (PDF)]  [Cited by in Crossref: 8]  [Cited by in RCA: 9]  [Article Influence: 3.0]  [Reference Citation Analysis (0)]
44.  Arkoudis NA, Pastroma A, Velonakis G, Tsochatzis A, Mazioti A, Vakaki M, Alexopoulou E. Solitary round pulmonary lesions in the pediatric population: a pictorial review. Acta Radiol Open. 2019;8:2058460119851998.  [RCA]  [PubMed]  [DOI]  [Full Text]  [Full Text (PDF)]  [Cited by in Crossref: 6]  [Cited by in RCA: 7]  [Article Influence: 1.0]  [Reference Citation Analysis (0)]
45.  Zheng X, Shao J, Xu J. Airway Obstruction Due to Invasive Tracheobronchial Aspergillosis. Am J Med Sci. 2016;352:218.  [RCA]  [PubMed]  [DOI]  [Full Text]  [Cited by in Crossref: 1]  [Cited by in RCA: 2]  [Article Influence: 0.2]  [Reference Citation Analysis (0)]
46.  Ankrah AO, Sathekge MM, Dierckx RA, Glaudemans AW. Imaging fungal infections in children. Clin Transl Imaging. 2016;4:57-72.  [RCA]  [PubMed]  [DOI]  [Full Text]  [Full Text (PDF)]  [Cited by in Crossref: 40]  [Cited by in RCA: 30]  [Article Influence: 3.0]  [Reference Citation Analysis (0)]
47.  Perera Molligoda Arachchige AS. MRI versus CT in Detecting Pulmonary Nodules. Radiology. 2022;304:E51.  [RCA]  [PubMed]  [DOI]  [Full Text]  [Cited by in RCA: 3]  [Reference Citation Analysis (0)]
48.  Arachchige ASPM. 7-Tesla PET/MRI: A promising tool for multimodal brain imaging? AIMS Neurosci. 2022;9:516-518.  [RCA]  [PubMed]  [DOI]  [Full Text]  [Cited by in Crossref: 9]  [Cited by in RCA: 10]  [Article Influence: 2.5]  [Reference Citation Analysis (0)]
49.  Lovrenski J, Raissaki M, Plut D, Alexopoulou E, Görkem SB, Ozcan HN, Geiger J, Gräfe D, Sileo C, Caro-Dominguez P, Ciet P. ESR Essentials: imaging of common paediatric pulmonary diseases-practice recommendations by the European Society of Paediatric Radiology. Eur Radiol. 2025;35:5037-5052.  [RCA]  [PubMed]  [DOI]  [Full Text]  [Cited by in RCA: 3]  [Reference Citation Analysis (0)]
50.  Fischer GB, Mocelin H, Severo CB, Oliveira Fde M, Xavier MO, Severo LC. Histoplasmosis in children. Paediatr Respir Rev. 2009;10:172-177.  [RCA]  [PubMed]  [DOI]  [Full Text]  [Cited by in Crossref: 40]  [Cited by in RCA: 30]  [Article Influence: 1.8]  [Reference Citation Analysis (0)]
Footnotes

Provenance and peer review: Invited article; Externally peer reviewed.

Peer-review model: Single blind

Specialty type: Radiology, nuclear medicine and medical imaging

Country of origin: Switzerland

Peer-review report’s classification

Scientific Quality: Grade A, Grade B, Grade C

Novelty: Grade B, Grade B, Grade C

Creativity or Innovation: Grade B, Grade B, Grade C

Scientific Significance: Grade A, Grade A, Grade C

Open Access: This article is an open-access article that was selected by an in-house editor and fully peer-reviewed by external reviewers. It is distributed in accordance with the Creative Commons Attribution NonCommercial (CC BY-NC 4.0) license, which permits others to distribute, remix, adapt, build upon this work non-commercially, and license their derivative works on different terms, provided the original work is properly cited and the use is non-commercial. See: https://creativecommons.org/Licenses/by-nc/4.0/

P-Reviewer: Hori T, MD, PhD, FACS, Professor, Japan; Yucal A, MD, Post Doctoral Researcher, Türkiye S-Editor: Liu JH L-Editor: A P-Editor: Xu ZH

Write to the Help Desk